When to Perform a Colonoscopy in Diverticular Disease and Why: A Personalized Approach
Abstract
1. Introduction
2. Differential Diagnoses among Different Colonic Diseases Harboring Diverticula
3. Colonoscopy Following Acute Diverticulitis
3.1. Early Colonoscopy Following Acute Diverticulitis
3.2. Late Colonoscopy Following Acute Diverticulitis to Rule Out Colorectal Cancer
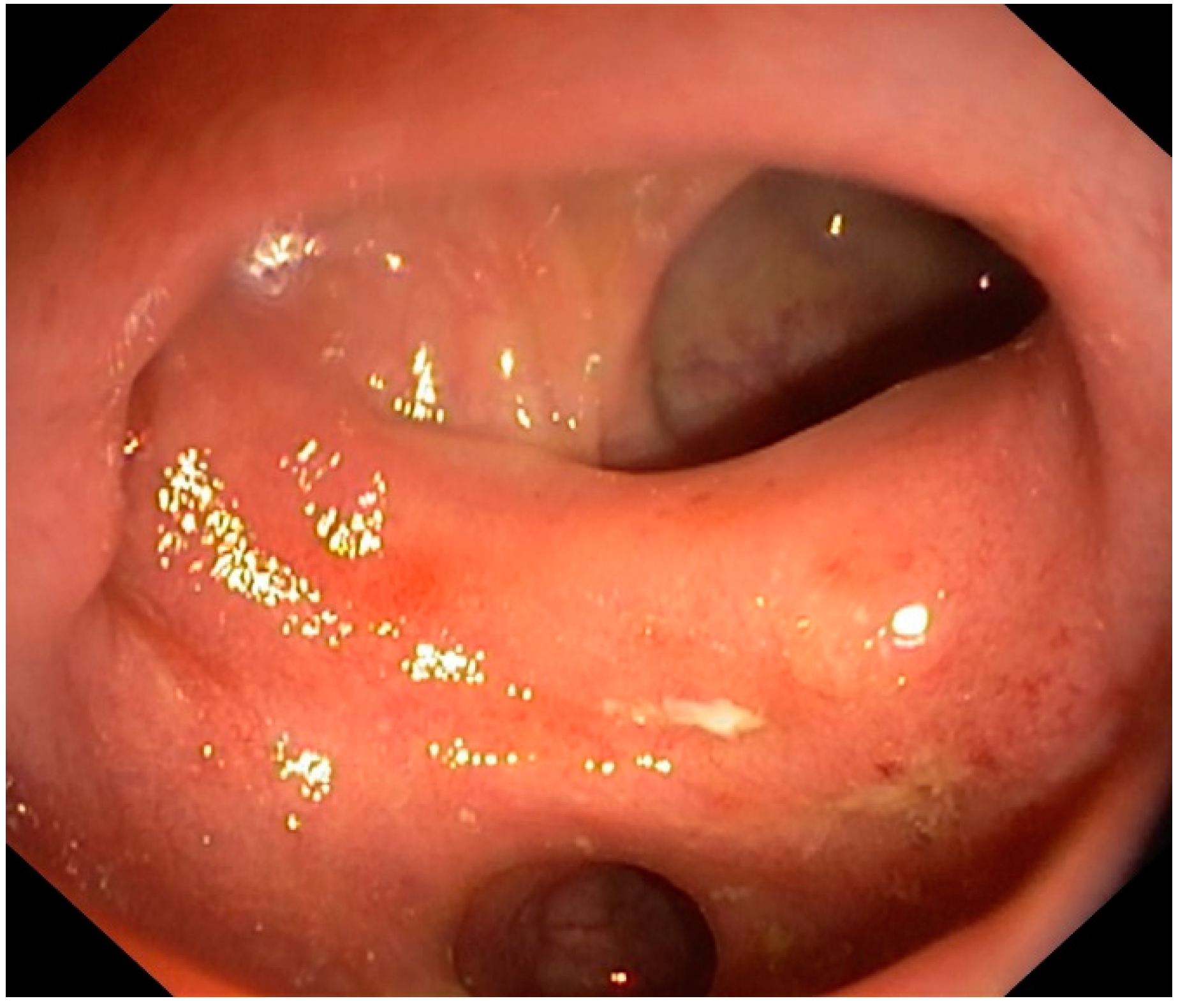
4. A New Role for the Colonoscopy in Diverticular Disease: A Predictive Tool for Outcomes of the Disease
5. Colonic Diverticular Bleeding
6. Other Indications for Operative Colonoscopy
6.1. Endoscopic Therapy for Diverticular Abscesses
6.2. Endoscopic Therapy for Colonic Strictures Associated with Diverticular Disease
6.3. Elective Endoscopic Clipping for the Eradication of Diverticula
7. Conclusions
Author Contributions
Funding
Institutional Review Board Statement
Informed Consent Statement
Conflicts of Interest
References
- Tursi, A.; Scarpignato, C.; Strate, L.L.; Lanas, A.; Kruis, W.; Lahat, A.; Danese, S. Colonic diverticular disease. Nat. Rev. Dis. Primers 2020, 6, 20. [Google Scholar] [CrossRef]
- Floch, M.; Bina, I. The natural history of diverticulitis—Fact, and theory. J. Clin. Gastroenterol. 2004, 38 (Suppl. S1), S2–S7. [Google Scholar] [CrossRef]
- Aldoori, W.H.; Giovannucci, E.L.; Rimm, E.B.; Wing, A.L.; Trichopoulos, D.V.; Willett, W.C. A prospective study of diet and the risk of symptomatic diverticular disease in men. Am. J. Clin. Nutr. 1994, 60, 757–764. [Google Scholar] [CrossRef] [PubMed]
- Turner, G.A.; O’Grady, M.J.; Purcell, R.V.; Frizelle, F.A. The Epidemiology and Etiology of Right-Sided Colonic Diverticulosis: A Review. Ann. Coloproctol. 2021, 37, 196–203. [Google Scholar] [CrossRef] [PubMed]
- Nakaji, S.; Danjo, K.; Munakata, A.; Sugawara, K.; MacAuley, D.; Kernohan, G.; Baxter, D. Comparison of etiology of right-sided diverticula in Japan with that of left-sided diverticula in the West. Int. J. Color. Dis. 2002, 17, 365–373. [Google Scholar] [CrossRef] [PubMed]
- Lim, J.H.; Kim, Y.S.; Lee, J.E.; Youn, J.; Chung, G.E.; Song, J.H.; Yang, S.Y.; Kim, J.S. Dietary pattern and its association with right-colonic diverticulosis. J. Gastroenterol. Hepatol. 2021, 36, 144–150. [Google Scholar] [CrossRef] [PubMed]
- Choe, E.K.; Lee, J.E.; Chung, S.J.; Yang, S.Y.; Kim, Y.S.; Shin, E.S.; Choi, S.H.; Bae, J.H. Genome-wide association study of right-sided colonic diverticulosis in a Korean population. Sci. Rep. 2019, 14, 7360. [Google Scholar] [CrossRef] [PubMed]
- Sharara, A.I.; Ziade, N.; Shayto, R.H.; Rustom, L.B.O.; Chehab, H.; Rimmani, H.H.; Hanna, K.; Chalhoub, J.M.; Sarkis, F.S.; Rahal, M.A.; et al. The Natural History of Incidental Colonic Diverticulosis on Screening Colonoscopy. Can. J. Gastroenterol. Hepatol. 2018, 2018, 3690202. [Google Scholar] [CrossRef] [PubMed]
