Treatment Results of Endoscopic Transnasal Orbital Decompression for Graves’ Orbitopathy—A Single-Center Retrospective Analysis in 28 Orbits of 16 Patients
Abstract
1. Introduction
2. Material and Methods
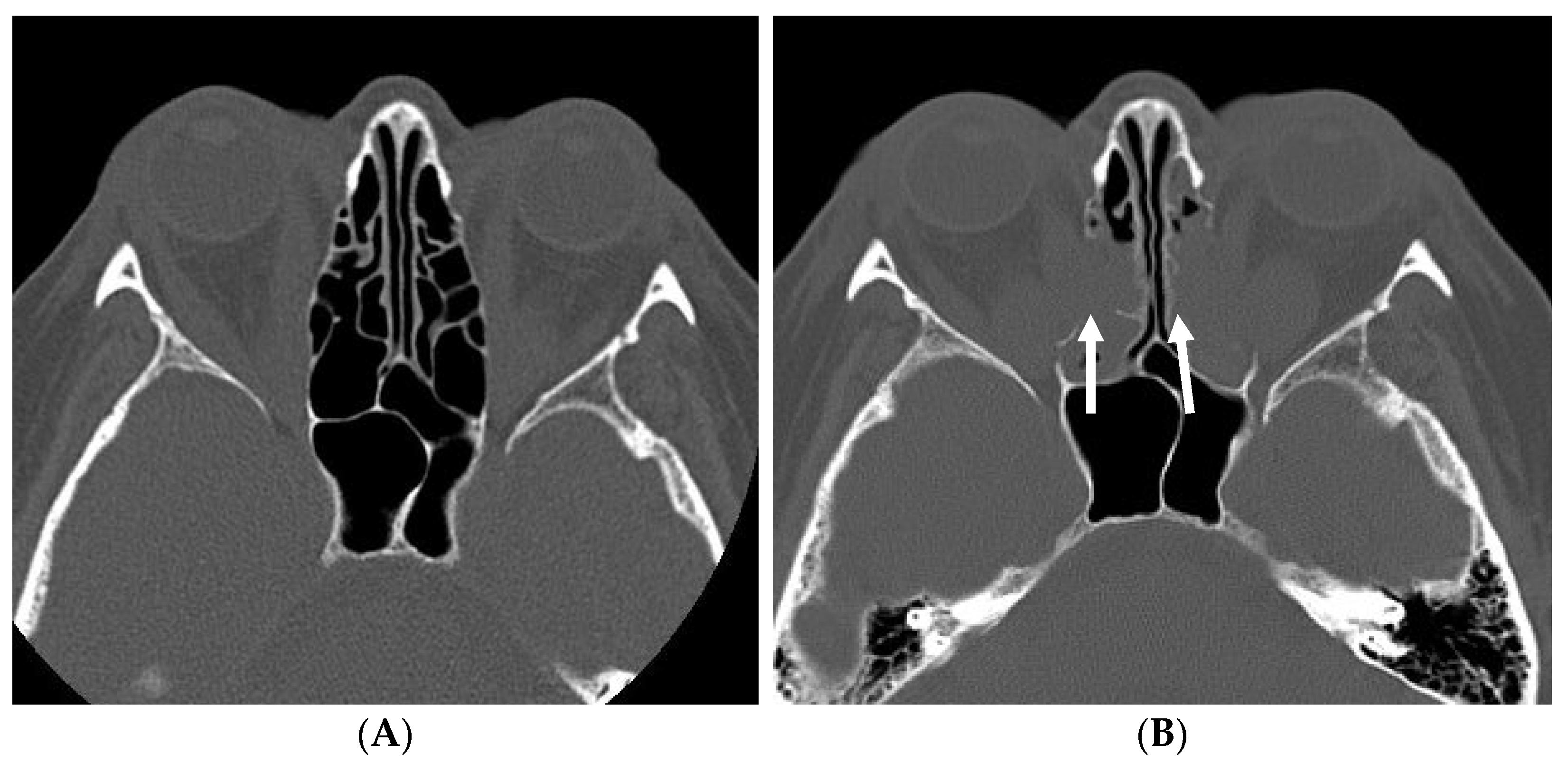
2.1. Surgical Technique
2.2. Statistical Analysis
3. Results
4. Discussion
5. Conclusions
Author Contributions
Funding
Institutional Review Board Statement
Informed Consent Statement
Data Availability Statement
Conflicts of Interest
References
- Łacheta, D.; Miśkiewicz, P.; Głuszko, A.; Nowicka, G.; Struga, M.; Kantor, I.; Poślednik, K.B.; Mirza, S.; Szczepański, M.J. Immunological Aspects of Graves’ Ophthalmopathy. BioMed Res. Int. 2019, 2019, 7453260. [Google Scholar] [CrossRef]
- Blandford, A.D.; Zhang, D.; Chundury, R.V.; Perry, J.D. Dysthyroid optic neuropathy: Update on pathogenesis, diagnosis, and management. Expert Rev. Ophthalmol. 2017, 12, 111–121. [Google Scholar] [CrossRef]
- Bartalena, L.; Kahaly, G.J.; Baldeschi, L.; Dayan, C.M.; Eckstein, A.; Marcocci, C.; Marinò, M.; Vaidya, B.; Wiersinga, W.M.; Ayvaz, G.; et al. The 2021 European Group on Graves’ orbitopathy (EUGOGO) clinical practice guidelines for the medical management of Graves’ orbitopathy. Eur. J. Endocrinol. 2021, 185, G43–G67. [Google Scholar] [CrossRef]
- Kennedy, D.W.; Goodstein, M.L.; Miller, N.R.; Zinreich, S.J. Endoscopic Transnasal Orbital Decompression. Arch. Otolaryngol. Head Neck Surg. 1990, 116, 275–282. [Google Scholar] [CrossRef]
- Yeatts, R.P. Quality of life in patients with Graves ophthalmopathy. Trans. Am. Ophthalmol. Soc. 2005, 103, 368–411. [Google Scholar] [CrossRef][Green Version]
- Sabini, E.; Leo, M.; Mazzi, B.; Rocchi, R.; Latrofa, F.; Nardi, M.; Vitti, P.; Marcocci, C.; Marinò, M. Does Graves’ Orbitopathy Ever Disappear Answers to an Old Question. Eur. Thyroid J. 2017, 6, 263–270. [Google Scholar] [CrossRef]
- Wakelkamp, I.M.M.J.; Baldeschi, L.; Saeed, P.; Mourits, M.P.; Prummel, M.F.; Wiersinga, W.M. Surgical or medical decompression as a first-line treatment of optic neuropathy in Graves’ ophthalmopathy? A randomized controlled trial. Clin. Endocrinol. 2005, 63, 323–328. [Google Scholar] [CrossRef]
- Dharmasena, A.; Keenan, T.D.L.; Goldacre, M.J. Orbital Decompression for Thyroid-Associated Orbitopathy in England: Trends over Time and Geographical Variation. Orbit 2014, 33, 109–114. [Google Scholar] [CrossRef]
