New Regimen of Combining Hepatic Arterial Infusion Chemotherapy and Lipiodol Embolization in Treating Hepatocellular Carcinoma with Main Portal Vein Invasion
Abstract
1. Introduction
2. Materials and Methods
2.1. Ethics Statement
2.2. New Hepatic Arterial Infusion Chemotherapy (HAIC)
2.3. Sorafenib Therapy
2.4. Assessment of Response
2.5. Statistical Analysis
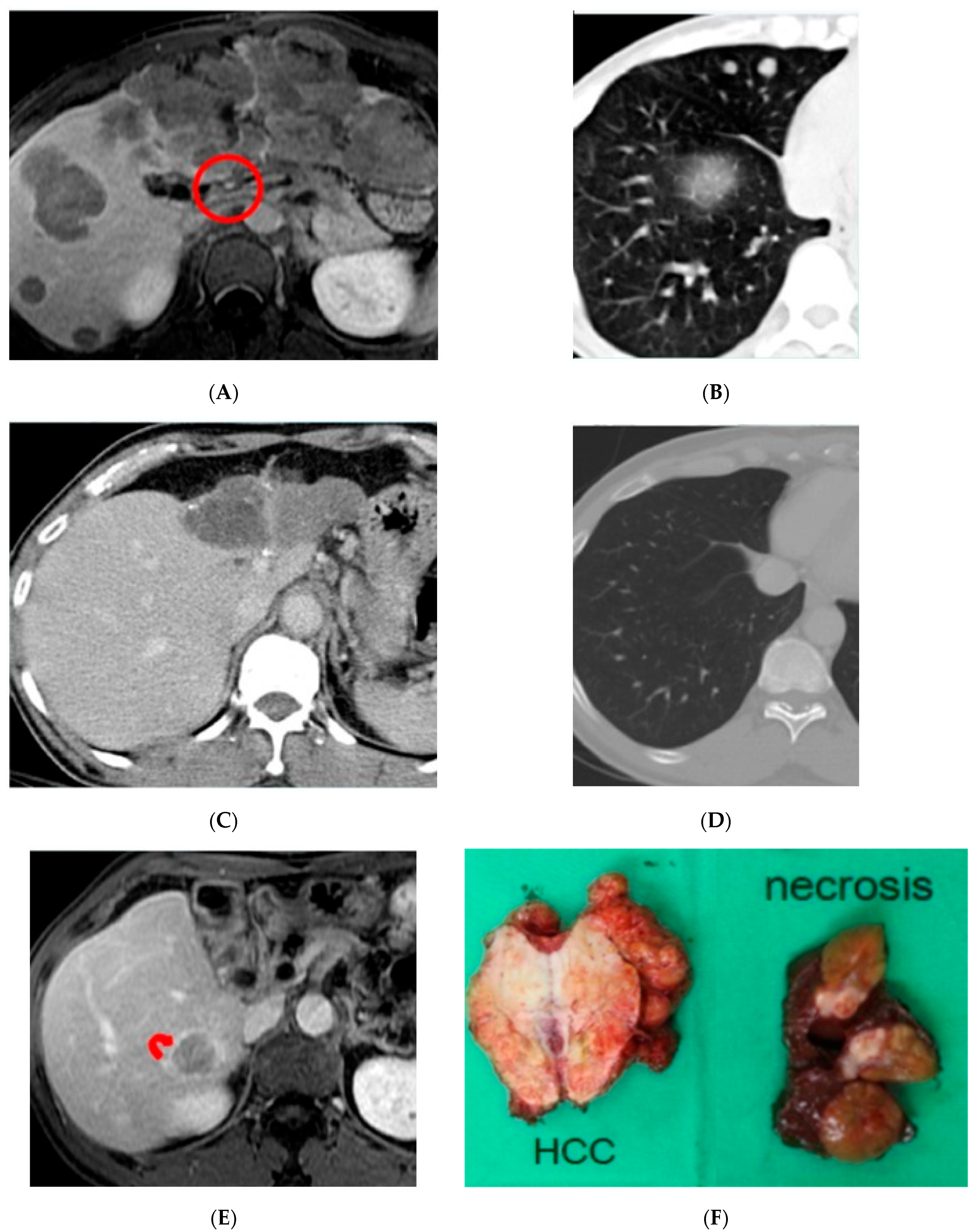
3. Results
3.1. Patients
3.2. Radiologic Response after Treatment
3.3. Progression-Free and Overall Survival Analyses
3.4. Univariate and Multivariate Analyses
3.5. Subgroup Analyses
3.6. Major Complications
4. Discussion
5. Limitations
6. Conclusions
Author Contributions
Funding
Institutional Review Board Statement
Informed Consent Statement
Data Availability Statement
Conflicts of Interest
References
- Minagawa, M.; Makuuchi, M. Treatment of hepatocellular carcinoma accompanied by portal vein tumor thrombus. World J. Gastroenterol. 2006, 12, 7561. [Google Scholar] [CrossRef] [PubMed]
- Forner, A.; Reig, M.; Bruix, J. Hepatocellular carcinoma. Lancet 2018, 391, 1301–1314. [Google Scholar] [CrossRef] [PubMed]
- Llovet, J.M.; Ricci, S.; Mazzaferro, V.; Hilgard, P.; Gane, E.; Blanc, J.F.; de Oliveira, A.C.; Santoro, A.; Raoul, J.L.; Forner, A.; et al. Sorafenib in advanced hepatocellular carcinoma. N. Engl. J. Med. 2008, 359, 378–390. [Google Scholar] [CrossRef] [PubMed]
- Schöniger-Hekele, M.; Müller, C.; Kutilek, M.; Oesterreicher, C.; Ferenci, P.; Gangl, A. Hepatocellular carcinoma in Central Europe: Prognostic features and survival. Gut 2001, 48, 103–109. [Google Scholar] [CrossRef] [PubMed]
- Quirk, M.; Kim, Y.H.; Saab, S.; Lee, E.W. Management of hepatocellular carcinoma with portal vein thrombosis. World J Gastroenterol. 2015, 21, 3462–3471. [Google Scholar] [CrossRef]
- Cheng, A.L.; Kang, Y.K.; Chen, Z.; Tsao, C.J.; Qin, S.; Kim, J.S.; Luo, R.; Feng, J.; Ye, S.; Yang, T.S.; et al. Efficacy and safety of sorafenib in patients in the Asia-Pacific region with advanced hepatocellular carcinoma: A phase III randomised, double-blind, placebo-controlled trial. Lancet Oncol. 2009, 10, 25–34. [Google Scholar] [CrossRef]
- Jackson, R.; Psarelli, E.E.; Berhane, S.; Khan, H.; Johnson, P.J. Impact of viral status on survival in patients receiving sorafenib for advanced hepatocellular cancer: A meta-analysis of randomized phase III trials. J. Clin. Oncol. 2017, 35, 622–628. [Google Scholar] [CrossRef]
- Reig, M.; Forner, A.; Rimola, J.; Ferrer-Fàbrega, J.; Burrel, M.; Garcia-Criado, Á.; Kelley, R.K.; Galle, P.R.; Mazzaferro, V.; Salem, R.; et al. BCLC strategy for prognosis prediction and treatment recommendation: The 2022 update. J. Hepatol. 2022, 76, 681–693. [Google Scholar] [CrossRef]