- Shahedi, K.; Fuller, G.; Bolus, R.; Cohen, E.; Vu, M.; Shah, R.; Agarwal, N.; Kaneshiro, M.; Atia, M.; Sheen, V.; et al. Long-term risk of acute diverticulitis among patients with incidental diverticulosis found during colonoscopy. Clin. Gastroenterol. Hepatol. 2013, 11, 1609–1613. [Google Scholar] [CrossRef]
- Kavin, H.; Sinicrope, F.; Esker, A. Management of perforation of the colon at colonoscopy. Am. J. Gastroenterol. 1992, 87, 161–167. [Google Scholar]
- Kozarek, R.A.; Earnest, D.L.; Silverstein, M.E.; Smith, R.G. Air-pressure induced colon injury during diagnostic colonoscopy. Gastroenterology 1980, 78, 7–14. [Google Scholar] [CrossRef]
- Brayco, C.M.; Kozarek, R.A.; Sanowski, R.A.; Howells, T. Diverticular rupture during colonoscopy. Fact or fancy? Dig. Dis. Sci. 1984, 29, 427–431. [Google Scholar] [CrossRef] [PubMed]
- Hale, W.B.; NDSG. Colonoscopy in the diagnosis and management of diverticular disease. J. Clin. Gastroenterol. 2008, 42, 1142–1144. [Google Scholar] [CrossRef]
- Tursi, A.; Elisei, W.; Giorgetti, G.M.; Aiello, F.; Brandimarte, G. Inflammatory manifestations at colonoscopy in patients with colonic diverticular disease. Aliment. Pharmacol. Ther. 2011, 33, 358–365. [Google Scholar] [CrossRef] [PubMed]
- Koutroubakis, I.E.; Antoniou, P.; Tzardi, M.; Kouroumalis, E.A. The spectrum of segmental colitis associated with diverticulosis. Int. J. Color. Dis. 2005, 20, 28–32. [Google Scholar] [CrossRef] [PubMed]
- Tursi, A.; Elisei, W.; Brandimarte, G.; Giorgetti, G.M.; Lecca, P.G.; Di Cesare, L.; Inchingolo, C.D.; Aiello, F. The endoscopic spectrum of segmental colitis associated with diverticulosis. Color. Dis. 2010, 12, 464–470. [Google Scholar] [CrossRef] [PubMed]
- Vulsteke, F.; De Hertogh, G.; Vermeire, S. Therapeutic outcome of diverticular associated colitis—A retrospective single centre experience. Acta Gastroenterol. Belg. 2021, 84, 275–281. [Google Scholar] [CrossRef] [PubMed]
- Tursi, A. Segmental colitis associated with diverticulosis: Complication of diverticular disease or autonomous entity? Dig. Dis. Sci. 2011, 56, 27–34. [Google Scholar] [CrossRef]
- Tursi, A.; Inchingolo, C.D.; Picchio, M.; Elisei, W.; Mangiola, F.; Gasbarrini, G. Histopathology of segmental colitis associated with diverticulosis resembles inflammatory bowel diseases. J. Clin. Gastroenterol. 2015, 49, 350–351. [Google Scholar] [CrossRef] [PubMed]
- Tursi, A.; Elisei, W.; Giorgetti, G.M.; Inchingolo, C.D.; Nenna, R.; Picchio, M.; Brandimarte, G. Segmental colitis associated with diverticulosis: A 5-year follow-up. Int. J. Color. Dis. 2012, 27, 179–185. [Google Scholar] [CrossRef] [PubMed]
- Tursi, A.; Nenna, R.; Danese, S. Therapeutic Response to Adalimumab in a Case of Steroid-Dependent Segmental Colitis Associated With Diverticulosis. Am. J. Gastroenterol. 2021, 116, 1760–1761. [Google Scholar] [CrossRef]
