Mechanical Thrombectomy via Transbrachial Approach in the Emergency Management of Acute Ischemic Stroke Patients with Aortic Pathologies: Our Experience and Literature Review
Abstract
1. Introduction
2. Case Report and Literature Review
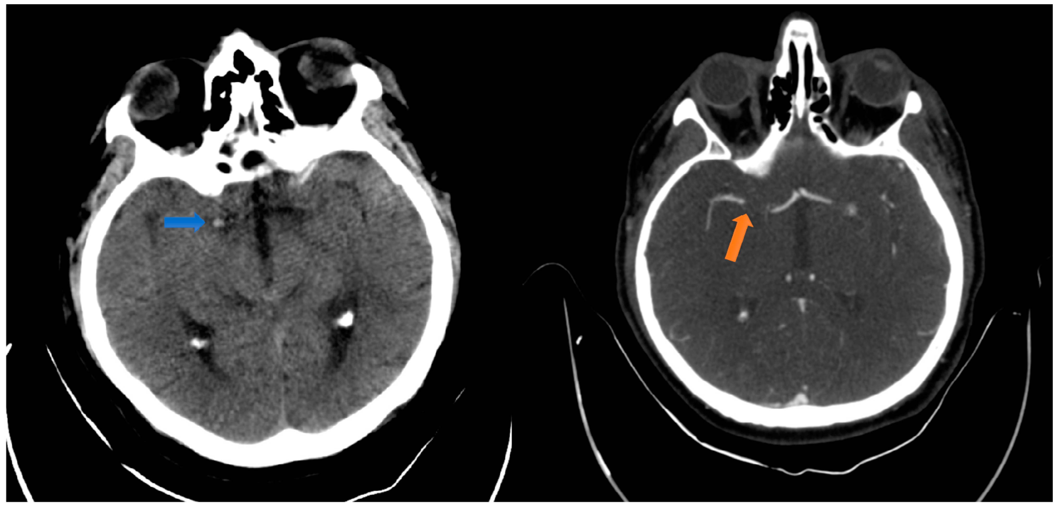
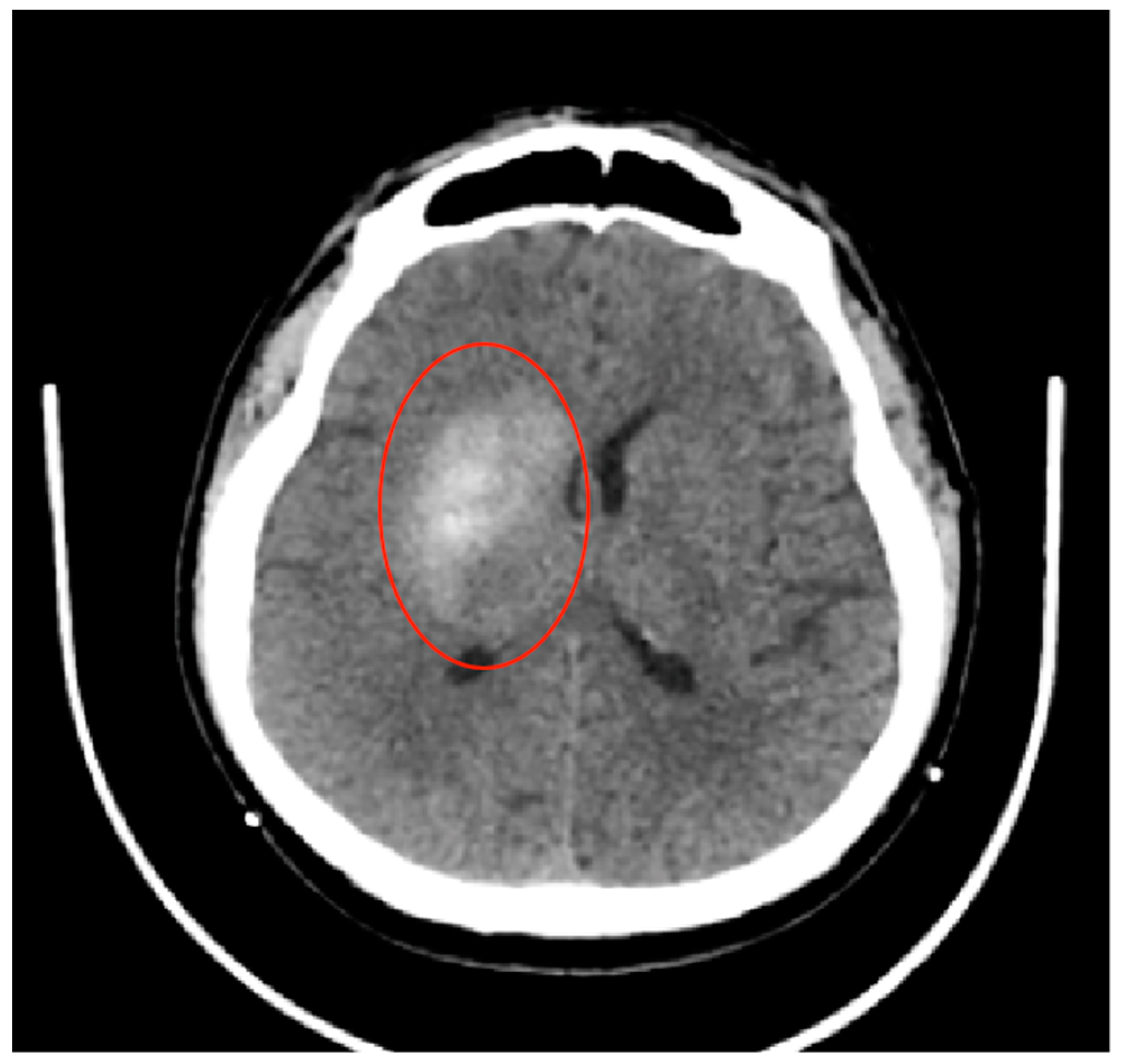
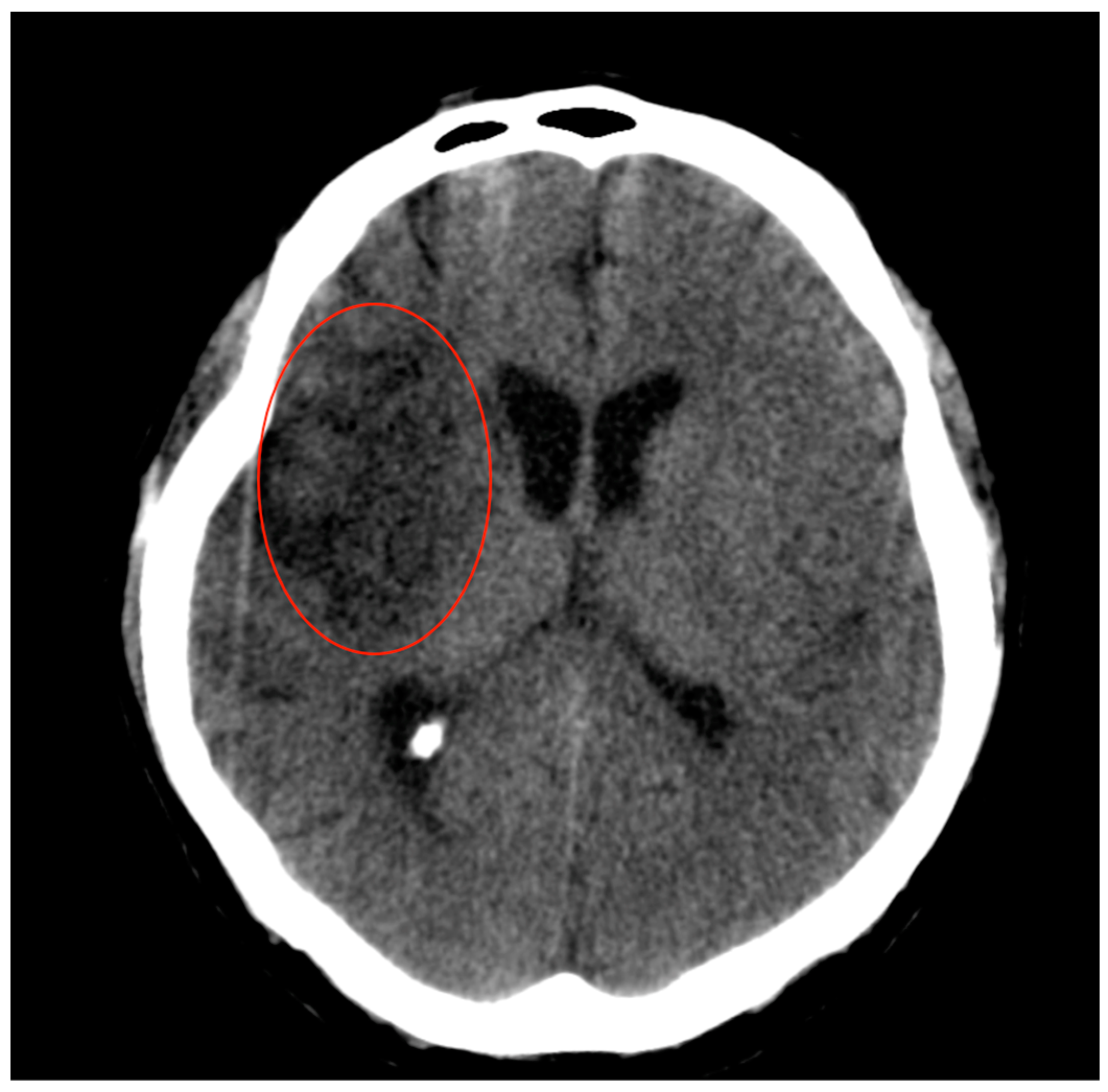
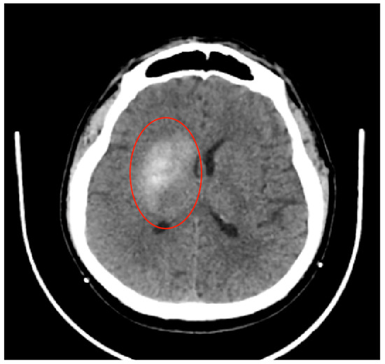
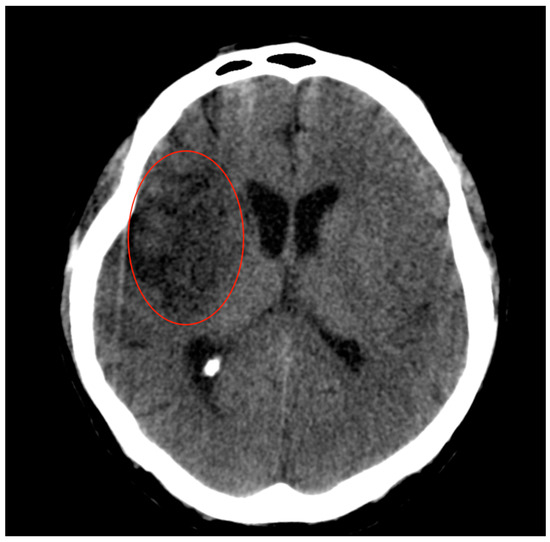
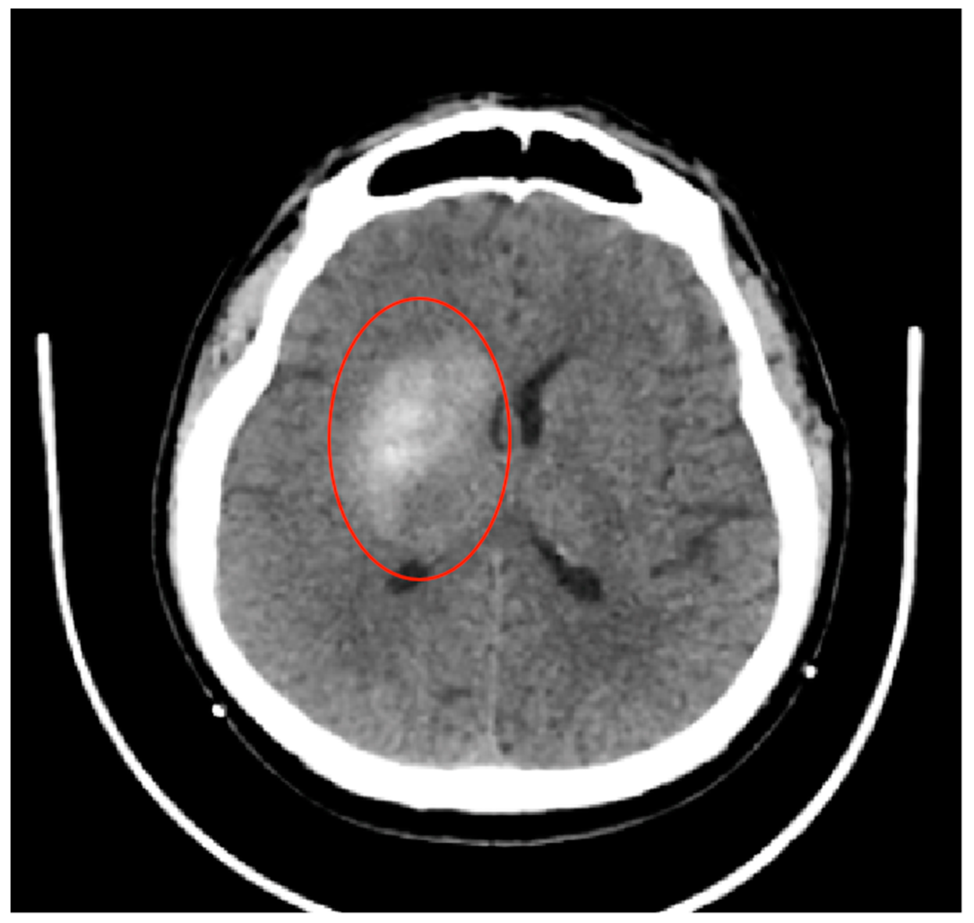
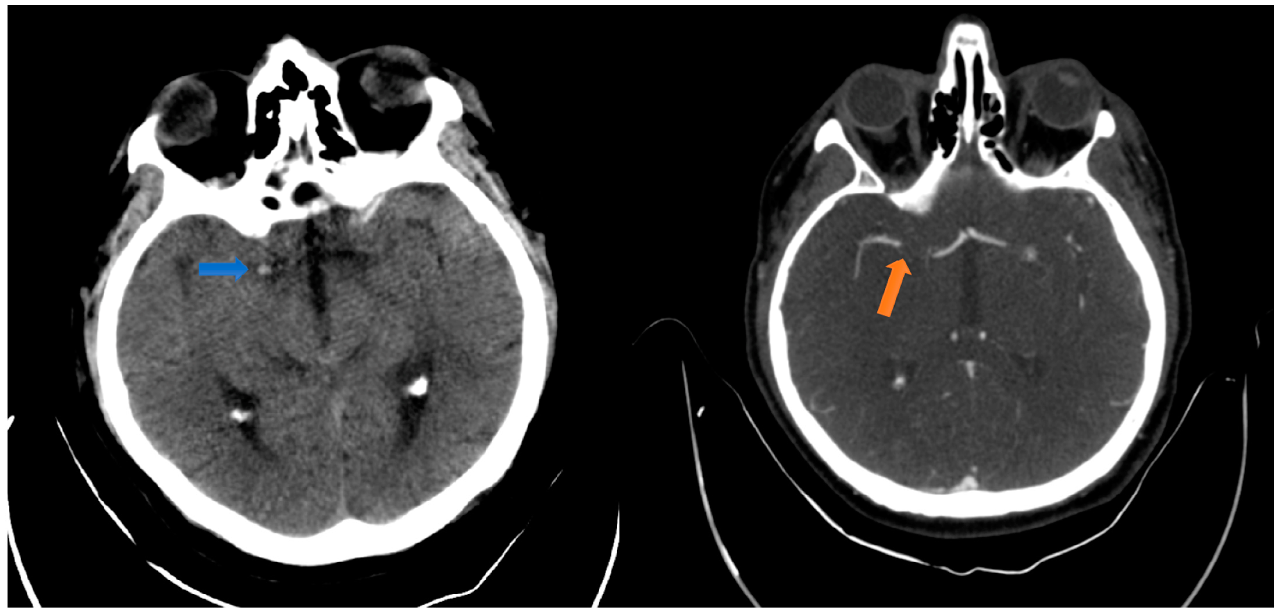
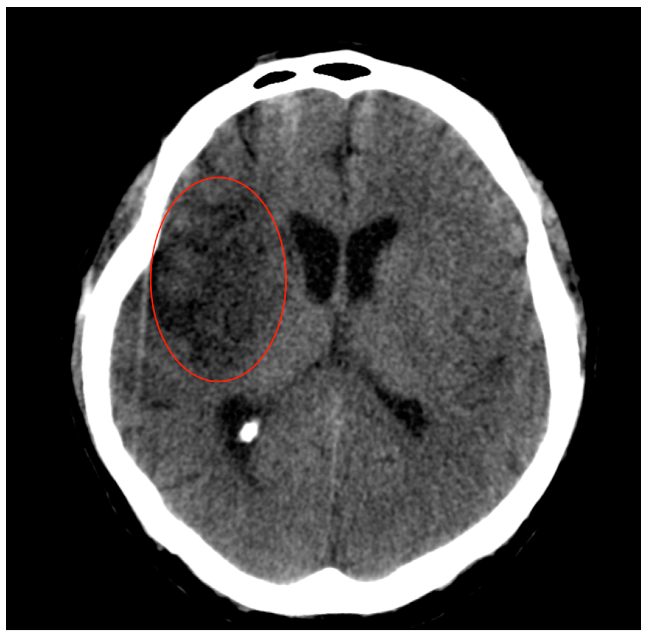
2.1. Case Presentation
2.2. Literature Review
3. Discussion
Limitations
4. Conclusions
Author Contributions
Funding
Institutional Review Board Statement
Informed Consent Statement
Data Availability Statement
Conflicts of Interest
References
- Almallouhi, E.; Al Kasab, S.; Sattur, M.G.; Lena, J.; Jabbour, P.M.; Sweid, A.; Chalouhi, N.; Gooch, M.R.; Starke, R.M.; Peterson, E.C.; et al. Incorporation of transradial approach in neuroendovascular procedures: Defining benchmarks for rates of complications and conversion to femoral access. J. Neurointerv. Surg. 2020, 12, 1122–1126. [Google Scholar] [CrossRef]
- Joshi, K.C.; Beer-Furlan, A.; Crowley, R.W.; Chen, M.; Munich, S.A. Transradial approach for neurointerventions: A systematic review of the literature. J. NeuroInterv. Surg. 2020, 12, 886–892. [Google Scholar] [CrossRef]
- Lu, C.-J.; Lin, Y.-H.; Chu, H.-J.; Tang, S.-C.; Lee, C.-W. Safety and efficacy of the transbrachial approach for endovascular thrombectomy in patients with acute large vessel occlusion stroke. J. Formos. Med. Assoc. 2021, 120 Pt 3, 705–712. [Google Scholar] [CrossRef] [PubMed]
- Bendszus, M.; Fiehler, J.; Subtil, F.; Bonekamp, S.; Aamodt, A.H.; Fuentes, B.; Gizewski, E.R.; Hill, M.D.; Krajina, A.; Pierot, L.; et al. Endovascular thrombectomy for acute ischaemic stroke with established large infarct: Multicentre, open-label, randomised trial. Lancet 2023, 402, 1753–1763. [Google Scholar] [CrossRef] [PubMed]
