Major Virion Tegument Protein VP22 Targets Nuclear Matrix and Chromatin upon Entry into Cells during Productive Herpes Simplex Virus 1 Infection
Abstract
1. Introduction
2. Materials and Methods
2.1. Cells and Viruses
2.2. Synchronized Infection
2.3. Chemical Treatment during Infection
2.4. Infected Cell Extracts
2.5. Virion Preparations
2.6. Phosphatase Treatments
2.7. Denaturing Gel Electrophoresis and Immunoblotting
2.8. Immunological Reagents
3. Results
3.1. VP22 Detection in Nuclei and Nuclear Matrix 4 hpi
3.2. Incoming VP22 Targets the Nuclear Matrix
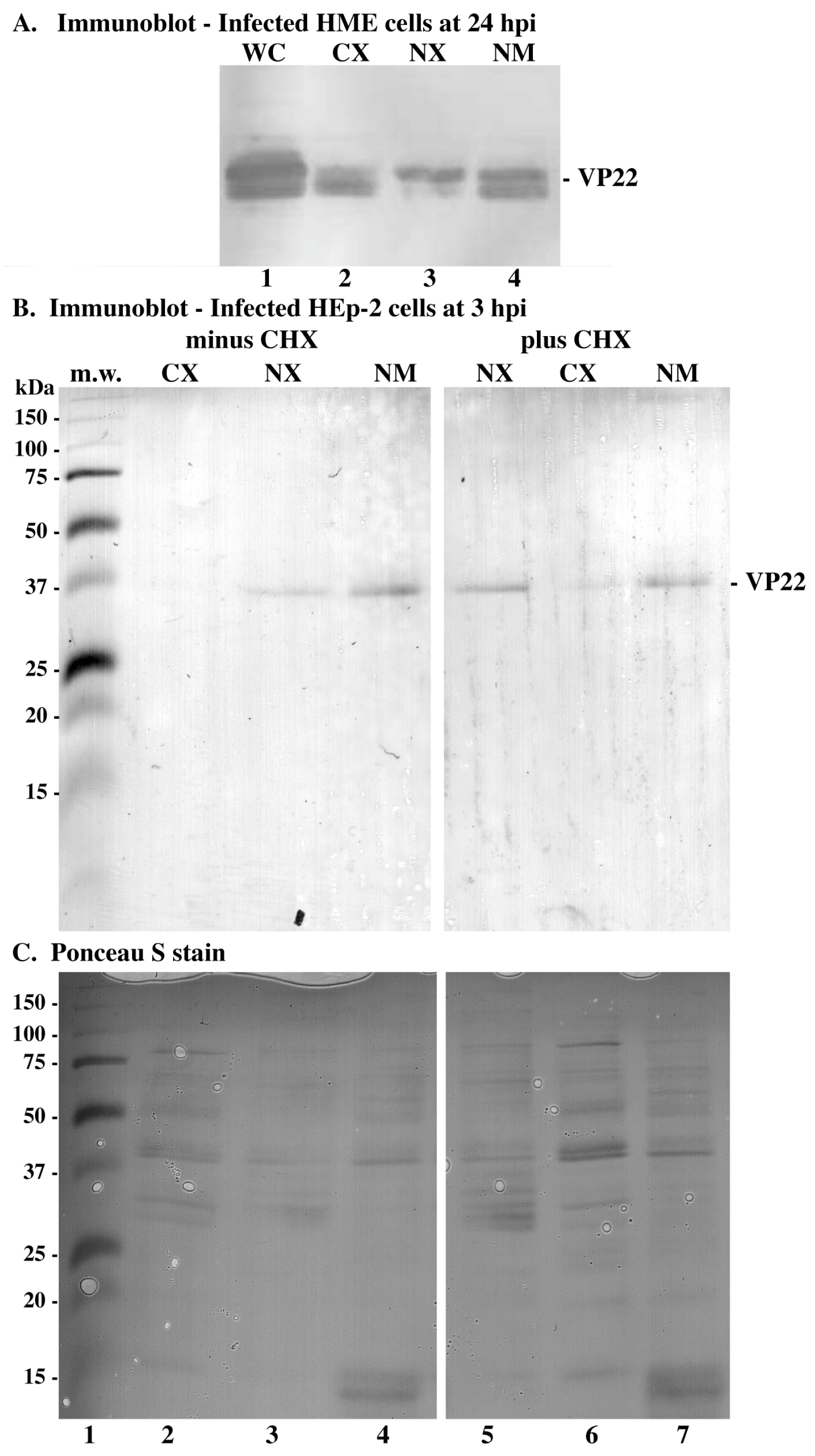
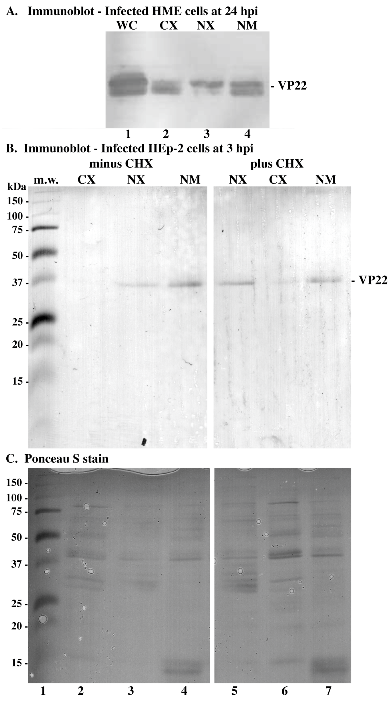
3.3. VP22 Targeting of Nuclear Matrix in Human Mammary Epithelial (HME) and HEp-2 Cells
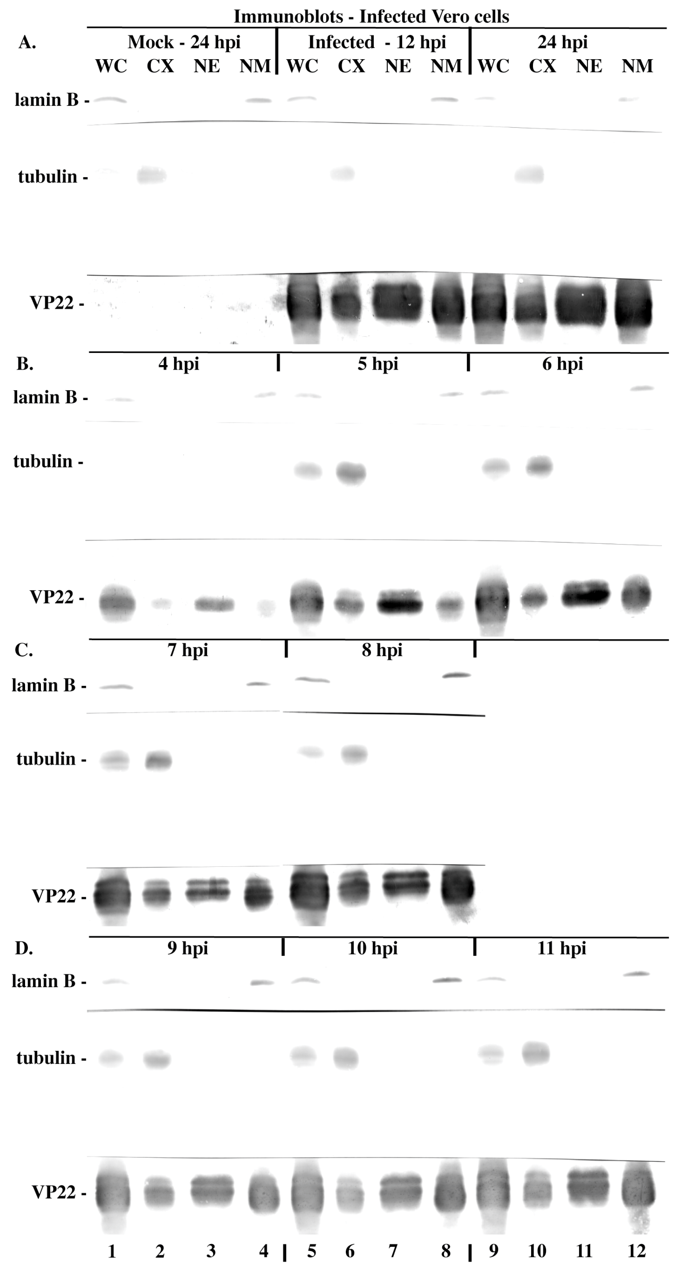
3.4. Nuclear Matrix Targeting of Fast Migrating VP22 during Synchronized Vero Cell Infection
3.5. Slow-Migrating VP22 Isoform Sensitivity to Phosphatase Treatment
4. Discussion
4.1. Incoming Virion-Derived VP22 Targets the Nuclear Matrix
4.2. Slow-Migrating Isoforms of VP22 Are Sensitive to Phosphatase Treatment
4.3. Incoming VP22 Associates with Chromatin
5. Conclusions
5.1. The Most Important Question Remaining Is what Is the Function of this Early Association of VP22 with Chromatin
5.2. Modified Model of VP22 Function during Productive HSV-1 Infection
Author Contributions
Funding
Institutional Review Board Statement
Informed Consent Statement
Data Availability Statement
Acknowledgments
Conflicts of Interest
References
- Roizman, B.; Knipe, D.M.; Whitley, R.J. Herpes Simplex Viruses. In Virology; Knipe, D.M., Howley, P.M., Eds.; Lippincott-Raven: Philadelphia, PA, USA, 2007; pp. 2501–2602. [Google Scholar]
- Howley, P.M.; Knipe, D.M.; Damania, B.A.; Cohen, J.I. (Eds.) Herpes Simplex Viruses: Mechanisms of Lytic and Latent Infection. In Fields Virology: DNA Viruses; Wolters Kluwer: Baltimore, MD, USA, 2021; pp. 235–296. [Google Scholar]
- Honess, R.W.; Roizman, B. Regulation of Herpesvirus Macromolecular Synthesis I. Cascade Regulation of the Synthesis of Three Groups of Viral Proteins. J. Virol. 1974, 14, 8–19. [Google Scholar] [CrossRef]
- Honess, R.W.; Roizman, B. Regulation of herpesvirus macromolecular synthesis: Sequential transition of polypeptide synthesis requires functional viral polypeptides. Proc. Natl. Acad. Sci. USA 1975, 72, 1276–1280. [Google Scholar] [CrossRef]
