New Insights into Beta-Lactam Resistance of Streptococcus pneumoniae: Serine Protease HtrA Degrades Altered Penicillin-Binding Protein 2x
Abstract
1. Introduction
2. Materials and Methods
2.1. Bacterial Strains, Growth Conditions, and Transformation
2.2. Microscopy and Cell Length Measurements
2.3. Determination of Minimal Inhibitory Concentrations
2.4. Determination of β-galactosidase Activity
2.5. RNA Preparation and Quantitative Real-Time PCR
2.6. BocillinTMFL Labelling of PBPs and Western Blot Analysis
2.7. Expression and Purification of the Recombinant Protein HtrA
2.8. HtrA Antisera Production and Immunoblotting
2.9. Determination of PBP2x Copy Number in S. pneumoniae Using the Quantitative Method of ECL (Enhanced Chemiluminescence)
2.10. DNA Manipulations and Construction of Mutants
3. Results
3.1. The Cefotaxime-Resistant Laboratory Mutants C405 and C606 Contained Reduced Amounts of PBP2x
3.2. Determination of PBP2x Copy Number in R6 and C405
3.3. Introduction of Altered PBP2x Alleles into R6 Background Also Led to Reduced Protein Amount
3.4. Transcription of Pbp2x
3.5. PBP2x and the Hyperactivated CiaRH System
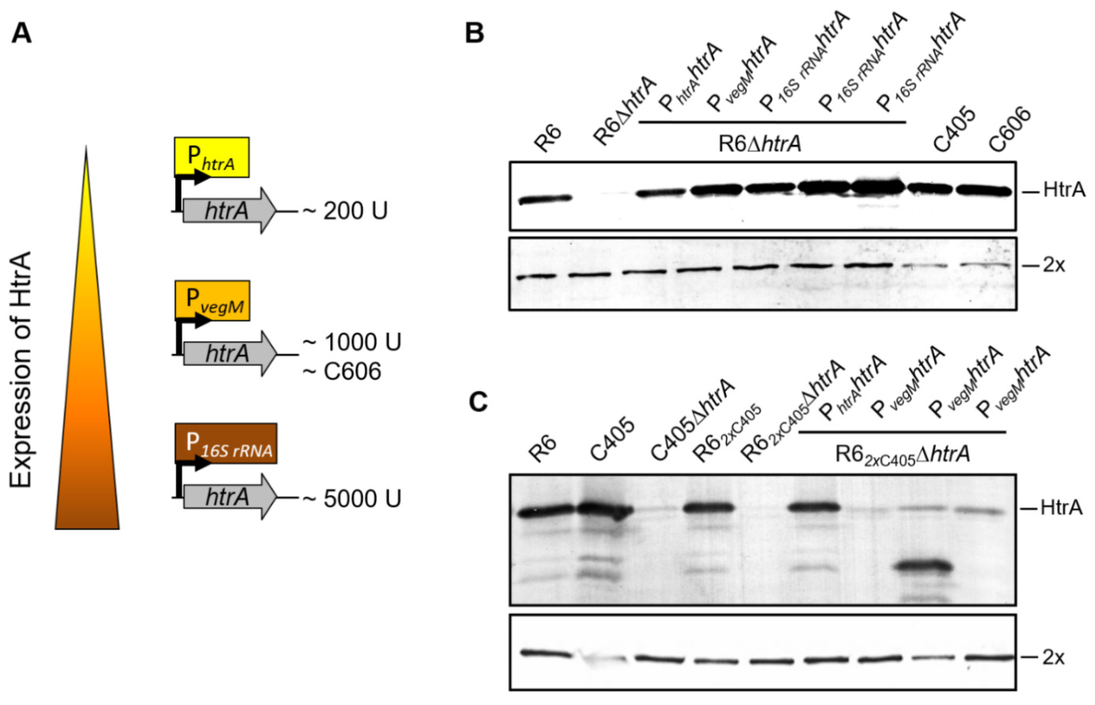
3.6. The Serine Protease HtrA Degraded the Essential Altered PBP2x in the Cefotaxime-Resistant Mutants C405 and C606
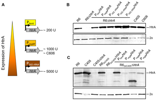
3.7. Complementation Studies in HtrA Deletion Strains
3.8. Impact of HtrA on PBP2x-Mediated Cefotaxime Resistance
3.9. Localization of Low-Affinity GFP-PBP2xC405 Fusion Protein Was Affected by HtrA
3.10. Effect of HtrA Deletion in Depletion Studies of Altered PBP2x
4. Discussion
Supplementary Materials
Author Contributions
Funding
Institutional Review Board Statement
Informed Consent Statement
Data Availability Statement
Acknowledgments
Conflicts of Interest
References
- Hakenbeck, R.; Brückner, R.; Denapaite, D.; Maurer, P. Molecular mechanism of beta-lactam resistance in Streptococcus pneumoniae. Future Microbiol. 2012, 7, 395–410. [Google Scholar] [CrossRef] [PubMed]
- Chambers, H.F. Penicillin-binding protein-mediated resistance in pneumococci and staphylococci. J. Infect. Dis. 1999, 179, 353–359. [Google Scholar] [CrossRef] [PubMed]
- Hakenbeck, R.; Grebe, T.; Zahner, D.; Stock, J.B. Beta-lactam resistance in Streptococcus pneumoniae: Penicillin-binding proteins and non penicillin-binding proteins. Mol. Microbiol. 1999, 33, 673–678. [Google Scholar] [CrossRef] [PubMed]
- Hakenbeck, R.; Ellerbrok, H.; Briese, T.; Handwerger, S.; Tomasz, A. Penicillin-binding proteins of penicillin-susceptible and -resistant pneumococci: Immunological relatedness of altered proteins and changes in peptides carrying the beta-lactam binding site. Antimicrob. Agents Chemother. 1986, 30, 553–558. [Google Scholar] [CrossRef]
- Sauvage, E.; Kerff, F.; Terrak, M.; Ayala, J.A.; Charlier, P. The penicillin-binding proteins: Structure and role in peptidoglycan biosynthesis. FEMS Microbiol. Rev. 2008, 32, 234–258. [Google Scholar] [CrossRef]
- Kell, C.M.; Sharma, U.K.; Dowson, C.G.; Town, C.; Balganesh, T.S.; Spratt, B.G. Deletion analysis of the essentiality of penicillin-binding proteins 1A, 2B and 2X of Streptococcus pneumoniae. FEMS Microbiol. Lett. 1993, 106, 171–175. [Google Scholar] [CrossRef]
