Computed Tomography-Based Radiomics for Long-Term Prognostication of High-Risk Localized Prostate Cancer Patients Received Whole Pelvic Radiotherapy
Abstract
:1. Introduction
2. Materials and Methods
2.1. Patient Selection
2.2. ADT and WPRT Treatment
2.3. Clinical Endpoint
2.4. Radiomics Workflow
2.4.1. Medical Image Acquisition
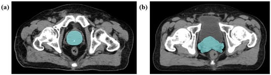
2.4.2. Medical Image Segmentation
2.4.3. Feature Extraction
2.4.4. Feature Selection
2.4.5. Model Development
2.4.6. Statistical Analysis
3. Results
4. Discussion
5. Conclusions
Supplementary Materials
Author Contributions
Funding
Institutional Review Board Statement
Informed Consent Statement
Data Availability Statement
Acknowledgments
Conflicts of Interest
References
- Sung, H.; Ferlay, J.; Siegel, R.L.; Laversanne, M.; Soerjomataram, I.; Jemal, A.; Bray, F. Global cancer statistics 2020: GLOBOCAN estimates of incidence and mortality worldwide for 36 cancers in 185 countries. CA Cancer J. Clin. 2021, 71, 209–249. [Google Scholar] [CrossRef] [PubMed]
- Siegel, R.L.; Miller, K.D.; Wagle, N.S.; Jemal, A. Cancer statistics, 2023. CA Cancer J. Clin. 2023, 73, 17–48. [Google Scholar] [CrossRef] [PubMed]
- Parker, C.; Castro, E.; Fizazi, K.; Heidenreich, A.; Ost, P.; Procopio, G.; Tombal, B.; Gillessen, S.; ESMO Guidelines Committee. Prostate cancer: ESMO Clinical Practice Guidelines for diagnosis, treatment and follow-up. Ann. Oncol. 2020, 31, 1119–1134. [Google Scholar] [CrossRef] [PubMed]
- Risk Groups for Localized Prostate Cancer. Available online: https://www.cancer.org/cancer/types/prostate-cancer/detection-diagnosis-staging/risk-groups.html (accessed on 5 September 2023).
- Roy, S.; Morgan, S.C. Who dies from prostate cancer? An analysis of the surveillance, epidemiology and end results database. Clin. Oncol. 2019, 31, 630–636. [Google Scholar] [CrossRef] [PubMed]
- Wang, S.; Tang, W.; Luo, H.; Jin, F.; Wang, Y. Efficacy and toxicity of whole pelvic radiotherapy versus prostate-only radiotherapy in localized prostate cancer: A systematic review and meta-analysis. Front. Oncol. 2022, 11, 796907. [Google Scholar] [CrossRef] [PubMed]
- Murthy, V.; Maitre, P.; Kannan, S.; Panigrahi, G.; Krishnatry, R.; Bakshi, G.; Prakash, G.; Pal, M.; Menon, S.; Phurailatpam, R.; et al. Prostate-only versus whole-pelvic radiation therapy in high-risk and very high-risk prostate cancer (POP-RT): Outcomes from phase III randomized controlled trial. J. Clin. Oncol. 2021, 39, 1234–1242. [Google Scholar] [CrossRef] [PubMed]
- Burgess, L.; Roy, S.; Morgan, S.; Malone, S. A review on the current treatment paradigm in high-risk prostate cancer. Cancers 2021, 13, 4257. [Google Scholar] [CrossRef]
- Roach, M.; Moughan, J.; Lawton, C.A.F.; Dicker, A.P.; Zeitzer, K.L.; Gore, E.M.; Kwok, Y.; Seider, M.J.; Hsu, I.C.; Hartford, A.C.; et al. Sequence of hormonal therapy and radiotherapy field size in unfavourable, localised prostate cancer (NRG/RTOG 9413): Long-term results of a randomised, phase 3 trial. Lancet Oncol. 2018, 19, 1504–1515. [Google Scholar] [CrossRef]
- Kendrick, J.; Francis, R.; Hassan, G.M.; Rowshanfarzad, P.; Jeraj, R.; Kasisi, C.; Rusanov, B.; Ebert, M. Radiomics for identification and prediction in metastatic prostate cancer: A review of studies. Front. Oncol. 2021, 11, 771787. [Google Scholar] [CrossRef]
- Osman, S.O.S.; Leijenaar, R.T.H.; Cole, A.J.; Lyons, C.A.; Hounsell, A.R.; Prise, K.M.; O’Sullivan, J.M.; Lambin, P.; McGarry, C.K.; Jain, S. Computed tomography-based radiomics for risk stratification in prostate cancer. Int. J. Radiat. Oncol. Biol. Phys. 2019, 105, 448–456. [Google Scholar] [CrossRef]