- Batterson, W.; Roizman, B. Characterization of the herpes simplex virion-associated factor responsible for the induction of alpha genes. J. Virol. 1983, 46, 371–377. [Google Scholar] [CrossRef]
- Costanzo, F.; Campadelli-Fiume, G.; Foa-Tomasi, L.; Cassai, E. Evidence that herpes simplex virus DNA is transcribed by cellular RNA polymerase B. J. Virol. 1977, 21, 996–1001. [Google Scholar] [CrossRef] [PubMed]
- O’Hare, P.; Hayward, G.S. Comparison of upstream sequence requirements for positive and negative regulation of a herpes simplex virus immediate-early gene by three virus-encoded trans-acting factors. J. Virol. 1987, 61, 190–199. [Google Scholar] [CrossRef] [PubMed]
- Campbell, M.E.; Palfreyman, J.W.; Preston, C.M. Identification of herpes simplex virus DNA sequences which encode a trans-acting polypeptide responsible for stimulation of immediate early transcription. J. Mol. Biol. 1984, 180, 1–19. [Google Scholar] [CrossRef] [PubMed]
- DeLuca, N.A.; McCarthy, A.M.; A Schaffer, P. Isolation and characterization of deletion mutants of herpes simplex virus type 1 in the gene encoding immediate-early regulatory protein ICP4. J. Virol. 1985, 56, 558–570. [Google Scholar] [CrossRef] [PubMed]
- DeLuca, N.A.; Schaffer, P.A. Activation of immediate-early, early, and late promoters by temperature- sensitive and wild-type forms of herpes simplex virus type 1 protein ICP4. Mol. Cell Biol. 1985, 5, 1997–2008. [Google Scholar] [PubMed]
- Albright, A.G.; Jenkins, F.J. The herpes simplex virus UL37 protein is phosphorylated in infected cells. J. Virol. 1993, 67, 4842–4847. [Google Scholar] [CrossRef] [PubMed]
- Chang, Y.E.; Van Sant, C.; Krug, P.W.; Sears, A.E.; Roizman, B. The null mutant of the U(L)31 gene of herpes simplex virus 1: Construction and phenotype in infected cells. J. Virol. 1997, 71, 8307–8315. [Google Scholar] [CrossRef]
- Daikoku, T.; Nishiyama, Y.; Yamada, H.; Goshima, F.; Ikenoya, K. Identification and characterization of the herpes simplex virus type 1 UL51 gene product. J. Gen. Virol. 1998, 79 Pt 12, 3027–3031. [Google Scholar] [CrossRef][Green Version]
- Daikoku, T.; Shibata, S.; Goshima, F.; Oshima, S.; Tsurumi, T.; Yamada, H.; Yamashita, Y.; Nishiyama, Y. Purification and Characterization of the Protein Kinase Encoded by the UL13 Gene of Herpes Simplex Virus Type 2. Virology 1997, 235, 82–93. [Google Scholar] [CrossRef]