- Ahuja, C.K.; Agarwal, V.; Vyas, S.; Gupta, V. Access Route for Endovascular Neurointervention—Transfemoral to Transradial: Is it Worth the Effort and are we Ready for the Change? J. Clin. Interv. Radiol. ISVIR 2021, 06, 184–189. [Google Scholar] [CrossRef]
- Ghaith, A.K.; El Naamani, K.; Mualem, W.; Ghanem, M.; Rajjoub, R.; Sweid, A.; Yolcu, Y.U.; Onyedimma, C.; Tjoumakaris, S.I.; Bydon, M.; et al. Transradial versus Transfemoral Approaches in Diagnostic and Therapeutic Neuroendovascular Interventions: A Meta-Analysis of Current Literature. World Neurosurg. 2022, 164, e694–e705. [Google Scholar] [CrossRef] [PubMed]
- Oneissi, M.; Sweid, A.; Tjoumakaris, S.; Hasan, D.; Gooch, M.R.; Rosenwasser, R.H.; Jabbour, P. Access-Site Complications in Transfemoral Neuroendovascular Procedures: A Systematic Review of Incidence Rates and Management Strategies. Oper. Neurosurg. 2020, 19, 353–363. [Google Scholar] [CrossRef] [PubMed]
- Mokin, M.; Snyder, K.V.; Levy, E.I.; Hopkins, L.N.; Siddiqui, A.H. Direct carotid artery puncture access for endovascular treatment of acute ischemic stroke: Technical aspects, advantages, and limitations. J. Neurointerv. Surg. 2015, 7, 108–113. [Google Scholar] [CrossRef] [PubMed]
- Leys, D.; Pruvo, J.P.; Godefroy, O.; Rondepierre, P.; Leclerc, X. Prevalence and significance of hyperdense middle cerebral artery in acute stroke. Stroke 1992, 23, 317–324. [Google Scholar] [CrossRef]
- Popieluszko, P.; Henry, B.M.; Sanna, B.; Hsieh, W.C.; Saganiak, K.; Pękala, P.A.; Walocha, J.A.; Tomaszewski, K.A. A systematic review and meta-analysis of variations in branching patterns of the adult aortic arch. J. Vasc. Surg. 2018, 68, 298–306.e10. [Google Scholar] [CrossRef]
