Sequencing and Analysis of Wolbachia Strains from A and B Supergroups Detected in Sylvatic Mosquitoes from Brazil
Abstract
1. Introduction
2. Results
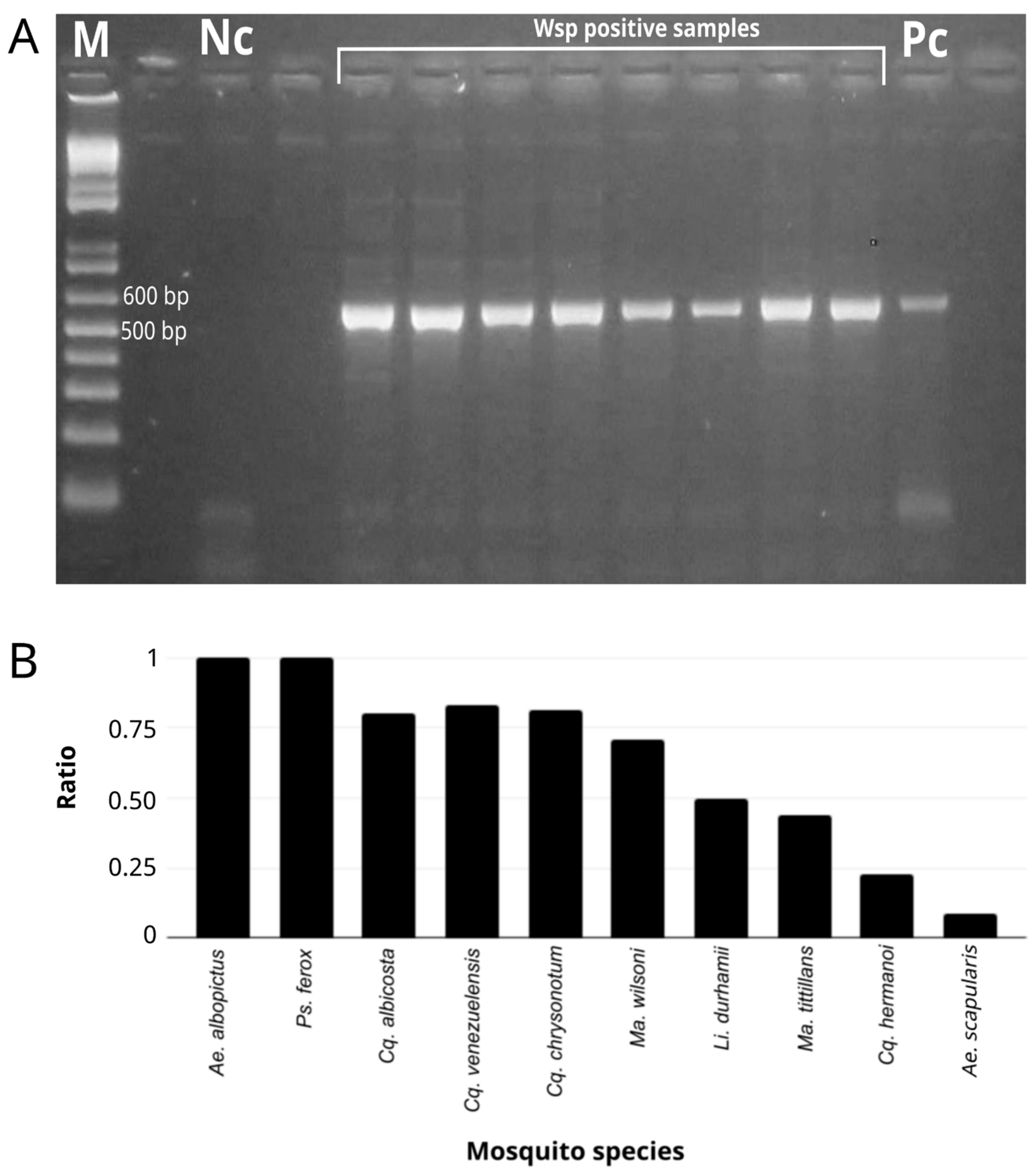
2.1. Wolbachia Screening in Mosquito Species
2.2. Wolbachia Sequencing
2.3. Wolbachia Supergroup Classification Through Phylogenetic Analysis
2.4. Phylogenetic Evidence for Inter-Species Transmission of Wolbachia among Hosts
3. Discussion
4. Conclusions
5. Methods
5.1. Study Area and Mosquito Collection
5.2. Mosquito Species Identification
5.3. Wolbachia Molecular Detection
5.4. Wsp and COI Sanger Sequencing and Quality Assessments
5.5. Wolbachia Genome Sequencing Through NGS and Quality Assessments
5.6. De Novo Assembly and Quality Assessment of Wolbachia Genomes
5.7. Identification of Wolbachia Marker Genes
5.8. Pangenomic Analysis of Wolbachia Supergroup A and B Using Roary
5.9. Construction of Wolbachia Databases for Evolutionary Analysis
5.10. Maximum Likelihood Phylogenetic Analysis of Wolbachia Based on Wsp and MLST Markers
Supplementary Materials
Author Contributions
Funding
Data Availability Statement
Acknowledgments
Conflicts of Interest
References
- Kaur, R.; Shropshire, J.D.; Cross, K.L.; Leigh, B.; Mansueto, A.J.; Stewart, V.; Bordenstein, S.R.; Bordenstein, S.R. Living in the Endosymbiotic World of Wolbachia: A Centennial Review. Cell Host Microbe 2021, 29, 879–893. [Google Scholar] [CrossRef] [PubMed]
- Taylor, M.J.; Bordenstein, S.R.; Slatko, B. Microbe Profile: Wolbachia: A Sex Selector, a Viral Protector and a Target to Treat Filarial Nematodes. Microbiology 2018, 164, 1345–1347. [Google Scholar] [CrossRef] [PubMed]
- Hertig, M.; Wolbach, S.B. Studies on Rickettsia-Like Micro-Organisms in Insects. J. Med. Res. 1924, 44, 329–374.7. [Google Scholar] [PubMed]
- Inácio da Silva, L.M.; Dezordi, F.Z.; Paiva, M.H.S.; Wallau, G.L. Systematic Review of Wolbachia Symbiont Detection in Mosquitoes: An Entangled Topic about Methodological Power and True Symbiosis. Pathogens 2021, 10, 39. [Google Scholar] [CrossRef] [PubMed]
- Clark, M. Wolbachia Symbiosis in Arthropods. In Wolbachia: A Bug’s Life in Another Bug; Karger Publishers: Basel, Switzerland, 2007; pp. 90–123. ISBN 9783805581806. [Google Scholar]
- Vandekerckhove, T.; Watteyne, S.; Bonne, W. Evolutionary Trends in Feminization and Intersexuality in Woodlice (Crustacea, Isopoda) Infected with Wolbachia Pipientis (alpha-Proteobacteria). Belg. J. Zool. 2003, 133, 61–69. [Google Scholar]
- Mioduchowska, M.; Konecka, E.; Gołdyn, B.; Pinceel, T.; Brendonck, L.; Lukić, D.; Kaczmarek, Ł.; Namiotko, T.; Zając, K.; Zając, T.; et al. Playing Peekaboo with a Master Manipulator: Metagenetic Detection and Phylogenetic Analysis of Wolbachia Supergroups in Freshwater Invertebrates. Int. J. Mol. Sci. 2023, 24, 9400. [Google Scholar] [CrossRef]
- Werren, J.H.; Baldo, L.; Clark, M.E. Wolbachia: Master Manipulators of Invertebrate Biology. Nat. Rev. Microbiol. 2008, 6, 741–751. [Google Scholar] [CrossRef]
