Angio Cone-Beam CT (Angio-CBCT) and 3D Road-Mapping for the Detection of Spinal Cord Vascularization in Patients Requiring Treatment for a Thoracic Aortic Lesion: A Feasibility Study
Abstract
1. Introduction
2. Materials and Methods
2.1. Study Design
2.2. Diagnostic Angiography Procedure
2.3. Surgical Management and Neurological Follow-Up
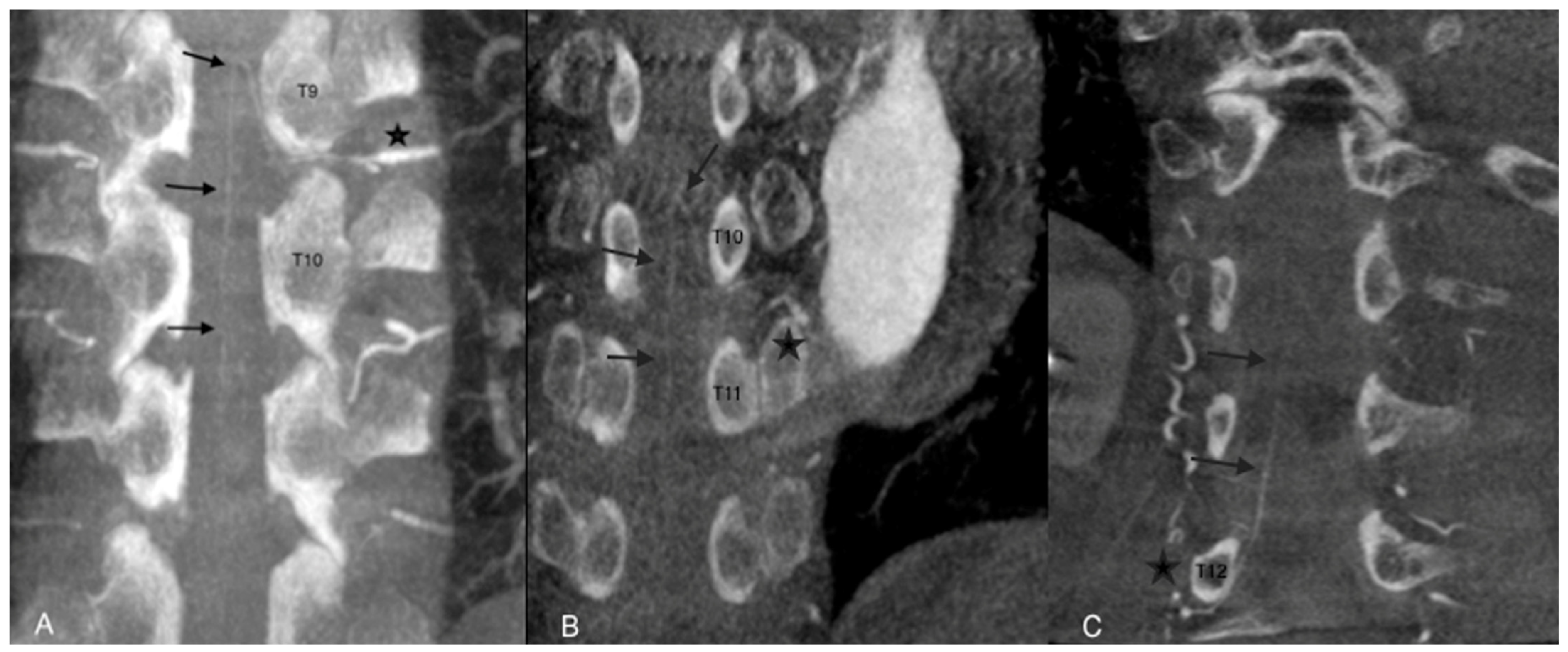
3. Results
4. Discussion
5. Conclusions
Author Contributions
Funding
Institutional Review Board Statement
Informed Consent Statement
Data Availability Statement
Conflicts of Interest
References
- Coselli, J.S.; Bozinovski, J.; Le Maire, S.A. Open Surgical Repair of 2286 Thoracoabdominal Aortic Aneurysms. Ann. Thorac. Surg. 2007, 83, S862–S864. [Google Scholar] [CrossRef]
- Schepens, M.A.; Heijmen, R.H.; Ranschaert, W.; Sonker, U.; Morshuis, W.J. Thoracoabdominal Aortic Aneurysm Repair: Results of Conventional Open Surgery. Eur. J. Vasc. Endovasc. Surg. 2009, 37, 640–645. [Google Scholar] [CrossRef]
- Gialdini, G.; Parikh, N.S.; Chatterjee, A.; Lerario, M.P.; Kamel, H.; Schneider, D.B.; Navi, B.B.; Murthy, S.B.; Iadecola, C.; Merkler, A.E. Rates of Spinal Cord Infarction After Repair of Aortic Aneurysm or Dissection. Stroke 2017, 48, 2073–2077. [Google Scholar] [CrossRef] [PubMed]
- Ogino, H.; Sasaki, H.; Minatoya, K.; Matsuda, H.; Yamada, N.; Kitamura, S. Combined Use of Adamkiewicz Artery Demonstration and Motor-Evoked Potentials in Descending and Thoracoabdominal Repair. Ann. Thorac. Surg. 2006, 82, 592–596. [Google Scholar] [CrossRef] [PubMed]
- Coselli, J.S.; LeMaire, S.A.; Köksoy, C.; Schmittling, Z.C.; Curling, P.E. Cerebrospinal Fluid Drainage Reduces Paraplegia after Thoracoabdominal Aortic Aneurysm Repair: Results of a Randomized Clinical Trial. J. Vasc. Surg. 2002, 35, 631–639. [Google Scholar] [CrossRef] [PubMed]
- Lazorthes, G.; Gouaze, A.; Zadeh, J.O.; Santini, J.J.; Lazorthes, Y.; Burdin, P. Arterial Vascularization of the Spinal Cord. Recent Studies of the Anastomotic Substitution Pathways. J. Neurosurg. 1971, 35, 253–262. [Google Scholar] [CrossRef]
- Alleyne, C.H.; Cawley, C.M.; Shengelaia, G.G.; Barrow, D.L. Microsurgical Anatomy of the Artery of Adamkiewicz and Its Segmental Artery. J. Neurosurg. 1998, 89, 791–795. [Google Scholar] [CrossRef]
