Next Article in Journal
Lymphatic Tissue Transfer: Ultrasound-Guided Description and Preoperative Planning of Vascularised Lymph Nodes, Lymphatic Units, and Lymphatic Vessels Transfers
Previous Article in Journal
The Anesthetic Strategy for Patients with Mucopolysaccharidoses: A Retrospective Cohort Study
 
 
Font Type:
Arial Georgia Verdana
Font Size:
Aa Aa Aa
Line Spacing:
Column Width:
Background:
Review

Structured Reporting in Radiological Settings: Pitfalls and Perspectives

1
Division of Radiology, Istituto Nazionale Tumori IRCCS Fondazione Pascale—IRCCS di Napoli, 80131 Naples, Italy
2
Department of Medicine and Health Sciences “V. Tiberio”, University of Molise, 86100 Campobasso, Italy
3
Department of Medicine, Surgery and Dentistry, University of Salerno, 84084 Salerno, Italy
4
Division of Radiology, Università degli Studi della Campania Luigi Vanvitelli, 80127 Naples, Italy
5
Italian Society of Medical and Interventional Radiology (SIRM), SIRM Foundation, 20122 Milan, Italy
6
Department of Applied Clinical Sciences and Biotechnology, University of L’Aquila, 67100 L’Aquila, Italy
7
Department of Diagnostic Imaging, Area of Cardiovascular and Interventional Imaging, Abruzzo Health Unit 1, 67100 L’Aquila, Italy
8
Division of Radiology, Azienda Ospedaliera Universitaria Careggi, 50134 Florence, Italy
9
Medical Oncology Division, Igea SpA, 80013 Napoli, Italy
*
Author to whom correspondence should be addressed.
J. Pers. Med. 2022, 12(8), 1344; https://doi.org/10.3390/jpm12081344
Submission received: 4 July 2022 / Revised: 8 August 2022 / Accepted: 17 August 2022 / Published: 21 August 2022
(This article belongs to the Section Methodology, Drug and Device Discovery)

Abstract

:
Objective: The aim of this manuscript is to give an overview of structured reporting in radiological settings. Materials and Method: This article is a narrative review on structured reporting in radiological settings. Particularly, limitations and future perspectives are analyzed. RESULTS: The radiological report is a communication tool for the referring physician and the patients. It was conceived as a free text report (FTR) to allow radiologists to have their own individuality in the description of the radiological findings. However, this form could suffer from content, style, and presentation discrepancies, with a probability of transferring incorrect radiological data. Quality, datafication/quantification, and accessibility represent the three main goals in moving from FTRs to structured reports (SRs). In fact, the quality is related to standardization, which aims to improve communication and clarification. Moreover, a “structured” checklist, which allows all the fundamental items for a particular radiological study to be reported and permits the connection of the radiological data with clinical features, allowing a personalized medicine. With regard to accessibility, since radiological reports can be considered a source of research data, SR allows data mining to obtain new biomarkers and to help the development of new application domains, especially in the field of radiomics. Conclusions: Structured reporting could eliminate radiologist individuality, allowing a standardized approach.

1. Introduction

As stated by the American Recovery and Reinvestment act, and the Health Information Technology for Economic and Clinical Health act, the best medical practice should be based on structured data, in order to improve patient clinical outcomes [1,2]. In this view, radiology reports, as health record elements, should be conceived in a structured report (SR). In fact, habitually, radiology reports are free text reports (FTRs), based on a descriptive communication.
The free text report has [1] a descriptive section, which describes the relevant findings, according to the clinical information and the diagnostic question to be answered by the imaging study; the description of relevant incidental findings, i.e., not related to the clinical symptoms/radiological question; and, eventually, the description of “irrelevant” findings. It also has [2] a conclusive section, with diagnosis, differential diagnosis, and an eventual recommendation for additional (imaging) studies or diagnostic tests. Unexpected relevant findings, acute findings, or findings requiring urgent/immediate therapeutic action must be communicated immediately to the referring physician and this communicative act must be documented in the radiological report.
Many radiologists, despite the FTR, use a form of SR in their report, i.e., they use widely accepted classification systems (fractures, pancreatitis, TNM, etc.) [3,4,5,6,7]. In several centers, the radiologist’s FTR is adapted to the preferences of the referring physician, based on the experience of multidisciplinary team discussions, in which the radiologist is involved. Here, the radiologist “learns” what is crucial for reporting consistently and quantitatively, leading to uniform communication with the physician and, thus, contributing to more appropriate diagnostic and therapeutic management. Since, in accordance with what is reported in a radiological report, a multidisciplinary team establishes the therapeutic approach, it is evident that the communication of radiological data is crucial to avoid communication errors or poor patient management [3,4,5,6,7]. From this point of view, the SR should be considered as a tool to reduce radiological error [3,4,5,6,7]. However, the issue of whether all radiological studies should have a SR remains open [1,8,9,10,11,12,13,14,15].
As stated by the European Society of Radiology’s (ESR) paper on SR [1], the three main aims in shifting from FTRs to SRs are quality, datafication/quantification, and accessibility. With regard to quality, it is due to standardization. The opportunity to employ a “structured” template in order to report all the relevant data for a radiological study, allows us to link the imaging findings with the other clinical features, guiding us towards personalized medicine. With regard to accessibility, since radiological reports are an abundant resource for data research, these allow automated data mining. This process could help to develop new biomarkers for potential new application domains [1,16,17,18,19,20], such as a radiomics field [21,22,23,24,25,26,27,28,29,30]. Radiomics is an innovative field of imaging research and, thanks to the numerical data obtained from radiological studies (Figure 1), it is possible to obtain a more objective evaluation of the patient’s status. In this context, SR could help radiomics analysis.

2. Method

This article is a narrative review on SR in radiological settings. Particularly, its limitations and future perspectives are analyzed.

3. Description

As stated by Weiss et al. [31], the SR could be “structured” in three levels, as follows:
I.
At the first level, a SR is subdivided into sections and subheadings. Now, all radiological reports have these forms, including sections for clinical data, study protocols, radiological findings, and conclusions to emphasize the main radiological features.
II.
At the second level, the report is organized, explaining all the relevant specific disease findings.
III.
At the third level, the report includes a standard lexicon.
The SR’s advantages are due to several main reasons, as follows: quality and accuracy, accessibility, workflow simplification, automatization, retrievability, up-to-date electronic patient records (EPRs), economic benefits, education, and standardization between radiological centers [32,33,34,35,36,37,38,39,40].
Accuracy and quality are critical issues. The SR could support radiologists in using an appropriate lexicon and, so, could prevent unclear and prolix reports [1].

