Monitoring Sexually Transmitted Infections in Cervicovaginal Exfoliative Samples in Mexican Women
Abstract
:1. Introduction
2. Materials and Methods
2.1. Study Subjects and Selection Criteria
2.2. Ethical Statement
2.3. Specimen Collection
2.4. DNA Extraction
2.5. Primer Design
2.6. Positive Control Strains, Sequence Analysis, and Standardization
2.7. Positive Control Constructs
2.8. PCR Assays Conditions
2.9. Statistical Analysis
3. Results
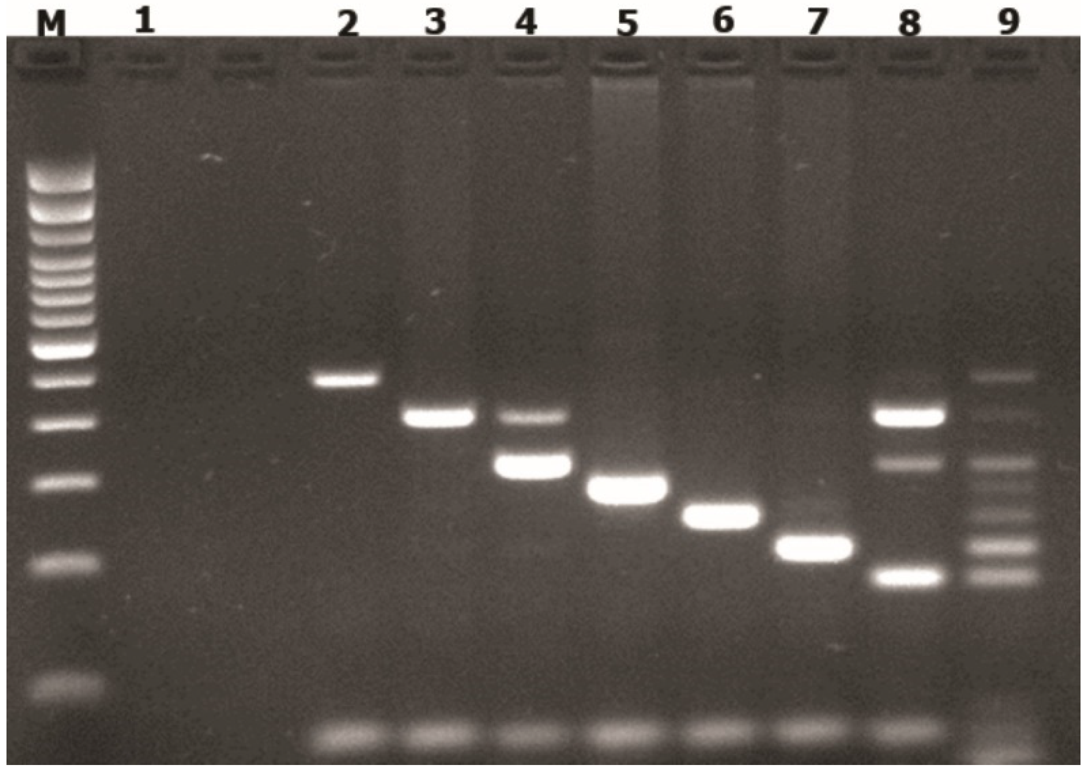
3.1. Multiplex PCR Assay
3.2. Clinical Findings
3.3. Detection of STI in Cervical Samples Using Multiplex PCR Assay
4. Discussion
Supplementary Materials
Author Contributions
Funding
Institutional Review Board Statement
Informed Consent Statement
Data Availability Statement
Acknowledgments
Conflicts of Interest
References
- Unemo, M.; Bradshaw, C.S.; Hocking, J.S.; de Vries, H.J.C.; Francis, S.C.; Mabey, D.; Marrazzo, J.M.; Sonder, G.J.B.; Schwebke, J.R.; Hoornenborg, E.; et al. Sexually transmitted infections: Challenges ahead. Lancet Infect. Dis. 2017, 17, e235–e279. [Google Scholar] [CrossRef]
- Rowley, J.; Vander Hoorn, S.; Korenromp, E.; Low, N.; Unemo, M.; Abu-Raddad, L.J.; Chico, R.M.; Smolak, A.; Newman, L.; Gottlieb, S.; et al. Chlamydia, gonorrhoea, trichomoniasis and syphilis: Global prevalence and incidence estimates, 2016. Bull. World Health Organ. 2019, 97, 548–562. [Google Scholar] [CrossRef] [PubMed]
- Katusiime, C.; Schlech, W.F., 3rd; Parkes-Ratanshi, R.; Sempa, J.; Kambugu, A. Characteristics of Sexually Transmitted Infections among High-Risk HIV-Positive Patients Attending an Urban Clinic in Uganda. J. Int. Assoc. Provid. AIDS Care 2016, 15, 36–41. [Google Scholar] [CrossRef]
- Chersich, M.F.; Delany-Moretlwe, S.; Martin, G.; Rees, H. Advancing STI priorities in the SDG era: Priorities for action. Global Health 2018, 14, 6. [Google Scholar] [CrossRef] [Green Version]
- De Salazar, A.; Espadafor, B.; Fuentes-Lopez, A.; Barrientos-Duran, A.; Salvador, L.; Alvarez, M.; Garcia, F. Comparison between Aptima Assays (Hologic) and the Allplex STI Essential Assay (Seegene) for the diagnosis of Sexually transmitted infections. PLoS ONE 2019, 14, e0222439. [Google Scholar] [CrossRef]
- Xiu, L.; Zhang, C.; Li, Y.; Wang, F.; Peng, J. Simultaneous detection of eleven sexually transmitted agents using multiplexed PCR coupled with MALDI-TOF analysis. Infect. Drug Resist. 2019, 12, 2671–2682. [Google Scholar] [CrossRef] [Green Version]
