Noninfectious Granulomatous Lung Disease: Radiological Findings and Differential Diagnosis
Abstract
1. Introduction
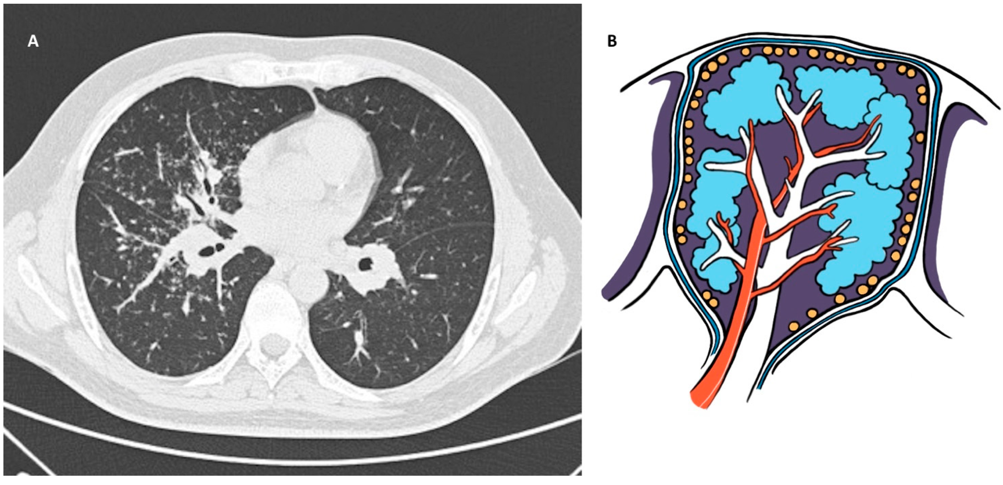
2. Sarcoidosis
2.1. Definition
2.2. Micro-Macroscopic Features
2.3. Clinical Findings
2.4. Diagnosis
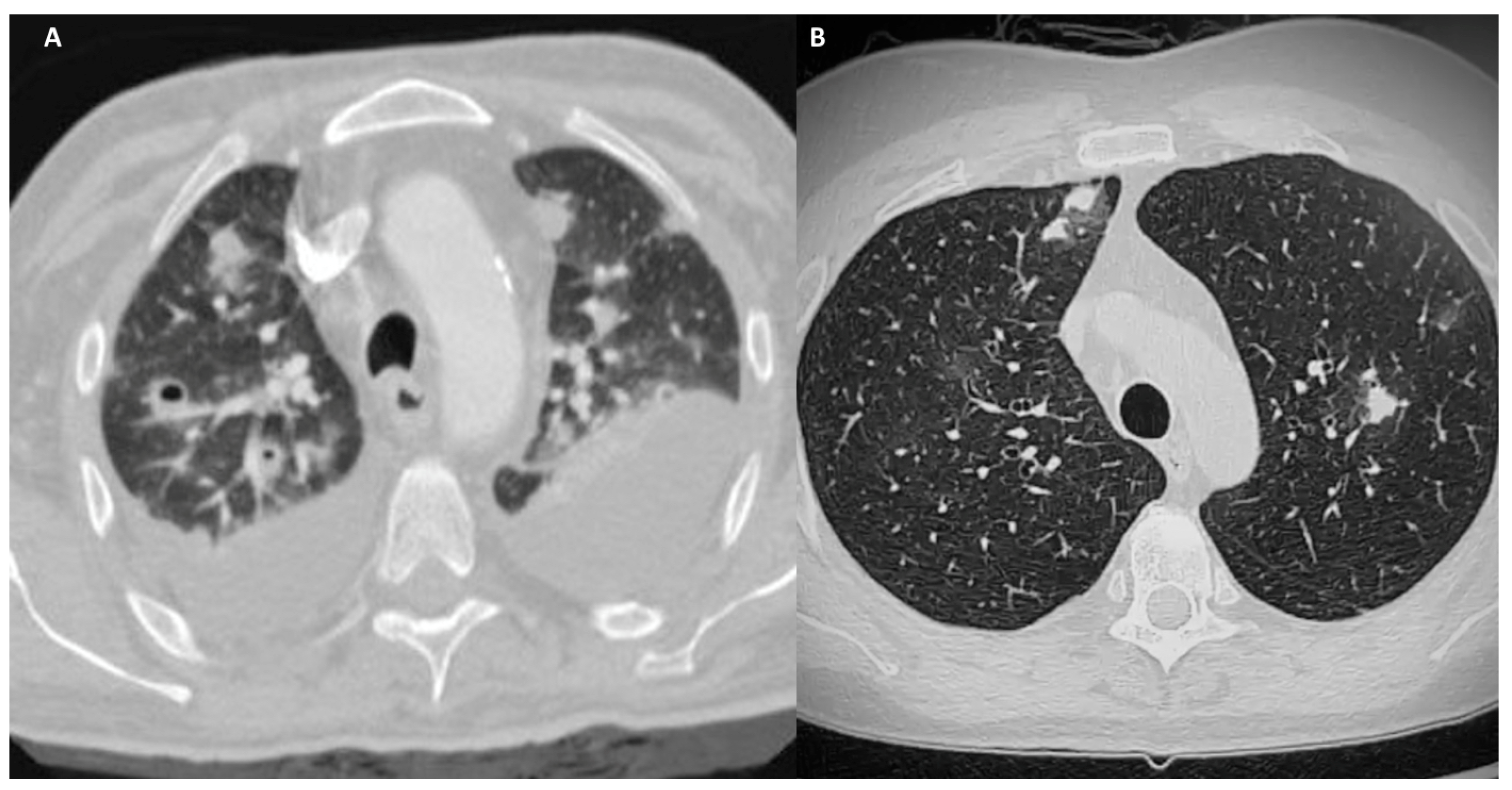
3. ANCA-Associated GLDs
3.1. Granulomatosis with Polyangiitis (Wegener Granulomatosis)
3.1.1. Definition
3.1.2. Micro-Macroscopic Features
3.1.3. Clinical Findings
3.1.4. Diagnosis
3.2. Eosinophilic Granulomatosis with Polyangiitis (Churg–Strauss Syndrome)
3.2.1. Definition
3.2.2. Micro-Macroscopic Features
3.2.3. Clinical Findings
3.2.4. Diagnosis
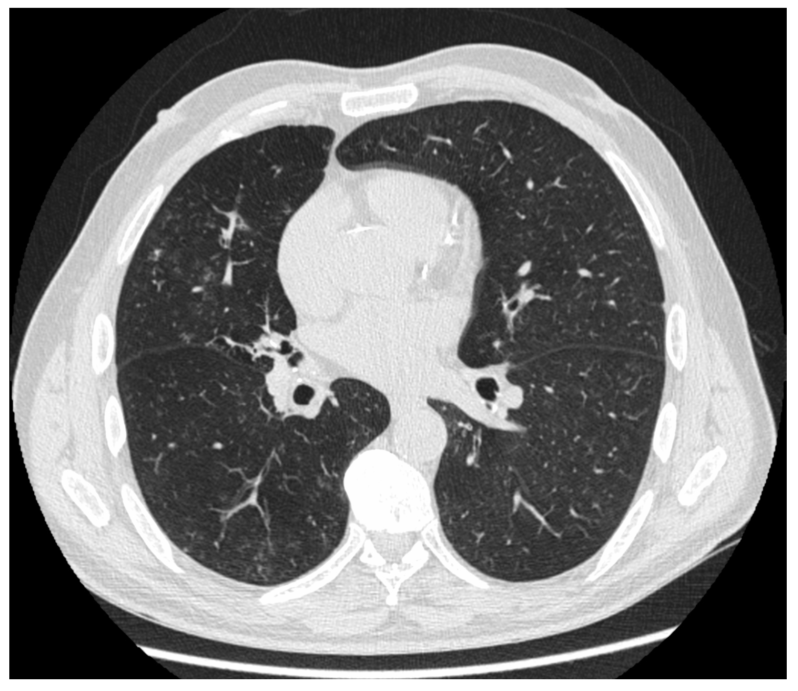
4. Rheumatoid Nodule
4.1. Definition
4.2. Micro-Macroscopic Features
4.3. Clinical Findings
4.4. Diagnosis
5. Secondary to Substances Inhalation GLDs
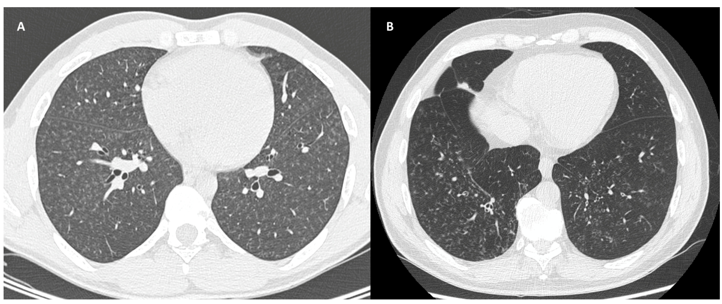
5.1. Hypersensitivity Pneumonitis
5.1.1. Definition
5.1.2. Micro-Macroscopic Features
5.1.3. Clinical Finding
5.1.4. Diagnosis
5.2. Aspiration Pneumonia
5.2.1. Definition
5.2.2. Micro- and Macroscopic Features
5.2.3. Clinical Findings
5.2.4. Diagnosis
5.3. Talc Granulomatosis
5.3.1. Definition
5.3.2. Micro-Macroscopic Features
5.3.3. Clinical Findings
5.3.4. Diagnosis
5.4. Berylliosis
5.4.1. Definition
5.4.2. Micro-Macroscopic Features
5.4.3. Clinical Findings
5.4.4. Diagnosis
6. Lymphocytic Interstitial Pneumonia
6.1. Definition
6.2. Micro-Macroscopic Features
6.3. Clinical Findings
6.4. Diagnosis
7. Pulmonary Langerhans Cell Histiocytosis
7.1. Definition
7.2. Micro-Macroscopic Features
7.3. Clinical Findings
7.4. Diagnosis
8. Conclusions
Author Contributions
Funding
Institutional Review Board Statement
Informed Consent Statement
Data Availability Statement
Conflicts of Interest
References
- Ohshimo, S.; Guzman, J.; Costabel, U.; Bonella, F. Differential diagnosis of granulomatous lung disease: Clues and pitfalls. Eur. Respir. Rev. 2017, 26, 170012. [Google Scholar] [CrossRef]
- Mukhopadhyay, S.; Gal, A.A. Granulomatous lung disease: An approach to the differential diagnosis. Arch. Pathol. Lab. Med. 2010, 134, 667–690. [Google Scholar] [CrossRef]
- Bode, S.F.N.; Rohr, J.; Quernheim, J.M.; Seidl, M.; Speckmann, C.; Heinzmann, A. Pulmonary granulomatosis of genetic origin. Eur. Respir. Rev. 2021, 30, 200152. [Google Scholar] [CrossRef]
- De Oliveira, C.V.; Horvat, N.; Testagrossa, L.A.; Romão, D.D.S.; Rassi, M.B.; Lee, H.J. Etiological profile and main imaging findings in patients with granulomatous diseases who underwent lung biopsy. Eur. J. Radiol. Open 2021, 8, 100325. [Google Scholar] [CrossRef]
- Freund, O.; Wand, O.; Schneer, S.; Barel, N.; Shalmon, T.; Borsekofsky, S.; Hershko, T.; Gershman, E.; Adir, Y.; Bar-Shai, A.; et al. Transbronchial Cryobiopsy Is Superior to Forceps Biopsy for Diagnosing both Fibrotic and Non-Fibrotic Interstitial Lung Diseases. Respiration 2023, 102, 852–860. [Google Scholar] [CrossRef]
- Baumann, U.; Routes, J.M.; Soler-Palacin, P.; Jolles, S. The lung in primary immunodeficiencies: New concepts in infection and inflammation. Front. Immunol. 2018, 9, 1837. [Google Scholar] [CrossRef]
- Naeem, M.; Ballard, D.H.; Jawad, H.; Raptis, C.; Bhalla, S. Noninfectious Granulomatous Diseases of the Chest. Radiographics 2020, 40, 1003–1019. [Google Scholar] [CrossRef]