4. Perspectives and Clinical Settings

Since SRs are “structured” in sections, which include clinical history, indication, technique and study protocol, imaging findings, and conclusions, the possibility of connecting the template and a patient’s electronic file, allows an automatic export of all the available patient data. This process improves the radiologists’ workflow, ensuring that they know all the data about the patient. Therefore, the opportunity to assess radiological data with clinical data, including patients’ anthropometric data, family or previous history of cancers, influencing diseases and risk features, and histopathological study results, allows us to obtain robust datasets, which could be evaluated for both epidemiological and statistical studies, but also to build radiomics analyses [41,42,43,44,45,46,47,48,49,50,51,52,53]. Considering this point of view, the additional value of genomic data can be used to develop radiogenomic models, which are useful for acquiring the highest level of personalized risk stratification and for the advanced precision medicine process. These models are attracting a great deal of attention in the field of early diagnosis for lung and breast cancer, stratifying patients into different risk categories in order to build a diagnostic study protocol suitable for individual categories.
Furthermore, the possibility of sharing the examination technique and reporting the technical parameters used during the examination allows for a dual purpose. Firstly, it allows us to improve the examination protocol because of the standardization between the different centers. Secondly, it allows us to compare the results obtained between centers. In fact, the protocols of different studies could influence the results and, therefore, decrease the possibility of comparing these results, of the diagnostic accuracy, and of the reproducibility of the data. For example, in computed tomography (CT) studies, during oncological patient surveillance, differences in the studies’ parameters and the algorithms employed are central features that can cause variability in dimensional assessment [54,55,56]. Therefore, slice thickness and other protocol-related features, such as the reconstruction kernel and the field of view, should remain unchanged throughout patient follow-up. The CT variability decreases with standardized protocols. In fact, assuming that standardized protocols allow continuity and consistency, they improve precision and accuracy in CT image quantification in the key areas of optimization—assuming that standardized protocols should allow for an improvement in patient safety (e.g., radiation dose reduction), contrast optimization, and image quality.
In magnetic resonance imaging (MRI), data sharing regarding the type of study protocols used—such as conventional morphological (i.e., T1 or T2 weighted (W)) and functional sequences (diffusion weighted imaging (DWI) and dynamic contrast enhancement (DCE)), and the contrast agents employed (interstitial or hepatospecific for liver study)—should normally be undertaken. The sharing of study protocols is crucial, since one of the main challenges of MRI is the lack of standardization. Similar protocols need to be performed with a view to the reproducibility of the data [57,58,59,60,61,62,63,64].
With regard to contrast agents in MRI liver studies, today, two types of agents could be used. According to the different phase of patient management, the study protocols can include the possibility to administrate a liver-specific contrast (in pre-surgical settings) and a non-liver-specific contrast (in the characterization and staging phases). Liver-specific contrast agents can also be used to assess functional liver failure in both patients with hepatocellular carcinomas (HCC) (Figure 2) and in liver metastatic patients (Figure 3). Therefore, to understand the pattern of the lesion during the study of the contrast medium and the functionality of the liver parenchyma, the radiologist should clarify the type of agent used. Furthermore, the contrast agent is a drug and could cause a reaction, so these data should be reported in a SR.
At the second level, the report is based on the presence of a “findings” section, organized with subheadings. With this “structure”, it is possible to report all lesion-relevant data. For example, during MRI rectal cancer staging [65,66], the templates should report all the relevant issues on primary lesions and nodal status, such as the circumferential resection margin’s (CRM) involvement, extramural venous invasion (EMVI), and tumor deposits, in order to define the proper patient treatment. For MRI rectal cancer restaging, all relevant issues are re-assessed [65,66] to define the treatment response and the proper patient therapeutic approach (Figure 4), (i.e., total mesorectal excision, versus the “wait and watch” approach) [67,68,69,70,71,72,73,74].
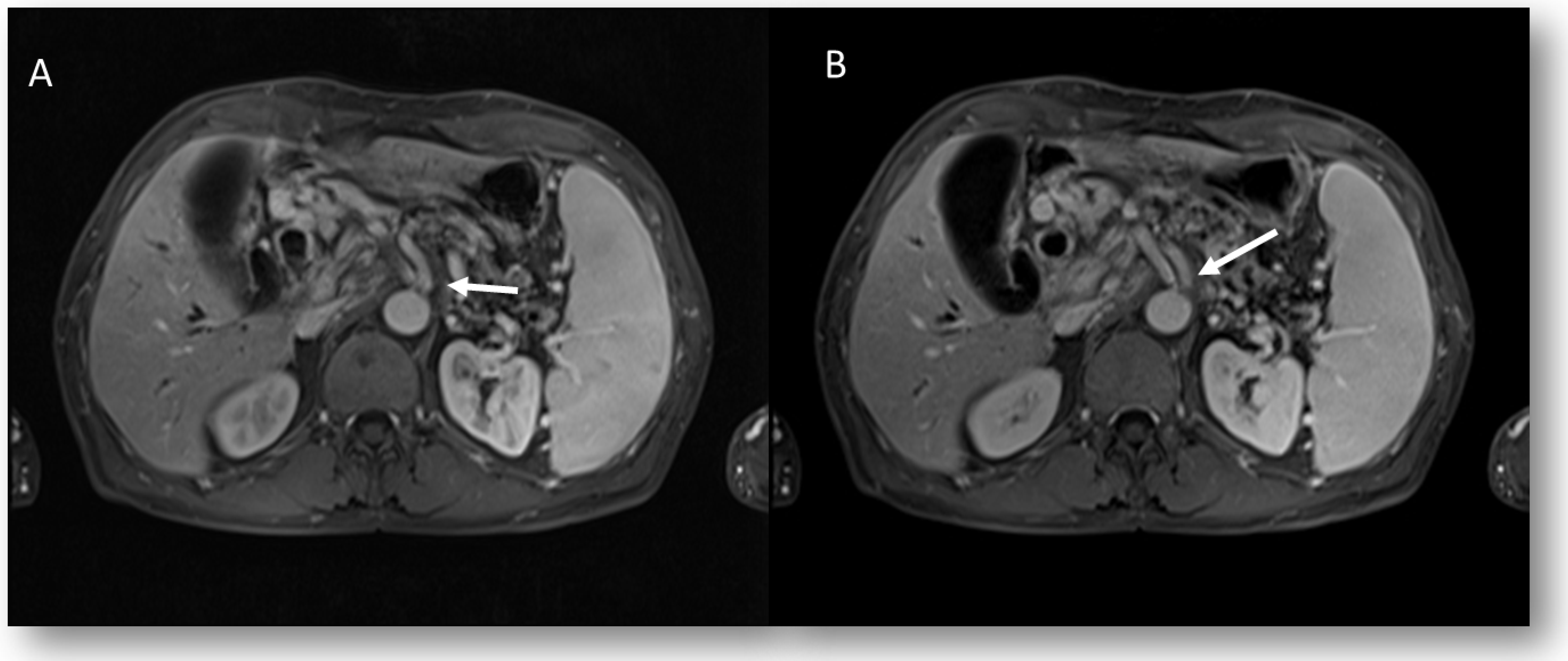
In the assessment of pancreatic cancer [75], the multidisciplinary team should make the choice concerning the lesion resectability following the acquisition of a complete staging [76,77], based on CT and MRI studies [75,76]. The lesion resectability is related to the following three different features: anatomical (A), biological (B), and conditional (C). Anatomic features include tumor contact with the superior mesenteric artery and/or celiac artery of less than 180°, without showing stenosis or deformity; tumor contact with the common hepatic artery, without showing tumor contact with the proper hepatic artery and/or celiac artery; and tumor contact with the superior mesenteric vein and/or portal, without extending beyond the inferior border of the duodenum. Biological factors include potentially resectable diseases, based on anatomic criteria but with clinical findings suspicious for (but unproven) distant metastases or regional lymph nodes metastases, diagnosed by biopsy or positron emission tomography-computed tomography (PET-CT). Therefore, radiological templates should report features on the presence and degree of contact between the tumor and the vessels, such as irregularities of the vessel contours (including a “tear drop” deformity) or changes in caliber, since these are signs of vascular invasion [75]. Moreover, several additional findings, which are relevant for procedural planning, should be reported as the arterial variants and the origin of the right hepatic artery from the superior mesenteric artery (SMA) (Figure 5) [77,78].
In this context, SR could help and guide the radiologist, allowing them to identify all the significant features that could modify patient management [79,80,81,82,83,84].
At the highest level, SR has all the previously mentioned features and uses a standardized language, based on a universally accepted lexicon [9,85,86]. A significant example in the field of breast imaging, is the breast imaging reporting and data system (BI-RADS), promoted by the American College of Radiology (ACR). BI-RADS includes a standardized lexicon for the description of breast imaging findings and their clinical management [15]. Like BI-RADS, in order to standardize the reporting and interpretation of imaging data, similar approaches have been introduced for different lesions, such as liver lesions, thyroid lesions, prostate lesions, and nodal evaluation [30]. Regarding HCC, the Liver Imaging Reporting and Data System (LI-RADS) represents a way of interpreting and reporting radiological findings that were obtained by CT or MRI, in patients at risk for this tumor. Despite the introduction of a new category, LR-M extends this system to other lesions, such as cholangiocarcinoma (Figure 6) and metastases. The American College of Radiology (ACR) supported the spread of LI-RADS to homogenizing the interpreting and reporting data of liver lesions. The diagnosis of hepatocellular carcinoma is due to the presence of important imaging features, which allow us to classify LI-RADS-3, LI-RADS-4, and LI-RADS-5, and to include arterial-phase hyperenhancement, tumor diameter, wash-out appearance, capsule appearance, and threshold growth. Ancillary features are features that can be used to change the LI-RADS classification. In MRI studies, ancillary features that support malignancy can be used to update the category of one or more categories, but not beyond LI-RADS-4 [30].

5. Open Questions: Radiologists and SR

The major international societies of radiology have supported the SR application [78,87,88,89].
The Radiological Society of North America’s (RSNA) reporting initiative has contributed to the dissemination of SR by developing and freely distributing hundreds of SR templates online at radreport.org. The Italian Society of Medical and Interventional Radiology (SIRM) suggested several templates that can be easily utilized by members of SIRM [90].
Despite the clear advances, SRs have not yet been used in the radiological workflow. The main motives are related to the absence of standardized, shared templates and the, again, marginal accessibility of software tools [91,92]. Moreover, other reasons revolve around changing practice habits and the radiologists’ fear of losing their style of communication to templated language.
The fundamental purpose of diagnostic radiology is to assist clinical care and assess patient outcomes through the acquisition, evaluation, and communication of radiological findings. The images are acquired and evaluated considering the clinical issue and are communicated in return to the clinicians and patients, offering a clear picture of the patient’s disease. Therefore, during radiologists’ work-up, it is possible to recognize the following two main phases: the first is related to the imaging interpretation, which involves the identification and recognition of the salient radiological findings. This phase is connected to diagnosis. The second, similarly crucial, is the transfer of the evaluated findings and the results to the referring clinicians and patients, suitably and clearly, in a report. Competence in one of these phases does not necessarily mean competence in the other. The communication of radiological data is essential, but how one arrives at that goal may vary according to diverse manners (structured reports, elegant language). It has been assumed that FTRs have progressed for the suitability of the report author, not for the reader [93,94,95,96,97,98,99,100,101,102]. The radiologist could suppose that their own narrative report is more useful and valuable, compared to SR. However, the reader may not approve. Structured reporting may reduce the personality in the description, and it may favor standardization—even if SR may retain several freedoms for the radiologist in the conclusion. Once the report section has included all relevant findings and observations, the radiologist should summarize their opinion in a conclusion, using free text [92]. Radiological SR is available for a growing number of patients and diseases. This may be an additional motivation for the radiologist to embrace SR, in particular to use quantified data for describing findings, rather than subjective qualitative reporting/interpretations, such as, “slight”, “mild”, or “significant” increase in volume. How much is “slight”, “mild”, or “significant”? It would be better simply to specify the size (volume) of a structure or lesion and its evolution in time [92].

6. Pitfalls

The SR has several established limitations, such as the possibility of oversimplification and the rigor of the model structure, as well as poor user compliance [92]. However, as explained above, considerable energy has been spent by experts and scientific societies for SRs in various clinical settings. Their use in radiology departments with high degrees of acceptance may not be complicated and adaptation to the individual characteristics of the department may be feasible and should be considered.
To this end, specific queries are open, comprising better integration with pre-existing RIS/PACS systems, the option to maintain several free text fields within templates (thus allowing some margin to communicate complex concepts in selected cases), as well as data related to the imaging protocol [92].
The integration of SR in the PACS offers significant advantages in communicating with the referring physicians, in particular in education centers and in communications with referring general physicians. Links to the descriptive data and the relevant images (size, arrows), and to the image-related or derived parameters can be easily integrated into the report [92].