- Kamada, T.; Yoshioka, K.; Tanaka, R.; Makita, S.; Abiko, A.; Mukaida, M.; Ikai, A.; Okabayashi, H. Strategy for Thoracic Endovascular Aortic Repair Based on Collateral Circulation to the Artery of Adamkiewicz. Surg. Today 2016, 46, 1024–1030. [Google Scholar] [CrossRef]
- Maier, S.; Shcherbakova, M.; Beyersdorf, F.; Benk, C.; Kari, F.A.; Siepe, M.; Czerny, M.; Rylski, B. Benefits and Risks of Prophylactic Cerebrospinal Fluid Catheter and Evoked Potential Monitoring in Symptomatic Spinal Cord Ischemia Low-Risk Thoracic Endovascular Aortic Repair. Thorac. Cardiovasc. Surg. 2019, 67, 379–384. [Google Scholar] [CrossRef]
- Kieffer, E.; Fukui, S.; Chiras, J.; Koskas, F.; Bahnini, A.; Cormier, E. Spinal Cord Arteriography: A Safe Adjunct before Descending Thoracic or Thoracoabdominal Aortic Aneurysmectomy. J. Vasc. Surg. 2002, 35, 262–268. [Google Scholar] [CrossRef]
- Yoshioka, K.; Niinuma, H.; Ohira, A.; Nasu, K.; Kawakami, T.; Sasaki, M.; Kawazoe, K. MR Angiography and CT Angiography of the Artery of Adamkiewicz: Noninvasive Preoperative Assessment of Thoracoabdominal Aortic Aneurysm. Radiographics 2003, 23, 1215–1225. [Google Scholar] [CrossRef]
- Yoshioka, K.; Niinuma, H.; Ehara, S.; Nakajima, T.; Nakamura, M.; Kawazoe, K. MR Angiography and CT Angiography of the Artery of Adamkiewicz: State of the Art. Radiographics 2006, 26, S63–S73. [Google Scholar] [CrossRef]
- Bley, T.A.; Duffek, C.C.; François, C.J.; Schiebler, M.L.; Acher, C.W.; Mell, M.; Grist, T.M.; Reeder, S.B. Presurgical Localization of the Artery of Adamkiewicz with Time-Resolved 3.0-T MR Angiography. Radiology 2010, 255, 873–881. [Google Scholar] [CrossRef]
- Nishida, J.; Kitagawa, K.; Nagata, M.; Yamazaki, A.; Nagasawa, N.; Sakuma, H. Model-Based Iterative Reconstruction for Multi-Detector Row CT Assessment of the Adamkiewicz Artery. Radiology 2014, 270, 282–291. [Google Scholar] [CrossRef]
- Yoshioka, K.; Tanaka, R.; Takagi, H.; Ueyama, Y.; Kikuchi, K.; Chiba, T.; Arakita, K.; Schuijf, J.D.; Saito, Y. Ultra-High-Resolution CT Angiography of the Artery of Adamkiewicz: A Feasibility Study. Neuroradiology 2018, 60, 109–115. [Google Scholar] [CrossRef]
- Takagi, H.; Ota, H.; Natsuaki, Y.; Komori, Y.; Ito, K.; Saiki, Y.; Takase, K. Identifying the Adamkiewicz Artery Using 3-T Time-Resolved Magnetic Resonance Angiography: Its Role in Addition to Multidetector Computed Tomography Angiography. Jpn. J. Radiol. 2015, 33, 749–756. [Google Scholar] [CrossRef]