- Cunningham, C.; Davison, A.J.; MacLean, A.R.; Taus, N.S.; Baines, J.D. Herpes Simplex Virus Type 1 Gene UL14: Phenotype of a Null Mutant and Identification of the Encoded Protein. J. Virol. 2000, 74, 33–41. [Google Scholar] [CrossRef] [PubMed]
- MacLean, C.A.; Rixon, F.J.; Marsden, H.S. The Products of Gene US11 of Herpes Simplex Virus Type 1 Are DNA-binding and Localize to the Nucleoli of Infected Cells. J. Gen. Virol. 1987, 68 Pt 7, 1921–1937. [Google Scholar] [CrossRef] [PubMed]
- Morrison, E.E.; Wang, Y.F.; Meredith, D.M.; Stevenson, A.J. Differences in the intracellular localization and fate of herpes simplex virus tegument proteins early in the infection of Vero cells. J. Gen. Virol. 1998, 79 Pt 10, 2517–2528. [Google Scholar] [CrossRef] [PubMed]
- Pomeranz, L.E.; Blaho, J.A. Modified VP22 Localizes to the Cell Nucleus during Synchronized Herpes Simplex Virus Type 1 Infection. J. Virol. 1999, 73, 6769–6781. [Google Scholar] [CrossRef]
- Taus, N.S.; Salmon, B.; Baines, J.D. The Herpes Simplex Virus 1 UL17 Gene Is Required for Localization of Capsids and Major and Minor Capsid Proteins to Intranuclear Sites Where Viral DNA Is Cleaved and Packaged. Virology 1998, 252, 115–125. [Google Scholar] [CrossRef] [PubMed]
- Enquist, L.W.; Husak, P.J.; Banfield, B.W.; Smith, G.A. Infection and spread of alphaherpesviruses in the nervous system. Adv. Virus Res. 1998, 51, 237–347. [Google Scholar] [PubMed]
- Mettenleiter, T.C. Herpesvirus assembly and egress. J. Virol. 2002, 76, 1537–1547. [Google Scholar] [CrossRef]
- Mettenleiter, T.C. Budding events in herpesvirus morphogenesis. Virus Res. 2004, 106, 167–180. [Google Scholar] [CrossRef]
- Browne, H.; Bell, S.; Minson, T.; Wilson, D.W. An endoplasmic reticulum-retained herpes simplex virus glycoprotein H is absent from secreted virions: Evidence for reenvelopment during egress. J. Virol. 1996, 70, 4311–4316. [Google Scholar] [CrossRef] [PubMed]
- Gershon, A.A.; Sherman, D.L.; Zhu, Z.; Gabel, C.A.; Ambron, R.T.; Gershon, M.D. Intracellular transport of newly synthesized varicella-zoster virus: Final envelopment in the trans-Golgi network. J. Virol. 1994, 68, 6372–6390. [Google Scholar] [CrossRef]