- Parcell, B.J.; Ratnayake, L.; Kaminski, G.; Olver, W.J.; Yirrell, D.L. Value of repeat testing using Cepheid GeneXpert CT/NG for indeterminate PCR results when diagnosing Chlamydia trachomatis and Neisseria gonorrhoeae. Int. J. STD AIDS 2015, 26, 65–67. [Google Scholar] [CrossRef]
- Shen, Z.; Qu, W.; Wang, W.; Lu, Y.; Wu, Y.; Li, Z.; Hang, X.; Wang, X.; Zhao, D.; Zhang, C. MPprimer: A program for reliable multiplex PCR primer design. BMC Bioinf. 2010, 11, 143. [Google Scholar] [CrossRef] [PubMed] [Green Version]
- Mahony, J.B.; Luinstra, K.E.; Sellors, J.W.; Chernesky, M.A. Comparison of plasmid- and chromosome-based polymerase chain reaction assays for detecting Chlamydia trachomatis nucleic acids. J. Clin. Microbiol. 1993, 31, 1753–1758. [Google Scholar] [CrossRef] [Green Version]
- Maniatis, T.; Fritsch, E.F.; Sambrook, J. Molecular Cloning: A Laboratory Manual; Cold Spring Harbor Laboratory: Cold Spring Harbor, NY, USA, 1982; p. 545. [Google Scholar]
- Morgulis, A.; Coulouris, G.; Raytselis, Y.; Madden, T.L.; Agarwala, R.; Schaffer, A.A. Database indexing for production MegaBLAST searches. Bioinformatics 2008, 24, 1757–1764. [Google Scholar] [CrossRef]
- Orozco-Hoyos, N.; Baena, A.; Montoya-Ruiz, C.; Sanchez, G.I.; Restrepo, E. Prevalence of Chlamydia trachomatis in an asymptomatic female population attending cervical cytology services of three healthcare centers in Medellin, Colombia. Biomedica 2020, 40, 534–545. [Google Scholar] [CrossRef]
- Paganella, M.P.; da Motta, L.R.; Adami, A.G.; Sperhacke, R.D.; Kato, S.K.; Pereira, G.F.M. Knowledge about sexually transmitted infections among young men presenting to the Brazilian Army, 2016: A STROBE-compliant national survey-based cross-sectional observational study. Medicine 2021, 100, e26060. [Google Scholar] [CrossRef]
- Khan, M.A.; Rahman, M.; Khanam, P.A.; Barkate, K.; Kane, T.T.; Ashraf, A. Awareness of sexually transmitted disease among women and service providers in rural Bangladesh. Int. J. STD AIDS 1997, 8, 688–696. [Google Scholar] [CrossRef] [PubMed]
- Haggerty, C.L.; Totten, P.A.; Tang, G.; Astete, S.G.; Ferris, M.J.; Norori, J.; Bass, D.C.; Martin, D.H.; Taylor, B.D.; Ness, R.B. Identification of novel microbes associated with pelvic inflammatory disease and infertility. Sex. Transm. Infect. 2016, 92, 441–446. [Google Scholar] [CrossRef] [PubMed] [Green Version]
- Korenromp, E.L.; Wi, T.; Resch, S.; Stover, J.; Broutet, N. Costing of National STI Program Implementation for the Global STI Control Strategy for the Health Sector, 2016–2021. PLoS ONE 2017, 12, e0170773. [Google Scholar] [CrossRef] [PubMed] [Green Version]
