Surface Morphology and Human MG-63 Osteoblasic Cell Line Response of 316L Stainless Steel after Various Surface Treatments
Abstract
:1. Introduction
2. Materials and Methods
2.1. Preparation of 316L Stainless-Steel Samples
2.2. Surface Characteristics of 316L Stainless-Steel Samples
2.3. Cell Culture
3. Results and Discussion
3.1. Surface Morphology and Roughness of Polished 316L Stainless Steel after Immersion Corrosion
3.2. Surface Morphology and Roughness of Hydrogen-Charged 316L Stainless Steel after Immersion Corrosion
3.3. Surface Morphology and Roughness of 316L Stainless Steel after Shot Peening and Subsequent Immersion Corrosion
3.4. Surface Morphology and Roughness of Polished 316L Stainless Steel after Electrochemical Corrosion
3.5. Raman Analysis of 316L Stainless Steel after Various Surface Treatments
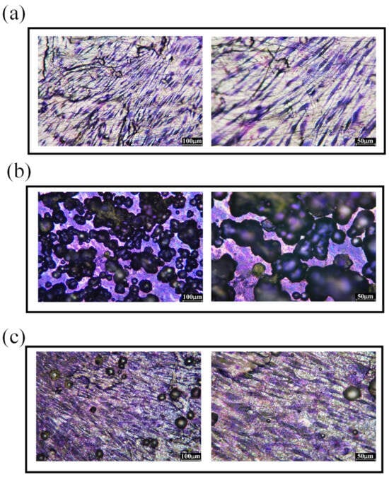
3.6. Spreading and Surface Morphology of Osteoblasts on 316L Stainless Steel That Underwent Various Surface Treatments
4. Conclusions
Author Contributions
Funding
Data Availability Statement
Conflicts of Interest
References
- Wang, Y.; Li, G.; Yang, L.; Luo, R.; Guo, G. Development of innovative biomaterials and devices for the treatment of cardiovascular diseases. Adv. Mater. 2022, 34, 2201971. [Google Scholar] [CrossRef] [PubMed]
- Prasad, K.; Bazaka, O.; Chua, M.; Rochford, M.; Fedrick, L.; Spoor, J.; Symes, R.; Tieppo, M.; Collins, C.; Cao, A.; et al. Metallic Biomaterials: Current Challenges and Opportunities. Materials 2017, 10, 884. [Google Scholar] [CrossRef] [PubMed]
- Agrawal, C.M. Reconstructing the human body using biomaterials. JOM 1998, 50, 31–35. [Google Scholar] [CrossRef]
- Patel, N.R.; Gohil, P.P. A review on biomaterials: Scope, applications & human anatomy significance. Int. J. Emerg. Technol. Adv. Eng. 2012, 2, 91–101. [Google Scholar]
- Merola, M.; Affatato, S. Materials for Hip Prostheses: A Review of Wear and Loading Considerations. Materials 2019, 12, 495. [Google Scholar] [CrossRef] [PubMed]
- Guo, L.; Naghavi, S.A.; Wang, Z.; Varma, S.N.; Han, Z.; Yao, Z.; Liu, C. On the design evolution of hip implants: A review. Mater. Design 2022, 216, 110552. [Google Scholar] [CrossRef]
- Zaman, H.A.; Sharif, S.; Idris, M.H.; Kamarudin, A. Metallic biomaterials for medical implant applications: A review. Appl. Mechan. Mater. 2015, 735, 19–25. [Google Scholar] [CrossRef]
- Kulkarni, S.V.; Nemade, A.C.; Sonawwanay, P.D. An overview on metallic and ceramic biomaterials. In Recent Advances in Manufacturing Processes and Systems; Springer: Berlin/Heidelberg, Germany, 2022; pp. 149–165. [Google Scholar]
- Najibi, A.; Mokhtari, T. Functionally Graded Materials for Knee and Hip Arthroplasty; An Update On Design, Optimization, and Manufacturing. Compos. Struct. 2023, 322, 117350. [Google Scholar] [CrossRef]
- Alabdah, F.; Alshammari, A.; Hidalgo-Bastida, A.; Cooper, G. A Review of Conventional and Novel Treatments for Osteoporotic Hip Replacements. Bioengineering 2023, 10, 161. [Google Scholar] [CrossRef]
- Hussein, M.A.; Mohammed, A.S.; Al-Aqeeli, N. Wear characteristics of metallic biomaterials: A review. Materials 2015, 8, 2749–2768. [Google Scholar] [CrossRef]
