Diffuse Intrinsic Pontine Glioma: Molecular Landscape, Evolving Treatment Strategies and Emerging Clinical Trials
Abstract
1. Introduction
2. Methods
3. Epidemiology
4. Clinical Presentation
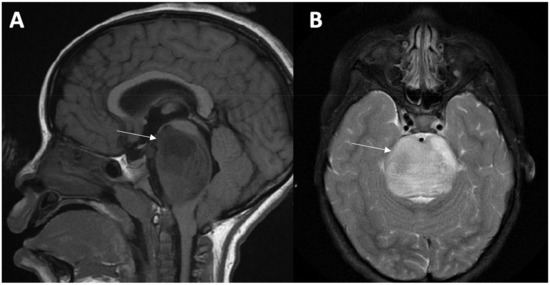
5. Imaging
6. Histologic Characteristics
7. Molecular Pathways
7.1. H3 K27M
7.2. Histone Chaperone Alpha-Thalassemia/Mental Retardation Syndrome X-Linked (ATRX)
7.3. Enhancer of Zeste Homolog 2 (EZH2)
7.4. Receptor Tyrosine Kinase (RTK)
7.5. WNT
7.6. Activin A Receptor, Type 1 (ACVR1)
7.7. Tumor Protein p53 (TP53)
7.8. MYCN
7.9. Hedgehog (Hh) Signaling
7.10. Enhancer of Zeste Homologs Inhibitory Protein (EZHIP)
8. Clinical Management
8.1. Surgical Intervention
8.2. Liquid Biopsy
8.3. Radiation Therapy
8.4. Chemotherapy
9. Ongoing Investigations and Future Considerations
9.1. Immunotherapy
9.2. Epigenetic Modifying Agents
9.3. Convection Enhanced Delivery (CED)
10. Conclusions
Author Contributions
Funding
Institutional Review Board Statement
Informed Consent Statement
Data Availability Statement
Conflicts of Interest
References
- Filbin, M.G.; Tirosh, I.; Hovestadt, V.; Shaw, M.L.; Escalante, L.E.; Mathewson, N.D.; Neftel, C.; Frank, N.; Pelton, K.; Hebert, C.M.; et al. Developmental and oncogenic programs in H3K27M gliomas dissected by single-cell RNA-seq. Science 2018, 360, 331–335. [Google Scholar] [CrossRef] [PubMed]
- Yoshimura, J. Clinicopathological study of diffuse type brainstem gliomas: Analysis of 40 autopsy cases. Neurol. Med. Chir. 2003, 43, 375–382. [Google Scholar] [CrossRef] [PubMed]
- Jones, C.; Baker, S.J. Unique genetic and epigenetic mechanisms driving paediatric diffuse high-grade glioma. Nat. Rev. Cancer 2014, 14, 651–661. [Google Scholar] [CrossRef] [PubMed]
- Freeman, C.R.; Farmer, J.P. Pediatric brain stem gliomas: A review. Int. J. Radiat. Oncol. Biol. Phys. 1998, 40, 265–271. [Google Scholar] [CrossRef]
- Leach, J.L.; Roebker, J.; Schafer, A.; Baugh, J.; Chaney, B.; Fuller, C.; Fouladi, M.; Lane, A.; Doughman, R.; Drissi, R.; et al. MR imaging features of diffuse intrinsic pontine glioma and relationship to overall survival: Report from the International DIPG Registry. Neuro. Oncol. 2020, 22, 1647–1657. [Google Scholar] [CrossRef]
- Nazarian, J.; Mason, G.E.; Ho, C.Y.; Panditharatna, E.; Kambhampati, M.; Vezina, L.G.; Packer, R.J.; Hwang, E.I. Histological and molecular analysis of a progressive diffuse intrinsic pontine glioma and synchronous metastatic lesions: A case report. Oncotarget 2016, 7, 42837–42842. [Google Scholar] [CrossRef][Green Version]
- Welby, J.P.; Kaptzan, T.; Wohl, A.; Peterson, T.E.; Raghunathan, A.; Brown, D.A.; Gupta, S.K.; Zhang, L.; Daniels, D.J. Current Murine Models and New Developments in H3K27M Diffuse Midline Gliomas. Front. Oncol. 2019, 9, 92. [Google Scholar] [CrossRef]
- Lober, R.M.; Cho, Y.J.; Tang, Y.; Barnes, P.D.; Edwards, M.S.; Vogel, H.; Fisher, P.G.; Monje, M.; Yeom, K.W. Diffusion-weighted MRI derived apparent diffusion coefficient identifies prognostically distinct subgroups of pediatric diffuse intrinsic pontine glioma. J. Neurooncol. 2014, 117, 175–182. [Google Scholar] [CrossRef]
- Harutyunyan, A.S.; Krug, B.; Chen, H.; Papillon-Cavanagh, S.; Zeinieh, M.; De Jay, N.; Deshmukh, S.; Chen, C.C.L.; Belle, J.; Mikael, L.G.; et al. H3K27M induces defective chromatin spread of PRC2-mediated repressive H3K27me2/me3 and is essential for glioma tumorigenesis. Nat. Commun. 2019, 10, 1262. [Google Scholar] [CrossRef]
- Johung, T.B.; Monje, M. Diffuse Intrinsic Pontine Glioma: New Pathophysiological Insights and Emerging Therapeutic Targets. Curr. Neuropharmacol. 2017, 15, 88–97. [Google Scholar] [CrossRef]
- Warren, K.E. Beyond the Blood:Brain Barrier: The Importance of Central Nervous System (CNS) Pharmacokinetics for the Treatment of CNS Tumors, Including Diffuse Intrinsic Pontine Glioma. Front. Oncol. 2018, 8, 239. [Google Scholar] [CrossRef] [PubMed]
- Eschbacher, K.L.; Ida, C.M.; Johnson, D.R.; Alvi, M.A.; Jenkins, S.M.; Ruff, M.W.; Kerezoudis, P.; Neth, B.J.; Pasion, R.M.; Daniels, D.J.; et al. Diffuse Gliomas of the Brainstem and Cerebellum in Adults Show Molecular Heterogeneity. Am. J. Surg. Pathol. 2021, 45, 1082–1090. [Google Scholar] [CrossRef] [PubMed]
- Veldhuijzen van Zanten, S.E.; Jansen, M.H.; Sanchez Aliaga, E.; van Vuurden, D.G.; Vandertop, W.P.; Kaspers, G.J. A twenty-year review of diagnosing and treating children with diffuse intrinsic pontine glioma in The Netherlands. Expert. Rev. Anticancer Ther. 2015, 15, 157–164. [Google Scholar] [CrossRef] [PubMed]
- Packer, R.J.; Boyett, J.M.; Zimmerman, R.A.; Albright, A.L.; Kaplan, A.M.; Rorke, L.B.; Selch, M.T.; Cherlow, J.M.; Finlay, J.L.; Wara, W.M. Outcome of children with brain stem gliomas after treatment with 7800 cGy of hyperfractionated radiotherapy. A Childrens Cancer Group Phase I/II Trial. Cancer 1994, 74, 1827–1834. [Google Scholar] [CrossRef]
- Hennika, T.; Becher, O.J. Diffuse Intrinsic Pontine Glioma: Time for Cautious Optimism. J. Child Neurol. 2016, 31, 1377–1385. [Google Scholar] [CrossRef] [PubMed]
- Monje, M.; Fisher, P.G. Neurological complications following treatment of children with brain tumors. J. Pediatr. Rehabil. Med. 2011, 4, 31–36. [Google Scholar] [CrossRef] [PubMed]
- El-Khouly, F.E.; Veldhuijzen van Zanten, S.E.M.; Santa-Maria Lopez, V.; Hendrikse, N.H.; Kaspers, G.J.L.; Loizos, G.; Sumerauer, D.; Nysom, K.; Pruunsild, K.; Pentikainen, V.; et al. Diagnostics and treatment of diffuse intrinsic pontine glioma: Where do we stand? J. Neurooncol. 2019, 145, 177–184. [Google Scholar] [CrossRef]
- Donaldson, S.S.; Laningham, F.; Fisher, P.G. Advances toward an understanding of brainstem gliomas. J. Clin. Oncol. 2006, 24, 1266–1272. [Google Scholar] [CrossRef]
