Chagas Cardiomyopathy: From Romaña Sign to Heart Failure and Sudden Cardiac Death
Abstract
1. Introduction
2. Epidemiology
3. Pathophysiology of Infection
3.1. Microbiology of Infection
3.2. Pathogenesis
3.2.1. Dysautonomia
3.2.2. Microvascular Disturbances
3.2.3. Parasite Dependent Myocardial Damage
3.2.4. Chronic Immune-Mediated Myocardial Injury
4. Clinical Manifestations
4.1. The Natural History of the Disease
4.2. Chagas Cardiomyopathy (Ch-CMP)
4.2.1. Tachy and Bradyarrhythmias
4.2.2. Ventricular Dysfunction
4.2.3. Chagasic Aneurysms and Thromboembolism
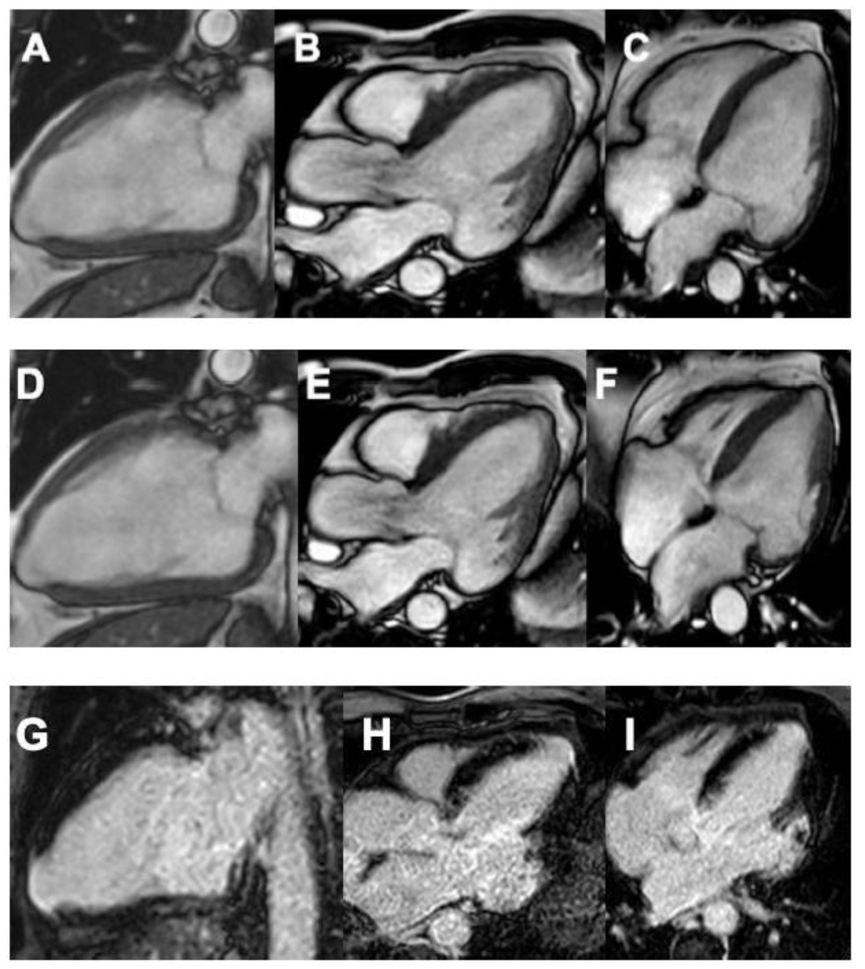
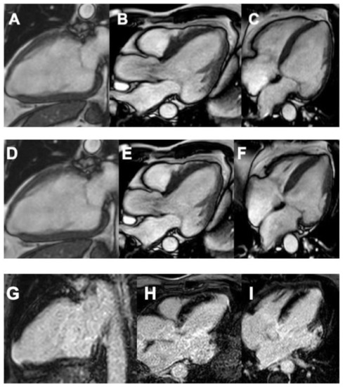
5. Diagnosis
6. Risk Stratification and Scores
7. Current Treatment and Prognosis
7.1. Antimicrobial Therapy
7.2. Neurohormonal Blockade and Heart Failure Treatment for Ch-CMP
7.3. Advanced Therapies in Ch-CMP
Author Contributions
Funding
Acknowledgments
Conflicts of Interest
References
- Steverding, D. The history of Chagas disease. Parasites Vectors 2014, 7, 317. [Google Scholar] [CrossRef] [PubMed]
- Gachelin, G.; Bestetti, R.B. Early clinics of the cardiac forms of Chagas’ disease: Discovery and study of original medical files (1909–1915). Int. J. Cardiol. 2017, 244, 206–212. [Google Scholar] [CrossRef] [PubMed]
- Chao, C.; Leone, J.L.; Vigliano, C.A. Chagas disease: Historic perspective. Biochim. Biophys. Acta-Mol. Basis Dis. 2020, 1866, 165689. [Google Scholar] [CrossRef] [PubMed]
- Nunes, M.C.P.; Dones, W.; Morillo, C.A.; Encina, J.J.; Ribeiro, A.L. Chagas Disease. J. Am. Coll. Cardiol. 2013, 62, 767–776. [Google Scholar] [CrossRef]
- Stanaway, J.D.; Roth, G. The Burden of Chagas Disease: Estimates and Challenges. Glob. Heart 2015, 10, 139. [Google Scholar] [CrossRef]
- Nunes, M.C.P.; Beaton, A.; Acquatella, H.; Bern, C.; Bolger, A.F.; Echeverría, L.E.; Dutra, W.O.; Gascon, J.; Morillo, C.A.; Oliveira-Filho, J.; et al. Chagas Cardiomyopathy: An Update of Current Clinical Knowledge and Management: A Scientific Statement From the American Heart Association. Circulation 2018, 138. [Google Scholar] [CrossRef]
- Benziger, C.P.; do Carmo, G.A.L.; Ribeiro, A.L.P. Chagas Cardiomyopathy. Cardiol. Clin. 2017, 35, 31–47. [Google Scholar] [CrossRef]
- Chagas disease in Latin America: An epidemiological update based on 2010 estimates. Wkly. Epidemiol. Rec. 2015, 90, 33–43.