- Galatin, T.; Galetin, A.; Vestweber, K.-H.; Rink, A.D. Systematic review and comparison of national and international guidelines on diverticular disease. Int. J. Color. Dis. 2008, 33, 261–272. [Google Scholar] [CrossRef]
- Tursi, A.; Marinelli, A.; Laera, F.; Penna, A. Complicated diverticulitis mimicking colonic carcinoma: Combined approach with endoscopy and budesonide. BMJ Case Rep. 2019, 12, e230608. [Google Scholar] [CrossRef]
- Tursi, A.; Brandimarte, G.; Di Mario, F.; Lanas, A.; Scarpignato, C.; Bafutto, M.; Barbara, G.; Bassotti, G.; Binda, G.A.; Biondi, A.; et al. International Consensus on Diverticulosis and Diverticular Disease. Statements from the 3rd International Symposium on Diverticular Disease. J. Gastrointest. Liver Dis. 2019, 28 (Suppl. S4), 57–66. [Google Scholar] [CrossRef]
- Tursi, A.; Elisei, W.; Giorgetti, G.M.; Inchingolo, C.D.; Nenna, R.; Picchio, M.; Brandimarte, G. Detection of endoscopic and histological inflammation after an attack of colonic diverticulitis is associated with higher diverticulitis recurrence. J. Gastrointest. Liver Dis. 2013, 22, 13–19. [Google Scholar]
- Hjern, F.; Jonas, E.; Holmström, B.; Josephson, T.; Mellgren, A.; Johansson, C. CT colonography versus colonoscopy in the follow-up of patients after diverticulitis-a prospective, comparative study. Clin. Radiol. 2007, 62, 645–650. [Google Scholar] [CrossRef]
- Chabok, A.; Smedh, K.; Nilsson, S.; Stenson, M.; Påhlman, L. CT-colonography in the follow-up of acute diverticulitis: Patient acceptance and diagnostic accuracy. Scand. J. Gastroenterol. 2013, 48, 979–986. [Google Scholar] [CrossRef]
- Flor, N.; Maconi, G.; Cornalba, G.; Pickhardt, P.J. The Current Role of Radiologic and Endoscopic Imaging in the Diagnosis and Follow-Up of Colonic Diverticular Disease. AJR Am. J. Roentgenol. 2016, 207, 15–24. [Google Scholar] [CrossRef]
- Laghi, A. Computed tomography colonography in 2014: An update on technique and indications. World J. Gastroenterol. 2014, 20, 16858–16867. [Google Scholar] [CrossRef]
- Lahat, A.; Yanai, H.; Menachem, Y.; Avidan, B.; Bar-Meir, S. The feasibility and risk of early colonoscopy in acute diverticulitis: A prospective controlled study. Endoscopy 2007, 39, 521–524. [Google Scholar] [CrossRef]
- Lahat, A.; Necula, D.; Yavzori, M.; Picard, O.; Halperin, S.; Eliakim, R.; Ben-Horin, S. Prolonged Recurrent Abdominal Pain is Associated with Ongoing Underlying Mucosal Inflammation in Patients who had an Episode of Acute Complicated Diverticulitis. J. Clin. Gastroenterol. 2019, 53, e178–e185. [Google Scholar] [CrossRef]
- Morini, S.; Zullo, A.; Hassan, C.; Tomao, S.; Campo, S.M. Diverticulosis and colorectal cancer. Between lights and shadows. J. Clin. Gastroenterol. 2008, 42, 763–770. [Google Scholar] [CrossRef]
