Diagnostic Pathways of Leptospira spp. in Dogs with Kidney Injury
Abstract
1. Introduction
2. Materials and Methods
2.1. Case Selection and Criteria for Inclusion in the Study
2.2. Post Mortem Detection of Leptospirosis by Immunohistochemical Examination
2.3. Post Mortem Confirmation of Leptospirosis by PCR
2.4. Statistical Analysis
3. Results
3.1. Clinical and Epidemiological Outcome
3.2. Paraclinical Exams
3.3. Histopathological Examination
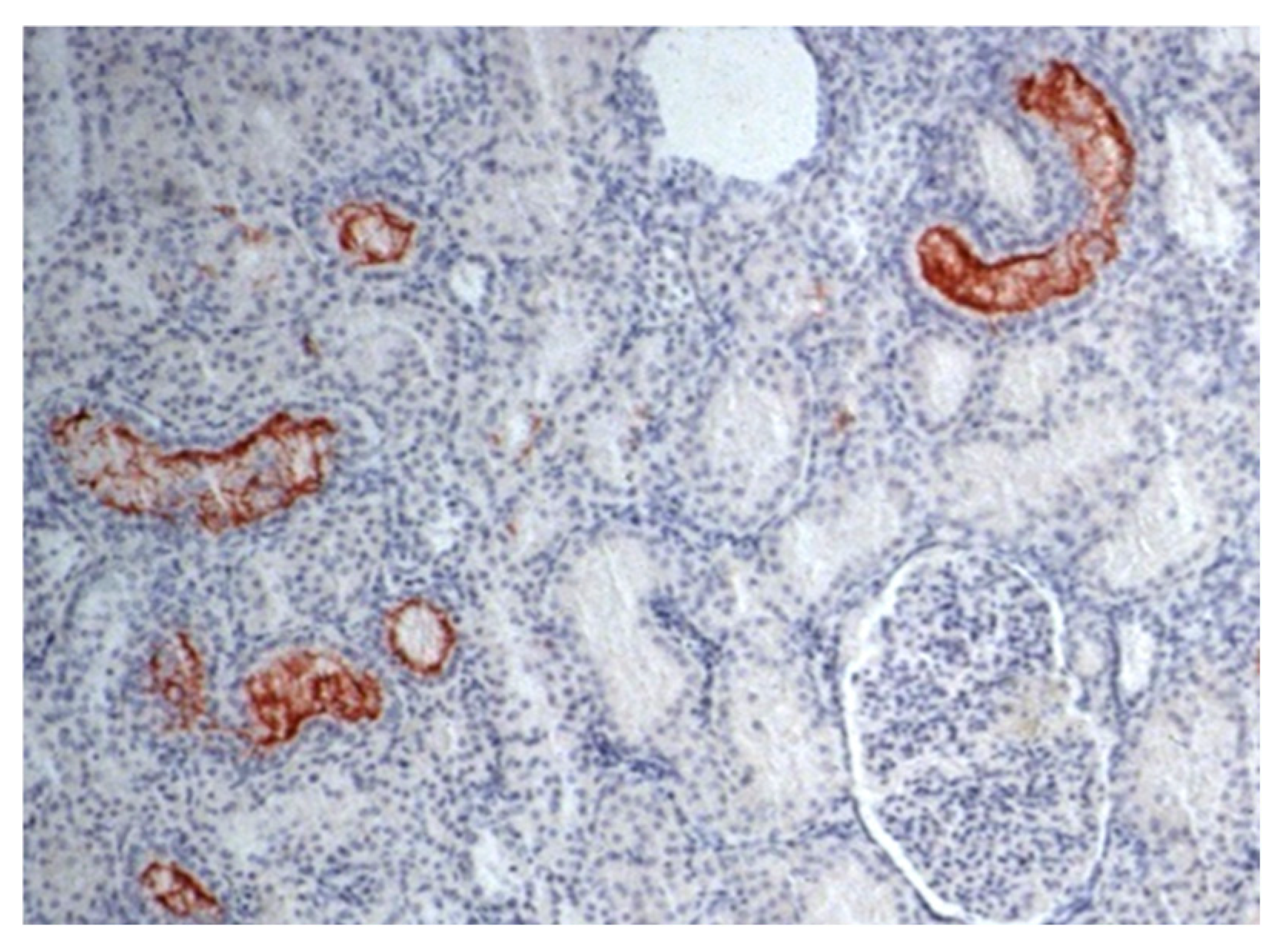
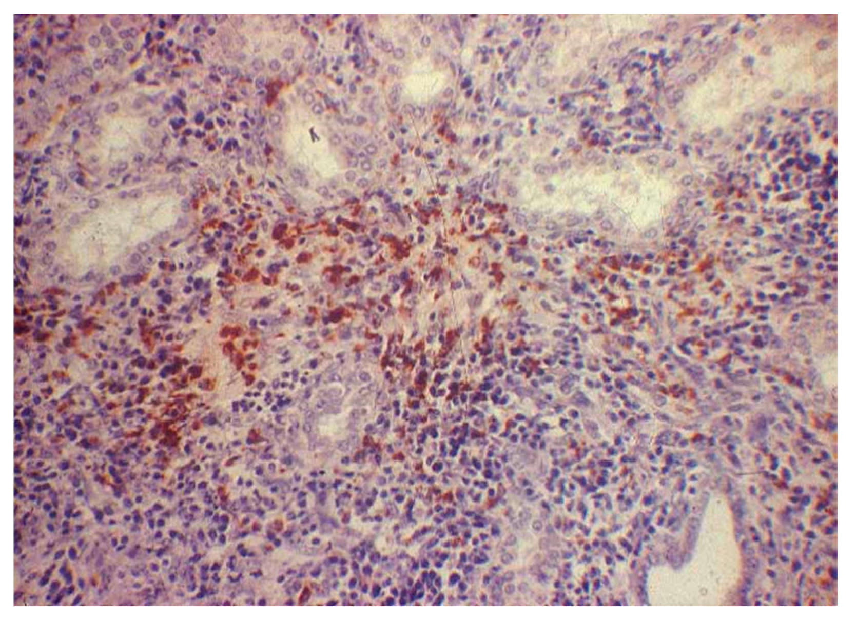
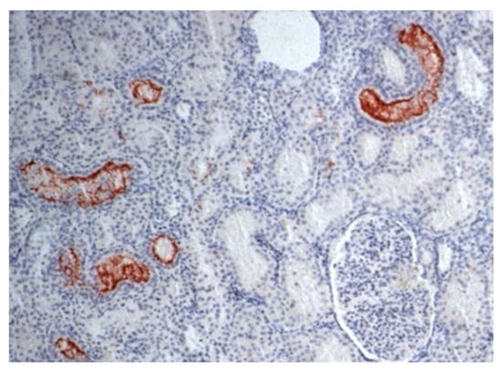
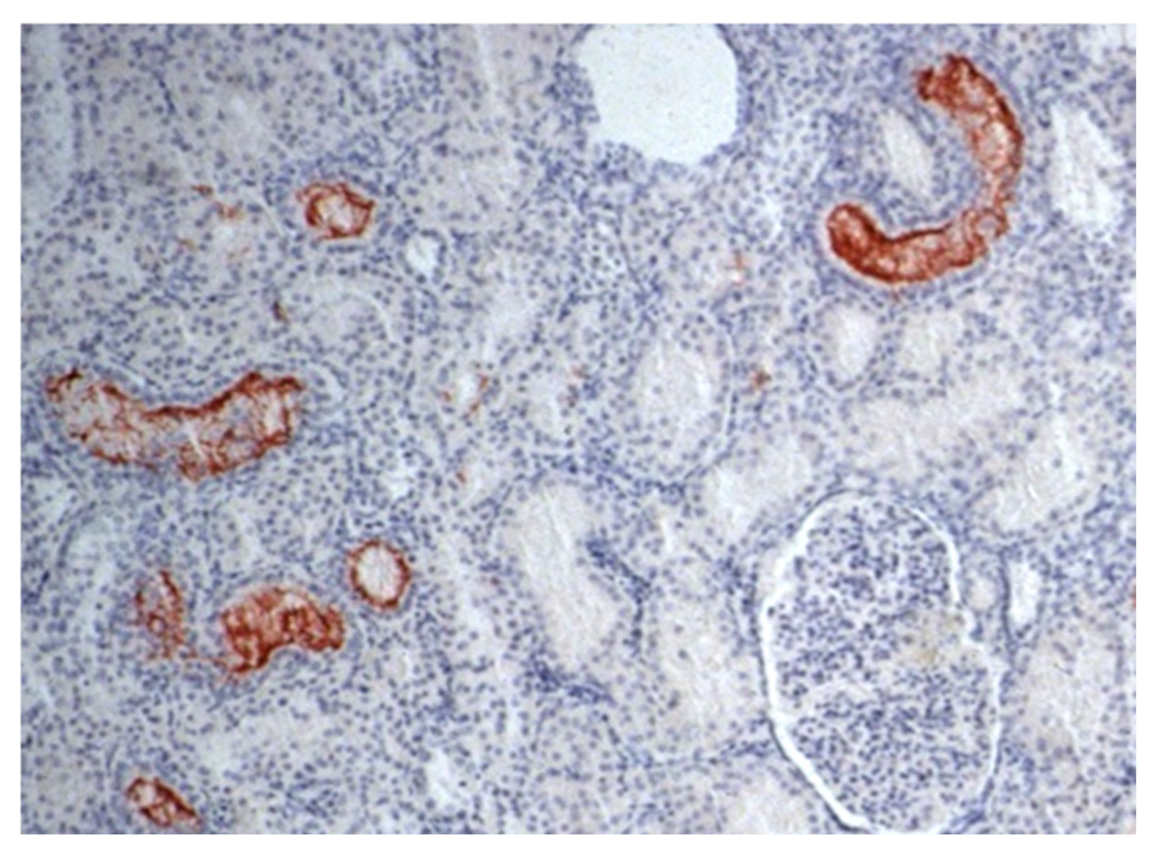
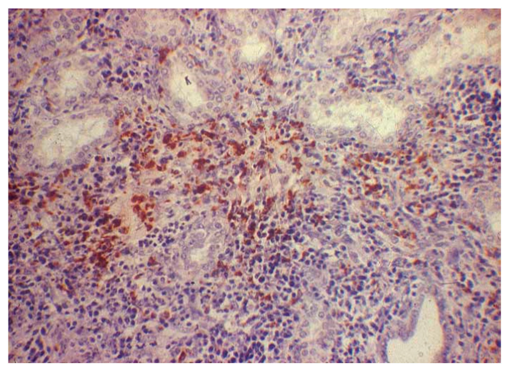
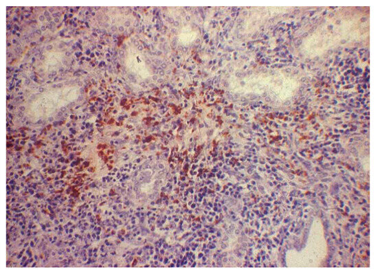
3.4. Immunohistochemical Examination
3.5. Diagnostic Confirmation by qPCR Analyses
4. Discussion
5. Conclusions
Author Contributions
Funding
Institutional Review Board Statement
Informed Consent Statement
Data Availability Statement
Acknowledgments
Conflicts of Interest
References
- Ross, L.; Jakowski, R.; Bolin, C.; Kiupel, M. Retrospective Immunohistochemical Detection of Leptospira in Dogs with Renal Pathology. Int. J. Appl. Res. Inveterinary Med. 2011, 9, 324. [Google Scholar]
- Monlux, A.W. The histopathology of nephritis of the dog. I. Introduction II. Inflammatory interstitial diseases. Am. Vet. Res. 1993, 14, 425–439. [Google Scholar]
- Sykes, J.E.; Hartmann, K.; Lunn, K.F.; Moore, G.E.; Stoddard, R.A.; Goldstein, R.E. ACVIM small animal consensus statement on leptospirosis: Diagnosis, epidemiology, treatment, and prevention. J. Vet. Intern. Med. 2010, 2011, 1–13. [Google Scholar]