7. Educational: Resident and Structured Report

Definite benefits for residents comprise the possibility to increase clinical knowledge, and to develop communication competence and efficacy [103].
According to the 2019 Diagnostic Radiology Milestones [104], each resident should “expertly use lexicons and structured reporting to offer precise and well-timed reports which do not necessitate modification”. Imaging reporting is an important resident skill set, since radiology reports are the most frequent method of radiologists’ communication. Residents should improve their communication method and become effective communicators [105]. SR optimizes the sharing of the main relevant data in clinical and radiological settings for liver cancer [46,50,86,104,106,107,108,109] and for rectal cancer [27,42,110,111,112], such as in the multidisciplinary treatment of several deep tumors [46,113,114,115,116,117,118,119]. The resident should be able to learn the specific data on the diagnostic tool to be adopted, such as the type of contrast medium and the way in which this drug could be used (simply, the enhanced phase of the contrast, versus dynamic acquisition). All these data, which are included in the SR in a predictable, reproducible, succinct, organized, and precise format, provide a framework for radiology trainees. The form and content of each SR could be utilized as a didactic tool, which is useful for students in assisting them to obtain their autonomous training [103].

8. Discussion and Conclusions

The key elements of quality and safety programs are to optimize communication and to address failures in communication. Unsuccessful communication is an important cause of medical errors within the radiology field [79]. A standardized lexicon that is used to express radiologists’ diagnoses may improve patient care, as the adoption and use of SR is an important method of enhancing communication. Although recently published data and several radiology societies [79,89,119,120,121,122] support SR as a required new standard for radiology reporting, with clear benefits over narrative reporting, radiologists prefer prose reporting, due to its flexibility and personalization. In addition, despite these incentives, there is not much data that objectively demonstrates that SR adds clinical value, over narrative reporting [10,123,124]. Moreover, not all SRs are designed similarly. Several of the published SRs are technique- or examination-based [125], and, though they are easy to use, they do not guide the radiologist during image evaluation, only providing fields to complete in a “structured” method. A common factor seen in most definitions, is that a SR should help the writers create their report, through either a predefined design, template, or checklist. Furthermore, SR only represents one set of computer tools, aimed at reducing variability and enhancing the clinical utility of formal radiology interpretations. Therefore, SRs should be created according to the third level of Weiss et al. [31], representing contextual reporting, precisely correlated to a particular clinical setting. In this way, SR provides content focused on the clinical questions, discusses appropriate differential diagnoses, and highlights pertinent positives and negatives in the data. In addition, to preserve radiologist freedom, these templates retain free-text sections. These reports are exclusively tailored to the diagnosis, they guarantee that all pertinent data are addressed in a checklist, and they educate trainees by providing a systematic approach for clinical interpretations. Furthermore, these models are based on standardized language and structures—qualities required to adhere to diagnostic–therapeutic recommendations and enrollment in clinical trials. These could reduce any ambiguity that may arise from unconventional language and allow for better communication between radiologists, clinicians, and patients.
An additional benefit is related to the possibility that SR could, theoretically, have a substantial role in data tracking and machine learning. Because these are disease-specific and structured, common features can be gathered from the reports so that computers can read and understand the content to improve radiologist workflow. In fact, in recent years, the application of artificial intelligence (AI) within radiology has intensified [13,37,105,106,107,108,109,110,111,112,113,114,115,116,117,118,119,120,121,122,123,124,125,126]. Although many research studies have been focused on imaging interpretation and classification, AI can support all areas of a radiological division, such as the use of learning algorithms for protocol selection, decreasing radiation doses, reducing acquisition times, and improving patient safety. In this context, it is easy to think that AI algorithms will certainly become an integral part of the radiology reporting systems. For example, an AI algorithm could automatically calculate the percentage change in size from the previous study, and automatically report whether there is a threshold growth in a certain observation, allowing a faster and more precise definition of the LI-RADS category. In addition, the AI algorithm could allow the linking of imaging results and other clinical data in order to achieve a personalized approach to the patient. In fact, when it comes to accessibility, radiologists’ reports are known to be an opulent source of research data, enabling automated data mining, which can help validate imaging biomarkers.
Structured reporting could eliminate the individuality of radiologists’ reports, allowing a standardized approach.
Structured reporting is thought to improve the consistency and reproducibility of radiological reports [125]. This could improve the readability and clarity of radiological reports, and could also facilitate data mining in clinical or research settings.

Author Contributions

Each author contributed equally to the manuscript. All authors have read and agreed to the published version of the manuscript.

Funding

This research received no external funding.

Institutional Review Board Statement

Not applicable.

Informed Consent Statement

Not applicable.

Data Availability Statement

Not applicable.

Conflicts of Interest

The authors declare no conflict of interest.

