BmCBP Catalyzes the Acetylation of BmApoLp-II Protein and Regulates Its Stability in Silkworm, Bombyx mori
Abstract
Simple Summary
Abstract
1. Introduction
2. Materials and Methods
2.1. Cell Culture, cDNA and Plasmids
2.2. The Construction of Eukaryotic/Prokaryotic Expression Vector
2.3. Antibody Preparation
2.4. Drug Treatment
2.5. Co-IP/IP Assays
2.6. RNAi Assay
2.7. qPCR
2.8. Western Blotting
2.9. Statistical Analysis
3. Results
3.1. Identification of Acetylation in BmApoLp-II Protein
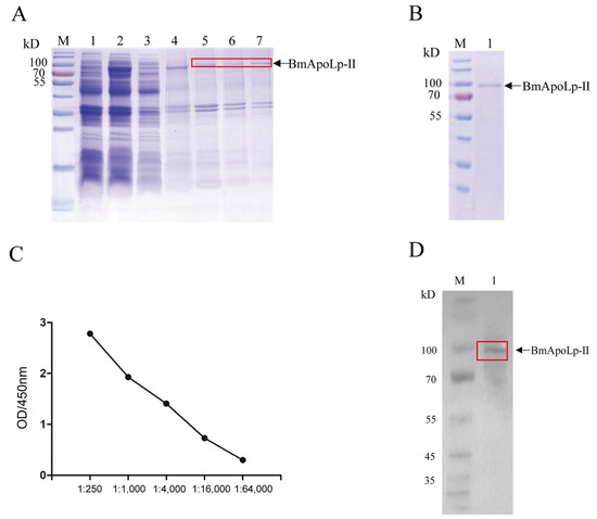
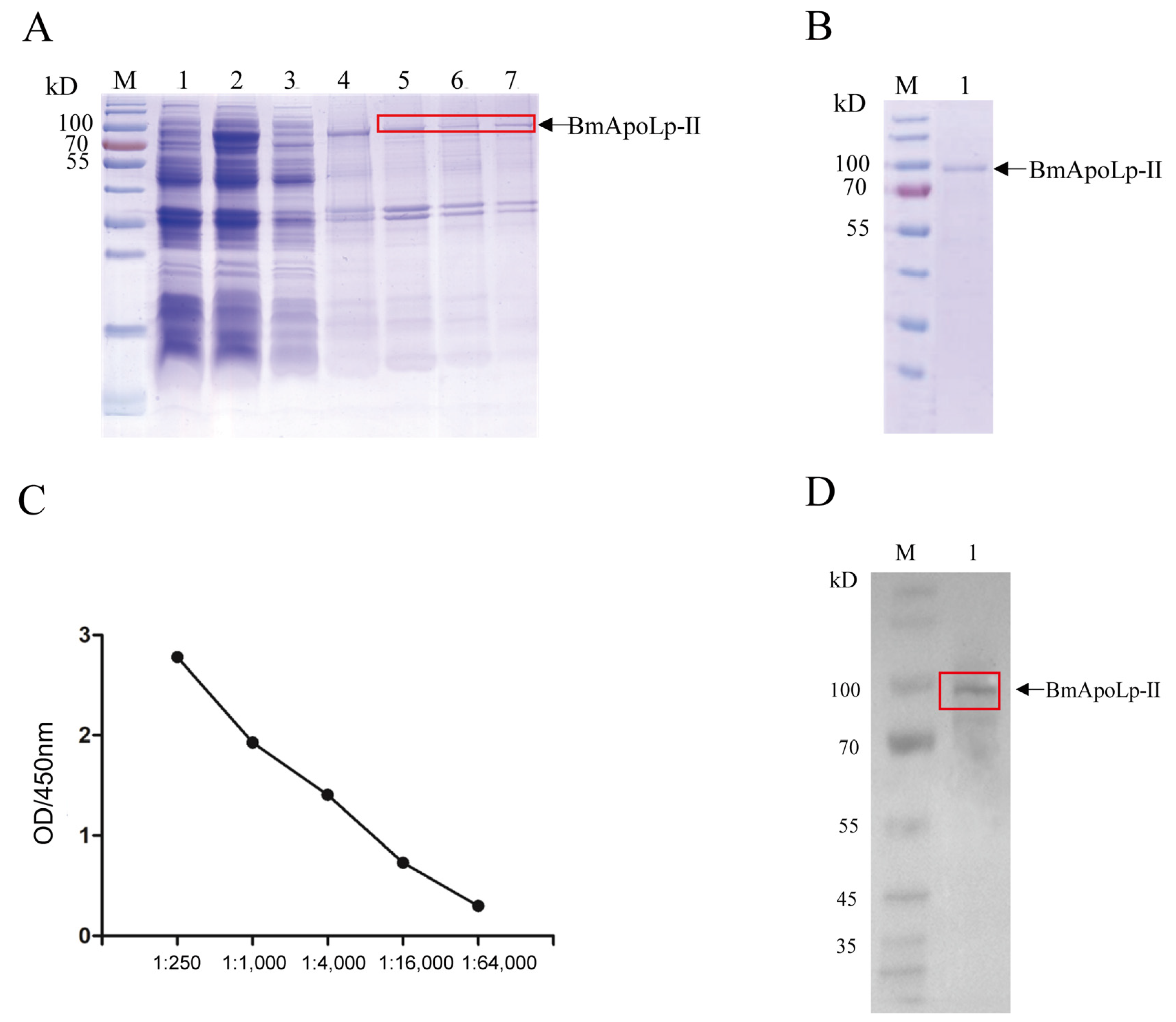
3.2. Preparation of Polyclonal Antibody against BmApoLp- II Protein
3.3. Acetylation Up-Regulates the Expression of BmApoLp-II Protein
3.4. BmCBP Interacts with BmApoLp-II Protein and Catalyzes Its Acetylation
3.5. Acetylation Could Improve the Stability of Protein in Cells
3.6. Acetylation Could Compete for Ubiquitination to Stabilize BmApoLp-II Protein
4. Discussion
Author Contributions
Funding
Data Availability Statement
Acknowledgments
Conflicts of Interest
References
- Wang, Y.-C.; Peterson, S.E.; Loring, J.F. Protein post-translational modifications and regulation of pluripotency in human stem cells. Cell Res. 2014, 24, 143–160. [Google Scholar] [CrossRef] [PubMed]
- Yu, R.; Wang, X.; Moazed, D. Epigenetic inheritance mediated by coupling of RNAi and histone H3K9 methylation. Nature 2018, 558, 615–619. [Google Scholar] [CrossRef] [PubMed]
- Zhao, Y.; Han, Y.; Sun, Y.; Wei, Z.; Chen, J.; Niu, X.; An, Q.; Zhang, L.; Qi, R.; Gao, X. Comprehensive Succinylome Profiling Reveals the Pivotal Role of Lysine Succinylation in Energy Metabolism and Quorum Sensing of Staphylococcus epidermidis. Front. Microbiol. 2020, 11, 632367. [Google Scholar] [CrossRef] [PubMed]
- Zhou, X.; Song, N.; Li, D.; Li, X.; Liu, W. Systematic Analysis of the Lysine Crotonylome and Multiple Posttranslational Modification Analysis (Acetylation, Succinylation, and Crotonylation) in Candida albicans. Msystems 2021, 6, 632367. [Google Scholar] [CrossRef]
- Guo, Z.; Pan, F.; Peng, L.; Tian, S.; Jiao, J.; Liao, L.; Lu, C.; Zhai, G.; Wu, Z.; Dong, H.; et al. Systematic Proteome and Lysine Succinylome Analysis Reveals Enhanced Cell Migration by Hyposuccinylation in Esophageal Squamous Cell Carcinoma. Mol. Cell. Proteom. 2021, 20, 100053. [Google Scholar] [CrossRef]
- Ma, J.; Wu, C.; Hart, G.W. Analytical and Biochemical Perspectives of Protein O-GlcNAcylation. Chem. Rev. 2021, 121, 1513–1581. [Google Scholar] [CrossRef]
- Maynard, J.C.; Chalkley, R.J. Methods for Enrichment and Assignment of N-Acetylglucosamine Modification Sites. Mol. Cell. Proteom. 2021, 20, 100031. [Google Scholar] [CrossRef]