- Caretti, V.; Bugiani, M.; Freret, M.; Schellen, P.; Jansen, M.; van Vuurden, D.; Kaspers, G.; Fisher, P.G.; Hulleman, E.; Wesseling, P.; et al. Subventricular spread of diffuse intrinsic pontine glioma. Acta Neuropathol. 2014, 128, 605–607. [Google Scholar] [CrossRef]
- Barkovich, A.J.; Krischer, J.; Kun, L.E.; Packer, R.; Zimmerman, R.A.; Freeman, C.R.; Wara, W.M.; Albright, L.; Allen, J.C.; Hoffman, H.J. Brain stem gliomas: A classification system based on magnetic resonance imaging. Pediatr. Neurosurg. 1990, 16, 73–83. [Google Scholar] [CrossRef]
- Lewis, P.W.; Allis, C.D. Poisoning the “histone code” in pediatric gliomagenesis. Cell Cycle 2013, 12, 3241–3242. [Google Scholar] [CrossRef] [PubMed][Green Version]
- Long, W.; Yi, Y.; Chen, S.; Cao, Q.; Zhao, W.; Liu, Q. Potential New Therapies for Pediatric Diffuse Intrinsic Pontine Glioma. Front. Pharmacol. 2017, 8, 495. [Google Scholar] [CrossRef] [PubMed]
- Mekkaoui, C.; Metellus, P.; Kostis, W.J.; Martuzzi, R.; Pereira, F.R.; Beregi, J.P.; Reese, T.G.; Constable, T.R.; Jackowski, M.P. Diffusion Tensor Imaging in Patients with Glioblastoma Multiforme Using the Supertoroidal Model. PLoS ONE 2016, 11, e0146693. [Google Scholar] [CrossRef] [PubMed]
- Duc, N.M. The role of diffusion tensor imaging metrics in the discrimination between cerebellar medulloblastoma and brainstem glioma. Pediatr. Blood Cancer 2020, 67, e28468. [Google Scholar] [CrossRef] [PubMed]
- Kossatz, S.; Carney, B.; Schweitzer, M.; Carlucci, G.; Miloushev, V.Z.; Maachani, U.B.; Rajappa, P.; Keshari, K.R.; Pisapia, D.; Weber, W.A.; et al. Biomarker-Based PET Imaging of Diffuse Intrinsic Pontine Glioma in Mouse Models. Cancer Res. 2017, 77, 2112–2123. [Google Scholar] [CrossRef] [PubMed]
- Hamisch, C.; Kickingereder, P.; Fischer, M.; Simon, T.; Ruge, M.I. Update on the diagnostic value and safety of stereotactic biopsy for pediatric brainstem tumors: A systematic review and meta-analysis of 735 cases. J. Neurosurg. Pediatr. 2017, 20, 261–268. [Google Scholar] [CrossRef]
- Mohedas, A.H.; Wang, Y.; Sanvitale, C.E.; Canning, P.; Choi, S.; Xing, X.; Bullock, A.N.; Cuny, G.D.; Yu, P.B. Structure-activity relationship of 3,5-diaryl-2-aminopyridine ALK2 inhibitors reveals unaltered binding affinity for fibrodysplasia ossificans progressiva causing mutants. J. Med. Chem. 2014, 57, 7900–7915. [Google Scholar] [CrossRef]
- Williams, J.R.; Young, C.C.; Vitanza, N.A.; McGrath, M.; Feroze, A.H.; Browd, S.R.; Hauptman, J.S. Progress in diffuse intrinsic pontine glioma: Advocating for stereotactic biopsy in the standard of care. Neurosurg. Focus 2020, 48, E4. [Google Scholar] [CrossRef]
- Hoffman, L.M.; Veldhuijzen van Zanten, S.E.M.; Colditz, N.; Baugh, J.; Chaney, B.; Hoffmann, M.; Lane, A.; Fuller, C.; Miles, L.; Hawkins, C.; et al. Clinical, Radiologic, Pathologic, and Molecular Characteristics of Long-Term Survivors of Diffuse Intrinsic Pontine Glioma (DIPG): A Collaborative Report From the International and European Society for Pediatric Oncology DIPG Registries. J. Clin. Oncol. 2018, 36, 1963–1972. [Google Scholar] [CrossRef]
- Angelini, P.; Hawkins, C.; Laperriere, N.; Bouffet, E.; Bartels, U. Post mortem examinations in diffuse intrinsic pontine glioma: Challenges and chances. J. Neurooncol. 2011, 101, 75–81. [Google Scholar] [CrossRef]
- Buczkowicz, P.; Hawkins, C. Pathology, Molecular Genetics, and Epigenetics of Diffuse Intrinsic Pontine Glioma. Front. Oncol. 2015, 5, 147. [Google Scholar] [CrossRef] [PubMed]
- Buczkowicz, P.; Hoeman, C.; Rakopoulos, P.; Pajovic, S.; Letourneau, L.; Dzamba, M.; Morrison, A.; Lewis, P.; Bouffet, E.; Bartels, U.; et al. Genomic analysis of diffuse intrinsic pontine gliomas identifies three molecular subgroups and recurrent activating ACVR1 mutations. Nat. Genet. 2014, 46, 451–456. [Google Scholar] [CrossRef] [PubMed]
- Khuong-Quang, D.A.; Buczkowicz, P.; Rakopoulos, P.; Liu, X.Y.; Fontebasso, A.M.; Bouffet, E.; Bartels, U.; Albrecht, S.; Schwartzentruber, J.; Letourneau, L.; et al. K27M mutation in histone H3.3 defines clinically and biologically distinct subgroups of pediatric diffuse intrinsic pontine gliomas. Acta Neuropathol. 2012, 124, 439–447. [Google Scholar] [CrossRef] [PubMed]
- Sturm, D.; Bender, S.; Jones, D.T.; Lichter, P.; Grill, J.; Becher, O.; Hawkins, C.; Majewski, J.; Jones, C.; Costello, J.F.; et al. Paediatric and adult glioblastoma: Multiform (epi)genomic culprits emerge. Nat. Rev. Cancer 2014, 14, 92–107. [Google Scholar] [CrossRef]
- Mackay, A.; Burford, A.; Carvalho, D.; Izquierdo, E.; Fazal-Salom, J.; Taylor, K.R.; Bjerke, L.; Clarke, M.; Vinci, M.; Nandhabalan, M.; et al. Integrated Molecular Meta-Analysis of 1,000 Pediatric High-Grade and Diffuse Intrinsic Pontine Glioma. Cancer Cell 2017, 32, 520–537. [Google Scholar] [CrossRef]
- Luo, J.; Xu, X.; Hall, H.; Hyland, E.M.; Boeke, J.D.; Hazbun, T.; Kuo, M.H. Histone h3 exerts a key function in mitotic checkpoint control. Mol. Cell Biol. 2010, 30, 537–549. [Google Scholar] [CrossRef]
- Louis, D.N.; Perry, A.; Wesseling, P.; Brat, D.J.; Cree, I.A.; Figarella-Branger, D.; Hawkins, C.; Ng, H.K.; Pfister, S.M.; Reifenberger, G.; et al. The 2021 WHO Classification of Tumors of the Central Nervous System: A summary. Neuro. Oncol. 2021, 23, 1231–1251. [Google Scholar] [CrossRef]
- Castel, D.; Philippe, C.; Calmon, R.; Le Dret, L.; Truffaux, N.; Boddaert, N.; Pagès, M.; Taylor, K.R.; Saulnier, P.; Lacroix, L.; et al. Histone H3F3A and HIST1H3B K27M mutations define two subgroups of diffuse intrinsic pontine gliomas with different prognosis and phenotypes. Acta Neuropathol. 2015, 130, 815–827. [Google Scholar] [CrossRef]
- Karremann, M.; Gielen, G.H.; Hoffmann, M.; Wiese, M.; Colditz, N.; Warmuth-Metz, M.; Bison, B.; Claviez, A.; van Vuurden, D.G.; von Bueren, A.O.; et al. Diffuse high-grade gliomas with H3 K27M mutations carry a dismal prognosis independent of tumor location. Neuro. Oncol. 2018, 20, 123–131. [Google Scholar] [CrossRef]