- Sant’Anna da Costa, R.; Di Azevedo, M.I.N.; dos Santos Baptista Borges, A.L.; Aymée, L.; Martins, G.; Lilenbaum, W. Effect of vaccination against Leptospira on shelter asymptomatic dogs following a long-term study. Animals 2022, 12, 1788. [Google Scholar] [CrossRef]
- Miotto, B.A.; Guilloux, A.G.A.; Tozzi, B.F.; Moreno, L.Z.; da Hora, A.S.; Dias, R.A.; Hagiwara, M.K. Prospective study of canine leptospirosis in shelter and stray dog populations: Identification of chronic carriers and different Leptospira species infecting dogs. PLoS ONE 2018, 13, e0200384. [Google Scholar] [CrossRef]
- Boutilier, P.; Carr, A.; Schulman, R. Leptospirosis in dogs: A serologic survey and case series 1996 to 2001. Vet. Ther. 2003, 4, 178–187. [Google Scholar]
- Bolin, C.A. Diagnosis of leptospirosis: Are emerging disease of companion animals. Semin. Vet. Med. Surg. (Small Anim.) 1996, 11, 166–171. [Google Scholar] [CrossRef]
- Spangler, D.; Kis, D.; Beigel, B.; Morgan, J.; Gruszynski, K.; Naikare, H.; Nahar, V.; Coarsey, M.; Verma, V. Leptospiral shedding and seropositivity in shelter dogs in the Cumberland Gap Region of Southeastern Appalachia. PLoS ONE 2020, 15, e0228038. [Google Scholar] [CrossRef] [PubMed]
- Delaude, A.; Rodriguez-Campos, S.; Dreyfus, A.; Counotte, M.; Francey, T.; Schweighauser, A.; Lettry, S.; Schuller, S. Canineleptospirosis in Switzerland—A prospective cross-sectional study examining seroprevalence, risk factors and urinary shedding of pathogenic leptospires. Prev. Vet. Med. 2017, 141, 48–60. [Google Scholar] [CrossRef]
- Levett, P.N. Leptospirosis. Clin. Microbiol. Rev. 2001, 14, 296–326. [Google Scholar] [CrossRef]
