Nanomechanical Characterization for Cold Spray: From Feedstock to Consolidated Material Properties
Abstract
1. Introduction
2. Materials and Methods
3. Results and Discussion
3.1. Particle-Dominated Nanoindentation Depth
3.1.1. The Yan et al. Model
3.1.2. Alternatives to the Yan et al. Model
3.1.3. Contrasting Particle-Dominated Depth Models
3.1.4. Additional Consideration of Yan et al.’s Model
3.2. Pile-Up and Particle Immersion
3.2.1. On Particle Immersion
3.2.2. On Pile-Up
3.3. Particle Surface Finish and Inclination
3.4. On Microindentation of Particulates
3.5. Treating Embedded Powder as a Thin Film
3.6. Nanoindentation Systems with Varied Specifications
3.7. Measuring the Effect of Thermal Processing
3.7.1. Processing of Powder vs. Bulk Material
3.7.2. Static Nanoindentation of Processed Powder
3.7.3. Static vs. Dynamic Nanoindentation
3.7.4. CSM Nanoindentation and Strain-Rate Sensitivity
3.8. Indentation Size Effects
3.9. Additive Yield Strength Model
Computational, Static and Dynamic Hardness
3.10. Degassing and Additional Processing Effects
3.10.1. Aluminum Powder Degassing
3.10.2. Nanoindentation of Copper Powder
3.10.3. Cooling Rate, Grain/Particle Size and Hardness
3.10.4. Thermal Processing Design and Prototyping
3.11. Dynamic Single Particle Compression
3.11.1. Powder Prior to Compression Testing
3.11.2. Modulus of Elasticity vs. Strain
3.11.3. Compressive Particle Strength
3.12. Crystallographic Dependancy of Nanoindentation
3.12.1. Orientation-Dependent Powder Properties
3.12.2. Prospective Implications for Cold Spray
3.13. Dynamic Spherical Nanoindentation
3.13.1. Tip Geometry and Imperfections
3.13.2. Method of Analysis
3.13.3. Resultant Stress–Strain Behavior
3.13.4. Additional Validation
3.13.5. Relation to Cold Spray Deposition
3.14. Rapid Prototyping and Assessment of Powder
3.15. Direct Implications for Cold Spray
3.15.1. Mechanical Property Mapping
3.15.2. Cold Sprayed Consolidation Thermal Processing
3.15.3. Relation to Single Particle Impacts
4. Concluding Remarks
- Evaluation and consideration of particle-dominated nanoindentation depth models found the Yan et al. model to be well suited as a guiding principle for nanoindentation testing depth limits associated with a particle embedded within a mounting material. However, refinements must be made. Future experimental/computational coupled research will be pursued with collaborators to develop a more refined upper bound of the depth limit such that mounting material effects are more confidently avoided. Alternatives to the Yan et al. model were found to regularly overestimate the upper bound of the particle-dominated indentation depth regimes, especially when the modulus of elasticity needs to be measured.
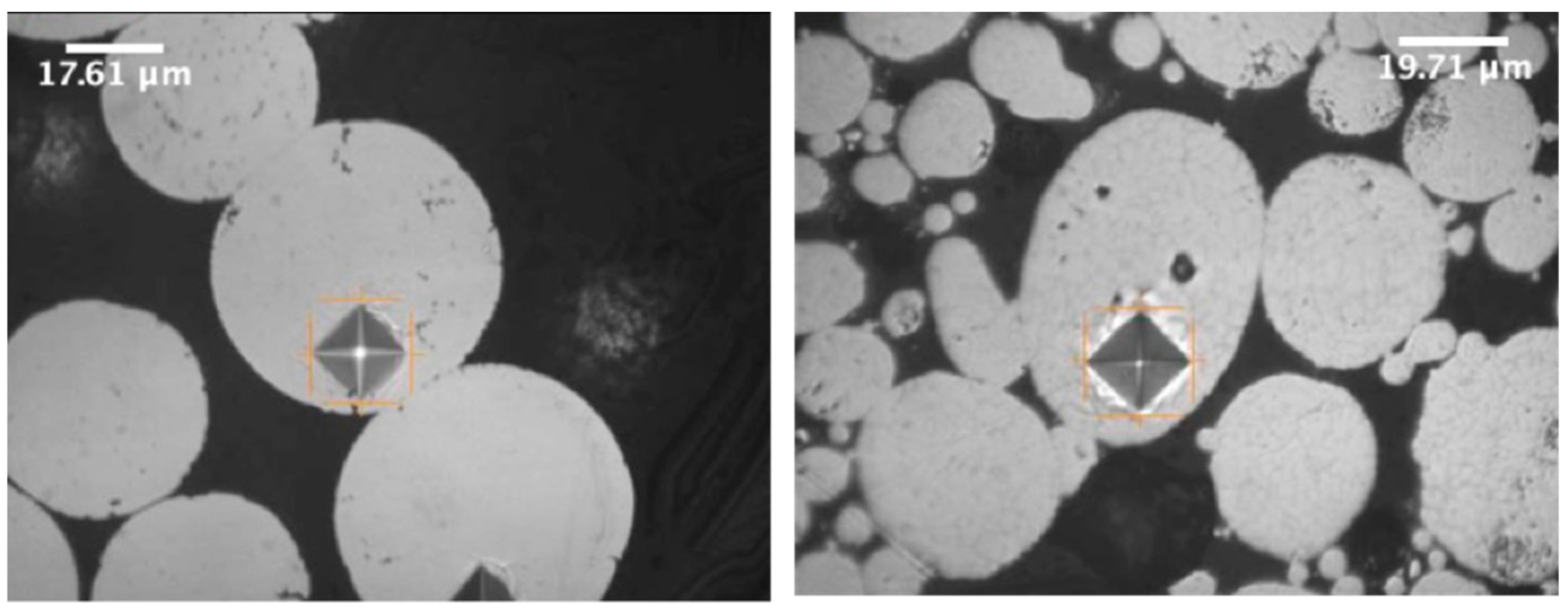
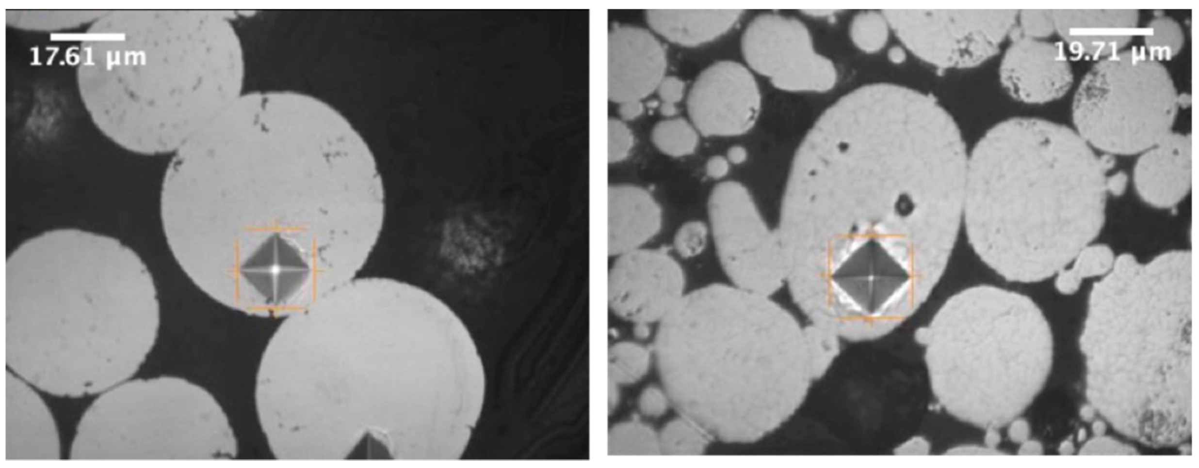
- Particle immersion into the mounting material was almost universally observed when microindentation loading was applied. Nanoindentation was able to overcome such a testing limitation.