- Breder, V.V.; Vogel, A.; Merle, P.; Finn, R.S.; Galle, P.R.; Zhu, A.X.; Cheng, A.-L.; Feng, Y.-H.; Li, D.; Gaillard, V.E.; et al. IMbrave150: Exploratory efficacy and safety results of hepatocellular carcinoma (HCC) patients (pts) with main trunk and/or contralateral portal vein invasion (Vp4) treated with atezolizumab (atezo) + bevacizumab (bev) versus sorafenib (sor) in a global Ph III study. J. Clin. Oncol. 2021, 39, 4073. [Google Scholar]
- Zhuang, B.; Li, W.; Xie, X.; Hu, H.; Lu, M.; Xie, X. Sorafenib versus hepatic arterial infusion chemotherapy for advanced hepatocellular carcinoma: A systematic review and meta-analysis. Jpn. J. Clin. Oncol. 2019, 49, 845–855. [Google Scholar] [CrossRef]
- Kaneko, S.; Urabe, T.; Kobayashi, K. Combination chemotherapy for advanced hepatocellular carcinoma complicated by major portal vein thrombosis. Oncology 2002, 62, 69. [Google Scholar] [CrossRef]
- Kim, B.K.; Park, J.Y.; Choi, H.J.; Kim, D.Y.; Ahn, S.H.; Kim, J.K.; Lee, D.Y.; Lee, K.H.; Han, K.-H. Long-term clinical outcomes of hepatic arterial infusion chemotherapy with cisplatin with or without 5-fluorouracil in locally advanced hepatocellular carcinoma. J. Cancer Res. Clin. Oncol. 2011, 137, 659–667. [Google Scholar] [CrossRef]
- Jeong, S.W.; Jang, J.Y.; Lee, J.E.; Lee, S.H.; Kim, S.G.; Cha, S.W.; Kim, Y.S.; Cho, Y.D.; Kim, H.S.; Kim, B.S.; et al. The efficacy of hepatic arterial infusion chemotherapy as an alternative to sorafenib in advanced hepatocellular carcinoma. Asia-Pac. J. Clin. Oncol. 2012, 8, 164–171. [Google Scholar] [CrossRef]
- Miyaki, D.; Aikata, H.; Honda, Y.; Naeshiro, N.; Nakahara, T.; Tanaka, M.; Nagaoki, Y.; Kawaoka, T.; Takaki, S.; Waki, K.; et al. Hepatic arterial infusion chemotherapy for advanced hepatocellular carcinoma according to Child–Pugh classification. J. Gastroenterol. Hepatol. 2012, 27, 1850–1857. [Google Scholar] [CrossRef]
- Niizeki, T.; Sumie, S.; Torimura, T.; Kurogi, J.; Kuromatsu, R.; Iwamoto, H.; Aino, H.; Nakano, M.; Kawaguchi, A.; Kakuma, T.; et al. Serum vascular endothelial growth factor as a predictor of response and survival in patients with advanced hepatocellular carcinoma undergoing hepatic arterial infusion chemotherapy. J. Gastroenterol. 2012, 47, 686–695. [Google Scholar] [CrossRef]
- Song, D.S.; Bae, S.H.; Song, M.J.; Lee, S.W.; Kim, H.Y.; Lee, Y.J.; Oh, J.S.; Chun, H.J.; Lee, H.G.; Choi, J.Y.; et al. Hepatic arterial infusion chemotherapy in hepatocellular carcinoma with portal vein tumor thrombosis. World J. Gastroenterol. 2013, 19, 4679–4688. [Google Scholar] [CrossRef] [PubMed][Green Version]