- Granzow, H.; Weiland, F.; Jöns, A.; Klupp, B.G.; Karger, A.; Mettenleiter, T.C. Ultrastructural analysis of the replication cycle of pseudorabies virus in cell culture: A reassessment. J. Virol. 1997, 71, 2072–2082. [Google Scholar] [CrossRef] [PubMed]
- Whiteley, A.; Bruun, B.; Minson, T.; Browne, H. Effects of Targeting Herpes Simplex Virus Type 1 gD to the Endoplasmic Reticulum and trans -Golgi Network. J. Virol. 1999, 73, 9515–9520. [Google Scholar] [CrossRef]
- Roller, R.J.; Baines, J.D. Herpesvirus Nuclear Egress. Adv. Anat. Embryol. Cell Biol. 2017, 223, 143–169. [Google Scholar]
- Johnson, D.C.; Baines, J.D. Herpesviruses remodel host membranes for virus egress. Nat. Rev. Microbiol. 2011, 9, 382–394. [Google Scholar] [CrossRef]
- Heine, J.W.; Honess, R.W.; Cassai, E.; Roizman, B. Proteins Specified by Herpes Simplex Virus XII. The Virion Polypeptides of Type 1 Strains. J. Virol. 1974, 14, 640–651. [Google Scholar] [CrossRef] [PubMed]
- Wu, L.; Cheng, A.; Wang, M.; Jia, R.; Yang, Q.; Wu, Y.; Zhu, D.; Zhao, X.; Chen, S.; Liu, M.; et al. Alphaherpesvirus Major Tegument Protein VP22: Its Precise Function in the Viral Life Cycle. Front. Microbiol. 2020, 11, 1908. [Google Scholar] [CrossRef]
- Duffy, C.; Lavail, J.H.; Tauscher, A.N.; Wills, E.G.; Blaho, J.A.; Baines, J.D. Characterization of a UL49-null mutant: VP22 of herpes simplex virus type 1 facilitates viral spread in cultured cells and the mouse cornea. J. Virol. 2006, 80, 8664–8675. [Google Scholar] [CrossRef]
- Pomeranz, L.E.; Blaho, J.A. Assembly of Infectious Herpes Simplex Virus Type 1 Virions in the Absence of Full-Length VP22. J. Virol. 2000, 74, 10041–10054. [Google Scholar] [CrossRef]
- Farnsworth, A.; Wisner, T.W.; Johnson, D.C. Cytoplasmic Residues of Herpes Simplex Virus Glycoprotein gE Required for Secondary Envelopment and Binding of Tegument Proteins VP22 and UL11 to gE and gD. J. Virol. 2007, 81, 319–331. [Google Scholar] [CrossRef] [PubMed]
- Brignati, M.J.; Loomis, J.S.; Wills, J.W.; Courtney, R.J. Membrane Association of VP22, a Herpes Simplex Virus Type 1 Tegument Protein. J. Virol. 2003, 77, 4888–4898. [Google Scholar] [CrossRef][Green Version]
- O’Regan, K.J.; Murphy, M.A.; Bucks, M.A.; Wills, J.W.; Courtney, R.J. Incorporation of the herpes simplex virus type 1 tegument protein VP22 into the virus particle is independent of interaction with VP16. Virology 2007, 369, 263–280. [Google Scholar] [CrossRef]