- İnanç, Y.; İnanç, Y.; Ay, H. The effect of demographic features on aortic arch anatomy and its role in the etiology of cerebrovascular disease. Neuropsychiatr. Dis. Treat. 2018, 14, 29–35. [Google Scholar] [CrossRef]
- Hoffman, J.I.; Kaplan, S. The incidence of congenital heart disease. J. Am. Coll. Cardiol. 2002, 39, 1890–1900. [Google Scholar] [CrossRef]
- Satti, S.R.; Cerniglia, C.A.; Koenigsberg, R.A. Cervical vertebral artery variations: An anatomic study. AJNR Am. J. Neuroradiol. 2007, 28, 976–980. [Google Scholar]
- Ribo, M.; Flores, A.; Rubiera, M.; Pagola, J.; Mendonca, N.; Rodriguez-Luna, D.; Piñeiro, S.; Meler, P.; Alvarez-Sabin, J.; Molina, C.A. Difficult catheter access to the occluded vessel during endovascular treatment of acute ischemic stroke is associated with worse clinical outcome. J. Neurointerv. Surg. 2013, 5 (Suppl. S1), i70–i73. [Google Scholar] [CrossRef]
- Reznik, M.E.; Espinosa-Morales, A.D.; Jumaa, M.A.; Zaidi, S.; Ducruet, A.F.; Jadhav, A.P. Endovascular thrombectomy in the setting of aortic dissection. J. Neurointerv. Surg. 2017, 9, 17–20. [Google Scholar] [CrossRef]
- Okawa, M.; Tateshima, S.; Liebeskind, D.; Ali, L.K.; Thompson, M.L.; Saver, J.; Duckwiler, G.R. Successful recanalization for acute ischemic stroke via the transbrachial approach. J. Neurointerv. Surg. 2016, 8, 122–125. [Google Scholar] [CrossRef]
- Yamaguchi, S.; Horie, N.; Morofuji, Y.; Satoh, K.; Suyama, K. Rapid Recanalization Using TrevoProVue through a 4.2 Fr Catheter without a Guiding Catheter via Transbrachial Approach: A Case Report. NMC Case Rep. J. 2017, 4, 97–99. [Google Scholar] [CrossRef][Green Version]
- Balci, S.; Arsava, E.M.; Topcuoglu, M.A.; Arat, A. Floating Aortic Thrombus: A Rare Cause of Acute Ischemic Stroke Necessitating Modification of Access Route for Thrombectomy. J. Stroke Cerebrovasc. Dis. 2019, 28, 104291. [Google Scholar] [CrossRef]
