Peri-Operative Management of Patients Undergoing Fenestrated-Branched Endovascular Repair for Juxtarenal, Pararenal and Thoracoabdominal Aortic Aneurysms: Preventing, Recognizing and Treating Complications to Improve Clinical Outcomes
Abstract
1. Introduction
2. Pre-Operative Evaluation and Patient Selection
3. Frequency and Impact of Post-Operative Complications after F/BEVAR and How They May Affect Outcomes and Costs Compared to EVAR
4. Ischemic vs. Hemorrhagic Complications: The Relevance and Balance of Antithrombotic Drugs
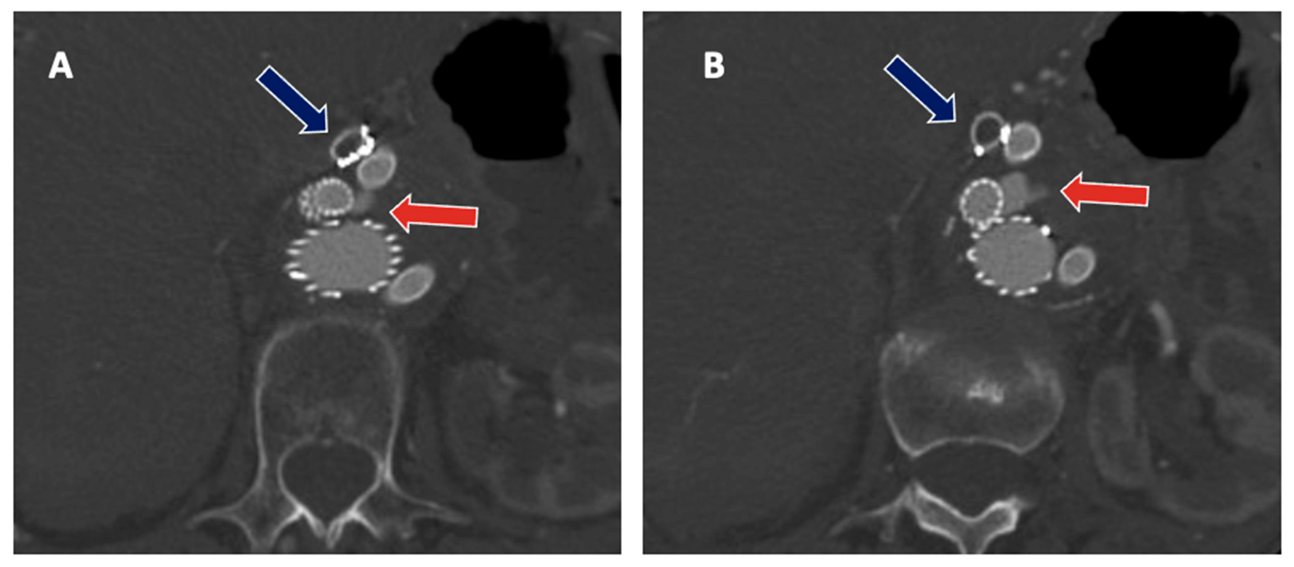
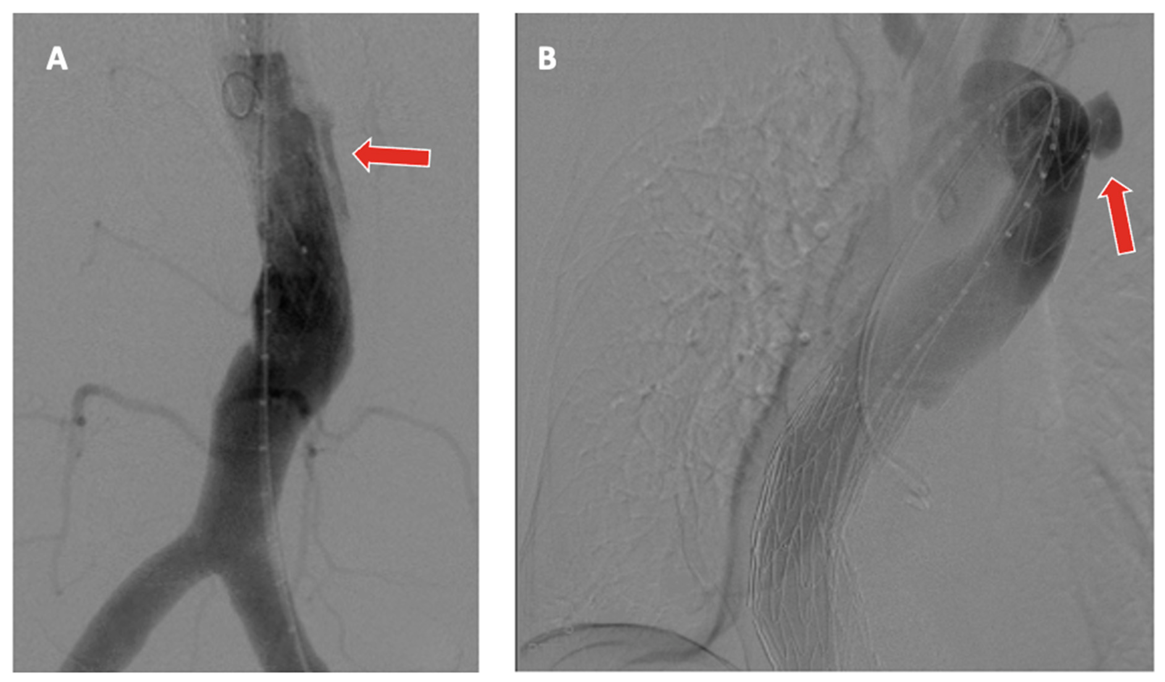
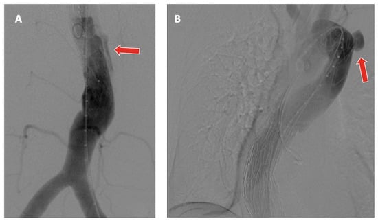
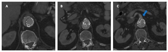
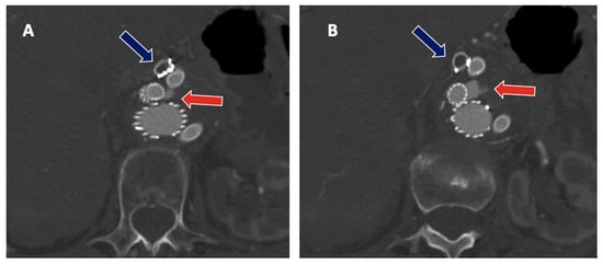
5. Intraoperative Endograft-Related and Target Vessels-Related Complications
6. Neurologic Complications: Stroke and Spinal Cord Ischemia
7. Acute Kidney Injury and Other Ischemic Complications (e.g., Ischemia of the Bowel or Lower Extremity)
8. Manufacturing Time-Related Adverse Events
9. Gaps in Knowledge, Implications for Practice, and Future Directions of Research
10. Conclusions
Author Contributions
Funding
Institutional Review Board Statement
Informed Consent Statement
Data Availability Statement
Conflicts of Interest
References
- Buck, D.B.; Van Herwaarden, J.A.; Schermerhorn, M.L.; Moll, F.L. Endovascular treatment of abdominal aortic aneurysms. Nat. Rev. Cardiol. 2014, 11, 112–123. [Google Scholar] [CrossRef] [PubMed]
- XiaoHui, M.; Wei, G.; ZhongZhou, H.; XiaoPing, L.; Jiang, X.; Xin, J. Endovascular Repair with Chimney Technique for Juxtarenal Aortic Aneurysm: A Single Center Experience. Eur. J. Vasc. Endovasc. Surg. 2015, 49, 271–276. [Google Scholar] [CrossRef]
- Qamhawi, Z.; Barge, T.F.; Makris, G.C.; Patel, R.; Wigham, A.; Anthony, S.; Uberoi, R. Editor’s Choice—Systematic Review of the Use of Endoanchors in Endovascular Aortic Aneurysm Repair. Eur. J. Vasc. Endovasc. Surg. 2020, 59, 748–756. [Google Scholar] [CrossRef] [PubMed]
- Menegolo, M.; Xodo, A.; Penzo, M.; Piazza, M.; Squizzato, F.; Colacchio, E.C.; Grego, F.; Antonello, M. Open repair versus EVAR with parallel grafts in patients with juxtarenal abdominal aortic aneurysm excluded from fenestrated endografting. J. Cardiovasc. Surg. 2021, 62, 483–495. [Google Scholar] [CrossRef]
- Donas, K.P.; Lee, J.T.; Lachat, M.; Torsello, G.; Veith, F.J. Collected world experience about the performance of the snorkel/chimney endovascular technique in the treatment of complex aortic pathologies: The PERICLES registry. Ann. Surg. 2015, 262, 546–553. [Google Scholar] [CrossRef]
- Pitoulias, G.A.; Fazzini, S.; Donas, K.P.; Scali, S.T.; D’Oria, M.; Torsello, G.; Veith, F.J.; Puchner, S.B. Multicenter Mid-Term Outcomes of the Chimney Technique in the Elective Treatment of Degenerative Pararenal Aortic Aneurysms. J. Endovasc. Ther. 2021, 29, 226–239. [Google Scholar] [CrossRef] [PubMed]
- Arko, F.R.; Stanley, G.A.; Pearce, B.J.; Henretta, J.P.; Fugate, M.W.; Mehta, M.; Torsello, G.; Panneton, J.M.; Garrett, H.E. Endosuture aneurysm repair in patients treated with Endurant II/IIs in conjunction with Heli-FX EndoAnchor implants for short-neck abdominal aortic aneurysm. J. Vasc. Surg. 2019, 70, 732–740. [Google Scholar] [CrossRef] [PubMed]
- Donas, K.P.; Torsello, G.B.; Piccoli, G.; Pitoulias, G.; Bisdas, T.; Austermann, M.; Gasparini, D. The PROTAGORAS study to evaluate the performance of the Endurant stent graft for patients with pararenal pathologic processes treated by the chimney/snorkel endovascular technique. J. Vasc. Surg. 2016, 63, 1–7. [Google Scholar] [CrossRef] [PubMed]
- Anderson, J.L.; Berce, M.; Hartley, D.E. Endoluminal Aortic Grafting with Renal and Superior Mesenteric Artery Incorporation by Graft Fenestration. J. Endovasc. Ther. 2001, 8, 3–15. [Google Scholar] [CrossRef] [PubMed]
- Chuter, T.A.; Gordon, R.L.; Reilly, L.M.; Goodman, J.D.; Messina, L.M. An Endovascular System for Thoracoabdominal Aortic Aneurysm Repair. J. Endovasc. Ther. 2001, 8, 25–33. [Google Scholar] [CrossRef] [PubMed]
- Oderich, G.S.; Tenorio, E.R.; Mendes, B.C.; Lima, G.B.B.; Marcondes, G.B.; Saqib, N.; Hofer, J.; Wong, J.; Macedo, T.A. Midterm Outcomes of a Prospective, Nonrandomized Study to Evaluate Endovascular Repair of Complex Aortic Aneurysms Using Fenestrated-Branched Endografts. Ann. Surg. 2021, 274, 491–499. [Google Scholar] [CrossRef] [PubMed]
- Suckow, B.D.; Goodney, P.P.; Columbo, J.; Kang, R.; Stone, D.H.; Sedrakyan, A.; Cronenwett, J.L.; Fillinger, M.F. National trends in open surgical, endovascular, and branched-fenestrated endovascular aortic aneurysm repair in Medicare patients. J. Vasc. Surg. 2017, 67, 1690–1697.e1. [Google Scholar] [CrossRef] [PubMed]