- Leong, S.C.; Karkos, P.D.; MacEwen, C.J.; White, P.S. A systematic review of outcomes following surgical decompression for dysthyroid orbitopathy. Laryngoscope 2009, 119, 1106–1115. [Google Scholar] [CrossRef]
- Ben Simon, G.J.; Schwarcz, R.M.; Mansury, A.M.; Wang, L.; McCann, J.D.; Goldberg, R.A. Minimally invasive orbital decompression: Local anesthesia and hand-carved bone. Arch. Ophthalmol. 2005, 123, 1671–1675. [Google Scholar] [CrossRef]
- Malik, R.; Cormack, G.; MacEwen, C.; White, P. Endoscopic orbital decompression for dyscosmetic thyroid eye disease. J. Laryngol. Otol. 2008, 122, 593–597. [Google Scholar] [CrossRef]
- Tsetsos, N.; Daskalakis, D.; Tzakri, D.; Blioskas, S.; Goudakos, J.; Markou, K. Endoscopic transnasal orbital decompression for Graves. Rhinology 2020, 58, 2–9. [Google Scholar] [CrossRef] [PubMed]
- Tyler, M.A.; Zhang, C.C.; Saini, A.T.; Yao, W.C. Cutting-edge endonasal surgical approaches to thyroid ophthalmopathy. Laryngoscope Investig. Otolaryngol. 2018, 3, 100–104. [Google Scholar] [CrossRef] [PubMed]
- Woods, R.S.R.; Pilson, Q.; Kharytaniuk, N.; Cassidy, L.; Khan, R.; Timon, C.V.I. Outcomes of endoscopic orbital decompression for graves’ ophthalmopathy. Ir. J. Med. Sci. 2020, 189, 177–183. [Google Scholar] [CrossRef]
- Michel, O.; Oberländer, N.; Neugebauer, P.; Neugebauer, A.; Rüßmann, W. Follow-up of transnasal orbital decompression in severe Graves’ ophthalmopathy. Ophthalmology 2001, 108, 400–404. [Google Scholar] [CrossRef]
- Thapa, S.; Gupta, A.K.; Gupta, A.; Gupta, V.; Dutta, P.; Virk, R.S. Proptosis reduction by clinical vs radiological modalities and medial vs inferomedial approaches: Comparison following endoscopic transnasal orbital decompression in patients with dysthyroid orbitopathy. JAMA Otolaryngol. Head Neck Surg. 2015, 141, 329–334. [Google Scholar] [CrossRef]
- Finn, A.P.; Bleier, B.; Cestari, D.M.; Kazlas, M.A.; Dagi, L.R.; Lefebvre, D.R.; Yoon, M.K.; Freitag, S.K. A Retrospective Review of Orbital Decompression for Thyroid Orbitopathy with Endoscopic Preservation of the Inferomedial Orbital Bone Strut. Ophthalmic Plast. Reconstr. Surg. 2017, 33, 334–339. [Google Scholar] [CrossRef]
- Kingdom, T.T.; Davies, B.W.; Durairaj, V.D. Orbital decompression for the management of thyroid eye disease: An analysis of outcomes and complications. Laryngoscope 2015, 125, 2034–2040. [Google Scholar] [CrossRef] [PubMed]