- Berg, K.H.; Stamsås, G.A.; Straume, D.; Håvarstein, L.S. Effects of low PBP2b levels on cell morphology and peptidoglycan composition in Streptococcus pneumoniae R6. J. Bacteriol. 2013, 195, 4342–4354. [Google Scholar] [CrossRef] [PubMed]
- Peters, K.; Schweizer, I.; Beilharz, K.; Stahlmann, C.; Veening, J.W.; Hakenbeck, R.; Denapaite, D. Streptococcus pneumoniae PBP2x mid-cell localization requires the C-terminal PASTA domains and is essential for cell shape maintenance. Mol. Microbiol. 2014, 92, 733–755. [Google Scholar] [CrossRef]
- Vollmer, W.; Massidda, O.; Tomasz, A. The cell wall of Streptococcus pneumoniae. Microbiol. Spectr. 2019, 7, 7. [Google Scholar] [CrossRef] [PubMed]
- van der Linden, M.; Rutschmann, J.; Maurer, P.; Hakenbeck, R. PBP2a in β-lactam-resistant laboratory mutants and clinical isolates: Disruption versus reduced penicillin affinity. Microb. Drug Resist. 2018, 24, 718–731. [Google Scholar] [CrossRef] [PubMed]
- Laible, G.; Spratt, B.G.; Hakenbeck, R. Interspecies recombinational events during the evolution of altered PBP 2x genes in penicillin-resistant clinical isolates of Streptococcus pneumoniae. Mol. Microbiol. 1991, 5, 1993–2002. [Google Scholar] [CrossRef]
- Dowson, C.G.; Hutchison, A.; Brannigan, J.A.; George, R.C.; Hansman, D.; Liñares, J.; Tomasz, A.; Smith, J.M.; Spratt, B.G. Horizontal transfer of penicillin-binding protein genes in penicillin-resistant clinical isolates of Streptococcus pneumoniae. Proc. Natl. Acad. Sci. USA 1989, 86, 8842–8846. [Google Scholar] [CrossRef] [PubMed]
- Grebe, T.; Hakenbeck, R. Penicillin-binding proteins 2b and 2x of Streptococcus pneumoniae are primary resistance determinants for different classes of beta-lactam antibiotics. Antimicrob. Agents Chemother. 1996, 40, 829–834. [Google Scholar] [CrossRef] [PubMed]
- Smith, A.M.; Klugman, K.P. Alterations in PBP 1A essential for high level penicillin resistance in Streptococcus pneumoniae. Antimicrob. Agents Chemother. 1998, 42, 1329–1333. [Google Scholar] [CrossRef] [PubMed]
- du Plessis, M.; Bingen, E.; Klugman, K.P. Analysis of penicillin-binding protein genes of clinical isolates of Streptococcus pneumoniae with reduced susceptibility to amoxicillin. Antimicrob. Agents Chemother. 2002, 46, 2349–2357. [Google Scholar] [CrossRef] [PubMed]
- Zerfass, I.; Hakenbeck, R.; Denapaite, D. An important site in PBP2x of penicillin-resistant clinical isolates of Streptococcus pneumoniae: Mutational analysis of Thr338. Antimicrob. Agents Chemother. 2009, 53, 1107–1115. [Google Scholar] [CrossRef] [PubMed]
- Muñoz, R.; Dowson, C.G.; Daniels, M.; Coffey, T.J.; Martin, C.; Hakenbeck, R.; Spratt, B.G. Genetics of resistance to third-generation cephalosporins in clinical isolates of Streptococcus pneumoniae. Mol. Microbiol. 1992, 6, 2461–2465. [Google Scholar] [CrossRef]
- Hakenbeck, R.; Tornette, S.; Adkinson, N.F. Interaction of non-lytic beta-lactams with penicillin-binding proteins in Streptococcus pneumoniae. J. Gen. Microbiol. 1987, 133, 755–760. [Google Scholar] [CrossRef]