- WHO. World Health Organization. Investing to Overcome the Global Impact of Neglected Tropical Diseases: WHO Third Report on Neglected Tropical Diseases; WHO: Geneva, Switzerland, 2015. [Google Scholar]
- Molyneux, D.H.; Savioli, L.; Engels, D. Neglected tropical diseases: Progress towards addressing the chronic pandemic. Lancet 2017, 389, 312–325. [Google Scholar] [CrossRef]
- Manne-Goehler, J.; Umeh, C.A.; Montgomery, S.P.; Wirtz, V.J. Estimating the Burden of Chagas Disease in the United States. PLoS Negl. Trop. Dis. 2016, 10. [Google Scholar] [CrossRef]
- Bern, C.; Montgomery, S.P. An Estimate of the Burden of Chagas Disease in the United States. Clin. Infect. Dis. 2009, 49, e52–e54. [Google Scholar] [CrossRef]
- Strasen, J.; Williams, T.; Ertl, G.; Zoller, T.; Stich, A.; Ritter, O. Epidemiology of Chagas disease in Europe: Many calculations, little knowledge. Clin. Res. Cardiol. 2014, 103, 1–10. [Google Scholar] [CrossRef]
- Requena-Méndez, A.; Aldasoro, E.; de Lazzari, E.; Sicuri, E.; Brown, M.; Moore, D.A.J.; Gascon, J.; Muñoz, J. Prevalence of Chagas Disease in Latin-American Migrants Living in Europe: A Systematic Review and Meta-analysis. PLoS Negl. Trop. Dis. 2015, 9, e0003540. [Google Scholar] [CrossRef]
- Castillo-Riquelme, M.; Guhl, F.; Turriago, B.; Pinto, N.; Rosas, F.; Martínez, M.F.; Fox-Rushby, J.; Davies, C.; Campbell-Lendrum, D. The Costs of Preventing and Treating Chagas Disease in Colombia. PLoS Negl. Trop. Dis. 2008, 2, e336. [Google Scholar] [CrossRef]
- Montgomery, S.P.; Starr, M.C.; Cantey, P.T.; Edwards, M.S.; Meymandi, S.K. Neglected Parasitic Infections in the United States: Chagas Disease. Am. J. Trop. Med. Hyg. 2014, 90, 814–818. [Google Scholar] [CrossRef]
- Puerta, C.J.; Cucunubá, Z.M.; Ríos, L.C.; Villamizar, K.; Aldana, R.; Montilla, M.; Pavía, P.; Cárdenas, Á.; Nicholls, R.S.; Flórez, A.C. Prevalence and Risk Factors for Chagas Disease in Pregnant Women in Casanare, Colombia. Am. J. Trop. Med. Hyg. 2012, 87, 837–842. [Google Scholar] [CrossRef]
- Filigheddu, M.T.; Górgolas, M.; Ramos, J.M. Enfermedad de Chagas de transmisión oral. Med. Clin. 2017, 148, 125–131. [Google Scholar] [CrossRef]
- Villamil-Gómez, W.E.; Echeverría, L.E.; Ayala, M.S.; Muñoz, L.; Mejía, L.; Eyes-Escalante, M.; Venegas-Hermosilla, J.; Rodríguez-Morales, A.J. Orally transmitted acute Chagas disease in domestic travelers in Colombia. J. Infect. Public Health 2017, 10, 244–246. [Google Scholar] [CrossRef]
- Alarcón de Noya, B.; Díaz-Bello, Z.; Colmenares, C.; Ruiz-Guevara, R.; Mauriello, L.; Zavala-Jaspe, R.; Suarez, J.A.; Abate, T.; Naranjo, L.; Paiva, M.; et al. Large Urban Outbreak of Orally Acquired Acute Chagas Disease at a School in Caracas, Venezuela. J. Infect. Dis. 2010, 201, 1308–1315. [Google Scholar] [CrossRef]
- Alarcón de Noya, B.; Colmenares, C.; Díaz-Bello, Z.; Ruiz-Guevara, R.; Medina, K.; Muñoz-Calderón, A.; Mauriello, L.; Cabrera, E.; Montiel, L.; Losada, S.; et al. Orally-transmitted Chagas disease: Epidemiological, clinical, serological and molecular outcomes of a school microepidemic in Chichiriviche de la Costa, Venezuela. Parasite Epidemiol. Control 2016, 1, 188–198. [Google Scholar] [CrossRef]
- Miles, M.A.; Llewellyn, M.S.; Lewis, M.D.; Yeo, M.; Baleela, R.; Fitzpatrick, S.; Gaunt, M.W.; Mauricio, I.L. The molecular epidemiology and phylogeography of Trypanosoma cruzi and parallel research on Leishmania: Looking back and to the future. Parasitology 2009, 136, 1509–1528. [Google Scholar] [CrossRef]
- Blum, J.A.; Zellweger, M.J.; Burri, C.; Hatz, C. Cardiac involvement in African and American trypanosomiasis. Lancet Infect. Dis. 2008, 8, 631–641. [Google Scholar] [CrossRef]
- Zingales, B. Trypanosoma cruzi genetic diversity: Something new for something known about Chagas disease manifestations, serodiagnosis and drug sensitivity. Acta Trop. 2018, 184, 38–52. [Google Scholar] [CrossRef]
- Higo, H.; Miura, S.; Horio, M.; Mimori, T.; Hamano, S.; Agatsuma, T.; Yanagi, T.; Cruz-Reyes, A.; Uyema, N.; de Arias, A.R.; et al. Genotypic variation among lineages of Trypanosoma cruzi and its geographic aspects. Parasitol. Int. 2004, 53, 337–344. [Google Scholar] [CrossRef]
- Carrasco, H.J.; Segovia, M.; Llewellyn, M.S.; Morocoima, A.; Urdaneta-Morales, S.; Martínez, C.; Martínez, C.E.; Garcia, C.; Rodríguez, M.; Espinosa, R.; et al. Geographical Distribution of Trypanosoma cruzi Genotypes in Venezuela. PLoS Negl. Trop. Dis. 2012, 6, e1707. [Google Scholar] [CrossRef]
- Martins, L.P.A.; Silva, M.S.; Monteiro, J.; da Rosa, J.A.; Nascimento, J.D.; de Almeida, L.A.; Lima, L.; Mello, F.; Moreno, C.J.G.; Teixeira, M.M.G.; et al. Biological and Molecular Characterization of Trypanosoma cruzi Strains from Four States of Brazil. Am. J. Trop. Med. Hyg. 2018, 98, 453–463. [Google Scholar] [CrossRef]
- Zingales, B.; Miles, M.A.; Campbell, D.A.; Tibayrenc, M.; Macedo, A.M.; Teixeira, M.M.G.; Schijman, A.G.; Llewellyn, M.S.; Lages-Silva, E.; Machado, C.R.; et al. The revised Trypanosoma cruzi subspecific nomenclature: Rationale, epidemiological relevance and research applications. Infect. Genet. Evol. 2012, 12, 240–253. [Google Scholar] [CrossRef]
- Ramírez, J.D.; Guhl, F.; Rendón, L.M.; Rosas, F.; Marin-Neto, J.A.; Morillo, C.A. Chagas Cardiomyopathy Manifestations and Trypanosoma cruzi Genotypes Circulating in Chronic Chagasic Patients. PLoS Negl. Trop. Dis. 2010, 4, e899. [Google Scholar] [CrossRef]
- Tyler, K.M.; Engman, D.M. The life cycle of Trypanosoma cruzi revisited. Int. J. Parasitol. 2001, 31, 472–481. [Google Scholar] [CrossRef]
- Salassa, B.N.; Romano, P.S. Autophagy: A necessary process during the Trypanosoma cruzi life-cycle. Virulence 2019, 10, 460–469. [Google Scholar] [CrossRef]
- Bonney, K.M.; Luthringer, D.J.; Kim, S.A.; Garg, N.J.; Engman, D.M. Pathology and Pathogenesis of Chagas Heart Disease. Annu. Rev. Pathol. Mech. Dis. 2019, 14, 421–447. [Google Scholar] [CrossRef] [PubMed]
- Silva Pereira, S.; Trindade, S.; De Niz, M.; Figueiredo, L.M. Tissue tropism in parasitic diseases. Open Biol. 2019, 9, 190036. [Google Scholar] [CrossRef] [PubMed]
- Marin-Neto, J.A.; Cunha-Neto, E.; Maciel, B.C.; Simões, M.V. Pathogenesis of Chronic Chagas Heart Disease. Circulation 2007, 115, 1109–1123. [Google Scholar] [CrossRef] [PubMed]