- Tong, M.Z.; Eagleton, M.J.; Roselli, E.E.; Blackstone, E.H.; Xiang, F.; Ibrahim, M.; Johnston, D.R.; Soltesz, E.G.; Bakaeen, F.G.; Lyden, S.P.; et al. Outcomes of Open Versus Endovascular Repair of Descending Thoracic and Thoracoabdominal Aortic Aneurysms. Ann. Thorac. Surg. 2021, 113, 1144–1152. [Google Scholar] [CrossRef] [PubMed]
- Schepens, M.A.; Brande, F.G.V.D. Patient selection for open thoracoabdominal aneurysm repair. Ann. Cardiothorac. Surg. 2012, 1, 358–364. [Google Scholar] [CrossRef]
- Schepens, M.A.; Kelder, J.C.; Morshuis, W.J.; Heijmen, R.H.; van Dongen, E.P.; ter Beek, H.T. Long-Term Follow-Up After Thoracoabdominal Aortic Aneurysm Repair. Ann. Thorac. Surg. 2007, 83, S851–S855. [Google Scholar] [CrossRef]
- Sweeting, M.; Patel, R.; Powell, J.T.; Greenhalgh, R.M.; EVAR Trial Investigators. Endovascular Repair of Abdominal Aortic Aneurysm in Patients Physically Ineligible for Open Repair: Very Long-term Follow-up in the EVAR-2 Randomized Controlled Trial. Ann. Surg. 2017, 266, 713–719. [Google Scholar] [CrossRef]
- DeMartino, R.R.; Huang, Y.; Mandrekar, J.; Goodney, P.P.; Oderich, G.S.; Kalra, M.; Bower, T.C.; Cronenwett, J.L.; Gloviczki, P. External validation of a 5-year survival prediction model after elective abdominal aortic aneurysm repair. J. Vasc. Surg. 2017, 67, 151–156.e3. [Google Scholar] [CrossRef]
- Squizzato, F.; Antonello, M.; Taglialavoro, J.; Prosdocimi, L.; Grego, F.; Lupia, M.; Piazza, M. Clinical Impact of Routine Cardiology Consultation Prior to Elective Carotid Endarterectomy in Neurologically Asymptomatic Patients. Eur. J. Vasc. Endovasc. Surg. 2020, 59, 536–544. [Google Scholar] [CrossRef]
- Karkos, C.D. What is Appropriate Coronary Assessment Prior to Abdominal Aortic Surgery?—ScienceDirect. Eur. J. Vasc. Endovasc. Surg. 2003, 25, 487–492. [Google Scholar] [CrossRef]
- Horlocker, T.; Vandermeuelen, E.; Kopp, S.; Gogarten, W.; Leffert, L.; Benzon, H. Regional Anesthesia in the Patient Receiving Antithrombotic or Thrombolytic Therapy: American Society of Regional Anesthesia and Pain Medicine Evidence-based Guidelines (Fourth Edition). Obstet. Anesth. Dig. 2019, 39, 28–29. [Google Scholar] [CrossRef]
- Mezzetto, L.; Scorsone, L.; Silingardi, R.; Gennai, S.; Piffaretti, G.; Mantovani, A.; Bush, R.L.; Haulon, S.; Veraldi, G.F. Bridging Stents in Fenestrated and Branched Endovascular Aneurysm Repair: A Systematic REVIEW. Ann. Vasc. Surg. 2020, 73, 454–462. [Google Scholar] [CrossRef] [PubMed]
- Kärkkäinen, J.M.; Tenorio, E.; Oksala, N.; Macedo, T.A.; Sen, I.; Mendes, B.C.; DeMartino, R.R.; Jacobs, M.J.; Mees, B.; Oderich, G.S. Pre-operative Psoas Muscle Size Combined With Radiodensity Predicts Mid-Term Survival and Quality of Life After Fenestrated-Branched Endovascular Aortic Repair. Eur. J. Vasc. Endovasc. Surg. 2020, 59, 31–39. [Google Scholar] [CrossRef] [PubMed]
- Glebova, N.O.; Selvarajah, S.; Orion, K.C.; Black, J.H.; Malas, M.B.; Perler, B.A.; Abularrage, C.J. Fenestrated endovascular repair of abdominal aortic aneurysms is associated with increased morbidity but comparable mortality with infrarenal endovascular aneurysm repair. J. Vasc. Surg. 2015, 61, 604–610. [Google Scholar] [CrossRef] [PubMed]
- Locham, S.; Faateh, M.; Dhaliwal, J.; Nejim, B.; Dakour-Aridi, H.; Malas, M.B. Outcomes and cost of fenestrated versus standard endovascular repair of intact abdominal aortic aneurysm in the United States. J. Vasc. Surg. 2018, 69, 1036–1044.e1. [Google Scholar] [CrossRef] [PubMed]
- Oderich, G.S.; Forbes, T.L.; Chaer, R.; Davies, M.G.; Lindsay, T.F.; Mastracci, T.; Singh, M.J.; Timaran, C.; Woo, E.Y. Reporting standards for endovascular aortic repair of aneurysms involving the renal-mesenteric arteries. J. Vasc. Surg. 2020, 73, 4S–52S. [Google Scholar] [CrossRef] [PubMed]
- Tenorio, E.R.; Kärkkäinen, J.M.; Mendes, B.C.; DeMartino, R.R.; Macedo, T.A.; Diderrich, A.; Hofer, J.; Oderich, G.S. Outcomes of directional branches using self-expandable or balloon-expandable stent grafts during endovascular repair of thoracoabdominal aortic aneurysms. J. Vasc. Surg. 2019, 71, 1489–1502.e6. [Google Scholar] [CrossRef]
- Diamond, K.R.; Simons, J.P.; Crawford, A.S.; Arous, E.J.; Judelson, D.R.; Aiello, F.; Jones, D.W.; Messina, L.; Schanzer, A. Effect of thoracoabdominal aortic aneurysm extent on outcomes in patients undergoing fenestrated/branched endovascular aneurysm repair. J. Vasc. Surg. 2021, 74, 833–842.e2. [Google Scholar] [CrossRef] [PubMed]
- Alberga, A.J.; von Meijenfeldt, G.C.I.; Rastogi, V.; de Bruin, J.L.; Wever, J.J.; van Herwaarden, J.A.; Hamming, J.F.; Hazenberg, C.E.V.B.; van Schaik, J.; Mees, B.M.E.; et al. Association of Hospital Volume with Perioperative Mortality of Endovascular Repair of Complex Aortic Aneurysms: A Nationwide Cohort Study. J. Vasc. Surg. 2022, 75, 1492. [Google Scholar] [CrossRef]
- Scali, S.T.; Beck, A.; Sedrakyan, A.; Mao, J.; Behrendt, C.-A.; Boyle, J.R.; Venermo, M.; Faizer, R.; Schermerhorn, M.; Beiles, B.; et al. Editor’s Choice—Optimal Threshold for the Volume–Outcome Relationship After Open AAA Repair in the Endovascular Era: Analysis of the International Consortium of Vascular Registries. Eur. J. Vasc. Endovasc. Surg. 2021, 61, 747–755. [Google Scholar] [CrossRef]