- Saratsis, A.M.; Yadavilli, S.; Magge, S.; Rood, B.R.; Perez, J.; Hill, D.A.; Hwang, E.; Kilburn, L.; Packer, R.J.; Nazarian, J. Insights into pediatric diffuse intrinsic pontine glioma through proteomic analysis of cerebrospinal fluid. Neuro. Oncol. 2012, 14, 547–560. [Google Scholar] [CrossRef]
- Mohanty, A. Biopsy of brain stem gliomas: Changing trends? J. Neurosci. Rural Pract. 2014, 5, 116–117. [Google Scholar] [CrossRef] [PubMed]
- Zhang, Y.; Dong, W.; Zhu, J.; Wang, L.; Wu, X.; Shan, H. Combination of EZH2 inhibitor and BET inhibitor for treatment of diffuse intrinsic pontine glioma. Cell Biosci. 2017, 7, 56. [Google Scholar] [CrossRef] [PubMed]
- Schlessinger, J. Cell signaling by receptor tyrosine kinases. Cell 2000, 103, 211–225. [Google Scholar] [CrossRef]
- Chen, C.C.L.; Deshmukh, S.; Jessa, S.; Hadjadj, D.; Lisi, V.; Andrade, A.F.; Faury, D.; Jawhar, W.; Dali, R.; Suzuki, H.; et al. Histone H3.3G34-Mutant Interneuron Progenitors Co-opt PDGFRA for Gliomagenesis. Cell 2020, 183, 1617–1633. [Google Scholar] [CrossRef]
- Pai, S.G.; Carneiro, B.A.; Mota, J.M.; Costa, R.; Leite, C.A.; Barroso-Sousa, R.; Kaplan, J.B.; Chae, Y.K.; Giles, F.J. Wnt/beta-catenin pathway: Modulating anticancer immune response. J. Hematol. Oncol. 2017, 10, 101. [Google Scholar] [CrossRef]
- Pedersen, H.; Schmiegelow, K.; Hamerlik, P. Radio-Resistance and DNA Repair in Pediatric Diffuse Midline Gliomas. Cancers 2020, 12, 2813. [Google Scholar] [CrossRef]
- Meel, M.H.; Schaper, S.A.; Kaspers, G.J.L.; Hulleman, E. Signaling pathways and mesenchymal transition in pediatric high-grade glioma. Cell Mol. Life Sci. 2018, 75, 871–887. [Google Scholar] [CrossRef]
- Huang, S.Y.; Yang, J.Y. Targeting the Hedgehog Pathway in Pediatric Medulloblastoma. Cancers 2015, 7, 2110–2123. [Google Scholar] [CrossRef]
- Hoeman, C.M.; Cordero, F.J.; Hu, G.; Misuraca, K.; Romero, M.M.; Cardona, H.J.; Nazarian, J.; Hashizume, R.; McLendon, R.; Yu, P.; et al. ACVR1 R206H cooperates with H3.1K27M in promoting diffuse intrinsic pontine glioma pathogenesis. Nat. Commun. 2019, 10, 1023. [Google Scholar] [CrossRef]
- Taylor, K.R.; Vinci, M.; Bullock, A.N.; Jones, C. ACVR1 mutations in DIPG: Lessons learned from FOP. Cancer Res. 2014, 74, 4565–4570. [Google Scholar] [CrossRef]
- Vanan, M.I.; Eisenstat, D.D. DIPG in Children—What Can We Learn from the Past? Front. Oncol. 2015, 5, 237. [Google Scholar] [CrossRef] [PubMed]
- Haupt, J.; Xu, M.; Shore, E.M. Variable signaling activity by FOP ACVR1 mutations. Bone 2018, 109, 232–240. [Google Scholar] [CrossRef] [PubMed]
- Carvalho, D.; Taylor, K.R.; Olaciregui, N.G.; Molinari, V.; Clarke, M.; Mackay, A.; Ruddle, R.; Henley, A.; Valenti, M.; Hayes, A.; et al. ALK2 inhibitors display beneficial effects in preclinical models of. Commun. Biol. 2019, 2, 156. [Google Scholar] [CrossRef] [PubMed]
- Aubrey, B.J.; Strasser, A.; Kelly, G.L. Tumor-Suppressor Functions of the TP53 Pathway. Cold Spring Harb. Perspect. Med. 2016, 6, a026062. [Google Scholar] [CrossRef] [PubMed]
- Werbrouck, C.; Evangelista, C.C.S.; Lobón-Iglesias, M.J.; Barret, E.; Le Teuff, G.; Merlevede, J.; Brusini, R.; Kergrohen, T.; Mondini, M.; Bolle, S.; et al. TP53 Pathway Alterations Drive Radioresistance in Diffuse Intrinsic Pontine Gliomas (DIPG). Clin. Cancer Res. 2019, 25, 6788–6800. [Google Scholar] [CrossRef] [PubMed]
- Rizzo, D.; Ruggiero, A.; Martini, M.; Rizzo, V.; Maurizi, P.; Riccardi, R. Molecular Biology in Pediatric High-Grade Glioma: Impact on Prognosis and Treatment. Biomed. Res. Int. 2015, 2015, 215135. [Google Scholar] [CrossRef] [PubMed]
- Hutter, S.; Bolin, S.; Weishaupt, H.; Swartling, F.J. Modeling and Targeting MYC Genes in Childhood Brain Tumors. Genes 2017, 8, 107. [Google Scholar] [CrossRef]
- Chen, H.; Liu, H.; Qing, G. Targeting oncogenic Myc as a strategy for cancer treatment. Signal Transduct Target Ther. 2018, 3, 5. [Google Scholar] [CrossRef]
- Zhang, C.Z.; Spektor, A.; Cornils, H.; Francis, J.M.; Jackson, E.K.; Liu, S.; Meyerson, M.; Pellman, D. Chromothripsis from DNA damage in micronuclei. Nature 2015, 522, 179–184. [Google Scholar] [CrossRef]
- Grasso, C.S.; Tang, Y.; Truffaux, N.; Berlow, N.E.; Liu, L.; Debily, M.A.; Quist, M.J.; Davis, L.E.; Huang, E.C.; Woo, P.J.; et al. Functionally defined therapeutic targets in diffuse intrinsic pontine glioma. Nat. Med. 2015, 21, 827. [Google Scholar] [CrossRef]
- Saratsis, A.M.; Kambhampati, M.; Snyder, K.; Yadavilli, S.; Devaney, J.M.; Harmon, B.; Hall, J.; Raabe, E.H.; An, P.; Weingart, M.; et al. Comparative multidimensional molecular analyses of pediatric diffuse intrinsic pontine glioma reveals distinct molecular subtypes. Acta Neuropathol. 2014, 127, 881–895. [Google Scholar] [CrossRef] [PubMed]
- Duchatel, R.J.; Jackson, E.R.; Alvaro, F.; Nixon, B.; Hondermarck, H.; Dun, M.D. Signal Transduction in Diffuse Intrinsic Pontine Glioma. Proteomics 2019, 19, e1800479. [Google Scholar] [CrossRef] [PubMed]
- Monje, M.; Mitra, S.S.; Freret, M.E.; Raveh, T.B.; Kim, J.; Masek, M.; Attema, J.L.; Li, G.; Haddix, T.; Edwards, M.S.; et al. Hedgehog-responsive candidate cell of origin for diffuse intrinsic pontine glioma. Proc. Natl. Acad. Sci. USA 2011, 108, 4453–4458. [Google Scholar] [CrossRef] [PubMed]
- Castel, D.; Kergrohen, T.; Tauziede-Espariat, A.; Mackay, A.; Ghermaoui, S.; Lechapt, E.; Pfister, S.M.; Kramm, C.M.; Boddaert, N.; Blauwblomme, T.; et al. Histone H3 wild-type DIPG/DMG overexpressing EZHIP extend the spectrum diffuse midline gliomas with PRC2 inhibition beyond H3-K27M mutation. Acta Neuropathol. 2020, 139, 1109–1113. [Google Scholar] [CrossRef]
- Langmoen, I.A.; Lundar, T.; Storm-Mathisen, I.; Lie, S.O.; Hovind, K.H. Management of pediatric pontine gliomas. Childs Nerv. Syst. 1991, 7, 13–15. [Google Scholar] [CrossRef]