- Microindentation cannot be applied when attempting to measure the hardness of a powder particle for cold spray feedstock evaluation and inspection.
- Prior research has attempted to extend the thin film nanoindentation approach to extracting substrate-independent mechanical properties of hemispherical cross-sectioned particles mounted within a surrounding matrix. However, the geometrical variation behind a planar thin film on a planer compliant substrate is not similar enough to an embedded hemispherical particle surrounded by a compliant mounting material, which is otherwise analogously similar to a complaint substrate.
- Nanomechanical assessment of the effects of thermally processing a bulk counterpart compared with a compositionally equivalent gas-atomized alloyed Al powder corroborated the fact that the kinetics and thermodynamics associated with heat treating rapidly solidified powders are fundamentally different and uniquely distinct from the bulk material condition.
- Static nanoindentation was found to be unable to tease out the aging curves for thermally processed Al cold spray feedstock microparticles. When dynamic/CSM-based nanoindentation was applied to evaluate the aging curve for Al 6061 powder, for example, the change in hardness as a function of processing time was able to be realized. The dynamic nanoindentation hardness was found to be in agreement with the hardness obtained through computational analysis of the hardness as a function of heat treatment hold times.
- The agreement between the computational additive yield strength model and dynamic nanoindentation hardness served to validate the additive yield strength model developed as well as demonstrate the fact that dynamic nanoindentation should be applied to measure the hardness of cold sprayable feedstock instead of the conventionally static nanoindentation approach.
- Implications of indentation size effects were considered herein. Future work will apply the strain-gradient plasticity model to ensure that the hardness obtained is at the limit of infinite indentation depth. In doing so, one must balance the constraints on nanoindentation depth limits imposed by the particle-dominated depth model mentioned and the range of data required for proper analysis.
- Dynamic nanoindentation of microparticulate feedstock has been shown during the course of this work to be an invaluable tool for inspecting the effect of additional thermal pre-processing, such as degassing and austenitization of a 3xx stainless-steel gas-atomized powder, for example. In fact, the use of hardness as an indicator of proper degassing hold times at an evaluated temperature was shown to be an effective tool for Al 5056 so one could minimize the effects of unintended secondary phase ripening and formation.
- Relationships between oxygen content, critical impact velocity, particle yield strength, particle hardness, and particle ultimate tensile strength were established. We also established particle hardness as a function of cooling rate effects during rapid solidification, which dictate particle and grain size.
- A protocol for determining the dynamic mechanical properties via single particle compression testing was established. This enables non-local compressive stress–strain/mechanical flow curves to be determined for a given particle. On the other hand, dynamic spherical nanoindentation was applied to mounted particles, enabling the flow curve to be determined in another fashion as well.
- Crystallographic orientation dependencies of hardness and the modulus of elasticity for individual grains within a gas-atomized polycrystalline cold sprayable feedstock were presented. Implications for cold spray were then considered. Future work will consider the role of dislocation motion against grain orientation hardness upon the affinity to recrystallize during impact. Supplementary work must be pursued in an attempt to discover potential orientation partiality as a result of high strain rate supersonic particle deposition and deformation experienced during cold spray processing.
- A new framework for evaluating the suitability of a prospective powder for cold spray was presented and related to the critical impact velocity mechanistic framework put forth by MIT researchers surrounding shockwave induced particle/substrate bonding. This was achieved through nanoindentation-based assessment.
- Direct implications of all of the presented results and discussions were then entertained and considered for cold spray materials consolidation.
- Mechanical property mapping was applied to a number of consolidated cold spray samples. The mechanical mapping methods using nanoindentation demonstrated consistency with respect to the anisotropy found in cold sprayed materials. Mechanical mapping was also able to demonstrate the effects of thermal post-processing dissimilar particle–substrate combinations. This resolution of the contour plots from the KLA Instruments/Nanomechanics, Inc., protocol is remarkable in and of itself.
- The relationship between the mechanical properties associated with single particle impacts and FEA PEEQ outputs was also pursued. The results were found to corroborate the through-process model developed for cold spray.