- Krauss, J.; van der Linden, M.; Grebe, T.; Hakenbeck, R. Penicillin-binding proteins 2x and 2b as primary PBP targets in Streptococcus pneumoniae. Microb. Drug Resist. 1996, 2, 183–186. [Google Scholar] [CrossRef]
- Coffey, T.J.; Daniels, M.; McDougal, L.K.; Dowson, C.G.; Tenover, F.C.; Spratt, B.G. Genetic analysis of clinical isolates of Streptococcus pneumoniae with high-level resistance to expanded-spectrum cephalosporins. Antimicrob. Agents Chemother. 1995, 39, 1306–1313. [Google Scholar] [CrossRef]
- Martin, C.; Sibold, C.; Hakenbeck, R. Relatedness of penicillin-binding protein 1a genes from different clones of penicillin-resistant Streptococcus pneumoniae isolated in South Africa and Spain. EMBO J. 1992, 11, 3831–3836. [Google Scholar] [CrossRef] [PubMed]
- Dowson, C.G.; Coffey, T.J.; Kell, C.; Whiley, R.A. Evolution of penicillin resistance in Streptococcus pneumoniae; the role of Streptococcus mitis in the formation of a low affinity PBP2B in S. pneumoniae. Mol. Microbiol. 1993, 9, 635–643. [Google Scholar] [CrossRef]
- Sibold, C.; Henrichsen, J.; König, A.; Martin, C.; Chalkley, L.; Hakenbeck, R. Mosaic pbpX genes of major clones of penicillin-resistant Streptococcus pneumoniae have evolved from pbpX genes of a penicillin-sensitive Streptococcus oralis. Mol. Microbiol. 1994, 12, 1013–1023. [Google Scholar] [CrossRef] [PubMed]
- Reichmann, P.; König, A.; Liñares, J.; Alcaide, F.; Tenover, F.C.; McDougal, L.; Swidsinski, S.; Hakenbeck, R. A global gene pool for high-level cephalosporin resistance in commensal Streptococcus species and Streptococcus pneumoniae. J. Infect. Dis. 1997, 176, 1001–1012. [Google Scholar] [CrossRef]
- Chi, F.; Nolte, O.; Bergmann, C.; Ip, M.; Hakenbeck, R. Crossing the barrier: Evolution and spread of a major class of mosaic pbp2x in Streptococcus pneumoniae, S. mitis and S. oralis. Int. J. Med. Microbiol. 2007, 297, 503–512. [Google Scholar] [CrossRef]
- Jensen, A.; Valdórsson, O.; Frimodt-Møller, N.; Hollingshead, S.; Kilian, M. Commensal streptococci serve as a reservoir for β-lactam resistance genes in Streptococcus pneumoniae. Antimicrob. Agents Chemother. 2015, 59, 3529–3540. [Google Scholar] [CrossRef]
- Laible, G.; Hakenbeck, R. Penicillin-binding proteins in beta-lactam-resistant laboratory mutants of Streptococcus pneumoniae. Mol. Microbiol. 1987, 1, 355–363. [Google Scholar] [CrossRef]
- Laible, G.; Hakenbeck, R.; Sicard, M.A.; Joris, B.; Ghuysen, J.M. Nucleotide sequences of the pbpX genes encoding the penicillin-binding proteins 2x from Streptococcus pneumoniae R6 and a cefotaxime-resistant mutant, C506. Mol. Microbiol. 1989, 3, 1337–1348. [Google Scholar] [CrossRef]
- Krauss, J.; Hakenbeck, R. A mutation in the D,D-carboxypeptidase penicillin-binding protein 3 of Streptococcus pneumoniae contributes to cefotaxime resistance of the laboratory mutant C604. Antimicrob. Agents Chemother. 1997, 41, 936–942. [Google Scholar] [CrossRef]
- Grebe, T.; Paik, J.; Hakenbeck, R. A novel resistance mechanism against beta-lactams in Streptococcus pneumoniae involves CpoA, a putative glycosyltransferase. J. Bacteriol. 1997, 179, 3342–3349. [Google Scholar] [CrossRef] [PubMed]