- Cage, T.A.; Samagh, S.P.; Mueller, S.; Nicolaides, T.; Haas-Kogan, D.; Prados, M.; Banerjee, A.; Auguste, K.I.; Gupta, N. Feasibility, safety, and indications for surgical biopsy of intrinsic brainstem tumors in children. Childs Nerv. Syst. 2013, 29, 1313–1319. [Google Scholar] [CrossRef]
- Gupta, N.; Goumnerova, L.C.; Manley, P.; Chi, S.N.; Neuberg, D.; Puligandla, M.; Fangusaro, J.; Goldman, S.; Tomita, T.; Alden, T.; et al. Prospective feasibility and safety assessment of surgical biopsy for patients with newly diagnosed diffuse intrinsic pontine glioma. Neuro. Oncol. 2018, 20, 1547–1555. [Google Scholar] [CrossRef]
- Pfaff, E.; El Damaty, A.; Balasubramanian, G.P.; Blattner-Johnson, M.; Worst, B.C.; Stark, S.; Witt, H.; Pajtler, K.W.; van Tilburg, C.M.; Witt, R.; et al. Brainstem biopsy in pediatric diffuse intrinsic pontine glioma in the era of precision medicine: The INFORM study experience. Eur. J. Cancer 2019, 114, 27–35. [Google Scholar] [CrossRef]
- Alix-Panabières, C.; Pantel, K. Clinical Applications of Circulating Tumor Cells and Circulating Tumor DNA as Liquid Biopsy. Cancer Discov. 2016, 6, 479–491. [Google Scholar] [CrossRef]
- Huang, T.Y.; Piunti, A.; Lulla, R.R.; Qi, J.; Horbinski, C.M.; Tomita, T.; James, C.D.; Shilatifard, A.; Saratsis, A.M. Detection of Histone H3 mutations in cerebrospinal fluid-derived tumor DNA from children with diffuse midline glioma. Acta Neuropathol. Commun. 2017, 5, 28. [Google Scholar] [CrossRef]
- Pages, M.; Rotem, D.; Gydush, G.; Reed, S.; Rhoades, J.; Ha, G.; Lo, C.; Fleharty, M.; Duran, M.; Jones, R.; et al. Liquid biopsy detection of genomic alterations in pediatric brain tumors from cell-free DNA in peripheral blood, CSF, and urine. Neuro. Oncol. 2022, noab299. [Google Scholar] [CrossRef] [PubMed]
- Frappaz, D.; Schell, M.; Thiesse, P.; Marec-Bérard, P.; Mottolese, C.; Perol, D.; Bergeron, C.; Philip, T.; Ricci, A.C.; Galand-Desme, S.; et al. Preradiation chemotherapy may improve survival in pediatric diffuse intrinsic brainstem gliomas: Final results of BSG 98 prospective trial. Neuro. Oncol. 2008, 10, 599–607. [Google Scholar] [CrossRef] [PubMed]
- Frazier, J.L.; Lee, J.; Thomale, U.W.; Noggle, J.C.; Cohen, K.J.; Jallo, G.I. Treatment of diffuse intrinsic brainstem gliomas: Failed approaches and future strategies. J. Neurosurg. Pediatr. 2009, 3, 259–269. [Google Scholar] [CrossRef] [PubMed]
- Hargrave, D.; Bartels, U.; Bouffet, E. Diffuse brainstem glioma in children: Critical review of clinical trials. Lancet Oncol. 2006, 7, 241–248. [Google Scholar] [CrossRef]
- Gallitto, M.; Lazarev, S.; Wasserman, I.; Stafford, J.M.; Wolden, S.L.; Terezakis, S.A.; Bindra, R.S.; Bakst, R.L. Role of Radiation Therapy in the Management of Diffuse Intrinsic Pontine Glioma: A Systematic Review. Adv. Radiat. Oncol. 2019, 4, 520–531. [Google Scholar] [CrossRef]
- Muroi, A.; Mizumoto, M.; Ishikawa, E.; Ihara, S.; Fukushima, H.; Tsurubuchi, T.; Sakurai, H.; Matsumura, A. Proton therapy for newly diagnosed pediatric diffuse intrinsic pontine glioma. Childs Nerv. Syst. 2020, 36, 507–512. [Google Scholar] [CrossRef]
- Janssens, G.O.; Jansen, M.H.; Lauwers, S.J.; Nowak, P.J.; Oldenburger, F.R.; Bouffet, E.; Saran, F.; Kamphuis-van Ulzen, K.; van Lindert, E.J.; Schieving, J.H.; et al. Hypofractionation vs conventional radiation therapy for newly diagnosed diffuse intrinsic pontine glioma: A matched-cohort analysis. Int. J. Radiat. Oncol. Biol. Phys. 2013, 85, 315–320. [Google Scholar] [CrossRef]
- Ermoian, R.; MacDonald, S.; Laack, N.N.I.; Baldini, E.; Breneman, J. Reirradiation in Pediatric Patients With Recurrent Brain Tumors: A Last Hope, But One With Greatly Feared Consequences. Int. J. Radiat. Oncol. Biol. Phys. 2019, 103, 1–4. [Google Scholar] [CrossRef]
- Janssens, G.O.; Gandola, L.; Bolle, S.; Mandeville, H.; Ramos-Albiac, M.; van Beek, K.; Benghiat, H.; Hoeben, B.; Morales La Madrid, A.; Kortmann, R.D.; et al. Survival benefit for patients with diffuse intrinsic pontine glioma (DIPG) undergoing re-irradiation at first progression: A matched-cohort analysis on behalf of the SIOP-E-HGG/DIPG working group. Eur. J. Cancer 2017, 73, 38–47. [Google Scholar] [CrossRef]
- Izzuddeen, Y.; Gupta, S.; Haresh, K.P.; Sharma, D.; Giridhar, P.; Rath, G.K. Hypofractionated radiotherapy with temozolomide in diffuse intrinsic pontine gliomas: A randomized controlled trial. J. Neurooncol. 2020, 146, 91–95. [Google Scholar] [CrossRef]
- Cohen, K.J.; Heideman, R.L.; Zhou, T.; Holmes, E.J.; Lavey, R.S.; Bouffet, E.; Pollack, I.F. Temozolomide in the treatment of children with newly diagnosed diffuse intrinsic pontine gliomas: A report from the Children’s Oncology Group. Neuro. Oncol. 2011, 13, 410–416. [Google Scholar] [CrossRef] [PubMed]
- Bailey, S.; Howman, A.; Wheatley, K.; Wherton, D.; Boota, N.; Pizer, B.; Fisher, D.; Kearns, P.; Picton, S.; Saran, F.; et al. Diffuse intrinsic pontine glioma treated with prolonged temozolomide and radiotherapy--results of a United Kingdom phase II trial (CNS 2007 04). Eur. J. Cancer 2013, 49, 3856–3862. [Google Scholar] [CrossRef] [PubMed]
- Chaves, C.; Declèves, X.; Taghi, M.; Menet, M.C.; Lacombe, J.; Varlet, P.; Olaciregui, N.G.; Carcaboso, A.M.; Cisternino, S. Characterization of the Blood-Brain Barrier Integrity and the Brain Transport of SN-38 in an Orthotopic Xenograft Rat Model of Diffuse Intrinsic Pontine Glioma. Pharmaceutics 2020, 12, 399. [Google Scholar] [CrossRef]
- Main, C.; Wilson, J.S.; Stevens, S.P.; Houlton, A.E.; English, M.; Kearns, P.R.; Phillips, B.; Pizer, B.; Wilne, S.; Wheatley, K. The role of high-dose myeloablative chemotherapy with haematopoietic stem cell transplantation (HSCT) in children with central nervous system (CNS) tumours: Protocol for a systematic review and meta-analysis. Syst. Rev. 2015, 4, 168. [Google Scholar] [CrossRef] [PubMed]