- Shimoyama, S.; Nishii, T.; Watanabe, Y.; Kono, A.K.; Kagawa, K.; Takahashi, S.; Sugimura, K. Advantages of 70-KV CT Angiography for the Visualization of the Adamkiewicz Artery: Comparison with 120-KV Imaging. AJNR Am. J. Neuroradiol. 2017, 38, 2399–2405. [Google Scholar] [CrossRef]
- Floridi, C.; Radaelli, A.; Abi-Jaoudeh, N.; Grass, M.; Grass, M.; Lin, M.; De Lin, M.; Chiaradia, M.; Geschwind, J.-F.; Kobeiter, H.; et al. C-Arm Cone-Beam Computed Tomography in Interventional Oncology: Technical Aspects and Clinical Applications. Radiol. Med. 2014, 119, 521–532. [Google Scholar] [CrossRef]
- Hermie, L.; Dhondt, E.; Vanlangenhove, P.; De Waele, J.; Degroote, H.; Defreyne, L. Empiric Cone-Beam CT-Guided Embolization in Acute Lower Gastrointestinal Bleeding. Eur. Radiol. 2021, 31, 2161–2172. [Google Scholar] [CrossRef]
- Peisen, F.; Maurer, M.; Grosse, U.; Nikolaou, K.; Syha, R.; Artzner, C.; Bitzer, M.; Horger, M.; Grözinger, G. Intraprocedural Cone-Beam CT with Parenchymal Blood Volume Assessment for Transarterial Chemoembolization Guidance: Impact on the Effectiveness of the Individual TACE Sessions Compared to DSA Guidance Alone. Eur. J. Radiol. 2021, 140, 109768. [Google Scholar] [CrossRef]
- Honarmand, A.R.; Gemmete, J.J.; Hurley, M.C.; Shaibani, A.; Chaudhary, N.; Pandey, A.S.; Bendok, B.R.; Ansari, S.A. Adjunctive Value of Intra-Arterial Cone Beam CT Angiography Relative to DSA in the Evaluation of Cranial and Spinal Arteriovenous Fistulas. J. Neurointerv. Surg. 2015, 7, 517–523. [Google Scholar] [CrossRef]
- Williams, G.M.; Roseborough, G.S.; Webb, T.H.; Perler, B.A.; Krosnick, T. Preoperative Selective Intercostal Angiography in Patients Undergoing Thoracoabdominal Aneurysm Repair. J. Vasc. Surg. 2004, 39, 314–321. [Google Scholar] [CrossRef]
- Yogendranathan, N.; Herath, H.M.M.T.B.; Jayamali, W.D.; Matthias, A.T.; Pallewatte, A.; Kulatunga, A. A Case of Anterior Spinal Cord Syndrome in a Patient with Unruptured Thoracic Aortic Aneurysm with a Mural Thrombus. BMC Cardiovasc. Disord 2018, 18, 48. [Google Scholar] [CrossRef]
- Aydin, A. Mechanisms and Prevention of Anterior Spinal Artery Syndrome Following Abdominal Aortic Surgery. Angiol. Sosud. Khirurgiia 2015, 21, 155–164. [Google Scholar]