References

  1. European Society of Radiology (ESR). ESR paper on structured reporting in radiology. Insights Imaging 2018, 9, 1–7. [Google Scholar] [CrossRef] [PubMed] [Green Version]
  2. American Recovery and Reinvestment Act of 2009 Title XIII: Health Information Technology: Health Information Technology for Economic and Clinical Health Act (HITECH Act), 112–164. US Government. Available online: https://www.healthit.gov/sites/default/files/hitech_act_excerpt_from_arra_with_index.pdf (accessed on 6 June 2022).
  3. Sobez, L.M.; Kim, S.H.; Angstwurm, M.; Störmann, S.; Pförringer, D.; Schmidutz, F.; Prezzi, D.; Kelly-Morland, C.; Sommer, W.H.; Sabel, B.; et al. Creating high-quality radiology reports in foreign languages through multilingual structured reporting. Eur. Radiol. 2019, 29, 6038–6048. [Google Scholar] [CrossRef] [PubMed]
  4. Segrelles, J.D.; Medina, R.; Blanquer, I.; Martí-Bonmatí, L. Increasing the Efficiency on Producing Radiology Reports for Breast Cancer Diagnosis by Means of Structured Reports. A Comparative Study. Methods Inf. Med. 2017, 56, 248–260. [Google Scholar]
  5. Ierardi, A.M.; Wood, B.J.; Arrichiello, A.; Bottino, N.; Bracchi, L.; Forzenigo, L.; Andrisani, M.C.; Vespro, V.; Bonelli, C.; Amalou, A.; et al. Preparation of a radiology department in an Italian hospital dedicated to COVID-19 patients. Radiol. Med. 2020, 125, 894–901. [Google Scholar] [CrossRef]
  6. Caranci, F.; Leone, G.; Ponsiglione, A.; Muto, M.; Tortora, F.; Muto, M.; Cirillo, S.; Brunese, L.; Cerase, A. Imaging findings in hypophysitis: A review. Radiol. Med. 2020, 125, 319–328. [Google Scholar] [CrossRef]
  7. Bécares-Martínez, C.; López-Llames, A.; Martín-Pagán, A.; Cores-Prieto, A.E.; Arroyo-Domingo, M.; Marco-Algarra, J.; Morales-Suárez-Varela, M. Cervical spine radiographs in patients with vertigo and dizziness. Radiol. Med. 2020, 125, 272–279. [Google Scholar] [CrossRef] [PubMed]
  8. Pinto Dos Santos, D.; Hempel, J.M.; Mildenberger, P.; Klöckner, R.; Persigehl, T. Structured Reporting in Clinical Routine. Rofo 2019, 191, 33–39. [Google Scholar] [CrossRef] [PubMed] [Green Version]
  9. Larson, D.B.; Towbin, A.J.; Pryor, R.M.; Donnelly, L.F. Improving consistency in radiology reporting through the use of department-wide standardized structured reporting. Radiology 2013, 267, 240–250. [Google Scholar] [CrossRef] [Green Version]
  10. Brook, O.R.; Brook, A.; Vollmer, C.M.; Kent, T.S.; Sanchez, N.; Pedrosa, I. Structured reporting of multiphasic CT for pancreatic cancer: Potential effect on staging and surgical planning. Radiology 2015, 274, 464–472. [Google Scholar] [CrossRef]
  11. Lee, M.C.; Chuang, K.S.; Hsu, T.C.; Lee, C.D. Enhancement of Structured Reporting—An Integration Reporting Module with Radiation Dose Collection Supporting. J. Med. Syst. 2016, 40, 250. [Google Scholar] [CrossRef]
  12. Pediconi, F.; Galati, F.; Bernardi, D.; Belli, P.; Brancato, B.; Calabrese, M.; Camera, L.; Carbonaro, L.A.; Caumo, F.; Clauser, P.; et al. Breast imaging and cancer diagnosis during the COVID-19 pandemic: Recommendations from the Italian College of Breast Radiologists by SIRM. Radiol. Med. 2020, 125, 926–930. [Google Scholar] [CrossRef] [PubMed]
  13. Gurgitano, M.; Angileri, S.A.; Rodà, G.M.; Liguori, A.; Pandolfi, M.; Ierardi, A.M.; Wood, B.J.; Carrafiello, G. Interventional Radiology ex-machina: Impact of Artificial Intelligence on practice. Radiol. Med. 2021, 126, 998–1006. [Google Scholar] [CrossRef] [PubMed]
  14. Deandrea, S.; Cavazzana, L.; Principi, N.; Luconi, E.; Campoleoni, M.; Bastiampillai, A.J.; Bracchi, L.; Bucchi, L.; Pedilarco, S.; Piscitelli, A.; et al. Screening of women with aesthetic prostheses in dedicated sessions of a population-based breast cancer screening programme. Radiol. Med. 2021, 126, 946–955. [Google Scholar] [CrossRef] [PubMed]
  15. Eghtedari, M.; Chong, A.; Rakow-Penner, R.; Ojeda-Fournier, H. Current Status and Future of BI-RADS in Multimodality Imaging, From the AJR Special Series on Radiology Reporting and Data Systems. AJR Am. J. Roentgenol. 2021, 216, 860–873. [Google Scholar] [CrossRef]
  16. Bimonte, S.; Leongito, M.; Barbieri, A.; Del Vecchio, V.; Barbieri, M.; Albino, V.; Piccirillo, M.; Amore, A.; Di Giacomo, R.; Nasto, A.; et al. Inhibitory effect of (-)-epigallocatechin-3-gallate and bleomycin on human pancreatic cancer MiaPaca-2 cell growth. Infect. Agents Cancer 2015, 10, 22. [Google Scholar] [CrossRef]
  17. Granata, V.; Fusco, R.; Catalano, O.; Piccirillo, M.; De Bellis, M.; Izzo, F.; Petrillo, A. Percutaneous ablation therapy of hepatocellular carcinoma with irreversible electroporation: MRI findings. AJR Am. J. Roentgenol. 2015, 204, 1000–1007. [Google Scholar] [CrossRef]
  18. D’Agostino, V.; Caranci, F.; Negro, A.; Piscitelli, V.; Tuccillo, B.; Fasano, F.; Sirabella, G.; Marano, I.; Granata, V.; Grassi, R.; et al. A Rare Case of Cerebral Venous Thrombosis and Disseminated Intravascular Coagulation Temporally Associated to the COVID-19 Vaccine Administration. J. Pers. Med. 2021, 11, 285. [Google Scholar] [CrossRef]
  19. di Giacomo, V.; Trinci, M.; van der Byl, G.; Catania, V.D.; Calisti, A.; Miele, V. Ultrasound in newborns and children suffering from non-traumatic acute abdominal pain: Imaging with clinical and surgical correlation. J. Ultrasound 2014, 18, 385–393. [Google Scholar] [CrossRef] [Green Version]
  20. Miele, V.; Di Giampietro, I. Diagnostic Imaging in Emergency. Salut. Soc. 2014, 2EN, 127–138. [Google Scholar]
  21. Granata, V.; Grassi, R.; Fusco, R.; Izzo, F.; Brunese, L.; Delrio, P.; Avallone, A.; Pecori, B.; Petrillo, A. Current status on response to treatment in locally advanced rectal cancer: What the radiologist should know. Eur. Rev. Med. Pharmacol. Sci. 2020, 24, 12050–12062. [Google Scholar]
  22. Park, S.H.; Kim, Y.S.; Choi, J. Dosimetric analysis of the effects of a temporary tissue expander on the radiotherapy technique. Radiol. Med. 2021, 126, 437–444. [Google Scholar] [CrossRef] [PubMed]
  23. Karmazanovsky, G.; Gruzdev, I.; Tikhonova, V.; Kondratyev, E.; Revishvili, A. Computed tomography-based radiomics approach in pancreatic tumors characterization. Radiol. Med. 2021. [Google Scholar] [CrossRef] [PubMed]
  24. Bertocchi, E.; Barugola, G.; Nicosia, L.; Mazzola, R.; Ricchetti, F.; Dell’Abate, P.; Alongi, F.; Ruffo, G. A comparative analysis between radiation dose intensification and conventional fractionation in neoadjuvant locally advanced rectal cancer: A monocentric prospective observational study. Radiol. Med. 2020, 125, 990–998. [Google Scholar] [CrossRef] [PubMed]
  25. Bracci, S.; Dolciami, M.; Trobiani, C.; Izzo, A.; Pernazza, A.; D’Amati, G.; Manganaro, L.; Ricci, P. Quantitative CT texture analysis in predicting PD-L1 expression in locally advanced or metastatic NSCLC patients. Radiol. Med. 2021, 126, 1425–1433. [Google Scholar] [CrossRef]
  26. Caruso, D.; Pucciarelli, F.; Zerunian, M.; Ganeshan, B.; De Santis, D.; Polici, M.; Rucci, C.; Polidori, T.; Guido, G.; Bracci, B.; et al. Chest CT texture-based radiomics analysis in differentiating COVID-19 from other interstitial pneumonia. Radiol. Med. 2021, 126, 1415–1424. [Google Scholar] [CrossRef]
  27. Avallone, A.; Pecori, B.; Bianco, F.; Aloj, L.; Tatangelo, F.; Romano, C.; Granata, V.; Marone, P.; Leone, A.; Botti, G.; et al. Critical role of bevacizumab scheduling in combination with pre-surgical chemo-radiotherapy in MRI-defined high-risk locally advanced rectal cancer: Results of the BRANCH trial. Oncotarget 2015, 6, 30394–303407. [Google Scholar] [CrossRef] [Green Version]
  28. Petralia, G.; Zugni, F.; Summers, P.E.; Colombo, A.; Pricolo, P.; Grazioli, L.; Colagrande, S.; Giovagnoni, A.; Padhani, A.R.; Italian Working Group on Magnetic Resonance. Whole-body magnetic resonance imaging (WB-MRI) for cancer screening: Recommendations for use. Radiol. Med. 2021, 126, 1434–1450. [Google Scholar] [CrossRef]
  29. Petralia, G.; Summers, P.E.; Agostini, A.; Ambrosini, R.; Cianci, R.; Cristel, G.; Calistri, L.; Colagrande, S. Dynamic contrast-enhanced MRI in oncology: How we do it. Radiol. Med. 2020, 125, 1288–1300. [Google Scholar] [CrossRef]
  30. Granata, V.; Grassi, R.; Fusco, R.; Setola, S.V.; Belli, A.; Ottaiano, A.; Nasti, G.; La Porta, M.; Danti, G.; Cappabianca, S.; et al. Intrahepatic cholangiocarcinoma and its differential diagnosis at MRI: How radiologist should assess MR features. Radiol. Med. 2021, 126, 1584–1600. [Google Scholar] [CrossRef]
  31. Weiss, D.L.; Bolos, P.R. Reporting and dictation. In Branstetter IV BF: Practical Imaging Informatics: Foundations and Applications for PACS Professionals; Springer: Berlin/Heidelberg, Germany, 2019. [Google Scholar]
  32. De Muzio, F.; Cutolo, C.; Granata, V.; Fusco, R.; Ravo, L.; Maggialetti, N.; Brunese, M.C.; Grassi, R.; Grassi, F.; Bruno, F.; et al. CT study protocol optimization in acute non-traumatic abdominal settings. Eur. Rev. Med. Pharmacol. Sci. 2022, 26, 860–878. [Google Scholar]
  33. Granata, V.; Fusco, R.; Venanzio Setola, S.; Barretta, M.L.; Iasevoli, D.M.A.; Palaia, R.; Belli, A.; Patrone, R.; Tatangelo, F.; Grazzini, G.; et al. Diagnostic performance of LI-RADS in adult patients with rare hepatic tumors. Eur. Rev. Med. Pharmacol. Sci. 2022, 26, 399–414. [Google Scholar] [PubMed]
  34. Granata, V.; Fusco, R.; Setola, S.V.; Piccirillo, M.; Leongito, M.; Palaia, R.; Granata, F.; Lastoria, S.; Izzo, F.; Petrillo, A. Early radiological assessment of locally advanced pancreatic cancer treated with electrochemotherapy. World J. Gastroenterol. 2017, 23, 4767–4778. [Google Scholar] [CrossRef] [PubMed]
  35. Granata, V.; Fusco, R.; Bicchierai, G.; Cozzi, D.; Grazzini, G.; Danti, G.; De Muzio, F.; Maggialetti, N.; Smorchkova, O.; D’Elia, M.; et al. Diagnostic protocols in oncology: Workup and treatment planning. Part 1: The optimitation of CT protocol. Eur. Rev. Med. Pharmacol. Sci. 2021, 25, 6972–6994. [Google Scholar]