- Perdikari, T.M.; Jovic, N.; Dignon, G.L.; Kim, Y.C.; Fawzi, N.L.; Mittal, J. A predictive coarse-grained model for position-specific effects of post-translational modifications. Biophys. J. 2021, 120, 1187–1197. [Google Scholar] [CrossRef]
- Huang, C.; Chen, L.; Savage, S.R.; Eguez, R.V.; Dou, Y.; Li, Y.; da Veiga Leprevost, F.; Jaehnig, E.J.; Lei, J.T.; Wen, B.; et al. Proteogenomic insights into the biology and treatment of HPV-negative head and neck squamous cell carcinoma. Cancer Cell 2021, 39, 361–379.e16. [Google Scholar] [CrossRef]
- Nandi, S.; Razzaghi, M.; Srivastava, D.; Dey, M. Structural basis for allosteric regulation of pyruvate kinase M2 by phosphorylation and acetylation. J. Biol. Chem. 2020, 295, 17425–17440. [Google Scholar] [CrossRef]
- Krug, K.; Jaehnig, E.J.; Satpathy, S.; Blumenberg, L.; Karpova, A.; Anurag, M.; Miles, G.; Mertins, P.; Geffen, Y.; Tang, L.C.; et al. Proteogenomic Landscape of Breast Cancer Tumorigenesis and Targeted Therapy. Cell 2020, 183, 1436–1456.e31. [Google Scholar] [CrossRef]
- Dos Santos Passos, C.; Choi, Y.-S.; Snow, C.D.; Yao, T.; Cohen, R.E. Design of genetically encoded sensors to detect nucleosome ubiquitination in live cells. J. Cell Biol. 2021, 220, e201911130. [Google Scholar] [CrossRef]
- Huang, S.; He, T.; Yang, S.; Sheng, H.; Tang, X.; Bao, F.; Wang, Y.; Lin, X.; Yu, W.; Cheng, F.; et al. Metformin reverses chemoresistance in non-small cell lung cancer via accelerating ubiquitination-mediated degradation of Nrf2. Transl. Lung Cancer Res. 2020, 9, 2337–2355. [Google Scholar] [CrossRef]
- Zheng, N.; Shabek, N. Ubiquitin Ligases: Structure, Function, and Regulation. Annu. Rev. Biochem. 2017, 86, 129–157. [Google Scholar] [CrossRef]
- Weinert, B.T.; Iesmantavicius, V.; Moustafa, T.; Schölz, C.; Wagner, S.A.; Magnes, C.; Zechner, R.; Choudhary, C. Acetylation dynamics and stoichiometry in Saccharomyces cerevisiae. Mol. Syst. Biol. 2015, 11, 833. [Google Scholar] [CrossRef]
- Ren, J.; Sang, Y.; Tan, Y.; Tao, J.; Ni, J.; Liu, S.; Fan, X.; Zhao, W.; Lu, J.; Wu, W.; et al. Acetylation of Lysine 201 Inhibits the DNA-Binding Ability of PhoP to Regulate Salmonella Virulence. PLoS Pathog. 2016, 12, e1005458. [Google Scholar] [CrossRef]
- Wang, D.; Kon, N.; Lasso, G.; Jiang, L.; Leng, W.; Zhu, W.-G.; Qin, J.; Honig, B.; Gu, W. Acetylation-regulated interaction between p53 and SET reveals a widespread regulatory mode. Nature 2016, 538, 118–122. [Google Scholar] [CrossRef]