Author Contributions
Funding
Acknowledgments
Conflicts of Interest
References
- Villafuerte, J. Modern Cold Spray: Materials, Process, and Applications; Springer International Publishing: New York City, NY, USA, 2015; ISBN 9783319167725. [Google Scholar]
- Bryer, C.S.; Caitlin, E.W.; Victor, K.; Champagne, J.; Danielle, L.C. Initial Observation of Grain Orientation Dependent Nanoindentation Hardness of Al 6061 Gas-atomized Powder. Int. J. Metall. Met. Phys. 2020. [Google Scholar] [CrossRef]
- Yin, S.; Cavaliere, P.; Aldwell, B.; Jenkins, R.; Liao, H.; Li, W.; Lupoi, R. Cold spray additive manufacturing and repair: Fundamentals and applications. Addit. Manuf. 2018, 21, 628–650. [Google Scholar] [CrossRef]
- Sova, A.; Grigoriev, S.; Okunkova, A.; Smurov, I. Potential of cold gas dynamic spray as additive manufacturing technology. Int. J. Adv. Manuf. Technol. 2013. [Google Scholar] [CrossRef]
- Champagne, V.K. The Cold Spray Materials Deposition Process: Fundamentals and Applications; Woodhead Publishing Limited: Boca Raton, FL, USA, 2007; ISBN 9781845691813. [Google Scholar]
- Champagne, V.K. Investigation of the Effect of Oxides on the Critical Impact Velocity during the Cold Spray Process of High Purity Aluminum Powder. Ph.D. Thesis, Worcester Polytechnic Institute, Worcester, MA, USA, 2018. [Google Scholar]
- Belsito, D. Application of Computational Thermodynamic and Solidification Kinetics to Cold Sprayable Powder Alloy Design. Ph.D. Thesis, Worcester Polytechnic Institute, Worcester, MA, USA, 2014. [Google Scholar]
- Walde, C.; Cote, D.; Champagne, V.; Sisson, R. Characterizing the Effect of Thermal Processing on Feedstock Al Alloy Powder for Additive Manufacturing Applications. J. Mater. Eng. Perform. 2019. [Google Scholar] [CrossRef]
- Randaccio, L.E. Pre-Heat Treatment of Gas Atomized Al 2024 Powder and its Effects on the Properties of Cold Spray Coatings. Master’s Thesis, Northeastern University, Boston, MA, USA, 2019. [Google Scholar]
- Walde, C.; Tsaknopoulos, K.; Champagne, V.; Cote, D. The Microstructural Evolution of Rapidly Solidified Powder Aluminum 2024 During Thermal Processing. Metallogr. Microstruct. Anal. 2019. [Google Scholar] [CrossRef]
- Tsaknopoulos, K.; Walde, C.; Champagne, V.; Cote, D. Gas-Atomized Al 6061 Powder: Phase Identification and Evolution During Thermal Treatment. JOM 2019. [Google Scholar] [CrossRef]
- Story, W.A.; Brewer, L.N. Heat Treatment of Gas-Atomized Powders for Cold Spray Deposition. Metall. Mater. Trans. A Phys. Metall. Mater. Sci. 2018. [Google Scholar] [CrossRef]
- Sabard, A.; de Villiers Lovelock, H.L.; Hussain, T. Microstructural Evolution in Solution Heat Treatment of Gas-Atomized Al Alloy (7075) Powder for Cold Spray. J. Therm. Spray Technol. 2018. [Google Scholar] [CrossRef]
- Walde, C. Thermal Processing of Powder Aluminum Alloys for Additive Manufacturing Applications. Ph.D. Thesis, Worcester Polytechnic Institute, Worcester, MA, USA, 2018. [Google Scholar]
- Tsaknopoulos, K. Computational Thermodynamic and Kinetic Modeling and Characterization of Phase Transformations in Rapidly Solidified Aluminum Alloy Powders. Ph.D. Thesis, Worcester Polytechnic Institute, Worcester, MA, USA, 2019. [Google Scholar]
- Ozdemir, I.; Ahrens, S.; Mücklich, S.; Wielage, B. Nanocrystalline Al-Al2O3p and SiCp composites produced by high-energy ball milling. J. Mater. Process. Technol. 2008. [Google Scholar] [CrossRef]
- Woo, D.J.; Sneed, B.; Peerally, F.; Heer, F.C.; Brewer, L.N.; Hooper, J.P.; Osswald, S. Synthesis of nanodiamond-reinforced aluminum metal composite powders and coatings using high-energy ball milling and cold spray. Carbon N. Y. 2013. [Google Scholar] [CrossRef]
- Massar, C.; Tsaknopoulos, K.; Sousa, B.C.; Grubbs, J.; Cote, D.L. Heat Treatment of Recycled Battlefield Stainless-Steel Scrap for Cold Spray Applications. JOM 2020. [Google Scholar] [CrossRef]
- Tsukerman, S.A. Powder Metallurgy, 1st ed.; Elsevier: Oxford, UK, 1965; ISBN 9780080106762. [Google Scholar]
- Samal, P.; Newkirk, J. (Eds.) Powder Metallurgy; ASM International: Cleveland, OH, USA, 2015; ISBN 978-1-62708-175-7. [Google Scholar]
- Antony, L.V.M.; Reddy, R.G. Processes for production of high-purity metal powders. JOM 2003. [Google Scholar] [CrossRef]
- Sundberg, K.; Wang, Y.; Mishra, B.; Carl, A.D.; Grimm, R.L.; Te, A.; Lozeau, L.; Sousa, B.C.; Sisson, R.D.; Cote, D.L. The Effect of Corrosion on Conventional and Nanomaterial Copper Cold Spray Surfaces for Antimicrobial Applications. Biomed. J. Sci. Tech. Res. 2019, 22. [Google Scholar] [CrossRef]
- Sousa, B.C.; Sundberg, K.L.; Gleason, M.A.; Cote, D.L. Understanding the Antipathogenic Performance of Nanostructured and Conventional Copper Cold Spray Material Consolidations and Coated Surfaces. Crystals 2020, 10, 504. [Google Scholar] [CrossRef]
- Sousa, B.; Sundberg, K.; Massar, C.; Champagne, V.; Cote, D. Spherical nanomechanical characterization of novel nanocrystalline cu cold spray manufactured materials. In Proceedings of the APS March Meeting 2019, Boston, MA, USA, 4–8 March 2019. [Google Scholar]
