Clinical Outcome after Medial Open-Wedge High Tibial Osteotomy: Comparison of Two Angular Stable Locking Plates—TomoFix™ versus LOQTEQ® HTO Plate
Abstract
1. Introduction
2. Materials and Methods
2.1. Patients
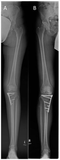
2.2. Surgical Technique
2.3. Rehabilitation
2.4. Follow-Up Evaluation
2.5. Statistical Methods
3. Results
3.1. Patients
3.2. Primary Outcome Measure
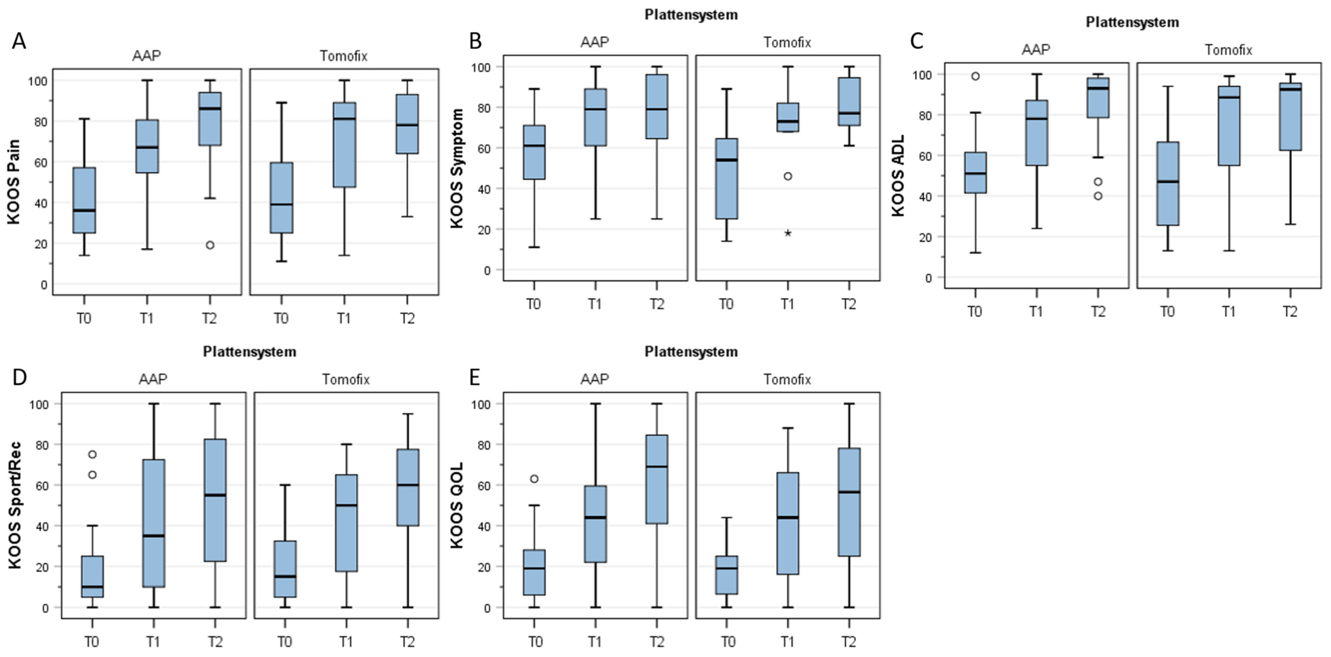
3.3. Secondary Outcome Measures
3.4. Tegner Scale
3.5. Radiological Signs of Implant Failure and Healing Rate on the 12-Month Radiographs
3.6. Rate, Cause, and Time of Implant Removal and Rate of Screws Jamming
3.7. Incision Length
3.8. Adverse Effects
4. Discussion
5. Conclusions
Author Contributions
Funding
Institutional Review Board Statement
Informed Consent Statement
Data Availability Statement
Conflicts of Interest
References
- Birmingham, T.B.; Giffin, J.R.; Chesworth, B.M.; Bryant, D.M.; Litchfield, R.B.; Willits, K.; Jenkyn, T.R.; Fowler, P.J. Medial opening wedge high tibial osteotomy: A prospective cohort study of gait, radiographic, and patient-reported outcomes. Arthritis Rheum. 2009, 61, 648–657. [Google Scholar] [CrossRef] [PubMed]
- Bode, G.; von Heyden, J.; Pestka, J.; Schmal, H.; Salzmann, G.; Südkamp, N.; Niemeyer, P. Prospective 5-year survival rate data following open-wedge valgus high tibial osteotomy. Knee Surg. Sport. Traumatol. Arthrosc. 2013, 23, 1949–1955. [Google Scholar] [CrossRef] [PubMed]
- Floerkemeier, S.; Staubli, A.E.; Schroeter, S.; Goldhahn, S.; Lobenhoffer, P. Outcome after high tibial open-wedge osteotomy: A retrospective evaluation of 533 patients. Knee Surg. Sport. Traumatol. Arthrosc. 2013, 21, 170–180. [Google Scholar] [CrossRef]
- Niemeyer, P.; Schmal, H.; Hauschild, O.; von Heyden, J.; Südkamp, N.P.; Köstler, W. Open-wedge osteotomy using an internal plate fixator in patients with medial-compartment gonarthritis and varus malalignment: 3-year results with regard to preoperative arthroscopic and radiographic findings. Arthroscopy 2010, 26, 1607–1616. [Google Scholar] [CrossRef] [PubMed]
- Prodromos, C.C.; Amendola, A.; Jakob, R.P. High tibial osteotomy: Indications, techniques, and postoperative management. Instr. Course Lect. 2015, 64, 555–565. [Google Scholar]
- Spahn, G.; Kirschbaum, S.; Kahl, E. Factors that influence high tibial osteotomy results in patients with medial gonarthritis> a score to predict the results. Osteoarthr. Cartil. 2006, 14, 190–195. [Google Scholar] [CrossRef]
- Staubli, A.E.; De Simoni, C.; Babst, R.; Lobenhoffer, P. TomoFix: A new LCP-concept for open wedge osteotomy of the medial proximal tibia-early results in 92 cases. Injury 2003, 34 (Suppl. S2), B55–B62. [Google Scholar] [CrossRef]