- Atyame, C.M.; Delsuc, F.; Pasteur, N.; Weill, M.; Duron, O. Diversification of Wolbachia Endosymbiont in the Culex Pipiens Mosquito. Mol. Biol. Evol. 2011, 28, 2761–2772. [Google Scholar] [CrossRef]
- Nguyen, T.H.; Nguyen, H.L.; Nguyen, T.Y.; Vu, S.N.; Tran, N.D.; Le, T.N.; Vien, Q.M.; Bui, T.C.; Le, H.T.; Kutcher, S.; et al. Field Evaluation of the Establishment Potential of wMelPop Wolbachia in Australia and Vietnam for Dengue Control. Parasites Vectors 2015, 8, 563. [Google Scholar] [CrossRef]
- O’Neill, S.L.; Ryan, P.A.; Turley, A.P.; Wilson, G.; Retzki, K.; Iturbe-Ormaetxe, I.; Dong, Y.; Kenny, N.; Paton, C.J.; Ritchie, S.A.; et al. Scaled Deployment of Wolbachia to Protect the Community from Dengue and Other Aedes Transmitted Arboviruses. Gates Open Res. 2018, 2, 36. [Google Scholar] [CrossRef]
- Bian, G.; Xu, Y.; Lu, P.; Xie, Y.; Xi, Z. The Endosymbiotic Bacterium Wolbachia Induces Resistance to Dengue Virus in Aedes Aegypti. PLoS Pathog. 2010, 6, e1000833. [Google Scholar] [CrossRef] [PubMed]
- van den Hurk, A.F.; Hall-Mendelin, S.; Pyke, A.T.; Frentiu, F.D.; McElroy, K.; Day, A.; Higgs, S.; O’Neill, S.L. Impact of Wolbachia on Infection with Chikungunya and Yellow Fever Viruses in the Mosquito Vector Aedes Aegypti. PLoS Negl. Trop. Dis. 2012, 6, e1892. [Google Scholar] [CrossRef] [PubMed]
- Moreira, L.A.; Iturbe-Ormaetxe, I.; Jeffery, J.A.; Lu, G.; Pyke, A.T.; Hedges, L.M.; Rocha, B.C.; Hall-Mendelin, S.; Day, A.; Riegler, M.; et al. A Wolbachia Symbiont in Aedes Aegypti Limits Infection with Dengue, Chikungunya, and Plasmodium. Cell 2009, 139, 1268–1278. [Google Scholar] [CrossRef] [PubMed]
- Hussain, M.; Lu, G.; Torres, S.; Edmonds, J.H.; Kay, B.H.; Khromykh, A.A.; Asgari, S. Effect of Wolbachia on Replication of West Nile Virus in a Mosquito Cell Line and Adult Mosquitoes. J. Virol. 2013, 87, 851–858. [Google Scholar] [CrossRef] [PubMed]
- Nazni, W.A.; Hoffmann, A.A.; NoorAfizah, A.; Cheong, Y.L.; Mancini, M.V.; Golding, N.; Kamarul, G.M.R.; Arif, M.A.K.; Thohir, H.; NurSyamimi, H.; et al. Establishment of Wolbachia Strain wAlbB in Malaysian Populations of Aedes Aegypti for Dengue Control. Curr. Biol. 2019, 29, 4241–4248.e5. [Google Scholar] [CrossRef] [PubMed]
- Utarini, A.; Indriani, C.; Ahmad, R.A.; Tantowijoyo, W.; Arguni, E.; Ansari, M.R.; Supriyati, E.; Wardana, D.S.; Meitika, Y.; Ernesia, I.; et al. Efficacy of Wolbachia-Infected Mosquito Deployments for the Control of Dengue. N. Engl. J. Med. 2021, 384, 2177–2186. [Google Scholar] [CrossRef]
- Ross, P.A.; Callahan, A.G.; Yang, Q.; Jasper, M.; Arif, M.A.K.; Afizah, A.N.; Nazni, W.A.; Hoffmann, A.A. An Elusive Endosymbiont: Does Wolbachia Occur Naturally in Aedes Aegypti? Ecol. Evol. 2020, 10, 1581–1591. [Google Scholar] [CrossRef]
- Garcia, G.d.A.; Sylvestre, G.; Aguiar, R.; da Costa, G.B.; Martins, A.J.; Lima, J.B.P.; Petersen, M.T.; Lourenço-de-Oliveira, R.; Shadbolt, M.F.; Rašić, G.; et al. Matching the Genetics of Released and Local Aedes Aegypti Populations Is Critical to Assure Wolbachia Invasion. PLoS Negl. Trop. Dis. 2019, 13, e0007023. [Google Scholar] [CrossRef]