- Ikeda, M.; Okusaka, T.; Furuse, J.; Mitsunaga, S.; Ueno, H.; Yamaura, H.; Inaba, Y.; Takeuchi, Y.; Satake, M.; Arai, Y. A multi-institutional phase II trial of hepatic arterial infusion chemotherapy with cisplatin for advanced hepatocellular carcinoma with portal vein tumor thrombosis. Cancer Chemother. Pharmacol. 2013, 72, 463–470. [Google Scholar] [CrossRef]
- Moriguchi, M.; Aramaki, T.; Nishiofuku, H.; Sato, R.; Asakura, K.; Yamaguchi, K.; Tanaka, T.; Endo, M.; Itoh, Y. Sorafenib versus hepatic arterial infusion chemotherapy as initial treatment for hepatocellular carcinoma with advanced portal vein tumor thrombosis. Liver Cancer 2017, 6, 275–286. [Google Scholar] [CrossRef]
- Im, J.H.; Yoon, S.M.; Park, H.C.; Kim, J.H.; Yu, J.I.; Kim, T.H.; Kim, J.W.; Nam, T.K.; Kim, K.; Jang, H.S.; et al. Radiotherapeutic strategies for hepatocellular carcinoma with portal vein tumour thrombosis in a hepatitis B endemic area. Liver Int. 2017, 37, 90–100. [Google Scholar] [CrossRef]
- Liang, R.-B.; Zhao, Y.; He, M.-K.; Wen, D.-S.; Bu, X.-Y.; Huang, Y.-X.; Lai, Z.-C.; Xu, Y.-J.; Kan, A.; Wei, W.; et al. Hepatic Arterial Infusion Chemotherapy of Oxaliplatin, Fluorouracil, and Leucovorin with or without Sorafenib as Initial Treatment for Advanced Hepatocellular Carcinoma. Front. Oncol. 2021, 11, 619461. [Google Scholar] [CrossRef]
- Lyu, N.; Kong, Y.; Pan, T.; Mu, L.; Li, S.; Liu, Y.; Deng, H.; Li, J.; Shi, M.; Xu, L.; et al. Hepatic Arterial Infusion of Oxaliplatin, Fluorouracil, and Leucovorin in Hepatocellular Cancer with Extrahepatic Spread. J. Vasc. Interv. Radiol. 2019, 30, 349–357. [Google Scholar] [CrossRef] [PubMed]
- Liang, H.L.; Huang, J.S.; Lin, Y.H.; Lai, K.H.; Yang, C.F.; Pan, H.B. Hepatic arterial infusion chemotherapy for advanced hepatocellular carcinoma by placing a temporary catheter via the subclavian route. Acta Radiol. 2007, 48, 734–740. [Google Scholar] [CrossRef] [PubMed]
- Choi, G.H.; Shim, J.H.; Kim, M.J.; Ryu, M.H.; Ryoo, B.Y.; Kang, Y.K.; Shin, Y.M.; Kim, K.M.; Lim, Y.S.; Lee, H.C. Sorafenib alone versus sorafenib combined with transarterial chemoembolization for advanced-stage hepatocellular carcinoma: Results of propensity score analyses. Radiology 2013, 269, 603–611. [Google Scholar] [CrossRef] [PubMed]
- Lencioni, R.; Montal, R.; Torres, F.; Park, J.W.; Decaens, T.; Raoul, J.L.; Kudo, M.; Chang, C.; Ríos, J.; Boige, V.; et al. Objective response by mRECIST as a predictor and potential surrogate end-point of overall survival in advanced HCC. J. Hepatol. 2017, 66, 1166–1172. [Google Scholar] [CrossRef] [PubMed]