- Spahn, G. Complications in high tibial (medial opening wedge) osteotomy. Arch. Orthop. Trauma Surg. 2004, 124, 649–653. [Google Scholar] [CrossRef]
- Jung, W.H.; Chun, C.W.; Lee, J.H.; Ha, J.H.; Kim, J.H.; Jeong, J.H. Comparative study of medial opening-wedge high tibial osteotomy using 2 different implants. Arthroscopy 2013, 29, 1063–1071. [Google Scholar] [CrossRef] [PubMed]
- Kyung, H.S.; Lee, B.J.; Kim, J.W.; Yoon, S.D. Biplanar open wedge high tibial osteotomy in the medial compartment osteoarthritis of the knee joint: Comparison between the Aescula and TomoFix plate. Clin. Orthop. Surg. 2015, 7, 185–190. [Google Scholar] [CrossRef] [PubMed]
- Schröter, S.; Gonser, C.E.; Konstantinidis, L.; Helwig, P.; Albrecht, D. High complication rate after biplanar open wedge high tibial osteotomy stabilized with a new spacer plate (Position HTO plate) without bone substitute. Arthroscopy 2011, 27, 644–652. [Google Scholar] [CrossRef] [PubMed]
- Brinkman, J.M.; Lobenhoffer, P.; Agneskirchner, J.D.; Staubli, A.E.; Wymenga, A.B.; van Heerwaarden, R.J. Osteotomies around the knee: Patient selection, stability of fixation and bone healing in high tibial osteotomies. J. Bone Joint Surg. Br. 2008, 90, 1548–1557. [Google Scholar] [CrossRef]
- Kim, M.K.; Ha, J.K.; Lee, D.W.; Nam, S.W.; Kim, J.G.; Lee, Y.S. No correction angle loss with stable plates in open-wedge high tibial osteotomy. Knee Surg. Sport. Traumatol. Arthrosc. 2015, 23, 1999–2006. [Google Scholar] [CrossRef] [PubMed]
- Agneskirchner, J.D.; Freiling, D.; Hurschler, C.; Lobenhoffer, P. Primary stability of four different implants for opening wedge high tibial osteotomy. Knee Surg. Sport. Traumatol. Arthrosc. 2006, 14, 291–300. [Google Scholar] [CrossRef] [PubMed]
- Petersen, W.; Wall, A.; Paulin, T.; Park, H.U.; Heymann, L. Stability of two angular stable locking plates for open wedge high tibial osteotomy (HTO): TomoFix™ versus LOQTEQ® HTO plate. Arch. Orthop. Trauma Surg. 2014, 134, 1437–1442. [Google Scholar] [CrossRef]
- Miniaci, A.; Ballmer, F.T.; Ballmer, P.M.; Jakob, R.P. Proximal tibial osteotomy. A new fixation device. Clin. Orthop. Relat. Res. 1989, 246, 250–259. [Google Scholar] [CrossRef]
- Roos, E.M.; Roos, H.P.; Lohmander, L.S.; Ekdahl, C.; Beynnon, B.D. Knee Injury and Osteoarthritis Outcome Score (KOOS): Development of a self-administered outcome measure. J. Orthop. Sport. Phys. Ther. 1998, 28, 88–96. [Google Scholar] [CrossRef]
- Kessler, S.; Lang, S.; Puhl, W.; Stöve, J. The Knee Injury and Osteoarthritis Outcome Score—A multifunctional questionnaire to measure outcome in knee arthroplasty. Z. Orthop. Ihre Grenzgeb. 2003, 141, 277–282. [Google Scholar] [CrossRef]
- Whelan, D.B.; Bhandari, M.; Stephen, D.; Kreder, H.; McKee, M.D.; Zdero, R.; Schemitsch, E.H. Development of the radiographic union score for tibial fractures for the assessment of tibial fracture healing after intramedullary fixation. J. Trauma 2010, 68, 629–632. [Google Scholar] [CrossRef]