- Scholz, M.; Albanese, D.; Tuohy, K.; Donati, C.; Segata, N.; Rota-Stabelli, O. Large Scale Genome Reconstructions Illuminate Wolbachia Evolution. Nat. Commun. 2020, 11, 5235. [Google Scholar] [CrossRef]
- Hu, Y.; Xi, Z.; Liu, X.; Wang, J.; Guo, Y.; Ren, D.; Wu, H.; Wang, X.; Chen, B.; Liu, Q. Identification and Molecular Characterization of Wolbachia Strains in Natural Populations of Aedes albopictus in China. Parasites Vectors 2020, 13, 28. [Google Scholar] [CrossRef]
- Nugapola, N.W.N.P.; De Silva, W.A.P.P.; Karunaratne, S.H.P.P. Distribution and Phylogeny of Wolbachia Strains in Wild Mosquito Populations in Sri Lanka. Parasites Vectors 2017, 10, 230. [Google Scholar] [CrossRef] [PubMed]
- Gomes, T.M.F.F.; Wallau, G.L.; Loreto, E.L.S. Multiple Long-Range Host Shifts of Major Wolbachia Supergroups Infecting Arthropods. Sci. Rep. 2022, 12, 8131. [Google Scholar] [CrossRef] [PubMed]
- Kumar, S.; Suleski, M.; Craig, J.M.; Kasprowicz, A.E.; Sanderford, M.; Li, M.; Stecher, G.; Hedges, S.B. TimeTree 5: An Expanded Resource for Species Divergence Times. Mol. Biol. Evol. 2022, 39, msac174. [Google Scholar] [CrossRef] [PubMed]
- da Silva, A.F.; Machado, L.C.; de Paula, M.B.; da Silva Pessoa Vieira, C.J.; de Morais Bronzoni, R.V.; de Melo Santos, M.A.V.; Wallau, G.L. Culicidae Evolutionary History Focusing on the Culicinae Subfamily Based on Mitochondrial Phylogenomics. Sci. Rep. 2020, 10, 18823. [Google Scholar] [CrossRef] [PubMed]
- Tantowijoyo, W.; Andari, B.; Arguni, E.; Budiwati, N.; Nurhayati, I.; Fitriana, I.; Ernesia, I.; Daniwijaya, E.W.; Supriyati, E.; Yusdiana, D.H.; et al. Stable Establishment of wMel Wolbachia in Aedes Aegypti Populations in Yogyakarta, Indonesia. PLoS Negl. Trop. Dis. 2020, 14, e0008157. [Google Scholar] [CrossRef] [PubMed]
- Indriani, C.; Tantowijoyo, W.; Rancès, E.; Andari, B.; Prabowo, E.; Yusdi, D.; Ansari, M.R.; Wardana, D.S.; Supriyati, E.; Nurhayati, I.; et al. Reduced Dengue Incidence Following Deployments of Wolbachia-Infected Aedes Aegypti in Yogyakarta, Indonesia: A Quasi-Experimental Trial Using Controlled Interrupted Time Series Analysis. Gates Open Res. 2020, 4, 50. [Google Scholar] [CrossRef]
- Ribeiro Dos Santos, G.; Durovni, B.; Saraceni, V.; Souza Riback, T.I.; Pinto, S.B.; Anders, K.L.; Moreira, L.A.; Salje, H. Estimating the Effect of the wMel Release Programme on the Incidence of Dengue and Chikungunya in Rio de Janeiro, Brazil: A Spatiotemporal Modelling Study. Lancet Infect. Dis. 2022, 22, 1587–1595. [Google Scholar] [CrossRef]
- Durovni, B.; Saraceni, V.; Eppinghaus, A.; Riback, T.I.S.; Moreira, L.A.; Jewell, N.P.; Dufault, S.M.; O’Neill, S.L.; Simmons, C.P.; Tanamas, S.K.; et al. The Impact of Large-Scale Deployment of Wolbachia Mosquitoes on Dengue and Other Aedes-Borne Diseases in Rio de Janeiro and Niterói, Brazil: Study Protocol for a Controlled Interrupted Time Series Analysis Using Routine Disease Surveillance Data. F1000Research 2019, 8, 1328. [Google Scholar] [CrossRef]
