Immunogenicity Analysis of the Recombinant Plasmodium falciparum Surface-Related Antigen in Mice
Abstract
:1. Introduction
2. Results
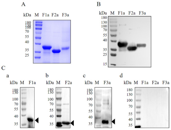
2.1. Characterization, Expression, and Purification of rPfSRA
2.2. Mouse Sera Recognized Both the rPfSRA and Native PfSRA
2.3. rPfSRA-Induced Humoral Immune Response in Mice
2.4. rPfSRA Did Not Play a Role in Cellular Immune Response
2.5. PfSRA Antibodies Inhibited the Invasion of P. falciparum into the Erythrocyte In Vitro
3. Discussion
4. Materials and Methods
4.1. Construction of Pfsra Plasmid
4.2. Expression and Purification of rPfSRA
4.3. Verification of the Purified Protein
4.4. Immunization of Mice
4.5. Identification of Native PfSRA
4.6. Determination of Antibody Specificity and Avidity
4.7. Lymphocyte Proliferation Assay
4.8. Measuring the Proportion of IFN-γ-Positive Lymphocytes
4.9. Invasion Inhibition Assay In Vitro
4.10. Statistical Analysis
5. Conclusions
Supplementary Materials
Author Contributions
Funding
Institutional Review Board Statement
Informed Consent Statement
Data Availability Statement
Conflicts of Interest
References
- WHO. World Malaria Report (2021); World Health Organization: Geneva, Switzerland, 2021. Available online: https://www.who.int/teams/global-malaria-programme/reports/world-malaria-report-2021 (accessed on 1 May 2022).
- Ashley, E.A.; Pyae Phyo, A.; Woodrow, C.J. Malaria. Lancet 2018, 391, 1608–1621. [Google Scholar] [CrossRef]
- Snow, R.W.; Guerra, C.A.; Noor, A.M.; Myint, H.Y.; Hay, S.I. The global distribution of clinical episodes of Plasmodium falciparum malaria. Nature 2005, 434, 214–217. [Google Scholar] [CrossRef] [PubMed]
- Roper, C.; Pearce, R.; Nair, S.; Sharp, B.; Nosten, F.; Anderson, T. Intercontinental spread of pyrimethamine-resistant malaria. Science 2004, 305, 1124. [Google Scholar] [CrossRef] [PubMed]
- Madhav, H.; Hoda, N. An insight into the recent development of the clinical candidates for the treatment of malaria and their target proteins. Eur. J. Med. Chem. 2021, 210, 112955. [Google Scholar] [CrossRef]
- Florens, L.; Washburn, M.P.; Raine, J.D.; Anthony, R.M.; Grainger, M.; Haynes, J.D.; Moch, J.K.; Muster, N.; Sacci, J.B.; Tabb, D.L.; et al. A proteomic view of the Plasmodium falciparum life cycle. Nature 2002, 419, 520–526. [Google Scholar] [CrossRef]
- Gardner, M.J.; Hall, N.; Fung, E.; White, O.; Berriman, M.; Hyman, R.W.; Carlton, J.M.; Pain, A.; Nelson, K.E.; Bowman, S.; et al. Genome sequence of the human malaria parasite Plasmodium falciparum. Nature 2002, 419, 498–511. [Google Scholar] [CrossRef]
- Scherf, A.; Lopez-Rubio, J.J.; Riviere, L. Antigenic variation in Plasmodium falciparum. Annu. Rev. Microbiol. 2008, 62, 445–470. [Google Scholar] [CrossRef]
- Draper, S.J.; Sack, B.K.; King, C.R.; Nielsen, C.M.; Rayner, J.C.; Higgins, M.K.; Long, C.A.; Seder, R.A. Malaria Vaccines: Recent Advances and New Horizons. Cell Host Microbe 2018, 24, 43–56. [Google Scholar] [CrossRef] [Green Version]
- Rts SCTP. Efficacy and safety of RTS,S/AS01 malaria vaccine with or without a booster dose in infants and children in Africa: Final results of a phase 3, individually randomised, controlled trial. Lancet 2015, 386, 31–45. [Google Scholar] [CrossRef] [Green Version]
- Weiss, G.E.; Crabb, B.S.; Gilson, P.R. Overlaying Molecular and Temporal Aspects of Malaria Parasite Invasion. Trends Parasitol. 2016, 32, 284–295. [Google Scholar] [CrossRef]
- Marsh, K.; Kinyanjui, S. Immune effector mechanisms in malaria. Parasite Immunol. 2006, 28, 51–60. [Google Scholar] [CrossRef] [PubMed]