- Chi, J.H.I.; Harley, C.A.; Mukhopadhyay, A.; Wilson, D.W. The cytoplasmic tail of herpes simplex virus envelope glycoprotein D binds to the tegument protein VP22 and to capsids. J. Gen. Virol. 2005, 86 Pt 2, 253–261. [Google Scholar] [CrossRef]
- Taddeo, B.; Sciortino, M.T.; Zhang, W.; Roizman, B. Interaction of herpes simplex virus RNase with VP16 and VP22 is required for the accumulation of the protein but not for accumulation of mRNA. Proc. Natl. Acad. Sci. USA 2007, 104, 12163–12168. [Google Scholar] [CrossRef] [PubMed]
- Elliott, G.; Mouzakitis, G.; O’Hare, P. VP16 interacts via its activation domain with VP22, a tegument protein of herpes simplex virus, and is relocated to a novel macromolecular assembly in coexpressing cells. J. Virol. 1995, 69, 7932–7941. [Google Scholar] [CrossRef] [PubMed]
- Mouzakitis, G.; McLauchlan, J.; Barreca, C.; Kueltzo, L.; O’Hare, P. Characterization of VP22 in herpes simplex virus-infected cells. J. Virol. 2005, 79, 12185–12198. [Google Scholar] [CrossRef][Green Version]
- Duffy, C.; Mbong, E.F.; Baines, J.D. VP22 of herpes simplex virus 1 promotes protein synthesis at late times in infection and accumulation of a subset of viral mRNAs at early times in infection. J. Virol. 2009, 83, 1009–1017. [Google Scholar] [CrossRef]
- Vink, E.I.; Andrews, J.; Duffy, C.; Mohr, I. Preventing translational inhibition from ribosomal protein insufficiency by a herpes simplex virus-encoded ribosome-associated protein. Proc. Natl. Acad. Sci. USA 2021, 118, e2025546118. [Google Scholar] [CrossRef]
- Pheasant, K.; Möller-Levet, C.S.; Jones, J.; Depledge, D.; Breuer, J.; Elliott, G. Nuclear-cytoplasmic compartmentalization of the herpes simplex virus 1 infected cell transcriptome is co-ordinated by the viral endoribonuclease vhs and cofactors to facilitate the translation of late proteins. PLOS Pathog. 2018, 14, e1007331. [Google Scholar] [CrossRef]
- Maruzuru, Y.; Koyanagi, N.; Kato, A.; Kawaguchi, Y. Role of the DNA Binding Activity of Herpes Simplex Virus 1 VP22 in Evading AIM2-Dependent Inflammasome Activation Induced by the Virus. J. Virol. 2021, 95, e02172-20. [Google Scholar] [CrossRef] [PubMed]