  36. Granata, V.; Bicchierai, G.; Fusco, R.; Cozzi, D.; Grazzini, G.; Danti, G.; De Muzio, F.; Maggialetti, N.; Smorchkova, O.; D’Elia, M.; et al. Diagnostic protocols in oncology: Workup and treatment planning. Part 2: Abbreviated MR protocol. Eur. Rev. Med. Pharmacol. Sci. 2021, 25, 6499–6528. [Google Scholar] [PubMed]
  37. Liu, J.; Wang, C.; Guo, W.; Zeng, P.; Liu, Y.; Lang, N.; Yuan, H. A preliminary study using spinal MRI-based radiomics to predict high-risk cytogenetic abnormalities in multiple myeloma. Radiol. Med. 2021, 126, 1226–1235. [Google Scholar] [CrossRef] [PubMed]
  38. Bilreiro, C.; Soler, J.C.; Ayuso, J.R.; Caseiro-Alves, F.; Ayuso, C. Diagnostic value of morphological enhancement patterns in the hepatobiliary phase of gadoxetic acid-enhanced MRI to distinguish focal nodular hyperplasia from hepatocellular adenoma. Radiol. Med. 2021, 126, 1379–1387. [Google Scholar] [CrossRef] [PubMed]
  39. Esposito, A.; Buscarino, V.; Raciti, D.; Casiraghi, E.; Manini, M.; Biondetti, P.; Forzenigo, L. Characterization of liver nodules in patients with chronic liver disease by MRI: Performance of the Liver Imaging Reporting and Data System (LI-RADS v.2018) scale and its comparison with the Likert scale. Radiol. Med. 2020, 125, 15–23. [Google Scholar] [CrossRef]
  40. Qin, H.; Que, Q.; Lin, P.; Li, X.; Wang, X.R.; He, Y.; Chen, J.Q.; Yang, H. Magnetic resonance imaging (MRI) radiomics of papillary thyroid cancer (PTC): A comparison of predictive performance of multiple classifiers modeling to identify cervical lymph node metastases before surgery. Radiol. Med. 2021; 126, 1312–1327. [Google Scholar] [CrossRef]
  41. Santone, A.; Brunese, M.C.; Donnarumma, F.; Guerriero, P.; Mercaldo, F.; Reginelli, A.; Miele, V.; Giovagnoni, A.; Brunese, L. Radiomic features for prostate cancer grade detection through formal verification. Radiol. Med. 2021, 126, 688–697. [Google Scholar] [CrossRef]
  42. Fusco, R.; Petrillo, M.; Granata, V.; Filice, S.; Sansone, M.; Catalano, O.; Petrillo, A. Magnetic Resonance Imaging Evaluation in Neoadjuvant Therapy of Locally Advanced Rectal Cancer: A Systematic Review. Radiol. Oncol. 2017, 51, 252–262. [Google Scholar] [CrossRef]
  43. Agazzi, G.M.; Ravanelli, M.; Roca, E.; Medicina, D.; Balzarini, P.; Pessina, C.; Vermi, W.; Berruti, A.; Maroldi, R.; Farina, D. CT texture analysis for prediction of EGFR mutational status and ALK rearrangement in patients with non-small cell lung cancer. Radiol. Med. 2021, 126, 786–794. [Google Scholar] [CrossRef]
  44. Fusco, R.; Granata, V.; Mazzei, M.A.; Meglio, N.D.; Roscio, D.D.; Moroni, C.; Monti, R.; Cappabianca, C.; Picone, C.; Neri, E.; et al. Quantitative imaging decision support (QIDSTM) tool consistency evaluation and radiomic analysis by means of 594 metrics in lung carcinoma on chest CT scan. Cancer Control. 2021, 28, 1073274820985786. [Google Scholar] [CrossRef] [PubMed]
  45. Kirienko, M.; Ninatti, G.; Cozzi, L.; Voulaz, E.; Gennaro, N.; Barajon, I.; Ricci, F.; Carlo-Stella, C.; Zucali, P.; Sollini, M.; et al. Computed tomography (CT)-derived radiomic features differentiate prevascular mediastinum masses as thymic neoplasms versus lymphomas. Radiol. Med. 2020, 125, 951–960. [Google Scholar] [CrossRef] [PubMed]
  46. Zhang, L.; Kang, L.; Li, G.; Zhang, X.; Ren, J.; Shi, Z.; Li, J.; Yu, S. Computed tomography-based radiomics model for discriminating the risk stratification of gastrointestinal stromal tumors. Radiol. Med. 2020, 125, 465–473. [Google Scholar] [CrossRef] [PubMed]
  47. Scapicchio, C.; Gabelloni, M.; Barucci, A.; Cioni, D.; Saba, L.; Neri, E. A deep look into radiomics. Radiol. Med. 2021, 126, 1296–1311. [Google Scholar] [CrossRef]
  48. Benedetti, G.; Mori, M.; Panzeri, M.M.; Barbera, M.; Palumbo, D.; Sini, C.; Muffatti, F.; Andreasi, V.; Steidler, S.; Doglioni, C.; et al. CT-derived radiomic features to discriminate histologic characteristics of pancreatic neuroendocrine tumors. Radiol. Med. 2021, 126, 745–760. [Google Scholar] [CrossRef]
  49. Laurelli, G.; Falcone, F.; Gallo, M.S.; Scala, F.; Losito, S.; Granata, V.; Cascella, M.; Greggi, S. Long-Term Oncologic and Reproductive Outcomes in Young Women With Early Endometrial Cancer Conservatively Treated: A Prospective Study and Literature Update. Int. J. Gynecol. Cancer 2016, 26, 1650–1657. [Google Scholar] [CrossRef]
  50. Granata, V.; Petrillo, M.; Fusco, R.; Setola, S.V.; de Lutio di Castelguidone, E.; Catalano, O.; Piccirillo, M.; Albino, V.; Izzo, F.; Petrillo, A. Surveillance of HCC Patients after Liver RFA: Role of MRI with Hepatospecific Contrast versus Three-Phase CT Scan-Experience of High Volume Oncologic Institute. Gastroenterol. Res. Pract. 2013, 2013, 469097. [Google Scholar] [CrossRef]
  51. Granata, V.; Fusco, R.; Venanzio Setola, S.; Mattace Raso, M.; Avallone, A.; De Stefano, A.; Nasti, G.; Palaia, R.; Delrio, P.; Petrillo, A.; et al. Liver radiologic findings of chemotherapy-induced toxicity in liver colorectal metastases patients. Eur. Rev. Med. Pharmacol. Sci. 2019, 23, 9697–9706. [Google Scholar]
  52. Nardone, V.; Reginelli, A.; Grassi, R.; Boldrini, L.; Vacca, G.; D’Ippolito, E.; Annunziata, S.; Farchione, A.; Belfiore, M.P.; Desideri, I.; et al. Delta radiomics: A systematic review. Radiol. Med. 2021, 126, 1571–1583. [Google Scholar] [CrossRef]
  53. Masci, G.M.; Iafrate, F.; Ciccarelli, F.; Pambianchi, G.; Panebianco, V.; Pasculli, P.; Ciardi, M.R.; Mastroianni, C.M.; Ricci, P.; Catalano, C.; et al. Tocilizumab effects in COVID-19 pneumonia: Role of CT texture analysis in quantitative assessment of response to therapy. Radiol. Med. 2021, 126, 1170–1180. [Google Scholar] [CrossRef]
  54. Cicero, G.; Ascenti, G.; Albrecht, M.H.; Blandino, A.; Cavallaro, M.; D’Angelo, T.; Carerj, M.L.; Vogl, T.J.; Mazziotti, S. Extra-abdominal dual-energy CT applications: A comprehensive overview. Radiol. Med. 2020, 125, 384–397. [Google Scholar] [CrossRef] [PubMed]
  55. Ohashi, Y.; Takashima, H.; Ohmori, G.; Harada, K.; Chiba, A.; Numasawa, K.; Imai, T.; Hayasaka, S.; Itoh, A. Efficacy of non-rigid registration technique for misregistration in 3D-CTA fusion imaging. Radiol. Med. 2020, 125, 618–624. [Google Scholar] [CrossRef] [PubMed]
  56. Michallek, F.; Nakamura, S.; Ota, H.; Ogawa, R.; Shizuka, T.; Nakashima, H.; Wang, Y.N.; Ito, T.; Sakuma, H.; Dewey, M.; et al. Fractal analysis of 4D dynamic myocardial stress-CT perfusion imaging differentiates micro- and macrovascular ischemia in a multi-center proof-of-concept study. Sci. Rep. 2022, 12, 5085. [Google Scholar] [CrossRef] [PubMed]
  57. Gatti, M.; Calandri, M.; Bergamasco, L.; Darvizeh, F.; Grazioli, L.; Inchingolo, R.; Ippolito, D.; Rousset, S.; Veltri, A.; Fonio, P.; et al. Characterization of the arterial enhancement pattern of focal liver lesions by multiple arterial phase magnetic resonance imaging: Comparison between hepatocellular carcinoma and focal nodular hyperplasia. Radiol. Med. 2020, 125, 348–355. [Google Scholar] [CrossRef]
  58. Granata, V.; Fusco, R.; Filice, S.; Catalano, O.; Piccirillo, M.; Palaia, R.; Izzo, F.; Petrillo, A. The current role and future prospectives of functional parameters by diffusion weighted imaging in the assessment of histologic grade of HCC. Infect. Agents Cancer 2018, 13, 23. [Google Scholar] [CrossRef] [Green Version]
  59. Fusco, R.; Sansone, M.; Granata, V.; Setola, S.V.; Petrillo, A. A systematic review on multiparametric MR imaging in prostate cancer detection. Infect. Agents Cancer 2017, 12, 57. [Google Scholar] [CrossRef] [Green Version]
  60. Gholizadeh, N.; Greer, P.B.; Simpson, J.; Goodwin, J.; Fu, C.; Lau, P.; Siddique, S.; Heerschap, A.; Ramadan, S. Diagnosis of transition zone prostate cancer by multiparametric MRI: Added value of MR spectroscopic imaging with sLASER volume selection. J. Biomed. Sci. 2021, 28, 54. [Google Scholar] [CrossRef]
  61. Gholizadeh, N.; Simpson, J.; Ramadan, S.; Denham, J.; Lau, P.; Siddique, S.; Dowling, J.; Welsh, J.; Chalup, S.; Greer, P.B. Voxel-based supervised machine learning of peripheral zone prostate cancer using noncontrast multiparametric MRI. J. Appl. Clin. Med. Phys. 2020, 21, 179–191. [Google Scholar] [CrossRef]
  62. Petrillo, A.; Fusco, R.; Petrillo, M.; Granata, V.; Delrio, P.; Bianco, F.; Pecori, B.; Botti, G.; Tatangelo, F.; Caracò, C.; et al. Standardized Index of Shape (DCE-MRI) and Standardized Uptake Value (PET/CT): Two quantitative approaches to discriminate chemo-radiotherapy locally advanced rectal cancer responders under a functional profile. Oncotarget 2017, 8, 8143–8153. [Google Scholar] [CrossRef] [Green Version]
  63. Higashi, M.; Tanabe, M.; Okada, M.; Furukawa, M.; Iida, E.; Ito, K. Influence of fat deposition on T1 mapping of the pancreas: Evaluation by dual-flip-angle MR imaging with and without fat suppression. Radiol. Med. 2020, 125, 1–6. [Google Scholar] [CrossRef]
  64. Li, J.; Cao, B.; Bi, X.; Chen, W.; Wang, L.; Du, Z.; Zhang, X.; Yu, X. Evaluation of liver function in patients with chronic hepatitis B using Gd-EOB-DTPA-enhanced T1 mapping at different acquisition time points: A feasibility study. Radiol. Med. 2021, 126, 1149–1158. [Google Scholar] [CrossRef] [PubMed]
  65. Granata, V.; Caruso, D.; Grassi, R.; Cappabianca, S.; Reginelli, A.; Rizzati, R.; Masselli, G.; Golfieri, R.; Rengo, M.; Regge, D.; et al. Structured Reporting of Rectal Cancer Staging and Restaging: A Consensus Proposal. Cancers 2021, 13, 2135. [Google Scholar] [CrossRef] [PubMed]
  66. Beets-Tan, R.G.H.; Lambregts, D.M.J.; Maas, M.; Bipat, S.; Barbaro, B.; Curvo-Semedo, L.; Fenlon, H.M.; Gollub, M.J.; Gourtsoyianni, S.; Halligan, S.; et al. Magnetic resonance imaging for clinical management of rectal cancer: Updated recommendations from the 2016 European Society of Gastrointestinal and Abdominal Radiology (ESGAR) consensus meeting. Eur. Radiol. 2018, 28, 1465–1475. [Google Scholar] [CrossRef] [PubMed] [Green Version]