- Anand, G.; Reddy, K.S.; Pandey, A.K.; Mian, S.Y.; Singh, H.; Mittal, S.A.; Amlabu, E.; Bassat, Q.; Mayor, A.; Chauhan, V.S.; et al. A novel Plasmodium falciparum rhoptry associated adhesin mediates erythrocyte invasion through the sialic-acid dependent pathway. Sci. Rep. 2016, 6, 29185. [Google Scholar] [CrossRef] [PubMed] [Green Version]
- Goodman, A.L.; Draper, S.J. Blood-stage malaria vaccines—Recent progress and future challenges. Ann. Trop. Med. Parasitol. 2010, 104, 189–211. [Google Scholar] [CrossRef] [PubMed]
- Collins, K.A.; Snaith, R.; Cottingham, M.G.; Gilbert, S.C.; Hill, A.V.S. Enhancing protective immunity to malaria with a highly immunogenic virus-like particle vaccine. Sci. Rep. 2017, 19, 46621. [Google Scholar] [CrossRef] [Green Version]
- Le Roch, K.G.; Zhou, Y.; Blair, P.L.; Grainger, M.; Moch, J.K.; Haynes, J.D.; De La Vega, P.; Holder, A.A.; Batalov, S.; Carucci, D.J.; et al. Discovery of gene function by expression profiling of the malaria parasite life cycle. Science 2003, 301, 1503–1508. [Google Scholar] [CrossRef] [PubMed] [Green Version]
- Gaur, D.; Mayer, D.C.; Miller, L.H. Parasite ligand-host receptor interactions during invasion of erythrocytes by Plasmodium merozoites. Int. J. Parasitol. 2004, 34, 1413–1429. [Google Scholar] [CrossRef]
- Payne, R.O.; Silk, S.E.; Elias, S.C.; Miura, K.; Diouf, A.; Galaway, F.; de Graaf, H.; Brendish, N.J.; Poulton, I.D.; Griffiths, O.J.; et al. Human vaccination against RH5 induces neutralizing antimalarial antibodies that inhibit RH5 invasion complex interactions. JCI Insight 2017, 2, e96381. [Google Scholar] [CrossRef]
- Amlabu, E.; Mensah-Brown, H.; Nyarko, P.B.; Akuh, O.A.; Opoku, G.; Ilani, P.; Oyagbenro, R.; Asiedu, K.; Aniweh, Y.; Awandare, G.A. Functional Characterization of Plasmodium falciparum Surface-Related Antigen as a Potential Blood-Stage Vaccine Target. J. Infect. Dis. 2018, 218, 778–790. [Google Scholar] [CrossRef]
- Gustchina, E.; Li, M.; Ghirlando, R.; Schuck, P.; Louis, J.M.; Pierson, J.; Rao, P.; Subramaniam, S.; Gustchina, A.; Clore, G.M.; et al. Complexes of neutralizing and non-neutralizing affinity matured Fabs with a mimetic of the internal trimeric coiled-coil of HIV-1 gp41. PLoS ONE 2013, 8, e78187. [Google Scholar] [CrossRef]
- Tripet, B.; Kao, D.J.; Jeffers, S.A.; Holmes, K.V.; Hodges, R.S. Template-based coiled-coil antigens elicit neutralizing antibodies to the SARS-coronavirus. J. Struct. Biol. 2006, 155, 176–194. [Google Scholar] [CrossRef]
- Silmon de Monerri, N.C.; Flynn, H.R.; Campos, M.G.; Hackett, F.; Koussis, K.; Withers-Martinez, C.; Skehel, J.M.; Blackman, M.J. Global identification of multiple substrates for Plasmodium falciparum SUB1, an essential malarial processing protease. Infect. Immun. 2011, 79, 1086–1097. [Google Scholar] [CrossRef] [PubMed] [Green Version]
- Yang, B.; Liu, H.; Xu, Q.W.; Sun, Y.F.; Xu, S.; Zhang, H.; Tang, J.X.; Zhu, G.D.; Liu, Y.B.; Cao, J.; et al. Genetic Diversity Analysis of Surface-Related Antigen (SRA) in Plasmodium falciparum Imported from Africa to China. Front. Genet. 2021, 12, 688606. [Google Scholar] [CrossRef] [PubMed]
- Gilson, P.R.; Nebl, T.; Vukcevic, D.; Moritz, R.L.; Sargeant, T.; Speed, T.P.; Schofield, L.; Crabb, B.S. Identification and stoichiometry of glycosylphosphatidylinositol-anchored membrane proteins of the human malaria parasite Plasmodium falciparum. Mol. Cell. Proteom. 2006, 5, 1286–1299. [Google Scholar] [CrossRef] [PubMed] [Green Version]
- Udenfriend, S.; Kodukula, K. Prediction of omega site in nascent precursor of glycosylphosphatidylinositol protein. Methods Enzymol. 1995, 250, 571–582. [Google Scholar] [PubMed]
- Gao, X.H.; Gunalan, K.; Yap, S.S.; Preiser, P.R. Triggers of key calcium signals during erythrocyte invasion by Plasmodium falciparum. Nat. Commun. 2013, 4, 2862. [Google Scholar] [CrossRef] [Green Version]