- Lambin, P.; Leijenaar, R.T.H.; Deist, T.M.; Peerlings, J.; de Jong, E.E.C.; van Timmeren, J.; Sanduleanu, S.; Larue, R.T.H.M.; Even, A.J.G.; Jochems, A.; et al. Radiomics: The bridge between medical imaging and personalized medicine. Nat. Rev. Clin. Oncol. 2017, 14, 749–762. [Google Scholar] [CrossRef] [PubMed]
- Stanzione, A.; Cuocolo, R.; Ugga, L.; Verde, F.; Romeo, V.; Brunetti, A.; Maurea, S. Oncologic imaging and radiomics: A walkthrough review of methodological challenges. Cancers 2022, 14, 4871. [Google Scholar] [CrossRef] [PubMed]
- Coppola, F.; Giannini, V.; Gabelloni, M.; Panic, J.; Defeudis, A.; Lo Monaco, S.; Cattabriga, A.; Cocozza, M.A.; Pastore, L.V.; Polici, M.; et al. Radiomics and magnetic resonance imaging of rectal cancer: From engineering to clinical practice. Diagnostics 2021, 11, 756. [Google Scholar] [CrossRef] [PubMed]
- Lambin, P.; Rios-Velazquez, E.; Leijenaar, R.; Carvalho, S.; van Stiphout, R.G.; Granton, P.; Zegers, C.M.; Gillies, R.; Boellard, R.; Dekker, A.; et al. Radiomics: Extracting more information from medical images using advanced feature analysis. Eur. J. Cancer 2012, 48, 441–446. [Google Scholar] [CrossRef] [PubMed]
- Kumar, V.; Gu, Y.; Basu, S.; Berglund, A.; Eschrich, S.A.; Schabath, M.B.; Forster, K.; Aerts, H.J.; Dekker, A.; Fenstermacher, D.; et al. Radiomics: The process and the challenges. Magn. Reason. Imaging 2012, 30, 1234–1248. [Google Scholar] [CrossRef] [PubMed]
- Damascelli, A.; Gallivanone, F.; Cristel, G.; Cava, C.; Interlenghi, M.; Esposito, A.; Brembilla, G.; Briganti, A.; Montorsi, F.; Castiglioni, I.; et al. Advanced imaging analysis in prostate MRI: Building a radiomic signature to predict tumor aggressiveness. Diagnostics 2021, 11, 594. [Google Scholar] [CrossRef] [PubMed]
- Hou, Y.; Bao, J.; Song, Y.; Bao, M.L.; Jiang, K.W.; Zhang, J.; Yang, G.; Hu, C.H.; Shi, H.B.; Wang, X.M.; et al. Integration of clinicopathologic identification and deep transferrable image feature representation improves predictions of lymph node metastasis in prostate cancer. eBioMedicine 2021, 68, 103395. [Google Scholar] [CrossRef] [PubMed]
- Li, L.; Shiradkar, R.; Leo, P.; Algohary, A.; Fu, P.; Tirumani, S.H.; Mahran, A.; Buzzy, C.; Obmann, V.C.; Mansoori, B.; et al. A novel imaging based nomogram for predicting post-surgical biochemical recurrence and adverse pathology of prostate cancer from pre-operative bi-parametric MRI. eBioMedicine 2021, 63, 103163. [Google Scholar] [CrossRef]
- Reischauer, C.; Patzwahl, R.; Koh, D.M.; Froehlich, J.M.; Gutzeit, A. Texture analysis of apparent diffusion coefficient maps for treatment response assessment in prostate cancer bone metastases-A pilot study. Eur. J. Radiol. 2018, 101, 184–190. [Google Scholar] [CrossRef]
- Wang, Y.; Yu, B.; Zhong, F.; Guo, Q.; Li, K.; Hou, Y.; Lin, N. MRI-based texture analysis of the primary tumor for pre-treatment prediction of bone metastases in prostate cancer. Magn. Reason. Imaging 2019, 60, 76–84. [Google Scholar] [CrossRef]
- Zhang, W.; Mao, N.; Wang, Y.; Xie, H.; Duan, S.; Zhang, X.; Wang, B. A radiomics nomogram for predicting bone metastasis in newly diagnosed prostate cancer patients. Eur. J. Radiol. 2020, 128, 109020. [Google Scholar] [CrossRef] [PubMed]
- Alongi, P.; Stefano, A.; Comelli, A.; Laudicella, R.; Scalisi, S.; Arnone, G.; Barone, S.; Spada, M.; Purpura, P.; Bartolotta, T.V.; et al. Radiomics analysis of 18F-Choline PET/CT in the prediction of disease outcome in high-risk prostate cancer: An explorative study on machine learning feature classification in 94 patients. Eur. Radiol. 2021, 31, 4595–4605. [Google Scholar] [CrossRef] [PubMed]