- Carneiro, F.P.; Daros, A.C.; Daros, A.C.M.; de Castro, T.; de Vasconcelos Carneiro, M.; Fidelis, C.R.; Vilioni, M.V.; da Costa Matsunaga, M.E.; Sidou, J.M.O.; Chaves, M.; et al. Cervical Cytology of Samples with Ureaplasma urealyticum, Ureaplasma parvum, Chlamydia trachomatis, Trichomonas vaginalis, Mycoplasma hominis, and Neisseria gonorrhoeae Detected by Multiplex PCR. Biomed. Res. Int. 2020, 2020, 7045217. [Google Scholar] [CrossRef]
- Guralp, O.; Bostanci, A.; Ozerkman Basaran, E.; Schild-Suhren, M.; Kaya, B. Evaluation of the prevalence of sexually transmitted bacterial pathogens in Northern Cyprus by nucleic acid amplification tests, and investigation of the relationship between these pathogens and cervicitis. Turk. J. Obstet. Gynecol. 2019, 16, 242–248. [Google Scholar] [CrossRef]
- Kim, Y.; Kim, J.; Lee, K.A. Prevalence of sexually transmitted infections among healthy Korean women: Implications of multiplex PCR pathogen detection on antibiotic therapy. J. Infect. Chemother. 2014, 20, 74–76. [Google Scholar] [CrossRef]
- Manavi, K. A review on infection with Chlamydia trachomatis. Best Pract. Res. Clin. Obstet. Gynaecol. 2006, 20, 941–951. [Google Scholar] [CrossRef] [PubMed]
- Lopez-Hurtado, M.; Garcia-Romero, S.; Escobedo-Guerra, M.R.; Bustos-Lopez, D.; Guerra-Infante, F.M. Prevalence of genital Chlamydia trachomatis infection in women attending in the National Institute of Perinatology from Mexico City. Rev. Chil. Infectol. 2018, 35, 371–376. [Google Scholar] [CrossRef]
- Huai, P.; Li, F.; Chu, T.; Liu, D.; Liu, J.; Zhang, F. Prevalence of genital Chlamydia trachomatis infection in the general population: A meta-analysis. BMC Infect. Dis. 2020, 20, 589. [Google Scholar] [CrossRef]
- Boislard, M.A.; van de Bongardt, D.; Blais, M. Sexuality (and Lack Thereof) in Adolescence and Early Adulthood: A Review of the Literature. Behav. Sci. 2016, 6, 8. [Google Scholar] [CrossRef] [PubMed]
- Muzny, C.A. Why Does Trichomonas vaginalis Continue to be a “Neglected” Sexually Transmitted Infection? Clin. Infect. Dis. 2018, 67, 218–220. [Google Scholar] [CrossRef] [PubMed]
- Casillas-Vega, N.; Morfin-Otero, R.; Garcia, S.; Llaca-Diaz, J.; Rodriguez-Noriega, E.; Camacho-Ortiz, A.; Ayala-Castellanos Mde, L.; Mendoza-Olazaran, S.; Flores-Trevino, S.; Petersen-Morfin, S.; et al. Sexually transmitted pathogens, coinfections and risk factors in patients attending obstetrics and gynecology clinics in Jalisco, Mexico. Salud Publica Mex. 2016, 58, 437–445. [Google Scholar] [CrossRef] [Green Version]