- Meiers, M.; Volz, C.; Eisel, J.; Maurer, P.; Henrich, B.; Hakenbeck, R. Altered lipid composition in Streptococcus pneumoniae cpoA mutants. BMC Microbiol. 2014, 14, 12. [Google Scholar] [CrossRef]
- Guenzi, E.; Gasc, A.M.; Sicard, M.A.; Hakenbeck, R. A two-component signal-transducing system is involved in competence and penicillin susceptibility in laboratory mutants of Streptococcus pneumoniae. Mol. Microbiol. 1994, 12, 505–515. [Google Scholar] [CrossRef]
- Zähner, D.; Kaminski, K.; van der Linden, M.; Mascher, T.; Meral, M.; Hakenbeck, R. The ciaR/ciaH regulatory network of Streptococcus pneumoniae. J. Mol. Microbiol. Biotechnol. 2002, 4, 211–216. [Google Scholar]
- Giammarinaro, P.; Sicard, M.; Gasc, A.M. Genetic and physiological studies of the CiaH-CiaR two-component signal-transducing system involved in cefotaxime resistance and competence of Streptococcus pneumoniae. Microbiology 1999, 145, 1859–1869. [Google Scholar] [CrossRef] [PubMed]
- Mascher, T.; Zähner, D.; Merai, M.; Balmelle, N.; de Saizieu, A.B.; Hakenbeck, R. The Streptococcus pneumoniae cia regulon: CiaR target sites and transcription profile analysis. J. Bacteriol. 2003, 185, 60–70. [Google Scholar] [CrossRef] [PubMed]
- Müller, M.; Marx, P.; Hakenbeck, R.; Brückner, R. Effect of new alleles of the histidine kinase gene ciaH on the activity of the response regulator CiaR in Streptococcus pneumoniae R6. Microbiology 2011, 157, 3104–3112. [Google Scholar] [CrossRef] [PubMed]
- Mascher, T.; Heintz, M.; Zähner, D.; Merai, M.; Hakenbeck, R. The CiaRH system of Streptococcus pneumoniae prevents lysis during stress induced by treatment with cell wall inhibitors and by mutations in pbp2x involved in beta-lactam resistance. J. Bacteriol. 2006, 188, 1959–1968. [Google Scholar] [CrossRef]
- Halfmann, A.; Schnorpfeil, A.; Müller, M.; Marx, P.; Günzler, U.; Hakenbeck, R.; Brückner, R. Activity of the two-component regulatory system CiaRH in Streptococcus pneumoniae R6. J. Mol. Microbiol. Biotechnol. 2011, 20, 96–104. [Google Scholar] [CrossRef] [PubMed]
- Meiers, M.; Laux, A.; Eichinger, D.; Sexauer, A.; Marx, P.; Bertram, R.; Brückner, R. A tetracycline-inducible integrative expression system for Streptococcus pneumoniae. FEMS Microbiol. Lett. 2017, 364, fnx044. [Google Scholar] [CrossRef] [PubMed]
- Kietzman, C.C.; Rosch, J.W. Regulatory Strategies of the Pneumococcus. In Streptococcus pneumoniae: Molecular Mechanisms of Host-Pathogen Interactions; Brown, J., Hammerschmidt, S., Orihuela, C., Eds.; Elsevier: Amsterdam, NL, USA, 2015; Chapter 6; pp. 109–124. [Google Scholar] [CrossRef]
- Gómez-Mejia, A.; Gamez, G.; Hammerschmidt, S. Streptococcus pneumoniae two-component regulatory systems: The interplay of the pneumococcus with its environment. Int. J. Med. Microbiol. 2018, 308, 722–737. [Google Scholar] [CrossRef] [PubMed]
- Halfmann, A.; Kovács, M.; Hakenbeck, R.; Brückner, R. Identification of the genes directly controlled by the response regulator CiaR in Streptococcus pneumoniae: Five out of 15 promoters drive expression of small non-coding RNAs. Mol. Microbiol. 2007, 66, 110–126. [Google Scholar] [CrossRef]