- Ganeshan, D.; Menias, C.O.; Lubner, M.G.; Pickhardt, P.J.; Sandrasegaran, K.; Bhalla, S. Sarcoidosis from Head to Toe: What the Radiologist Needs to Know. Radiographics 2018, 38, 1180–1200. [Google Scholar] [CrossRef]
- Calender, A.; Weichhart, T.; Valeyre, D.; Pacheco, Y. Current Insights in Genetics of Sarcoidosis: Functional and Clinical Impacts. J. Clin. Med. 2020, 9, 2633. [Google Scholar] [CrossRef]
- Terwiel, M.; van Moorsel, C.H.M. Clinical epidemiology of familial sarcoidosis: A systematic literature review. Respir. Med. 2019, 149, 36–41. [Google Scholar] [CrossRef]
- Dehara, M.; Sachs, M.C.; Grunewald, J.; Blomberg, A.; Arkema, E.V. Modifiable lifestyle risk factors for sarcoidosis: A nested case-control study. ERJ Open Res. 2023, 9, 00492-2022. [Google Scholar] [CrossRef]
- Valeyre, D.; Prasse, A.; Nunes, H.; Uzunhan, Y.; Brillet, P.Y.; Müller-Quernheim, J. Sarcoidosis. Lancet 2014, 383, 1155–1167. [Google Scholar] [CrossRef]
- Ma, Y.; Gal, A.; Koss, M. Reprint of: The pathology of pulmonary sarcoidosis: Update. Semin. Diagn. Pathol. 2018, 35, 324–333. [Google Scholar] [CrossRef]
- Kim, J.; Dwivedi, G.; Boughton, B.A.; Sharma, A.; Lee, S. Advances in cellular and tissue-based imaging techniques for sarcoid granulomas. Am. J. Physiol. Cell Physiol. 2024, 326, C10–C26. [Google Scholar] [CrossRef]
- Li, Y.; Liang, Z.; Zheng, Y.; Qiao, J.; Wang, P. Pulmonary sarcoidosis: From clinical features to pathology-narrative review. Ann. Palliat. Med. 2021, 10, 3438–3444. [Google Scholar] [CrossRef]
- Zhang, H.; Costabel, U.; Dai, H. The Role of Diverse Immune Cells in Sarcoidosis. Front. Immunol. 2021, 12, 788502. [Google Scholar] [CrossRef]
- Lee, G.M.; Pope, K.; Meek, L.; Chung, J.H.; Hobbs, S.B.; Walker, C.M. Sarcoidosis: A Diagnosis of Exclusion. AJR Am. J. Roentgenol. 2020, 214, 50–58. [Google Scholar] [CrossRef]
- Jain, R.; Yadav, D.; Puranik, N.; Guleria, R.; Jin, J.O. Sarcoidosis: Causes, Diagnosis, Clinical Features, and Treatments. J. Clin. Med. 2020, 9, 1081. [Google Scholar] [CrossRef]
- Crouser, E.D.; Maier, L.A.; Wilson, K.C.; Bonham, C.A.; Morgenthau, A.S.; Patterson, K.C.; Abston, E.; Bernstein, R.C.; Blankstein, R.; Chen, E.S.; et al. Diagnosis and Detection of Sarcoidosis. An Official American Thoracic Society Clinical Practice Guideline. Am. J. Respir. Crit. Care Med. 2020, 201, e26–e51. [Google Scholar] [CrossRef]
- Mikulic, S.; Patel, P.; Sheffield, S.; Kandah, F.; Velarde, G. Heerfordt-Waldenström Syndrome Manifesting as Cardiac Sarcoidosis. Cureus 2020, 12, e10619. [Google Scholar] [CrossRef]
- Costabel, U.; Ohshimo, S.; Guzman, J. Diagnosis of sarcoidosis. CurrOpinPulm Med. 2008, 14, 455–461. [Google Scholar] [CrossRef]
- Sève, P.; Pacheco, Y.; Durupt, F.; Jamilloux, Y.; Gerfaud-Valentin, M.; Isaac, S.; Boussel, L.; Calender, A.; Androdias, G.; Valeyre, D.; et al. Sarcoidosis: A Clinical Overview from Symptoms to Diagnosis. Cells 2021, 10, 766. [Google Scholar] [CrossRef]
- Ungprasert, P.; Ryu, J.H.; Matteson, E.L. Clinical Manifestations, Diagnosis, and Treatment of Sarcoidosis. Mayo Clin. Proc. Innov. Qual. Outcomes 2019, 3, 358–375. [Google Scholar] [CrossRef]