- Soto, R.J.; Ghee, A.E.; Nunez, C.A.; Mayorga, R.; Tapia, K.A.; Astete, S.G.; Hughes, J.P.; Buffardi, A.L.; Holte, S.E.; Holmes, K.K.; et al. Sentinel surveillance of sexually transmitted infections/HIV and risk behaviors in vulnerable populations in 5 Central American countries. J. Acquir. Immune Defic. Syndr. 2007, 46, 101–111. [Google Scholar] [CrossRef]
- Satterwhite, C.L.; Torrone, E.; Meites, E.; Dunne, E.F.; Mahajan, R.; Ocfemia, M.C.; Su, J.; Xu, F.; Weinstock, H. Sexually transmitted infections among US women and men: Prevalence and incidence estimates, 2008. Sex. Transm. Dis. 2013, 40, 187–193. [Google Scholar] [CrossRef] [PubMed]
- Paira, D.A.; Molina, G.; Tissera, A.D.; Olivera, C.; Molina, R.I.; Motrich, R.D. Results from a large cross-sectional study assessing Chlamydia trachomatis, Ureaplasma spp. and Mycoplasma hominis urogenital infections in patients with primary infertility. Sci. Rep. 2021, 11, 13655. [Google Scholar] [CrossRef]
- Frolund, M.; Bjornelius, E.; Lidbrink, P.; Ahrens, P.; Jensen, J.S. Comparison between culture and a multiplex quantitative real-time polymerase chain reaction assay detecting Ureaplasma urealyticum and U. parvum. PLoS ONE 2014, 9, e102743. [Google Scholar] [CrossRef]
- Horner, P.; Donders, G.; Cusini, M.; Gomberg, M.; Jensen, J.S.; Unemo, M. Should we be testing for urogenital Mycoplasma hominis, Ureaplasma parvum and Ureaplasma urealyticum in men and women?—A position statement from the European STI Guidelines Editorial Board. J. Eur. Acad. Dermatol. Venereol. 2018, 32, 1845–1851. [Google Scholar] [CrossRef] [Green Version]
- Brandolt, T.M.; Klafke, G.B.; Goncalves, C.V.; Bitencourt, L.R.; Martinez, A.M.; Mendes, J.F.; Meireles, M.C.; Xavier, M.O. Prevalence of Candida spp. in cervical-vaginal samples and the in vitro susceptibility of isolates. Braz. J. Microbiol. 2017, 48, 145–150. [Google Scholar] [CrossRef] [Green Version]
- Kruppa, M.D.; Jacobs, J.; King-Hook, K.; Galloway, K.; Berry, A.; Kintner, J.; Whittimore, J.D.; Fritz, R.; Schoborg, R.V.; Hall, J.V. Binding of Elementary Bodies by the Opportunistic Fungal Pathogen Candida albicans or Soluble beta-Glucan, Laminarin, Inhibits Chlamydia trachomatis Infectivity. Front. Microbiol. 2018, 9, 3270. [Google Scholar] [CrossRef] [PubMed]