- Metson, R.; Samaha, M. Reduction of Diplopia Following Endoscopic Orbital Decompression: The Orbital Sling Technique. Laryngoscope 2002, 112, 1753–1757. [Google Scholar] [CrossRef] [PubMed]
- Yao, W.C.; Sedaghat, A.R.; Yadav, P.; Fay, A.; Metson, R. Orbital Decompression in the Endoscopic Age: The Modified Inferomedial Orbital Strut. Otolaryngol. Head Neck Surg. 2016, 154, 963–969. [Google Scholar] [CrossRef] [PubMed]
- Bernardini, F.P.; Skippen, B.; Zambelli, A.; Riesco, B.; Devoto, M.H. Simultaneous Aesthetic Eyelid Surgery and Orbital Decompression for Rehabilitation of Thyroid Eye Disease: The One-Stage Approach. Aesthetic Surg. J. 2018, 38, 1052–1061. [Google Scholar] [CrossRef] [PubMed]
- Norris, J.H.; Ross, J.J.; Kazim, M.; Selva, D.; Malhotra, R. The effect of orbital decompression surgery on refraction and intraocular pressure in patients with thyroid orbitopathy. Eye 2012, 26, 535–543. [Google Scholar] [CrossRef] [PubMed]
- Cockerham, K.P.; Pal, C.; Jani, B.; Wolter, A.; Kennerdell, J.S. The Prevalence and Implications of Ocular Hypertension and Glaucoma in Thyroid-associated Orbitopathy. Ophthalmology 1997, 104, 914–917. [Google Scholar] [CrossRef]
- David, R.; Zangwill, L.; Briscoe, D.; Dagan, M.; Yagev, R.; Yassur, Y. Diurnal intraocular pressure variations: An analysis of 690 diurnal curves. Br. J. Ophthalmol. 1992, 76, 280–283. [Google Scholar] [CrossRef]
- Sellari-Franceschini, S.; Dallan, I.; Bajraktari, A.; Fiacchini, G.; Nardi, M.; Rocchi, R.; Marcocci, C.; Marinò, M.; Casani, A.P. Surgical complications in orbital decompression for Graves’ orbitopathy. Acta Otorhinolaryngol. Ital. 2016, 36, 265–274. [Google Scholar] [CrossRef]
- Leung, M.K.; Platt, M.P.; Metson, R. Revision endoscopic orbital decompression in the management of Graves’ orbitopathy. Otolaryngol. Head Neck Surg. 2009, 141, 46–51. [Google Scholar] [CrossRef]


| Total Number n = 16 | |
|---|---|
| Sex: | |
| 12 (75) |
| 4 (25) |
| Age (years): | |
| 62 (35–74) |
| 64.5 |
| Smokers (%) | 10 (62.5) |
| Mean fT4 (pmol/L) | 18.55 |
| Mean aTSHR (IU/L) | 19.07 |
| Mean aTPO (U/mL) | 116.97 |
| Mean aTG (U/mL) | 489.11 |
| Preoperative corticosteroids treatment systematically (%) | 16 (100) |
| Surgical indication: | |