- Pavan, M.G.; Garcia, G.A.; David, M.R.; Maciel-de-Freitas, R. The Double-Edged Sword Effect of Expanding Wolbachia Deployment in Dengue Endemic Settings. Lancet Reg. Health Am. 2023, 27, 100610. [Google Scholar] [CrossRef]
- Crawford, J.E.; Clarke, D.W.; Criswell, V.; Desnoyer, M.; Cornel, D.; Deegan, B.; Gong, K.; Hopkins, K.C.; Howell, P.; Hyde, J.S.; et al. Efficient Production of Male Wolbachia-Infected Aedes Aegypti Mosquitoes Enables Large-Scale Suppression of Wild Populations. Nat. Biotechnol. 2020, 38, 482–492. [Google Scholar] [CrossRef]
- Zheng, X.; Zhang, D.; Li, Y.; Yang, C.; Wu, Y.; Liang, X.; Liang, Y.; Pan, X.; Hu, L.; Sun, Q.; et al. Incompatible and Sterile Insect Techniques Combined Eliminate Mosquitoes. Nature 2019, 572, 56–61. [Google Scholar] [CrossRef] [PubMed]
- Walsh, C.E.S.; Robert, M.A.; Christofferson, R.C. Observational Characterization of the Ecological and Environmental Features Associated with the Presence of Oropouche Virus and the Primary Vector Culicoides Paraenesis: Data Synthesis and Systematic Review. Trop. Med. Infect. Dis. 2021, 6, 143. [Google Scholar] [CrossRef] [PubMed]
- Zhou, W.; Rousset, F.; O’Neil, S. Phylogeny and PCR-Based Classification of Wolbachia Strains Using Wsp Gene Sequences. Proc. Biol. Sci. 1998, 265, 509–515. [Google Scholar] [CrossRef] [PubMed]
- Baldo, L.; Dunning Hotopp, J.C.; Jolley, K.A.; Bordenstein, S.R.; Biber, S.A.; Choudhury, R.R.; Hayashi, C.; Maiden, M.C.J.; Tettelin, H.; Werren, J.H. Multilocus Sequence Typing System for the Endosymbiont Wolbachia Pipientis. Appl. Environ. Microbiol. 2006, 72, 7098–7110. [Google Scholar] [CrossRef]
- Wijegunawardana, N.D.A.D.; Gunawardene, Y.I.N.S.; Abeyewickreme, W.; Chandrasena, T.G.A.N.; Thayanukul, P.; Kittayapong, P. Diversity of Wolbachia Infections in Sri Lankan Mosquitoes with a New Record of Wolbachia Supergroup B Infecting Aedes Aegypti Vector Populations. Sci. Rep. 2024, 14, 11966. [Google Scholar] [CrossRef]
- Kittayapong, P.; Baisley, K.J.; Baimai, V.; O’Neill, S.L. Distribution and Diversity of Wolbachia Infections in Southeast Asian Mosquitoes (Diptera: Culicidae). J. Med. Entomol. 2000, 37, 340–345. [Google Scholar] [CrossRef]
- Armbruster, P.; Damsky, W.E., Jr.; Giordano, R.; Birungi, J.; Munstermann, L.E.; Conn, J.E. Infection of New- and Old-World Aedes Albopictus (Diptera: Culicidae) by the Intracellular Parasite Wolbachia: Implications for Host Mitochondrial DNA Evolution. J. Med. Entomol. 2003, 40, 356–360. [Google Scholar] [CrossRef]
- Amraoui, F.; Ben Ayed, W.; Madec, Y.; Faraj, C.; Himmi, O.; Btissam, A.; Sarih, M.; Failloux, A.-B. Potential of Aedes Albopictus to Cause the Emergence of Arboviruses in Morocco. PLoS Negl. Trop. Dis. 2019, 13, e0006997. [Google Scholar] [CrossRef]
- Gratz, N.G. Critical Review of the Vector Status of Aedes Albopictus. Med. Vet. Entomol. 2004, 18, 215–227. [Google Scholar] [CrossRef]