- Neuman, J.P. Studies of canine leptospirosis I. Evaluation of laboratory diagnostic procedures. II. Serologic determination of the incidence of latent infection in the Lansing, Michiganarea. Am. J. Vet. Res. 1950, 11, 405–411. [Google Scholar]
- Wild, C.J.; Greenlee, J.J.; Bolin, C.A.; Barnett, J.K.; Haake, A.D.; Cheville, N.F. An improved immunohistochemical diagnostic technique for canine leptospirosis using antileptospiral antibodies on renal tissue. J. Vet. Diagn. Investig. 2002, 14, 20–24. [Google Scholar] [CrossRef]
- Harkin, K.R.; Gartrell, C.L. Canine leptospirosis in New Jersey and Michigan: 17 cases (1990–1995). J. Am. Anim. Hosp. Assoc. 1996, 32, 495–501. [Google Scholar] [CrossRef]
- Goldstein, R.E.; Lin, R.C.; Langston, C.E.; Scrivani, P.V.; Erb, H.N.; Barr, S.C. Influence of infecting serogroup on clinical features of leptospirosis in dogs. J. Vet. Intern. Med. 2006, 20, 489–494. [Google Scholar] [CrossRef] [PubMed]
- Prescott, J.F.; McEwen, B.; Taylor, J.; Woods, J.P.; Abrams-Ogg, A.; Wilcock, B. Resurgence of leptospirosis in dogs in Ontario: Recent findings. Can. Vet. J. 2002, 43, 955–961. [Google Scholar]
- Saki, S.R.; Shieh, W.J. Leptospirosis associated with outbreak of acute febrile illness and pulmonary haemorrhage in Nicaragua, 1995. Lancet 1996, 347, 535–536. [Google Scholar]
- Ward, M.P.; Glickman, L.T.; Guptill, L.F. Prevalence of and risk factors for leptospirosis among dogs in the United States and Canada: 677 cases (1970–1998). J. Am. Vet. Med. Assoc. 2002, 220, 53–58. [Google Scholar] [CrossRef]