- Abou Tayoun, A.N.; Burchard, P.R.; Caliendo, A.M.; Scherer, A.; Tsongalis, G.J. A multiplex PCR assay for the simultaneous detection of Chlamydia trachomatis, Neisseria gonorrhoeae, and Trichomonas vaginalis. Exp. Mol. Pathol. 2015, 98, 214–218. [Google Scholar] [CrossRef] [PubMed] [Green Version]
- Al-Moushaly, A. Considerations on male infertility in genital infections with Chlamydia Trachomatis (CT). J. Med. Life 2013, 6, 283–286. [Google Scholar] [PubMed]
- Gottlieb, S.L.; Newman, L.M.; Amin, A.; Temmerman, M.; Broutet, N. Sexually transmitted infections and women’s sexual and reproductive health. Int. J. Gynaecol. Obstet. 2013, 123, 183–184. [Google Scholar] [CrossRef] [PubMed]
- Meyer, T. Diagnostic Procedures to Detect Chlamydia trachomatis Infections. Microorganisms 2016, 4, 25. [Google Scholar] [CrossRef] [PubMed] [Green Version]




| Pathogen | Gene | Amplicon Size | Gene Bank Access | Reference |
|---|---|---|---|---|
| Mycoplasma spp. | 16S rRNA | 184 | AY466443.1 MN149400.1 | In-house |
| Ureaplasma spp. | 16S rRNA | 397 | EU932691.1 | In-house |
| Candida spp. | 18S rRNA | 473 | X53497.1 | |
| Chlamydia trachomatis | CP | 241 | CP054431.1 | [9] |
| Neisseria gonhorroeae | pJD1 (cppb) | 278 | AP018387.1 | In-house |
| Trichomonas vaginalis | 18S rRNA | 310 | KX061409.1 | In-house |
| Human Herpes Virus | DNA POL | 205 | MH697529.1 MH697449.1 | In-house |
| Sexual History | n | % |
|---|---|---|
| Multiple sexual partners | 130 | 34.5 |
| AFSI < 15 years | 23 | 6.1 |
| Age group | ||
| 15–20 years | 242 | 64.2 |
| 20–25 years | 76 | 20.2 |
| 25–30 years | 30 | 8.0 |
| >30 years | 6 | 1.6 |
| Infection | ||
| History of STI | 43 | 11.4 |
| Gynecologic-obstetric history | ||
| Puerperio | 0 | 0.0 |
| Postmenopause | 36 | 9.5 |
| Contraception | ||
| Oral contraception | 17 | 4.5 |
| Injectable contraceptives | 8 | 2.1 |
| Subdermal Implant | 2 | 0.5 |
| IUD | 12 | 3.2 |
| Hysterectomy | 18 | 4.8 |
| BTL/BPS | 135 | 35.8 |
| Gynecological examination | ||
| Normal cervix | 158 | 41.9 |
| Abnormal cervix | 3 | 0.8 |
| Cervix lesion | 43 | 11.4 |
| Cervicitis | 12 | 3.2 |
| Increase in vaginal discharge | 60 | 15.9 |
| Intermenstrual bleeding | 2 | 0.5 |
| Cervical and vaginal discharge | 8 | 2.1 |
| Cervicitis and vaginal discharge | 23 | 6.1 |
| Inflammatory changes | 68 | 18 |
| Health maintenance | ||
| Tobacco | 60 | 15.9 |
| Cervical cytology | ||
| Without PAP | 362 | 96.0 |
| LSIL + HPV | 6 | 1.6 |
| LSIL + HPV+ CIN1 | 8 | 2.1 |
| LSIL + CIN2 | 1 | 0.3 |
| Ureaplasma spp. | Mycoplasma spp. | Candida spp. | Chlamydia trachomatis | |||||||||
|---|---|---|---|---|---|---|---|---|---|---|---|---|