- Kehara, H.; Urashita, S.; Gomibuchi, T.; Komatsu, K.; Takahashi, K.; Tsukioka, K.; Terasaki, T.; Kono, T.; Wada, N.; Kakizawa, Y.; et al. Mechanical Thrombectomy for Postoperative Stroke in a Patient with Acute Aortic Dissection Type A. NMC Case Rep. J. 2020, 7, 71–74. [Google Scholar] [CrossRef][Green Version]
- Proença, F.B.; Madureira, F.R.J.B.; Campos, C.; Teotónio, P.; Neto, L. Transbrachial Basilar Artery Thrombectomy in a Patient with Aortic Dissection. ACTA Radiológica Portuguesa 2020, 32, 25–28. [Google Scholar]
- Bhatia, V.; Choudhary, N.; Prabhakar, A.; Kumar, A.; Khurana, D. Transbrachial access for mechanical thrombectomy in a case of acute ischemic stroke with aortic bifurcation occlusion. J. Stroke Med. 2022, 5, 91–95. [Google Scholar] [CrossRef]
- Shimizu, T.; Sakamoto, M.; Kamitani, H.; Kurosaki, M. Transbrachial Mechanical Thrombectomy for Acute Ischemic Stroke in Marfan’s Syndrome: A Case Report. J. Neuroendovasc. Ther. 2023, 17, 68–72. [Google Scholar] [CrossRef] [PubMed]
- Baumgartner, H.; De Backer, J.; Babu-Narayan, S.V.; Budts, W.; Chessa, M.; Diller, G.-P.; Lung, B.; Kluin, J.; Lang, I.M.; Meijboom, F.; et al. 2020 ESC Guidelines for the management of adult congenital heart disease: The Task Force for the management of adult congenital heart disease of the European Society of Cardiology (ESC). Endorsed by: Association for European Paediatric and Congenital Cardiology (AEPC), International Society for Adult Congenital Heart Disease (ISACHD). Eur. Heart J. 2020, 42, 563–645. [Google Scholar]
- Kim, Y.Y.; Andrade, L.; Cook, S.C. Aortic Coarctation. Cardiol. Clin. 2020, 38, 337–351. [Google Scholar] [CrossRef] [PubMed]
- Trenk, L.; Lammers, A.E.; Radke, R.; Baumgartner, H.; Wort, S.J.; Gatzoulis, M.A.; Diller, G.P.; Kempny, A. Neurological complications in aortic coarctation: Results of a Nationwide analysis based on 11,907 patients. Int. J. Cardiol. 2021, 322, 114–120. [Google Scholar] [CrossRef] [PubMed]