- Denapaite, D.; Brückner, R.; Hakenbeck, R.; Vollmer, W. Bio Biosynthesis of teichoic acids in Streptococcus pneumoniae and closely related species: Lessons from genomes. Microb. Drug Resist. 2012, 18, 344–358. [Google Scholar] [CrossRef]
- Schnorpfeil, A.; Kranz, M.; Kovács, M.; Kirsch, C.; Gartmann, J.; Brunner, I.; Bittmann, S.; Brückner, R. Target evaluation of the non-coding csRNAs reveals a link of the two-component regulatory system CiaRH to competence control in Streptococcus pneumoniae R6. Mol. Microbiol. 2013, 89, 334–349. [Google Scholar] [CrossRef]
- Clausen, T.; Kaiser, M.; Huber, R.; Ehrmann, M. HTRA Proteases: Regulated proteolysis in protein quality control. Nat. Rev. Mol. Cell Biol. 2011, 12, 152–162. [Google Scholar] [CrossRef] [PubMed]
- Clausen, T.; Southan, C.; Ehrmann, M. The HtrA family of proteases: Implications for protein composition and cell fate. Mol. Cell 2002, 10, 443–455. [Google Scholar] [CrossRef]
- Cassone, M.; Gagne, A.L.; Spruce, L.A.; Seeholzer, S.H.; Sebert, M.E. The HtrA protease from Streptococcus pneumoniae digests both denatured proteins and the competence-stimulating peptide. J. Biol. Chem. 2012, 287, 38449–38459. [Google Scholar] [CrossRef] [PubMed]
- Liu, Y.; Zeng, Y.; Huang, Y.; Gu, L.; Wang, S.; Li, C.; Morrison, D.A.; Deng, H.; Zhang, J.R. HtrA-mediated selective degradation of DNA uptake apparatus accelerates termination of pneumococcal transformation. Mol. Microbiol. 2019, 112, 1308–1325. [Google Scholar] [CrossRef]
- Dawid, S.; Sebert, M.E.; Weiser, J.N. Bacteriocin activity of Streptococcus pneumoniae is controlled by the serine protease HtrA via posttranscriptional regulation. J. Bacteriol. 2009, 191, 1509–1518. [Google Scholar] [CrossRef]
- Kochan, T.J.; Dawid, S. The HtrA protease of Streptococcus pneumoniae controls density-dependent stimulation of the bacteriocin blp locus via disruption of pheromone secretion. J. Bacteriol. 2013, 195, 1561–1572. [Google Scholar] [CrossRef]
- Chao, Y.; Bergenfelz, C.; Sun, R.; Han, X.; Achour, A.; Hakansson, A.P. The serine protease HtrA plays a key role in heat-induced dispersal of pneumococcal biofilms. Sci. Rep. 2020, 10, 22455. [Google Scholar] [CrossRef]
- Sender, V.; Hentrich, K.; Pathak, A.; Tan Qian Ler, A.; Embaie, B.T.; Lundström, S.L.; Gaetani, M.; Bergstrand, J.; Nakamoto, R.; Sham, L.T.; et al. Capillary leakage provides nutrients and antioxidants for rapid pneumococcal proliferation in influenza-infected lower airways. Proc. Natl. Acad. Sci. USA 2020, 117, 31386–31397. [Google Scholar] [CrossRef] [PubMed]
- Ali, M.Q.; Kohler, T.P.; Burchhardt, G.; Wüst, A.; Henck, N.; Bolsmann, R.; Voß, F.; Hammerschmidt, S. Extracellular Pneumococcal Serine Proteases Affect Nasopharyngeal Colonization. Front. Cell Infect. Microbiol. 2021, 10, 613467. [Google Scholar] [CrossRef] [PubMed]
- Schweizer, I.; Peters, K.; Stahlmann, C.; Hakenbeck, R.; Denapaite, D. Penicillin-binding protein 2x of Streptococcus pneumoniae: The mutation Ala707Asp within the C-terminal PASTA2 domain leads to destabilization. Microb. Drug Resist. 2014, 20, 250–257. [Google Scholar] [CrossRef] [PubMed]
- Tsui, H.C.; Keen, S.K.; Sham, L.T.; Wayne, K.J.; Winkler, M.E. Dynamic distribution of the SecA and SecY translocase subunits and septal localization of the HtrA surface chaperone/protease during Streptococcus pneumoniae D39 cell division. mBio 2011, 2, e00202-11. [Google Scholar] [CrossRef]