- Bonney, K.M.; Engman, D.M. Autoimmune Pathogenesis of Chagas Heart Disease. Am. J. Pathol. 2015, 185, 1537–1547. [Google Scholar] [CrossRef]
- Junqueira Junior, L.F. Insights into the clinical and functional significance of cardiac autonomic dysfunction in Chagas disease. Rev. Soc. Bras. Med. Trop. 2012, 45, 243–252. [Google Scholar] [CrossRef][Green Version]
- Marino, V.S.P.; Dumont, S.M.; Mota, L.d.G.; Braga, D.d.S.; de Freitas, S.S.; Moreira, M.d.C.V. Sympathetic Dysautonomia in Heart Failure by 123I-MIBG: Comparison between Chagasic, non-Chagasic and heart transplant patients. Arq. Bras. Cardiol. 2018. [Google Scholar] [CrossRef]
- Marin-Neto, J.A.; Simoes, M.V.; Rassi Junior, A. Pathogenesis of chronic Chagas cardiomyopathy: The role of coronary microvascular derangements. Rev. Soc. Bras. Med. Trop. 2013, 46, 536–541. [Google Scholar] [CrossRef]
- Rossi, M.A.; Tanowitz, H.B.; Malvestio, L.M.; Celes, M.R.; Campos, E.C.; Blefari, V.; Prado, C.M. Coronary Microvascular Disease in Chronic Chagas Cardiomyopathy Including an Overview on History, Pathology, and Other Proposed Pathogenic Mechanisms. PLoS Negl. Trop. Dis. 2010, 4, e674. [Google Scholar] [CrossRef]
- Borges, J.P.; Mendes, F.D.S.N.S.; de Oliveira Lopes, G.; Tibiriçá, E. Is endothelial microvascular function equally impaired among patients with chronic Chagas and ischemic cardiomyopathy? Int. J. Cardiol. 2018, 265, 35–37. [Google Scholar] [CrossRef]
- Rochitte, C.E.; Nacif, M.S.; de Oliveira Júnior, A.C.; Siqueira-Batista, R.; Marchiori, E.; Uellendahl, M.; de Lourdes Higuchi, M. Cardiac Magnetic Resonance in Chagas’ Disease. Artif. Organs 2007, 31, 259–267. [Google Scholar] [CrossRef]
- Benatar, A.F.; García, G.A.; Bua, J.; Cerliani, J.P.; Postan, M.; Tasso, L.M.; Scaglione, J.; Stupirski, J.C.; Toscano, M.A.; Rabinovich, G.A.; et al. Galectin-1 Prevents Infection and Damage Induced by Trypanosoma cruzi on Cardiac Cells. PLoS Negl. Trop. Dis. 2015, 9, e0004148. [Google Scholar] [CrossRef]
- De Bona, E.; Lidani, K.C.F.; Bavia, L.; Omidian, Z.; Gremski, L.H.; Sandri, T.L.; Messias Reason, I.J. de Autoimmunity in Chronic Chagas Disease: A Road of Multiple Pathways to Cardiomyopathy? Front. Immunol. 2018, 9. [Google Scholar] [CrossRef]
- Thiers, C.A.; Barbosa, J.L.; Pereira, B.D.B.; Nascimento, E.M.D.; Pedrosa, R.C. Disfunção autonômica e anticorpos contra receptores anti-m2 e anti-β1 em pacientes chagásicos. Arq. Bras. Cardiol. 2012, 99, 732–739. [Google Scholar] [CrossRef][Green Version]
- Chaves, A.T.; Menezes, C.A.S.; Costa, H.S.; Nunes, M.C.P.; Rocha, M.O.C. Myocardial fibrosis in chagas disease and molecules related to fibrosis. Parasite Immunol. 2019, 41. [Google Scholar] [CrossRef]
- Malik, L.H.; Singh, G.D.; Amsterdam, E.A. The Epidemiology, Clinical Manifestations, and Management of Chagas Heart Disease. Clin. Cardiol. 2015, 38, 565–569. [Google Scholar] [CrossRef]
- Brito, B.O.D.F.; Ribeiro, A.L.P. Electrocardiogram in Chagas disease. Rev. Soc. Bras. Med. Trop. 2018, 51, 570–577. [Google Scholar] [CrossRef]
- Olivera, M.J.; Fory, J.A.; Porras, J.F.; Buitrago, G. Prevalence of Chagas disease in Colombia: A systematic review and meta-analysis. PLoS ONE 2019, 14, e0210156. [Google Scholar] [CrossRef]
- Chatelain, E. Chagas disease research and development: Is there light at the end of the tunnel? Comput. Struct. Biotechnol. J. 2017, 15, 98–103. [Google Scholar] [CrossRef]
- Sabino, E.C.; Ribeiro, A.L.; Salemi, V.M.C.; Di Lorenzo Oliveira, C.; Antunes, A.P.; Menezes, M.M.; Ianni, B.M.; Nastari, L.; Fernandes, F.; Patavino, G.M.; et al. Ten-Year Incidence of Chagas Cardiomyopathy Among Asymptomatic Trypanosoma cruzi –Seropositive Former Blood Donors. Circulation 2013, 127, 1105–1115. [Google Scholar] [CrossRef]
- Hasslocher-Moreno, A.M.; Salles Xavier, S.; Magalhães Saraiva, R.; Conde Sangenis, L.H.; Teixeira de Holanda, M.; Horta Veloso, H.; Rodrigues da Costa, A.; de Souza Nogueira Sardinha Mendes, F.; Alvarenga Americano do Brasil, P.E.; Sperandio da Silva, G.M.; et al. Progression Rate from the Indeterminate Form to the Cardiac Form in Patients with Chronic Chagas Disease: Twenty-Two-Year Follow-Up in a Brazilian Urban Cohort. Trop. Med. Infect. Dis. 2020, 5, 76. [Google Scholar] [CrossRef]
- Cardoso, C.S.; Sabino, E.C.; Oliveira, C.D.L.; de Oliveira, L.C.; Ferreira, A.M.; Cunha-Neto, E.; Bierrenbach, A.L.; Ferreira, J.E.; Haikal, D.S.; Reingold, A.L.; et al. Longitudinal study of patients with chronic Chagas cardiomyopathy in Brazil (SaMi-Trop project): A cohort profile. BMJ Open 2016, 6, e011181. [Google Scholar] [CrossRef]
- Prata, A. Clinical and epidemiological aspects of Chagas disease. Lancet Infect. Dis. 2001, 1, 92–100. [Google Scholar] [CrossRef]
- Bern, C.; Messenger, L.A.; Whitman, J.D.; Maguire, J.H. Chagas Disease in the United States: A Public Health Approach. Clin. Microbiol. Rev. 2019, 33. [Google Scholar] [CrossRef]
- Matsuda, N.M.; Miller, S.M.; Evora, P.R.B. The chronic gastrointestinal manifestations of Chagas disease. Clinics 2009, 64, 1219–1224. [Google Scholar] [CrossRef]
- Rojas, L.Z.; Glisic, M.; Pletsch-Borba, L.; Echeverría, L.E.; Bramer, W.M.; Bano, A.; Stringa, N.; Zaciragic, A.; Kraja, B.; Asllanaj, E.; et al. Electrocardiographic abnormalities in Chagas disease in the general population: A systematic review and meta-analysis. PLoS Negl. Trop. Dis. 2018, 12, e0006567. [Google Scholar] [CrossRef] [PubMed]
- Bozkurt, B.; Colvin, M.; Cook, J.; Cooper, L.T.; Deswal, A.; Fonarow, G.C.; Francis, G.S.; Lenihan, D.; Lewis, E.F.; McNamara, D.M.; et al. Current Diagnostic and Treatment Strategies for Specific Dilated Cardiomyopathies: A Scientific Statement From the American Heart Association. Circulation 2016, 134. [Google Scholar] [CrossRef] [PubMed]
- Keating, S.M.; Deng, X.; Fernandes, F.; Cunha-Neto, E.; Ribeiro, A.L.; Adesina, B.; Beyer, A.I.; Contestable, P.; Custer, B.; Busch, M.P.; et al. Inflammatory and cardiac biomarkers are differentially expressed in clinical stages of Chagas disease. Int. J. Cardiol. 2015, 199, 451–459. [Google Scholar] [CrossRef] [PubMed]
- Marcolino, M.S.; Palhares, D.M.; Ferreira, L.R.; Ribeiro, A.L. Electrocardiogram and Chagas Disease: A Large Population Database of Primary Care Patients. Glob. Heart 2015, 10, 167. [Google Scholar] [CrossRef] [PubMed]