- Mirza, A.K.; Tenorio, E.; Kärkkäinen, J.M.; Hofer, J.; Macedo, T.; Cha, S.; Ozbek, P.; Oderich, G.S. Learning curve of fenestrated and branched endovascular aortic repair for pararenal and thoracoabdominal aneurysms. J. Vasc. Surg. 2020, 72, 423–434.e1. [Google Scholar] [CrossRef]
- D’Oria, M.; Scali, S.; Mao, J.; Szeberin, Z.; Thomson, I.; Beiles, B.; Stone, D.; Sedrakyan, A.; Eldrup, N.; Venermo, M.; et al. Association Between Hospital Volume and Failure to Rescue After Open or Endovascular Repair of Intact Abdominal Aortic Aneurysms in the VASCUNET and International Consortium of Vascular Registries. Ann. Surg. 2021, 274, e452–e459. [Google Scholar] [CrossRef]
- Berghmans, C.H.J.; Lübke, T.; Brunkwall, J.S. A Cost Calculation of EVAR and FEVAR Procedures at an European Academic Hospital. Ann. Vasc. Surg. 2019, 54, 205–214. [Google Scholar] [CrossRef] [PubMed]
- D’Oria, M.; Wanhainen, A.; DeMartino, R.R.; Oderich, G.S.; Lepidi, S.; Mani, K. A scoping review of the rationale and evidence for cost-effectiveness analysis of fenestrated-branched endovascular repair for intact complex aortic aneurysms. J. Vasc. Surg. 2020, 72, 1772–1782. [Google Scholar] [CrossRef] [PubMed]
- Pini, R.; Faggioli, G.; Fenelli, C.; Gallitto, E.; Mascoli, C.; Spath, P.; Gargiulo, M. Intracranial Hemorrhage After Endovascular Repair of Thoracoabdominal Aortic Aneurysm. J. Endovasc. Ther. 2021, 28, 897–905. [Google Scholar] [CrossRef] [PubMed]
- Sen, I.; Tenorio, E.; Mirza, A.K.; Kärkkäinen, J.M.; Mendes, B.C.; DeMartino, R.R.; Cha, S.; Oderich, G.S. Effect of Blood Loss and Transfusion Requirements on Clinical Outcomes of Fenestrated-Branched Endovascular Aortic Repair. Cardiovasc. Interv. Radiol. 2020, 43, 1600–1607. [Google Scholar] [CrossRef] [PubMed]
- D’Oria, M.; Bertoglio, L.; Bignamini, A.A.; Mani, K.; Kölbel, T.; Oderich, G.; Chiesa, R.; Lepidi, S.; Abisi, S.; Adam, D.; et al. PRINciples of optimal antithrombotiC therapy and coagulation managEment during elective fenestrated and branched EndovaScular aortic repairS (PRINCE2SS): An International Expert Based Delphi Consensus Study. Eur. J. Vasc. Endovasc. Surg. 2022. [Google Scholar] [CrossRef] [PubMed]
- Troisi, N.; Baccellieri, D.; Biscetti, F.; D’Oria, M.; Esponda, O.; Rube, R.L.; Lecuona, N.; Grau, M.O.; Cebrian, J.P.; Pandey, S.R.; et al. IUA position statement on perioperative drug and hemostasis management in vascular surgery. Int. Angiol. 2022. [Google Scholar] [CrossRef]
- Piazza, M.; Squizzato, F.; Xodo, A.; Saviane, G.; Forcella, E.; Pont, C.D.; Grego, F.; Antonello, M. Determination of Optimal and Safest Proximal Sealing Length During Thoracic Endovascular Aortic Repair. Eur. J. Vasc. Endovasc. Surg. 2021, 62, 423–430. [Google Scholar] [CrossRef]
- Huang, I.K.H.; Renani, S.A.; Morgan, R.A. Complications and Reinterventions After Fenestrated and Branched EVAR in Patients with Paravisceral and Thoracoabdominal Aneurysms. Cardiovasc. Interv. Radiol. 2018, 41, 985–997. [Google Scholar] [CrossRef]
- Piazza, M.; Squizzato, F.; Xodo, A.; Gubert, A.; Grego, F.; Antonello, M. Effect of branch length and tortuosity on the outcomes of branched endovascular repair of thoracoabdominal aneurysms using self-expandable bridging stent-graft. J. Vasc. Surg. 2020, 74, 363–371. [Google Scholar] [CrossRef]
- Gallitto, E.; Faggioli, G.; Pini, R.; Mascoli, C.; Ancetti, S.; Abualhin, M.; Stella, A.; Gargiulo, M. Renal Artery Orientation Influences the Renal Outcome in Endovascular Thoraco-abdominal Aortic Aneurysm Repair. Eur. J. Vasc. Endovasc. Surg. 2018, 56, 382–390. [Google Scholar] [CrossRef] [PubMed]
- Mezzetto, L.; Mastrorilli, D.; Leone, N.; Gennai, S.; Silingardi, R.; Veraldi, G.F.; Piazza, M.; Squizzato, F.; Antonello, M. Preliminary Outcomes of Viabahn Balloon-Expandable Endoprosthesis as Bridging Stent in Renal Arteries During Fenestrated Endovascular Aortic Repair. J. Endovasc. Ther. 2021, 28, 575–584. [Google Scholar] [CrossRef] [PubMed]
- Goudeketting, S.R.; Heinen, S.G.; Ünlü, Ç.; van den Heuvel, D.A.; de Vries, J.P.P.; van Strijen, M.J.; Sailer, A.M. Pros and Cons of 3D Image Fusion in Endovascular Aortic Repair: A Systematic Review and Meta-analysis. J. Endovasc. Ther. 2017, 24, 595–603. [Google Scholar] [CrossRef] [PubMed]
- Mezzetto, L.; Mastrorilli, D.; Abatucci, G.; Scorsone, L.; Macrì, M.; Criscenti, P.; Onorati, F.; Gennai, S.; Veraldi, E.; Veraldi, G.F. Impact of Cone Beam Computed Tomography in Advanced Endovascular Aortic Aneurysm Repair Using Last Generation 3D C-arm. Ann. Vasc. Surg. 2021, 78, 132–140. [Google Scholar] [CrossRef] [PubMed]