- Matsuda, H.; Fukuda, T.; Iritani, O.; Nakazawa, T.; Tanaka, H.; Sasaki, H.; Minatoya, K.; Ogino, H. Spinal Cord Injury Is Not Negligible after TEVAR for Lower Descending Aorta. Eur. J. Vasc. Endovasc. Surg. 2010, 39, 179–186. [Google Scholar] [CrossRef]
- Heinemann, M.K.; Brassel, F.; Herzog, T.; Dresler, C.; Becker, H.; Borst, H.G. The Role of Spinal Angiography in Operations on the Thoracic Aorta: Myth or Reality? Ann. Thorac. Surg. 1998, 65, 346–351. [Google Scholar] [CrossRef]
- Minatoya, K.; Karck, M.; Hagl, C.; Meyer, A.; Brassel, F.; Harringer, W.; Haverich, A. The Impact of Spinal Angiography on the Neurological Outcome after Surgery on the Descending Thoracic and Thoracoabdominal Aorta. Ann. Thorac. Surg. 2002, 74, S1870–S1872. [Google Scholar] [CrossRef]
- Dias-Neto, M.; Reis, P.; Mendes, L.; Rodrigues, M.; Amaral, C.; Afonso, G.; Fernando Teixeira, J. Institutional Protocol for Prevention of TEVAR-Related Spinal Cord Ischemia—The First 9 Cases. Rev. Port. Cir. Cardio-Torac. Vasc. 2017, 24, 151. [Google Scholar]
- Uchida, N. How to Prevent Spinal Cord Injury during Endovascular Repair of Thoracic Aortic Disease. Gen. Thorac. Cardiovasc. Surg. 2014, 62, 391–397. [Google Scholar] [CrossRef]
- Bisdas, T.; Panuccio, G.; Sugimoto, M.; Torsello, G.; Austermann, M. Risk Factors for Spinal Cord Ischemia after Endovascular Repair of Thoracoabdominal Aortic Aneurysms. J. Vasc. Surg. 2015, 61, 1408–1416. [Google Scholar] [CrossRef]
- Etz, C.D.; Debus, E.S.; Mohr, F.-W.; Kölbel, T. First-in-Man Endovascular Preconditioning of the Paraspinal Collateral Network by Segmental Artery Coil Embolization to Prevent Ischemic Spinal Cord Injury. J. Thorac. Cardiovasc. Surg. 2015, 149, 1074–1079. [Google Scholar] [CrossRef] [PubMed]
- Geisbüsch, S.; Stefanovic, A.; Koruth, J.; Lin, H.; Morgello, S.; Weisz, D.; Griepp, R.; Di Luozzo, G. Endovascular Coil Embolization of Segmental Arteries Prevents Paraplegia After Subsequent TAAA Repair—An Experimental Model. J. Thorac. Cardiovasc. Surg. 2014, 147, 220–226. [Google Scholar] [CrossRef] [PubMed]
- Epstein, N.E. Cerebrospinal Fluid Drains Reduce Risk of Spinal Cord Injury for Thoracic/Thoracoabdominal Aneurysm Surgery: A Review. Surg. Neurol. Int. 2018, 9, 48. [Google Scholar] [CrossRef] [PubMed]