  67. Rega, D.; Granata, V.; Petrillo, A.; Pace, U.; Sassaroli, C.; Di Marzo, M.; Cervone, C.; Fusco, R.; D’Alessio, V.; Nasti, G.; et al. Organ Sparing for Locally Advanced Rectal Cancer after Neoadjuvant Treatment Followed by Electrochemotherapy. Cancers 2021, 13, 3199. [Google Scholar] [CrossRef]
  68. Rega, D.; Granata, V.; Romano, C.; D’Angelo, V.; Pace, U.; Fusco, R.; Cervone, C.; Ravo, V.; Tatangelo, F.; Avallone, A.; et al. Watch and Wait Approach for Rectal Cancer Following Neoadjuvant Treatment: The Experience of a High Volume Cancer Center. Diagnostics 2021, 11, 1507. [Google Scholar] [CrossRef]
  69. Altinmakas, E.; Dogan, H.; Taskin, O.C.; Ozoran, E.; Bugra, D.; Adsay, V.; Balik, E.; Gurses, B. Extramural venous invasion (EMVI) revisited: A detailed analysis of various characteristics of EMVI and their role as a predictive imaging biomarker in the neoadjuvant treatment response in rectal cancer. Abdom. Radiol. 2022, 47, 1975–1987. [Google Scholar] [CrossRef]
  70. Zhang, D.; Duan, Y.; Guo, J.; Wang, Y.; Yang, Y.; Li, Z.; Wang, K.; Wu, L.; Yu, M. Using Multi-Scale Convolutional Neural Network Based on Multi-Instance Learning to Predict the Efficacy of Neoadjuvant Chemoradiotherapy for Rectal Cancer. IEEE J. Transl. Eng. Health Med. 2022, 10, 4300108. [Google Scholar] [CrossRef]
  71. Crimì, F.; Capelli, G.; Spolverato, G.; Bao, Q.R.; Florio, A.; Milite Rossi, S.; Cecchin, D.; Albertoni, L.; Campi, C.; Pucciarelli, S.; et al. MRI T2-weighted sequences-based texture analysis (TA) as a predictor of response to neoadjuvant chemo-radiotherapy (nCRT) in patients with locally advanced rectal cancer (LARC). Radiol. Med. 2020, 125, 1216–1224. [Google Scholar] [CrossRef]
  72. Ale Ali, H.; Kirsch, R.; Razaz, S.; Jhaveri, A.; Thipphavong, S.; Kennedy, E.D.; Jhaveri, K.S. Extramural venous invasion in rectal cancer: Overview of imaging, histopathology, and clinical implications. Abdom. Radiol. 2019, 44, 1–10. [Google Scholar] [CrossRef]
  73. Cusumano, D.; Meijer, G.; Lenkowicz, J.; Chiloiro, G.; Boldrini, L.; Masciocchi, C.; Dinapoli, N.; Gatta, R.; Casà, C.; Damiani, A.; et al. A field strength independent MR radiomics model to predict pathological complete response in locally advanced rectal cancer. Radiol. Med. 2021, 126, 421–429. [Google Scholar] [CrossRef]
  74. Dinapoli, N.; Barbaro, B.; Gatta, R.; Chiloiro, G.; Casà, C.; Masciocchi, C.; Damiani, A.; Boldrini, L.; Gambacorta, M.A.; Dezio, M.; et al. Magnetic Resonance, Vendor-independent, Intensity Histogram Analysis Predicting Pathologic Complete Response After Radiochemotherapy of Rectal Cancer. Int. J. Radiat. Oncol. Biol. Phys. 2018, 102, 765–774. [Google Scholar] [CrossRef] [PubMed]
  75. Granata, V.; Morana, G.; D’Onofrio, M.; Fusco, R.; Coppola, F.; Grassi, F.; Cappabianca, S.; Reginelli, A.; Maggialetti, N.; Buccicardi, D.; et al. Structured Reporting of Computed Tomography and Magnetic Resonance in the Staging of Pancreatic Adenocarcinoma: A Delphi Consensus Proposal. Diagnostics 2021, 11, 2033. [Google Scholar] [CrossRef] [PubMed]
  76. Yang, H.K.; Park, M.S.; Choi, M.; Shin, J.; Lee, S.S.; Jeong, W.K.; Hwang, S.H.; Choi, S.H. Systematic review and meta-analysis of diagnostic performance of CT imaging for assessing resectability of pancreatic ductal adenocarcinoma after neoadjuvant therapy: Importance of CT criteria. Abdom. Radiol. 2021, 46, 5201–5217. [Google Scholar] [CrossRef]
  77. Granata, V.; Grassi, R.; Fusco, R.; Setola, S.V.; Palaia, R.; Belli, A.; Miele, V.; Brunese, L.; Grassi, R.; Petrillo, A.; et al. Assessment of Ablation Therapy in Pancreatic Cancer: The Radiologist’s Challenge. Front. Oncol. 2020, 10, 560952. [Google Scholar] [CrossRef] [PubMed]
  78. Al-Hawary, M.M.; Francis, I.R.; Chari, S.T.; Fishman, E.K.; Hough, D.M.; Lu, D.S.; Macari, M.; Megibow, A.J.; Miller, F.H.; Mortele, K.J.; et al. Pancreatic ductal adenocarcinoma radiology reporting template: Consensus statement of the society of abdominal radiology and the american pancreatic association. Gastroenterology 2014, 146, 291–304.e1. [Google Scholar] [CrossRef]
  79. Neri, E.; Granata, V.; Montemezzi, S.; Belli, P.; Bernardi, D.; Brancato, B.; Caumo, F.; Calabrese, M.; Coppola, F.; Cossu, E.; et al. Structured reporting of X-ray mammography in the first diagnosis of breast cancer: A Delphi consensus proposal. Radiol. Med. 2022, 127, 471–483. [Google Scholar] [CrossRef]
  80. Granata, V.; Coppola, F.; Grassi, R.; Fusco, R.; Tafuto, S.; Izzo, F.; Reginelli, A.; Maggialetti, N.; Buccicardi, D.; Frittoli, B.; et al. Structured Reporting of Computed Tomography in the Staging of Neuroendocrine Neoplasms: A Delphi Consensus Proposal. Front. Endocrinol. 2021, 12, 748944. [Google Scholar] [CrossRef]
  81. Granata, V.; Faggioni, L.; Grassi, R.; Fusco, R.; Reginelli, A.; Rega, D.; Maggialetti, N.; Buccicardi, D.; Frittoli, B.; Rengo, M.; et al. Structured reporting of computed tomography in the staging of colon cancer: A Delphi consensus proposal. Radiol. Med. 2022, 127, 21–29. [Google Scholar] [CrossRef]
  82. Granata, V.; Grassi, R.; Miele, V.; Larici, A.R.; Sverzellati, N.; Cappabianca, S.; Brunese, L.; Maggialetti, N.; Borghesi, A.; Fusco, R.; et al. Structured Reporting of Lung Cancer Staging: A Consensus Proposal. Diagnostics 2021, 11, 1569. [Google Scholar] [CrossRef]
  83. Granata, V.; Pradella, S.; Cozzi, D.; Fusco, R.; Faggioni, L.; Coppola, F.; Grassi, R.; Maggialetti, N.; Buccicardi, D.; Lacasella, G.V.; et al. Computed Tomography Structured Reporting in the Staging of Lymphoma: A Delphi Consensus Proposal. J. Clin. Med. 2021, 10, 4007. [Google Scholar] [CrossRef]
  84. Neri, E.; Coppola, F.; Larici, A.R.; Sverzellati, N.; Mazzei, M.A.; Sacco, P.; Dalpiaz, G.; Feragalli, B.; Miele, V.; Grassi, R. Structured reporting of chest CT in COVID-19 pneumonia: A consensus proposal. Insights Imaging 2020, 11, 92. [Google Scholar] [CrossRef] [PubMed]
  85. Granata, V.; Fusco, R.; Avallone, A.; Filice, F.; Tatangelo, F.; Piccirillo, M.; Grassi, R.; Izzo, F.; Petrillo, A. Critical analysis of the major and ancillary imaging features of LI-RADS on 127 proven HCCs evaluated with functional and morphological MRI: Lights and shadows. Oncotarget 2017, 8, 51224–51237. [Google Scholar] [CrossRef] [PubMed] [Green Version]
  86. Granata, V.; Fusco, R.; Avallone, A.; Catalano, O.; Filice, F.; Leongito, M.; Palaia, R.; Izzo, F.; Petrillo, A. Major and ancillary magnetic resonance features of LI-RADS to assess HCC: An overview and update. Infect. Agents Cancer 2017, 12, 23. [Google Scholar] [CrossRef] [PubMed] [Green Version]
  87. Lee, D.H.; Kim, B.; Lee, E.S.; Kim, H.J.; Min, J.H.; Lee, J.M.; Choi, M.H.; Seo, N.; Choi, S.H.; Kim, S.H.; et al. Radiologic Evaluation and Structured Reporting Form for Extrahepatic Bile Duct Cancer: 2019 Consensus Recommendations from the Korean Society of Abdominal Radiology. Korean J. Radiol. 2021, 22, 41–62. [Google Scholar] [CrossRef]
  88. Francone, M.; Budde, R.P.J.; Bremerich, J.; Dacher, J.N.; Loewe, C.; Wolf, F.; Natale, L.; Pontone, G.; Redheuil, A.; Vliegenthart, R.; et al. CT and MR imaging prior to transcatheter aortic valve implantation: Standardisation of scanning protocols, measurements and reporting-a consensus document by the European Society of Cardiovascular Radiology (ESCR). Eur. Radiol. 2020, 30, 2627–2650. [Google Scholar] [CrossRef] [PubMed] [Green Version]
  89. Kotter, E.; Pinto Dos Santos, D. Strukturierte Befundung in der Radiologie: Sicht der deutschen und europäischen Fachgesellschaften [Structured reporting in radiology: German and European radiology societies’ point of view]. Radiologe 2021, 61, 979–985. [Google Scholar] [CrossRef]
  90. Available online: www.sirm.org (accessed on 6 June 2022).
  91. Faggioni, L.; Coppola, F.; Ferrari, R.; Neri, E.; Regge, D. Usage of structured reporting in radiological practice: Results from an Italian online survey. Eur. Radiol. 2017, 27, 1934–1943. [Google Scholar] [CrossRef]
  92. Brady, A.P. Radiology reporting-from Hemingway to HAL? Insights Imaging 2018, 9, 237–246. [Google Scholar] [CrossRef] [Green Version]
  93. Berretta, M.; Di Francia, R.; Cazzavillan, S.; Rossi, P.; Scorba, A.; Sciacca, P.G.; Santagà, D. Integrative Medicine in Oncology, Milan October 19th, 2019. WCRJ 2019, 6, e1400. [Google Scholar]
  94. Del Buono, A.; D’orta, A.; Tarro, G.; Rossi, P.; Papa, S.; Iodice, L.; Abbadessa, A.; Montano, L.; Portale, G.; Berretta, M.; et al. Terra dei fuochi, the starting point. The role of prevention and complementary medicine in the clinical practice. WCRJ 2018, 5, e1112. [Google Scholar]
  95. Di Franco, R.; Borzillo, V.; Falivene, S.; Giugliano, F.M.; Cammarota, F.; Ametrano, G.; Muto, M.; Ravo, V.; Romano, F.J.; Rossetti, S.; et al. Radiosurgery of brain metastases with CyberKnife® system: Role of image. WCRJ 2017, 4, e987. [Google Scholar]
  96. Kumarappan, C.T.; Cini, M.J. In vitro cytotoxicity and in vivo acute oral toxicity evaluation of coptis chinensis aqueous extract. WCRJ 2021, 8, e1971. [Google Scholar]
  97. Ramezani, M.; Aalami Aleagha, Z.; Almasi, A.; Khazaei, S.; Oltulu, P.; Sadeghi, M. Expression of MSH-6 immunohistochemistry marker in colorectal cancer. WCRJ 2021, 8, e1989. [Google Scholar]
  98. Pialago, E.L.; Comuelo, R.E.; Tidon, D.; Guzman, J.P. Prognostic value of serum alpha fetoprotein response during pre-operative chemotherapy in hepatoblastoma: A meta-analysis. WCRJ 2021, 8, e1921. [Google Scholar]
  99. Viganò, L.; Bellini, D.; Caruso, F.; Mucllari, S.; Paglioli, E.; Tintori, L.; Viganò, V.; Taibi, R.; Casu, C. Multiple myeloma-oral radiological evidences. WCRJ 2021, 8, e1852. [Google Scholar]