- Liu, J.; Gallo, R.M.; Duffy, C.; Brutkiewicz, R.R. A VP22-Null HSV-1 Is Impaired in Inhibiting CD1d-Mediated Antigen Presentation. Viral Immunol. 2016, 29, 409–416. [Google Scholar] [CrossRef]
- Huang, J.; You, H.; Su, C.; Li, Y.; Chen, S.; Zheng, C. Herpes Simplex Virus 1 Tegument Protein VP22 Abrogates cGAS/STING-Mediated Antiviral Innate Immunity. J. Virol. 2018, 92, e00841-18. [Google Scholar] [CrossRef] [PubMed]
- Xu, G.; Liu, C.; Zhou, S.; Li, Q.; Feng, Y.; Sun, P.; Feng, H.; Gao, Y.; Zhu, J.; Luo, X.; et al. Viral tegument proteins restrict cGAS-DNA phase separation to mediate immune evasion. Mol. Cell 2021, 81, 2823–2837.e9. [Google Scholar] [CrossRef] [PubMed]
- Kotsakis, A.; Pomeranz, L.E.; Blouin, A.; Blaho, J.A. Microtubule reorganization during herpes simplex virus type 1 infection facilitates the nuclear localization of VP22, a major virion tegument protein. J. Virol. 2001, 75, 8697–8711. [Google Scholar] [CrossRef] [PubMed]
- Elliott, G.; O’Hare, P. Cytoplasm-to-nucleus translocation of a herpesvirus tegument protein during cell division. J. Virol. 2000, 74, 2131–2141. [Google Scholar] [CrossRef] [PubMed][Green Version]
- Sugimoto, K.; Uema, M.; Sagara, H.; Tanaka, M.; Sata, T.; Hashimoto, Y.; Kawaguchi, Y. Simultaneous tracking of capsid, tegument, and envelope protein localization in living cells infected with triply fluorescent herpes simplex virus 1. J. Virol. 2008, 82, 5198–5211. [Google Scholar] [CrossRef] [PubMed]
- López, M.R.; Schlegel, E.F.; Wintersteller, S.; Blaho, J.A. The major tegument structural protein VP22 targets areas of dispersed nucleolin and marginalized chromatin during productive herpes simplex virus 1 infection. Virus. Res. 2008, 136, 175–188. [Google Scholar] [CrossRef]
- Sciortino, M.T.; Taddeo, B.; Poon, A.P.W.; Mastino, A.; Roizman, B. Of the three tegument proteins that package mRNA in herpes simplex virions, one (VP22) transports the mRNA to uninfected cells for expression prior to viral infection. Proc. Natl. Acad. Sci. USA 2002, 99, 8318–8323. [Google Scholar] [CrossRef]
- Nguyen, M.L.; Kraft, R.M.; Blaho, J.A. Susceptibility of cancer cells to herpes simplex virus-dependent apoptosis. J. Gen. Virol. 2007, 88 Pt 7, 1866–1875. [Google Scholar] [CrossRef]
- Nguyen, M.L.; Kraft, R.M.; Blaho, J.A. African green monkey kidney Vero cells require de novo protein synthesis for efficient herpes simplex virus 1-dependent apoptosis. Virology 2005, 336, 274–290. [Google Scholar] [CrossRef]