- Crotty, E.E.; Leary, S.E.S.; Geyer, J.R.; Olson, J.M.; Millard, N.E.; Sato, A.A.; Ermoian, R.P.; Cole, B.L.; Lockwood, C.M.; Paulson, V.A.; et al. Children with DIPG and high-grade glioma treated with temozolomide, irinotecan, and bevacizumab: The Seattle Children’s Hospital experience. J. Neurooncol. 2020, 148, 607–617. [Google Scholar] [CrossRef] [PubMed]
- Jakacki, R.I.; Cohen, K.J.; Buxton, A.; Krailo, M.D.; Burger, P.C.; Rosenblum, M.K.; Brat, D.J.; Hamilton, R.L.; Eckel, S.P.; Zhou, T.; et al. Phase 2 study of concurrent radiotherapy and temozolomide followed by temozolomide and lomustine in the treatment of children with high-grade glioma: A report of the Children’s Oncology Group ACNS0423 study. Neuro. Oncol. 2016, 18, 1442–1450. [Google Scholar] [CrossRef] [PubMed]
- Hoffman, L.M.; Geller, J.; Leach, J.; Fouladi, M. A Feasibility and Randomized Phase II Study of Vorinostat, Bevacizumab, or Temozolomide During Radiation Followed by Maintenance Chemotherapy in Newly-Diagnosed Pediatric High-Grade Glioma: Children’s Oncology Group ACNS0822. Neuro Oncol. 2015, 17, iii39–iii40. [Google Scholar] [CrossRef]
- Grill, J.; Massimino, M.; Bouffet, E.; Azizi, A.A.; McCowage, G.; Cañete, A.; Saran, F.; Le Deley, M.C.; Varlet, P.; Morgan, P.S.; et al. Phase II, Open-Label, Randomized, Multicenter Trial (HERBY) of Bevacizumab in Pediatric Patients With Newly Diagnosed High-Grade Glioma. J. Clin. Oncol. 2018, 36, 951–958. [Google Scholar] [CrossRef]
- Warren, K.; Bent, R.; Wolters, P.L.; Prager, A.; Hanson, R.; Packer, R.; Shih, J.; Camphausen, K. A phase 2 study of pegylated interferon α-2b (PEG-Intron(®)) in children with diffuse intrinsic pontine glioma. Cancer 2012, 118, 3607–3613. [Google Scholar] [CrossRef]
- Rechberger, J.S.; Lu, V.M.; Zhang, L.; Power, E.A.; Daniels, D.J. Clinical trials for diffuse intrinsic pontine glioma: The current state of affairs. Childs Nerv. Syst. 2020, 36, 39–46. [Google Scholar] [CrossRef]
- DeWire, M.; Fuller, C.; Hummel, T.R.; Chow, L.M.L.; Salloum, R.; de Blank, P.; Pater, L.; Lawson, S.; Zhu, X.; Dexheimer, P.; et al. A phase I/II study of ribociclib following radiation therapy in children with newly diagnosed diffuse intrinsic pontine glioma (DIPG). J. Neurooncol. 2020, 149, 511–522. [Google Scholar] [CrossRef] [PubMed]
- Su, J.M.; Kilburn, L.B.; Mansur, D.B.; Krailo, M.; Buxton, A.; Adekunle, A.; Gajjar, A.; Adamson, P.C.; Weigel, B.; Fox, E.; et al. Phase 1/2 Trial of Vorinostat and Radiation and Maintenance Vorinostat in Children with Diffuse Intrinsic Pontine Glioma: A Children’s Oncology Group Report. Neuro. Oncol. 2021, 24, 655–664. [Google Scholar] [CrossRef] [PubMed]
- Baxter, P.A.; Su, J.M.; Onar-Thomas, A.; Billups, C.A.; Li, X.N.; Poussaint, T.Y.; Smith, E.R.; Thompson, P.; Adesina, A.; Ansell, P.; et al. A phase I/II study of veliparib (ABT-888) with radiation and temozolomide in newly diagnosed diffuse pontine glioma: A Pediatric Brain Tumor Consortium study. Neuro. Oncol. 2020, 22, 875–885. [Google Scholar] [CrossRef] [PubMed]
- Su, J.M.; Murray, J.C.; McNall-Knapp, R.Y.; Bowers, D.C.; Shah, S.; Adesina, A.M.; Paulino, A.C.; Jo, E.; Mo, Q.; Baxter, P.A.; et al. A phase 2 study of valproic acid and radiation, followed by maintenance valproic acid and bevacizumab in children with newly diagnosed diffuse intrinsic pontine glioma or high-grade glioma. Pediatr. Blood Cancer 2020, 67, e28283. [Google Scholar] [CrossRef] [PubMed]
- Salloum, R.; Hummel, T.R.; Kumar, S.S.; Dorris, K.; Li, S.; Lin, T.; Daryani, V.M.; Stewart, C.F.; Miles, L.; Poussaint, T.Y.; et al. A molecular biology and phase II study of imetelstat (GRN163L) in children with recurrent or refractory central nervous system malignancies: A pediatric brain tumor consortium study. J. Neurooncol. 2016, 129, 443–451. [Google Scholar] [CrossRef]
- Fangusaro, J.; Mitchell, D.A.; Kocak, M.; Robinson, G.W.; Baxter, P.A.; Hwang, E.I.; Huang, J.; Onar-Thomas, A.; Dunkel, I.J.; Fouladi, M.; et al. Phase 1 study of pomalidomide in children with recurrent, refractory, and progressive central nervous system tumors: A Pediatric Brain Tumor Consortium trial. Pediatr. Blood Cancer 2021, 68, e28756. [Google Scholar] [CrossRef]
- Lieberman, N.A.P.; DeGolier, K.; Kovar, H.M.; Davis, A.; Hoglund, V.; Stevens, J.; Winter, C.; Deutsch, G.; Furlan, S.N.; Vitanza, N.A.; et al. Characterization of the immune microenvironment of diffuse intrinsic pontine glioma: Implications for development of immunotherapy. Neuro. Oncol. 2019, 21, 83–94. [Google Scholar] [CrossRef]
- Mount, C.W.; Majzner, R.G.; Sundaresh, S.; Arnold, E.P.; Kadapakkam, M.; Haile, S.; Labanieh, L.; Hulleman, E.; Woo, P.J.; Rietberg, S.P.; et al. Potent antitumor efficacy of anti-GD2 CAR T cells in H3-K27M. Nat. Med. 2018, 24, 572–579. [Google Scholar] [CrossRef]
- Patterson, J.D.; Henson, J.C.; Breese, R.O.; Bielamowicz, K.J.; Rodriguez, A. CAR T Cell Therapy for Pediatric Brain Tumors. Front. Oncol. 2020, 10, 1582. [Google Scholar] [CrossRef]
- Majzner, R.G.; Theruvath, J.L.; Nellan, A.; Heitzeneder, S.; Cui, Y.; Mount, C.W.; Rietberg, S.P.; Linde, M.H.; Xu, P.; Rota, C.; et al. CAR T Cells Targeting B7-H3, a Pan-Cancer Antigen, Demonstrate Potent Preclinical Activity Against Pediatric Solid Tumors and Brain Tumors. Clin. Cancer Res. 2019, 25, 2560–2574. [Google Scholar] [CrossRef]
- Majzner, R.G.; Ramakrishna, S.; Yeom, K.W.; Patel, S.; Chinnasamy, H.; Schultz, L.M.; Richards, R.M.; Jiang, L.; Barsan, V.; Mancusi, R.; et al. GD2-CAR T cell therapy for H3K27M-mutated diffuse midline gliomas. Nature 2022, 603, 934–941. [Google Scholar] [CrossRef] [PubMed]
- Lang, F.F.; Conrad, C.; Gomez-Manzano, C.; Yung, W.K.A.; Sawaya, R.; Weinberg, J.S.; Prabhu, S.S.; Rao, G.; Fuller, G.N.; Aldape, K.D.; et al. Phase I Study of DNX-2401 (Delta-24-RGD) Oncolytic Adenovirus: Replication and Immunotherapeutic Effects in Recurrent Malignant Glioma. J. Clin. Oncol. 2018, 36, 1419–1427. [Google Scholar] [CrossRef] [PubMed]