- Barua, R. Study of the Structural Properties and Control of Degradation Rate for Biodegradable Metallic Stents using Cold Spray. Ph.D. Thesis, McGill University, Montréal, QC, Canada, 2015. [Google Scholar]
- Al-Mangour, B. The use of Cold Sprayed Alloys for Metallic Stents. Ph.D. Thesis, McGill University, Montréal, QC, Canada, 2012. [Google Scholar]
- Frattolin, J. A Biomechanical Evaluation of an Iron and Stainless Steel 316L Biodegradable Coronary Stent. Ph.D. Thesis, McGill University, Montréal, QC, Canada, 2019. [Google Scholar]
- Al-Mangour, B.; Vo, P.; Mongrain, R.; Irissou, E.; Yue, S. Effect of heat treatment on the microstructure and mechanical properties of stainless steel 316L coatings produced by cold spray for biomedical applications. J. Therm. Spray Technol. 2014. [Google Scholar] [CrossRef]
- Sevillano, F.; Poza, P.; Múnez, C.J.; Vezzù, S.; Rech, S.; Trentin, A. Cold-sprayed Ni-Al2O3 coatings for applications in power generation industry. J. Therm. Spray Technol. 2013. [Google Scholar] [CrossRef]
- Trexler, M.D.; Carter, R.; De Rosset, W.S.; Gray, D.; Helfritch, D.J.; Champagne, V.K. Cold spray fabrication of refractory materials for gun barrel liner applications. Mater. Manuf. Process. 2012, 27, 820–824. [Google Scholar] [CrossRef]
- Shives, T.; Smith, L. Microindentation Hardness Measurements on Metal Powder Particles. In Microindentation Techniques in Materials Science and Engineering; ASTM International: West Conshohocken, PA, USA, 2008; p. 243. [Google Scholar]
- Yan, W.; Pun, C.L.; Wu, Z.; Simon, G.P. Some issues on nanoindentation method to measure the elastic modulus of particles in composites. Compos. Part B Eng. 2011. [Google Scholar] [CrossRef]
- Cao, Y.; Duan, P.; Chen, J. Modelling the nanomechanical response of a micro particle-matrix system for nanoindentation tests. Nanotechnology 2016. [Google Scholar] [CrossRef][Green Version]
- Kashani, M.S.; Gilvan, A.A.; Madhavan, V. Volumes sampled for hardness and for modulus of elasticity during nanoindentation testing. J. Mater. Res. 2012. [Google Scholar] [CrossRef]
- Constantinides, G.; Ravi Chandran, K.S.; Ulm, F.J.; Van Vliet, K.J. Grid indentation analysis of composite microstructure and mechanics: Principles and validation. Mater. Sci. Eng. A 2006. [Google Scholar] [CrossRef]
- Mercier, D.; Vanhumbeeck, J.F.; Caruso, M.; Eynde, X.V.; Febvre, M. Microstructural and mechanical characterisation of electroplated nickel matrix composite coatings. Surf. Eng. 2019. [Google Scholar] [CrossRef]
- Chen, Y.C.; Tsao, C.Y.A.; Yang, S.C.; Hsu, C.C. 6061 aluminum powder making and its thermal and mechanical properties. Appl. Mech. Mater. 2012, 152–154, 1215–1220. [Google Scholar] [CrossRef]
- McNally, B. Through-Process Modeling of Aluminum Alloys for Cold Spray: Experimental Characterization and Verification of Models. Ph.D. Thesis, Worcester Polytechnic Institute, Worcester, MA, USA, 2016. [Google Scholar]
- Rokni, M.R.; Widener, C.A.; Ozdemir, O.C.; Crawford, G.A. Microstructure and mechanical properties of cold sprayed 6061 Al in As-sprayed and heat treated condition. Surf. Coat. Technol. 2017. [Google Scholar] [CrossRef]
- Nanoindentation Summer Camp Class Notebook; Texas A&M University & Nanomechanics, Inc.: Oak Ride, TN, USA, 2018.
- Oliver, W.C.; Pharr, G.M. Measurement of hardness and elastic modulus by instrumented indentation: Advances in understanding and refinements to methodology. J. Mater. Res. 2004. [Google Scholar] [CrossRef]
- Hryha, E.; Zubko, P.; Dudrová, E.; Pešek, L.; Bengtsson, S. An application of universal hardness test to metal powder particles. J. Mater. Process. Technol. 2009. [Google Scholar] [CrossRef]
- Low, T.F.; Pun, C.L.; Yan, W. Theoretical study on nanoindentation hardness measurement of a particle embedded in a matrix. Philos. Mag. 2015. [Google Scholar] [CrossRef]
- Schiel, J.F. The cold gas-dynamic spray and characterization of microcrystalline austenitic stainless steel. Master’s Thesis, Naval Postgraduate School, Monterey, CA, USA, 2014. [Google Scholar]
- Pathak, S.; Stojakovic, D.; Doherty, R.; Kalidindi, S.R. Importance of surface preparation on the nano-indentation stress-strain curves measured in metals. J. Mater. Res. 2009. [Google Scholar] [CrossRef]
- Eason, P.D.; Fewkes, J.A.; Kennett, S.C.; Eden, T.J.; Tello, K.; Kaufman, M.J.; Tiryakioĝlu, M. On the characterization of bulk copper produced by cold gas dynamic spray processing in as fabricated and annealed conditions. Mater. Sci. Eng. A 2011. [Google Scholar] [CrossRef]
- Hay, J. Introduction to instrumented indentation testing. Exp. Tech. 2009. [Google Scholar] [CrossRef]
- Moseson, A.J.; Basu, S.; Barsoum, M.W. Determination of the effective zero point of contact for spherical nanoindentation. J. Mater. Res. 2008. [Google Scholar] [CrossRef]
- Pathak, S.; Kalidindi, S.R. Spherical nanoindentation stress–strain curves. Mater. Sci. Eng. R Reports 2015, 91, 1–36. [Google Scholar] [CrossRef]