- Scanziani, E.; Luini, M.; Fabbi, M.; Pizzocaro, P. Comparison between specific immunoperoxidase staining and bacteriological culture in the diagnosis of renal leptospirosis of pigs. Res. Vet. Sci. 1991, 50, 229–232. [Google Scholar] [CrossRef]
- Sykes, J.E.; Francey, T.; Schuller, S.; Stoddard, R.A.; Cowgill, L.D.; Moore, G.E. Updated ACVIM consensus statement on leptospirosis in dogs. J. Vet. Intern. Med. 2023, 37, 1966–1982. [Google Scholar] [CrossRef]
- Premarathne, S.S.; Gamage, C.; Chandrajith, R.; Ratnatunge, N.V.; Wijetunge, S.; Wazil, A.; Nanayakkara, N. Leptospirosis: A potential culprit for chronic kidney disease of uncertain etiology. Nephron 2023, 147, 510–520. [Google Scholar] [CrossRef]
- Mcintyre, W.; Montgomery, G.L. Renal lesions in Leptospira canicola infection in dogs. J. Pathol. Bacteriol. 1992, 64, 145–160. [Google Scholar] [CrossRef] [PubMed]
- Martin, P.L.; Stanchi, N.O.; Brihuega, B.F.; Bonzo, E.; Galli, L.; Arauz, M.S. Diagnosis of canine leptospirosis: Evaluation of two PCR assays in comparison with the microagglutination test. Pesqui. Veterinária Bras. 2019, 39, 255–262. [Google Scholar] [CrossRef]
- Musso, D.; LaScola, B. Laboratory diagnosis of leptospirosis: A challenge. J. Microbiol. Immunol. Infect. 2013, 46, 245. [Google Scholar] [CrossRef] [PubMed]
- Fink, J.; Moore, G.; Landau, R.; Vemulapalli, R. Evaluation of three 5′exonuclease–based real-time polymerase chain reaction assays for detection of pathogenic Leptospira species in canine urine. J. Vet. Diag. Investig. 2015, 27, 159–166. [Google Scholar] [CrossRef]
- Flores, B.; Escobar, K.; Múzquiz, J.; Sheleby Ora, B.; Roue, Q.E.; Jirón, W. Detection of pathogenic leptospires in water and soil in areas endemic to leptospirosis in Nicaragua. Trop. Med. Infect. Dis. 2020, 5, 149. [Google Scholar] [CrossRef]