- Weinert, B.T.; Moustafa, T.; Iesmantavicius, V.; Zechner, R.; Choudhary, C. Analysis of acetylation stoichiometry suggests that SIRT 3 repairs nonenzymatic acetylation lesions. EMBO J. 2015, 34, 2620–2632. [Google Scholar] [CrossRef]
- Narita, T.; Weinert, B.T.; Choudhary, C. Functions and mechanisms of non-histone protein acetylation. Nat. Rev. Mol. Cell Biol. 2019, 20, 156–174. [Google Scholar] [CrossRef]
- Allfrey, V.G.; Faulkner, R.; Mirsky, A.E. Acetylation and Methylation of Histones and their Possible Role in the Regulation of RNA Synthesis. Proc. Natl. Acad. Sci. USA 1964, 51, 786–794. [Google Scholar] [CrossRef]
- Galdieri, L.; Vancura, A. Acetyl-CoA Carboxylase Regulates Global Histone Acetylation. J. Biol. Chem. 2012, 287, 23865–23876. [Google Scholar] [CrossRef] [PubMed]
- Wieczorek, M.; Gührs, K.-H.; Heinzel, T. Assessment of HDACi-Induced Acetylation of Nonhistone Proteins by Mass Spectrometry. In HDAC/HAT Function Assessment and Inhibitor Development; Methods in Molecular Biology; Humana Press: New York, NY, USA, 2017; Volume 1510, pp. 313–327. [Google Scholar] [CrossRef]
- Ma, Y.; Wu, C.; Liu, J.; Liu, Y.; Lv, J.; Sun, Z.; Wang, D.; Jiang, C.; Sheng, Q.; You, Z.; et al. The stability and antiapoptotic activity of Bm30K-3 can be improved by lysine acetylation in the silkworm, Bombyx mori. Arch. Insect Biochem. Physiol. 2020, 103, e21649. [Google Scholar] [CrossRef] [PubMed]
- Ogryzko, V.V.; Schiltz, R.; Russanova, V.; Howard, B.H.; Nakatani, Y. The Transcriptional Coactivators p300 and CBP Are Histone Acetyltransferases. Cell 1996, 87, 953–959. [Google Scholar] [CrossRef] [PubMed]
- Weinert, B.T.; Narita, T.; Satpathy, S.; Srinivasan, B.; Hansen, B.K.; Schölz, C.; Hamilton, W.B.; Zucconi, B.E.; Wang, W.W.; Liu, W.R.; et al. Time-Resolved Analysis Reveals Rapid Dynamics and Broad Scope of the CBP/p300 Acetylome. Cell 2018, 174, 231–244.e12. [Google Scholar] [CrossRef] [PubMed]
- Lasko, L.M.; Jakob, C.G.; Edalji, R.P.; Qiu, W.; Montgomery, D.; Digiammarino, E.L.; Hansen, T.M.; Risi, R.M.; Frey, R.; Manaves, V.; et al. Author Correction: Discovery of a selective catalytic p300/CBP inhibitor that targets lineage-specific tumours. Nature 2018, 558, E1. [Google Scholar] [CrossRef]
- Lyu, H.; Xu, G.; Chen, P.; Song, Q.; Feng, Q.; Yi, Y.; Zheng, S. 20-Hydroxyecdysone receptor-activated Bombyx mori CCAAT/enhancer-binding protein gamma regulates the expression of BmCBP and subsequent histone H3 lysine 27 acetylation in Bo. mori. Insect Mol. Biol. 2020, 29, 256–270. [Google Scholar] [CrossRef]
- Zhou, Y.-J.; Xue, B.; Li, Y.-Y.; Li, F.-C.; Ni, M.; Shen, W.-D.; Gu, Z.-Y.; Li, B.; Shen, W.D.; Gu, Z.Y.; et al. Construction of silkworm midgut cdna library for screen and sequence analysis of peritrophic membrane protein genes. Arch. Insect Biochem. Physiol. 2016, 91, 3–16. [Google Scholar] [CrossRef]