- Llanos, O.; Hamzeh, N. Sarcoidosis. Med. Clin. N. Am. 2019, 103, 527–534. [Google Scholar] [CrossRef]
- Ayçiçek, O.; Bülbül, Y.; Öztuna, F.; Özlu, T.; Akkaya, S. Diagnostic Value of Radiographic Characteristics of Mediastinal and Hilar Lymph Nodes in Sarcoidosis. Turk. Thorac. J. 2022, 23, 284–289. [Google Scholar] [CrossRef]
- Scadding, J.G. Prognosis of intrathoracic sarcoidosis in England: A review of 136 cases after five years’ observation. BMJ 1961, 2, 1165–1172. [Google Scholar] [CrossRef]
- Dhagat, P.K.; Singh, S.; Jain, M.; Singh, S.N.; Sharma, R.K. Thoracic Sarcoidosis: Imaging with High Resolution Computed Tomography. J. Clin. Diagn. Res. 2017, 11, TC15–TC18. [Google Scholar] [CrossRef]
- Guidry, C.; Fricke, R.G.; Ram, R.; Pandey, T.; Jambhekar, K. Imaging of sarcoidosis: A contemporary review. Radiol. Clin. N. Am. 2016, 54, 519–534. [Google Scholar] [CrossRef]
- Bernardinello, N.; Petrarulo, S.; Balestro, E.; Cocconcelli, E.; Veltkamp, M.; Spagnolo, P. Pulmonary Sarcoidosis: Diagnosis and Differential Diagnosis. Diagnostics 2021, 11, 1558. [Google Scholar] [CrossRef]
- Ji, B.; Khatun, N.; Mostafidi, E.; Gupta, R.; McFarlane, S.I. Sarcoidosis Versus Lymphoma: A Clinical Diagnostic Dilemma in a Patient With Extensive Lymphadenopathy. Cureus 2023, 15, e43281. [Google Scholar] [CrossRef]
- Chandra, D.; Cherian, S.V. Hypersensitivity Pneumonitis. In StatPearls; StatPearls Publishing: Treasure Island, FL, USA, 2023. [Google Scholar]
- Castoldi, M.C.; Verrioli, A.; De Juli, E.; Vanzulli, A. Pulmonary Langerhans cell histiocytosis: The many faces of presentation at initial CT scan. Insights Imaging 2014, 5, 483–492. [Google Scholar] [CrossRef]
- Costabel, U.; Guzman, J. Bronchoalveolar lavage in interstitial lung disease. CurrOpinPulm Med. 2001, 7, 255–261. [Google Scholar] [CrossRef]
- Vukmirovic, M.; Yan, X.; Gibson, K.F.; Gulati, M.; Schupp, J.C.; DeIuliis, G.; Adams, T.S.; Hu, B.; Mihaljinec, A.; Woolard, T.N.; et al. Transcriptomics of bronchoalveolar lavage cells identifies new molecular endotypes of sarcoidosis. Eur. Respir. J. 2021, 58, 2002950. [Google Scholar] [CrossRef]
- Costabel, U.; Guzman, J.; Drent, M. Diagnostic approach to sarcoidosis. In Sarcoidosis (ERS Monograph); Drent, M., Costabel, U., Eds.; European Respiratory Society: Sheffield, UK, 2005; pp. 259–264. [Google Scholar]
- Pajares, V.; Núñez-Delgado, M.; Bonet, G.; Pérez-Pallarés, J.; Martínez, R.; Cubero, N.; Zabala, T.; Cordovilla, R.; Flandes, J.; Disdier, C.; et al. Transbronchial biopsy results according to diffuse interstitial lung disease classification. Cryobiopsy versus forceps: MULTICRIO study. PLoS ONE 2020, 15, e0239114. [Google Scholar] [CrossRef]
- Garlapati, P.; Qurie, A. Granulomatosis with Polyangiitis. In StatPearls; StatPearls Publishing: Treasure Island, FL, USA, 2022. [Google Scholar]
- Guzman-Soto, M.I.; Kimura, Y.; Romero-Sanchez, G.; Cienfuegos-Alvear, J.A.; Candanedo-Gonzalez, F.; Kimura-Sandoval, Y.; Sanchez-Nava, D.A.; Alonso-Ramon, I.; Hinojosa-Azaola, A. From Head to Toe: Granulomatosis with Polyangiitis. Radiographics 2021, 41, 1973–1991. [Google Scholar] [CrossRef]
- Hashmi, M.F.; Jain, V.; Tiwari, V. Microscopic Polyangiitis. In StatPearls; StatPearls Publishing: Treasure Island, FL, USA, 2023. [Google Scholar]