- Tursi, A.; Brandimarte, G.; Elisei, W.; Giorgetti, G.M.; Inchingolo, C.D.; Danese, S.; Aiello, F. Assessment and grading of mucosal inflammation in colonic diverticular disease. J. Clin. Gastroenterol. 2008, 42, 699–703. [Google Scholar] [CrossRef]
- Granlund, J.; Svensson, T.; Granath, F.; Hjern, F.; Ekbom, A.; Blomqvist, P.; Schmidt, P.T. Diverticular disease and the risk of colon cancer—A population-based case-control study. Aliment. Pharmacol. Ther. 2011, 34, 675–681. [Google Scholar] [CrossRef]
- Huang, W.-Y.; Lin, C.-C.; Jen, Y.-M.; Chang, Y.; Hsiao, C.; Yang, M.; Lin, C.; Sung, F.; Liang, J.; Kao, C. Association between colonic diverticular disease and colorectal cancer: A nationwide population-based study. Clin. Gastroenterol. Hepatol. 2014, 12, 1288–1294. [Google Scholar] [CrossRef]
- Brar, M.S.; Roxin, G.; Yaffe, P.B.; Stanger, J.; MacLean, A.R.; Buie, W.D. Colonoscopy following nonoperative management of uncomplicated diverticulitis may not be warranted. Dis. Colon Rectum 2013, 56, 1259–1264. [Google Scholar] [CrossRef]
- Lau, K.C.; Spilsbury, K.; Farooque, Y.; Kariyawasam, S.B.; Owen, R.G.; Wallace, M.H.; Makin, G.B. Is colonoscopy still mandatory after a CT diagnosis of left-sided diverticulitis: Can colorectal cancer be confidently excluded? Dis. Colon Rectum 2011, 54, 1265–1270. [Google Scholar] [CrossRef]
- Rottier, S.J.; van Dijk, S.T.; van Geloven, A.A.W.; Schreurs, W.H.; Draaisma, W.A.; van Enst, W.A.; Puylaert, J.B.C.M.; de Boer, M.G.J.; Klarenbeek, B.R.; Otte, J.A.; et al. Meta-analysis of the role of colonoscopy after an episode of left-sided acute diverticulitis. Br. J. Surg. 2019, 106, 988–997. [Google Scholar] [CrossRef]
- Koo, C.H.; Chang, J.H.E.; Syn, N.L.; Wee, I.J.Y.; Mathew, R. Systematic Review and Meta-analysis on Colorectal Cancer Findings on Colonic Evaluation After CT-Confirmed Acute Diverticulitis. Dis. Colon Rectum 2020, 63, 701–709. [Google Scholar] [CrossRef]
- Stollman, N.; Smalley, W.; Hirano, I.; Adams, M.A.; Dorn, S.D.; Dudley-Brown, S.L.; Flamm, S.L.; Gellad, Z.F.; Gruss, C.B.; Kosinski, L.R.; et al. American Gastroenterological Association Institute Guideline on the Management of Acute Diverticulitis. Gastroenterology 2015, 149, 1944–1949. [Google Scholar] [CrossRef]
- Ghorai, S.; Ulbright, T.M.; Rex, D.K. Endoscopic findings of diverticular inflammation in colonoscopy patients without clinical acute diverticulitis: Prevalence and endoscopic spectrum. Am. J. Gastroenterol. 2003, 98, 802–806. [Google Scholar] [CrossRef]
- Tursi, A.; Brandimarte, G.; Di Mario, F.; Andreoli, A.; Annunziata, M.L.; Astegiano, M.; Bianco, M.A.; Buri, L.; Cammarota, G.; Capezzuto, E.; et al. Development and validation of an endoscopic classification of diverticular disease of the colon: The DICA classification. Dig. Dis. 2015, 33, 68–76. [Google Scholar] [CrossRef]