- Lin, C.S.; Uboldi, A.D.; Epp, C.; Bujard, H.; Tsuboi, T.; Czabotar, P.E.; Cowman, A.F. Multiple Plasmodium falciparum Merozoite Surface Protein 1 Complexes Mediate Merozoite Binding to Human Erythrocytes. J. Biol. Chem. 2016, 291, 7703–7715. [Google Scholar] [CrossRef] [Green Version]
- Blackman, M.J. Proteases in host cell invasion by the malaria parasite. Cell Microbiol. 2004, 6, 893–903. [Google Scholar] [CrossRef]
- Pachebat, J.A.; Kadekoppala, M.; Grainger, M.; Dluzewski, A.R.; Gunaratne, R.S.; Scott-Finnigan, T.J.; Ogun, S.A.; Ling, I.T.; Bannister, L.H.; Taylor, H.M.; et al. Extensive proteolytic processing of the malaria parasite merozoite surface protein 7 during biosynthesis and parasite release from erythrocytes. Mol. Biochem. Parasitol. 2007, 151, 59–69. [Google Scholar] [CrossRef]
- Cohen, S.; Butcher, G.A. Properties of protective malarial antibody. Immunology 1970, 19, 369–383. [Google Scholar] [CrossRef] [PubMed]
- Cohen, S.; Mc, G.I.; Carrington, S. Gamma-globulin and acquired immunity to human malaria. Nature 1961, 192, 733–737. [Google Scholar] [CrossRef]
- Ferreira, M.U.; Kimura, E.A.; De Souza, J.M.; Katzin, A.M. The isotype composition and avidity of naturally acquired anti-Plasmodium falciparum antibodies: Differential patterns in clinically immune Africans and Amazonian patients. Am. J. Trop. Med. Hyg. 1996, 55, 315–323. [Google Scholar] [CrossRef] [PubMed]
- Druilhe, P.; Spertini, F.; Soesoe, D.; Corradin, G.; Mejia, P.; Singh, S.; Audran, R.; Bouzidi, A.; Oeuvray, C.; Roussilhon, C. A malaria vaccine that elicits in humans antibodies able to kill Plasmodium falciparum. PLoS Med. 2005, 2, e344. [Google Scholar] [CrossRef] [PubMed]
- Weidanz, W.P.; Melancon-Kaplan, J.; Cavacini, L.A. Cell-mediated immunity to the asexual blood stages of malarial parasites: Animal models. Immunol. Lett. 1990, 25, 87–95. [Google Scholar] [CrossRef]
- Guevara Patiño, J.A.; Holder, A.A.; McBride, J.S.; Blackman, M.J. Antibodies that inhibit malaria merozoite surface protein-1 processing and erythrocyte invasion are blocked by naturally acquired human antibodies. J. Exp. Med. 1997, 186, 1689–1699. [Google Scholar] [CrossRef]






Publisher’s Note: MDPI stays neutral with regard to jurisdictional claims in published maps and institutional affiliations. |
© 2022 by the authors. Licensee MDPI, Basel, Switzerland. This article is an open access article distributed under the terms and conditions of the Creative Commons Attribution (CC BY) license (https://creativecommons.org/licenses/by/4.0/).
Share and Cite
Yu, J.-L.; Liu, Q.-Y.; Yang, B.; Sun, Y.-F.; Wang, Y.-J.; Jiang, J.; Wang, B.; Cheng, Y.; Wang, Q.-B. Immunogenicity Analysis of the Recombinant Plasmodium falciparum Surface-Related Antigen in Mice. Pathogens 2022, 11, 550. https://doi.org/10.3390/pathogens11050550
Yu J-L, Liu Q-Y, Yang B, Sun Y-F, Wang Y-J, Jiang J, Wang B, Cheng Y, Wang Q-B. Immunogenicity Analysis of the Recombinant Plasmodium falciparum Surface-Related Antigen in Mice. Pathogens. 2022; 11(5):550. https://doi.org/10.3390/pathogens11050550
Chicago/Turabian StyleYu, Jia-Li, Qing-Yang Liu, Bo Yang, Yi-Fan Sun, Ya-Ju Wang, Jian Jiang, Bo Wang, Yang Cheng, and Qiu-Bo Wang. 2022. "Immunogenicity Analysis of the Recombinant Plasmodium falciparum Surface-Related Antigen in Mice" Pathogens 11, no. 5: 550. https://doi.org/10.3390/pathogens11050550
APA StyleYu, J.-L., Liu, Q.-Y., Yang, B., Sun, Y.-F., Wang, Y.-J., Jiang, J., Wang, B., Cheng, Y., & Wang, Q.-B. (2022). Immunogenicity Analysis of the Recombinant Plasmodium falciparum Surface-Related Antigen in Mice. Pathogens, 11(5), 550. https://doi.org/10.3390/pathogens11050550