- Wei, Y.; Wang, J.; Wei, Y.-H.; Song, Z.; Hu, K.; Chen, Y.; Zhou, G.; Zhong, D.; Zheng, X. Vector Competence for DENV-2 Among Aedes Albopictus (Diptera: Culicidae) Populations in China. Front. Cell. Infect. Microbiol. 2021, 11, 649975. [Google Scholar] [CrossRef]
- Morais, S.A.; de Almeida, F.; Suesdek, L.; Marrelli, M.T. Low Genetic Diversity in Wolbachia-Infected Culex Quinquefasciatus (Diptera: Culicidae) from Brazil and Argentina. Rev. Inst. Med. Trop. São Paulo 2012, 54, 325–329. [Google Scholar] [CrossRef] [PubMed]
- de Albuquerque, A.L.; de Albuquerque, A.L.; Magalhães, T.; Ayres, C.F.J. High Prevalence and Lack of Diversity of Wolbachia Pipientis in Aedes Albopictus Populations from Northeast Brazil. Memórias Inst. Oswaldo Cruz 2011, 106, 773–776. [Google Scholar] [CrossRef] [PubMed]
- de Oliveira, C.D.; Gonçalves, D.S.; Baton, L.A.; Shimabukuro, P.H.F.; Carvalho, F.D.; Moreira, L.A. Broader Prevalence of Wolbachia in Insects Including Potential Human Disease Vectors. Bull. Entomol. Res. 2015, 105, 305–315. [Google Scholar] [CrossRef] [PubMed]
- Vancaester, E.; Blaxter, M. Phylogenomic Analysis of Wolbachia Genomes from the Darwin Tree of Life Biodiversity Genomics Project. PLoS Biol. 2023, 21, e3001972. [Google Scholar] [CrossRef]
- Tseng, S.-P.; Wetterer, J.K.; Suarez, A.V.; Lee, C.-Y.; Yoshimura, T.; Shoemaker, D.; Yang, C.-C.S. Genetic Diversity and Wolbachia Infection Patterns in a Globally Distributed Invasive Ant. Front. Genet. 2019, 10, 838. [Google Scholar] [CrossRef]
- Porter, J.; Sullivan, W. The Cellular Lives of Wolbachia. Nat. Rev. Microbiol. 2023, 21, 750–766. [Google Scholar] [CrossRef]
- Turelli, M.; Cooper, B.S.; Richardson, K.M.; Ginsberg, P.S.; Peckenpaugh, B.; Antelope, C.X.; Kim, K.J.; May, M.R.; Abrieux, A.; Wilson, D.A.; et al. Rapid Global Spread of wRi-like Wolbachia across Multiple Drosophila. Curr. Biol. 2018, 28, 963–971.e8. [Google Scholar] [CrossRef]
- Yurchenko, A.A.; Masri, R.A.; Khrabrova, N.V.; Sibataev, A.K.; Fritz, M.L.; Sharakhova, M.V. Genomic Differentiation and Intercontinental Population Structure of Mosquito Vectors Culex Pipiens Pipiens and Culex Pipiens Molestus. Sci. Rep. 2020, 10, 7504. [Google Scholar] [CrossRef]
- Wu, M.; Sun, L.V.; Vamathevan, J.; Riegler, M.; Deboy, R.; Brownlie, J.C.; McGraw, E.A.; Martin, W.; Esser, C.; Ahmadinejad, N.; et al. Phylogenomics of the Reproductive Parasite Wolbachia Pipientis wMel: A Streamlined Genome Overrun by Mobile Genetic Elements. PLoS Biol. 2004, 2, E69. [Google Scholar] [CrossRef]
- Faddeeva-Vakhrusheva, A.; Kraaijeveld, K.; Derks, M.F.L.; Anvar, S.Y.; Agamennone, V.; Suring, W.; Kampfraath, A.A.; Ellers, J.; Le Ngoc, G.; van Gestel, C.A.M.; et al. Coping with Living in the Soil: The Genome of the Parthenogenetic Springtail Folsomia Candida. BMC Genom. 2017, 18, 493. [Google Scholar] [CrossRef]
- Balaji, S.; Jayachandran, S.; Prabagaran, S.R. Evidence for the Natural Occurrence of Wolbachia in Aedes Aegypti Mosquitoes. FEMS Microbiol. Lett. 2019, 366, fnz055. [Google Scholar] [CrossRef] [PubMed]