- Cysouw, M.C.F.; Jansen, B.H.E.; van de Brug, T.; Oprea-Lager, D.E.; Pfaehler, E.; de Vries, B.M.; van Moorselaar, R.J.A.; Hoekstra, O.S.; Vis, A.N.; Boellaard, R. Machine learning-based analysis of [18F]DCFPyL PET radiomics for risk stratification in primary prostate cancer. Eur. J. Nucl. Med. Mol. Imaging 2021, 48, 340–349. [Google Scholar] [CrossRef] [PubMed]
- Khurshid, Z.; Ahmadzadehfar, H.; Gaertner, F.C.; Papp, L.; Zsóter, N.; Essler, M.; Bundschuh, R.A. Role of textural heterogeneity parameters in patient selection for 177Lu-PSMA therapy via response prediction. Oncotarget 2018, 9, 33312–33321. [Google Scholar] [CrossRef] [PubMed]
- Lin, C.; Harmon, S.; Bradshaw, T.; Eickhoff, J.; Perlman, S.; Liu, G.; Jeraj, R. Response-to-repeatability of quantitative imaging features for longitudinal response assessment. Phys. Med. Biol. 2019, 64, 025019. [Google Scholar] [CrossRef] [PubMed]
- Moazemi, S.; Khurshid, Z.; Erle, A.; Lütje, S.; Essler, M.; Schultz, T.; Bundschuh, R.A. Machine learning facilitates hotspot classification in PSMA-PET/CT with nuclear medicine specialist accuracy. Diagnostics 2020, 10, 622. [Google Scholar] [CrossRef] [PubMed]
- Moazemi, S.; Erle, A.; Lütje, S.; Gaertner, F.C.; Essler, M.; Bundschuh, R.A. Estimating the potential of radiomics features and radiomics signature from pretherapeutic PSMA-PET-CT scans and clinical data for prediction of overall survival when treated with 177Lu-PSMA. Diagnostics 2021, 11, 186. [Google Scholar] [CrossRef]
- Perk, T.; Bradshaw, T.; Chen, S.; Im, H.J.; Cho, S.; Perlman, S.; Liu, G.; Jeraj, R. Automated classification of benign and malignant lesions in 18F-NaF PET/CT images using machine learning. Phys. Med. Biol. 2018, 63, 225019. [Google Scholar] [CrossRef]
- Zamboglou, C.; Carles, M.; Fechter, T.; Kiefer, S.; Reichel, K.; Fassbender, T.F.; Bronsert, P.; Koeber, G.; Schilling, O.; Ruf, J.; et al. Radiomic features from PSMA PET for non-invasive intraprostatic tumor discrimination and characterization in patients with intermediate- and high-risk prostate cancer—A comparison study with histology reference. Theranostics 2019, 9, 2595–2605. [Google Scholar] [CrossRef]
- Borrelli, P.; Larsson, M.; Ulén, J.; Enqvist, O.; Trägårdh, E.; Poulsen, M.H.; Mortensen, M.A.; Kjölhede, H.; Høilund-Carlsen, P.F.; Edenbrandt, L. Artificial intelligence-based detection of lymph node metastases by PET/CT predicts prostate cancer-specific survival. Clin. Physiol. Funct. Imaging 2021, 41, 62–67. [Google Scholar] [CrossRef]
- Lee, J.J.; Yang, H.; Franc, B.L.; Iagaru, A.; Davidzon, G.A. Deep learning detection of prostate cancer recurrence with 18F-FACBC (fluciclovine, Axumin®) positron emission tomography. Eur. J. Nucl. Med. Mol. Imaging 2020, 47, 2992–2997. [Google Scholar] [CrossRef] [PubMed]
- Hartenstein, A.; Lübbe, F.; Baur, A.D.J.; Rudolph, M.M.; Furth, C.; Brenner, W.; Amthauer, H.; Hamm, B.; Makowski, M.; Penzkofer, T. Prostate cancer nodal staging: Using deep learning to predict 68Ga-PSMA-positivity from CT imaging alone. Sci. Rep. 2020, 10, 3398. [Google Scholar] [CrossRef] [PubMed]
- Masoudi, S.; Mehralivand, S.; Harmon, S.A.; Lay, N.; Lindenberg, L.; Mena, E.; Pinto, P.A.; Citrin, D.E.; Gulley, J.L.; Wood, B.J.; et al. Deep learning based staging of bone lesions from computed tomography scans. IEEE Access. 2021, 9, 87531–87542. [Google Scholar] [CrossRef] [PubMed]