- Mazzaferro, V.; Llovet, J.M.; Miceli, R.; Bhoori, S.; Schiavo, M.; Mariani, L.; Camerini, T.; Roayaie, S.; Schwartz, M.E.; Grazi, G.L.; et al. Predicting survival after liver transplantation in patients with hepatocellular carcinoma beyond the Milan criteria: A retrospective, exploratory analysis. Lancet Oncol. 2009, 10, 35–43. [Google Scholar] [CrossRef]
- Marrero, J.A.; Kulik, L.M.; Sirlin, C.B.; Zhu, A.X.; Finn, R.S.; Abecassis, M.M.; Roberts, L.R.; Heimbach, J.K. Diagnosis, Staging, and Management of Hepatocellular Carcinoma: 2018 Practice Guidance by the American Association for the Study of Liver Diseases. Hepatology 2018, 68, 723–750. [Google Scholar] [CrossRef]
- Galle, P.R. Clinical Practice Guidelines: Management of hepatocellular carcinoma. J. Hepatol. 2018, 69, 182–236. [Google Scholar] [CrossRef]
- Bruix, J.; Raoul, J.-L.; Sherman, M.; Mazzaferro, V.; Bolondi, L.; Craxi, A.; Galle, P.R.; Santoro, A.; Beaugrand, M.; Sangiovanni, A.; et al. Efficacy and safety of sorafenib in patients with advanced hepatocellular carcinoma: Subanalyses of a phase III trial. J. Hepatol. 2012, 57, 821–829. [Google Scholar] [CrossRef]
- Lencioni, R.; Kudo, M.; Ye, S.L.; Bronowicki, J.P.; Chen, X.P.; Dagher, L.; Furuse, J.; Geschwind, J.F.; Ladrón de Guevara, L.; Papandreou, C.; et al. First interim analysis of the GIDEON (Global Investigation of therapeutic decisions in hepatocellular carcinoma and of its treatment with sorafeNib) non-interventional study. Int. J. Clin. Pract. 2012, 66, 675–683. [Google Scholar] [CrossRef]
- Cheng, A.-L.; Qin, S.; Ikeda, M.; Galle, P.R.; Ducreux, M.; Kim, T.-Y.; Lim, H.Y.; Kudo, M.; Breder, V.; Merle, P.; et al. Updated efficacy and safety data from IMbrave150: Atezolizumab plus bevacizumab vs. sorafenib forunresectable hepatocellular carcinoma. J. Hepatol. 2022, 76, 862–873. [Google Scholar] [CrossRef]
- Chok, K.S.H.; Cheung, T.T.; Chan, S.C.; Poon, R.T.P.; Fan, S.T.; Lo, C.M. Surgical outcomes in hepatocellular carcinoma patients with portal vein tumor thrombosis. World J. Surg. 2014, 38, 490–496. [Google Scholar] [CrossRef]
- Nevarez, N.M.; Yopp, A.C. Challenging the Treatment Paradigm: Selecting Patients for Surgical Management of Hepatocellular Carcinoma with Portal Vein Tumor Thrombus. J. Hepatocell. Carcinoma 2021, 8, 851–860. [Google Scholar] [CrossRef]
- Lee, K.-W.; Suh, S.-W.; Choi, Y.; Jeong, J.; Yi, N.-J.; Kim, H.; Yoon, K.C.; Hong, S.K.; Kim, H.-S.; Lee, K.-B.; et al. Macrovascular invasion is not an absolute contraindication for living donor liver transplantation. Liver Transplant. 2017, 23, 19–27. [Google Scholar] [CrossRef]