- Gloria-Soria, A.; Chiodo, T.G.; Powell, J.R. Lack of Evidence for Natural Wolbachia Infections in Aedes Aegypti (Diptera: Culicidae). J. Med. Entomol. 2018, 55, 1354–1356. [Google Scholar] [CrossRef]
- Bleidorn, C.; Gerth, M. A Critical Re-Evaluation of Multilocus Sequence Typing (MLST) Efforts in Wolbachia. FEMS Microbiol. Ecol. 2018, 94, fix163. [Google Scholar] [CrossRef] [PubMed]
- Rotraut, A.G.; de Oliveira, R.L. Principais Mosquitos de Importância Sanitária no Brasil; SciELO—Editora FIOCRUZ: Rio de Janeiro, Brazil, 1994; ISBN 9788575412909. [Google Scholar]
- Forattini, O.P. Culicidologia Médica: Identificação, Biologia. In Epidemiologia; Editora da Universidade de São Paulo: São Paulo, Brazil, 2002; Volume 2, p. 864. [Google Scholar]
- Paiva, M.H.S.; Barbosa, R.M.R.; Santos, S.A.; Silva, N.M.; Paula, M.B.; Ayres, C.F.J.; Leal, W.S. An Unsettling Explanation for the Failure of Skatole-Baited Ovitraps to Capture Culex Mosquitoes. Insect Sci. 2019, 26, 873–880. [Google Scholar] [CrossRef] [PubMed]
- Ratnasingham, S.; Hebert, P.D.N. Bold: The Barcode of Life Data System (http://www.barcodinglife.org). Mol. Ecol. Notes 2007, 7, 355–364. [Google Scholar] [CrossRef] [PubMed]
- Ewels, P.; Magnusson, M.; Lundin, S.; Käller, M. MultiQC: Summarize Analysis Results for Multiple Tools and Samples in a Single Report. Bioinformatics 2016, 32, 3047–3048. [Google Scholar] [CrossRef] [PubMed]
- Leggett, R.M.; Ramirez-Gonzalez, R.H.; Clavijo, B.J.; Waite, D.; Davey, R.P. Sequencing Quality Assessment Tools to Enable Data-Driven Informatics for High Throughput Genomics. Front. Genet. 2013, 4, 288. [Google Scholar] [CrossRef]
- Bolger, A.M.; Lohse, M.; Usadel, B. Trimmomatic: A Flexible Trimmer for Illumina Sequence Data. Bioinformatics 2014, 30, 2114–2120. [Google Scholar] [CrossRef]
- Li, D.; Liu, C.-M.; Luo, R.; Sadakane, K.; Lam, T.-W. MEGAHIT: An Ultra-Fast Single-Node Solution for Large and Complex Metagenomics Assembly via Succinct de Bruijn Graph. Bioinformatics 2015, 31, 1674–1676. [Google Scholar] [CrossRef]
- Altschul, S.F.; Gish, W.; Miller, W.; Myers, E.W.; Lipman, D.J. Basic Local Alignment Search Tool. J. Mol. Biol. 1990, 215, 403–410. [Google Scholar] [CrossRef]
- Manni, M.; Berkeley, M.R.; Seppey, M.; Simão, F.A.; Zdobnov, E.M. BUSCO Update: Novel and Streamlined Workflows along with Broader and Deeper Phylogenetic Coverage for Scoring of Eukaryotic, Prokaryotic, and Viral Genomes. Mol. Biol. Evol. 2021, 38, 4647–4654. [Google Scholar] [CrossRef] [PubMed]
- Seemann, T. Prokka: Rapid Prokaryotic Genome Annotation. Bioinformatics 2014, 30, 2068–2069. [Google Scholar] [CrossRef] [PubMed]
- Tamura, K.; Stecher, G.; Kumar, S. MEGA11: Molecular Evolutionary Genetics Analysis Version 11. Mol. Biol. Evol. 2021, 38, 3022–3027. [Google Scholar] [CrossRef] [PubMed]
- Page, A.J.; Cummins, C.A.; Hunt, M.; Wong, V.K.; Reuter, S.; Holden, M.T.G.; Fookes, M.; Falush, D.; Keane, J.A.; Parkhill, J. Roary: Rapid Large-Scale Prokaryote Pan Genome Analysis. Bioinformatics 2015, 31, 3691–3693. [Google Scholar] [CrossRef]