| Signs and Symptoms | − n (%) | + n (%) | p value | − n (%) | + n (%) | p value | − n (%) | + n (%) | p value | − n (%) | + n (%) | p value |
| Asymptomatic | 182 (48.3) | 79 (21.0) | 0.351 | 228 (60.5) | 33 (8.8) | 0.193 | 229 (60.7) | 32 (8.5) | 0.552 | 249 (66.0) | 12 (3.2) | 0.789 |
| Cervicitis | 8 (2.1) | 4 (1.1) | 0.125 | 11 (2.9) | 1 (0.3) | 0.172 | 11 (2.9) | 1 (0.3) | 0.412 | 12 (3.2) | 0 (0.0) | 0.305 |
| Vaginal discharge | 30 (8.0) | 6 (1.6) | 0.087 | 28 (7.4) | 8 (2.1) | 0.120 | 29 (7.7) | 7 (1.9) | 0.286 | 34 (9.0) | 2 (0.5) | 0.176 |
| Inflammatory changes | 46 (12.2) | 22 (5.8) | 0.064 | 54 (14.3) | 14 (3.7) | 0.071 | 61 (16.2) | 7 (1.9) | 0.078 | 66 (17.5) | 2 (0.5) | 0.081 |
| Variable | PCR Negative | PCR Positive | OR (95% CI) | p-value | OR (95% CI) ± | p-Value ± |
|---|---|---|---|---|---|---|
| AFSI < 15 years | ||||||
| No | 194 (51.5) | 160 (42.4) | Ref. | - | ||
| Yes | 8 (2.1) | 15 (4.0) | 2.273 (0.940–5.499) | 0.062 | 2.055 (0.839–5.037) | 0.115 |
| History of STI | ||||||
| No | 176 (46.7) | 158 (41.9) | Ref. | |||
| Yes | 26 (6.9) | 17 (4.5) | 1.373 (0.718–2.625) | 0.336 | 1.303 (0.683–2.488) | 0.422 |
| MSP | ||||||
| No | 142 (37.7) | 105 (27.9) | Ref. | |||
| Yes | 60 (15.9) | 70 (18.6) | 1.267 (1.021–1.571) | 0.036 | 1.205 (1.016–1.454) | 0.043 |
| Tobacco habit | ||||||
| No | 173 (45.9) | 144 (38.2) | Ref. | |||
| Yes | 29 (7.7) | 31 (8.2) | 0.779 (0.448–1.353) | 0.374 | 0.848 (0.483–1.490) | 0.567 |
| Pathogen | Yes n (%) | No n (%) | OR (CI 95%) | p-Value | OR (CI 95%) ± | p-Value ± |
|---|---|---|---|---|---|---|
| ASFI < 15 years | ||||||
| UP | 13 (3.4) | 98 (26.0) | 3.396 (1.442–7.998) | 0.003 | 3.184 (1.338–7.574) | 0.009 |
| MY | 5 (1.3) | 51 (13.5) | 1.650 (0.587–4.642) | 0.338 | 1.343 (0.455–3.963) | 0.593 |
| CA | 3 (0.8) | 44 (11.7) | 1.057 (0.302–3.703) | 0.931 | 1.049 (0.306–3.594) | 0.939 |
| CT | 0 (0.0) | 16 (4.2) | 0.936 (0.911–0.962) | 0.297 | 0.881 (0.825–0.042) | 0.337 |
| History of STI | ||||||
| UP | 12 (3.2) | 99 (26.3) | 1.088 (0.537–2.206) | 0.814 | 1.048 (0.517–2.126) | 0.897 |
| MY | 5 (1.3) | 51 (13.5) | 1.370 (0.515–3.645) | 0.527 | 1.243 (0.460–3.362) | 0.668 |
| CA | 3 (0.8) | 44 (11.7) | 2.023 (0.600–6.820) | 0.247 | 2.037 (0.599–6.924) | 0.254 |
| CT | 3 (0.8) | 13 (3.4) | 0.540 (0.148–1.977) | 0.345 | 0.465 (0.124–1.743) | 0.256 |
| Multiple sexual partners | ||||||
| UP | 43 (11.4) | 68 (18.0) | 0.769 (0.485–1.217) | 0.261 | 0.811 (0.506–1.300) | 0.385 |