- Das, C.; Lucia, M.S.; Hansen, K.C.; Tyler, J.K. CBP/p300-mediated acetylation of histone H3 on lysine 56. Nature 2009, 459, 113–117. [Google Scholar] [CrossRef]
- Thompson, P.R.; Wang, D.; Wang, L.; Fulco, M.; Pediconi, N.; Zhang, D.; An, W.; Ge, Q.; Roeder, R.G.; Wong, J.; et al. Regulation of the p300 HAT domain via a novel activation loop. Nat. Struct. Mol. Biol. 2004, 11, 308–315. [Google Scholar] [CrossRef]
- Qu, J.; Ko, C.-W.; Tso, P.; Bhargava, A. Apolipoprotein A-IV: A Multifunctional Protein Involved in Protection against Atherosclerosis and Diabetes. Cells 2019, 8, 319. [Google Scholar] [CrossRef]
- Weers, P.; Van Marrewijk, W.; Beenakkers, A.; Van der Horst, D. Biosynthesis of locust lipophorin. Apolipophorins I and II originate from a common precursor. J. Biol. Chem. 1993, 268, 4300–4303. [Google Scholar] [CrossRef]
- Yang, F.; Zhu, B.; Liu, J.; Liu, Y.; Jiang, C.; Sheng, Q.; Qiu, J.; Nie, Z. The effect of acetylation on the protein stability of BmApoLp-III in the silkworm, Bombyx mori. Insect Mol. Biol. 2020, 29, 104–111. [Google Scholar] [CrossRef]
- Zdybicka-Barabas, A.; Cytryńska, M. Involvement of apolipophorin III in antibacterial defense of Galleria mellonella larvae. Comp. Biochem. Physiol. Part B Biochem. Mol. Biol. 2011, 158, 90–98. [Google Scholar] [CrossRef]
- Babin, P.J.; Bogerd, J.; Kooiman, F.P.; Van Marrewijk, W.J.A.; Van der Horst, D.J. Apolipophorin II/I, Apolipoprotein B, Vitellogenin, and Microsomal Triglyceride Transfer Protein Genes Are Derived from a Common Ancestor. J. Mol. Evol. 1999, 49, 150–160. [Google Scholar] [CrossRef]
- Wen, D.; Luo, H.; Li, T.; Wu, C.; Zhang, J.; Wang, X.; Zhang, R. Cloning and characterization of an insect apolipoprotein (apolipophorin-II/I) involved in the host immune response of Antheraea pernyi. Dev. Comp. Immunol. 2017, 77, 221–228. [Google Scholar] [CrossRef]
- Ohta, M.; Watanabe, A.; Mikami, T.; Nakajima, Y.; Kitami, M.; Tabunoki, H.; Ueda, K.; Sato, R. Mechanism by which Bombyx mori hemocytes recognize microorganisms: Direct and indirect recognition systems for PAMPs. Dev. Comp. Immunol. 2006, 30, 867–877. [Google Scholar] [CrossRef]
- Omae, Y.; Hanada, Y.; Sekimizu, K.; Kaito, C. Silkworm Apolipophorin Protein Inhibits Hemolysin Gene Expression of Staphylococcus aureus via Binding to Cell Surface Lipoteichoic Acids. J. Biol. Chem. 2013, 288, 25542–25550. [Google Scholar] [CrossRef]