- Marteau, J.; Mazeran, P.E.; Bouvier, S.; Bigerelle, M. Zero-point correction method for nanoindentation tests to accurately quantify hardness and indentation size effect. Strain 2012. [Google Scholar] [CrossRef]
- Leisen, D.; Kerkamm, I.; Bohn, E.; Kamlah, M. A novel and simple approach for characterizing the Young’s modulus of single particles in a soft matrix by nanoindentation. J. Mater. Res. 2012. [Google Scholar] [CrossRef]
- Yovanovich, M.M. Micro and macro hardness measurements, correlations, and contact models. In Proceedings of the Collection of Technical Papers—44th AIAA Aerospace Sciences Meeting, Reno, NV, USA, 9–12 January 2006. [Google Scholar]
- Song, X. Microstructure and Mechanical Properties of Electrodeposited Copper Films. Ph.D. Thesis, University of Birmingham, Birmingham, UK, 2011. [Google Scholar]
- Salahinejad, E.; Amini, R.; Bajestani, E.A.; Hadianfard, M.J. Microstructural and hardness evolution of mechanically alloyed Fe-Cr-Mn-N powders. J. Alloys Compd. 2010. [Google Scholar] [CrossRef]
- Azevedo, J.M.C.; Serrenho, A.C.; Allwood, J.M. The deformation of metal powder particles: Hardness and microstructure. In Proceedings of the Procedia Engineering, Conference on the Technology of Plasticity, ICTP, Cambridge, UK, 17–22 September 2017. [Google Scholar]
- Sabard, A.; Hussain, T. Inter-particle bonding in cold spray deposition of a gas-atomised and a solution heat-treated Al 6061 powder. J. Mater. Sci. 2019. [Google Scholar] [CrossRef]
- Evans, W. Characterization of Al6061 Splats Cold Spray-Deposited on Al6061-T6 Substrate. Master’s Thesis, Northeastern University, Boston, MA, USA, 2018. [Google Scholar]
- Clifford, C.A.; Seah, M.P. Modelling of surface nanoparticle inclusions for nanomechanical measurements by an AFM or nanoindenter: Spatial issues. Nanotechnology 2012. [Google Scholar] [CrossRef]
- Nemecek, J. Nanoindentation Based Analysis of Heterogeneous Structural Materials. In Nanoindentation in Materials Science; IntechOpen: London, UK, 2012. [Google Scholar]
- Dutta, A. Mechanical Properties of Granular Materials Using Nanoindentation and Modeling with Distinct Element Method. Ph.D. Thesis, University of Tennesse, Knoxville, TN, USA, 2006. [Google Scholar]
- Tan, C.F.; Said, M.R. Effect of hardness test on precipitation hardening aluminium alloy 6061-t6. Chiang Mai J. Sci. 2009. [Google Scholar]
- El-Menshawy, K.; El-Sayed, A.W.A.; El-Bedawy, M.E.; Ahmed, H.A.; El-Raghy, S.M. Effect of aging time at low aging temperatures on the corrosion of aluminum alloy 6061. Corros. Sci. 2012. [Google Scholar] [CrossRef]
- Mane, P.J.; Kumar, K.L.V. Study on ageing behaviour of silicon nitride reinforced Al6061 composites. In Proceedings of the Procedia Engineering, Vellore, India, 8–10 December 2014. [Google Scholar]
- Davis, J.R. ASM Specialty Handbook: Aluminum and Aluminum Alloys. ASM Int. 1993. [Google Scholar] [CrossRef]
- Leitner, A.; Maier-Kiener, V.; Kiener, D. Dynamic nanoindentation testing: Is there an influence on a material’s hardness? Mater. Res. Lett. 2017. [Google Scholar] [CrossRef] [PubMed]
- Haghshenas, M.; Wang, L.; Klassen, R.J. Depth dependence and strain rate sensitivity of indentation stress of 6061 aluminium alloy. Mater. Sci. Technol. 2012, 28, 1135–1140. [Google Scholar] [CrossRef]
- Pöhl, F.; Huth, S.; Theisen, W. Detection of the indentation-size-effect (ISE) and surface hardening by analysis of the loading curvature C. Int. J. Solids Struct. 2016. [Google Scholar] [CrossRef]
- Goldbaum, D. Micromechanical Testing of Cold Sprayed Ti Splats and Coatings. Ph.D. Thesis, McGill University, Montréal, QC, Canada, 2012. [Google Scholar]
- Milman, Y.V.; Golubenko, A.A.; Dub, S.N. Indentation size effect in nanohardness. Acta Mater. 2011. [Google Scholar] [CrossRef]
- Kim, Y.C.; Gwak, E.J.; Ahn, S.M.; Jang, J.I.; Han, H.N.; Kim, J.Y. Indentation size effect in nanoporous gold. Acta Mater. 2017. [Google Scholar] [CrossRef]
- Beake, B.D.; Harris, A.J.; Moghal, J.; Armstrong, D.E.J. Temperature dependence of strain rate sensitivity, indentation size effects and pile-up in polycrystalline tungsten from 25 to 950 °C. Mater. Des. 2018. [Google Scholar] [CrossRef]
- Prasitthipayong, A.; Vachhani, S.J.; Tumey, S.J.; Minor, A.M.; Hosemann, P. Indentation size effect in unirradiated and ion-irradiated 800H steel at high temperatures. Acta Mater. 2018. [Google Scholar] [CrossRef]
- Pharr, G.M.; Herbert, E.G.; Gao, Y. The Indentation Size Effect: A Critical Examination of Experimental Observations and Mechanistic Interpretations. Annu. Rev. Mater. Res. 2010. [Google Scholar] [CrossRef]
- Nix, W.D.; Gao, H. Indentation size effects in crystalline materials: A law for strain gradient plasticity. J. Mech. Phys. Solids 1998. [Google Scholar] [CrossRef]
- Thangaraju, S.; Heilmaier, M.; Murty, B.S.; Vadlamani, S.S. On the estimation of true Hall-Petch constants and their role on the superposition law exponent in al alloys. Adv. Eng. Mater. 2012. [Google Scholar] [CrossRef]