- Katamura, Y.; Aikata, H.; Takaki, S.; Azakami, T.; Kawaoka, T.; Waki, K.; Hiramatsu, A.; Kawakami, Y.; Takahashi, S.; Kenjo, M.; et al. Intra-arterial 5-fluorouracil/interferon combination therapy for advanced hepatocellular carcinoma with or without three-dimensional conformal radiotherapy for portal vein tumor thrombosis. J. Gastroenterol. 2009, 44, 492–502. [Google Scholar] [CrossRef]
- Kulik, L.M.; Carr, B.I.; Mulcahy, M.F.; Lewandowski, R.J.; Atassi, B.; Ryu, R.K.; Sato, K.T.; Benson, A., 3rd; Nemcek, A.A., Jr.; Gates, V.L.; et al. Safety and efficacy of 90Y radiotherapy for hepatocellular carcinoma with and without portal vein thrombosis. Hepatology 2008, 47, 71–81. [Google Scholar] [CrossRef]
- Edeline, J.; Crouzet, L.; Campillo-Gimenez, B.; Rolland, Y.; Pracht, M.; Guillygomarc’H, A.; Boudjema, K.; Lenoir, L.; Adhoute, X.; Rohou, T.; et al. Selective internal radiation therapy compared with sorafenib for hepatocellular carcinoma with portal vein thrombosis. Eur. J. Nucl. Med. Mol. Imaging 2016, 43, 635–643. [Google Scholar] [CrossRef]
- de la Torre, M.A.; Buades-Mateu, J.; de la Rosa, P.A.; Lué, A.; Bustamante, F.J.; Serrano, M.T.; Testillano, M.; Lorente, S.; Arenas, J.I.; Gil, C.; et al. A comparison of survival in patients with hepatocellular carcinoma and portal vein invasion treated by radioembolization or sorafenib. Liver Int. 2016, 36, 1206–1212. [Google Scholar] [CrossRef]
- Gramenzi, A.; Golfieri, R.; Mosconi, C.; Cappelli, A.; Granito, A.; Cucchetti, A.; Marinelli, S.; Pettinato, C.; Erroi, V.; Fiumana, S.; et al. Yttrium-90 radioembolization vs sorafenib for intermediate-locally advanced hepatocellular carcinoma: A cohort study with propensity score analysis. Liver Int. 2015, 35, 1036–1047. [Google Scholar] [CrossRef]
- Jia, Z.; Jiang, G.; Tian, F.; Zhu, C.; Qin, X. A systematic review on the safety and effectiveness of yttrium-90 radioembolization for hepatocellular carcinoma with portal vein tumor thrombosis. Saudi J. Gastroenterol. 2016, 22, 353. [Google Scholar]
- Abouchaleh, N.; Gabr, A.; Ali, R.; Al Asadi, A.; Mora, R.A.; Kallini, J.R.; Mouli, S.; Riaz, A.; Lewandowski, R.J.; Salem, R. 90Y Radioembolization for locally advanced hepatocellular carcinoma with portal vein thrombosis: Long-term outcomes in a 185-patient cohort. J. Nucl. Med. 2018, 59, 1042–1048. [Google Scholar] [CrossRef]