| MY | 27 (7.2) | 29 (7.7) | 1.311 (1.107–1.707) | 0.019 | 1.281 (1.105–1.321) | 0.042 |
| CA | 18 (4.8) | 29 (7.7) | 0.828 (0.441–1.555) | 0.556 | 0.820 (0.427–1.575) | 0.551 |
| CT | 8 (2.1) | 8 (2.1) | 0.510 (0.187–1.393) | 0.182 | 0.602 (0.211–1.718) | 0.343 |
| Tobacco habit | ||||||
| UP | 14 (3.7) | 97 (25.7) | 1.449 (0.761–2.759) | 0.257 | 1.580 (0.818–3.055) | 0.173 |
| MY | 18 (4.8) | 38 (10.1) | 0.485 (0.195–1.205) | 0.082 | 0.261 (0.103–1.365) | 0.094 |
| CA | 5 (1.3) | 42 (11.1) | 1.680 (0.636–4.438) | 0.291 | 1.693 (0.640–4.482) | 0.289 |
| CT | 6 (1.6) | 10 (2.7) | 0.293 (0.102–0.840) | 0.016 | 0.349 (0.119–1.025) | 0.055 |
Publisher’s Note: MDPI stays neutral with regard to jurisdictional claims in published maps and institutional affiliations. |
© 2021 by the authors. Licensee MDPI, Basel, Switzerland. This article is an open access article distributed under the terms and conditions of the Creative Commons Attribution (CC BY) license (https://creativecommons.org/licenses/by/4.0/).
Share and Cite
Hernández-Rosas, F.; Rey-Barrera, M.; Conejo-Saucedo, U.; Orozco-Hernández, E.; Maza-Sánchez, L.; Navarro-Vidal, E.; López-Vera, Y.; Ascencio-Gordillo, M.d.C.; de León-Bautista, M.P. Monitoring Sexually Transmitted Infections in Cervicovaginal Exfoliative Samples in Mexican Women. Pathogens 2021, 10, 1618. https://doi.org/10.3390/pathogens10121618
Hernández-Rosas F, Rey-Barrera M, Conejo-Saucedo U, Orozco-Hernández E, Maza-Sánchez L, Navarro-Vidal E, López-Vera Y, Ascencio-Gordillo MdC, de León-Bautista MP. Monitoring Sexually Transmitted Infections in Cervicovaginal Exfoliative Samples in Mexican Women. Pathogens. 2021; 10(12):1618. https://doi.org/10.3390/pathogens10121618
Chicago/Turabian StyleHernández-Rosas, Fabiola, Manuel Rey-Barrera, Ulises Conejo-Saucedo, Erika Orozco-Hernández, Liliana Maza-Sánchez, Enrique Navarro-Vidal, Yasmín López-Vera, María del Carmen Ascencio-Gordillo, and Mercedes Piedad de León-Bautista. 2021. "Monitoring Sexually Transmitted Infections in Cervicovaginal Exfoliative Samples in Mexican Women" Pathogens 10, no. 12: 1618. https://doi.org/10.3390/pathogens10121618
APA StyleHernández-Rosas, F., Rey-Barrera, M., Conejo-Saucedo, U., Orozco-Hernández, E., Maza-Sánchez, L., Navarro-Vidal, E., López-Vera, Y., Ascencio-Gordillo, M. d. C., & de León-Bautista, M. P. (2021). Monitoring Sexually Transmitted Infections in Cervicovaginal Exfoliative Samples in Mexican Women. Pathogens, 10(12), 1618. https://doi.org/10.3390/pathogens10121618