- Grygiel-Górniak, B.; Limphaibool, N.; Perkowska, K.; Puszczewicz, M. Clinical manifestations of granulomatosis with polyangiitis: Key considerations and major features. Postgrad. Med. 2018, 130, 581–596. [Google Scholar] [CrossRef]
- Li, J.; Li, C.; Li, J. Thoracic manifestation of Wegener’s granulomatosis: Computed tomography findings and analysis of misdiagnosis. Exp. Ther. Med. 2018, 16, 413–419. [Google Scholar] [CrossRef]
- Tiwari, V.; Raman, A.; Gupta, A.; Gupta, P.; Joshi, A.; Bhargava, V.; Malik, M.; Gupta, A.; Bhalla, A.; Rana, D. Granulomatosis with Polyangiitis Masquerading as Renal Mass: Case Report and Literature Review. Indian J. Nephrol. 2021, 31, 406–409. [Google Scholar] [CrossRef]
- Puéchal, X. Granulomatosis with polyangiitis (Wegener’s). Jt. Bone Spine 2020, 87, 572–578. [Google Scholar] [CrossRef]
- Schirmer, J.H.; Wright, M.N.; Herrmann, K.; Laudien, M.; Nölle, B.; Reinhold-Keller, E.; Bremer, J.P.; Moosig, F.; Holle, J.U. Myeloperoxidase-Antineutrophil Cytoplasmic Antibody (ANCA)-Positive Granulomatosis With Polyangiitis (Wegener’s) Is a Clinically Distinct Subset of ANCA-Associated Vasculitis: A Retrospective Analysis of 315 Patients from a German Vasculitis Referral Center. Arthritis Rheumatol. 2016, 68, 2953–2963. [Google Scholar]
- Chakraborty, R.K.; Aeddula, N.R. Churg-Strauss Syndrome. In StatPearls; StatPearls Publishing: Treasure Island, FL, USA, 2023. [Google Scholar]
- Villa-Forte, A. Eosinophilic granulomatosis with polyangiitis. Postgrad. Med. 2023, 135 (Suppl. 1), 52–60. [Google Scholar] [CrossRef] [PubMed]
- Fagni, F.; Bello, F.; Emmi, G. Eosinophilic Granulomatosis With Polyangiitis: Dissecting the Pathophysiology. Front. Med. 2021, 8, 627776. [Google Scholar] [CrossRef] [PubMed]
- Price, M.; Gilman, M.D.; Carter, B.W.; Sabloff, B.S.; Truong, M.T.; Wu, C.C. Imaging of Eosinophilic Lung Diseases. Radiol. Clin. N. Am. 2016, 54, 1151–1164. [Google Scholar] [CrossRef] [PubMed]
- Fijolek, J.; Radzikowska, E. Eosinophilic granulomatosis with polyangiitis—Advances in pathogenesis, diagnosis, and treatment. Front. Med. 2023, 10, 1145257. [Google Scholar] [CrossRef]
- Masi, A.T.; Hunder, G.G.; Lie, J.T.; Michel, B.A.; Bloch, D.A.; Arend, W.P.; Calabrese, L.H.; Edworthy, S.M.; Fauci, A.S.; Leavitt, R.Y.; et al. The American College of Rheumatology 1990 criteria for the classification of Churg-Strauss syndrome (allergic granulomatosis and angiitis). Arthritis Rheum. 1990, 33, 1094–1100. [Google Scholar] [CrossRef] [PubMed]
- Groh, M.; Pagnoux, C.; Baldini, C.; Bel, E.; Bottero, P.; Cottin, V.; Dalhoff, K.; Dunogué, B.; Gross, W.; Holle, J.; et al. Eosinophilic granulomatosis with polyangiitis (Churg-Strauss) (EGPA) Consensus Task Force recommendations for evaluation and management. Eur. J. Intern. Med. 2015, 26, 545–553. [Google Scholar] [CrossRef]
- Jeong, Y.J.; Kim, K.I.; Seo, I.J.; Lee, C.H.; Lee, K.N.; Kim, K.N.; Kim, J.S.; Kwon, W.J. Eosinophilic lung diseases: A clinical, radiologic, and pathologic overview. RadioGraphics 2007, 27, 617–637; discussion 637–639. [Google Scholar] [CrossRef]
- Shaw, M.; Collins, B.F.; Ho, L.A.; Raghu, G. Rheumatoid arthritis-associated lung disease. Eur. Respir. Rev. 2015, 24, 1–16. [Google Scholar] [CrossRef]