- Maurer, P.; Koch, B.; Zerfass, I.; Krauss, J.; van der Linden, M.; Frère, J.M.; Contreras-Martel, C.; Hakenbeck, R. Penicillin-binding protein 2x of Streptococcus pneumoniae: Three new mutational pathways for remodelling an essential enzyme into a resistance determinant. J. Mol. Biol. 2008, 376, 1403–1416. [Google Scholar] [CrossRef]
- Ottolenghi, E.; Hotchkiss, R.D. Release of genetic transforming agent from pneumococcal cultures during growth and disintegration. J. Exp. Med. 1962, 116, 491–519. [Google Scholar] [CrossRef]
- Lacks, S.; Hotchkiss, R.D. A study of the genetic material determining an enzyme in pneumococcus. Biochim. Biophys. Acta 1960, 39, 508–518. [Google Scholar] [CrossRef]
- Alloing, G.; Granadel, C.; Morrison, D.A.; Claverys, J.P. Competence pheromone, oligopeptide permease, and induction of competence in Streptococcus pneumoniae. Mol. Microbiol. 1996, 21, 471–478. [Google Scholar] [CrossRef]
- Weng, L.; Biswas, I.; Morrison, D.A. A self-deleting Cre-lox-ermAM cassette, Cheshire, for marker-less gene deletion in Streptococcus pneumoniae. J. Microbiol. Methods 2009, 79, 353–357. [Google Scholar] [CrossRef][Green Version]
- Eberhardt, A.; Wu, L.J.; Errington, J.; Vollmer, W.; Veening, J.W. Cellular localization of choline-utilization proteins in Streptococcus pneumoniae using novel fluorescent reporter systems. Mol. Microbiol. 2009, 74, 395–408. [Google Scholar] [CrossRef]
- Salles, C.; Creancier, I.; Claverys, J.P.; Méjean, V. The high level streptomycin resistance gene from Streptococcus pneumoniae is a homologue of the ribosomal protein S12 gene from Escherichia coli. Nucleic Acids Res. 1992, 20, 6103. [Google Scholar] [CrossRef] [PubMed][Green Version]
- Hanahan, D. Studies on transformation of Escherichia coli with plasmids. J. Mol. Biol. 1983, 166, 557–580. [Google Scholar] [CrossRef]
- Halfmann, A.; Hakenbeck, R.; Brückner, R. A new integrative reporter plasmid for Streptococcus pneumoniae. FEMS Microbiol. Lett. 2007, 268, 217–224. [Google Scholar] [CrossRef] [PubMed]
- Bradford, M.M. A rapid and sensitive method for the quantitation of microgram quantities of protein utilizing the principle of protein-dye binding. Anal. Biochem. 1976, 72, 248–254. [Google Scholar] [CrossRef]
- McKessar, S.J.; Hakenbeck, R. The two-component regulatory system TCS08 is involved in cellobiose metabolism of Streptococcus pneumoniae R6. J. Bacteriol. 2007, 189, 1342–1350. [Google Scholar] [CrossRef]
- Sebert, M.E.; Patel, K.P.; Plotnick, M.; Weiser, J.N. Pneumococcal HtrA protease mediates inhibition of competence by the CiaRH two-component signaling system. J. Bacteriol. 2005, 187, 3969–3979. [Google Scholar] [CrossRef][Green Version]
- Laible, G.; Hakenbeck, R. Five independent combinations of mutations can result in low-affinity penicillin-binding protein 2x of Streptococcus pneumoniae. J. Bacteriol. 1991, 173, 6986–6990. [Google Scholar] [CrossRef] [PubMed]
- Sung, C.K.; Li, H.; Claverys, J.P.; Morrison, D.A. An rpsL cassette, Janus, for gene replacement through negative selection in Streptococcus pneumoniae. Appl. Environ. Microbiol. 2001, 67, 5190–5196. [Google Scholar] [CrossRef]