- Miotto, B.; Hora, A.; Taniwaki, S.; Brandão, P.; Heinemann, M.; Hagiwara, M. Development and validation of a modified taqman based real-time PCR assay targeting the lipl32 gene for detection of pathogenic Leptospira in canine urine samples. Braz. J. Microbiol. 2018, 49, 584–590. [Google Scholar] [CrossRef]
- Sripattanakul, S.; Prapong, T.; Kamlangdee, A.; Katzenmeier, G.; Haltrich, D.; Hongprayoon, R.; Prapong, S. Leptospira borgpetersenii Leucine-Rich Repe at Proteins and Derived Peptides in an Indirect ELISA Development for the Diagnosis of Canine Leptospiral Infections. Trop. Med. Infect. Dis. 2022, 7, 311. [Google Scholar] [CrossRef]
- Cilia, G.; Bertelloni, F.; Angelini, M.; Cerri, D.; Fratini, F. Leptospira survey in wild boar (Susscrofa) hunted in Tuscany, central Italy. Pathogens 2020, 9, 377. [Google Scholar] [CrossRef]
- Vieira, A.; D’Andrea, P.; Vilela, R.; Loretto, D.; Jaeger, L.; Carvalho-Costa, F.; Lilenbaum, W. Pathogenic Leptospira species are widely disseminated among small mammals in Atlantic Forest biome. Transbound. Emerg. Dis. 2019, 66, 1195–1201. [Google Scholar] [CrossRef]
- Goat Anti-Mouse IgG (H+L) Secondary Antibody, HRP. Available online: https://www.thermofisher.com/antibody/product/Goat-anti-Mouse-IgG-H-L-Secondary-Antibody-Polyclonal/31430 (accessed on 31 August 2023).
- Leptospira LipL41 Monoclonal Antibody (0413). Available online: https://www.thermofisher.com/antibody/product/Leptospira-LipL41-Antibody-clone-0413-Monoclonal/MA5-47605 (accessed on 31 August 2023).