- Bang, S.; Kim, Y.; Jang, K.; Paik, S.S.; Shin, S.J. Clinicopathologic features of rheumatoid nodules: A retrospective analysis. Clin. Rheumatol. 2019, 38, 3041–3048. [Google Scholar] [CrossRef]
- Raghu, G.; Remy-Jardin, M.; Ryerson, C.J.; Myers, J.L.; Kreuter, M.; Vasakova, M.; Bargagli, E.; Chung, J.H.; Collins, B.F.; Bendstrup, E.; et al. Diagnosis of Hypersensitivity Pneumonitis in Adults. An Official ATS/JRS/ALAT Clinical Practice Guideline. Am. J. Respir. Crit. Care Med. 2020, 202, e36–e69. [Google Scholar] [CrossRef]
- Alberti, M.L.; Rincon-Alvarez, E.; Buendia-Roldan, I.; Selman, M. Hypersensitivity Pneumonitis: Diagnostic and Therapeutic Challenges. Front. Med. 2021, 8, 718299. [Google Scholar] [CrossRef]
- Magee, A.L.; Montner, S.M.; Husain, A.; Adegunsoye, A.; Vij, R.; Chung, J.H. Imaging of Hypersensitivity Pneumonitis. Radiol. Clin. N. Am. 2016, 54, 1033–1046. [Google Scholar] [CrossRef]
- Varone, F.; Iovene, B.; Sgalla, G.; Calvello, M.; Calabrese, A.; Larici, A.R.; Richeldi, L. Fibrotic Hypersensitivity Pneumonitis: Diagnosis and Management. Lung 2020, 198, 429–440. [Google Scholar] [CrossRef]
- Churg, A. Hypersensitivity pneumonitis: New concepts and classifications. Mod. Pathol. 2022, 35 (Suppl. 1), 15–27. [Google Scholar] [CrossRef]
- Sanivarapu, R.R.; Gibson, J. Aspiration Pneumonia. In StatPearls; StatPearls Publishing: Treasure Island, FL, USA, 2023. [Google Scholar]
- Niederman, M.S.; Cilloniz, C. Aspiration pneumonia. Rev. Esp. Quimioter. 2022, 35 (Suppl. 1), 73–77. [Google Scholar] [CrossRef]
- Marom, E.M.; McAdams, H.P.; Sporn, T.A.; Goodman, P.C. Lentil aspiration pneumonia: Radiographic and CT findings. J. Comput. Assist. Tomogr. 1998, 22, 598–600. [Google Scholar] [CrossRef]
- Marom, E.M.; McAdams, H.P.; Erasmus, J.J.; Goodman, P.C. The many faces of pulmonary aspiration. AJR Am. J. Roentgenol. 1999, 172, 121–128. [Google Scholar] [CrossRef][Green Version]
- Cardasis, J.J.; MacMahon, H.; Husain, A.N. The spectrum of lung disease due to chronic occult aspiration. Ann. Am. Thorac. Soc. 2014, 11, 865–873. [Google Scholar] [CrossRef]
- Lee, A.S.; Ryu, J.H. Aspiration Pneumonia and Related Syndromes. Mayo Clin. Proc. 2018, 93, 752–762. [Google Scholar] [CrossRef]
- Ficke, B.; Rajasurya, V.; Sanghavi, D.K.; Cascella, M. Chronic Aspiration. In StatPearls; StatPearls Publishing: Treasure Island, FL, USA, 2023. [Google Scholar]
- Franquet, T.; Franks, T.J.; Galvin, J.R.; Marchiori, E.; Giménez, A.; Mazzini, S.; Johkoh, T.; Lee, K.S. Non-Infectious Granulomatous Lung Disease: Imaging Findings with Pathologic Correlation. Korean J. Radiol. 2021, 22, 1416–1435. [Google Scholar] [CrossRef]
- Ganesan, S.; Felo, J.; Saldana, M.; Kalasinsky, V.F.; Lewin-Smith, M.R.; Tomashefski, J.F. Embolized crospovidone (poly[N-vinyl-2-pyrrolidone]) in the lungs of intravenous drug users. Mod. Pathol. 2003, 16, 286–292. [Google Scholar] [CrossRef] [PubMed]
- Tomashefski, J.F., Jr.; Felo, J.A. The pulmonary pathology of illicit drug and substance abuse. Curr. Diagn. Pathol. 2004, 10, 413–426. [Google Scholar] [CrossRef]
- Ward, S.; Heyneman, L.E.; Reittner, P.; Kazerooni, E.A.; Godwin, J.D.; Müller, N.L. Talcosis associated with IV abuse of oral medications: CT findings. AJR Am. J. Roentgenol. 2000, 174, 789–793. [Google Scholar] [CrossRef] [PubMed]