- van Houten, A.H.; Heesterbeek, P.J.C.; van Heerwaarden, R.J.; van Tienen, T.G.; Wymenga, A.B. Medial open wedge high tibial osteotomy: Can delayed or nonunion be predicted? Clin. Orthop. Relat. Res. 2014, 472, 1217–1223. [Google Scholar] [CrossRef]
- Goldhahn, S.; Takeuchi, R.; Nakamura, N.; Nakamura, R.; Sawaguchi, T. Responsiveness of the Knee Injury and Osteoarthritis Outcome Score (KOOS) and the Oxford Knee Score (OKS) in Japanese patients with high tibial osteotomy. J. Orthop. Sci. 2017, 22, 862–867. [Google Scholar] [CrossRef] [PubMed]
- Petersen, W.; Forkel, P. Medial closing wedge osteotomy for correction of genu valgum and torsional malalignment. Oper. Orthop. Traumatol. 2013, 25, 593–607. [Google Scholar] [CrossRef] [PubMed]
- W-Dahl, A.; Toksvig-Larsen, S.; Roos, E.M. A 2-year prospective study of patient-relevant outcomes in patients operated on for knee osteoarthritis with tibial osteotomy. BMC Musculoskelet. Disord. 2005, 6, 18. [Google Scholar] [CrossRef]
- Han, J.H.; Kim, H.J.; Song, J.G.; Yang, J.H.; Nakamura, R.; Shah, D.; Park, Y.J.; Nha, K.W. Locking plate versus non-locking plate in open-wedge high tibial osteotomy: A meta-analysis. Knee Surg. Sport. Traumatol. Arthrosc. 2017, 25, 808–816. [Google Scholar] [CrossRef] [PubMed]
- Shin, Y.S.; Kim, K.H.; Sim, H.B.; Yoon, J.R. Comparison between two angular stable locking plates for medial opening-wedge high tibial osteotomy: Decisive wedge locking plate versus TomoFix™. J. Orthop. Sci. 2016, 21, 791–797. [Google Scholar] [CrossRef] [PubMed]
- Heiß, C. Neue Ideen in der winkelstabilen Plattenosteosynthese. JATROS Orthopädie Traumatol. Rheumatol. 2016, 5, 46–48. [Google Scholar]
- Sandriesser, S.; Rupp, M.; Greinwald, M.; Heiss, C.; Augat, P.; Alt, V. Locking design affects the jamming of screws in locking plates. Injury 2018, 49 (Suppl. S1), S61–S65. [Google Scholar] [CrossRef]
- Osti, M.; Gohm, A.; Schlick, B.; Benedetto, K.P. Complication rate following high tibial open-wedge osteotomy with spacer plates for incipient osteoarthritis of the knee with varus malalignment. Knee Surg. Sport. Traumatol. Arthrosc. 2015, 23, 1943–1948. [Google Scholar] [CrossRef]
- Kim, K.I.; Kim, G.B.; Kim, H.J.; Lee, S.H.; Yoon, W.K. Extra-articular lateral hinge fracture does not affect the outcomes in medial open-wedge high tibial osteotomy using a locked plate system. Arthroscopy 2018, 34, 3246–3255. [Google Scholar] [CrossRef]
- Petersen, W.; Achtnich, A.; Lattermann, C.; Kopf, S. The Treatment of Non-Traumatic Meniscus Lesions. Dtsch. Arztebl. Int. 2015, 112, 705–713. [Google Scholar] [CrossRef]






| Inclusion Criteria | Exclusion Criteria |
|---|---|
|
|