- Vilgrain, V.; Pereira, H.; Assenat, E.; Guiu, B.; Ilonca, A.D.; Pageaux, G.P.; Sibert, A.; Bouattour, M.; Lebtahi, R.; Allaham, W.; et al. Efficacy and safety of selective internal radiotherapy with yttrium-90 resin microspheres compared with sorafenib in locally advanced and inoperable hepatocellular carcinoma (SARAH): An open-label randomised controlled phase 3 trial. Lancet Oncol. 2017, 18, 1624–1636. [Google Scholar] [CrossRef] [PubMed]
- Chow, P.H.W.; Gandhi, M. Phase III multi-centre open-label randomized controlled trial of selective internal radiation therapy (SIRT) versus sorafenib in locally advanced hepatocellular carcinoma: The SIRveNIB study. J. Clin. Oncol. 2017, 35, 4002. [Google Scholar] [CrossRef]
- Kudo, M.; Matsui, O.; Izumi, N.; Iijima, H.; Kadoya, M.; Imai, Y.; Okusaka, T.; Miyayama, S.; Tsuchiya, K.; Ueshima, K.; et al. JSH Consensus-Based Clinical Practice Guidelines for the Management of Hepatocellular Carcinoma: 2014 Update by the Liver Cancer Study Group of Japan. Liver Cancer 2014, 3, 458–468. [Google Scholar] [CrossRef] [PubMed]
- Song, M.J.; Bae, S.H.; Chun, H.J.; Choi, J.Y.; Yoon, S.K.; Park, J.Y.; Han, K.-H.; Kim, Y.S.; Yim, H.J.; Um, S.H.; et al. A randomized study of cisplatin and 5-FU hepatic arterial infusion chemotherapy with or without adriamycin for advanced hepatocellular carcinoma. Cancer Chemother. Pharmacol. 2015, 75, 739–746. [Google Scholar] [CrossRef]
- Ahn, Y.E.; Suh, S.J.; Yim, H.J.; Seo, Y.S.; Yoon, E.L.; Kim, T.H.; Lee, Y.S.; Yim, S.Y.; Kim, H.R.; Kang, S.H.; et al. Comparison of Sorafenib versus Hepatic Arterial Infusion Chemotherapy-Based Treatment for Advanced Hepatocellular Carcinoma with Portal Vein Tumor Thrombosis. Gut Liver 2015, 15, 284–294. [Google Scholar] [CrossRef]
- Nagai, H.; Mukozu, T.; Ogino, Y.U.; Matsui, D.; Matsui, T.; Wakui, N.; Momiyama, K.; Igarashi, Y.; Sumino, Y.; Higai, K. Sorafenib and hepatic arterial infusion chemotherapy for advanced hepatocellular carcinoma with portal vein tumor thrombus. Anticancer Res. 2015, 35, 2269–2277. [Google Scholar]
- Iwamoto, H.; Niizeki, T.; Nagamatsu, H.; Ueshima, K.; Nomura, T.; Kuzuya, T.; Kasai, K.; Kooka, Y.; Hiraoka, A.; Sugimoto, R.; et al. Survival Benefit of Hepatic Arterial Infusion Chemotherapy over Sorafenib in the Treatment of Locally Progressed Hepatocellular Carcinoma. Cancers 2021, 13, 646–650. [Google Scholar] [CrossRef]
- Nagamatsu, H.; Sumie, S.; Niizeki, T.; Tajiri, N.; Iwamoto, H.; Aino, H.; Nakano, M.; Shimose, S.; Satani, M.; Okamura, S.; et al. Hepatic arterial infusion chemoembolization therapy for advanced hepatocellular carcinoma: Multicenter phase II study. Cancer Chemother. Pharmacol. 2016, 77, 243–250. [Google Scholar] [CrossRef]