- Akira, M.; Kozuka, T.; Yamamoto, S.; Sakatani, M.; Morinaga, K. Inhalational talc pneumoconiosis: Radiographic and CT findings in 14 patients. AJR Am. J. Roentgenol. 2007, 188, 326–333. [Google Scholar] [CrossRef] [PubMed]
- Marchiori, E.; Souza Júnior, A.S.; Müller, N.L. Inhalational pulmonary talcosis: High-resolution CT findings in 3 patients. J. Thorac. Imaging 2004, 19, 41–44. [Google Scholar] [CrossRef]
- Balmes, J.R.; Abraham, J.L.; Dweik, R.A.; Fireman, E.; Fontenot, A.P.; Maier, L.A.; Muller-Quernheim, J.; Ostiguy, G.; Pepper, L.D.; Saltini, C.; et al. An official American Thoracic Society statement: Diagnosis and management of beryllium sensitivity and chronic beryllium disease. Am. J. Respir. Crit. Care Med. 2014, 190, 34–59. [Google Scholar] [CrossRef]
- Muller-Quernheim, J.; Gaede, K.I.; Fireman, E.; Zissel, G. Diagnoses of chronic beryllium disease within cohorts of sarcoidosis patients. Eur. Respir. J. 2006, 27, 1190–1195. [Google Scholar] [CrossRef]
- Mayer, A.; Hamzeh, N. Beryllium and other metal-induced lung disease. CurrOpinPulm Med. 2015, 21, 178–184. [Google Scholar] [CrossRef]
- Van Dyke, M.V.; Martyny, J.W.; Mroz, M.M.; Silveira, L.J.; Strand, M.; Fingerlin, T.E.; Sato, H.; Newman, L.S.; Maier, L.A. Risk of chronic beryllium disease by HLA-DPB1 E69 genotype and beryllium exposure in nuclear workers. Am. J. Respir. Crit. Care Med. 2011, 183, 1680–1688. [Google Scholar] [CrossRef]
- Sizar, O.; Talati, R. Berylliosis. In StatPearls; StatPearls Publishing: Treasure Island, FL, USA, 2023. [Google Scholar]
- Soriano, D.; Quartucci, C.; Agarwal, P.; Müller-Quernheim, J.; Frye, B.C. Sarkoidose und Berylliose [Sarcoidosis and berylliosis]. Internist 2022, 63, 557–565. [Google Scholar] [CrossRef]
- Louza, G.F.; Nobre, L.F.; Mançano, A.D.; Hochhegger, B.; Souza, A.S., Jr.; Zanetti, G.; Marchiori, E. Lymphocytic interstitial pneumonia: Computed tomography findings in 36 patients. Radiol. Bras. 2020, 53, 287–292. [Google Scholar] [CrossRef] [PubMed]
- Ferguson, E.C.; Berkowitz, E.A. Lung CT: Part 2, The interstitial pneumonias-clinical, histologic, and CT manifestations. AJR Am. J. Roentgenol. 2012, 199, W464–W476. [Google Scholar] [CrossRef] [PubMed]
- Liu, Q.; Chen, Z.; Deng, P.; Wang, J.; Zhang, S.; Tang, L.; Yang, Y.; Lang, B. Lymphocytic interstitial pneumonia presenting with a ground glass nodule: A case report and literature review. Medicine 2023, 102, e33613. [Google Scholar] [CrossRef] [PubMed]
- Rao, N.; Mackinnon, A.C.; Routes, J.M. Granulomatous and lymphocytic interstitial lung disease: A spectrum of pulmonary histopathologic lesions in common variable immunodeficiency--histologic and immunohistochemical analyses of 16 cases. Hum. Pathol. 2015, 46, 1306–1314. [Google Scholar] [CrossRef] [PubMed]
- Panchabhai, T.S.; Farver, C.; Highland, K.B. Lymphocytic interstitial pneumonia. Clin. Chest Med. 2016, 37, 463–474. [Google Scholar] [CrossRef] [PubMed]
- Dähnert, W. Radiology Review Manual; Lippincott Williams & Wilkins: Philadelphia, PA, USA, 2011; ISBN 1609139437. [Google Scholar]
- Swigris, J.J.; Berry, G.J.; Raffin, T.A.; Kuschner, W.G. Lymphoid Interstitial Pneumonia: A Narrative Review. Chest 2002, 122, 2150–2164. [Google Scholar] [CrossRef] [PubMed]