- Szczęsny, G.; Kopec, M.; Politis, D.J.; Kowalewski, Z.L.; Łazarski, A.; Szolc, T. A review on biomaterials for orthopaedic surgery and traumatology: From past to present. Materials 2022, 15, 3622. [Google Scholar] [CrossRef] [PubMed]
- Semlitsch, M. Titanium alloys for hip joint replacements. Clin. Mater. 1987, 2, 1–13. [Google Scholar] [CrossRef]
- Davis, R.; Singh, A.; Jackson, M.J.; Coelho, R.T.; Prakash, D.; Charalambous, C.P.; Lawrence, A.A. A comprehensive review on metallic implant biomaterials and their subtractive manufacturing. Int. J. Adv. Manufac. Technol. 2022, 120, 1473–1530. [Google Scholar] [CrossRef] [PubMed]
- Mahajan, A.; Devgan, S.; Kalyanasundaram, D. Surface alteration of Cobalt-Chromium and duplex stainless steel alloys for biomedical applications: A concise review. Mater. Manuf. Process. 2023, 38, 260–270. [Google Scholar] [CrossRef]
- Thanigaivel, S.; Priya, A.K.; Balakrishnan, D.; Dutta, K.; Rajendran, S.; Soto-Moscoso, M. Insight on recent development in metallic biomaterials: Strategies involving synthesis, types and surface modification for advanced therapeutic and biomedical applications. Biochem. Eng. J. 2022, 187, 108522. [Google Scholar] [CrossRef]
- Trepanier, C.; Tabrizian, M.; Yahia, L.H.; Bilodeau, L.; Piron, D.L. Effect of modification of oxide layer on NiTi stent corrosion resistance. J. Biomed. Mater. Res. 1998, 43, 433–440. [Google Scholar] [CrossRef]
- Mohammed, M.T.; Khan, Z.A.; Siddiquee, A.N. Surface modifications of titanium materials for developing corrosion behavior in human body environment: A review. Procedia Mater. Sci. 2014, 6, 1610–1618. [Google Scholar] [CrossRef]
- Jaishankar, M.; Tseten, T.; Anbalagan, N.; Mathew, B.B.; Beeregowda, K.N. Toxicity, mechanism and health effects of some heavy metals. Interdiscip. Toxicol. 2014, 7, 60–72. [Google Scholar] [CrossRef]
- McKay, G.C.; Macnair, R.; MacDonald, C.; Grant, M.H. Interactions of orthopaedic metals with an immortalized rat osteoblast cell line. Biomaterials 1996, 17, 1339–1344. [Google Scholar] [CrossRef]
- Lei, Y.B.; Wang, Z.B.; Zhang, B.; Luo, Z.P.; Lu, J.; Lu, K. Enhanced mechanical properties and corrosion resistance of 316L stainless steel by pre-forming a gradient nanostructured surface layer and annealing. Acta Mater. 2021, 208, 116773. [Google Scholar] [CrossRef]
- Morsiya, C. A review on parameters affecting properties of biomaterial SS 316L. Aust. J. Mech. Eng. 2022, 20, 803–813. [Google Scholar] [CrossRef]
- Corradi, M.; Osofero, A.I.; Borri, A. Repair and Reinforcement of Historic Timber Structures with Stainless Steel—A Review. Metals 2019, 9, 106. [Google Scholar] [CrossRef]
- Järvenpää, A.; Jaskari, M.; Kisko, A.; Karjalainen, P. Processing and Properties of Reversion-Treated Austenitic Stainless Steels. Metals 2020, 10, 281. [Google Scholar] [CrossRef]
- Taxell, P.; Huuskonen, P. Toxicity assessment and health hazard classification of stainless steels. Regul. Toxicol. Pharmacol. 2022, 133, 105227. [Google Scholar] [CrossRef] [PubMed]