- Sebert, M.E.; Palmer, L.M.; Rosenberg, M.; Weiser, J.N. Microarray-based identification of htrA, a Streptococcus pneumoniae gene that is regulated by the CiaRH two-component system and contributes to nasopharyngeal colonization. Infect. Immun. 2002, 70, 4059–4067. [Google Scholar] [CrossRef]
- Maurer, P.; Todorova, K.; Sauerbier, J.; Hakenbeck, R. Mutations in Streptococcus pneumoniae penicillin-binding protein 2x: Importance of the C-terminal penicillin-binding protein and serine/threonine kinase-associated domains for beta-lactam binding. Microb. Drug Resist. 2012, 18, 314–321. [Google Scholar] [CrossRef]
- Pares, S.; Mouz, N.; Pétillot, Y.; Hakenbeck, R.; Dideberg, O. X-ray structure of Streptococcus pneumoniae PBP2x, a primary penicillin target enzyme. Nat. Struct. Biol. 1996, 3, 284–289. [Google Scholar] [CrossRef] [PubMed]
- Moscoso, M.; Domenech, M.; Garcia, E. Vancomycin tolerance in clinical and laboratory Streptococcus pneumoniae isolates depends on reduced enzyme activity of the major LytA autolysin or cooperation between CiaH histidine kinase and capsular polysaccharide. Mol. Microbiol. 2010, 77, 1052–1064. [Google Scholar] [CrossRef] [PubMed]
- Rosch, J.W.; Caparon, M.G. The ExPortal: An organelle dedicated to the biogenesis of secreted proteins in Streptococcus pyogenes. Mol. Microbiol. 2005, 58, 959–968. [Google Scholar] [CrossRef] [PubMed]
- Zawilak-Pawlik, A.; Zarzecka, U.; Żyła-Uklejewicz, D.; Lach, J.; Strapagiel, D.; Tegtmeyer, N.; Böhm, M.; Backert, S.; Skorko-Glonek, J. Establishment of serine protease htrA mutants in Helicobacter pylori is associated with secA mutations. Sci. Rep. 2019, 9, 11794. [Google Scholar] [CrossRef] [PubMed]
- Spiess, C.; Beil, A.; Ehrmann, M. A temperature-dependent switch from chaperone to protease in a widely conserved heat shock protein. Cell 1999, 97, 339–347. [Google Scholar] [CrossRef]
- Land, A.D.; Tsui, H.C.; Kocaoglu, O.; Vella, S.A.; Shaw, S.L.; Keen, S.K.; Sham, L.T.; Carlson, E.E.; Winkler, M.E. Requirement of essential Pbp2x and GpsB for septal ring closure in Streptococcus pneumoniae D39. Mol. Microbiol. 2013, 90, 939–955. [Google Scholar] [CrossRef]
- Tsui, H.T.; Boersma, M.J.; Vella, S.A.; Kocaoglu, O.; Kuru, E.; Peceny, J.K.; Carlson, E.E.; VanNieuwenhze, M.S.; Brun, Y.V.; Shaw, S.L.; et al. Pbp2x localizes separately from Pbp2b and other peptidoglycan synthesis proteins during later stages of cell division of Streptococcus pneumoniae D39. Mol. Microbiol. 2014, 94, 21–40. [Google Scholar] [CrossRef] [PubMed]
- Schweizer, I.; Blättner, S.; Maurer, P.; Peters, K.; Vollmer, D.; Vollmer, W.; Hakenbeck, R.; Denapaite, D. New aspects of the interplay between penicillin binding proteins, murM, and the two-component system CiaRH of penicillin-resistant Streptococcus pneumoniae serotype 19A isolates from Hungary. Antimicrob. Agents Chemother. 2017, 61, e00414-17. [Google Scholar] [CrossRef]
- Sauerbier, J.; Maurer, P.; Rieger, M.; Hakenbeck, R. Streptococcus pneumoniae R6 interspecies transformation: Genetic analysis of penicillin resistance determinants and genome-wide recombination events. Mol. Microbiol. 2012, 86, 692–706. [Google Scholar] [CrossRef]
