A Ruptured Left Gastric Artery Aneurysm That Neoplasticized during the Course of Coronavirus Disease 2019: A Case Report
Abstract
:1. Introduction
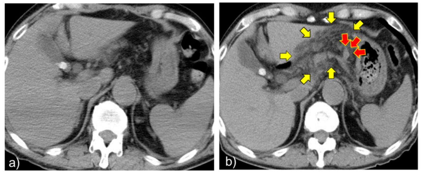
2. Case Presentation
3. Discussion
4. Conclusions
Author Contributions
Funding
Institutional Review Board Statement
Informed Consent Statement
Data Availability Statement
Conflicts of Interest
CARE Checklist (2016) statement
References
- The Novel Coronavirus Pneumonia Emergency Response Epidemiology Team. Vital Surveillances: The epidemiological characteristics of an outbreak of 2019 novel coronavirus diseases (COVID-19)—China, 2020. China CDC Wkly. 2020, 2, 113–122. [Google Scholar] [CrossRef]
- Wang, C.; Horby, P.W.; Hayden, F.G.; Gao, G.F. A Novel Coronavirus Outbreak of Global Health Concern. Lancet 2020, 395, 470–473. [Google Scholar] [CrossRef] [Green Version]
- Morris, S.B.; Schwartz, N.G.; Patel, P.; Abbo, L.; Beauchamps, L.; Balan, S.; Lee, E.H.; Paneth-Pollak, R.; Geevarughese, A.; Lash, M.K.; et al. Case series of multisystem inflammatory syndrome in adults associated with SARS-CoV-2 infection—United Kingdom and United States, March–August 2020. MMWR Morb. Mortal. Wkly Rep. 2020, 69, 1450–1456. [Google Scholar] [CrossRef] [PubMed]
- Ogarek, N.; Oboza, P.; Olszanecka-Glinianowicz, M.; Kocelak, P. The endocrine system function disturbances during and after SARS-CoV-2 infection. Eur. Rev. Med. Pharmacol. Sci. 2022, 26, 2171–2178. [Google Scholar]
- Lee, R.; Hsu, R. Acute aortic occlusion associated with COVID-19: A rare complication of a not so rare disease. J. Am. Coll. Emerg. Physicians Open. 2022, 3, e12730. [Google Scholar] [CrossRef]
- Li, Y.; Li, M.; Wang, M.; Zhou, Y.; Chang, J.; Xian, Y.; Wang, D.; Mao, L.; Jin, H.; Hu, B. Acute cerebrovascular disease following COVID-19: A single center, retrospective, observational study. Stroke Vasc. Neurol. 2020, 5, 279–284. [Google Scholar] [CrossRef]
- Shih, M.; Swearingen, B.; Rhee, R. Ruptured abdominal aortic aneurysm treated with endovascular repair in a patient with active COVID-19 infection during the pandemic. Ann. Vasc. Surg. 2020, 66, 14–17. [Google Scholar] [CrossRef]
- Dhakal, P.; Khadka, S.; Clowes, J.A.; Chakinala, R.C. Aortitis in COVID-19. IDCases 2021, 24, e01063. [Google Scholar] [CrossRef]
- Mustafa, M.R.; Carter, M.J.; Wong, J.; Bell, A.; Salih, C. Coronary aneurysms, myocardial dysfunction, and shock in a COVID-19 child, role of ECMO, immunomodulation, and cardiac CT. Cardiol. Young 2021, 31, 1043–1047. [Google Scholar] [CrossRef]
- Al Qahtani, M.; Uddin, M.S.; Al Fulayyih, S.; Al Baridi, S.; Hamid, Z. An 11-Year-Old Saudi Arabian Girl Who Presented with Multisystem Inflammatory Syndrome in Children (MIS-C) Associated with SARS-CoV-2 infection with coronary artery aneurysm and cardiac involvement: A case report. Am. J. Case Rep. 2021, 22, e933053. [Google Scholar] [CrossRef]
- Panayiotopoulos, Y.P.; Assadourian, R.; Taylor, P.R. Aneurysms of the visceral and renal arteries. Ann. R. Coll. Surg. Engl. 1996, 78, 412–419. [Google Scholar] [PubMed]
- Hossain, A.; Reis, E.D.; Dave, S.P.; Kerstein, M.D.; Hollier, L.H. Visceral artery aneurysms: Experience in a tertiary-care center. Am. Surg. 2001, 67, 432–437. [Google Scholar] [PubMed]