- Nie, Z.; Zhu, H.; Zhou, Y.; Wu, C.; Liu, Y.; Sheng, Q.; Lv, Z.; Zhang, W.; Yu, W.; Jiang, C.; et al. Comprehensive profiling of lysine acetylation suggests the widespread function is regulated by protein acetylation in the silkworm, Bombyx mori. Proteomics 2015, 15, 3253–3266. [Google Scholar] [CrossRef]
- Haihua, Z.; Yan, Z.; Hanming, Z.; Si, L.; Yanping, Q.; Wei, Y.; Yaozhou, Z.; Fudan, T.; Xiaojuan, Z. Differential expression and subcellular localization of BmHMGA in silkworm (Bombyx mori). J. Zhejiang Univ. 2014, 40, 237. [Google Scholar] [CrossRef]
- Livak, K.J.; Schmittgen, T.D. Analysis of relative gene expression data using real-time quantitative PCR and the 2−ΔΔCT Method. Methods 2001, 25, 402–408. [Google Scholar] [CrossRef]
- Nie, Z.; Xu, J.; Chen, J.; Lv, Z.; Wang, D.; Sheng, Q.; Wu, Y.; Wang, X.; Wu, X.; Zhang, Y. Expression Analysis and Characteristics of Profilin Gene from Silkworm, Bombyx mori. Appl. Biochem. Biotechnol. 2009, 158, 59–71. [Google Scholar] [CrossRef] [PubMed]
- Zhang, B.; Chen, D.; Liu, B.; Dekker, F.J.; Quax, W.J. A novel histone acetyltransferase inhibitor A485 improves sensitivity of non-small-cell lung carcinoma cells to TRAIL. Biochem. Pharmacol. 2020, 175, 113914. [Google Scholar] [CrossRef] [PubMed]
- Kim, E.J.; Park, H.J.; Park, T.H. Inhibition of apoptosis by recombinant 30K protein originating from silkworm hemolymph. Biochem. Biophys. Res. Commun. 2003, 308, 523–528. [Google Scholar] [CrossRef] [PubMed]
- Shvedunova, M.; Akhtar, A. Modulation of cellular processes by histone and non-histone protein acetylation. Nat. Rev. Mol. Cell Biol. 2022, 23, 329–349. [Google Scholar] [CrossRef]
- Pasini, D.; Malatesta, M.; Jung, H.R.; Walfridsson, J.; Willer, A.; Olsson, L.; Skotte, J.; Wutz, A.; Porse, B.; Jensen, O.N.; et al. Correction to ‘Characterization of an antagonistic switch between histone H3 lysine 27 methylation and acetylation in the transcriptional regulation of Polycomb group target genes’. Nucleic Acids Res. 2021, 49, 9000–9001. [Google Scholar] [CrossRef]
- He, Z.-X.; Wei, B.-F.; Zhang, X.; Gong, Y.-P.; Ma, L.-Y.; Zhao, W. Current development of CBP/p300 inhibitors in the last decade. Eur. J. Med. Chem. 2021, 209, 112861. [Google Scholar] [CrossRef]
- Sun, Z.; Ma, Y.; Liu, Y.; Lv, J.; Wang, D.; You, Z.; Jiang, C.; Sheng, Q.; Nie, Z. The Acetylation Modification of SP1 Regulates the Protein Stability in Silkworm. Appl. Biochem. Biotechnol. 2022, 194, 1621–1635. [Google Scholar] [CrossRef]
- Zhou, Y.; Wu, C.; Sheng, Q.; Jiang, C.; Chen, Q.; Lv, Z.; Yao, J.; Nie, Z. Lysine acetylation stabilizes SP2 protein in the silkworm Bombyx mori. J. Insect Physiol. 2016, 91–92, 56–62. [Google Scholar] [CrossRef]