| Variable | Overall | HAIC + Lip | HAIC + Lip + Sor | p Value |
|---|---|---|---|---|
| Patients | 71 | 49 | 22 | |
| Age (years old, mean ± SD) | 60.5 ± 12.3 | 61.9 ± 11.3 | 57.4 ± 14.1 | 0.22 |
| Male/Female, n (%) | 60/11 (84.5/15.5) | 41/8 (83.7/16.3) | 19/3 (86.4/13.6) | 0.60 |
| Etiology, n (%) | ||||
| HBV/HCV/non-BC | 46/18/7 (65/25/10) | 31/14/4 (63/29/8) | 15/4/3 (68/18/14) | 0.96 |
| Child–Pugh score, n (%) | ||||
| A/B | 60/11 (84.5/15.5) | 39/10 (79.6/20.4) | 21/1 (95.5/0.05) | 0.29 |
| AFP ≥ 400 ng/mL, n (%) | 45 (63.0) | 27 (55.1) | 18 (81.8) | 0.17 |
| Maximal tumor size (cm) | 10.3 ± 3.6 | 9.9 ± 3.7 | 11.3 ± 3.4 | 0.57 |
| <10 | 31 (43.7) | 24 (49.0) | 7 (31.8) | |
| ≥10 | 40 (56.3) | 25 (51.0) | 15 (68.2) | |
| Tumor number | 0.45 | |||
| ≥5 | 42 (59.2) | 27 (55.1) | 15 (68.2) | |
| <5 | 29 (40.8) | 22 (44.9) | 7 (31.8) | |
| Tumor involvement, n (%) | 0.30 | |||
| Unilobar (R/L) | 23/4 (32.4/5.6) | 17/4 (34.7/8.2) | 6/0 (27.3/0) | |
| Bilobar | 44 (62.0) | 28 (57.1) | 16 (72.7) | |
| Extrahepatic metastasis | 20 (28.2) | 12 (24.5) | 8 (36.4) | 0.62 |
| Combined HV invasion | 10 (14) | 5 (10.2) | 5 (22.7) | 0.77 |
| Treatment courses | 3.96 ± 1.84 | 3.69 ± 1.61 | 3.64 ± 1.68 | 0.891 |
| Overall Response | |||
|---|---|---|---|
| HAIC Group (%) | SoraHAIC Group (%) | p | |
| CR | 6 (12.2) | 1 (4.5) | 0.001 |
| PR | 27 (55.1) | 12 (54.6) | 0.933 |
| SD | 7 (14.3) | 3 (13.6) | 0.886 |
| PD | 9 (18.4) | 6 (27.3) | 0.114 |
| DCR | 40 (81.6) | 16 (72.7) | 0.114 |
| ORR | 33 (67.3) | 13 (59.1) | 0.501 |
| Univariate Analysis | Multivariate Analysis | |||
|---|---|---|---|---|
| Variable | HR (95% CI) | p Value | HR (95% CI) | p Value |
| Sex | 1.47 (0.76, 2.87) | 0.26 | ||
| Etiology (B/C) | 0.73 (0.41, 1.30) | 0.28 | ||
| Child–Pugh class (A/B) | 3.03 (1.66, 5.53) | <0.01 * | 2.30 (1.18, 4.49) | 0.015 * |
| AFP (<400 ng/mL/≥ 400 ng/mL) | 1.45 (0.86, 2.43) | 0.16 | ||
| Maximal tumor size (cm) (<10/≥10) | 1.69 (1.01, 2.82) | 0.046 * | 1.77 (1.00, 3.12) | 0.049 * |
| Tumor number (<5/≥5) | 1.23 (0.74, 2.06) | 0.42 | ||
| Tumor involvement (Unilobar/Bilobar) | 1.07 (0.65, 1.78) | 0.79 | ||
| Extrahepatic metastasis (No/Yes) | 0.95 (0.56, 1.64) | 0.87 | ||
| Combined hepatic vein invasion (No/Yes) | 0.91 (0.41, 2.00) | 0.81 | ||
| Therapeutic Response (CR + PR/SD + PD) | 7.30 (3.73, 14.28) | <0.01 * | 8.66 (3.94, 19.07) | <0.01 * |
| Author | Year | Pt No. | Treatment | Vp3/4 | ORR | PFS | OS (m) |
|---|---|---|---|---|---|---|---|
| Kaneko [11] | 2002 | 29 | HAIC | 65/35% | 45% | NA | 8 |
| Niizeki [15] | 2012 | 71 | HAIC | 69/31% | 35% | NA | 10.2 |