- Pasha, S.F.; Gloviczki, P.; Stanson, A.W.; Kamath, P.S. Splanchnic artery aneurysms. Mayo Clin. Proc. 2007, 82, 472–479. [Google Scholar] [CrossRef] [PubMed] [Green Version]
- Obara, H.; Kentaro, M.; Inoue, M.; Kitagawa, Y. Current management strategies for visceral artery aneurysms: An overview. Surg. Today 2020, 50, 38–49. [Google Scholar] [CrossRef] [PubMed] [Green Version]
- Saluja, S.S.; Ray, S.; Gulati, M.S.; Pal, S.; Sahni, P.; Chattopadhyay, T.K. Acute cholecystitis with massive upper gastrointestinal bleed: A case report and review of the literature. BMC Gastroenterol. 2007, 7, 12. [Google Scholar] [CrossRef] [Green Version]
- Malik, P.; Patel, U.; Mehta, D.; Patel, N.; Kelkar, R.; Akrmah, M.; Gabrilove, J.L.; Sacks, H. Biomarkers and outcomes of COVID-19 hospitalisations: Systematic review and meta-analysis. BMJ Evid. Based Med. 2021, 26, 107–108. [Google Scholar] [CrossRef]
- Kuba, K.; Imai, Y.; Rao, S.; Gao, H.; Guo, F.; Guan, B.; Huan, Y.; Yang, P.; Zhang, Y.; Deng, W.; et al. A crucial role of angiotensin converting enzyme 2 (ACE2) in SARS coronavirus-induced lung injury. Nat. Med. 2005, 11, 875–879. [Google Scholar] [CrossRef]
- Vaduganathan, M.; Vardeny, O.; Michel, T.; McMurray, J.J.V.; Pfeffer, M.A.; Solomon, S.D. Renin-angiotensin-aldosterone system inhibitors in patients with COVID-19. N. Engl. J. Med. 2020, 382, 1653–1659. [Google Scholar] [CrossRef]
- Becker, R.C. COVID-19-associated vasculitis and vasculopathy. J. Thromb. Thrombolysis 2020, 50, 499–511. [Google Scholar] [CrossRef]
- Lukiw, W.J.; Pogue, A.; Hill, J.M. SARS-CoV-2 Infectivity and neurological targets in the brain. Cell. Mol. Neurobiol. 2022, 42, 217–224. [Google Scholar] [CrossRef]
- Van Doren, S.R. Matrix metalloproteinase interactions with collagen and elastin. Matrix Biol. 2015, 44–46, 224–231. [Google Scholar] [CrossRef] [PubMed]
- Barbour, J.R.; Spinale, F.G.; Ikonomidis, J.S. Proteinase systems and thoracic aortic aneurysm progression. J. Surg. Res. 2007, 139, 292–307. [Google Scholar] [CrossRef] [PubMed]
- Hariharan, A.; Hakeem, A.R.; Radhakrishnan, S.; Reddy, M.S.; Rela, M. The role and therapeutic potential of NF-Kappa-B pathway in severe COVID-19 patients. Inflammopharmacology 2021, 29, 91–100. [Google Scholar] [CrossRef] [PubMed]
- Hojyo, S.; Uchida, M.; Tanaka, K.; Hasebe, R.; Tanaka, Y.; Murakami, M.; Hirano, T. How COVID-19 induces cytokine storm with high mortality. Inflamm. Regen. 2020, 40, 37. [Google Scholar] [CrossRef] [PubMed]
- Bozzani, A.; Arici, V.; Franciscone, M.; Ticozzelli, G.; Sterpetti, A.V.; Ragni, F. COVID-19 Patients with abdominal aortic aneurysm may be at higher risk for sudden enlargement and rupture. J. Vasc. Surg. 2022, 75, 387–388. [Google Scholar] [CrossRef] [PubMed]
- Bozzani, A.; Arici, V.; Ticozzelli, G.; Franciscone, M.M.; Sterpetti, A.V.; Ragni, F. increased rates of ruptured abdominal aortic aneurysm during the COVID-19 pandemic. J. Vasc. Surg. 2021, 74, 2119–2120. [Google Scholar] [CrossRef]
- Arslan, G. Celiac artery thrombosis and splenic infarction as a consequence of mild COVID-19 infection: Report of an unusual case. Hamostaseologie 2022, 42, 193–194. [Google Scholar] [CrossRef]