- Rahman, M.S.A.; Khor, K.H.; Khairani-Bejo, S.; Lau, S.F.; Mazlan, M.; Roslan, M.A.; Ajat, M.M.M.; Noor, M.A.M. Taq Man real-time PCR for detection of pathogenic Leptospira spp. In canine clinical samples. J. Vet. Res. 2023, 67, 187–195. [Google Scholar] [CrossRef]
- Martin, E.A.; Heseltine, J.C.; Creevy, K.E. The Evaluation of the Diagnostic Value of a PCR Assay When Compared to a Serologic Micro-Agglutination Test for Canine Leptospirosis. Front. Vet. Sci. 2022, 9, 815103. [Google Scholar] [CrossRef] [PubMed]
- Schuller, S.; Francey, T.; Hartmann, K.; Hugonnard, M.; Kohn, B.; Nally, J.E.; Sykes, J. European consensus statement on leptospirosis in dogs and cats. J. Small Anim. Pract. 2015, 56, 159. [Google Scholar] [CrossRef] [PubMed]
- Moruzi, R.F.; Tirziu, E.; Muselin, F.; Dumitrescu, E.; Huțu, I.; Mircu, C.; Tulcan, C.; Doma, A.O.; Degi, J.; Degi, D.M.; et al. The importance of data bases to manage the phenomenon of resistance to antimicrobials for veterinary se. Rev. Rom. Med. Vet. 2019, 29, 40–57. [Google Scholar]
- Francey, T.; Schweighauser, A. Membrane-based therapeutic plasma exchange in dogs: Prescription, anticoagulation, and metabolic response. J. Vet. Intern. Med. 2019, 33, 1635–1645. [Google Scholar] [CrossRef]
- Rahman, S.A.; Khor, K.H.; Khairani-Bejo, S.; Lau, S.F.; Mazlan, M.; Roslan, A.; Goh, S.H. Detection and characterisation of Leptospira spp. in dogs diagnosed with kidney and/or liver disease in Selangor. Malays. J. Vet. DiagnInvestig. 2021, 33, 834. [Google Scholar] [CrossRef]
- Khor, K.H.; Tan, W.X.; Lau, S.F.; Roslan, M.A.; Radzi, R.; Khairani-Bejo, S.; Bahaman, A.R. Seroprevalence and molecular detection of leptospirosis from a dog shelter. Trop Biomed 2016, 33, 27. [Google Scholar]
- Jorge, S.; Monte, L.G.; DeOliveira, N.R.; Collares, T.F.; Roloff, B.C.; Gomes, C.K.; Hartwig, D.D.; Dellagostin, O.A.; Hartleben, C.P. Phenotypic and molecular characterization of Leptospira interrogans isolated from Canis familiaris in Southern Brazil. Curr. Microbiol. 2015, 71, 496. [Google Scholar] [CrossRef]
- Koizumi, N.; Muto, M.M.; Akachi, S.; Okano, S.; Yamamoto, S.; Horikawa, K.; Harada, S.; Funatsumaru, S.; Ohnishi, M. Molecular and serological investigation of Leptospira and leptospirosis in dogs in Japan. J. Med. Microbiol. 2013, 62, 630. [Google Scholar] [CrossRef] [PubMed]
- Xu, C.; Loftis, A.; Ahluwalia, S.K.; Gao, D.; Verma, A.; Wang, C.; Kaltenboeck, B. Diagnosis of canine leptospirosis by a highly sensitive FRET-PCR targeting the lig genes. PLoS ONE 2014, 9, e89507. [Google Scholar] [CrossRef]
- Chandan, S.; Umesha, S. Molecular Detection of Leptospira Using Polymerase Chain Reaction Based on LipL32 and rpoBGene. J. Vet. Sci. Technol. 2016, 3, 16–23. [Google Scholar]
- Wunder, E.A., Jr.; Figueira, C.P.; Santos, G.R.; Lourdault, K.; Matthias, M.A.; Vinetz, J.M.; Ramos, E.; Haake, D.A.; Picardeau, M.; dosReis, M.G.; et al. Real-Time PCR Reveals Rapid Dissemination of Leptospira interrogans after Intraperitoneal and Conjunctival Inoculation of Hamsters. Infect. Immun. 2016, 84, 2105–2115. [Google Scholar] [CrossRef] [PubMed]