| Bruix [27] | 2012 | 108 | Sor vs. placebo | MVI | DCR: 38.9 vs. 26.8% | 4.1 vs. 2.7 | 8.1/4.9 |
| Song [16] | 2013 | 50 | HAIC | 26/60% | 32% | 2 | 7 |
| Nagamatsu [45] | 2016 | 52 | HAIC | 25/29% | 75% | 8.6 | 27/12 (Vp4) |
| Moriguchi [18] | 2017 | 32 | HAIC | 78/22% | 31% | 3.7 | 10.3 |
| Im [19] | 2017 | 986 | RT + TACE/HAIC | 51/49% | 52% | NA | 10.2 |
| Abouchaleh [38] | 2018 | 77 | Y-90 SIRT | Vp4 | NA | NA | 5 |
| Ahn [43] | 2021 | 35/38 | Sor vs. HAIC | Vp4 | 0 vs. 5.2% | 2.1 vs. 6.2 | 6.4 vs. 10 |
| Liang [20] | 2021 | 93 | HAIC + Sor | 65% | 37.4% | 7 | 12.9 |
| current study | 71 | HAIC | Vp4 | 64.8% | 9 | 13 |
Disclaimer/Publisher’s Note: The statements, opinions and data contained in all publications are solely those of the individual author(s) and contributor(s) and not of MDPI and/or the editor(s). MDPI and/or the editor(s) disclaim responsibility for any injury to people or property resulting from any ideas, methods, instructions or products referred to in the content. |
© 2022 by the authors. Licensee MDPI, Basel, Switzerland. This article is an open access article distributed under the terms and conditions of the Creative Commons Attribution (CC BY) license (https://creativecommons.org/licenses/by/4.0/).
Share and Cite
Li, M.-F.; Liang, H.-L.; Chiang, C.-L.; Tsai, W.-L.; Chen, W.-C.; Tsai, C.-C.; Chen, I.-S. New Regimen of Combining Hepatic Arterial Infusion Chemotherapy and Lipiodol Embolization in Treating Hepatocellular Carcinoma with Main Portal Vein Invasion. J. Pers. Med. 2023, 13, 88. https://doi.org/10.3390/jpm13010088
Li M-F, Liang H-L, Chiang C-L, Tsai W-L, Chen W-C, Tsai C-C, Chen I-S. New Regimen of Combining Hepatic Arterial Infusion Chemotherapy and Lipiodol Embolization in Treating Hepatocellular Carcinoma with Main Portal Vein Invasion. Journal of Personalized Medicine. 2023; 13(1):88. https://doi.org/10.3390/jpm13010088
Chicago/Turabian StyleLi, Ming-Feng, Huei-Lung Liang, Chia-Ling Chiang, Wei-Lun Tsai, Wen-Chi Chen, Cheng-Chung Tsai, and I-Shu Chen. 2023. "New Regimen of Combining Hepatic Arterial Infusion Chemotherapy and Lipiodol Embolization in Treating Hepatocellular Carcinoma with Main Portal Vein Invasion" Journal of Personalized Medicine 13, no. 1: 88. https://doi.org/10.3390/jpm13010088
APA StyleLi, M.-F., Liang, H.-L., Chiang, C.-L., Tsai, W.-L., Chen, W.-C., Tsai, C.-C., & Chen, I.-S. (2023). New Regimen of Combining Hepatic Arterial Infusion Chemotherapy and Lipiodol Embolization in Treating Hepatocellular Carcinoma with Main Portal Vein Invasion. Journal of Personalized Medicine, 13(1), 88. https://doi.org/10.3390/jpm13010088