- Zhao, Y.; Gafita, A.; Vollnberg, B.; Tetteh, G.; Haupt, F.; Afshar-Oromieh, A.; Menze, B.; Eiber, M.; Rominger, A.; Shi, K. Deep neural network for automatic characterization of lesions on 68Ga-PSMA-11 PET/CT. Eur. J. Nucl. Med. Mol. Imaging 2020, 47, 603–613. [Google Scholar] [CrossRef]
- Acar, E.; Leblebici, A.; Ellidokuz, B.E.; Başbınar, Y.; Kaya, G.Ç. Machine learning for differentiating metastatic and completely responded sclerotic bone lesion in prostate cancer: A retrospective radiomics study. Br. J. Radiol. 2019, 92, 20190286. [Google Scholar] [CrossRef] [PubMed]
- Hayakawa, T.; Tabata, K.I.; Tsumura, H.; Kawakami, S.; Katakura, T.; Hashimoto, M.; Watanabe, Y.; Iwamura, M.; Hasegawa, T.; Ishiyama, H. Size of pelvic bone metastasis as a significant prognostic factor for metastatic prostate cancer patients. Jpn. J. Radiol. 2020, 38, 993–996. [Google Scholar] [CrossRef] [PubMed]
- Peeken, J.C.; Shouman, M.A.; Kroenke, M.; Rauscher, I.; Maurer, T.; Gschwend, J.E.; Eiber, M.; Combs, S.E. A CT-based radiomics model to detect prostate cancer lymph node metastases in PSMA radioguided surgery patients. Eur. J. Nucl. Med. Mol. Imaging 2020, 47, 2968–2977. [Google Scholar] [CrossRef] [PubMed]
- Ching, J.C.F.; Lam, S.; Lam, C.C.H.; Lui, A.O.Y.; Kwong, J.C.K.; Lo, A.Y.H.; Chan, J.W.H.; Cai, J.; Leung, W.S.; Lee, S.W.Y. Integrating CT-based radiomic model with clinical features improves long-term prognostication in high-risk prostate cancer. Front. Oncol. 2023, 13, 1060687. [Google Scholar] [CrossRef]
- Artibani, W.; Porcaro, A.B.; De Marco, V.; Cerruto, M.A.; Siracusano, S. Management of biochemical recurrence after primary curative treatment for prostate cancer: A review. Urol. Int. 2018, 100, 251–262. [Google Scholar] [CrossRef]
- Chan, Y.; Li, M.; Parodi, K.; Belka, C.; Landry, G.; Kurz, C. Feasibility of CycleGAN enhanced low dose CBCT imaging for prostate radiotherapy dose calculation. Phys. Med. Biol. 2023, 68, 105014. [Google Scholar] [CrossRef]
- Harris, V.A.; Staffurth, J.; Naismith, O.; Esmail, A.; Gulliford, S.; Khoo, V.; Lewis, R.; Littler, J.; McNair, H.; Sadoyze, A.; et al. Consensus guidelines and contouring atlas for pelvic node delineation in prostate and pelvic node intensity modulated radiation therapy. Int. J. Radiat. Oncol. Biol. Phys. 2015, 92, 874–883. [Google Scholar] [CrossRef] [PubMed]
- Zwanenburg, A.; Vallières, M.; Abdalah, M.A.; Aerts, H.J.W.L.; Andrearczyk, V.; Apte, A.; Ashrafinia, S.; Bakas, S.; Beukinga, R.J.; Boellaard, R.; et al. The image biomarker standardization initiative: Standardized quantitative radiomics for high-throughput image-based phenotyping. Radiology 2020, 295, 328–338. [Google Scholar] [CrossRef] [PubMed]
- van Griethuysen, J.J.M.; Fedorov, A.; Parmar, C.; Hosny, A.; Aucoin, N.; Narayan, V.; Beets-Tan, R.G.H.; Fillion-Robin, J.C.; Pieper, S.; Aerts, H.J.W.L. Computational radiomics system to decode the radiographic phenotype. Cancer Res. 2017, 77, e104–e107. [Google Scholar] [CrossRef] [PubMed]
- Zhang, J.; Lam, S.K.; Teng, X.; Ma, Z.; Han, X.; Zhang, Y.; Cheung, A.L.Y.; Chau, T.C.; Ng, S.C.Y.; Lee, F.K.H.; et al. Radiomic feature repeatability and its impact on prognostic model generalizability: A multi-institutional study on nasopharyngeal carcinoma patients. Radiother Oncol. 2023, 183, 109578. [Google Scholar] [CrossRef] [PubMed]
- Ho, L.M.; Lam, S.K.; Zhang, J.; Chiang, C.L.; Chan, A.C.Y.; Cai, J. Association of Multi-Phasic MR-Based Radiomic and Dosimetric Features with Treatment Response in Unresectable Hepatocellular Carcinoma Patients following Novel Sequential TACE-SBRT-Immunotherapy. Cancers 2023, 15, 1105. [Google Scholar] [CrossRef] [PubMed]