- Tsaknopoulos, D. Optimization of Coupled Computational Modeling and Experimentation for Metallic Systems: Systematic Microstructural Feature—Mechanical Property Correlation for Cold-Sprayable Powders. Ph.D. Thesis, Worcester Polytechnic Institute, Worcester, MA, USA, 2019. [Google Scholar]
- Sato, Y.S.; Urata, M.; Kokawa, H.; Ikeda, K. Hall-Petch relationship in friction stir welds of equal channel angular-pressed aluminium alloys. Mater. Sci. Eng. A 2003. [Google Scholar] [CrossRef]
- Hasegawa, H.; Komura, S.; Utsunomiya, A.; Horita, Z.; Furukawa, M.; Nemoto, M.; Langdon, T.G. Thermal stability of ultrafine-grained aluminum in the presence of Mg and Zr additions. Mater. Sci. Eng. A 1999. [Google Scholar] [CrossRef]
- Anderson, I.E.; White, E.M.H.; Tiarks, J.A.; Riedemann, T.; Byrd, D.J.; Anderson, R.D.; Regele, J.D. Fundamental progress toward increased powder yields from gas atomization for additive manufacturing. In Proceedings of the Advances in Powder Metallurgy and Particulate Materials-2017, Metal PowderIndustries Federation, Princeton, NJ, USA, 3 March 2017; pp. 136–146. [Google Scholar]
- Sabzi, H.E.; Rivera-Díaz-del-Castillo, P.E.J. Defect prevention in selective laser melting components: Compositional and process effects. Materials 2019, 12, 3791. [Google Scholar] [CrossRef] [PubMed]
- Lienhard, J.; Crook, C.; Azar, M.Z.; Hassani, M.; Mumm, D.R.; Veysset, D.; Apelian, D.; Nelson, K.A.; Champagne, V.; Nardi, A.; et al. Surface oxide and hydroxide effects on aluminum microparticle impact bonding. Acta Mater. 2020, 197, 28–39. [Google Scholar] [CrossRef]
- Tweed, J.H.; Chalker, P.R.; Young, R.M.K. Degassing of RS 2014 aluminium. Met. Powder Rep. 1991. [Google Scholar] [CrossRef]
- Yamasaki, M.; Kawamura, Y. Effect of vacuum degassing on surface characteristics of rapidly solidified Al-based alloy powders. Mater. Trans. 2004. [Google Scholar] [CrossRef]
- Kang, K.; Yoon, S.; Ji, Y.; Lee, C. Oxidation dependency of critical velocity for aluminum feedstock deposition in kinetic spraying process. Mater. Sci. Eng. A 2008. [Google Scholar] [CrossRef]
- Schmidt, T.; Gärtner, F.; Assadi, H.; Kreye, H. Development of a generalized parameter window for cold spray deposition. Acta Mater. 2006. [Google Scholar] [CrossRef]
- Metallography: Principles and practice. Metallography 1985, 18, 307–308. [CrossRef]
- Magnusson, H.; Frisk, K. Self-diffusion and impurity diffusion of hydrogen, oxygen, sulphur and phosphorus in copper. Swedish Nucl. Waste Manag. Co. Tech. Rep. 2013, 1–39. [Google Scholar]
- White, A.H.; Germer, L.H. The Rate of Oxidation of Copper at Room Temperature. Trans. Electrochem. Soc. 1942. [Google Scholar] [CrossRef]
- Ledford, C.; Rock, C.; Carriere, P.; Frigola, P.; Gamzina, D.; Horn, T. Characteristics and processing of hydrogen-treated copper powders for EB-PBF additive manufacturing. Appl. Sci. 2019, 9, 3993. [Google Scholar] [CrossRef]
- Li, C.J.; Wang, H.T.; Zhang, Q.; Yang, G.J.; Li, W.Y.; Liao, H.L. Influence of spray materials and their surface oxidation on the critical velocity in cold spraying. Therm Spray Tech. 2010, 19, 95–101. [Google Scholar] [CrossRef]
- Davis, J.R. Solidifcation Structures of Copper Alloy Ingots. In Copper and Copper Alloys; ASM International: Cleveland, OH, USA, 2001; pp. 360–368. [Google Scholar]
- Gertsman, V.Y.; Hoffmann, M.; Gleiter, H.; Birringer, R. The study of grain size dependence of yield stress of copper for a wide grain size range. Acta Metall. Mater. 1994, 42, 3539–3544. [Google Scholar] [CrossRef]
- Belsito, D.; McNally, B.; Bassett, L.; Champagne, V.; Sisson, R.D. Through-process modeling for cold spray alloy optimization. In Proceedings of the Materials Science and Technology Conference and Exhibition 2013, MS & T 2013, Montreal, QC, Canada, 27–31 October 2013. [Google Scholar]
- Belsito, D.; McNally, B.; Bassett, L.; Sisson, R.; Champagne, V. A through-process model for cold sprayed aluminum alloys. In Proceedings of the Thermal Process Modeling—Proceedings from the 5th International Conference on Thermal Process Modeling and Computer Simulation, ICTPMCS 2014, Orlando, FL, USA, 16–18 June 2014. [Google Scholar]
- Adams, M.J.; McKeown, R. Micromechanical analyses of the pressure-volume relationships for powders under confined uniaxial compression. Powder Technol. 1996. [Google Scholar] [CrossRef]
- Henrik, J. Confined Compression of Single Particles: Development of a Novel Triaxial Testing Instrument and Particle-Scale Modelling, Diss. Acta. Ph.D. Thesis, Universitatis Upsaliensis, Uppsala, Sweden, 2018. [Google Scholar]
- Bazilchuk, M.; Pettersen, S.R.; Kristiansen, H.; Zhang, Z.; He, J. Electromechanical characterization of individual micron-sized metal coated polymer particles. J. Appl. Phys. 2016. [Google Scholar] [CrossRef]
- Yoshida, M.; Ogiso, H.; Nakano, S.; Akedo, J. Compression test system for a single submicrometer particle. Rev. Sci. Instrum. 2005. [Google Scholar] [CrossRef]
- Antonyuk, S.; Heinrich, S.; Tomas, J.; Deen, N.G.; Van Buijtenen, M.S.; Kuipers, J.A.M. Energy absorption during compression and impact of dry elastic-plastic spherical granules. Granul. Matter 2010. [Google Scholar] [CrossRef]