- Matsuda, H.; Ogino, H.; Fukuda, T.; Iritani, O.; Sato, S.; Iba, Y.; Tanaka, H.; Sasaki, H.; Minatoya, K.; Kobayashi, J.; et al. Multidisciplinary Approach to Prevent Spinal Cord Ischemia After Thoracic Endovascular Aneurysm Repair for Distal Descending Aorta. Ann. Thorac. Surg. 2010, 90, 561–565. [Google Scholar] [CrossRef]
- Banga, P.V.; Oderich, G.S.; de Souza, L.R.; Hofer, J.; Gonzalez, M.L.C.; Pulido, J.N.; Cha, S.; Gloviczki, P. Neuromonitoring, Cerebrospinal Fluid Drainage, and Selective Use of Iliofemoral Conduits to Minimize Risk of Spinal Cord Injury During Complex Endovascular Aortic Repair. J. Endovasc. Ther. 2015, 23. [Google Scholar] [CrossRef]
- Cinà, C.S.; Abouzahr, L.; Arena, G.O.; Laganà, A.; Devereaux, P.J.; Farrokhyar, F. Cerebrospinal Fluid Drainage to Prevent Paraplegia during Thoracic and Thoracoabdominal Aortic Aneurysm Surgery: A Systematic Review and Meta-Analysis. J. Vasc. Surg. 2004, 40, 36–44. [Google Scholar] [CrossRef] [PubMed]
- Nishii, T.; Kono, A.K.; Nishio, M.; Negi, N.; Fujita, A.; Kohmura, E.; Sugimura, K. Bone-Subtracted Spinal CT Angiography Using Nonrigid Registration for Better Visualization of Arterial Feeders in Spinal Arteriovenous Fistulas. AJNR Am. J. Neuroradiol. 2015, 36, 2400–2406. [Google Scholar] [CrossRef]




| Variable | Patient Characteristics |
|---|---|
| Age, years (mean ± SD) | 68 ± 11 |
| Male, n (%) | 17 (81) |
| BMI, kg/m² (mean ± SD) | 27 ± 3.5 |
| Hypertension, n (%) | 17 (81) |
| Hyperlipidemia, n (%) | 7 (33) |
| Diabetes, n (%) | 2 (9) |
| Smoking, n (%) | 14 (66) |
| Descending thoracic aorta pathology, n (%) | |
| Aneurysm | 19 (90) |
| Dissection | 2 (10) |
| Aortic diameter, mm (mean ± SD) | 61.6 ± 8.1 |
| AA Assessable on CBCT (n = 15) | No AA Assessable on CBCT (n = 6) | p | |
|---|---|---|---|
| Second angio-CBCT, n (%) | 2 (13%) | 6 (100%) | |
| Feeding artery visible on angio-CBCT, n (%) | 5 (33) | x | |
| Feeding artery visible after selective guided DSA catheterization, n (%) | 10 (67) | 6 (100) | |
| Amount of iodine, mL (mean ± SD) | 71.8 ± 38.7 | 90.0 ± 26.1 | 0.23 |
| Fluoroscopy time, min (mean ± SD) | 16.7 ± 10.8 | 13.1 ± 8.7 | 0.45 |
| Length of the procedure, min (mean ± SD) | 46.5 ± 17.2 | 47.9 ± 26.0 | 0.84 |
| Irradiation, Gy/cm2 (med (IQR)) | 25.5 (20.0–40.0) | 70.4 (30.8–96.9) | 0.41 |
| Aortic aneurism diameter, mm (mean ± SD) | 60.33 ± 7.6 | 64.6 ± 9.3 | 0.28 |
| Right (n = 6) | Left (n = 15) | |
|---|---|---|
| T7, n (%) | 0 (0) | 1 (5) |
| T9, n (%) | 2 (10) | 4 (20) |