- Bestetti, R.B.; Restini, C.B.A. Precordial chest pain in patients with chronic Chagas disease. Int. J. Cardiol. 2014, 176, 309–314. [Google Scholar] [CrossRef]
- Rocha, A.L.L.; Lombardi, F.; da Costa Rocha, M.O.; Barros, M.V.L.; Val Barros, V.d.C.; Reis, A.M.; Ribeiro, A.L.P. Chronotropic Incompetence and Abnormal Autonomic Modulation in Ambulatory Chagas Disease Patients. Ann. Noninvasive Electrocardiol. 2006, 11, 3–11. [Google Scholar] [CrossRef]
- Miranda, C.H.; Figueiredo, A.B.; Maciel, B.C.; Marin-Neto, J.A.; Simoes, M.V. Sustained Ventricular Tachycardia Is Associated with Regional Myocardial Sympathetic Denervation Assessed with 123I-Metaiodobenzylguanidine in Chronic Chagas Cardiomyopathy. J. Nucl. Med. 2011, 52, 504–510. [Google Scholar] [CrossRef]
- Montanaro, V.V.A.; Hora, T.F.; da Silva, C.M.; de Viana Santos, C.V.; Lima, M.I.R.; de Jesus Oliveira, E.M.; de Freitas, G.R. Cerebral infarct topography of atrial fibrillation and Chagas disease. J. Neurol. Sci. 2019, 400, 10–14. [Google Scholar] [CrossRef]
- Cardoso, R.; Garcia, D.; Fernandes, G.; He, L.; Lichtenberger, P.; Viles-Gonzalez, J.; Coffey, J.O.; Mitrani, R.D. The Prevalence of Atrial Fibrillation and Conduction Abnormalities in Chagas’ Disease: A Meta-Analysis. J. Cardiovasc. Electrophysiol. 2016, 27, 161–169. [Google Scholar] [CrossRef]
- Ferreira Silva, N.C.; Reis, M.d.C.M.; Póvoa, R.M.d.S.; Paola, A.A.V.; Luna Filho, B. Ventricular arrhythmias in the Chagas disease are not random phenomena: Long-term monitoring in Chagas arrhythmias. J. Cardiovasc. Electrophysiol. 2019, 30, 2370–2376. [Google Scholar] [CrossRef]
- Melendez-Ramirez, G.; Soto, M.E.; Velasquez Alvarez, L.C.; Meave, A.; Juarez-Orozco, L.E.; Guarner-Lans, V.; Morales, J.L. Comparison of the amount and patterns of late enhancement in Chagas disease according to the presence and type of ventricular tachycardia. J. Cardiovasc. Electrophysiol. 2019, 30, 1517–1525. [Google Scholar] [CrossRef]
- Barbosa, M.P.T.; Carmo, A.A.L.D.; Rocha, M.O.d.C.; Ribeiro, A.L.P. Ventricular arrhythmias in Chagas disease. Rev. Soc. Bras. Med. Trop. 2015, 48, 4–10. [Google Scholar] [CrossRef]
- Ribeiro Cury Pavão, M.L.; Arfelli, E.; Scorzoni-Filho, A.; Pavão, R.B.; Pazin-Filho, A.; Marin-Neto, J.A.; Schmidt, A. Electrical Storm in Chagas Cardiomyopathy. JACC Clin. Electrophysiol. 2020, 6, 1238–1245. [Google Scholar] [CrossRef]
- Rassi Jr, A.; Rassi, S.G.; Rassi, A. Sudden death in Chagas’ disease. Arq. Bras. Cardiol. 2001, 76. [Google Scholar] [CrossRef]
- Bestetti, R.B.; Cardinalli-Neto, A. Sudden cardiac death in Chagas’ heart disease in the contemporary era. Int. J. Cardiol. 2008, 131, 9–17. [Google Scholar] [CrossRef]
- Sheldon, R.; Connolly, S.; Krahn, A.; Roberts, R.; Gent, M.; Gardner, M. Identification of Patients Most Likely to Benefit From Implantable Cardioverter-Defibrillator Therapy: The Canadian Implantable Defibrillator Study. Circulation 2000, 101, 1660–1664. [Google Scholar] [CrossRef]
- Acquatella, H.; Schiller, N.B.; Puigbó, J.J.; Giordano, H.; Suárez, J.A.; Casal, H.; Arreaza, N.; Valecillos, R.; Hirschhaut, E. M-mode and two-dimensional echocardiography in chronic Chages’ heart disease. A clinical and pathologic study. Circulation 1980, 62, 787–799. [Google Scholar] [CrossRef] [PubMed]
- Pazin-Filho, A.; Romano, M.M.D.; Almeida-Filho, O.C.; Furuta, M.S.; Viviani, L.F.; Schmidt, A.; Marin-Neto, J.A.; Maciel, B.C. Minor segmental wall motion abnormalities detected in patients with Chagas’ disease have adverse prognostic implications. Braz. J. Med. Biol. Res. 2006, 39, 483–487. [Google Scholar] [CrossRef] [PubMed]
- Hiss, F.C.; Lascala, T.F.; Maciel, B.C.; Marin-Neto, J.A.; Simões, M.V. Changes in Myocardial Perfusion Correlate With Deterioration of Left Ventricular Systolic Function in Chronic Chagas’ Cardiomyopathy. JACC Cardiovasc. Imaging 2009, 2, 164–172. [Google Scholar] [CrossRef]
- Moreira, H.T.; Volpe, G.J.; Marin-Neto, J.A.; Ambale-Venkatesh, B.; Nwabuo, C.C.; Trad, H.S.; Romano, M.M.D.; Pazin-Filho, A.; Maciel, B.C.; Lima, J.A.C.; et al. Evaluation of Right Ventricular Systolic Function in Chagas Disease Using Cardiac Magnetic Resonance Imaging. Circ. Cardiovasc. Imaging 2017, 10. [Google Scholar] [CrossRef] [PubMed]
- Romano, M.M.D.; Moreira, H.T.; Schmidt, A.; Maciel, B.C.; Marin-Neto, J.A. Imaging Diagnosis of Right Ventricle Involvement in Chagas Cardiomyopathy. Biomed Res. Int. 2017, 2017, 1–14. [Google Scholar] [CrossRef] [PubMed]
- Moreira, H.T.; Volpe, G.J.; Marin-Neto, J.A.; Nwabuo, C.C.; Ambale-Venkatesh, B.; Gali, L.G.; Almeida-Filho, O.C.; Romano, M.M.D.; Pazin-Filho, A.; Maciel, B.C.; et al. Right Ventricular Systolic Dysfunction in Chagas Disease Defined by Speckle-Tracking Echocardiography: A Comparative Study with Cardiac Magnetic Resonance Imaging. J. Am. Soc. Echocardiogr. 2017, 30, 493–502. [Google Scholar] [CrossRef] [PubMed]
- Acquatella, H. Echocardiography in Chagas Heart Disease. Circulation 2007, 115, 1124–1131. [Google Scholar] [CrossRef] [PubMed]
- Pinto, A.d.S.; Oliveira, B.M.R.D.; Botoni, F.A.; Ribeiro, A.L.P.; Rocha, M.O.d.C. Disfunção miocárdica em pacientes chagásicos sem cardiopatia aparente. Arq. Bras. Cardiol. 2007, 89. [Google Scholar] [CrossRef][Green Version]
- Andrade, J.P.D.; Marin Neto, J.A.; Paola, A.A.V.D.; Vilas-Boas, F.; Oliveira, G.M.M.; Bacal, F.; Bocchi, E.A.; Almeida, D.R.; Fragata Filho, A.A.; Moreira, M.d.C.V.; et al. I Diretriz Latino-Americana para o diagnóstico e tratamento da cardiopatia chagásica: Resumo executivo. Arq. Bras. Cardiol. 2011, 96, 434–442. [Google Scholar] [CrossRef]
- Lee-Felker, S.A.; Thomas, M.; Felker, E.R.; Traina, M.; Salih, M.; Hernandez, S.; Bradfield, J.; Lee, M.; Meymandi, S. Value of cardiac MRI for evaluation of chronic Chagas disease cardiomyopathy. Clin. Radiol. 2016, 71, 618.e1. [Google Scholar] [CrossRef]
- Duran-Crane, A.; Rojas, C.A.; Cooper, L.T.; Medina, H.M. Cardiac magnetic resonance imaging in Chagas’ disease: A parallel with electrophysiologic studies. Int. J. Cardiovasc. Imaging 2020, 36, 2209–2219. [Google Scholar] [CrossRef]