| TomoFix™ | LOQTEQ® HTO Plate | |
|---|---|---|
| Age | 49.3 (±13.1) | 50.2 (±10.4) |
| Gender | Female: 13 Male: 19 | Female: 12 Male: 23 |
| LOQTEQ® HTO Plate (aap Implants, Berlin) | TomoFix™ Plate (Synthes, Switzerland) | Overall | p-Value | |
|---|---|---|---|---|
| Mechanical axis deviation in mm (preoperative) | 18.5 ± 6.9 | 21.7 ± 10.0 | 20.1 ± 8.7 | 0.151 |
| Mechanical axis deviation in mm (postoperative) | −8.0 ± 4.3 | −7.7 ± 6.7 | −7.8 ± 5.6 | 0.820 |
| Hip–knee–ankle angle in degree (preoperative) | 5.0 ± 1.7 | 6.1 ± 2.4 | 5.6 ± 2.2 | 0.057 |
| Hip–knee–ankle angle in degree (postoperative) | −2.4 ± 1.2 | −2.5 ± 1.7 | −2.4 ± 1.4 | 0.765 |
|
TomoFix™
N: 32 |
LOQTEQ® HTO Plate
N: 35 | |
|---|---|---|
| Lateral hinge fractures | 7 | 6 |
| Undisplaced lateral tibial plateau fracture | 0 | 0 |
| Haematoma | 1 | 2 |
| Deep venous thrombosis | 0 | 1 |
| Non-union | 0 | 0 |
| Deep infection | 0 | 0 |
| Delayed wound healing | 0 | 0 |
Disclaimer/Publisher’s Note: The statements, opinions and data contained in all publications are solely those of the individual author(s) and contributor(s) and not of MDPI and/or the editor(s). MDPI and/or the editor(s) disclaim responsibility for any injury to people or property resulting from any ideas, methods, instructions or products referred to in the content. |
© 2023 by the authors. Licensee MDPI, Basel, Switzerland. This article is an open access article distributed under the terms and conditions of the Creative Commons Attribution (CC BY) license (https://creativecommons.org/licenses/by/4.0/).
Share and Cite
Park, H.-U.; Bäcker, H.C.; Häner, M.; Braun, K.F.; Petersen, W. Clinical Outcome after Medial Open-Wedge High Tibial Osteotomy: Comparison of Two Angular Stable Locking Plates—TomoFix™ versus LOQTEQ® HTO Plate. J. Pers. Med. 2023, 13, 472. https://doi.org/10.3390/jpm13030472
Park H-U, Bäcker HC, Häner M, Braun KF, Petersen W. Clinical Outcome after Medial Open-Wedge High Tibial Osteotomy: Comparison of Two Angular Stable Locking Plates—TomoFix™ versus LOQTEQ® HTO Plate. Journal of Personalized Medicine. 2023; 13(3):472. https://doi.org/10.3390/jpm13030472
Chicago/Turabian StylePark, Hi-Un, Henrik Constantin Bäcker, Martin Häner, Karl F. Braun, and Wolf Petersen. 2023. "Clinical Outcome after Medial Open-Wedge High Tibial Osteotomy: Comparison of Two Angular Stable Locking Plates—TomoFix™ versus LOQTEQ® HTO Plate" Journal of Personalized Medicine 13, no. 3: 472. https://doi.org/10.3390/jpm13030472
APA StylePark, H.-U., Bäcker, H. C., Häner, M., Braun, K. F., & Petersen, W. (2023). Clinical Outcome after Medial Open-Wedge High Tibial Osteotomy: Comparison of Two Angular Stable Locking Plates—TomoFix™ versus LOQTEQ® HTO Plate. Journal of Personalized Medicine, 13(3), 472. https://doi.org/10.3390/jpm13030472