- Todorova, K.; Maurer, P.; Rieger, M.; Becker, T.; Bui, N.K.; Gray, J.; Vollmer, W.; Hakenbeck, R. Transfer of penicillin resistance from Streptococcus oralis to Streptococcus pneumoniae identifies murE as resistance determinant. Mol. Microbiol. 2015, 97, 866–880. [Google Scholar] [CrossRef]
- Rutschmann, J. PBP2a als Resistenzdeterminante in Labormutanten und Klinischen Isolaten von Streptococcus pneumoniae. Ph.D. Thesis, TU Kaiserslautern, Kaiserslautern, Germany, 2011. [Google Scholar]
- Noirclerc-Savoye, M.; Le Gouëllec, A.; Morlot, C.; Dideberg, O.; Vernet, T.; Zapun, A. In vitro reconstitution of a trimeric complex of DivIB, DivIC and FtsL, and their transient co-localization at the division site in Streptococcus pneumoniae. Mol. Microbiol. 2005, 55, 413–424. [Google Scholar] [CrossRef]
- Kocaoglu, O.; Tsui, H.C.; Winkler, M.E.; Carlson, E.E. Profiling of β-lactam selectivity for penicillin-binding proteins in Streptococcus pneumoniae D39. Antimicrethicob. Agents Chemother. 2015, 59, 3548–3555. [Google Scholar] [CrossRef] [PubMed]
- Lara, B.; Rico, A.I.; Petruzzelli, S.; Santona, A.; Dumas, J.; Biton, J.; Vicente, M.; Mingorance, J.; Massidda, O. Cell division in cocci: Localization and properties of the Streptococcus pneumoniae FtsA protein. Mol. Microbiol. 2005, 55, 699–711. [Google Scholar] [CrossRef] [PubMed]
- Land, A.D.; Winkler, M.E. The requirement for pneumococcal MreC and MreD is relieved by inactivation of the gene encoding PBP1a. J. Bacteriol. 2011, 193, 4166–4179. [Google Scholar] [CrossRef] [PubMed]








Publisher’s Note: MDPI stays neutral with regard to jurisdictional claims in published maps and institutional affiliations. |
© 2021 by the authors. Licensee MDPI, Basel, Switzerland. This article is an open access article distributed under the terms and conditions of the Creative Commons Attribution (CC BY) license (https://creativecommons.org/licenses/by/4.0/).
Share and Cite
Peters, K.; Schweizer, I.; Hakenbeck, R.; Denapaite, D. New Insights into Beta-Lactam Resistance of Streptococcus pneumoniae: Serine Protease HtrA Degrades Altered Penicillin-Binding Protein 2x. Microorganisms 2021, 9, 1685. https://doi.org/10.3390/microorganisms9081685
Peters K, Schweizer I, Hakenbeck R, Denapaite D. New Insights into Beta-Lactam Resistance of Streptococcus pneumoniae: Serine Protease HtrA Degrades Altered Penicillin-Binding Protein 2x. Microorganisms. 2021; 9(8):1685. https://doi.org/10.3390/microorganisms9081685
Chicago/Turabian StylePeters, Katharina, Inga Schweizer, Regine Hakenbeck, and Dalia Denapaite. 2021. "New Insights into Beta-Lactam Resistance of Streptococcus pneumoniae: Serine Protease HtrA Degrades Altered Penicillin-Binding Protein 2x" Microorganisms 9, no. 8: 1685. https://doi.org/10.3390/microorganisms9081685
APA StylePeters, K., Schweizer, I., Hakenbeck, R., & Denapaite, D. (2021). New Insights into Beta-Lactam Resistance of Streptococcus pneumoniae: Serine Protease HtrA Degrades Altered Penicillin-Binding Protein 2x. Microorganisms, 9(8), 1685. https://doi.org/10.3390/microorganisms9081685