- Tenorio, E.; Oderich, G.S.; Sandri, G.A.; Ozbek, P.; Kärkkäinen, J.M.; Vrtiska, T.; Macedo, T.A.; Gloviczki, P. Prospective nonrandomized study to evaluate cone beam computed tomography for technical assessment of standard and complex endovascular aortic repair. J. Vasc. Surg. 2019, 71, 1982–1993.e5. [Google Scholar] [CrossRef] [PubMed]
- Gennai, S.; Leone, N.; Saitta, G.; Migliari, M.; Lauricella, A.; Farchioni, L.; Silingardi, R. Intravascular Ultrasound in Branched and Fenestrated Endovascular Aneurysm Repair: Initial Experience in a Single-Center Cohort Study. J. Endovasc. Ther. 2021, 28, 828–836. [Google Scholar] [CrossRef] [PubMed]
- Usai, M.V.; Oberhuber, A.; Asciutto, G. Assessment of Bridging Stent Grafts in Branched Endovascular Aortic Repair (EVAR) Procedures Using Intravascular Ultrasound (IVUS). EJVES Vasc. Forum 2020, 47, 51–54. [Google Scholar] [CrossRef] [PubMed]
- Squizzato, F.; Piazza, M.; Vio, E.; Dall’Antonia, A.; Grego, F.; Antonello, M. Possible Added Value of Intravascular Ultrasound in the Evaluation of the Bridging Grafts in Branched Aortic Stent-Grafting. Cardiovasc. Interv. Radiol. 2021, 44, 1469–1472. [Google Scholar] [CrossRef]
- Verzini, F.; Loschi, D.; De Rango, P.; Ferrer, C.; Simonte, G.; Coscarella, C.; Pogany, G.; Cao, P. Current results of total endovascular repair of thoracoabdominal aortic aneurysms. J. Cardiovasc. Surg. 2014, 55, 9–19. [Google Scholar]
- Tenorio, E.R.; Dias-Neto, M.F.; Lima, G.B.B.; Estrera, A.L.; Oderich, G.S. Endovascular repair for thoracoabdominal aortic aneurysms: Current status and future challenges. Ann. Cardiothorac. Surg. 2021, 10, 744–767. [Google Scholar] [CrossRef] [PubMed]
- Spanos, K.; Kölbel, T.; Kubitz, J.C.; Wipper, S.; Konstantinou, N.; Heidemann, F.; Rohlffs, F.; Debus, S.E.; Tsilimparis, N. Risk of spinal cord ischemia after fenestrated or branched endovascular repair of complex aortic aneurysms. J. Vasc. Surg. 2018, 69, 357–366. [Google Scholar] [CrossRef] [PubMed]
- Riambau, V.; Böckler, D.; Brunkwall, J.; Cao, P.; Chiesa, R.; Coppi, G.; Czerny, M.; Fraedrich, G.; Haulon, S.; Jacobs, M.J. Editor’s Choice—Management of Descending Thoracic Aorta Diseases: Clinical Practice Guidelines of the European Society for Vascular Surgery (ESVS). Eur. J. Vasc. Endovasc. Surg. 2017, 53, 4–52. [Google Scholar] [CrossRef] [PubMed]
- Tenorio, E.R.; Balachandran, P.W.; Marcondes, G.B.; Lima, G.B.; Boba, L.M.; Mendes, B.C.; Macedo, T.A.; Oderich, G.S. Incidence, predictive factors, and outcomes of intraprocedure adverse events during fenestrated-branched endovascular aortic repair of complex abdominal and thoracoabdominal aortic aneurysms. J. Vasc. Surg. 2021, 75, 783–793. [Google Scholar] [CrossRef] [PubMed]
- Heidemann, F.; Kölbel, T.; Kuchenbecker, J.; Kreutzburg, T.; Debus, E.S.; Larena-Avellaneda, A.; Dankhoff, M.; Behrendt, C.-A. Incidence, predictors, and outcomes of spinal cord ischemia in elective complex endovascular aortic repair: An analysis of health insurance claims. J. Vasc. Surg. 2020, 72, 837–848. [Google Scholar] [CrossRef] [PubMed]
- Pini, R.; Faggioli, G.; Paraskevas, K.I.; Alaidroos, M.; Palermo, S.; Gallitto, E.; Gargiulo, M. A systematic review and meta-analysis of the occurrence of spinal cord ischemia after endovascular repair of thoracoabdominal aortic aneurysms. J. Vasc. Surg. 2021, 75, 1466–1477.e8. [Google Scholar] [CrossRef]
- Branzan, D.; Etz, C.D.; Moche, M.; Von Aspern, K.; Staab, H.; Fuchs, J.; Bergh, F.T.; Scheinert, D.; Schmidt, A. Ischaemic preconditioning of the spinal cord to prevent spinal cord ischaemia during endovascular repair of thoracoabdominal aortic aneurysm: First clinical experience. EuroIntervention 2018, 14, 828–835. [Google Scholar] [CrossRef]
- Haunschild, J.; Von Aspern, K.; Misfeld, M.; Davierwala, P.; Borger, M.A.; Etz, C.D. Spinal cord protection in thoracoabdominal aortic aneurysm surgery: A multimodal approach. J. Cardiovasc. Surg. 2021, 62, 316–325. [Google Scholar] [CrossRef]
- Bertoglio, L.; Kahlberg, A.; Gallitto, E.; Fargion, A.; Isernia, G.; Faggioli, G.; Melissano, G.; Lenti, M.; Pratesi, C.; Gargiulo, M.; et al. Role of historical and procedural staging during elective fenestrated and branched endovascular treatment of extensive thoracoabdominal aortic aneurysms. J. Vasc. Surg. 2021, 75, 1501–1511. [Google Scholar] [CrossRef]
- D’Oria, M.; Mastrorilli, D.; DeMartino, R.; Lepidi, S. Current Status of Endovascular Preservation of the Internal Iliac Artery with Iliac Branch Devices (IBD). Cardiovasc. Interv. Radiol. 2019, 42, 935–948. [Google Scholar] [CrossRef]
- D’Oria, M.; Pitoulias, G.A.; Torsello, G.F.; Pitoulias, A.G.; Fazzini, S.; Masciello, F.; Verzini, F.; Donas, K.P.; Taneva, G.T.; Austermann, M.; et al. Bilateral Use of Iliac Branch Devices for Aortoiliac Aneurysms Is Safe and Feasible, and Procedural Volume Does Not Seem to Affect Technical or Clinical Effectiveness: Early and Midterm Results From the pELVIS International Multicentric Registry. J. Endovasc. Ther. 2021, 28, 585–592. [Google Scholar] [CrossRef]