- Lynch, D.A.; Travis, W.D.; Müller, N.L.; Galvin, J.R.; Hansell, D.M.; Grenier, P.A.; King, J.T.E. Idiopathic Interstitial Pneumonias: CT Features. Radiology 2005, 236, 10–21. [Google Scholar] [CrossRef]
- Barreto, M.M.; Rodrigues, R.S. Chest computed tomography to evaluate lymphocytic interstitial pneumonia. Radiol. Bras. 2020, 53, V–VI. [Google Scholar] [CrossRef]
- Zhu, C.; Hu, J.; Wu, J.; Cheng, L. Transformation of lymphoid interstitial pneumonia (LIP) into malignant lymphoma in patients with Sjogren’s syndrome: A case report and literature review. J. Cardiothorac. Surg. 2022, 17, 79. [Google Scholar] [CrossRef]
- Prokop, C.S.; Prokop, M.; Fleishmann, D.; Herold, C. High-resolution CT of the Interstitial Lung Disease: Key Findings in Common Disorders. Eur. Radiol. 2001, 11, 373–392. [Google Scholar] [CrossRef]
- Webb, W.R.; Muller, N.L.; Naidich, D.P. High Resolution CT of the Lung, 3rd ed.; Lippincott Williams & Wilkins: Philadelphia, PA, USA, 2001; pp. 396–403. [Google Scholar]
- Suri, H.S.; Yi, E.S.; Nowakowski, G.S.; Vassallo, R. Pulmonary langerhans cell histiocytosis. Orphanet J. Rare Dis. 2012, 7, 16. [Google Scholar] [CrossRef] [PubMed]
- Vassallo, R.; Harari, S.; Tazi, A. Current understanding and management of pulmonary Langerhans cell histiocytosis. Thorax 2017, 72, 937–945. [Google Scholar] [CrossRef] [PubMed]
- Tazi, A. Adult pulmonary Langerhans’ cell histiocytosis. Eur. Respir. J. 2006, 27, 1272–1285. [Google Scholar] [CrossRef] [PubMed]
- Ryu, K.; Nam, B.D.; Hwang, J.H.; Kim, D.W.; Park, Y.W.; Oh, H.C.; Bin Park, S. Early and Atypical Radiologic Presentations of Pulmonary Langerhans Cell Histiocytosis: A Report of Two Cases. Taehan Yŏngsang Ŭihakhoe Chi 2021, 82, 756–763. [Google Scholar] [CrossRef] [PubMed]
- Abbott, G.; Rosado-de-Christenson, M.; Franks, T.; Frazier, A.; Galvin, J. From the Archives of the AFIP. Radiographics 2004, 24, 821–841. [Google Scholar] [CrossRef] [PubMed]
- Hidalgo, A.; Franquet, T.; Giménez, A.; Borders, R.; Pineda, R.; Madrid, M. Smoking-related interstitial lung diseases: Radiologic pathologic correlation. Eur. Radiol. 2006, 16, 2463–2470. [Google Scholar] [CrossRef]
- Lacronique, J.; Roth, C.; Battesti, J.P.; Basset, F.; Chretien, J. Chest radiological features of pulmonary histiocytosis X: A report based on 50 adult cases. Thorax 1982, 37, 104–109. [Google Scholar] [CrossRef]
- Radzikowska, E. Pulmonary Langerhans’ cell histiocytosis in adults. Adv. Respir. Med. 2017, 85, 277–289. [Google Scholar] [CrossRef]
- Beddy, P.; Babar, J.; Devaraj, A. A practical approach to cystic lung disease on HRCT. Insights Imaging 2011, 2, 1–7. [Google Scholar] [CrossRef]
- Srivatsav, V.; Tallon, K. A unique presentation of Pulmonary Langerhans Cell Histiocytosis. Respir. Med. Case Rep. 2022, 37, 101635. [Google Scholar] [CrossRef]
- Oikonomou, A.; Prassopoulos, P. Mimics in chest disease: Interstitial opacities. Insights Imaging 2013, 4, 9–27. [Google Scholar] [CrossRef] [PubMed]
- Martinez, F.; Chung, J.H.; Digumarthy, S.R.; Kanne, J.P.; Abbott, G.F.; Shepard, J.-A.O.; Mark, E.J.; Sharma, A. Common and uncommon manifestations of Wegener granulomatosis at chest CT: Radiologic-pathologic correlation. Radiographics 2012, 32, 51–69. [Google Scholar] [CrossRef] [PubMed]