- Teng, X.; Zhang, J.; Han, X.; Sun, J.; Lam, S.K.; Ai, Q.Y.H.; Ma, Z.; Lee, F.K.H.; Au, K.H.; Yip, C.W.Y.; et al. Explainable machine learning via intra-tumoral radiomics feature mapping for patient stratification in adjuvant chemotherapy for locoregionally advanced nasopharyngeal carcinoma. Radiol. Medica 2023, 128, 828–838. [Google Scholar] [CrossRef] [PubMed]
- Zheng, X.; Guo, W.; Wang, Y.; Zhang, J.; Zhang, Y.; Cheng, C.; Teng, X.; Lam, S.K.; Zhou, T.; Ma, Z.; et al. Multi-omics to predict acute radiation esophagitis in patients with lung cancer treated with intensity-modulated radiation therapy. Eur. J. Med. Res. 2023, 28, 126. [Google Scholar] [CrossRef]
- Wei, W.; Hu, X.W.; Cheng, Q.; Zhao, Y.M.; Ge, Y.Q. Identification of common and severe COVID-19: The value of CT texture analysis and correlation with clinical characteristics. Eur. Radiol. 2020, 30, 6788–6796. [Google Scholar] [CrossRef]
- Zhang, J.; Qiu, Q.; Duan, J.; Gong, G.; Jiang, Q.; Sun, G.; Yin, Y. Variability of radiomic features extracted from multi-b-value diffusion-weighted images in hepatocellular carcinoma. Transl. Cancer Res. 2019, 8, 130–140. [Google Scholar] [CrossRef]
- Ligero, M.; Garcia-Ruiz, A.; Viaplana, C.; Villacampa, G.; Raciti, M.V.; Landa, J.; Matos, I.; Martin-Liberal, J.; Ochoa-de-Olza, M.; Hierro, C.; et al. A CT-based radiomics signature is associated with response to immune checkpoint inhibitors in advanced solid tumors. Radiology 2021, 299, 109–119. [Google Scholar] [CrossRef]
- Papanikolaou, N.; Matos, C.; Koh, D.M. How to develop a meaningful radiomic signature for clinical use in oncologic patients. Cancer Imaging 2020, 20, 33. [Google Scholar] [CrossRef] [PubMed]
- Diagnostic Imaging Pathways: Prostate Cancer (Suspected and Staging). Available online: https://radiologyacrossborders.org/diagnostic_imaging_pathways/imaging-pathways/urological/staging-of-prostate-cancer#pathway (accessed on 26 October 2023).
- Stabile, A.; Giganti, F.; Rosenkrantz, A.B.; Taneja, S.S.; Villeirs, G.; Gill, I.S.; Allen, C.; Emberton, M.; Moore, C.M.; Kasivisvanathan, V. Multiparametric MRI for prostate cancer diagnosis: Current status and future directions. Nat. Rev. Urol. 2020, 17, 41–61. [Google Scholar] [CrossRef]
- Huynh, L.M.; Hwang, Y.; Taylor, O.; Baine, M.J. The use of MRI-derived radiomic models in prostate cancer risk stratification: A critical review of contemporary literature. Diagnostics 2023, 13, 1128. [Google Scholar] [CrossRef] [PubMed]
- Gnep, K.; Fargeas, A.; Gutiérrez-Carvajal, R.E.; Commandeur, F.; Mathieu, R.; Ospina, J.D.; Rolland, Y.; Rohou, T.; Vincendeau, S.; Hatt, M.; et al. Haralick textural features on T2-weighted MRI are associated with biochemical recurrence following radiotherapy for peripheral zone prostate cancer. J. Magn. Reason. Imaging 2017, 45, 103–117. [Google Scholar] [CrossRef] [PubMed]
- Dinis Fernandes, C.; Dinh, C.V.; Walraven, I.; Heijmink, S.W.; Smolic, M.; van Griethuysen, J.J.M.; Simões, R.; Losnegård, A.; van der Poel, H.G.; Pos, F.J.; et al. Biochemical recurrence prediction after radiotherapy for prostate cancer with T2w magnetic resonance imaging radiomic features. Phys. Imaging Radiat. Oncol. 2018, 7, 9–15. [Google Scholar] [CrossRef] [PubMed]
- Zhong, Q.Z.; Long, L.H.; Liu, A.; Li, C.M.; Xiu, X.; Hou, X.Y.; Wu, Q.H.; Gao, H.; Xu, Y.G.; Zhao, T.; et al. Radiomics of multiparametric MRI to predict biochemical recurrence of localized prostate cancer after radiation therapy. Front. Oncol. 2020, 10, 731. [Google Scholar] [CrossRef] [PubMed]
