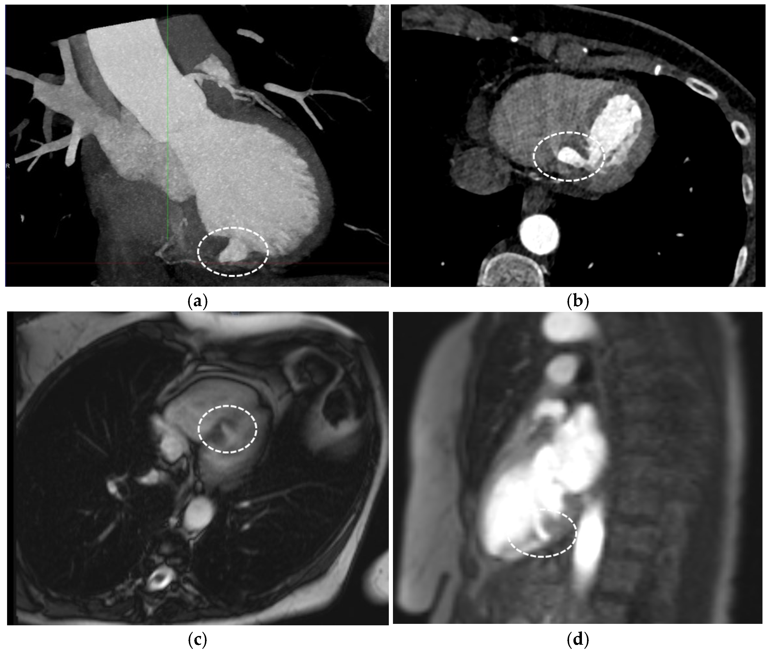
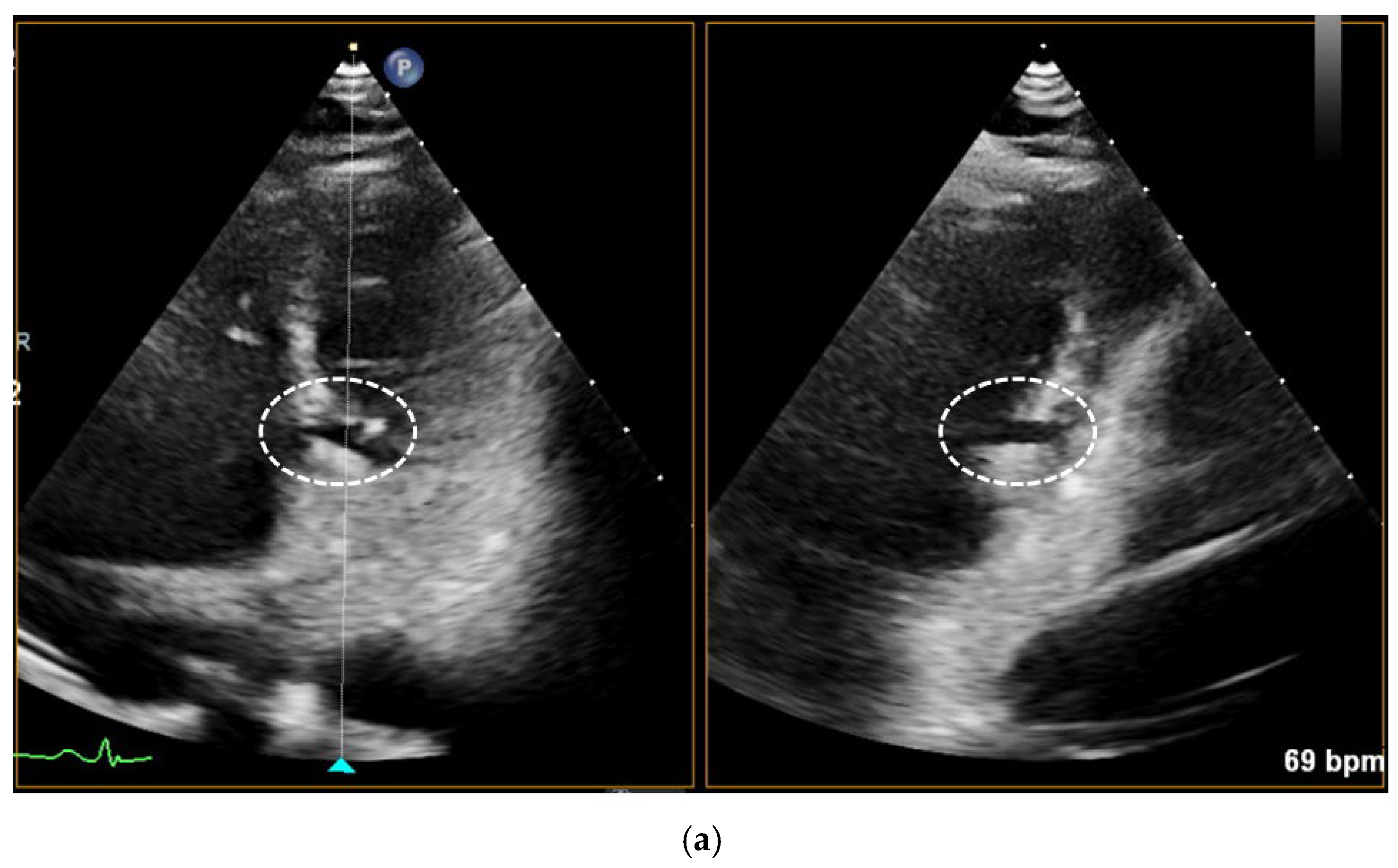
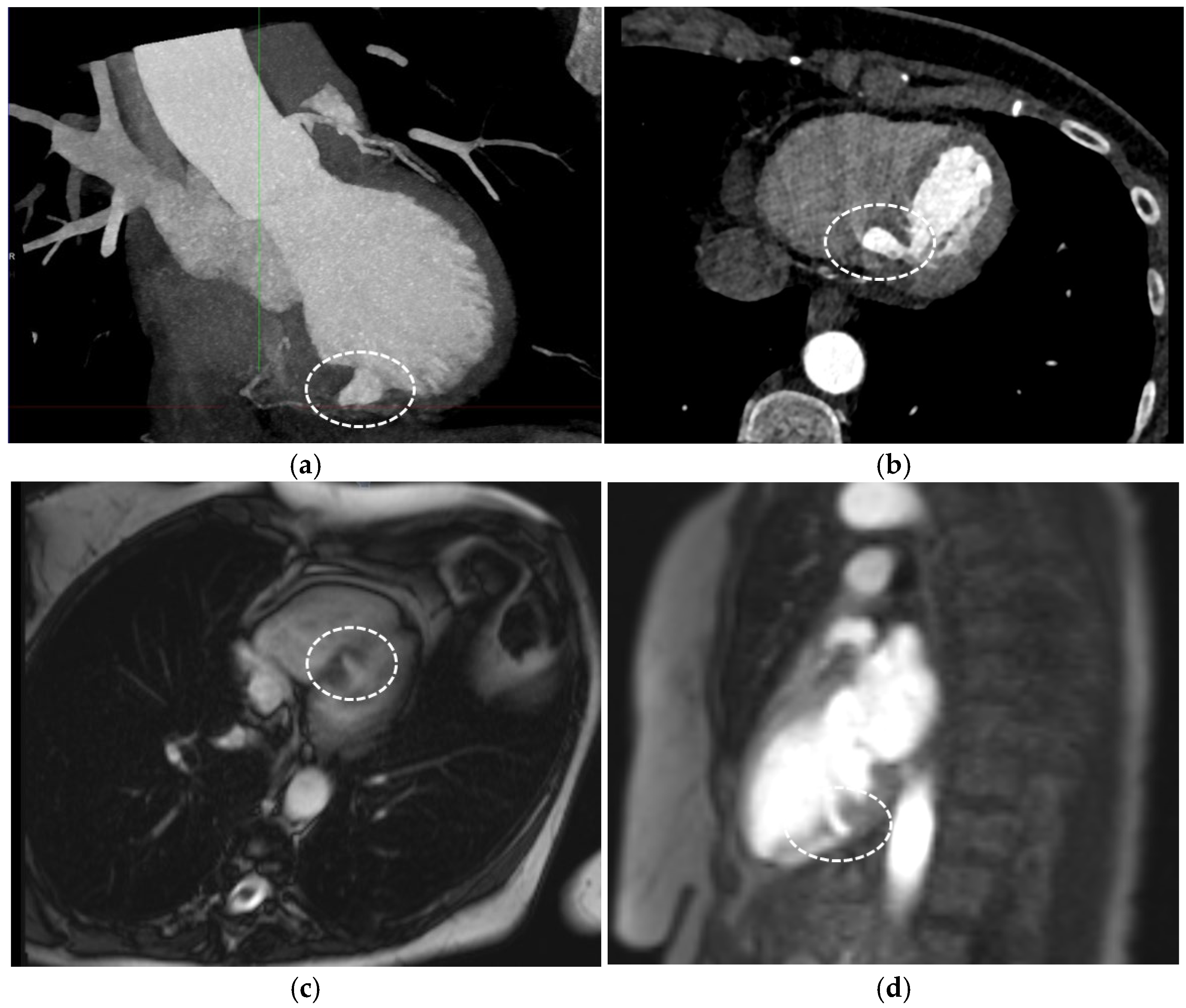
Interventricular Septum Diverticulum: A Multimodality Imaging Approach to Diagnosis
Abstract




Author Contributions
Funding
Institutional Review Board Statement
Informed Consent Statement
Data Availability Statement
Conflicts of Interest
References
- Cresti, A.; Cannarile, P. Multimodality Imaging and Clinical Significance of Congenital Ventricular Outpouchings: Recesses, Diverticula, Aneurysms, Clefts, and Crypts. J. Cardiovasc. Echogr. 2018, 28, 9–17. [Google Scholar] [CrossRef] [PubMed]
- Ohlow, M.A.; von Korn, H. Characteristics and outcome of congenital left ventricular aneurysm and diverticulum: Analysis of 809 cases published since 1816. Int. J. Cardiol. 2015, 185, 34–45. [Google Scholar] [CrossRef] [PubMed]
- Mayer, K.; Candinas, R. Congenital left ventricular aneurysms and diverticula: Clinical findings, diagnosis and course. Schweiz. Med. Wochenschr. 1999, 129, 1249–1256. [Google Scholar] [PubMed]