- Katoh, K.; Misawa, K.; Kuma, K.-I.; Miyata, T. MAFFT: A Novel Method for Rapid Multiple Sequence Alignment Based on Fast Fourier Transform. Nucleic Acids Res. 2002, 30, 3059–3066. [Google Scholar] [CrossRef]
- Dereeper, A.; Guignon, V.; Blanc, G.; Audic, S.; Buffet, S.; Chevenet, F.; Dufayard, J.-F.; Guindon, S.; Lefort, V.; Lescot, M.; et al. Phylogeny.fr: Robust Phylogenetic Analysis for the Non-Specialist. Nucleic Acids Res. 2008, 36, W465–W469. [Google Scholar] [CrossRef]
- Beliavskaia, A.; Tan, K.-K.; Sinha, A.; Husin, N.A.; Lim, F.S.; Loong, S.K.; Bell-Sakyi, L.; Carlow, C.K.S.; AbuBakar, S.; Darby, A.C.; et al. Metagenomics of Culture Isolates and Insect Tissue Illuminate the Evolution of Wolbachia, Rickettsia and Bartonella Symbionts in Ctenocephalides Spp. Fleas. Microb. Genom. 2023, 9, 001045. [Google Scholar] [CrossRef]
- Letunic, I.; Bork, P. Interactive Tree of Life (iTOL) v6: Recent Updates to the Phylogenetic Tree Display and Annotation Tool. Nucleic Acids Res. 2024, 52, W78–W82. [Google Scholar] [CrossRef]






| Genera | Species | Analyzed Samples * | PCR (wsp +) ** | Ratio |
|---|---|---|---|---|
| Aedes | Aedes (Stegomyia) albopictus (Skuse, 1895) | 32 | 32 | 1 |
| Aedes (Ochlerotatus) scapularis (Rondani, 1848) | 23 | 2 | 0.08 | |
| Coquillettidia | Coquillettidia (Rhynchotaenia) albicosta (Chagas, 1908) | 10 | 8 | 0.8 |
| Coquillettidia (Rhynchotaenia) chrysonotum (Peryassú, 1922) | 16 | 13 | 0.8 | |
| Coquillettidia (Rhynchotaenia) hermanoi (Lane and Coutinho, 1940) | 13 | 3 | 0.23 | |
| Coquillettidia (Rhynchotaenia) venezuelensis (Theobald, 1912) | 12 | 10 | 0.83 | |
| Limatus | Limatus durhamii (Theobald, 1901) | 12 | 6 | 0.5 |
| Mansonia | Mansonia (Mansonia) titillans (Walker, 1848) | 16 | 7 | 0.43 |
| Mansonia (Mansonia) wilsoni (Barreto and Coutinho, 1944) | 38 | 27 | 0.71 | |
| Psorophora | Psorophora (Janthinosoma) ferox (von Humboldt, 1819) | 23 | 23 | 1 |
| Total | 195 | 131 |
| Mosquito Species | Number of Sequences Generated Through Sanger Approach |
|---|---|
| Aedes albopictus | 8 |
| Coquillettidia albicosta | 5 |
| Coquillettidia chrysonotum | 11 |
| Coquillettidia hermanoi | 1 |
| Coquillettidia venezuelensis | 5 |
| Limatus durhamii | 5 |
| Mansonia titillans | 3 |
| Mansonia wilsoni | 5 |
| Species | Wolbachia PCR | Reads Before Trim | Reads After Trim | Total Contigs | Total Wolbachia Contigs | Wolbachia Total Bases | MMinimum Contig Length | AAverage CONTIG Length | MMaximum Contig Length |
|---|---|---|---|---|---|---|---|---|---|
| Cq. chrysonotum | Positive | 131.55 M | 127.79 M | 173.734 | 274 | 2.015.132 | 298 | 7.354.5 | 106.288 |
| Cq. venezuelensis | Positive | 124.85 M | 120.48 M | 211.472 | 544 | 1.652.906 | 282 | 3.038.4 | 29.155 |
| Li. durhamii | Positive | 112.90 M | 109.05 M | 623.089 | 134 | 1.217.071 | 364 | 9.082.6 | 36.824 |
| Ma. wilsoni | Positive | 119.98 M | 116.92 M | 89.101 | 620 | 1.850.184 | 361 | 2.984.2 | 16.068 |
| Ma. titillans | Positive | 127.54 M | 124.39 M | 84.751 | 135 | 1.463.211 | 435 | 10.838.6 | 95.249 |
