- Article
Non-Invasive Prediction of Microvessel Density in Pediatric Hepatoblastoma Using Contrast-Enhanced Ultrasound Quantitative Parameters
- Yazi You,
- Lirong Zhu,
- Hongli Zhai,
- Yuxin Tang,
- Jingyu Chen and
- Yi Tang
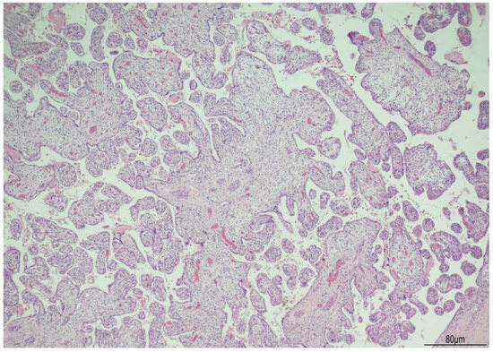
Background: The purpose of this study was to examine the relationship between qualitative characteristics and quantitative parameters from contrast-enhanced ultrasound (CEUS) and microvessel density (MVD) in hepatoblastoma (HB), as well as to investi...