- Bordjih, K.; Jouzeau, J.Y.; Mainard, D.; Payan, E.; Delagoutte, J.P.; Netter, P. Evaluation of the effect of three surface treatments on the biocompatibility of 316L stainless steel using human differentiated cells. Biomaterials 1996, 17, 491–500. [Google Scholar] [CrossRef] [PubMed]
- Wathanyu, K.; Tuchinda, K.; Daopiset, S.; Sirivisoot, S. Corrosion resistance and biocompatibility of cold-sprayed titanium on 316L stainless steel. Surface Coatings Technol. 2022, 445, 128721. [Google Scholar] [CrossRef]
- Pathote, D.; Kumari, P.; Singh, V.; Jaiswal, D.; Gautam, R.K.; Behera, C.K. Biocompatibility evaluation, wettability, and scratch behavior of Ta-coated 316L stainless steel by DC magnetron sputtering for the orthopedic applications. Surface Coatings Technol. 2023, 459, 129392. [Google Scholar] [CrossRef]
- Gao, J.; Cao, Y.; Ma, Y.; Zheng, K.; Zhang, M.; Hei, H.; Liu, K. Wear, corrosion, and biocompatibility of 316L stainless steel modified by well-adhered Ta coatings. J. Mater. Eng. Perform. 2022, 31, 8784–8798. [Google Scholar] [CrossRef]
- Zhang, H.; Han, J.; Sun, Y.; Huang, Y.; Zhou, M. MC3T3-E1 cell response to stainless steel 316L with different surface treatments. Mater. Sci. Eng. C 2015, 56, 22–29. [Google Scholar] [CrossRef]
- Thakur, A.; Kumar, A.; Kaya, S.; Marzouki, R.; Zhang, F.; Guo, L. Recent advancements in surface modification, characterization and functionalization for enhancing the biocompatibility and corrosion resistance of biomedical implants. Coatings 2022, 12, 1459. [Google Scholar] [CrossRef]
- Srinivasan, A.; Rajendran, N. Surface characteristics, corrosion resistance and MG63 osteoblast-like cells attachment behaviour of nano SiO 2–ZrO 2 coated 316L stainless steel. RSC Adv. 2015, 5, 26007–26016. [Google Scholar] [CrossRef]
- Latifi, A.; Imani, M.; Khorasani, M.T.; Joupari, M.D. Electrochemical and chemical methods for improving surface characteristics of 316L stainless steel for biomedical applications. Surf. Coat. Technol. 2013, 221, 1–12. [Google Scholar] [CrossRef]
- Hsu, H.J.; Wu, C.Y.; Huang, B.H.; Tsai, C.H.; Saito, T.; Ou, K.L.; Peng, P.W. Surface characteristics and cell adhesion behaviors of the anodized biomedical stainless steel. Appl. Sci. 2020, 10, 6275. [Google Scholar] [CrossRef]
- Kocijan, A.; Conradi, M.; Hočevar, M. The influence of surface wettability and topography on the bioactivity of TiO2/epoxy coatings on AISI 316L stainless steel. Materials 2019, 12, 1877. [Google Scholar] [CrossRef]
- Bahl, S.; Shreyas, P.; Trishul, M.A.; Suwas, S.; Chatterjee, K. Enhancing the mechanical and biological performance of a metallic biomaterial for orthopedic applications through changes in the surface oxide layer by nanocrystalline surface modification. Nanoscale 2015, 7, 7704–7716. [Google Scholar] [CrossRef] [PubMed]
- Martínez-Calderon, M.; Manso-Silván, M.; Rodríguez, A.; Gómez-Aranzadi, M.; García-Ruiz, J.P.; Olaizola, S.M.; Martín-Palma, R. J Surface micro-and nano-texturing of stainless steel by femtosecond laser for the control of cell migration. Sci. Rep. 2016, 6, 36296. [Google Scholar] [CrossRef] [PubMed]