- Tursi, A.; Brandimarte, G.; Di Mario, F.; Annunziata, M.L.; Bafutto, M.; Bianco, M.A.; Colucci, R.; Conigliaro, R.; Danese, S.; De Bastiani, R.; et al. Predictive value of the Diverticular Inflammation and Complication Assessment (DICA) endoscopic classification on the outcome of diverticular disease of the colon: An international study. United Eur. Gastroenterol. J. 2016, 4, 604–613. [Google Scholar] [CrossRef]
- Tursi, A.; Brandimarte, G.; Di Mario, F.; Elisei, W.; Picchio, M.; Allegretta, L.; Annunziata, M.L.; Bafutto, M.; Bassotti, G.; Bianco, M.A.; et al. Prognostic performance of the ‘DICA’ endoscopic classification and the ‘CODA’ score in predicting clinical outcomes of diverticular disease: An international, multicentre, prospective cohort study. Gut 2022, 71, 1350–1358. [Google Scholar] [CrossRef]
- Tursi, A.; Brandimarte, G.; di Mario, F.; Nardone, G.; Scarpignato, C.; Picchio, M.; Elisei, W.; DICA Italian Group. The “DICA” endoscopic classification for diverticular disease of the colon shows a significant interobserver agreement among community endoscopists. J. Gastrointest. Liver Dis. 2019, 28, 23–27. [Google Scholar] [CrossRef]
- Tursi, A.; Brandimarte, G.; Di Mario, F.; Lanas, A.; Scarpignato, C.; Bafutto, M.; Barbara, G.; Bassotti, G.; Binda, G.A.; Biondi, A.; et al. The DICA Endoscopic Classification for Diverticular Disease of the Colon Shows a Significant Interobserver Agreement among Community Endoscopists: An International Study. J. Gastrointest. Liver Dis. 2019, 28 (Suppl. S4), 39–44. [Google Scholar] [CrossRef]
- Yamada, E.; Kuriyama, H.; Uchida, E.; Murata, Y.; Hata, Y.; Tagri, M.; Isozaki, Y.; Oyamada, H.; Ozawa, Y.; Ito, T.; et al. Association between endoscopic findings related to colonic diverticula and bowel habits: A multicenter study in Japan. J. Gastroenterol. Hepatol. 2017, 32, 1938–1942. [Google Scholar] [CrossRef]
- Tursi, A.; Violi, A.; Cambie, G.; Franceschi, M.; Baldassarre, G.; Rodriguez, K.I.; Miraglia, C.; Brandimarte, G.; Elisei, W.; Picchio, M.; et al. Risk factors for endoscopic severity of diverticular disease of the colon and its outcome: A real-life case-control study. Eur. J. Gastroenterol. Hepatol. 2020, 32, 1123–1129. [Google Scholar] [CrossRef]
- Papi, C.; Fascì-Spurio, F.; Rogai, F.; Settesoldi, A.; Margagnoni, G.; Annese, V. Mucosal healing in inflammatory bowel disease: Treatment efficacy and predictive factors. Dig. Liver Dis. 2013, 45, 978–985. [Google Scholar] [CrossRef]
- Strate, L.L.; Gralnek, I.M. ACG Clinical Guideline: Management of Patients with Acute Lower Gastrointestinal Bleeding. Am. J. Gastroenterol. 2016, 111, 459–474. [Google Scholar] [CrossRef]