- Volpe, G.J.; Moreira, H.T.; Trad, H.S.; Wu, K.; Braggion-Santos, M.F.; Santos, M.K.; Maciel, B.C.; Pazin, A.T.; Marin-Neto, J.A.; Lima, J.A.; et al. Presence of scar by late gadolinium enhancement is a strong predictor of events in Chagas Heart Disease. J. Cardiovasc. Magn. Reson. 2014, 16, P343. [Google Scholar] [CrossRef]
- Uellendahl, M.; de Siqueira, M.E.M.; Calado, E.B.; Kalil-Filho, R.; Sobral, D.; Ribeiro, C.; Oliveira, W.; Martins, S.; Narula, J.; Rochitte, C.E. Cardiac Magnetic Resonance-Verified Myocardial Fibrosis in Chagas Disease: Clinical Correlates and Risk Stratification. Arq. Bras. Cardiol. 2016. [Google Scholar] [CrossRef]
- Barizon, G.C.; Simões, M.V.; Schmidt, A.; Gadioli, L.P.; Murta Junior, L.O. Relationship between microvascular changes, autonomic denervation, and myocardial fibrosis in Chagas cardiomyopathy: Evaluation by MRI and SPECT imaging. J. Nucl. Cardiol. 2020, 27, 434–444. [Google Scholar] [CrossRef]
- Noya-Rabelo, M.M.; Macedo, C.T.; Larocca, T.; Machado, A.; Pacheco, T.; Torreão, J.; Souza, B.S.d.F.; Soares, M.B.P.; Ribeiro-dos-Santos, R.; Correia, L.C.L. The Presence and Extension of Myocardial Fibrosis in the Undetermined Form of Chagas’ Disease: A Study Using Magnetic Resonance. Arq. Bras. Cardiol. 2018. [Google Scholar] [CrossRef]
- Pinheiro, M.V.T.; Moll-Bernardes, R.J.; Camargo, G.C.; Siqueira, F.P.; de Azevedo, C.F.; de Holanda, M.T.; Mendes, F.d.S.N.S.; Sangenis, L.H.C.; Mediano, M.F.F.; Sousa, A.S. Associations between Cardiac Magnetic Resonance T1 Mapping Parameters and Ventricular Arrhythmia in Patients with Chagas Disease. Am. J. Trop. Med. Hyg. 2020, 103, 745–751. [Google Scholar] [CrossRef]
- Nunes, M.d.C.P.; Barbosa, M.M.; Rocha, M.O.C. Peculiar Aspects of Cardiogenic Embolism in Patients with Chagas’ Cardiomyopathy: A Transthoracic and Transesophageal Echocardiographic Study. J. Am. Soc. Echocardiogr. 2005, 18, 761–767. [Google Scholar] [CrossRef]
- Nunes, M.C.P.; Barbosa, M.M.; Ribeiro, A.L.P.; Barbosa, F.B.L.; Rocha, M.O.C. Ischemic cerebrovascular events in patients with Chagas cardiomyopathy: A prospective follow-up study. J. Neurol. Sci. 2009, 278, 96–101. [Google Scholar] [CrossRef]
- Nunes, M.C.P.; Barbosa, M.M.; Ribeiro, A.L.P.; Colosimo, E.A.; Rocha, M.O.C. Left Atrial Volume Provides Independent Prognostic Value in Patients With Chagas Cardiomyopathy. J. Am. Soc. Echocardiogr. 2009, 22, 82–88. [Google Scholar] [CrossRef]
- Nunes, M.D.C.P.; Barbosa, M.M.; Ribeiro, A.L.P.; Fenelon, L.M.A.; Rocha, M.O.C. Predictors of Mortality in Patients With Dilated Cardiomyopathy: Relevance of Chagas Disease as an Etiological Factor. Rev. Española Cardiol. (English Ed.) 2010, 63, 788–797. [Google Scholar] [CrossRef]
- Cardoso, R.N.; Macedo, F.Y.B.; Garcia, M.N.; Garcia, D.C.; Benjo, A.M.; Aguilar, D.; Jneid, H.; Bozkurt, B. Chagas Cardiomyopathy is Associated With Higher Incidence of Stroke: A Meta-analysis of Observational Studies. J. Card. Fail. 2014, 20, 931–938. [Google Scholar] [CrossRef] [PubMed]
- Rochitte, C.E.; Oliveira, P.F.; Andrade, J.M.; Ianni, B.M.; Parga, J.R.; Ávila, L.F.; Kalil-Filho, R.; Mady, C.; Meneghetti, J.C.; Lima, J.A.C.; et al. Myocardial Delayed Enhancement by Magnetic Resonance Imaging in Patients With Chagas’ Disease. J. Am. Coll. Cardiol. 2005, 46, 1553–1558. [Google Scholar] [CrossRef] [PubMed]
- de Souza, A.C.J.; Salles, G.; Hasslocher-Moreno, A.M.; de Sousa, A.S.; Alvarenga Americano do Brasil, P.E.; Saraiva, R.M.; Xavier, S.S. Development of a risk score to predict sudden death in patients with Chaga’s heart disease. Int. J. Cardiol. 2015, 187, 700–704. [Google Scholar] [CrossRef]
- de Sousa, A.S.; Xavier, S.S.; de Freitas, G.R.; Hasslocher-Moreno, A. Estratégias de prevenção do acidente vascular encefálico cardioembólico na doença de Chagas. Arq. Bras. Cardiol. 2008, 91, 306–310. [Google Scholar] [CrossRef] [PubMed]
- Montanaro, V.V.A.; da Silva, C.M.; de Viana Santos, C.V.; Lima, M.I.R.; Negrão, E.M.; de Freitas, G.R. Ischemic stroke classification and risk of embolism in patients with Chagas disease. J. Neurol. 2016, 263, 2411–2415. [Google Scholar] [CrossRef] [PubMed]
- Junior, J.O.D.; da Costa Rocha, M.O.; de Souza, A.C.; Kreuser, L.J.; de Souza Dias, L.A.; Tan, C.T.; Taixeira, A.L.; Nunes, M.C.P. Assessment of the source of ischemic cerebrovascular events in patients with Chagas disease. Int. J. Cardiol. 2014, 176, 1352–1354. [Google Scholar] [CrossRef] [PubMed]
- Lima-Costa, M.F.; Castro-Costa, E.; Uchôa, E.; Firmo, J.; Ribeiro, A.L.P.; Ferri, C.P.; Prince, M. A Population-Based Study of the Association between Trypanosoma cruzi Infection and Cognitive Impairment in Old Age (The Bambuí Study). Neuroepidemiology 2009, 32, 122–128. [Google Scholar] [CrossRef] [PubMed]
- Dias, J.S.; Lacerda, A.M.; Vieira-de-Melo, R.M.; Viana, L.C.; Jesus, P.A.P.; Reis, F.J.F.B.; Nitrini, R.; Charchat-Fichman, H.; Lopes, A.A.; Oliveira-Filho, J. Cognitive dysfunction in chronic Chagas disease cardiomyopathy. Dement. Neuropsychol. 2009, 3, 27–33. [Google Scholar] [CrossRef]
- WHO Expert Committee on the Control of Chagas Disease (2000: Brasilia, B& W.H.O). Control of Chagas Disease: Second Report of the WHO Expert Committee; WHO: Geneva, Switzerland, 2002. [Google Scholar]
- Hernández, C.; Cucunubá, Z.; Flórez, C.; Olivera, M.; Valencia, C.; Zambrano, P.; León, C.; Ramírez, J.D. Molecular Diagnosis of Chagas Disease in Colombia: Parasitic Loads and Discrete Typing Units in Patients from Acute and Chronic Phases. PLoS Negl. Trop. Dis. 2016, 10, e0004997. [Google Scholar] [CrossRef]
- da Costa, P.A.; Segatto, M.; Durso, D.F.; de Carvalho Moreira, W.J.; Junqueira, L.L.; de Castilho, F.M.; de Andrade, S.A.; Gelape, C.L.; Chiari, E.; Teixeira-Carvalho, A.; et al. Early polymerase chain reaction detection of Chagas disease reactivation in heart transplant patients. J. Heart Lung Transplant. 2017, 36, 797–805. [Google Scholar] [CrossRef][Green Version]
- Schijman, A.G. Molecular diagnosis of Trypanosoma cruzi. Acta Trop. 2018, 184, 59–66. [Google Scholar] [CrossRef]
- Ramirez, J.D.; Guhl, F.; Umezawa, E.S.; Morillo, C.A.; Rosas, F.; Marin-Neto, J.A.; Restrepo, S. Evaluation of Adult Chronic Chagas’ Heart Disease Diagnosis by Molecular and Serological Methods. J. Clin. Microbiol. 2009, 47, 3945–3951. [Google Scholar] [CrossRef]