- Jakupi, P.; Keech, P.G.; Barker, I.; Ramamurthy, S.; Jacklin, R.L.; Shoesmith, D.W.; Moser, D.E. Characterization of commercially cold sprayed copper coatings and determination of the effects of impacting copper powder velocities. J. Nucl. Mater. 2015. [Google Scholar] [CrossRef]
- Chaudhuri, A.; Raghupathy, Y.; Srinivasan, D.; Suwas, S.; Srivastava, C. Microstructural evolution of cold-sprayed Inconel 625 superalloy coatings on low alloy steel substrate. Acta Mater. 2017. [Google Scholar] [CrossRef]
- Zhang, Y.; Brodusch, N.; Descartes, S.; Chromik, R.R.; Gauvin, R. Microstructure refinement of cold-sprayed copper investigated by electron channeling contrast imaging. Microsc. Microanal. 2014. [Google Scholar] [CrossRef] [PubMed]
- Zou, Y.; Qin, W.; Irissou, E.; Legoux, J.G.; Yue, S.; Szpunar, J.A. Dynamic recrystallization in the particle/particle interfacial region of cold-sprayed nickel coating: Electron backscatter diffraction characterization. Scr. Mater. 2009. [Google Scholar] [CrossRef]
- ISHIBASHI, T.; SHIMODA, S. The Correlation Between Hardness (Mean Contact Pressure by a Spherical Indenter) and Flow Stress. JSME Int. J. Ser. 1 Solid Mech. Strength Mater. 1988, 31, 117–125. [Google Scholar] [CrossRef][Green Version]
- Kelly, P.M.; Ren, H.P.; Qiu, D.; Zhang, M.X. Identifying close-packed planes in complex crystal structures. Acta Mater. 2010. [Google Scholar] [CrossRef]
- Soboyejo, W. Mechanical Properties of Engineered Materials; Marcel Dekker, Inc.: New York, NY, USA, 2002. [Google Scholar]
- Pathak, S.; Michler, J.; Wasmer, K.; Kalidindi, S.R. Studying grain boundary regions in polycrystalline materials using spherical nano-indentation and orientation imaging microscopy. J. Mater. Sci. 2012. [Google Scholar] [CrossRef]
- Vachhani, S.J.; Doherty, R.D.; Kalidindi, S.R. Studies of grain boundary regions in deformed polycrystalline aluminum using spherical nanoindentation. Int. J. Plast. 2016. [Google Scholar] [CrossRef]
- Vachhani, S.J.; Kalidindi, S.R. Grain-scale measurement of slip resistances in aluminum polycrystals using spherical nanoindentation. Acta Mater. 2015. [Google Scholar] [CrossRef]
- Leitner, A.; Maier-Kiener, V.; Kiener, D. Essential refinements of spherical nanoindentation protocols for the reliable determination of mechanical flow curves. Mater. Des. 2018. [Google Scholar] [CrossRef]
- Bedard, B.A.; Flanagan, T.J.; Ernst, A.T.; Nardi, A.; Dongare, A.M.; Brody, H.D.; Champagne, V.K.; Lee, S.W.; Aindow, M. Microstructure and Micromechanical Response in Gas-Atomized Al 6061 Alloy Powder and Cold-Sprayed Splats. J. Therm. Spray Technol. 2018. [Google Scholar] [CrossRef]
- Oliver, W.C.; Pharr, G.M. An improved technique for determining hardness and elastic modulus using load and displacement sensing indentation experiments. J. Mater. Res. 1992. [Google Scholar] [CrossRef]
- Profizi, P.; Combescure, A.; Ogawa, K. SPH modeling of adhesion in fast dynamics: Application to the Cold Spray process. Comptes Rendus Mec. 2016, 344, 211–224. [Google Scholar] [CrossRef]
- Assadi, H.; Irkhin, I.; Gutzmann, H.; Gärtner, F.; Schulze, M.; Villa Vidaller, M.; Klassen, T. Determination of plastic constitutive properties of microparticles through single particle compression. Adv. Powder Technol. 2015. [Google Scholar] [CrossRef]
- Liu, Y.; Zhang, X. Beyond Indentation Hardness and Modulus: Recent Advances in Nanoindentation Techniques: Part II. JOM 2018, 70, 485–486. [Google Scholar] [CrossRef]
- Affonso, L.O.A. Machinery Failure Analysis Handbook: Sustain Your Operations and Maximize Uptime; Gulf Publishing Company: Houston, TX, USA, 2007; ISBN 9781933762081. [Google Scholar]
- Tsui, T.Y.; Pharr, G.M.; Oliver, W.C.; Bhatia, C.S.; White, R.L.; Anders, S.; Anders, A.; Brown, I.G. Nanoindentation and nanoscratching of hard carbon coatings for magnetic disks. Mater. Res. Soc. Symp. Proc. 1995, 383, 447–452. [Google Scholar] [CrossRef]
- Sun, Y.; Veysset, D.; Nelson, K.A.; Schuh, C.A. The Transition From Rebound to Bonding in High-Velocity Metallic Microparticle Impacts: Jetting-Associated Power-Law Divergence. J. Appl. Mech. 2020, 87. [Google Scholar] [CrossRef]
- Hassani-Gangaraj, M.; Veysset, D.; Champagne, V.K.; Nelson, K.A.; Schuh, C.A. Adiabatic shear instability is not necessary for adhesion in cold spray. Acta Mater. 2018. [Google Scholar] [CrossRef]
- Hassani-Gangaraj, M.; Veysset, D.; Champagne, V.K.; Nelson, K.A.; Schuh, C.A. Response to Comment on “Adiabatic shear instability is not necessary for adhesion in cold spray”. Scr. Mater. 2019, 162, 515–519. [Google Scholar] [CrossRef]
- Blose, R.E.; Walker, B.H.; Walker, R.M.; Froes, S.H. New opportunities to use cold spray process for applying additive features to titanium alloys. Met. Powder Rep. 2006, 61, 30–37. [Google Scholar] [CrossRef]
- Birt, A.M.; Champagne, V.K.; Sisson, R.D.; Apelian, D. Statistically Guided Development of Laser-Assisted Cold Spray for Microstructural Control of Ti-6Al-4V. Metall. Mater. Trans. A 2017, 48, 1931–1943. [Google Scholar] [CrossRef]