| 8 (28.57) |
| 20 (71.43) |
| Unilateral (%) | 4 (25) |
| Bilateral (%) | 12 (75) |
| Pre-Op (Mean ± SD) | Post-Op (Mean ± SD) | p Value | |
|---|---|---|---|
| BCVA | 0.69 ± 0.38 | 0.74 ± 0.33 | =0.17 |
| Proptosis, mm | 22.89 ± 1.87 | 21.25 ± 2.05 | <0.05 |
| IOP, mmHg | 16.11 ± 3.93 | 14.40 ± 3.27 | <0.05 |
Publisher’s Note: MDPI stays neutral with regard to jurisdictional claims in published maps and institutional affiliations. |
© 2022 by the authors. Licensee MDPI, Basel, Switzerland. This article is an open access article distributed under the terms and conditions of the Creative Commons Attribution (CC BY) license (https://creativecommons.org/licenses/by/4.0/).
Share and Cite
Poślednik, K.B.; Czerwaty, K.; Ludwig, N.; Molińska-Glura, M.; Jabłońska-Pawlak, A.; Miśkiewicz, P.; Kantor, I.; Dżaman, K.; Cyran, A.M.; Szczepański, M.J. Treatment Results of Endoscopic Transnasal Orbital Decompression for Graves’ Orbitopathy—A Single-Center Retrospective Analysis in 28 Orbits of 16 Patients. J. Pers. Med. 2022, 12, 1714. https://doi.org/10.3390/jpm12101714
Poślednik KB, Czerwaty K, Ludwig N, Molińska-Glura M, Jabłońska-Pawlak A, Miśkiewicz P, Kantor I, Dżaman K, Cyran AM, Szczepański MJ. Treatment Results of Endoscopic Transnasal Orbital Decompression for Graves’ Orbitopathy—A Single-Center Retrospective Analysis in 28 Orbits of 16 Patients. Journal of Personalized Medicine. 2022; 12(10):1714. https://doi.org/10.3390/jpm12101714
Chicago/Turabian StylePoślednik, Krzysztof B., Katarzyna Czerwaty, Nils Ludwig, Marta Molińska-Glura, Anna Jabłońska-Pawlak, Piotr Miśkiewicz, Ireneusz Kantor, Karolina Dżaman, Anna M. Cyran, and Mirosław J. Szczepański. 2022. "Treatment Results of Endoscopic Transnasal Orbital Decompression for Graves’ Orbitopathy—A Single-Center Retrospective Analysis in 28 Orbits of 16 Patients" Journal of Personalized Medicine 12, no. 10: 1714. https://doi.org/10.3390/jpm12101714
APA StylePoślednik, K. B., Czerwaty, K., Ludwig, N., Molińska-Glura, M., Jabłońska-Pawlak, A., Miśkiewicz, P., Kantor, I., Dżaman, K., Cyran, A. M., & Szczepański, M. J. (2022). Treatment Results of Endoscopic Transnasal Orbital Decompression for Graves’ Orbitopathy—A Single-Center Retrospective Analysis in 28 Orbits of 16 Patients. Journal of Personalized Medicine, 12(10), 1714. https://doi.org/10.3390/jpm12101714