- Brasil, P.E.; De Castro, L.; Hasslocher-Moreno, A.M.; Sangenis, L.H.; Braga, J.U. ELISA versus PCR for diagnosis of chronic Chagas disease: Systematic review and meta-analysis. BMC Infect. Dis. 2010, 10, 337. [Google Scholar] [CrossRef]
- Pan American Health Organization. Guidelines for the Diagnosis and Treatment of Chagas Disease; Pan American Health Organization: Washington, DC, USA, 2019. [Google Scholar]
- Mucci, J.; Carmona, S.J.; Volcovich, R.; Altcheh, J.; Bracamonte, E.; Marco, J.D.; Nielsen, M.; Buscaglia, C.A.; Agüero, F. Next-generation ELISA diagnostic assay for Chagas Disease based on the combination of short peptidic epitopes. PLoS Negl. Trop. Dis. 2017, 11, e0005972. [Google Scholar] [CrossRef]
- Acquatella, H.; Pérez, J.E.; Condado, J.A.; Sánchez, I. Limited myocardial contractile reserve and chronotropic incompetence in patients with chronic Chagas’ disease. J. Am. Coll. Cardiol. 1999, 33, 522–529. [Google Scholar] [CrossRef]
- Rassi, A.; Rassi, A.; Little, W.C.; Xavier, S.S.; Rassi, S.G.; Rassi, A.G.; Rassi, G.G.; Hasslocher-Moreno, A.; Sousa, A.S.; Scanavacca, M.I. Development and Validation of a Risk Score for Predicting Death in Chagas’ Heart Disease. N. Engl. J. Med. 2006, 355, 799–808. [Google Scholar] [CrossRef] [PubMed]
- Senra, T.; Ianni, B.M.; Costa, A.C.P.; Mady, C.; Martinelli-Filho, M.; Kalil-Filho, R.; Rochitte, C.E. Long-Term Prognostic Value of Myocardial Fibrosis in Patients With Chagas Cardiomyopathy. J. Am. Coll. Cardiol. 2018, 72, 2577–2587. [Google Scholar] [CrossRef] [PubMed]
- Rodríguez-Zanella, H.; Meléndez-Ramírez, G.; Velázquez, L.; Meave, A.; Alexanderson, E. ECG score correlates with myocardial fibrosis assessed by magnetic resonance: A study in Chagas heart disease. Int. J. Cardiol. 2015, 187, 78–79. [Google Scholar] [CrossRef]
- Coura, J.R.; Castro, S.L. de A Critical Review on Chagas Disease Chemotherapy. Mem. Inst. Oswaldo Cruz 2002, 97, 3–24. [Google Scholar] [CrossRef]
- Villar, J.C.; Herrera, V.M.; Pérez Carreño, J.G.; Váquiro Herrera, E.; Castellanos Domínguez, Y.Z.; Vásquez, S.M.; Cucunubá, Z.M.; Prado, N.G.; Hernández, Y. Nifurtimox versus benznidazole or placebo for asymptomatic Trypanosoma cruzi infection (Equivalence of Usual Interventions for Trypanosomiasis-EQUITY): Study protocol for a randomised controlled trial. Trials 2019, 20, 431. [Google Scholar] [CrossRef]
- Sgambatti de Andrade, A.L.S.; Zicker, F.; de Oliveira, R.M.; Almeida e Silva, S.; Luquetti, A.; Travassos, L.R.; Almeida, I.C.; de Andrade, S.S.; Guimarães de Andrade, J.; Martelli, C.M. Randomised trial of efficacy of benznidazole in treatment of early Trypanosoma cruzi infection. Lancet 1996, 348, 1407–1413. [Google Scholar] [CrossRef]
- das Neves Pinto, A.Y.; da Costa Valente, V.; Coura, J.R.; da Silva Valente, S.A.; Junquiera, A.C.V.; Santos, L.C.; Ferreira, A.G.; de Macedo, R.C. Clinical Follow-Up of Responses to Treatment with Benznidazol in Amazon: A Cohort Study of Acute Chagas Disease. PLoS ONE 2013, 8, e64450. [Google Scholar] [CrossRef]
- Viotti, R.; Vigliano, C.; Lococo, B.; Alvarez, M.G.; Petti, M.; Bertocchi, G.; Armenti, A. Side effects of benznidazole as treatment in chronic Chagas disease: Fears and realities. Expert Rev. Anti-Infect. Ther. 2009, 7, 157–163. [Google Scholar] [CrossRef] [PubMed]
- Jackson, Y.; Wyssa, B.; Chappuis, F. Tolerance to nifurtimox and benznidazole in adult patients with chronic Chagas’ disease. J. Antimicrob. Chemother. 2020, 75, 690–696. [Google Scholar] [CrossRef]
- Berenstein, A.J.; Falk, N.; Moscatelli, G.; Moroni, S.; González, N.; Garcia-Bournissen, F.; Ballering, G.; Freilij, H.; Altcheh, J. Adverse Events Associated with Nifurtimox Treatment for Chagas Disease in Children and Adults. Antimicrob. Agents Chemother. 2020. [Google Scholar] [CrossRef]
- Sales Junior, P.A.; Molina, I.; Fonseca Murta, S.M.; Sánchez-Montalvá, A.; Salvador, F.; Corrêa-Oliveira, R.; Carneiro, C.M. Experimental and Clinical Treatment of Chagas Disease: A Review. Am. J. Trop. Med. Hyg. 2017, 97, 1289–1303. [Google Scholar] [CrossRef]
- Morillo, C.A.; Marin-Neto, J.A.; Avezum, A.; Sosa-Estani, S.; Rassi, A.; Rosas, F.; Villena, E.; Quiroz, R.; Bonilla, R.; Britto, C.; et al. Randomized Trial of Benznidazole for Chronic Chagas’ Cardiomyopathy. N. Engl. J. Med. 2015, 373, 1295–1306. [Google Scholar] [CrossRef]
- del Pilar Fernández, M.; Gaspe, M.S.; Gürtler, R.E. Inequalities in the social determinants of health and Chagas disease transmission risk in indigenous and creole households in the Argentine Chaco. Parasit. Vectors 2019, 12, 184. [Google Scholar] [CrossRef]
- Romagnoli, B.A.A.; Picchi, G.F.A.; Hiraiwa, P.M.; Borges, B.S.; Alves, L.R.; Goldenberg, S. Improvements in the CRISPR/Cas9 system for high efficiency gene disruption in Trypanosoma cruzi. Acta Trop. 2018, 178, 190–195. [Google Scholar] [CrossRef]
- Lander, N.; Chiurillo, M.A.; Docampo, R. CRISPR/Cas9 Technology Applied to the Study of Proteins Involved in Calcium Signaling in Trypanosoma cruzi. In Trypanosomatids; Humana: New York, NY, USA, 2020; pp. 177–197. [Google Scholar]
- Botoni, F.A.; Poole-Wilson, P.A.; Ribeiro, A.L.P.; Okonko, D.O.; Oliveira, B.M.R.; Pinto, A.S.; Teixeira, M.M.; Teixeira, A.L.; Reis, A.M.; Dantas, J.B.P.; et al. A randomized trial of carvedilol after renin-angiotensin system inhibition in chronic Chagas cardiomyopathy. Am. Heart J. 2007, 153, 544.e1. [Google Scholar] [CrossRef]
- Ramires, F.J.A.; Martinez, F.; Gómez, E.A.; Demacq, C.; Gimpelewicz, C.R.; Rouleau, J.L.; Solomon, S.D.; Swedberg, K.; Zile, M.R.; Packer, M.; et al. Post hoc analyses of SHIFT and PARADIGM-HF highlight the importance of chronic Chagas’ cardiomyopathy Comment on: “Safety profile and efficacy of ivabradine in heart failure due to Chagas heart disease: A post hoc analysis of the SHIFT trial” by Bocchi et. ESC Heart Fail. 2018, 5, 1069–1071. [Google Scholar] [CrossRef]
- Novartis Pharmaceuticals. Efficacy and Safety of Sacubitril/Valsartan Compared With Enalapril on Morbidity, Mortality, and NT-proBNP Change in Patients With Chagas Cardiomiophaty (PARACHUTE-HF). In ClinicalTrials.gov; 2019. Available online: https://clinicaltrials.gov/ct2/show/NCT04023227 (accessed on 16 February 2021).