- Blaho, J.; Mitchell, C.; Roizman, B. Accurate transcription initiation by RNA polymerase II in a soluble extract from isolated mammalian nuclei. Nucleic Acids Res. 1983, 11, 1475–1489. [Google Scholar]
- Blaho, J.; Mitchell, C.; Roizman, B. An amino acid sequence shared by the herpes simplex virus 1 alpha regulatory proteins 0, 4, 22, and 27 predicts the nucleotidylylation of the UL21, UL31, UL47, and UL49 gene products. J. Biol. Chem. 1994, 269, 17401–17410. [Google Scholar] [CrossRef]
- Blaho, J.A.; Morton, E.R.; Yedowitz, J.C. Herpes simplex virus: Propagation, quantification, and storage. Curr. Protoc. Microbiol. 2005, 14E.1.1–14E.1.23. [Google Scholar] [CrossRef] [PubMed]
- Schlegel, E.F.; Blaho, J.A. A conserved carboxy-terminal domain in the major tegument structural protein VP22 facilitates virion packaging of a chimeric protein during productive herpes simplex virus 1 infection. Virology 2009, 387, 449–458. [Google Scholar] [CrossRef] [PubMed][Green Version]
- Geiss, B.J.; Tavis, J.E.; Metzger, L.M.; Leib, D.A.; Morrison, L.A. Temporal regulation of herpes simplex virus type 2 VP22 expression and phosphorylation. J. Virol. 2001, 75, 10721–10729. [Google Scholar] [CrossRef] [PubMed]
- Yedowitz, J.C.; Kotsakis, A.; Schlegel, E.F.; Blaho, J.A. Nuclear localizations of the herpes simplex virus type 1 tegument proteins VP13/14, vhs, and VP16 precede VP22-dependent microtubule reorganization and VP22 nuclear import. J. Virol. 2005, 79, 4730–4743. [Google Scholar] [CrossRef] [PubMed]
- Sanfilippo, C.M.; Blaho, J.A. The facts of death. Int. Rev. Immunol. 2003, 22, 327–340. [Google Scholar] [CrossRef] [PubMed]
- Ingvarsdottir, K.; Blaho, J.A. Role of viral chromatin structure in the regulation of herpes simplex virus 1 gene expression and replication. Futur. Microbiol. 2009, 4, 703–712. [Google Scholar] [CrossRef]
- Huang, J.; Kent, J.R.; Placek, B.; Whelan, K.A.; Hollow, C.M.; Zeng, P.-Y.; Fraser, N.W.; Berger, S.L. Trimethylation of histone H3 lysine 4 by Set1 in the lytic infection of human herpes simplex virus 1. J. Virol. 2006, 80, 5740–5746. [Google Scholar] [CrossRef] [PubMed]
- Elliott, G.; O’Hare, P. Intercellular trafficking and protein delivery by a herpesvirus structural protein. Cell 1997, 88, 223–233. [Google Scholar] [CrossRef] [PubMed]