- Sun, W.; Tan, A.W.-Y.; Wu, K.; Yin, S.; Yang, X.; Marinescu, I.; Liu, E. Post-Process Treatments on Supersonic Cold Sprayed Coatings: A Review. Coatings 2020, 10, 123. [Google Scholar] [CrossRef]
- Wang, Y.; Adrien, J.; Normand, B. Porosity Characterization of Cold Sprayed Stainless Steel Coating Using Three-Dimensional X-ray Microtomography. Coatings 2018, 8, 326. [Google Scholar] [CrossRef]
- Gizynski, M.; Miyazaki, S.; Sienkiewicz, J.; Kuroda, S.; Araki, H.; Murakami, H.; Pakiela, Z.; Yumoto, A. Formation and subsequent phase evolution of metastable Ti-Al alloy coatings by kinetic spraying of gas atomized powders. Surf. Coat. Technol. 2017. [Google Scholar] [CrossRef]
- Lehtonen, J.; Ge, Y.; Ciftci, N.; Heczko, O.; Uhlenwinkel, V.; Hannula, S.P. Phase structures of gas atomized equiatomic CrFeNiMn high entropy alloy powder. J. Alloys Compd. 2020. [Google Scholar] [CrossRef]
- Grady, D.E. The spall strength of condensed matter. J. Mech. Phys. Solids 1988, 36, 353–384. [Google Scholar] [CrossRef]
- Luo, X.-T.; Li, Y.-J.; Li, C.-J. A comparison of cold spray deposition behavior between gas atomized and dendritic porous electrolytic Ni powders under the same spray conditions. Mater. Lett. 2016, 163, 58–60. [Google Scholar] [CrossRef]
- Wu, J.; Fang, H.; Yoon, S.; Kim, H.; Lee, C. The rebound phenomenon in kinetic spraying deposition. Scr. Mater. 2006, 54, 665–669. [Google Scholar] [CrossRef]
- Yildirim, B.; Yang, H.; Gouldstone, A.; Müftü, S. Rebound mechanics of micrometre-scale, spherical particles in high-velocity impacts. Proc. R. Soc. A Math. Phys. Eng. Sci. 2017, 473, 20160936. [Google Scholar] [CrossRef]
- Story, W. Processing-Microstructure-Property Relations in High Pressure Cold Spray Deposition of AA2024 and AA7075. Ph.D. Thesis, University of Alabama, Tuscaloosa, AL, USA, 2018. [Google Scholar]
- Ozdemir, O.C.; Widener, C.A.; Carter, M.J.; Johnson, K.W. Predicting the Effects of Powder Feeding Rates on Particle Impact Conditions and Cold Spray Deposited Coatings. J. Therm. Spray Technol. 2017. [Google Scholar] [CrossRef]
- Yang, K.; Li, W.; Yang, X.; Xu, Y. Anisotropic response of cold sprayed copper deposits. Surf. Coat. Technol. 2018. [Google Scholar] [CrossRef]
- Yin, S.; Jenkins, R.; Yan, X.; Lupoi, R. Microstructure and mechanical anisotropy of additively manufactured cold spray copper deposits. Mater. Sci. Eng. A 2018. [Google Scholar] [CrossRef]
- Seiner, H.; Cizek, J.; Sedlák, P.; Huang, R.; Cupera, J.; Dlouhy, I.; Landa, M. Elastic moduli and elastic anisotropy of cold sprayed metallic coatings. Surf. Coat. Technol. 2016. [Google Scholar] [CrossRef]
- Birt, A.M.; Champagne, V.K.; Sisson, R.D.; Apelian, D. Microstructural analysis of Ti–6Al–4V powder for cold gas dynamic spray applications. Adv. Powder Technol. 2015, 26, 1335–1347. [Google Scholar] [CrossRef]
- Goldbaum, D.; Chromik, R.R.; Yue, S.; Irissou, E.; Legoux, J.-G. Mechanical Property Mapping of Cold Sprayed Ti Splats and Coatings. J. Therm. Spray Technol. 2011, 20, 486–496. [Google Scholar] [CrossRef]
























































| Alloyed Al Powder | |||
|---|---|---|---|
| Al 2024 | 18.5 | 34.2 | 57.8 |
| Al 6061 | 33.8 | 41.2 | 54.3 |
| Al 7075 | 26.1 | 37.1 | 52.9 |
| Phase | Wt.% | Vol.% |
|---|---|---|
| FCC Al | 85.05 | 87.89 |
| (Al3Mg2) | 13.07 | 10.40 |
| Al45Cr7 | 0.69 | 0.60 |
| Al13Fe4 | 0.45 | 0.33 |
| Al12Mn | 0.45 | 0.40 |
| Mg2Si | 0.25 | 0.35 |
| T-Phase (AlMgCuZn) | 0.02 | 0.02 |
| Al3Ti | 0.01 | 0.01 |
| Gas-Atomized Al 6061 Powder Size Range | Nanoindentation Hardness (GPa) |
|---|---|
| 25 to 32 μm | 1.24 |
| 32 to 38 μm | 1.16 |
| 38 to 45 μm | 1.12 |
| 45 to 53 μm | 1.05 |
© 2020 by the authors. Licensee MDPI, Basel, Switzerland. This article is an open access article distributed under the terms and conditions of the Creative Commons Attribution (CC BY) license (http://creativecommons.org/licenses/by/4.0/).
Share and Cite
Sousa, B.C.; Gleason, M.A.; Haddad, B.; Champagne, V.K., Jr.; Nardi, A.T.; Cote, D.L. Nanomechanical Characterization for Cold Spray: From Feedstock to Consolidated Material Properties. Metals 2020, 10, 1195. https://doi.org/10.3390/met10091195
Sousa BC, Gleason MA, Haddad B, Champagne VK Jr., Nardi AT, Cote DL. Nanomechanical Characterization for Cold Spray: From Feedstock to Consolidated Material Properties. Metals. 2020; 10(9):1195. https://doi.org/10.3390/met10091195
Chicago/Turabian StyleSousa, Bryer C., Matthew A. Gleason, Baillie Haddad, Victor K. Champagne, Jr., Aaron T. Nardi, and Danielle L. Cote. 2020. "Nanomechanical Characterization for Cold Spray: From Feedstock to Consolidated Material Properties" Metals 10, no. 9: 1195. https://doi.org/10.3390/met10091195
APA StyleSousa, B. C., Gleason, M. A., Haddad, B., Champagne, V. K., Jr., Nardi, A. T., & Cote, D. L. (2020). Nanomechanical Characterization for Cold Spray: From Feedstock to Consolidated Material Properties. Metals, 10(9), 1195. https://doi.org/10.3390/met10091195