- Saqib, M.; Beshchasna, N.; Pelaccia, R.; Roshchupkin, A.; Yanko, I.; Husak, Y.; Orazi, L. Tailoring surface properties, biocompatibility and corrosion behavior of stainless steel by laser induced periodic surface treatment towards developing biomimetic stents. Surf. Interface 2022, 34, 102365. [Google Scholar] [CrossRef]
- Shin, Y.C.; Pang, K.M.; Han, D.W.; Lee, K.H.; Ha, Y.C.; Park, J.W.; Lee, J.H. Enhanced osteogenic differentiation of human mesenchymal stem cells on Ti surfaces with electrochemical nanopattern formation. Mater. Sci. Eng C 2019, 99, 1174–1181. [Google Scholar] [CrossRef]
- Malcor, J.D.; Mallein-Gerin, F. Biomaterial functionalization with triple-helical peptides for tissue engineering. Acta Biomater. 2022, 148, 1–21. [Google Scholar] [CrossRef]
- Nouri, A.; Wen, C. 1-Introduction to Surface Coating and Modification for Metallic Biomaterials. Surface Coating and Modification of Metallic Biomaterials; Cuie, W., Ed.; Woodhead Publication: Cambridge, UK, 2015; pp. 3–60. [Google Scholar]
- Oshida, Y.; Sachdeva, R.; Miyazaki, S.; Daly, J. Effects of shot-peening on surface contact angles of biomaterials. J. Mater. Sci. Mater. Med. 1993, 4, 443–447. [Google Scholar] [CrossRef]
- Bagherifard, S.; Hickey, D.J.; De Luca, A.C.; Malheiro, V.N.; Markaki, A.E.; Guagliano, M.; Webster, T.J. The influence of nanostructured features on bacterial adhesion and bone cell functions on severely shot peened 316L stainless steel. Biomaterials 2015, 73, 185–197. [Google Scholar] [CrossRef] [PubMed]
- Babu, S.S.; Padmavathy, R.; Anburaj, N.; Shakthivel, M. A Tribological Study of Shot Peening Process on Stainless Steel. Mater. Today Proc. 2023; in press. [Google Scholar]
- Jang, Y.; Choi, W.T.; Johnson, C.T.; García, A.J.; Singh, P.M.; Breedveld, V.; Champion, J.A. Inhibition of bacterial adhesion on nanotextured stainless steel 316L by electrochemical etching. ACS Biomater. Sci. Eng. 2018, 4, 90–97. [Google Scholar] [CrossRef] [PubMed]
- Asri, R.I.M.; Harun, W.S.W.; Samykano, M.; Lah, N.A.C.; Ghani, S.A.C.; Tarlochan, F.; Raza, M.R. Corrosion and surface modification on biocompatible metals: A review. Mater. Sci. Eng. C 2017, 77, 1261–1274. [Google Scholar] [CrossRef] [PubMed]
- Say, Y.; Aslan, N.; Alla AM, A.; Özmen, H. Influence of chemical etchings on surface properties, in-vitro degradation and ion releases of 316l stainless steel alloy for biomedical applications. Mater. Chem. Phys. 2023, 295, 127139. [Google Scholar] [CrossRef]
- Razi, S.; Mollabashi, M.; Madanipour, K. Laser processing of metallic biomaterials: An approach for surface patterning and wettability control. Eur. Phys. J. Plus 2015, 130, 1–12. [Google Scholar] [CrossRef]
- Sirdeshmukh, N.; Dongre, G. Laser micro & nano surface texturing for enhancing osseointegration and antimicrobial effect of biomaterials: A review. Mater. Today Proc. 2021, 44, 2348–2355. [Google Scholar]
- Abreu, C.M.; Cristóbal, M.J.; Losada, R.; Nóvoa, X.R.; Pena, G.; Pérez, M.C. The effect of Ni in the electrochemical properties of oxide layers grown on stainless steels. Electrochim. Acta 2006, 51, 2991–3000. [Google Scholar] [CrossRef]