- Green, B.T.; Rockey, D.C.; Portwood, G.; Tarnasky, P.R.; Guarisco, S.; Branch, M.S.; Leung, J.; Jowell, P. Urgent colonoscopy for evaluation and management of acute lower gastrointestinal hemorrhage: A randomized controlled trial. Am. J. Gastroenterol. 2005, 100, 2395–2402. [Google Scholar] [CrossRef]
- Jensen, D.M.; Machicado, G.A.; Jutabha, R.; Kovacs, T.O. Urgent colonoscopy for the diagnosis and treatment of severe diverticular hemorrhage. N. Engl. J. Med. 2000, 342, 78–82. [Google Scholar] [CrossRef]
- Suzuki, K.; Uchiyama, S.; Imajyo, K.; Tomeno, W.; Sakai, E.; Yamada, E.; Tanida, E.; Akiyama, T.; Watanabe, S.; Endo, H.; et al. Risk factors for colonic diverticular hemorrhage: Japanese multicenter study. Digestion 2012, 85, 261–265. [Google Scholar] [CrossRef]
- Longstreth, G.F. Epidemiology and outcome of patients hospitalized with acute lower gastrointestinal hemorrhage: A population-based study. Am. J. Gastroenterol. 1997, 92, 419–424. [Google Scholar]
- Yen, E.F.; Ladabaum, U.; Muthusamy, V.R.; Cello, J.P.; McQuaid, K.R.; Shah, J.N. Colonoscopic treatment of acute diverticular hemorrhage using endoclips. Dig. Dis. Sci. 2008, 53, 2480–2485. [Google Scholar] [CrossRef]
- Watson, R.; Shah, J.; Friedland, S.; Sato, T.; Shergill, A.; McQuaid, K.; Soetikno, R. Colonoscopy with clipping is useful in the diagnosis and treatment of diverticular bleeding. Clin. Gastroenterol. Hepatol. 2012, 10, 131–137. [Google Scholar]
- Song, L.M.W.K.; Baron, T.H. Endoscopic management of acute lower gastrointestinal bleeding. Am. J. Gastroenterol. 2008, 103, 1881–1887. [Google Scholar] [CrossRef]
- Kaise, M.; Nagata, N.; Ishii, N.; Omori, J.; Goto, O.; Iwakiri, K. Epidemiology of colonic diverticula and recent advances in the management of colonic diverticular bleeding. Dig. Endosc. 2020, 32, 240–250. [Google Scholar] [CrossRef]
- Kosugy, C.; Koda, K.; Yasuda, H.; Suzuki, M.; Yamazaki, M.; Tezuka, T.; Imai, K.; Hirano, A. Endoscopic transluminal abscess drainage for Hinchey II colonic diverticulitis. Int. J. Color. Dis. 2012, 27, 1239–1240. [Google Scholar] [CrossRef]
- Fejleh, M.P.; Tabibian, J.H. Colonoscopic management of diverticular disease. World J. Gastrointest. Endosc. 2020, 12, 53–59. [Google Scholar] [CrossRef]
- Graham, D.Y.; Tabibian, N.; Schwartz, J.T.; Smith, J.L. Evaluation of the effectiveness of through-the-scope balloons as dilators of benign and malignant gastrointestinal strictures. Gastrointest. Endosc. 1987, 33, 432–435. [Google Scholar] [CrossRef]
- Van Hooft, J.E.; van Halsema, E.E.; Vanbiervliet, G.; Beets-Tan, R.G.; DeWitt, J.M.; Donnellan, F.; Dumonceau, J.M.; Glynne-Jones, R.G.; Hassan, C.; Jiménez-Perez, J.; et al. Self-expandable metal stents for obstructing colonic and extracolonic cancer: European Society of Gastrointestinal Endoscopy (ESGE) Clinical Guideline. Gastrointest. Endosc. 2014, 46, 990–1053. [Google Scholar]