- DeFreitas, J.C.; DaSilva, F.G.; DeOliveira, R.C.; Delbem, Á.C.B.; Müller, E.E.; Alves, L.A.; Teles, P.S. Isolation of Leptospira spp. From dogs, bovine and swine naturally infected. Ciência Rural 2004, 34, 853–856. [Google Scholar] [CrossRef]
- Kurilung, A.; Chanchaithong, P.; Lugsomya, K.; Niyomtham, W.; Wuthiekanun, V.; Prapasarakul, N. Molecular detection and isolation of pathogenic Leptospira from asymptomatic humans, domestic animals and water sources in Nanprovince, a rural area of Thailand. Res. Vet. Sci. 2017, 115, 146–154. [Google Scholar] [CrossRef] [PubMed]
- Smythe, L.D.; Tiengrim, S.; Peacock, S.J.; Wuthiekanun, V.; Suputtamongkol, Y.; Day, N.P.; Apiwattanaporn, A.; Chierakul, W.; Slack, A.T.; Chueasuwanchai, S.; et al. The Microscopic Agglutination Test (MAT) Is an Unreliable Predictor of Infecting Leptospira Serovarin Thailand. Am. J. Trop. Med. Hyg. 2009, 81, 695–697. [Google Scholar] [CrossRef] [PubMed]
- Stoddard, R.A.; Gee, J.E.; Wilkins, P.P.; McCaustland, K.; Hoffmaster, A.R. Detection of pathogenic Leptospira spp. throughTaqMan polymerase chain reaction targeting the LipL32 gene. Diagn. Microbiol. Infect. Dis. 2009, 64, 247–255. [Google Scholar] [CrossRef]
- Podgoršek, D.; Ružić-Sabljić, E.; Logar, M.; Pavlović, A.; Remec, T.; Baklan, Z.; Cerar, T. Evaluation of real-time PCR targeting the lipl32 gene for diagnosis of Leptospira infection. BMC Microbiol. 2020, 20, 59. [Google Scholar] [CrossRef]


| Breed of Dog | Number of Cases | Reaction to Leptospira 1 | |
|---|---|---|---|
| Positive | Negative | ||
| German Shepherd Dog | 14 (22%) | 5 (36%) | 9 (64%) |
| Rottweiler | 8 (12%) | 2 (25%) | 6 (75%) |
| Dobermann | 12 (18%) | 5 (42%) | 7 (58%) |
| Labrador | 17 (26%) | 9 (53%) | 8 (47%) |
| Boxer | 3 (5%) | 2 (67%) | 1 (33%) |
| Mixed breed | 11 (17%) | 4 (33%) | 7 (64%) |
| Total | 65 (100%) | 27 (42%) | 38 (58%) |
| Gender and Sterilization Procedure | Number of Cases with Kidney Injury | Reaction to Leptospira 1 | |
|---|---|---|---|
| Positive | Negative | ||
| Unsterilized female | 6 (9%) | 2 (33%) | 4 (67%) |
| Sterilized female | 29 (45%) | 12 (41%) | 17 (59%) |
| Uncastrated male | 9 (14%) | 4 (44%) | 5 (56%) |
| Castrated male | 21 (32%) | 9 (43%) | 12 (57%) |
| Total | 65 (100%) | 27 (42%) | 38 (58%) |
| Immunological Status 2 | Number of Cases | Reaction to Leptospira 1 | |
|---|---|---|---|
| Positive | Negative | ||
| Vaccinated | 21 | 2 | 19 |
| Unvaccinated | 10 | 9 | 1 |
| Unknown situation | 34 | 16 | 18 |
| 65 (100%) | 27 (42%) | 38 (58%) | |
| Specification 2 | Number of Cases | Reaction to Leptospira 1 | |
|---|---|---|---|
| Positive | Negative | ||
| Stage 4: severe renal azotemia (>5.0 mg/dL) | 6 (9%) | 4 (15%) | 2 (5%) |
| Stage 3: moderate renal azotemia (2.1–5.0 mg/dL) | 8 (12%) | 5 (19%) | 3 (8%) |