  100. Licito, A.; Marotta, G.; Battaglia, M.; Ottaiano, M.P.; Morra, G.; De Lucia, V.; Daria, R.; Cafiero, C.; Blasio, G. Genotyping panel to assess Hand-Foot Syndrome in T2DM and cancer patients who receive concurrent Platin derivates and Biguanides. WCRJ 2020, 7, e1748. [Google Scholar]
  101. İnci, H.; İnci, F. Complementary and alternative medicine awareness in cancer patients receiving chemotherapy. WCRJ 2020, 7, e1752. [Google Scholar]
  102. Yang, H.; Yang, X.; Liu, H.; Long, H.; Hu, H.; Wang, Q.; Huang, R.; Shan, D.; Li, K.; Lai, W. Placebo modulation in orthodontic pain: A single-blind functional magnetic resonance study. Radiol. Med. 2021, 126, 1356–1365. [Google Scholar] [CrossRef]
  103. Burns, J.; Catanzano, T.M.; Schaefer, P.W.; Agarwal, V.; Kim, D.; Goiffon, R.J.; Jordan, S.G. Structured Reports and Radiology Residents: Friends or Foes? Acad. Radiol. 2020, 29, S43–S47. [Google Scholar] [CrossRef] [PubMed]
  104. Acgme. Diagnostic Radiology Milestones. 2019 The Accreditation Council for Graduate Medical Education. Available online: https://www.acgme.org/Portals/0/PDFs/Milestones/DiagnosticRadiologyMile-stones2.0.pdf?ver=2020-03-10-151835-740 (accessed on 6 June 2022).
  105. Shin, N.; Choi, J.A.; Choi, J.M.; Cho, E.S.; Kim, J.H.; Chung, J.J.; Yu, J.S. Sclerotic changes of cavernous hemangioma in the cirrhotic liver: Long-term follow-up using dynamic contrast-enhanced computed tomography. Radiol. Med. 2020, 125, 1225–1232. [Google Scholar] [CrossRef]
  106. Gabelloni, M.; Di Nasso, M.; Morganti, R.; Faggioni, L.; Masi, G.; Falcone, A.; Neri, E. Application of the ESR iGuide clinical decision support system to the imaging pathway of patients with hepatocellular carcinoma and cholangiocarcinoma: Preliminary findings. Radiol. Med. 2020, 125, 531–537. [Google Scholar] [CrossRef] [PubMed]
  107. Barabino, M.; Gurgitano, M.; Fochesato, C.; Angileri, S.A.; Franceschelli, G.; Santambrogio, R.; Mariani, N.M.; Opocher, E.; Carrafiello, G. LI-RADS to categorize liver nodules in patients at risk of HCC: Tool or a gadget in daily practice? Radiol. Med. 2021, 126, 5–13. [Google Scholar] [CrossRef] [PubMed]
  108. Schicchi, N.; Fogante, M.; Palumbo, P.; Agliata, G.; Esposto Pirani, P.; Di Cesare, E.; Giovagnoni, A. The sub-millisievert era in CTCA: The technical basis of the new radiation dose approach. Radiol. Med. 2020, 125, 1024–1039. [Google Scholar] [CrossRef] [PubMed]
  109. Rega, D.; Pace, U.; Scala, D.; Chiodini, P.; Granata, V.; Fares Bucci, A.; Pecori, B.; Delrio, P. Treatment of splenic flexure colon cancer: A comparison of three different surgical procedures: Experience of a high volume cancer center. Sci. Rep. 2019, 9, 10953. [Google Scholar] [CrossRef] [PubMed] [Green Version]
  110. Fornell-Perez, R.; Vivas-Escalona, V.; Aranda-Sanchez, J.; Gonzalez-Dominguez, M.C.; Rubio-Garcia, J.; Aleman-Flores, P.; Lozano-Rodriguez, A.; Porcel-de-Peralta, G.; Loro-Ferrer, J.F. Primary and post-chemoradiotherapy MRI detection of extramural venous invasion in rectal cancer: The role of diffusion-weighted imaging. Radiol. Med. 2020, 125, 522–530. [Google Scholar] [CrossRef]
  111. Danti, G.; Berti, V.; Abenavoli, E.; Briganti, V.; Linguanti, F.; Mungai, F.; Pradella, S.; Miele, V. Diagnostic imaging of typical lung carcinoids: Relationship between MDCT, (111)In-Octreoscan and (18)F-FDG-PET imaging features with Ki-67 index. Radiol. Med. 2020, 125, 715–729. [Google Scholar] [CrossRef]
  112. Koc, A.; Sezgin, O.S.; Kayipmaz, S. Comparing different planimetric methods on volumetric estimations by using cone beam computed tomography. Radiol. Med. 2020, 125, 398–405. [Google Scholar] [CrossRef]
  113. Neri, E.; Miele, V.; Coppola, F.; Grassi, R. Use of CT and artificial intelligence in suspected or COVID-19 positive patients: Statement of the Italian Society of Medical and Interventional Radiology. Radiol. Med. 2020, 125, 505–508. [Google Scholar] [CrossRef]
  114. Farchione, A.; Larici, A.R.; Masciocchi, C.; Cicchetti, G.; Congedo, M.T.; Franchi, P.; Gatta, R.; Lo Cicero, S.; Valentini, V.; Bonomo, L.; et al. Exploring technical issues in personalized medicine: NSCLC survival prediction by quantitative image analysis-usefulness of density correction of volumetric CT data. Radiol. Med. 2020, 125, 625–635. [Google Scholar] [CrossRef]
  115. Hu, H.T.; Shan, Q.Y.; Chen, S.L.; Li, B.; Feng, S.T.; Xu, E.J.; Li, X.; Long, J.Y.; Xie, X.Y.; Lu, M.D.; et al. CT-based radiomics for preoperative prediction of early recurrent hepatocellular carcinoma: Technical reproducibility of acquisition and scanners. Radiol. Med. 2020, 125, 697–705. [Google Scholar] [CrossRef]
  116. Granata, V.; Fusco, R.; Avallone, A.; De Stefano, A.; Ottaiano, A.; Sbordone, C.; Brunese, L.; Izzo, F.; Petrillo, A. Radiomics-Derived Data by Contrast Enhanced Magnetic Resonance in RAS Mutations Detection in Colorectal Liver Metastases. Cancers 2021, 13, 453. [Google Scholar] [CrossRef] [PubMed]
  117. Granata, V.; Fusco, R.; Risi, C.; Ottaiano, A.; Avallone, A.; De Stefano, A.; Grimm, R.; Grassi, R.; Brunese, L.; Izzo, F.; et al. Diffusion-Weighted MRI and Diffusion Kurtosis Imaging to Detect RAS Mutation in Colorectal Liver Metastasis. Cancers 2020, 12, 2420. [Google Scholar] [CrossRef] [PubMed]
  118. Granata, V.; Fusco, R.; De Muzio, F.; Cutolo, C.; Setola, S.V.; Dell’Aversana, F.; Belli, A.; Romano, C.; Ottaiano, A.; Nasti, G.; et al. Magnetic Resonance Features of Liver Mucinous Colorectal Metastases: What the Radiologist Should Know. J. Clin. Med. 2022, 11, 2221. [Google Scholar] [CrossRef] [PubMed]
  119. Cutolo, C.; Dell’Aversana, F.; Fusco, R.; Grazzini, G.; Chiti, G.; Simonetti, I.; Bruno, F.; Palumbo, P.; Pierpaoli, L.; Valeri, T.; et al. Combined Hepatocellular-Cholangiocarcinoma: What the Multidisciplinary Team Should Know. Diagnostics 2022, 12, 890. [Google Scholar] [CrossRef] [PubMed]
  120. Mildenberger, P. Strukturierte Befundung in der Radiologie: IT-Essentials [Structured reporting in radiology: IT essentials]. Radiologe 2021, 61, 995–998. [Google Scholar] [CrossRef]
  121. Ganeshan, D.; Duong, P.T.; Probyn, L.; Lenchik, L.; McArthur, T.A.; Retrouvey, M.; Ghobadi, E.H.; Desouches, S.L.; Pastel, D.; Francis, I.R. Structured Reporting in Radiology. Acad. Radiol. 2018, 25, 66–73. [Google Scholar] [CrossRef]
  122. Kohli, A.; Castillo, S.; Thakur, U.; Chhabra, A. Structured Reporting in Musculoskeletal Radiology. Semin. Musculoskelet. Radiol. 2021, 25, 641–645. [Google Scholar] [CrossRef]
  123. Radiological Society of North America Informatics Reporting. MR Brain Template. Available online: http://www.radreport.org/txt-mrrt/0000045 (accessed on 6 June 2022).
  124. Boland, G.W.; Duszak, R., Jr. Structured reporting and communication. J. Am. Coll. Radiol. 2015, 12, 1286–1288. [Google Scholar] [CrossRef]
  125. Nobel, J.M.; Kok, E.M.; Robben, S.G.F. Redefining the structure of structured reporting in radiology. Insights Imaging 2020, 11, 10. [Google Scholar] [CrossRef] [Green Version]
  126. Sun, J.; Li, H.; Gao, J.; Li, J.; Li, M.; Zhou, Z.; Peng, Y. Performance evaluation of a deep learning image reconstruction (DLIR) algorithm in “double low” chest CTA in children: A feasibility study. Radiol. Med. 2021, 126, 1181–1188. [Google Scholar] [CrossRef]
Figure 1. Representation of feature extraction and analysis in a radiomics process.
Figure 1. Representation of feature extraction and analysis in a radiomics process.
Jpm 12 01344 g001
Figure 2. HCC EOB-MRI assessment. The lesion shows (arrow) hyperinthense signal on T2-W: (A) sequences, (B) arterial hyperenanchement during arterial phase of contrast study, (C) wash-out appearance during portal phase, and (D) hypointense signal during hepatospecific phase.
Figure 2. HCC EOB-MRI assessment. The lesion shows (arrow) hyperinthense signal on T2-W: (A) sequences, (B) arterial hyperenanchement during arterial phase of contrast study, (C) wash-out appearance during portal phase, and (D) hypointense signal during hepatospecific phase.
Jpm 12 01344 g002
Figure 3. Colorectal mucinous liver metastases, assessed with non-liver-specific contrast agent. The lesion (arrow) shows hypointense signal in T1-W: (A) sequence; (B) very high hyperintense signal in T2-W; (C) restricted diffusion; and targetoid appearance during (D) arterial, (E) portal, and (F) late phase of contrast study.
Figure 3. Colorectal mucinous liver metastases, assessed with non-liver-specific contrast agent. The lesion (arrow) shows hypointense signal in T1-W: (A) sequence; (B) very high hyperintense signal in T2-W; (C) restricted diffusion; and targetoid appearance during (D) arterial, (E) portal, and (F) late phase of contrast study.
Jpm 12 01344 g003
Figure 4. MRI assessment post n-CRT treatment: fibrotic response in T2-W axial (arrow) (A) and sagittal plane (arrow) (B).
Figure 4. MRI assessment post n-CRT treatment: fibrotic response in T2-W axial (arrow) (A) and sagittal plane (arrow) (B).
Jpm 12 01344 g004
Figure 5. Pancreatic cancer patient. MRI staging assessment (arterial (A) and portal (B) phase of contrast study). The arrows show right hepatic artery origin from the superior mesenteric artery.
Figure 5. Pancreatic cancer patient. MRI staging assessment (arterial (A) and portal (B) phase of contrast study). The arrows show right hepatic artery origin from the superior mesenteric artery.
Jpm 12 01344 g005
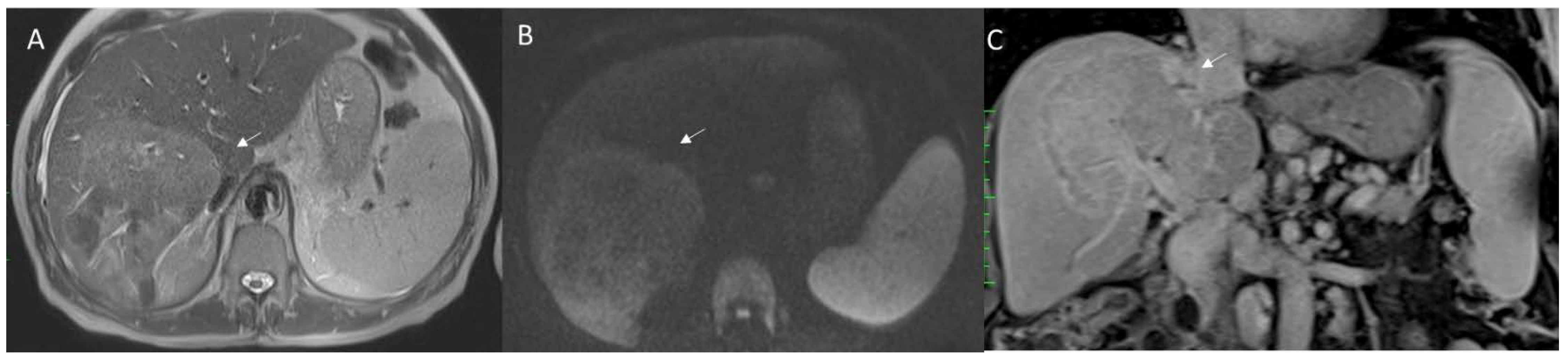
Figure 6. Cholangiocarcinoma patient, classified as LR-M according to LI-RADS, due to targetoid appearance (arrow) in T2-W (A) sequence, in (B) DWI, and (C) late phase of contrast study.
Figure 6. Cholangiocarcinoma patient, classified as LR-M according to LI-RADS, due to targetoid appearance (arrow) in T2-W (A) sequence, in (B) DWI, and (C) late phase of contrast study.
Jpm 12 01344 g006
Publisher’s Note: MDPI stays neutral with regard to jurisdictional claims in published maps and institutional affiliations.