- Costa, F.; Nogueira, L.; Marques, S.; Torres, L.; Silva, A.F. An improbable thromboembolic manifestation of COVID-19: A case report. Cureus 2022, 14, e23013. [Google Scholar] [CrossRef]
- Almeida, A.; Baixauli, J.; Cienfuegos, J.A.; Valentí, V.; Rotellar, F. Concomitant aortic, inferior mesenteric artery thrombosis and sigmoid colon perforation in severe COVID-19 disease. Cir. Esp. 2021, Epub ahead of print. [Google Scholar] [CrossRef]






| Parameter | Recorded Value | Standard Value |
|---|---|---|
| White blood cell count | 5450/µL | 4500–7500/µL |
| Neutrophils | 84.4% | 42–74% |
| Lymphocytes | 11.4% | 18–50% |
| Monocytes | 4.2% | 1–10% |
| Hemoglobin | 14.7 g/dL | 11.3–15.2 g/dL |
| Platelet count | 9.0 × 104/µL | 13–35 × 104/µL |
| Prothrombin time/ International normalized ratio | 0.91 | 0.80–1.20 |
| Activated partial thromboplastin time | 38.7 s | 26.9–38.1 s |
| D-dimer | 2.8 μg/mL | ≤1.0 μg/mL |
| C-reactive protein | 12.5 mg/L | ≤0.60 mg/dL |
| Procalcitonin | 0.14 ng/mL | ≤0.05 ng/mL |
| Total protein | 5.4 g/dL | 6.9–8.4 g/dL |
| Albumin | 2.5 g/dL | 3.9–5.1 g/dL |
| Total bilirubin | 1.1 mg/dL | 0.2–1.2 mg/dL |
| Aspartate aminotransferase | 107 U/L | 11–30 U/L |
| Alanine aminotransferase | 47 U/L | 4–30 U/L |
| Lactase dehydrogenase | 547 U/L | 109–216 U/L |
| Creatine kinase | 199 U/L | 40–150 U/L |
| Blood urea nitrogen | 16.0 mg/dL | 8–20 mg/dL |
| Creatinine | 0.60 mg/dL | 0.63–1.03 mg/dL |
| Sodium | 143 mEq/L | 136–148 mEq/L |
| Potassium | 2.9 mEq/L | 3.6–5.0 mEq/L |
| Chloride | 105 mEq/L | 98–108 mEq/L |
| Glucose | 108 mg/dL | 70–109 mg/dL |
| Sialylated carbohydrate antigen KL-6 | 319 U/mL | ≤500 U/mL |
Publisher’s Note: MDPI stays neutral with regard to jurisdictional claims in published maps and institutional affiliations. |
© 2022 by the authors. Licensee MDPI, Basel, Switzerland. This article is an open access article distributed under the terms and conditions of the Creative Commons Attribution (CC BY) license (https://creativecommons.org/licenses/by/4.0/).
Share and Cite
Ano, S.; Shinkura, Y.; Kenzaka, T.; Kusunoki, N.; Kawasaki, S.; Nishisaki, H. A Ruptured Left Gastric Artery Aneurysm That Neoplasticized during the Course of Coronavirus Disease 2019: A Case Report. Pathogens 2022, 11, 815. https://doi.org/10.3390/pathogens11070815
Ano S, Shinkura Y, Kenzaka T, Kusunoki N, Kawasaki S, Nishisaki H. A Ruptured Left Gastric Artery Aneurysm That Neoplasticized during the Course of Coronavirus Disease 2019: A Case Report. Pathogens. 2022; 11(7):815. https://doi.org/10.3390/pathogens11070815
Chicago/Turabian StyleAno, Satoshi, Yuto Shinkura, Tsuneaki Kenzaka, Naoaki Kusunoki, Satoru Kawasaki, and Hogara Nishisaki. 2022. "A Ruptured Left Gastric Artery Aneurysm That Neoplasticized during the Course of Coronavirus Disease 2019: A Case Report" Pathogens 11, no. 7: 815. https://doi.org/10.3390/pathogens11070815
APA StyleAno, S., Shinkura, Y., Kenzaka, T., Kusunoki, N., Kawasaki, S., & Nishisaki, H. (2022). A Ruptured Left Gastric Artery Aneurysm That Neoplasticized during the Course of Coronavirus Disease 2019: A Case Report. Pathogens, 11(7), 815. https://doi.org/10.3390/pathogens11070815