- D’Oria, M.; Tenorio, E.R.; Oderich, G.S.; DeMartino, R.R.; Kalra, M.; Shuja, F.; Colglazier, J.J.; Mendes, B.C. Outcomes of Unilateral Versus Bilateral Use of the Iliac Branch Endoprosthesis for Elective Endovascular Treatment of Aorto-iliac Aneurysms. Cardiovasc. Interv. Radiol. 2022, 22, 1–11. [Google Scholar] [CrossRef] [PubMed]
- Maurel, B.; Delclaux, N.; Sobocinski, J.; Hertault, A.; Martin-Gonzalez, T.; Moussa, M.; Spear, R.; Le Roux, M.; Azzaoui, R.; Tyrrell, M.; et al. Editor’s Choice—The Impact of Early Pelvic and Lower Limb Reperfusion and Attentive Peri-operative Management on the Incidence of Spinal Cord Ischemia During Thoracoabdominal Aortic Aneurysm Endovascular Repair. Eur. J. Vasc. Endovasc. Surg. 2015, 49, 248–254. [Google Scholar] [CrossRef] [PubMed]
- Bertoglio, L.; Loschi, D.; Grandi, A.; Melloni, A.; Bilman, V.; Melissano, G.; Chiesa, R. Early Limb Reperfusion Using Routinely Preloaded Fenestrated Stent-graft Designs for Complex Endovascular Aortic Procedures. Cardiovasc. Interv. Radiol. 2020, 43, 1868–1880. [Google Scholar] [CrossRef] [PubMed]
- Spanos, K.; Kölbel, T.; Scheerbaum, M.; Donas, K.P.; Austermann, M.; Rohlffs, F.; Verzini, F.; Tsilimparis, N.; Bosiers, M.; Inchingolo, M.; et al. Iliac Branch Devices with Standard vs. Fenestrated/Branched Stent-Grafts: Does Aneurysm Complexity Produce Worse Outcomes? Insights from the pELVIS Registry. J. Endovasc. Ther. 2020, 27, 910–916. [Google Scholar] [CrossRef] [PubMed]
- D’Oria, M.; Budtz-Lilly, J.; Wanhainen, A.; Lindstrom, D.; Tegler, G.; Mani, K. Short-term and Mid-term Outcomes after Use of the Native Infrarenal Aorta as Distal Landing Zone for Fenestrated-Branched Endovascular Aortic Repair. Ann. Vasc. Surg. 2020, 72, 114–123. [Google Scholar] [CrossRef]
- Law, Y.; Kölbel, T.; Rohlffs, F.; Behrendt, C.-A.; Heidemann, F.; Debus, E.S.; Tsilimparis, N. Safety and durability of infrarenal aorta as distal landing zone in fenestrated or branched endograft repair for thoracoabdominal aneurysm. J. Vasc. Surg. 2018, 69, 334–340. [Google Scholar] [CrossRef]
- Lima, G.B.; Tenorio, E.R.; Marcondes, G.B.; Wong, J.; Saqib, N.; Mendes, B.C.; De Luccia, N.; Oderich, G.S. Differences in procedural metrics and clinical outcomes among patients treated by fenestrated-branched endovascular repair of thoracoabdominal aortic aneurysms using infrarenal aortic versus iliac sealing zones. J. Vasc. Surg. 2021, 74, 1464–1471.e3. [Google Scholar] [CrossRef]
- Kitpanit, N.; Ellozy, S.H.; Connolly, P.H.; Agrusa, C.J.; Lichtman, A.D.; Schneider, D.B. Risk factors for spinal cord injury and complications of cerebrospinal fluid drainage in patients undergoing fenestrated and branched endovascular aneurysm repair. J. Vasc. Surg. 2020, 73, 399–409.e1. [Google Scholar] [CrossRef]
- Kärkkäinen, J.M.; Cirillo-Penn, N.C.; Sen, I.; Tenorio, E.; Mauermann, W.J.; Gilkey, G.D.; Kaufmann, T.J.; Oderich, G.S. Cerebrospinal fluid drainage complications during first stage and completion fenestrated-branched endovascular aortic repair. J. Vasc. Surg. 2019, 71, 1109–1118.e2. [Google Scholar] [CrossRef]
- Tenorio, E.R.; Ribeiro, M.S.; Banga, P.V.; Mendes, B.C.; Kärkkäinen, J.; DeMartino, R.R.; Hoffman, E.M.; Oderich, G.S. Prospective Assessment of a Protocol Using Neuromonitoring, Early Limb Reperfusion, and Selective Temporary Aneurysm Sac Perfusion to Prevent Spinal Cord Injury During Fenestrated-branched Endovascular Aortic Repair. J. Vasc. Surg. 2021, 73, 1829. [Google Scholar] [CrossRef]
- Mirza, A.K.; Oderich, G.S.; Sandri, G.A.; Tenorio, E.; Davila, V.J.; Kärkkäinen, J.M.; Hofer, J.; Cha, S. Outcomes of upper extremity access during fenestrated-branched endovascular aortic repair. J. Vasc. Surg. 2018, 69, 635–643. [Google Scholar] [CrossRef]
- Fiorucci, B.; Kölbel, T.; Rohlffs, F.; Heidemann, F.; Debus, S.E.; Tsilimparis, N. Right brachial access is safe for branched endovascular aneurysm repair in complex aortic disease. J. Vasc. Surg. 2017, 66, 360–366. [Google Scholar] [CrossRef] [PubMed]
- Chini, J.; Mendes, B.C.; Tenorio, E.R.; Ribeiro, M.S.; Sandri, G.A.; Cha, S.; Hofer, J.; Oderich, G.S. Preloaded Catheters and Guide-Wire Systems to Facilitate Catheterization During Fenestrated and Branched Endovascular Aortic Repair. Cardiovasc. Interv. Radiol. 2019, 42, 1678–1686. [Google Scholar] [CrossRef] [PubMed]
- Eilenberg, W.; Kölbel, T.; Rohlffs, F.; Oderich, G.; Eleshra, A.; Tsilimparis, N.; Debus, S.; Panuccio, G. Comparison of transfemoral versus upper extremity access to antegrade branches in branched endovascular aortic repair. J. Vasc. Surg. 2020, 73, 1498–1503. [Google Scholar] [CrossRef]
- D’Oria, M.; Kärkkäinen, J.M.; Tenorio, E.; Oderich, G.S.; Mendes, B.C.; Shuja, F.; Colglazier, J.; DeMartino, R.R. Perioperative Outcomes of Carotid–Subclavian Bypass or Transposition versus Endovascular Techniques for Left Subclavian Artery Revascularization during Nontraumatic Zone 2 Thoracic Endovascular Aortic Repair in the Vascular Quality Initiative. Ann. Vasc. Surg. 2020, 69, 17–26. [Google Scholar] [CrossRef] [PubMed]