Share and Cite

MDPI and ACS Style

Granata, V.; De Muzio, F.; Cutolo, C.; Dell’Aversana, F.; Grassi, F.; Grassi, R.; Simonetti, I.; Bruno, F.; Palumbo, P.; Chiti, G.; et al. Structured Reporting in Radiological Settings: Pitfalls and Perspectives. J. Pers. Med. 2022, 12, 1344. https://doi.org/10.3390/jpm12081344

AMA Style

Granata V, De Muzio F, Cutolo C, Dell’Aversana F, Grassi F, Grassi R, Simonetti I, Bruno F, Palumbo P, Chiti G, et al. Structured Reporting in Radiological Settings: Pitfalls and Perspectives. Journal of Personalized Medicine. 2022; 12(8):1344. https://doi.org/10.3390/jpm12081344

Chicago/Turabian Style

Granata, Vincenza, Federica De Muzio, Carmen Cutolo, Federica Dell’Aversana, Francesca Grassi, Roberta Grassi, Igino Simonetti, Federico Bruno, Pierpaolo Palumbo, Giuditta Chiti, and et al. 2022. "Structured Reporting in Radiological Settings: Pitfalls and Perspectives" Journal of Personalized Medicine 12, no. 8: 1344. https://doi.org/10.3390/jpm12081344

APA Style

Granata, V., De Muzio, F., Cutolo, C., Dell’Aversana, F., Grassi, F., Grassi, R., Simonetti, I., Bruno, F., Palumbo, P., Chiti, G., Danti, G., & Fusco, R. (2022). Structured Reporting in Radiological Settings: Pitfalls and Perspectives. Journal of Personalized Medicine, 12(8), 1344. https://doi.org/10.3390/jpm12081344

Note that from the first issue of 2016, this journal uses article numbers instead of page numbers. See further details here.

Article Metrics

Back to TopTop