- Stein, M.N.; Malhotra, J.; Tarapore, R.S.; Malhotra, U.; Silk, A.W.; Chan, N.; Rodriguez, L.; Aisner, J.; Aiken, R.D.; Mayer, T.; et al. Safety and enhanced immunostimulatory activity of the DRD2 antagonist ONC201 in advanced solid tumor patients with weekly oral administration. J. Immunother. Cancer 2019, 7, 136. [Google Scholar] [CrossRef] [PubMed]
- Duchatel, R.J.; Mannan, A.; Woldu, A.S.; Hawtrey, T.; Hindley, P.A.; Douglas, A.M.; Jackson, E.R.; Findlay, I.J.; Germon, Z.P.; Staudt, D.; et al. Preclinical and clinical evaluation of German-sourced ONC201 for the treatment of H3K27M-mutant diffuse intrinsic pontine glioma. Neurooncol. Adv. 2021, 3, vdab169. [Google Scholar] [CrossRef]
- Perla, A.; Fratini, L.; Cardoso, P.S.; Nör, C.; Brunetto, A.T.; Brunetto, A.L.; de Farias, C.B.; Jaeger, M.; Roesler, R. Histone Deacetylase Inhibitors in Pediatric Brain Cancers: Biological Activities and Therapeutic Potential. Front. Cell. Dev. Biol. 2020, 8, 546. [Google Scholar] [CrossRef]
- New, M.; Olzscha, H.; La Thangue, N.B. HDAC inhibitor-based therapies: Can we interpret the code? Mol. Oncol. 2012, 6, 637–656. [Google Scholar] [CrossRef]
- Mohammad, F.; Weissmann, S.; Leblanc, B.; Pandey, D.P.; Højfeldt, J.W.; Comet, I.; Zheng, C.; Johansen, J.V.; Rapin, N.; Porse, B.T.; et al. EZH2 is a potential therapeutic target for H3K27M-mutant pediatric gliomas. Nat. Med. 2017, 23, 483–492. [Google Scholar] [CrossRef]
- French, C.A. Small-Molecule Targeting of BET Proteins in Cancer. Adv. Cancer Res. 2016, 131, 21–58. [Google Scholar] [CrossRef]
- Wiese, M.; Hamdan, F.H.; Kubiak, K.; Diederichs, C.; Gielen, G.H.; Nussbaumer, G.; Carcaboso, A.M.; Hulleman, E.; Johnsen, S.A.; Kramm, C.M. Combined treatment with CBP and BET inhibitors reverses inadvertent activation of detrimental super enhancer programs in DIPG cells. Cell Death Dis. 2020, 11, 673. [Google Scholar] [CrossRef]
- Hashizume, R.; Andor, N.; Ihara, Y.; Lerner, R.; Gan, H.; Chen, X.; Fang, D.; Huang, X.; Tom, M.W.; Ngo, V.; et al. Pharmacologic inhibition of histone demethylation as a therapy for pediatric brainstem glioma. Nat. Med. 2014, 20, 1394–1396. [Google Scholar] [CrossRef]
- Nichol, J.N.; Dupéré-Richer, D.; Ezponda, T.; Licht, J.D.; Miller, W.H. H3K27 Methylation: A Focal Point of Epigenetic Deregulation in Cancer. Adv. Cancer Res. 2016, 131, 59–95. [Google Scholar] [CrossRef] [PubMed]
- Zhou, Z.; Singh, R.; Souweidane, M.M. Convection-Enhanced Delivery for Diffuse Intrinsic Pontine Glioma Treatment. Curr. Neuropharmacol. 2017, 15, 116–128. [Google Scholar] [CrossRef] [PubMed]
- Souweidane, M.M.; Kramer, K.; Pandit-Taskar, N.; Zhou, Z.; Haque, S.; Zanzonico, P.; Carrasquillo, J.A.; Lyashchenko, S.K.; Thakur, S.B.; Donzelli, M.; et al. Convection-enhanced delivery for diffuse intrinsic pontine glioma: A single-centre, dose-escalation, phase 1 trial. Lancet Oncol. 2018, 19, 1040–1050. [Google Scholar] [CrossRef]
- Szychot, E.; Collins, P.; Cassidy, H.; Walker, D. New trial of convection enhanced drug delivery (CED) in DIPG- applying the SIOPe DIPG survival prediction model for power calculation. Neuro. Oncol. 2019, 21, iv11. [Google Scholar] [CrossRef]
- Bobo, R.H.; Laske, D.W.; Akbasak, A.; Morrison, P.F.; Dedrick, R.L.; Oldfield, E.H. Convection-enhanced delivery of macromolecules in the brain. Proc. Natl. Acad. Sci. USA 1994, 91, 2076–2080. [Google Scholar] [CrossRef]
- Fiandaca, M.S.; Forsayeth, J.R.; Dickinson, P.J.; Bankiewicz, K.S. Image-guided convection-enhanced delivery platform in the treatment of neurological diseases. Neurotherapeutics 2008, 5, 123–127. [Google Scholar] [CrossRef]
- Pagani, M.; Stone-Elander, S.; Larsson, S.A. Alternative positron emission tomography with non-conventional positron emitters: Effects of their physical properties on image quality and potential clinical applications. Eur. J. Nucl. Med. 1997, 24, 1301–1327. [Google Scholar] [CrossRef]




| NCT Number | Title | Intervention | Location |
|---|---|---|---|
| NCT03126266 | Re-irradiation of Progressive or Recurrent DIPG | Radiation: re-irradiation | Alberta Children’s Hospital, Calgary, Alberta, Canada |
| NCT04250064 | A Study of Low Dose Bevacizumab with Conventional Radiotherapy Aline in DIPG | Drug: Bevacizumab Injection Radiation: Ultra-low-dose RT | Tala Memorial Hospital, Mumbai, Maharashtra, India |
| NCT03605550 | A Phase 1b Study of PTC596 in Children with Newly Diagnosed DIPG and High-Grade Glioma | Drug: PTC596 Radiation: Radiotherapy |
|
| NCT04049669 | Pediatric Trial of Indoximod with Chemotherapy and Radiation for Relapsed Brain Tumors or Newly Diagnosed DIPG | Drug: Indoximod Radiation: Partial Radiation Radiation: Full-dose Radiation Drug: Temozolomide Drug: Cyclophosphamide Drug: Etoposide Drug: Lomustine |
|
| NCT03620032 | Study of Re-irradiation at Relapse Versus RT and Multiple Elective RT Courses | Drug: Nimotuzumab Drug: Vinorelbine Other: Radiotherapy | Fondazione IRCCS Istituto Nazionale Tumori, Milan, Italy |
| NCT03690869 | REGN2810 in Pediatric Patients with Relapsed, Refractory Solid, or Central Nervous System (CNS) Tumors and Safety and Efficacy of REGN2810 in Combination with Radiotherapy in Pediatric Patients With Newly Diagnosed or Recurrent Glioma | Drug: REGN2810 (monotherapy) Drug: REGN2810 (maintenance) Radiation: Conventional or hypofractionated Radiation: Re-irradiation |
|
| NCT01502917 | Convection-Enhanced Delivery of 124I-Omburtamab for Patients with Non-Progressive Diffuse Pontine Gliomas Previously Treated with External Beam Radiation Therapy | Drug: Radioactive iodine-labeled monoclonal antibody omburtamab Radiation: External Beam Radiotherapy |
|
| NCT Number | Title | Intervention | Location |
|---|---|---|---|
| NCT03709680 | Study of Palbociclib Combined with Chemotherapy In Pediatric Patients With Recurrent/Refractory Solid Tumors | Drug: Palbociclib Drug: Temozolomide Drug: Irinotecan Drug: Topotecan Drug: Cyclophosphamide |