- Varghese, B.; Chen, F.; Hwang, D.; Palmer, S.L.; De Castro Abreu, A.L.; Ukimura, O.; Aron, M.; Aron, M.; Gill, I.; Duddalwar, V.; et al. Objective risk stratification of prostate cancer using machine learning and radiomics applied to multiparametric magnetic resonance images. Sci. Rep. 2019, 9, 1570. [Google Scholar] [CrossRef]
- Park, H.; Lim, Y.; Ko, E.S.; Cho, H.H.; Lee, J.E.; Han, B.K.; Ko, E.Y.; Choi, J.S.; Park, K.W. Radiomics signature on magnetic resonance imaging: Association with disease-free survival in patients with invasive breast cancer. Clin. Cancer Res. 2018, 24, 4705–4714. [Google Scholar] [CrossRef]
- Tsougos, I.; Vamvakas, A.; Kappas, C.; Fezoulidis, I.; Vassiou, K. Application of radiomics and decision support systems for breast MR differential diagnosis. Comput. Math. Methods Med. 2018, 2018, 7417126. [Google Scholar] [CrossRef]
- Zhang, Y.; Lam, S.; Yu, T.; Teng, X.; Zhang, J.; Lee, F.K.; Au, K.; Yip, C.W.; Wang, S.; Cai, J. Integration of an imbalance framework with novel high-generalizable classifiers for radiomics-based distant metastases prediction of advanced nasopharyngeal carcinoma. Knowl.-Based Syst. 2022, 235, 107649. [Google Scholar] [CrossRef]
- Bailly, C.; Bodet-Milin, C.; Bourgeois, M.; Gouard, S.; Ansquer, C.; Barbaud, M.; Sébille, J.C.; Chérel, M.; Kraeber-Bodéré, F.; Carlier, T. Exploring tumor heterogeneity using PET imaging: The big picture. Cancers 2019, 11, 1282. [Google Scholar] [CrossRef] [PubMed]
- Harsini, S.; Wilson, D.; Saprunoff, H.; Allan, H.; Gleave, M.; Goldenberg, L.; Chi, K.N.; Kim-Sing, C.; Tyldesley, S.; Bénard, F. Outcome of patients with biochemical recurrence of prostate cancer after PSMA PET/CT-directed radiotherapy or surgery without systemic therapy. Cancer Imaging 2023, 23, 27. [Google Scholar] [CrossRef] [PubMed]
- Cornford, P.; Bellmunt, J.; Bolla, M.; Briers, E.; De Santis, M.; Gross, T.; Henry, A.M.; Joniau, S.; Lam, T.B.; Mason, M.D.; et al. EAU-ESTRO-SIOG guidelines on prostate cancer. Part II: Treatment of relapsing, metastatic, and castration-resistant prostate cancer. Eur. Urol. 2017, 71, 630–642. [Google Scholar] [CrossRef] [PubMed]
- Van den Broeck, T.; van den Bergh, R.C.N.; Briers, E.; Cornford, p.; Cumberbatch, M.; Tilki, D.; De Santis, M.; Fanti, S.; Fossati, N.; Gillessen, S.; et al. Biochemical Recurrence in Prostate Cancer: The European Association of Urology Prostate Cancer Guidelines Panel Recommendations. Eur. Urol. Focus 2020, 6, 231–234. [Google Scholar] [CrossRef] [PubMed]
- Freedland, S.J.; de Almeida Luz, M.; Giorgi, U.D.; Gleave, M.; Gotto, G.T.; Pieczonka, C.M.; Haas, G.P.; Kim, C.S.; Ramirez-Backhaus, M.; Rannikko, A.; et al. Improved outcomes with enzalutamide in biochemically recurrent prostate cancer. N. Engl. J. Med. 2023, 389, 1453–1465. [Google Scholar] [CrossRef] [PubMed]
- Ong, W.L.; Koh, T.L.; Lim Joon, D.; Chao, M.; Farrugia, B.; Lau, E.; Khoo, V.; Lawrentschuk, N.; Bolton, D.; Foroudi, F. Prostate-specific membrane antigen-positron emission tomography/computed tomography (PSMA-PET/CT)-guided stereotactic ablative body radiotherapy for oligometastatic prostate cancer: A single-institution experience and review of the published literature. BJU Int. 2019, 124, 19–30. [Google Scholar] [CrossRef] [PubMed]
- Kesavan, M.; Meyrick, D.; Gallyamov, M.; Turner, J.H.; Yeo, S.; Cardaci, G.; Lenzo, N.P. Efficacy and haematologic toxicity of palliative radioligand therapy of metastatic castrate-resistant prostate cancer with lutetium-177-labeled prostate-specific membrane antigen in heavily pre-treated patients. Diagnostics 2021, 11, 515. [Google Scholar] [CrossRef]