- D’Oria, M.; Mani, K.; DeMartino, R.; Czerny, M.; Donas, K.P.; Wanhainen, A.; Lepidi, S. Narrative review on endovascular techniques for left subclavian artery revascularization during thoracic endovascular aortic repair and risk factors for post-operative stroke. Interact. Cardiovasc. Thorac. Surg. 2021, 32, 764–772. [Google Scholar] [CrossRef]
- Piffaretti, G.; Pratesi, G.; Gelpi, G.; Galli, M.; Criado, F.J.; Antonello, M.; Fontana, F.; Piacentino, F.; Macchi, E.; Tozzi, M.; et al. Comparison of Two Different Techniques for Isolated Left Subclavian Artery Revascularization During Thoracic Endovascular Aortic Repair in Zone. J. Endovasc. Ther. 2018, 25, 740–749. [Google Scholar] [CrossRef] [PubMed]
- Bertoglio, L.; Salvati, S.; Fittipaldi, A.; Melloni, A.; Kahlberg, A.; Cambiaghi, T.; Melissano, G.; Chiesa, R. Carotid to subclavian bypass and Amplatzer vascular plug subclavian endovascular occlusion before thoracic open or endovascular repair. J. Vasc. Surg. 2020, 71, 1480–1488.e1. [Google Scholar] [CrossRef]
- Tsilimparis, N.; Prendes, C.F.; Rouhani, G.; Adam, D.; Dias, N.; Stana, J.; Rohlffs, F.; Mani, K.; Wanhainen, A.; Kölbel, T. Pre-Loaded Fenestrated Thoracic Endografts for Distal Aortic Arch Pathologies: Multicentre Retrospective Analysis of Short and Mid Term Outcomes. Eur. J. Vasc. Endovasc. Surg. 2021, 62, 887–895. [Google Scholar] [CrossRef]
- Gallitto, E.; Faggioli, G.; Melissano, G.; Fargion, A.; Isernia, G.; Lenti, M.; Pratesi, C.; Chiesa, R.; Gargiulo, M.; Luca, B.; et al. Preoperative and postoperative predictors of clinical outcome of fenestrated and branched endovascular repair for complex abdominal and thoracoabdominal aortic aneurysms in an Italian multicenter registry. J. Vasc. Surg. 2021, 74, 1795–1806.e6. [Google Scholar] [CrossRef]
- Westin, G.; Rockman, C.; Sadek, M.; Ramkhelawon, B.; Cambria, M.R.; Silvestro, M.; Garg, K.; Cayne, N.; Veith, F.J.; Maldonado, T.S. Increased ischemic complications in fenestrated and branched endovascular abdominal aortic repair compared with standard endovascular aortic repair. J. Vasc. Surg. 2020, 72, 36–43. [Google Scholar] [CrossRef]
- D’Oria, M.; Wanhainen, A.; Lindström, D.; Tegler, G.; Mani, K. Editor’s Choice—Pre-Operative Moderate to Severe Chronic Kidney Disease is Associated with Worse Short-Term and Mid-Term Outcomes in Patients Undergoing Fenestrated-Branched Endovascular Aortic Repair. Eur. J. Vasc. Endovasc. Surg. 2021, 62, 859–868. [Google Scholar] [CrossRef]
- Cajas-Monson, L.; D’Oria, M.; Tenorio, E.; Mendes, B.C.; Oderich, G.S.; DeMartino, R.R. Effect of renal function on patient survival after endovascular thoracoabdominal and pararenal aortic aneurysm repair. J. Vasc. Surg. 2020, 74, 13–19. [Google Scholar] [CrossRef] [PubMed]
- Gallitto, E.; Faggioli, G.; Vacirca, A.; Pini, R.; Mascoli, C.; Fenelli, C.; Logiacco, A.; Abualhin, M.; Gargiulo, M. The benefit of combined carbon dioxide automated angiography and fusion imaging in preserving perioperative renal function in fenestrated endografting. J. Vasc. Surg. 2020, 72, 1906–1916. [Google Scholar] [CrossRef] [PubMed]
- Huerta, C.T.; Orr, N.T.; Tyagi, S.C.; Badia, D.J.; Richie, C.D.; Endean, E.D. Direct Retrograde Bypass is Preferable to Antegrade Bypass for Open Mesenteric Revascularization. Ann. Vasc. Surg. 2020, 66, 263–271. [Google Scholar] [CrossRef] [PubMed]
- Piffaretti, G.; Fontana, F.; Franchin, M.; Bacuzzi, A.; Dorigo, W.; Castelli, P.; Tozzi, M. Total endovascular treatment for extent type 1 and 5 thoracoabdominal aortic aneurysms. J. Thorac. Cardiovasc. Surg. 2017, 154, 1487–1496.e1. [Google Scholar] [CrossRef]
- Banno, H.; Ikeda, S.; Kawai, Y.; Meshii, K.; Takahashi, N.; Sugimoto, M.; Kodama, A.; Komori, K. Early and midterm outcomes of celiac artery coverage during thoracic endovascular aortic repair. J. Vasc. Surg. 2020, 72, 1552–1557. [Google Scholar] [CrossRef] [PubMed]
- Jim, J.; Caputo, F.J.; Sanchez, L.A. Intentional coverage of the celiac artery during thoracic endovascular aortic repair. J. Vasc. Surg. 2013, 58, 270–275. [Google Scholar] [CrossRef]
- Malgor, R.D.; de Marino, P.M.; Verhoeven, E.; Katsargyris, A. A systematic review of outcomes of upper extremity access for fenestrated and branched endovascular aortic repair. J. Vasc. Surg. 2019, 71, 1763–1770.e2. [Google Scholar] [CrossRef]
- Piazza, M.; Squizzato, F.; Bassini, S.; Chincarini, C.; Grego, F.; Antonello, M. The impact of female sex on the outcomes of endovascular treatment for iliac lesions. J. Vasc. Surg. 2019, 71, 2039–2047. [Google Scholar] [CrossRef]