|
| NCT04049669 | Pediatric Trial of Indoximod with Chemotherapy and Radiation for Relapsed Brain Tumors or Newly Diagnosed DIPG | Drug: Indoximod Radiation: Partial Radiation Radiation: Full-dose Radiation Drug: Temozolomide Drug: Cyclophosphamide Drug: Etoposide Drug: Lomustine |
|
| NCT03620032 | Study of Re-irradiation at Relapse versus RT and Multiple Elective RT Courses | Drug: Nimotuzumab Drug: Vinorelbine Other: Radiotherapy | Fondazione IRCCS Istituto Nazionale Tumori, Milan, Italy |
| NCT02992015 | Gemcitabine in Newly Diagnosed DIPG | Drug: Gemcitabine | Children’s Hospital Colorado, Aurora, Colorado, United States |
| NCT04196413 | GD2 CAR T Cells in DIPG & Spinal Diffuse Midline Glioma (DMG) | Drug: GD2 CAR T cells Drug: Fludarabine Drug: Cyclophosphamide | Lucile Packard Children’s Hospital, Stanford, California, United States |
| NCT04099797 | C7R-GD2.CAR T Cells for Patients with GD2-expressing Brain Tumors (GAIL-B) | Drug: (C7R)-GD2.CART cells Drug: Cyclophosphamide Drug: Fludarabine | Texas Children’s Hospital, Houston, Texas, United States |
| NCT03396575 | Brain Stem Gliomas Treated with Adoptive Cellular Therapy During Focal Radiotherapy Recovery Alone or With Dose-intensified Temozolomide (Phase I) | Biological: TTRNA-DC vaccines with GM-CSF Biological: TTRNA-xALT Drug: Cyclophosphamide + Fludarabine Lymphodepletive Conditioning Drug: Dose- Intensified TMZ Drug: Td vaccine Biological: Autologous Hematopoietic Stem Cells (HSC) | University of Florida Health Shands Children’s Hospital, Gainesville, Florida, United States |
| NCT03243461 | International Cooperative Phase III Trial of the HIT-HGG Study Group (HIT-HGG-2013) | Drug: Temozolomide + Valproic Acid |
|
| NCT01837862 | A Phase I Study of Mebendazole for the Treatment of Pediatric Gliomas | Drug: Mebendazole Drug: Vincristine Drug: Carboplatin Drug: Temozolomide Drug: Bevacizumab Drug: Irinotecan | Cohen Children’s Medical Center of New York, New Hyde Park, New York, United States |
| NCT Number | Title | Treatment Modality | Results |
|---|---|---|---|
| NCT01182350 | Molecularly Determined Treatment of DIPG | Drug: Bevacizumab Drug: Erlotinib Drug: Temozolomide Radiation: RT | Study terminated early having met the pre-specified stopping rule which required 3 or more cohorts with at least 10 patients each or 2 cohorts with at least 15 patients each in the first 50 patients with informative biopsies. Treatment did not comment on OS but showed feasibility of surgical biopsy for DIPG [67]. |
| NCT02607124 | A Phase I/II Study of Ribociclib, a CDK4/6 Inhibitor, Following Radiation Therapy | Drug: Ribociclib | The study included 10 patients. The 1-year and median OS was 89% and 16.1 months. Concluded ribociclib administered following radiotherapy is feasible in DIPG but did not significantly improve OS [91]. |
| NCT01189266 | Vorinostat and Radiation Therapy Followed by Maintenance Therapy with Vorinostat in Treating Younger Patients with Newly Diagnosed DIPG | Radiation: 3-Dimensional Conformal Radiation Therapy Radiation: Intensity-Modulated Radiation Therapy Other: Laboratory Biomarker Analysis Drug: Vorinostat | This study is active but not recruiting. Study participants included 12 participants. The study showed that vorinostat given concurrently with radiation followed by vorinostat monotherapy was well tolerated in children but failed to improve a 1-year OS [92]. |
| NCT00036569 | A Phase II Study of Pegylated Interferon Alpha 2b in Children with DIPG | Procedure: adjuvant therapy Biological: pegylated interferon alfa | 32 patients with DIPG enrolled in this study. The study did not significantly improve the 2-year OS in children with DIPG [89]. |
| NCT01514201 | Veliparib, Radiation Therapy and Temozolomide in Treating Younger Patients with Newly Diagnosed DIPG | Radiation: 3-Dimensional Conformal Radiation Therapy Radiation Intensity-modulated radiation therapy Other: Laboratory biomarker analysis Other: Pharmacological study Drug: Temozolomide Drug: Veliparib | 66 patients were enrolled in this study. The addition of veliparib to radiation followed by TMZ was tolerated but did not improve survival for patient with DIPG with a 1- and 2-year OS of 37.2% and 5.3% [93]. |
| NCT00879437 | Valproic Acid, Radiation and Bevacizumab in Children with HGG or DIPG | Drug: Valproic acid Drug: Bevacizumab Radiation: Radiation therapy | The study enrolled 20 patients with DIPG. The addition of valproic acid and bevacizumab to radiation was well tolerated but did not improve the event free survival (7.8 months) or OS (10.3 months) in children with DIPG [94]. |
| NCT01774253 | Erivedge (Vismodegib) in the Treatment of Pediatric Patients with Refractory Pontine Glioma | Drug: Vismodegib | The study initially enrolled 9 patients but was terminated early due to lack of enrollment and given that all initial 9 patients did not complete the study. |
| NCT01836549 | Imetelstat Sodium in Treating Younger Patients with Recurrent or Refractory Brain Tumors | Drug: imetelstat sodium | This study included a total of 42 participants and 9 with DIPG. The study was prematurely closed due to two patients suffering intratumoral hemorrhage However, no objective responses were observed within the DIPG cohort [95]. |
| NCT03257631 | A Study of Pomalidomide Monotherapy for Children and Young Adults with Recurrent or Progressive Primary Brain Tumors | Drug: Pomalidomide | The study included a total of 52 patients and 11 with DIPG. No objective response was seen in the DIPG cohort with the median OS being 5.06 months [96]. |