- Metikoš-Huković, M.; Ceraj-Cerić, M. p-Type and n-Type Behavior of Chromium Oxide as a Function of the Applied Potential. J. Electrochem. Soc. 1987, 134, 2193. [Google Scholar] [CrossRef]
- Krawczyk, B.; Cook, P.; Hobbs, J.; Engelberg, D.L. Corrosion behavior of cold rolled type 316L stainless steel in HCl-containing environments. Corrosion 2017, 73, 1346–1358. [Google Scholar] [CrossRef]







| Surface Roughness | Ra | Rq | |
|---|---|---|---|
| Sample Conditions | |||
| As polished | 1686 ± 65 | 1101 ± 54 | |
| Corrosion (6 M HNO3/6 M HCl/3 min/room temperature) | 915 ± 12 | 1639 ± 88 | |
| Corrosion (6 M HNO3/6 M HCl/6 min/room temperature) | 677 ± 29 | 3931 ± 118 | |
| Corrosion (6 M HNO3/6 M HCl/6 min/−5 °C) | 686 ± 65 | 1101 ± 54 | |
| Surface Roughness | Ra | Rq | |
|---|---|---|---|
| Sample Conditions | |||
| Corrosion (6 M HNO3/6 M HCl/6 min/−5 °C) | 10.3 ± 1 | 12 ± 1 | |
| Corrosion/Hydrogen-charged | 2379 ± 366 | 3246 ± 207 | |
| Corrosion/Hydrogen-charged/Corrosion | 2907 ± 202 | 1006 ± 9 | |
| Surface Roughness | Ra | Rq | |
|---|---|---|---|
| Sample Conditions | |||
| 0.5 kg/cm2 shot-pinning for 20 s | 850.5 ± 51 | 1745 ± 86 | |
| 0.5 kg/cm2 shot-pinning for 40 s | 1039 ± 7 | 1852 ± 73 | |
| 1 kg/cm2 shot-pinning for 20 s | 1047 ± 17 | 1921 ± 74 | |
| 1.5 kg/cm2 shot-pinning for 10 s | 1711 ± 194 | 2828 ± 98 | |
| Surface Roughness | Ra | Rq | |
|---|---|---|---|
| Sample Conditions | |||
| 1 M HCl | 3940 ± 265 | 5579 ± 354 | |
| 0.75 M HCl | 1931 ± 112 | 3557 ± 288 | |
| 0.5 M HCl | 425 ± 19 | 1331 ± 89 | |
Disclaimer/Publisher’s Note: The statements, opinions and data contained in all publications are solely those of the individual author(s) and contributor(s) and not of MDPI and/or the editor(s). MDPI and/or the editor(s) disclaim responsibility for any injury to people or property resulting from any ideas, methods, instructions or products referred to in the content. |
© 2023 by the authors. Licensee MDPI, Basel, Switzerland. This article is an open access article distributed under the terms and conditions of the Creative Commons Attribution (CC BY) license (https://creativecommons.org/licenses/by/4.0/).
Share and Cite
Hsiao, V.K.S.; Lin, Y.-C.; Wu, H.-C.; Wu, T.-I. Surface Morphology and Human MG-63 Osteoblasic Cell Line Response of 316L Stainless Steel after Various Surface Treatments. Metals 2023, 13, 1739. https://doi.org/10.3390/met13101739
Hsiao VKS, Lin Y-C, Wu H-C, Wu T-I. Surface Morphology and Human MG-63 Osteoblasic Cell Line Response of 316L Stainless Steel after Various Surface Treatments. Metals. 2023; 13(10):1739. https://doi.org/10.3390/met13101739
Chicago/Turabian StyleHsiao, Vincent K. S., Yan-Cheng Lin, Hsi-Chin Wu, and Tair-I Wu. 2023. "Surface Morphology and Human MG-63 Osteoblasic Cell Line Response of 316L Stainless Steel after Various Surface Treatments" Metals 13, no. 10: 1739. https://doi.org/10.3390/met13101739
APA StyleHsiao, V. K. S., Lin, Y.-C., Wu, H.-C., & Wu, T.-I. (2023). Surface Morphology and Human MG-63 Osteoblasic Cell Line Response of 316L Stainless Steel after Various Surface Treatments. Metals, 13(10), 1739. https://doi.org/10.3390/met13101739