- Devos, G.; Berghen, C.; Van Eecke, H.; Stichele, A.V.; Van Poppel, H.; Goffin, K.; Mai, C.; De Wever, L.; Albersen, M.; Everaerts, W.; et al. Oncological outcomes of metastasis-directed therapy in oligorecurrent prostate cancer patients following radical prostatectomy. Cancers 2020, 12, 2271. [Google Scholar] [CrossRef]
- Steele, E.M.; Holmes, J.A. A review of salvage treatment options for disease progression after radiation therapy for localized prostate cancer. Urol. Oncol. 2019, 37, 582–598. [Google Scholar] [CrossRef]
- Mazzola, R.; Francolini, G.; Triggiani, L.; Napoli, G.; Cuccia, F.; Nicosia, L.; Livi, L.; Magrini, S.M.; Salgarello, M.; Alongi, F. Metastasis-directed therapy (SBRT) guided by PET-CT 18F-CHOLINE versus PET-CT 68Ga-PSMA in castration-sensitive oligorecurrent prostate cancer: A comparative analysis of effectiveness. Clin. Genitourin. Cancer 2021, 19, 230–236. [Google Scholar] [CrossRef]
- Tsumura, H.; Ishiyama, H.; Tabata, K.; Sekiguchi, A.; Kawakami, S.; Satoh, T.; Kitano, M.; Iwamura, M. Long-term outcomes of combining prostate brachytherapy and metastasis-directed radiotherapy in newly diagnosed oligometastatic prostate cancer: A retrospective cohort study. Prostate 2019, 79, 506–514. [Google Scholar] [CrossRef] [PubMed]
- Perez-Lopez, R.; Tunariu, N.; Padhani, A.R.; Oyen, W.J.G.; Fanti, S.; Vargas, H.A.; Omlin, A.; Morris, M.J.; de Bono, J.; Koh, D.M. Imaging diagnosis and follow-up of advanced prostate cancer: Clinical perspectives and state of the art. Radiology 2019, 292, 273–286. [Google Scholar] [CrossRef] [PubMed]
- Ng, C.K.C. Diagnostic performance of artificial intelligence-based computer-aided detection and diagnosis in pediatric radiology: A systematic review. Children 2023, 10, 525. [Google Scholar] [CrossRef] [PubMed]
- Ng, C.K.C. Generative adversarial network (generative artificial intelligence) in pediatric radiology: A systematic review. Children 2023, 10, 1372. [Google Scholar] [CrossRef] [PubMed]
- Sun, Z.; Ng, C.K.C. Artificial intelligence (enhanced super-resolution generative adversarial network) for calcium deblooming in coronary computed tomography angiography: A feasibility study. Diagnostics 2022, 12, 991. [Google Scholar] [CrossRef] [PubMed]
- Sun, Z.; Ng, C.K.C. Finetuned super-resolution generative adversarial network (artificial intelligence) model for calcium deblooming in coronary computed tomography angiography. J. Pers. Med. 2022, 12, 1354. [Google Scholar] [CrossRef] [PubMed]
- Ng, C.K.C. Artificial intelligence for radiation dose optimization in pediatric radiology: A systematic review. Children 2022, 9, 1044. [Google Scholar] [CrossRef]
- Ng, C.K.C.; Leung, V.W.S.; Hung, R.H.M. Clinical evaluation of deep learning and atlas-based auto-contouring for head and neck radiation therapy. Appl. Sci. 2022, 12, 11681. [Google Scholar] [CrossRef]





| Characteristic | All Included Patients (n = 64) | Training Cohort (n = 45) | Testing Cohort (n = 19) | p-Value |
|---|---|---|---|---|
| Median age at start of radiotherapy (years) | 70 | 71 | 70 | 0.691 1 |
| Histology | ||||
| Adenocarcinoma | 49 (76.6%) | 31 (68.9%) | 17 (89.5%) | 0.160 2 |
| Acinar adenocarcinoma | 14 (21.9%) | 13 (28.9%) | 2 (10.5%) | |
| Unknown | 1 (1.6%) | 1 (2.2%) | 0 (0%) | |
| Stage | ||||
| T1 | 8 (12.5%) | 6 (13.3%) | 2 (10.5%) | 0.189 2 |
| T2 | 20 (31.3%) | 11 (24.4%) | 9 (47.4%) | |
| T3 | 33 (51.6%) | 25 (55.6%) | 8 (42.1%) | |
| Unknown | 3 (4.7%) | 3 (6.7%) | 0 (0%) | |
| Pre-treatment PSA level (ng/mL) | ||||
| <10 | 5 (7.8%) | 2 (4.4%) | 3 (15.8%) | 0.052 2 |
| 10–20 | 18 (28.1%) | 16 (35.6%) | 2 (10.5%) | |
| >20 | 41 (64.1%) | 27 (60.0%) | 14 (73.7%) | |
| Pre-treatment GS | ||||