- Corvino, A.; Catalano, F.; Cipolletta Campanile, A.; Cocco, G.; Delli Pizzi, A.; Corvino, F.; Varelli, C.; Catalano, O. Interventional Ultrasound in Dermatology: A Pictorial Overview Focusing on Cutaneous Melanoma Patients. J. Ultrasound Med. 2022, 41, 3137–3144. [Google Scholar] [CrossRef] [PubMed]
- Corvino, A.; Varelli, C.; Catalano, F.; Cocco, G.; Delli Pizzi, A.; Boccatonda, A.; Corvino, F.; Basile, L.; Catalano, O. Use of High-Frequency Transducers in Breast Sonography. J. Pers. Med. 2022, 12, 1960. [Google Scholar] [CrossRef]
- Corvino, A.; Granata, V.; Tafuri, D.; Cocco, G.; Catalano, O. Incidental Focal Spleen Lesions: Integrated Imaging and Pattern Recognition Approach tothe Differential Diagnosis. Diagnostics 2023, 13, 2536. [Google Scholar] [CrossRef]









| Non-Infectious GLDs | |
|---|---|
| Inflammatory | Sarcoidosis |
| ANCA-associated vasculitis | -Granulomatosis with polyangiitis -Eosinophilic granulomatosis with polyangiitis |
| Rheumatoid arthritis manifestations | Rheumatoid nodule |
| Secondary to substances inhalation | -Hypersensitivity pneumonitis -Aspiration pneumonia -Talc granulomatosis -Berylliosis |
| Lymphoproliferative | Lymphocytic interstitial pneumonitis |
| Pulmonary Langerhans cell histiocytosis | |
Disclaimer/Publisher’s Note: The statements, opinions and data contained in all publications are solely those of the individual author(s) and contributor(s) and not of MDPI and/or the editor(s). MDPI and/or the editor(s) disclaim responsibility for any injury to people or property resulting from any ideas, methods, instructions or products referred to in the content. |
© 2024 by the authors. Licensee MDPI, Basel, Switzerland. This article is an open access article distributed under the terms and conditions of the Creative Commons Attribution (CC BY) license (https://creativecommons.org/licenses/by/4.0/).
Share and Cite
Lassandro, G.; Picchi, S.G.; Corvino, A.; Massimo, C.; Tamburrini, S.; Vanore, L.; Urraro, G.; Russo, G.; Lassandro, F. Noninfectious Granulomatous Lung Disease: Radiological Findings and Differential Diagnosis. J. Pers. Med. 2024, 14, 134. https://doi.org/10.3390/jpm14020134
Lassandro G, Picchi SG, Corvino A, Massimo C, Tamburrini S, Vanore L, Urraro G, Russo G, Lassandro F. Noninfectious Granulomatous Lung Disease: Radiological Findings and Differential Diagnosis. Journal of Personalized Medicine. 2024; 14(2):134. https://doi.org/10.3390/jpm14020134
Chicago/Turabian StyleLassandro, Giulia, Stefano Giusto Picchi, Antonio Corvino, Candida Massimo, Stefania Tamburrini, Laura Vanore, Giovanna Urraro, Giuseppe Russo, and Francesco Lassandro. 2024. "Noninfectious Granulomatous Lung Disease: Radiological Findings and Differential Diagnosis" Journal of Personalized Medicine 14, no. 2: 134. https://doi.org/10.3390/jpm14020134
APA StyleLassandro, G., Picchi, S. G., Corvino, A., Massimo, C., Tamburrini, S., Vanore, L., Urraro, G., Russo, G., & Lassandro, F. (2024). Noninfectious Granulomatous Lung Disease: Radiological Findings and Differential Diagnosis. Journal of Personalized Medicine, 14(2), 134. https://doi.org/10.3390/jpm14020134