- D’Oria, M.; Oderich, G.S.; Tenorio, E.R.; Kärkkäinen, J.M.; Mendes, B.C.; DeMartino, R.R. Safety and Efficacy of Totally Percutaneous Femoral Access for Fenestrated–Branched Endovascular Aortic Repair of Pararenal–Thoracoabdominal Aortic Aneurysms. Cardiovasc. Interv. Radiol. 2020, 43, 547–555. [Google Scholar] [CrossRef] [PubMed]
- Rowse, J.W.; Morrow, K.; Bena, J.F.; Eagleton, M.J.; Parodi, F.E.; Smolock, C.J. Iliac conduits remain safe in complex endovascular aortic repair. J. Vasc. Surg. 2019, 70, 424–431. [Google Scholar] [CrossRef]
- Wu, T.; Carson, J.G.; Skelly, C.L. Use of Internal Endoconduits as an Adjunct to Endovascular Aneurysm Repair in the Setting of Challenging Aortoiliac Anatomy. Ann. Vasc. Surg. 2010, 24, 114.e7–114.e11. [Google Scholar] [CrossRef][Green Version]
- Gallitto, E.; Gargiulo, M.; Faggioli, G.; Pini, R.; Mascoli, C.; Freyrie, A.; Ancetti, S.; Stella, A. Impact of iliac artery anatomy on the outcome of fenestrated and branched endovascular aortic repair. J. Vasc. Surg. 2017, 66, 1659–1667. [Google Scholar] [CrossRef] [PubMed]
- Puta, B.; Fazzini, S.; Torsello, G.; Pipitone, M.D.; Austermann, M.; Beropoulis, E. Preliminary Clinical and Radiologic Outcome of Matched Patients with Thoracoabdominal Aortic Aneurysms Treated by Low-Profile vs. Standard Profile Branched Aortic Endografts. Ann. Vasc. Surg. 2021, 75, 397–405. [Google Scholar] [CrossRef] [PubMed]
- Katsargyris, A.; Uthayakumar, V.; de Marino, P.M.; Botos, B.; Verhoeven, E.L. Aneurysm Rupture and Mortality During the Waiting Time for a Customised Fenestrated/Branched Stent Graft in Complex Endovascular Aortic Repair. Eur. J. Vasc. Endovasc. Surg. 2020, 60, 44–48. [Google Scholar] [CrossRef] [PubMed]
- D’Oria, M.; Wanhainen, A.; Mani, K.; Lindström, D. Frequency and type of interval adverse events during the waiting period to complex aortic endovascular repair. J. Vasc. Surg. 2022, 75, 1821–1828.e1. [Google Scholar] [CrossRef] [PubMed]
- Gallitto, E.; Faggioli, G.; Spath, P.; Pini, R.; Mascoli, C.; Ancetti, S.; Stella, A.; Abualhin, M.; Gargiulo, M. The risk of aneurysm rupture and target visceral vessel occlusion during the lead period of custom-made fenestrated/branched endograft. J. Vasc. Surg. 2020, 72, 16–24. [Google Scholar] [CrossRef] [PubMed]
- Bradley, N.A.; Roxburgh, C.; Khan, F.; Guthrie, G. Postimplantation syndrome in endovascular aortic aneurysm repair—A systematic review. Vasa 2021, 50, 174–185. [Google Scholar] [CrossRef] [PubMed]
- Squizzato, F.; Antonello, M.; Forcella, E.; Coppadoro, C.C.E.F.S.; Colacchio, C.; Xodo, A.; Grego, F.; Piazza, M. Geometrical determinants of target vessel instability in fenestrated endovascular aortic repair. J. Vasc. Surg. 2022. [Google Scholar] [CrossRef]
- Verzini, F.; Gibello, L.; Varetto, G.; Frola, E.; Boero, M.; Porro, L.; Gattuso, A.; Peretti, T.; Rispoli, P. Proportional meta-analysis of open surgery or fenestrated endograft repair for postdissection thoracoabdominal aneurysms. J. Vasc. Surg. 2021, 74, 1377–1385.e9. [Google Scholar] [CrossRef] [PubMed]
- Mirza, A.K.; Tenorio, E.R.; Marcondes, G.B.; Lima, G.B.B.; Macedo, T.A.; Mendes, B.C.; Oderich, G.S. Comparison of Cerebral Embolic Events Between Right and Left Upper Extremity Access During Fenestrated/Branched Endovascular Aortic Repair. J. Endovasc. Ther. 2020, 28, 70–77. [Google Scholar] [CrossRef]
- Bertoglio, L.; Grandi, A.; Melloni, A.; Kahlberg, A.; Melissano, G.; Chiesa, R. Percutaneous AXillary Artery (PAXA) Access at the First Segment During Fenestrated and Branched Endovascular Aortic Procedures. Eur. J. Vasc. Endovasc. Surg. 2020, 59, 929–938. [Google Scholar] [CrossRef] [PubMed]
- Bertoglio, L.; Conradi, L.; Howard, D.P.; Kaki, A.; Eynde, W.V.D.; Rio, J.; Montorfano, M.; Dias, N.V.; Ronchey, S.; Parlani, G.; et al. Percutaneous transaxillary access for endovascular aortic procedures in the multicenter international PAXA registry. J. Vasc. Surg. 2021, 75, 868–876.e3. [Google Scholar] [CrossRef]
- D’Oria, M.; Budtz-Lilly, J.; Lindstrom, D.; Lundberg, G.; Jonsson, M.; Wanhainen, A.; Mani, K.; Unosson, J. Comparison of Early and Mid-Term Outcomes After Fenestrated-Branched Endovascular Aortic Repair in Patients With or Without Prior Infrarenal Repair. J. Endovasc. Ther. 2021. [Google Scholar] [CrossRef] [PubMed]
- Xodo, A.; D’Oria, M.; Squizzato, F.; Antonello, M.; Grego, F.; Bonvini, S.; Milite, D.; Frigatti, P.; Cognolato, D.; Veraldi, G.F. Early and midterm outcomes following open surgical conversion after failed endovascular aneurysm repair from the ‘Italian North-easT RegIstry of surgical Conversion AfTer Evar’ (INTRICATE). J. Vasc. Surg. 2022, 75, 153–161.e2. [Google Scholar] [CrossRef] [PubMed]
- Perini, P.; Gargiulo, M.; Silingardi, R.; Bonardelli, S.; Bellosta, R.; Bonvini, S.; Michelagnoli, S.; Tusini, N.; Capelli, P.; Freyrie, A.; et al. Twenty-two Year Multicentre Experience of Late Open Conversions after Endovascular Abdominal Aneurysm Repair. Eur. J. Vasc. Endovasc. Surg. 2020, 59, 757–765. [Google Scholar] [CrossRef] [PubMed]