- Ohlow, M.A.; Lauer, B. Long-term prognosis of adult patients with isolated congenital left ventricular aneurysm or diverticulum and abnormal electrocardiogram patterns. Circ. J. 2012, 76, 2465–2470. [Google Scholar] [CrossRef] [PubMed]
- Marijon, E.; Ou, P. Diagnosis and outcome in congenital ventricular diverticulum and aneurysm. J. Thorac. Cardiovasc. Surg. 2006, 131, 433–437. [Google Scholar] [CrossRef] [PubMed]
Disclaimer/Publisher’s Note: The statements, opinions and data contained in all publications are solely those of the individual author(s) and contributor(s) and not of MDPI and/or the editor(s). MDPI and/or the editor(s) disclaim responsibility for any injury to people or property resulting from any ideas, methods, instructions or products referred to in the content. |
© 2025 by the authors. Licensee MDPI, Basel, Switzerland. This article is an open access article distributed under the terms and conditions of the Creative Commons Attribution (CC BY) license (https://creativecommons.org/licenses/by/4.0/).
Share and Cite
Van der Linden, R.; El Mallouli, M.; Liu, C.; Goldfinger, M.; Pintea Bentea, G. Interventricular Septum Diverticulum: A Multimodality Imaging Approach to Diagnosis. Diagnostics 2025, 15, 2814. https://doi.org/10.3390/diagnostics15212814
Van der Linden R, El Mallouli M, Liu C, Goldfinger M, Pintea Bentea G. Interventricular Septum Diverticulum: A Multimodality Imaging Approach to Diagnosis. Diagnostics. 2025; 15(21):2814. https://doi.org/10.3390/diagnostics15212814
Chicago/Turabian StyleVan der Linden, Romain, Mohamed El Mallouli, Chirine Liu, Maxime Goldfinger, and Georgiana Pintea Bentea. 2025. "Interventricular Septum Diverticulum: A Multimodality Imaging Approach to Diagnosis" Diagnostics 15, no. 21: 2814. https://doi.org/10.3390/diagnostics15212814
APA StyleVan der Linden, R., El Mallouli, M., Liu, C., Goldfinger, M., & Pintea Bentea, G. (2025). Interventricular Septum Diverticulum: A Multimodality Imaging Approach to Diagnosis. Diagnostics, 15(21), 2814. https://doi.org/10.3390/diagnostics15212814