- McManus, K.J.; Hendzel, M.J. CBP, a transcriptional coactivator and acetyltransferase. Biochem. Cell Biol. 2001, 79, 253–266. [Google Scholar] [CrossRef]
- Wei, J.; Dong, S.; Yao, K.; Martinez, M.F.Y.M.; Fleisher, P.R.; Zhao, Y.; Ma, H.; Zhao, J. Histone acetyltransferase CBP promotes function of SCF FBXL19 ubiquitin E3 ligase by acetylation and stabilization of its F-box protein subunit. FASEB J. 2018, 32, 4284–4292. [Google Scholar] [CrossRef]
- Liu, C.; Yang, Q.; Zhu, Q.; Lu, X.; Li, M.; Hou, T.; Li, Z.; Tang, M.; Li, Y.; Wang, H.; et al. CBP mediated DOT1L acetylation confers DOT1L stability and promotes cancer metastasis. Theranostics 2020, 10, 1758–1776. [Google Scholar] [CrossRef]
- Hanada, Y.; Sekimizu, K.; Kaito, C. Silkworm Apolipophorin Protein Inhibits Staphylococcus aureus Virulence. J. Biol. Chem. 2011, 286, 39360–39369. [Google Scholar] [CrossRef]






Disclaimer/Publisher’s Note: The statements, opinions and data contained in all publications are solely those of the individual author(s) and contributor(s) and not of MDPI and/or the editor(s). MDPI and/or the editor(s) disclaim responsibility for any injury to people or property resulting from any ideas, methods, instructions or products referred to in the content. |
© 2023 by the authors. Licensee MDPI, Basel, Switzerland. This article is an open access article distributed under the terms and conditions of the Creative Commons Attribution (CC BY) license (https://creativecommons.org/licenses/by/4.0/).
Share and Cite
Chen, Y.; Lv, J.; Zu, G.; Yang, F.; Geng, J.; You, Z.; Jiang, C.; Sheng, Q.; Nie, Z. BmCBP Catalyzes the Acetylation of BmApoLp-II Protein and Regulates Its Stability in Silkworm, Bombyx mori. Insects 2023, 14, 309. https://doi.org/10.3390/insects14040309
Chen Y, Lv J, Zu G, Yang F, Geng J, You Z, Jiang C, Sheng Q, Nie Z. BmCBP Catalyzes the Acetylation of BmApoLp-II Protein and Regulates Its Stability in Silkworm, Bombyx mori. Insects. 2023; 14(4):309. https://doi.org/10.3390/insects14040309
Chicago/Turabian StyleChen, Yanmei, Jiao Lv, Guowei Zu, Fan Yang, Jiasheng Geng, Zhengying You, Caiying Jiang, Qing Sheng, and Zuoming Nie. 2023. "BmCBP Catalyzes the Acetylation of BmApoLp-II Protein and Regulates Its Stability in Silkworm, Bombyx mori" Insects 14, no. 4: 309. https://doi.org/10.3390/insects14040309
APA StyleChen, Y., Lv, J., Zu, G., Yang, F., Geng, J., You, Z., Jiang, C., Sheng, Q., & Nie, Z. (2023). BmCBP Catalyzes the Acetylation of BmApoLp-II Protein and Regulates Its Stability in Silkworm, Bombyx mori. Insects, 14(4), 309. https://doi.org/10.3390/insects14040309