- Costello, T.G.; Fisher, A. Neurological complications following aortic surgery. Case reports and review of the literature. Anaesthesia 1983, 38, 230–236. [Google Scholar] [PubMed]
- Tsuji, Y.; Miki, T.; Kakita, H.; Sato, K.; Yoshida, T.; Shimizu, F. Mechanical Thrombectomy for Large Vessel Occlusion via the Transbrachial Approach: Case Series. Neurointervention 2020, 15, 89–95. [Google Scholar] [CrossRef] [PubMed]
- Lee, D.G.; Lee, D.H.; Shim, J.H.; Suh, D.C. Feasibility of the Transradial or the Transbrachial Approach in Various Neurointerventional Procedures. Neurointervention 2015, 10, 74–81. [Google Scholar] [CrossRef]
- Kiemeneij, F.; Laarman, G.J.; Odekerken, D.; Slagboom, T.; van der Wieken, R. A randomized comparison of percutaneous transluminal coronary angioplasty by the radial, brachial and femoral approaches: The access study. J. Am. Coll. Cardiol. 1997, 29, 1269–1275. [Google Scholar] [CrossRef]
- Webber, G.W.; Jang, J.; Gustavson, S.; Olin, J.W. Contemporary management of postcatheterization pseudoaneurysms. Circulation 2007, 115, 2666–2674. [Google Scholar] [CrossRef]
- Shibata, T.; Oomura, M.; Nishikawa, Y.; Mase, M. Direct Brachial Approach for Acute Basilar Artery Occlusion: Technical Note and Preliminary Clinical Experience. Neurointervention 2020, 15, 31–36. [Google Scholar] [CrossRef]
- Park, S.; Kwak, J.H.; Baek, H.J.; Park, J.W.; Kim, J.S.; Suh, D.C. The Use of Protection Device in Landmark-wire Technique of Symptomatic Subclavian Artery Occlusion with Combined Approach via Trans-femoral vs. Trans-brachial Arteries: Technical note. Neurointervention 2011, 6, 89–94. [Google Scholar] [CrossRef]
- Kobeissi, H.; Ghozy, S.; Liu, M.; Adusumilli, G.; Bilgin, C.; Kadirvel, R.; Kallmes, D.F.; Brinjikji, W. Mechanical Thrombectomy via Transradial Approach for Posterior Circulation Stroke: A Systematic Review and Meta-Analysis. Cureus 2022, 14, e26589. [Google Scholar] [CrossRef]