- Bestetti, R.B.; Theodoropoulos, T.A.D.; Cardinalli-Neto, A.; Cury, P.M. Treatment of chronic systolic heart failure secondary to Chagas heart disease in the current era of heart failure therapy. Am. Heart J. 2008, 156, 422–430. [Google Scholar] [CrossRef]
- Gali, W.L.; Sarabanda, A.V.; Baggio, J.M.; Ferreira, L.G.; Gomes, G.G.; Marin-Neto, J.A.; Junqueira, L.F. Implantable cardioverter-defibrillators for treatment of sustained ventricular arrhythmias in patients with Chagas’ heart disease: Comparison with a control group treated with amiodarone alone. Europace 2014, 16, 674–680. [Google Scholar] [CrossRef]
- Fundación Cardioinfantil-Instituto de Cardiologia A Trial Testing Amiodarone in Chagas Cardiomiopathy (ATTACH). In ClinicalTrials.gov; 2017.
- Rassi, F.M.; Minohara, L.; Rassi, A.; Correia, L.C.L.; Marin-Neto, J.A.; Rassi, A.; da Silva Menezes, A. Systematic Review and Meta-Analysis of Clinical Outcome After Implantable Cardioverter-Defibrillator Therapy in Patients With Chagas Heart Disease. JACC Clin. Electrophysiol. 2019, 5, 1213–1223. [Google Scholar] [CrossRef]
- Martinelli, M.; Rassi, A.; Marin-Neto, J.A.; de Paola, A.A.V.; Berwanger, O.; Scanavacca, M.I.; Kalil, R.; de Siqueira, S.F. CHronic use of Amiodarone aGAinSt Implantable cardioverter-defibrillator therapy for primary prevention of death in patients with Chagas cardiomyopathy Study: Rationale and design of a randomized clinical trial. Am. Heart J. 2013, 166, 976–982. [Google Scholar] [CrossRef]
- Moreira, L.F.P.; Galantier, J.; Benício, A.; Leirner, A.A.; Cestari, I.A.; Stolf, N.A.G. Left Ventricular Circulatory Support as Bridge to Heart Transplantation in Chagas’ Disease Cardiomyopathy. Artif. Organs 2007, 31, 253–258. [Google Scholar] [CrossRef]
- Ruzza, A.; Czer, L.S.C.; De Robertis, M.; Luthringer, D.; Moriguchi, J.; Kobashigawa, J.; Trento, A.; Arabia, F. Total Artificial Heart as Bridge to Heart Transplantation in Chagas Cardiomyopathy: Case Report. Transplant. Proc. 2016, 48, 279–281. [Google Scholar] [CrossRef]
- Benvenuti, L.A.; Roggério, A.; Nishiya, A.S.; Mangini, S.; Levi, J.E. Sequential measurement of Trypanosoma cruzi parasitic load in endomyocardial biopsies for early detection and follow-up of Chagas disease reactivation after heart transplantation. Transpl. Infect. Dis. 2020, 22. [Google Scholar] [CrossRef]
- Moreira, M.D.C.V.; Renan Cunha-Melo, J. Chagas Disease Infection Reactivation after Heart Transplant. Trop. Med. Infect. Dis. 2020, 5, 106. [Google Scholar] [CrossRef] [PubMed]
- Rossi Neto, J.M.; Finger, M.A.; dos Santos, C.C. Benznidazole as Prophylaxis for Chagas Disease Infection Reactivation in Heart Transplant Patients: A Case Series in Brazil. Trop. Med. Infect. Dis. 2020, 5, 132. [Google Scholar] [CrossRef] [PubMed]
- Ministerio de Salud de la Nación (Argentina). Guías para la Atención al Paciente Infectado con Trypanosoma Cruzi (Enfermedad de Chagas). Ministerio de Salud de la Nación (Argentina): Buenos Aires, Argentina, 2012; Available online: https://www.fac.org.ar/neuquen/cientifica/Guias_chagas_2012.pdf (accessed on 16 February 2021).
- Carlos Pinto Dias, J.; Novaes Ramos, A.; Dias Gontijo, E.; Luquetti, A.; Aparecida Shikanai-Yasuda, M.; Rodrigues Coura, J.; Morais Torres, R.; Renan da Cunha Melo, J.; Antonio de Almeida, E.; de Oliveira Jr, W.; et al. II Consenso Brasileiro em Doença de Chagas, 2015. Epidemiol. Serviços Saúde 2016, 25, 1–10. [Google Scholar] [CrossRef]
- Pinazo, M.-J.; Miranda, B.; Rodríguez-Villar, C.; Altclas, J.; Serra, M.B.; García-Otero, E.C.; de Almeida, E.A.; de la Mata García, M.; Gascon, J.; Rodríguez, M.G.; et al. Recommendations for management of Chagas disease in organ and hematopoietic tissue transplantation programs in nonendemic areas. Transplant. Rev. 2011, 25, 91–101. [Google Scholar] [CrossRef]
- Chin-Hong, P.V.; Schwartz, B.S.; Bern, C.; Montgomery, S.P.; Kontak, S.; Kubak, B.; Morris, M.I.; Nowicki, M.; Wright, C.; Ison, M.G. Screening and Treatment of Chagas Disease in Organ Transplant Recipients in the United States: Recommendations from the Chagas in Transplant Working Group. Am. J. Transplant. 2011, 11, 672–680. [Google Scholar] [CrossRef]
- Fiorelli, A.I.; Santos, R.H.B.; Oliveira, J.L.; Lourenço-Filho, D.D.; Dias, R.R.; Oliveira, A.S.; da Silva, M.F.A.; Ayoub, F.L.; Bacal, F.; Souza, G.E.C.; et al. Heart Transplantation in 107 Cases of Chagas’ Disease. Transplant. Proc. 2011, 43, 220–224. [Google Scholar] [CrossRef]
- Bestetti, R.B.; Theodoropoulos, T.A.D. A Systematic Review of Studies on Heart Transplantation for Patients With End-Stage Chagas’ Heart Disease. J. Card. Fail. 2009, 15, 249–255. [Google Scholar] [CrossRef]
- Chocair, P.R.; Sabbaga, E.; Amato Neto, V.; Shiroma, M.; de Goes, G.M. Kidney transplantation: A new way of transmitting chagas disease. Rev. Inst. Med. Trop. Sao Paulo 1981, 23, 280–282. [Google Scholar]
- Ferraz, A.S.; Figueiredo, J.F. Transmission of Chagas’ disease through transplanted kidney: Occurrence of the acute form of the disease in two recipients from the same donor. Rev. Inst. Med. Trop. Sao Paulo 1993, 35, 461–463. [Google Scholar] [CrossRef]
- Centers for Disease Control and Prevention Chagas Disease After Organ Transplantation—United States, 2001. MMWR 2002, 51, 210–212.
- Centers for Disease Control and Prevention Chagas Disease After Organ Transplantation—Los Angeles, California, 2006. MMWR 2006, 55, 798–800.