| ≤6 | 16 (25.0%) | 10 (22.2%) | 6 (31.6%) | 0.476 2 |
| 7 | 17 (26.6%) | 11 (24.4%) | 6 (31.6%) | |
| ≥8 | 31 (48.4%) | 24 (53.3%) | 7 (36.8%) | |
| Median pre-treatment Roach score | 32.8 | 33.6 | 27.9 | 0.130 1 |
| Median CTVprostate volume (mm3) | 39951.5 | 41695.0 | 38943.0 | 0.797 1 |
| CTVLN dose (Gy) | ||||
| 44 | 11 (17.2%) | 7 (15.6%) | 4 (21.1%) | 0.719 3 |
| 50 | 53 (82.8%) | 38 (84.4%) | 15 (78.9%) | |
| CTVprostate dose (Gy) | ||||
| <76 | 12 (18.8%) | 8 (17.8%) | 4 (21.1%) | 0.739 3 |
| ≥76 | 52 (81.3%) | 37 (82.2%) | 15 (78.9%) | |
| Treatment modality for PTVLN | ||||
| 3DCRT | 10 (15.6%) | 6 (13.3%) | 4 (21.1%) | 0.466 3 |
| VMAT | 54 (84.4%) | 39 (86.7%) | 15 (78.9%) | |
| Treatment modality for PTVprostate | ||||
| IMRT | 9 (14.1%) | 5 (11.1%) | 4 (21.1%) | 0.432 3 |
| VMAT | 55 (85.9%) | 40 (88.9%) | 15 (78.9%) | |
| Patients received neoadjuvant ADT | 62 (96.9%) | 44 (97.8%) | 18 (94.7%) | 0.509 3 |
| Patients received adjuvant ADT | 52 (81.3%) | 36 (80.0%) | 16 (84.2%) | 1.000 3 |
| Median follow-up time (months) | 88.0 | 91.0 | 88.0 | 0.872 1 |
| Median progression-free survival (months) | 81.5 | 81.0 | 85.0 | 0.659 1 |
| Patients with six-year disease progression | 13 (20.3%) | 9 (20.0%) | 4 (21.1%) | 1.000 3 |
| Events | ||||
| Biochemical recurrence | 12 | 10 | 2 | - |
| Local failure | 3 | 2 | 1 | |
| Regional failure | 1 | 0 | 1 | |
| Distant failure | 5 | 5 | 0 |
Disclaimer/Publisher’s Note: The statements, opinions and data contained in all publications are solely those of the individual author(s) and contributor(s) and not of MDPI and/or the editor(s). MDPI and/or the editor(s) disclaim responsibility for any injury to people or property resulting from any ideas, methods, instructions or products referred to in the content. |
© 2023 by the authors. Licensee MDPI, Basel, Switzerland. This article is an open access article distributed under the terms and conditions of the Creative Commons Attribution (CC BY) license (https://creativecommons.org/licenses/by/4.0/).
Share and Cite
Leung, V.W.S.; Ng, C.K.C.; Lam, S.-K.; Wong, P.-T.; Ng, K.-Y.; Tam, C.-H.; Lee, T.-C.; Chow, K.-C.; Chow, Y.-K.; Tam, V.C.W.; et al. Computed Tomography-Based Radiomics for Long-Term Prognostication of High-Risk Localized Prostate Cancer Patients Received Whole Pelvic Radiotherapy. J. Pers. Med. 2023, 13, 1643. https://doi.org/10.3390/jpm13121643
Leung VWS, Ng CKC, Lam S-K, Wong P-T, Ng K-Y, Tam C-H, Lee T-C, Chow K-C, Chow Y-K, Tam VCW, et al. Computed Tomography-Based Radiomics for Long-Term Prognostication of High-Risk Localized Prostate Cancer Patients Received Whole Pelvic Radiotherapy. Journal of Personalized Medicine. 2023; 13(12):1643. https://doi.org/10.3390/jpm13121643
Chicago/Turabian StyleLeung, Vincent W. S., Curtise K. C. Ng, Sai-Kit Lam, Po-Tsz Wong, Ka-Yan Ng, Cheuk-Hong Tam, Tsz-Ching Lee, Kin-Chun Chow, Yan-Kate Chow, Victor C. W. Tam, and et al. 2023. "Computed Tomography-Based Radiomics for Long-Term Prognostication of High-Risk Localized Prostate Cancer Patients Received Whole Pelvic Radiotherapy" Journal of Personalized Medicine 13, no. 12: 1643. https://doi.org/10.3390/jpm13121643
APA StyleLeung, V. W. S., Ng, C. K. C., Lam, S.-K., Wong, P.-T., Ng, K.-Y., Tam, C.-H., Lee, T.-C., Chow, K.-C., Chow, Y.-K., Tam, V. C. W., Lee, S. W. Y., Lim, F. M. Y., Wu, J. Q., & Cai, J. (2023). Computed Tomography-Based Radiomics for Long-Term Prognostication of High-Risk Localized Prostate Cancer Patients Received Whole Pelvic Radiotherapy. Journal of Personalized Medicine, 13(12), 1643. https://doi.org/10.3390/jpm13121643