- Verhey, L.H.; Orozco, A.R.; Oliver, M.; Lyons, L.; Sewell, A.P.; Tsai, J.P.; Mazaris, P.; Khan, M.; Singer, J.A. Transradial versus transfemoral access for mechanical thrombectomy in acute ischemic stroke: A retrospective cohort study. J. Stroke Cerebrovasc. Dis. 2023, 32, 107282. [Google Scholar] [CrossRef]
- Elfil, M.; Ghaith, H.S.; Doheim, M.F.; Aboutaleb, P.E.; Romeo, D.; Salem, M.M.; Aladawi, M.; Jankowitz, B.T.; Burkhardt, J.K.; Nguyen, T.N.; et al. Transradial Versus Transfemoral Access for Mechanical Thrombectomy: A Systematic Review and Meta-Analysis. Stroke Vasc. Interv. Neurol. 2023, 3, e000758. [Google Scholar] [CrossRef]
- Peterson, C.; Waldau, B. Transradial access for thrombectomy in acute stroke: A systematic review and meta-analysis. Clin. Neurol. Neurosurg. 2020, 198, 106235. [Google Scholar] [CrossRef]
- Blanc, R.; Piotin, M.; Mounayer, C.; Spelle, L.; Moret, J. Direct cervical arterial access for intracranial endovascular treatment. Neuroradiology 2006, 48, 925–929. [Google Scholar] [CrossRef] [PubMed]
- Orlov, K.; Arat, A.; Osiev, A.; Berestov, V.; Aytemir, K.; Topcuoglu, M.A.; Arsava, E.M. Transvenous Treatment of Carotid Aneurysms Through Transseptal Access. World Neurosurg. 2019, 124, 459–463.e2. [Google Scholar] [CrossRef] [PubMed]
- Roche, A.D.; Murphy, B.; Adams, N.; Sheahan, R.; Brennan, P.; Looby, S. Direct Common Carotid Artery Puncture for Endovascular Treatment of Acute Large Vessel Ischemic Stroke in a Patient with Aortic Coarctation. J. Stroke Cerebrovasc. Dis. 2017, 26, e211–e213. [Google Scholar] [CrossRef] [PubMed]




| Number of Case Reports | Authors/Year | Sex/Age | Artery Occlusion Location | Reperfusion Therapy | Aortic Pathologies | MT Complications | Transbrachial Approach Local Complications | Outcomes |