- Huprikar, S.; Bosserman, E.; Patel, G.; Moore, A.; Pinney, S.; Anyanwu, A.; Neofytos, D.; Ketterer, D.; Striker, R.; Silveira, F.; et al. Donor-Derived Trypanosoma cruzi Infection in Solid Organ Recipients in the United States, 2001–2011. Am. J. Transplant. 2013, 13, 2418–2425. [Google Scholar] [CrossRef]
- Riarte, A.; Luna, C.; Segura, E.L. Chagas’ Disease in Patients with Kidney Transplants: 7 Years of Experience, 1989-1996. Clin. Infect. Dis. 1999, 29, 561–567. [Google Scholar] [CrossRef]
- McCormack, L.; Quiñónez, E.; Goldaracena, N.; Anders, M.; Rodríguez, V.; Orozco Ganem, F.; Mastai, R.C. Liver Transplantation Using Chagas-Infected Donors in Uninfected Recipients: A Single-Center Experience Without Prophylactic Therapy. Am. J. Transplant. 2012, 12, 2832–2837. [Google Scholar] [CrossRef]
- Pierrotti, L.C.; Carvalho, N.B.; Amorin, J.P.; Pascual, J.; Kotton, C.N.; López-Vélez, R. Chagas Disease Recommendations for Solid-Organ Transplant Recipients and Donors. Transplantation 2018, 102, S1–S7. [Google Scholar] [CrossRef]
- Casadei, D. Chagas’ Disease Argentine Collaborative Transplant Consortium. Chagas’ Disease and Solid Organ Transplantation. Transplant. Proc. 2010, 42, 3354–3359. [Google Scholar] [CrossRef]
- Kransdorf, E.P.; Zakowski, P.C.; Kobashigawa, J.A. Chagas disease in solid organ and heart transplantation. Curr. Opin. Infect. Dis. 2014, 27, 418–424. [Google Scholar] [CrossRef]
- Sousa, A.; Lobo, M.C.S.; Barbosa, R.; Bello, V. Chagas seropositive donors in kidney transplantation. Transplant. Proc. 2004, 36, 868–869. [Google Scholar] [CrossRef]
- D’Albuquerque, L.A.C.; Gonzalez, A.M.; Filho, H.L.V.N.; Copstein, J.L.M.; Larrea, F.I.S.; Mansero, J.M.P.; Perón, G.; Ribeiro, M.A.F.; de Oliveira e Silva, A. Liver Transplantation from Deceased Donors Serologically Positive for Chagas Disease. Am. J. Transplant. 2007, 7, 680–684. [Google Scholar] [CrossRef]
- Pinazo, M.-J.; Thomas, M.C.; Bua, J.; Perrone, A.; Schijman, A.-G.; Viotti, R.-J.; Ramsey, J.-M.; Ribeiro, I.; Sosa-Estani, S.; López, M.-C.; et al. Biological markers for evaluating therapeutic efficacy in Chagas disease, a systematic review. Expert Rev. Anti. Infect. Ther. 2014, 12, 479–496. [Google Scholar] [CrossRef]
- Okamoto, E.E.; Sherbuk, J.E.; Clark, E.H.; Marks, M.A.; Gandarilla, O.; Galdos-Cardenas, G.; Vasquez-Villar, A.; Choi, J.; Crawford, T.C.Q.R. Biomarkers in Trypanosoma cruzi-Infected and Uninfected Individuals with Varying Severity of Cardiomyopathy in Santa Cruz, Bolivia. PLoS Negl. Trop. Dis. 2014, 8, e3227. [Google Scholar] [CrossRef] [PubMed]
- Vasquez-Rodríguez, J.F.; Medina, H.M.; Cabrales, J.R.; Torres, A.G. MitraClip® as bridging strategy for heart transplantation in Chagas cardiomyopathy: A case report. Eur. Heart J.-Case Rep. 2020, 4, 1–5. [Google Scholar] [CrossRef] [PubMed]
- Martinez, F.; Perna, E.; Perrone, S.V.; Liprandi, A.S. Chagas Disease and Heart Failure: An Expanding Issue Worldwide. Eur. Cardiol. Rev. 2019, 14, 82–88. [Google Scholar] [CrossRef] [PubMed]
Countries | Estimated Prevalence | Estimated Number of Infected Individuals | Estimated Number of People with Ch-CMP | Estimated Population at Risk of T. cruzi Infection |
---|---|---|---|---|
Bolivia [8] | 6.10% | 607,000 | 121,000 | 586,000 |
Argentina [8] | 3.61% | 1,505,000 | 376,000 | 2,243,000 |
Paraguay [8] | 2.1% | 185,000 | 33,000 | 1,704,000 |
Ecuador [8] | 1.38% | 200,000 | 40,000 | 4,200,000 |
Colombia [8] | 0.95% | 438,000 | 131,000 | 4,814,000 |
Mexico [8] | 0.78% | 876,000 | 70,000 | 23,475,000 |
Brazil [8] | 0.61% | 1,157,000 | 231,000 | 25,474,000 |
USA [11,12] | 0.097% * | 238,000–300,000 | 30,000–45,000 | NDA |
Europe [13,14] | 0.01–4.2% | 98,000 | 975,000–54,000 | NDA |
A (Indeterminate Form) | B (Asymptomatic Patients with Structural Cardiomyopathy Defined by Either ECG Findings or Echocardiographic Findings) | C | D | |
---|---|---|---|---|
Patients at risk of developing Ch-CMP (established diagnosis) but without symptoms of heart failure or gastrointestinal disease, no structural heart disease, and a normal electrocardiogram | B1 | B2 | Patients with symptoms of heart failure because of a highly affected ventricular function | Patients with refractory symptoms of heart failure and therefore need specialized and advanced interventions |
Patients with mild changes but with preserved global ventricular function | Includes patients with decreased LVEF |
Rassi Score | Sousa Score | IPEC/FIOCRUZ Score | |
---|---|---|---|
Utility | Predicts adverse outcomes, specifically long-term risk of death | Predicts SCD and helps define proper initiation of advanced therapies, including an electrophysiological study | Identifies patients at high risk of stroke and defines initiation of prevention strategies when needed |
Criteria |
|
|
|
Chagas Disease Reactivation Surveillance Protocol after Solid Organ Transplantation | |||
---|---|---|---|
Country | Year Published | Tests | Periodicity |
Argentina [137] | 2012 | qPCR Strout method Blood specimen microscopy | Pre-transplant Weekly for 3 months Monthly for the 1st year Biyearly thereafter |
Brazil [138] | 2015 |
qPCR Blood specimen microscopy Chagas Antibodies Xenodiagnosis | Pre-transplant Every 3 months for the 1st year Every 6 months thereafter |
Spain [139] | 2011 | qPCR Strout method Chagas Antibodies | Pre-transplant Weekly for 2 months Bimonthly until the 6th month Yearly after the 6th month |
United States (CDC) [140] | 2011 | qPCR Blood specimen microscopy | Pre-transplant Weekly for 2 months Biweekly in the 3rd month Monthly until (at least) the 6th month |
Publisher’s Note: MDPI stays neutral with regard to jurisdictional claims in published maps and institutional affiliations. |
© 2021 by the authors. Licensee MDPI, Basel, Switzerland. This article is an open access article distributed under the terms and conditions of the Creative Commons Attribution (CC BY) license (https://creativecommons.org/licenses/by/4.0/).
Share and Cite
Pino-Marín, A.; Medina-Rincón, G.J.; Gallo-Bernal, S.; Duran-Crane, A.; Arango Duque, Á.I.; Rodríguez, M.J.; Medina-Mur, R.; Manrique, F.T.; Forero, J.F.; Medina, H.M. Chagas Cardiomyopathy: From Romaña Sign to Heart Failure and Sudden Cardiac Death. Pathogens 2021, 10, 505. https://doi.org/10.3390/pathogens10050505
Pino-Marín A, Medina-Rincón GJ, Gallo-Bernal S, Duran-Crane A, Arango Duque ÁI, Rodríguez MJ, Medina-Mur R, Manrique FT, Forero JF, Medina HM. Chagas Cardiomyopathy: From Romaña Sign to Heart Failure and Sudden Cardiac Death. Pathogens. 2021; 10(5):505. https://doi.org/10.3390/pathogens10050505
Chicago/Turabian StylePino-Marín, Antonia, Germán José Medina-Rincón, Sebastian Gallo-Bernal, Alejandro Duran-Crane, Álvaro Ignacio Arango Duque, María Juliana Rodríguez, Ramón Medina-Mur, Frida T. Manrique, Julian F. Forero, and Hector M. Medina. 2021. "Chagas Cardiomyopathy: From Romaña Sign to Heart Failure and Sudden Cardiac Death" Pathogens 10, no. 5: 505. https://doi.org/10.3390/pathogens10050505
APA StylePino-Marín, A., Medina-Rincón, G. J., Gallo-Bernal, S., Duran-Crane, A., Arango Duque, Á. I., Rodríguez, M. J., Medina-Mur, R., Manrique, F. T., Forero, J. F., & Medina, H. M. (2021). Chagas Cardiomyopathy: From Romaña Sign to Heart Failure and Sudden Cardiac Death. Pathogens, 10(5), 505. https://doi.org/10.3390/pathogens10050505