- van Leeuwen, H.; Okuwaki, M.; Hong, R.; Chakravarti, D.; Nagata, K.; O’Hare, P. Herpes simplex virus type 1 tegument protein VP22 interacts with TAF-I proteins and inhibits nucleosome assembly but not regulation of histone acetylation by INHAT. J. Gen. Virol. 2003, 84 Pt 9, 2501–2510. [Google Scholar] [CrossRef] [PubMed]
- Ren, X.; Harms, J.S.; Splitter, G.A. Bovine herpesvirus 1 tegument protein VP22 interacts with histones, and the carboxyl terminus of VP22 is required for nuclear localization. J. Virol. 2001, 75, 8251–8258. [Google Scholar] [CrossRef] [PubMed]






Disclaimer/Publisher’s Note: The statements, opinions and data contained in all publications are solely those of the individual author(s) and contributor(s) and not of MDPI and/or the editor(s). MDPI and/or the editor(s) disclaim responsibility for any injury to people or property resulting from any ideas, methods, instructions or products referred to in the content. |
© 2024 by the authors. Licensee MDPI, Basel, Switzerland. This article is an open access article distributed under the terms and conditions of the Creative Commons Attribution (CC BY) license (https://creativecommons.org/licenses/by/4.0/).
Share and Cite
Chi, I.; Blaho, J.A. Major Virion Tegument Protein VP22 Targets Nuclear Matrix and Chromatin upon Entry into Cells during Productive Herpes Simplex Virus 1 Infection. Microorganisms 2024, 12, 521. https://doi.org/10.3390/microorganisms12030521
Chi I, Blaho JA. Major Virion Tegument Protein VP22 Targets Nuclear Matrix and Chromatin upon Entry into Cells during Productive Herpes Simplex Virus 1 Infection. Microorganisms. 2024; 12(3):521. https://doi.org/10.3390/microorganisms12030521
Chicago/Turabian StyleChi, Isabella, and John A. Blaho. 2024. "Major Virion Tegument Protein VP22 Targets Nuclear Matrix and Chromatin upon Entry into Cells during Productive Herpes Simplex Virus 1 Infection" Microorganisms 12, no. 3: 521. https://doi.org/10.3390/microorganisms12030521
APA StyleChi, I., & Blaho, J. A. (2024). Major Virion Tegument Protein VP22 Targets Nuclear Matrix and Chromatin upon Entry into Cells during Productive Herpes Simplex Virus 1 Infection. Microorganisms, 12(3), 521. https://doi.org/10.3390/microorganisms12030521