| T10, n (%) | 1 (5) | 2 (10) |
| T11, n (%) | 1 (5) | 6 (25) |
| T12, n (%) | 1 (5) | 1 (5) |
| L1, n (%) | 0 (0) | 1 (5) |
| L3, n (%) | 1 (5) | 0 (0) |
| Endovascular (n = 11) | Open Surgery (n = 5) | |
|---|---|---|
| Modification of the surgery, n (%) | 8 (73%) | 3 (60%) |
| 5 (45%) | x |
| 7 (64%) | 2 (40%) |
| x | 3 (60%) |
| Neurologic complication, n (%) | 0 | 1 (20%) |
Publisher’s Note: MDPI stays neutral with regard to jurisdictional claims in published maps and institutional affiliations. |
© 2022 by the authors. Licensee MDPI, Basel, Switzerland. This article is an open access article distributed under the terms and conditions of the Creative Commons Attribution (CC BY) license (https://creativecommons.org/licenses/by/4.0/).
Share and Cite
Barral, P.-A.; De Masi, M.; Bartoli, A.; Beunon, P.; Gallon, A.; Tradi, F.; Hak, J.-F.; Gaudry, M.; Jacquier, A. Angio Cone-Beam CT (Angio-CBCT) and 3D Road-Mapping for the Detection of Spinal Cord Vascularization in Patients Requiring Treatment for a Thoracic Aortic Lesion: A Feasibility Study. J. Pers. Med. 2022, 12, 1890. https://doi.org/10.3390/jpm12111890
Barral P-A, De Masi M, Bartoli A, Beunon P, Gallon A, Tradi F, Hak J-F, Gaudry M, Jacquier A. Angio Cone-Beam CT (Angio-CBCT) and 3D Road-Mapping for the Detection of Spinal Cord Vascularization in Patients Requiring Treatment for a Thoracic Aortic Lesion: A Feasibility Study. Journal of Personalized Medicine. 2022; 12(11):1890. https://doi.org/10.3390/jpm12111890
Chicago/Turabian StyleBarral, Pierre-Antoine, Mariangela De Masi, Axel Bartoli, Paul Beunon, Arnaud Gallon, Farouk Tradi, Jean-François Hak, Marine Gaudry, and Alexis Jacquier. 2022. "Angio Cone-Beam CT (Angio-CBCT) and 3D Road-Mapping for the Detection of Spinal Cord Vascularization in Patients Requiring Treatment for a Thoracic Aortic Lesion: A Feasibility Study" Journal of Personalized Medicine 12, no. 11: 1890. https://doi.org/10.3390/jpm12111890
APA StyleBarral, P.-A., De Masi, M., Bartoli, A., Beunon, P., Gallon, A., Tradi, F., Hak, J.-F., Gaudry, M., & Jacquier, A. (2022). Angio Cone-Beam CT (Angio-CBCT) and 3D Road-Mapping for the Detection of Spinal Cord Vascularization in Patients Requiring Treatment for a Thoracic Aortic Lesion: A Feasibility Study. Journal of Personalized Medicine, 12(11), 1890. https://doi.org/10.3390/jpm12111890