- Goudeketting, S.R.; Jin, P.P.F.K.; Ünlü, Ç.; de Vries, J.P.P. Systematic review and meta-analysis of elective and urgent late open conversion after failed endovascular aneurysm repair. J. Vasc. Surg. 2019, 70, 615–628.e7. [Google Scholar] [CrossRef] [PubMed]
- Rinaldi, E.; Kahlberg, A.; Carta, N.; Mascia, D.; Bertoglio, L.; Chiesa, R. Late Open Conversion Following Failure of EVAR and TEVAR: ‘State of the Art’. Cardiovasc. Interv. Radiol. 2020, 43, 1855–1864. [Google Scholar] [CrossRef] [PubMed]
- Tenorio, E.; Oderich, G.S.; Farber, M.A.; Schneider, D.B.; Timaran, C.H.; Schanzer, A.; Beck, A.W.; Motta, F.; Sweet, M.P. Outcomes of endovascular repair of chronic postdissection compared with degenerative thoracoabdominal aortic aneurysms using fenestrated-branched stent grafts. J. Vasc. Surg. 2019, 72, 822–836.e9. [Google Scholar] [CrossRef]
- Schanzer, A.; Beck, A.W.; Eagleton, M.; Farber, M.A.; Oderich, G.; Schneider, D.; Sweet, M.P.; Crawford, A.; Timaran, C. Results of fenestrated and branched endovascular aortic aneurysm repair after failed infrarenal endovascular aortic aneurysm repair. J. Vasc. Surg. 2020, 72, 849–858. [Google Scholar] [CrossRef] [PubMed]
- Cowan, J.A.; Dimick, J.B.; Henke, P.K.; Huber, T.S.; Stanley, J.C.; Upchurch, G.R. Surgical treatment of intact thoracoabdominal aortic aneurysms in the United States: Hospital and surgeon volume-related outcomes. J. Vasc. Surg. 2003, 37, 1169–1174. [Google Scholar] [CrossRef]








| Standard EVAR | F/BEVAR (Custom-Made Device) | BEVAR (Off-The-Shelf Device) | |
|---|---|---|---|
| Indications | Infrarenal AAA | JAAA/PRAA/TAAA | TAAA |
| Aortic coverage | + | ++ | +++ |
| Limb ischemia time | + | +++ | ++ |
| Device cost | +/++ | +++ | +++ |
| Manufacturing time | + | +++ | + |
| Risk of VV-related complications | + | +++ | +++ |
| Learning curve | + | +++ | ++ |
| Preoperative | Intraoperative | Postoperative |
|---|---|---|
| Assessment of spinal collateral network | CSFD and spinal perfusion pressure monitoring | Spinal perfusion pressure monitoring |
| MIS2ACE (technique still under investigation) | Increase in hemoglobin levels and mean arterial pressure | Hemoglobin and arterial pressure monitoring |
| MEPs/SSEPs monitoring | Neurologic monitoring | |
| Systemic hypothermia | MRA/CTA of the spinal cord and rescue CSFD if symptoms arise | |
| Distal aortic perfusion/early lower limb reperfusion | ||
| Staging and TASP | ||
| LSA and IIAs preservation |
Publisher’s Note: MDPI stays neutral with regard to jurisdictional claims in published maps and institutional affiliations. |
© 2022 by the authors. Licensee MDPI, Basel, Switzerland. This article is an open access article distributed under the terms and conditions of the Creative Commons Attribution (CC BY) license (https://creativecommons.org/licenses/by/4.0/).
Share and Cite
Xodo, A.; D’Oria, M.; Mendes, B.; Bertoglio, L.; Mani, K.; Gargiulo, M.; Budtz-Lilly, J.; Antonello, M.; Veraldi, G.F.; Pilon, F.; et al. Peri-Operative Management of Patients Undergoing Fenestrated-Branched Endovascular Repair for Juxtarenal, Pararenal and Thoracoabdominal Aortic Aneurysms: Preventing, Recognizing and Treating Complications to Improve Clinical Outcomes. J. Pers. Med. 2022, 12, 1018. https://doi.org/10.3390/jpm12071018
Xodo A, D’Oria M, Mendes B, Bertoglio L, Mani K, Gargiulo M, Budtz-Lilly J, Antonello M, Veraldi GF, Pilon F, et al. Peri-Operative Management of Patients Undergoing Fenestrated-Branched Endovascular Repair for Juxtarenal, Pararenal and Thoracoabdominal Aortic Aneurysms: Preventing, Recognizing and Treating Complications to Improve Clinical Outcomes. Journal of Personalized Medicine. 2022; 12(7):1018. https://doi.org/10.3390/jpm12071018
Chicago/Turabian StyleXodo, Andrea, Mario D’Oria, Bernardo Mendes, Luca Bertoglio, Kevin Mani, Mauro Gargiulo, Jacob Budtz-Lilly, Michele Antonello, Gian Franco Veraldi, Fabio Pilon, and et al. 2022. "Peri-Operative Management of Patients Undergoing Fenestrated-Branched Endovascular Repair for Juxtarenal, Pararenal and Thoracoabdominal Aortic Aneurysms: Preventing, Recognizing and Treating Complications to Improve Clinical Outcomes" Journal of Personalized Medicine 12, no. 7: 1018. https://doi.org/10.3390/jpm12071018
APA StyleXodo, A., D’Oria, M., Mendes, B., Bertoglio, L., Mani, K., Gargiulo, M., Budtz-Lilly, J., Antonello, M., Veraldi, G. F., Pilon, F., Milite, D., Calvagna, C., Griselli, F., Taglialavoro, J., Bassini, S., Wanhainen, A., Lindstrom, D., Gallitto, E., Mezzetto, L., ... DeMartino, R. (2022). Peri-Operative Management of Patients Undergoing Fenestrated-Branched Endovascular Repair for Juxtarenal, Pararenal and Thoracoabdominal Aortic Aneurysms: Preventing, Recognizing and Treating Complications to Improve Clinical Outcomes. Journal of Personalized Medicine, 12(7), 1018. https://doi.org/10.3390/jpm12071018