- Harrison, M.E.; Anderson, M.A.; Appalaneni, V.; Banerjee, S.; Ben-Menachem, T.; Cash, B.D.; Fanelli, R.D.; Fisher, L.; Fukami, N.; Gan, S.-I.; et al. The role of endoscopy in the management of patients with known and suspected colonic obstruction and pseudo-obstruction. Gastrointest. Endosc. 2010, 71, 669–679. [Google Scholar] [CrossRef] [PubMed]
- Currie, A.; Christmas, C.; Aldean, H.; Mobasheri, M.; Bloom, I.T. Systematic review of self-expanding stents in the management of benign colorectal obstruction. Color. Dis. 2014, 16, 239–245. [Google Scholar] [CrossRef]
- Venezia, L.; Michielan, A.; Condino, G.; Sinagra, E.; Stasi, E.; Galeazzi, M.; Fabbri, C.; Anderloni, A. Feasibility and safety of self-expandable metal stent in nonmalignant disease of the lower gastrointestinal tract. World J. Gastrointest. Endosc. 2020, 12, 60–71. [Google Scholar] [CrossRef]
- Haji, A.; Plastiras, A.; Ortenzi, M.; Gulati, S.; Emmanuel, A.; Hayee, B. Elective endoscopic clipping for the treatment of symptomatic diverticular disease: A potential for ‘cure’. Gut 2019, 68, 582–584. [Google Scholar] [CrossRef]
- Cadoni, S.; Leung, F.W. Water-Assisted Colonoscopy. Curr. Treat. Options Gastroenterol. 2017, 15, 135–154. [Google Scholar] [CrossRef]
- Rex, D.K. How I Approach Colonoscopy in Anatomically Difficult Colons. Am. J. Gastroenterol. 2020, 115, 151–154. [Google Scholar] [CrossRef]





Publisher’s Note: MDPI stays neutral with regard to jurisdictional claims in published maps and institutional affiliations. |
© 2022 by the authors. Licensee MDPI, Basel, Switzerland. This article is an open access article distributed under the terms and conditions of the Creative Commons Attribution (CC BY) license (https://creativecommons.org/licenses/by/4.0/).
Share and Cite
Tursi, A.; Papa, V.; Lopetuso, L.R.; Vetrone, L.M.; Gasbarrini, A.; Papa, A. When to Perform a Colonoscopy in Diverticular Disease and Why: A Personalized Approach. J. Pers. Med. 2022, 12, 1713. https://doi.org/10.3390/jpm12101713
Tursi A, Papa V, Lopetuso LR, Vetrone LM, Gasbarrini A, Papa A. When to Perform a Colonoscopy in Diverticular Disease and Why: A Personalized Approach. Journal of Personalized Medicine. 2022; 12(10):1713. https://doi.org/10.3390/jpm12101713
Chicago/Turabian StyleTursi, Antonio, Valerio Papa, Loris Riccardo Lopetuso, Lorenzo Maria Vetrone, Antonio Gasbarrini, and Alfredo Papa. 2022. "When to Perform a Colonoscopy in Diverticular Disease and Why: A Personalized Approach" Journal of Personalized Medicine 12, no. 10: 1713. https://doi.org/10.3390/jpm12101713
APA StyleTursi, A., Papa, V., Lopetuso, L. R., Vetrone, L. M., Gasbarrini, A., & Papa, A. (2022). When to Perform a Colonoscopy in Diverticular Disease and Why: A Personalized Approach. Journal of Personalized Medicine, 12(10), 1713. https://doi.org/10.3390/jpm12101713