| NCT02343406 | Adult Study: ABT-414 Alone or ABT-414 Plus Temozolomide vs. Lomustine or Temozolomide for Recurrent Glioblastoma Pediatric Study: Evaluation of ABT-414 in Children with HGGs | Drug: Depatuxizumab mafodotin Drug: Temozolomide Drug: Lomustine | The study only included a total of six pediatric patients with high-grade gliomas with only one that completed the study. It was not specified if this patient had DIPG and their survival was not specified. |
| NCT Number | Title | Intervention | Location |
|---|---|---|---|
| NCT04749641 | Neoantigen Vaccine Therapy Against H3.3-K27M DIPG | Biological: Histone H3.3-K27M Neoantigen Vaccine Therapy | Beijing Tiantan Hospital, Capital Medical University, Beijing, Beijing, China |
| NCT02960230 | H3.3K27M Peptide Vaccine with Nivolumab for Children with Newly Diagnosed DIPG and Other Gliomas | Biological: K27M peptide Drug: Nivolumab |
|
| NCT03396575 | Brain Stem Gliomas Treated with Adoptive Cellular Therapy During Focal Radiotherapy Recovery Alone or With Dose- intensified Temozolomide (Phase I) | Biological: TTRNA- DC vaccines with GM-CSF Biological: TTRNA-xALT Drug: Cyclophosphamide + Fludarabine Lymphodepletive Conditioning Drug: Dose-Intensified TMZ Drug: Td vaccine Biological: Autologous Hematopoietic Stem Cells (HSC) | University of Florida Health Shands Children’s Hospital, Gainesville, Florida, United States |
| NCT04099797 | C7R-GD2.CAR T Cells for Patients with GD2-expressing Brain Tumors (GAIL-B) | Drug: (C7R)-GD2.CART cells Drug: Cyclophosphamide Drug: Fludarabine | Texas Children’s Hospital, Houston, Texas, United States |
| NCT04196413 | GD2 CAR T Cells in DIPG & Spinal Diffuse Midline Glioma (DMG) | Drug: GD2 CAR T cells Drug: Fludarabine Drug: Cyclophosphamide | Lucile Packard Children’s Hospital, Stanford, California, United States |
| NCT04185038 | Study of B7-H3-Specific CAR T Cell Locoregional Immunotherapy for Diffuse Intrinsic Pontine Glioma/Diffuse Midline Glioma and Recurrent or Refractory Pediatric Central Nervous System Tumors | Biological: SCRI-CARB7H3(s); B7H3-specific chimeric antigen receptor (CAR) T cel | Seattle Children’s Hospital, Seattle, Washington, United States |
| NCT04049669 | Pediatric Trial of Indoximod with Chemotherapy and Radiation for Relapsed Brain Tumors or Newly Diagnosed DIPG | Drug: Indoximod Radiation: Partial Radiation Radiation: Full-dose Radiation Drug: Temozolomide Drug: Cyclophosphamide Drug: Etoposide Drug: Lomustine |
|
| NCT03416530 | ONC201 in Pediatric H3 K27M Gliomas | Drug: ONC201 |
|
| NCT04749641 | Neoantigen Vaccine Therapy Against H3.3-K27M DIPG | Biological: Histone H3.3-K27M Neoantigen Vaccine Therapy | Beijing Tiantan Hospital, Capital Medical University, Beijing, Beijing, China |
| NCT02960230 | H3.3K27M Peptide Vaccine with Nivolumab for Children with Newly Diagnosed DIPG and Other Gliomas | Biological: K27M peptide Drug: Nivolumab |
|
| NCT03396575 | Brain Stem Gliomas Treated with Adoptive Cellular Therapy During Focal Radiotherapy Recovery Alone or With Dose- intensified Temozolomide (Phase I) | Biological: TTRNA- DC vaccines with GM-CSF Biological: TTRNA- xALT Drug: Cyclophosphamide + Fludarabine Lymphodepletive Conditioning Drug: Dose-Intensified TMZ Drug: Td vaccine Biological: Autologous Hematopoietic Stem Cells (HSC) | University of Florida Health Shands Children’s Hospital, Gainesville, Florida, United States |
| NCT04099797 | C7R-GD2.CAR T Cells for Patients with GD2-expressing Brain Tumors (GAIL-B) | Drug: (C7R)-GD2.CART cells Drug: Cyclophosphamide Drug: Fludarabine | Texas Children’s Hospital, Houston, Texas, United States |
| NCT04196413 | GD2 CAR T Cells in DIPG & Spinal Diffuse Midline Glioma (DMG) | Drug: GD2 CAR T cells Drug: Fludarabine Drug: Cyclophosphamide | Lucile Packard Children’s Hospital, Stanford, California, United States |
| NCT04185038 | Study of B7-H3-Specific CAR T Cell Locoregional Immunotherapy for Diffuse Intrinsic Pontine Glioma/Diffuse Midline Glioma and Recurrent or Refractory Pediatric Central Nervous System Tumors | Biological: SCRI- CARB7H3(s); B7H3-specific chimeric antigen receptor (CAR) T cell | Seattle Children’s Hospital, Seattle, Washington, United States |
| NCT04049669 | Pediatric Trial of Indoximod with Chemotherapy and Radiation for Relapsed Brain Tumors or Newly Diagnosed DIPG | Drug: Indoximod Radiation: Partial Radiation Radiation: Full-dose Radiation Drug: Temozolomide Drug: Cyclophosphamide Drug: Etoposide Drug: Lomustine |
|
Publisher’s Note: MDPI stays neutral with regard to jurisdictional claims in published maps and institutional affiliations. |
© 2022 by the authors. Licensee MDPI, Basel, Switzerland. This article is an open access article distributed under the terms and conditions of the Creative Commons Attribution (CC BY) license (https://creativecommons.org/licenses/by/4.0/).
Share and Cite
Damodharan, S.; Lara-Velazquez, M.; Williamsen, B.C.; Helgager, J.; Dey, M. Diffuse Intrinsic Pontine Glioma: Molecular Landscape, Evolving Treatment Strategies and Emerging Clinical Trials. J. Pers. Med. 2022, 12, 840. https://doi.org/10.3390/jpm12050840
Damodharan S, Lara-Velazquez M, Williamsen BC, Helgager J, Dey M. Diffuse Intrinsic Pontine Glioma: Molecular Landscape, Evolving Treatment Strategies and Emerging Clinical Trials. Journal of Personalized Medicine. 2022; 12(5):840. https://doi.org/10.3390/jpm12050840
Chicago/Turabian StyleDamodharan, Sudarshawn, Montserrat Lara-Velazquez, Brooke Carmen Williamsen, Jeffrey Helgager, and Mahua Dey. 2022. "Diffuse Intrinsic Pontine Glioma: Molecular Landscape, Evolving Treatment Strategies and Emerging Clinical Trials" Journal of Personalized Medicine 12, no. 5: 840. https://doi.org/10.3390/jpm12050840
APA StyleDamodharan, S., Lara-Velazquez, M., Williamsen, B. C., Helgager, J., & Dey, M. (2022). Diffuse Intrinsic Pontine Glioma: Molecular Landscape, Evolving Treatment Strategies and Emerging Clinical Trials. Journal of Personalized Medicine, 12(5), 840. https://doi.org/10.3390/jpm12050840