|---|---|---|---|---|---|---|---|---|
| 1. | Okawa et al., 2016 [16] | Not stated | Left terminal internal carotid artery | MT | Bovine aortic arch variant | No | No | Not stated |
| 2. | Yamaguchi et al., 2017 [17] | Male, 94 years | Right middle cerebral artery | MT | Aortic arch type III | Hemorrhagic infarction of basal ganglia | Not stated | Alive, partially recovered |
| 3. | Balci et al., 2019 [18] | Male, 57 years | Left middle cerebral artery m1 segment | MT | Thrombus protruding into the aortic arch | No | No | Alive, partially recovered |
| Male, 60 years | Right middle cerebral artery m1 segment | MT | Thrombus protruding into the aortic arch | No | Moderate focal spasm at the entry site | Alive, partially recovered | ||
| 4. | Kehara et al., 2020 [19] | Male/55 years | Right middle cerebral artery | MT | Acute aortic dissection type A | Right-sided hemorrhagic stroke | Not stated | Alive, recovered |
| 5. | Proença et al., 2020 [20] | Male, 47 years | Mid-basilar artery | Intravenous thrombolysis + MT | History of type A aortic dissection (with previous endovascular stent graft surgery), intervention in the ascending and hemiarch aortic segment, ascending aortic aneurysm | No | No | Alive, recovered |
| 6. | Bhatia et al., 2022 [21] | Female/51 years | Left middle cerebral artery | MT | Aortic bifurcation occlusion | Not stated | Not stated | Not stated |
| 7. | Shimizu et al., 2023 [22] | Female/58 years | The left middle cerebral artery | Intravenous thrombolysis + MT | Aortic arch type III and Marfan syndrome | occlusion of the right internal carotid artery | No | Alive, partially recovered |
Disclaimer/Publisher’s Note: The statements, opinions and data contained in all publications are solely those of the individual author(s) and contributor(s) and not of MDPI and/or the editor(s). MDPI and/or the editor(s) disclaim responsibility for any injury to people or property resulting from any ideas, methods, instructions or products referred to in the content. |