| Ae. albopictus | Positive | 95.49 M | 91.48 M | 383.575 | 258 | 2.301.836 | 281 | 8.921.8 | 57.926 |
| Ae. argyrothorax | Not tested | 105.92 M | 101.66 M | 26.609 | 11 | 25.108 | 387 | 2.282.5 | 6.763 |
| Cx. quinquefasciatus | Not tested | 69.75 M | 67.54 M | 66.247 | 147 | 1.275.966 | 282 | 8.68 | 87.362 |
| Ae. aegypti | Not tested | 113.00 M | 108.99 M | 19.868 | 16 | 1.065.177 | 1.616 | 66.573.6 | 267.577 |
| Ma. wilsoni | Not tested | 412.41 M | 356.84 M | 51.828 | 466 | 949.711 | 345 | 2.038 | 12.847 |
| Cq. hermanoi | Not tested | 413.63 M | 344.45 M | 188.535 | 211 | 1.501.655 | 282 | 7.116.8 | 41.774 |
| Primer | Region | Sequence | Amplification Product Size (bp) | Reference |
|---|---|---|---|---|
| Wsp | Wolbachia surface protein: general for all strains | F: 5′-TGGTCCAATAAGTGATGAAGAAACTAGCTA-3′ R: 5′-AAAAATTAAACGCTACTCCAGCTTCTGCAC-3′ | 590–632 | Zhou; Rousset; O’neil, 1998 [34] |
Disclaimer/Publisher’s Note: The statements, opinions and data contained in all publications are solely those of the individual author(s) and contributor(s) and not of MDPI and/or the editor(s). MDPI and/or the editor(s) disclaim responsibility for any injury to people or property resulting from any ideas, methods, instructions or products referred to in the content. |
© 2024 by the authors. Licensee MDPI, Basel, Switzerland. This article is an open access article distributed under the terms and conditions of the Creative Commons Attribution (CC BY) license (https://creativecommons.org/licenses/by/4.0/).
Share and Cite
da Silva, L.M.I.; da Silva, J.I.; da Silva, A.F.; Dezordi, F.Z.; Machado, L.C.; Qin, S.; Fan, H.; Tong, Y.; Campos, T.d.L.; Paiva, M.H.S.; et al. Sequencing and Analysis of Wolbachia Strains from A and B Supergroups Detected in Sylvatic Mosquitoes from Brazil. Microorganisms 2024, 12, 2206. https://doi.org/10.3390/microorganisms12112206
da Silva LMI, da Silva JI, da Silva AF, Dezordi FZ, Machado LC, Qin S, Fan H, Tong Y, Campos TdL, Paiva MHS, et al. Sequencing and Analysis of Wolbachia Strains from A and B Supergroups Detected in Sylvatic Mosquitoes from Brazil. Microorganisms. 2024; 12(11):2206. https://doi.org/10.3390/microorganisms12112206
Chicago/Turabian Styleda Silva, Luísa Maria Inácio, José Irnaldo da Silva, Alexandre Freitas da Silva, Filipe Zimmer Dezordi, Lais Ceschini Machado, Si Qin, Hang Fan, Yigang Tong, Túlio de Lima Campos, Marcelo Henrique Santos Paiva, and et al. 2024. "Sequencing and Analysis of Wolbachia Strains from A and B Supergroups Detected in Sylvatic Mosquitoes from Brazil" Microorganisms 12, no. 11: 2206. https://doi.org/10.3390/microorganisms12112206
APA Styleda Silva, L. M. I., da Silva, J. I., da Silva, A. F., Dezordi, F. Z., Machado, L. C., Qin, S., Fan, H., Tong, Y., Campos, T. d. L., Paiva, M. H. S., & Wallau, G. L. (2024). Sequencing and Analysis of Wolbachia Strains from A and B Supergroups Detected in Sylvatic Mosquitoes from Brazil. Microorganisms, 12(11), 2206. https://doi.org/10.3390/microorganisms12112206