| Stage 2: mild renal azotemia (1.4–2.0 mg/dL) | 7 (11%) | 6(22%) | 1 (3%) |
| Stage 1: non-azotemic kidney disease (<1.4 mg/dL) | 25 (38%) | 1 (4%) | 24 (63%) |
| Unknown value of azotemia | 19 (29%) | 11 (41%) | 8 (21%) |
| Total | 65 (100%) | 27 (42%) | 38 (58%) |
| Anatomo Pathological Diagnosis | Number of Cases | Reaction to Leptospira 1 | |
|---|---|---|---|
| Positive | Negative | ||
| Acute interstitial nephritis(AIN) | 8 (12%) | 5 (63%) | 3 (38%) |
| Chronic interstitial nephritis (CIN) | 14 (22%) | 6 (43%) | 8 (57%) |
| Glomerulonephritis (GLN) | 37 (57%) | 14 (38%) | 23 (62%) |
| Other | 6 (9%) | 2 (33%) | 4 (67%) |
| Total | 65 (100%) | 27 (42%) | 38 (58%) |
| Dog Breed | Number of Cases | Reaction to Leptospira 1 | |
|---|---|---|---|
| Positive | Negative | ||
| German Shepherd Dog | 14 (22%) | 6 (43%) | 8 (57%) |
| Rottweiler | 8 (12%) | 2 (25%) | 6 (75%) |
| Dobermann | 12 (18%) | 5 (42%) | 7 (58%) |
| Labrador | 17 (26%) | 10 (59%) | 7 (41%) |
| Boxer | 3 (5%) | 2 (67%) | 1 (33%) |
| Mixed breed | 11 (17%) | 4 (33%) | 7 (64%) |
| Total | 65 (100%) | 29 (45%) | 36 (55%) |
Disclaimer/Publisher’s Note: The statements, opinions and data contained in all publications are solely those of the individual author(s) and contributor(s) and not of MDPI and/or the editor(s). MDPI and/or the editor(s) disclaim responsibility for any injury to people or property resulting from any ideas, methods, instructions or products referred to in the content. |
© 2024 by the authors. Licensee MDPI, Basel, Switzerland. This article is an open access article distributed under the terms and conditions of the Creative Commons Attribution (CC BY) license (https://creativecommons.org/licenses/by/4.0/).
Share and Cite
Hutu, I.; Boldura, O.M.; Luca, I.; Pasca, S.A.; Dragoescu, A.A.; Gros, R.V.; Lungu, B.C.; Călugăriță, A.; Baltă, C.; Mircu, C.; et al. Diagnostic Pathways of Leptospira spp. in Dogs with Kidney Injury. Pathogens 2024, 13, 792. https://doi.org/10.3390/pathogens13090792
Hutu I, Boldura OM, Luca I, Pasca SA, Dragoescu AA, Gros RV, Lungu BC, Călugăriță A, Baltă C, Mircu C, et al. Diagnostic Pathways of Leptospira spp. in Dogs with Kidney Injury. Pathogens. 2024; 13(9):792. https://doi.org/10.3390/pathogens13090792
Chicago/Turabian StyleHutu, Ioan, Oana Maria Boldura, Iasmina Luca, Sorin Aurelian Pasca, Alina Andreea Dragoescu, Radu Valentin Gros, Bianca Cornelia Lungu, Andrei Călugăriță, Cornel Baltă, Călin Mircu, and et al. 2024. "Diagnostic Pathways of Leptospira spp. in Dogs with Kidney Injury" Pathogens 13, no. 9: 792. https://doi.org/10.3390/pathogens13090792
APA StyleHutu, I., Boldura, O. M., Luca, I., Pasca, S. A., Dragoescu, A. A., Gros, R. V., Lungu, B. C., Călugăriță, A., Baltă, C., Mircu, C., & Stancu, A. C. (2024). Diagnostic Pathways of Leptospira spp. in Dogs with Kidney Injury. Pathogens, 13(9), 792. https://doi.org/10.3390/pathogens13090792