© 2024 by the authors. Licensee MDPI, Basel, Switzerland. This article is an open access article distributed under the terms and conditions of the Creative Commons Attribution (CC BY) license (https://creativecommons.org/licenses/by/4.0/).
Share and Cite
Iancu, A.; Tudor, R.; Chita, D.S.; Juratu, C.; Tudor, A.; Buleu, F.; Popa, D.; Brad, S. Mechanical Thrombectomy via Transbrachial Approach in the Emergency Management of Acute Ischemic Stroke Patients with Aortic Pathologies: Our Experience and Literature Review. J. Pers. Med. 2024, 14, 216. https://doi.org/10.3390/jpm14020216
Iancu A, Tudor R, Chita DS, Juratu C, Tudor A, Buleu F, Popa D, Brad S. Mechanical Thrombectomy via Transbrachial Approach in the Emergency Management of Acute Ischemic Stroke Patients with Aortic Pathologies: Our Experience and Literature Review. Journal of Personalized Medicine. 2024; 14(2):216. https://doi.org/10.3390/jpm14020216
Chicago/Turabian StyleIancu, Aida, Raluca Tudor, Dana Simona Chita, Catalin Juratu, Anca Tudor, Florina Buleu, Daian Popa, and Silviu Brad. 2024. "Mechanical Thrombectomy via Transbrachial Approach in the Emergency Management of Acute Ischemic Stroke Patients with Aortic Pathologies: Our Experience and Literature Review" Journal of Personalized Medicine 14, no. 2: 216. https://doi.org/10.3390/jpm14020216
APA StyleIancu, A., Tudor, R., Chita, D. S., Juratu, C., Tudor, A., Buleu, F., Popa, D., & Brad, S. (2024). Mechanical Thrombectomy via Transbrachial Approach in the Emergency Management of Acute Ischemic Stroke Patients with Aortic Pathologies: Our Experience and Literature Review. Journal of Personalized Medicine, 14(2), 216. https://doi.org/10.3390/jpm14020216

