Severe Aortic Stenosis and Pre-Excitation Syndrome in Pregnancy—A Multidisciplinary Approach
Abstract
1. Introduction
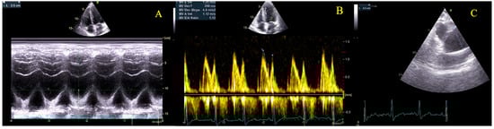
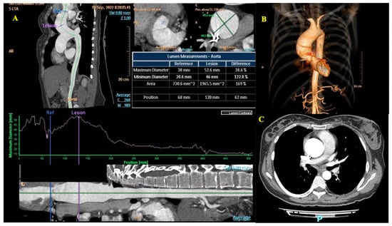
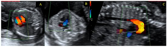
2. Detailed Case Description
- a.
- Patient presentation
- b.
- Initial work-up
- c.
- Diagnosis and Management
- d.
- Follow-up
3. Discussion
- (1)
- Medical management until fetal viability, followed by early delivery.
- (2)
- Aortic balloon valvuloplasty as a bridge to term pregnancy, though this carries risks such as stroke, suboptimal relief, or severe regurgitation that may necessitate urgent transcatheter aortic valve implantation (TAVI).
- (3)
- TAVI during pregnancy, which in our case posed the potential risk of emergent conversion to surgical valve replacement due to the patient’s bicuspid aortic valve. Data from the literature also suggest some technical particularities that may occur in young women, such as femoral arteries with a small diameter and the absence of calcification on the aortic valve annulus, which could make anchoring of the prosthetic valve difficult [20].
- (4)
- Planned surgical valve replacement, which involves a high risk of fetal loss due to the need for cardiopulmonary bypass. The trigger for intervention should always be guided by the patient’s symptomatology during pregnancy [24].
4. Conclusions
Supplementary Materials
Author Contributions
Funding
Institutional Review Board Statement
Informed Consent Statement
Data Availability Statement
Conflicts of Interest
Abbreviations
| BAV | bicuspid aortic valve |
| AS | aortic stenosis |
| WHO | World Health Organization |
| LVEF | left ventricular ejection fraction |
| AVA | aortic valve area |
| NT-proBNP | N-terminal pro b-type natriuretic peptide |
| ESC | European Society of Cardiology |
| 6MWT | 6 min walking test |
| CT | computed tomography |
| EACTS | European Association for Cardio-Thoracic Surgery |
| AVRT | Atrioventricular Re-entry Tachycardia |
| HTAD | hereditary thoracic aortic diseases |
| ACC | American College of Cardiology |
| AHA | American Heart Association |
| ROPAC | Registry of Pregnancy and Cardiac Disease |
| MRI | Magnetic resonance imaging |
| TAVI | transcatheter aortic valve implantation |
| TAVR | transcatheter aortic valve replacement |
| H-hCG | hyperglycosylated form of human chorionic gonadotropin |
| CoA | coarctation of the aorta |
References
- Regitz-Zagrosek, V.; Roos-Hesselink, J.W.; Bauersachs, J.; Blomström-Lundqvist, C.; Cífková, R.; De Bonis, M.; Iung, B.; Johnson, M.R.; Kintscher, U.; Kranke, P.; et al. 2018 ESC Guidelines for the Management of Cardiovascular Diseases during Pregnancy. Eur. Heart J. 2018, 39, 3165–3241. [Google Scholar] [CrossRef] [PubMed]
- Roos-Hesselink, J.W.; Ruys, T.P.E.; Stein, J.I.; Thilén, U.; Webb, G.D.; Niwa, K.; Kaemmerer, H.; Baumgartner, H.; Budts, W.; Maggioni, A.P.; et al. Outcome of Pregnancy in Patients with Structural or Ischaemic Heart Disease: Results of a Registry of the European Society of Cardiology. Eur. Heart J. 2013, 34, 657–665. [Google Scholar] [CrossRef] [PubMed]
- Siu, S.C.; Silversides, C.K. Bicuspid Aortic Valve Disease. J. Am. Coll. Cardiol. 2010, 55, 2789–2800. [Google Scholar] [CrossRef]
- Yap, S.-C.; Drenthen, W.; Pieper, P.G.; Moons, P.; Mulder, B.J.M.; Mostert, B.; Vliegen, H.W.; van Dijk, A.P.J.; Meijboom, F.J.; Steegers, E.A.P.; et al. Risk of Complications during Pregnancy in Women with Congenital Aortic Stenosis. Int. J. Cardiol. 2008, 126, 240–246. [Google Scholar] [CrossRef]
- McKellar, S.H.; MacDonald, R.J.; Michelena, H.I.; Connolly, H.M.; Sundt, T.M., III. Frequency of Cardiovascular Events in Women with a Congenitally Bicuspid Aortic Valve in a Single Community and Effect of Pregnancy on Events. Am. J. Cardiol. 2011, 107, 96–99. [Google Scholar] [CrossRef]
- Roberts, W.C. The Congenitally Bicuspid Aortic Valve: A Study of 85 Autopsy Cases. Am. J. Cardiol. 1970, 26, 72–83. [Google Scholar] [CrossRef]
- Fedak, P.W.M.; Verma, S.; David, T.E.; Leask, R.L.; Weisel, R.D.; Butany, J. Clinical and Pathophysiological Implications of a Bicuspid Aortic Valve. Circulation 2002, 106, 900–904. [Google Scholar] [CrossRef]
- Hameed, A.; Karaalp, I.S.; Tummala, P.P.; Wani, O.R.; Canetti, M.; Akhter, M.W.; Goodwin, M.; Zapadinsky, N.; Elkayam, U. The Effect of Valvular Heart Disease on Maternal and Fetal Outcome of Pregnancy. J. Am. Coll. Cardiol. 2001, 37, 893–899. [Google Scholar] [CrossRef]
- Brown, M.A.; Magee, L.A.; Kenny, L.C.; Karumanchi, S.A.; McCarthy, F.P.; Saito, S.; Hall, D.R.; Warren, C.E.; Adoyi, G.; Ishaku, S. Hypertensive Disorders of Pregnancy: ISSHP Classification, Diagnosis, and Management Recommendations for International Practice. Hypertension 2018, 72, 24–43. [Google Scholar] [CrossRef]
- Rolnik, D.L.; Nicolaides, K.H.; Poon, L.C. Prevention of Preeclampsia with Aspirin. Am. J. Obstet. Gynecol. 2022, 226, S1108–S1119. [Google Scholar] [CrossRef]
- Hauspurg, A.; Jeyabalan, A. Postpartum Preeclampsia/Eclampsia: Defining Its Place and Management among the Hypertensive Disorders of Pregnancy. Am. J. Obstet. Gynecol. 2021, 226, S1211. [Google Scholar] [CrossRef] [PubMed]
- Dhein, S.; Seidel, T.; Salameh, A.; Jozwiak, J.; Hagen, A.; Kostelka, M.; Hindricks, G.; Mohr, F.W. Remodeling of Cardiac Passive Electrical Properties and Susceptibility to Ventricular and Atrial Arrhythmias. Front. Physiol. 2014, 5, 424. [Google Scholar] [CrossRef] [PubMed]
- Vahanian, A.; Beyersdorf, F.; Praz, F.; Milojevic, M.; Baldus, S.; Bauersachs, J.; Capodanno, D.; Conradi, L.; De Bonis, M.; De Paulis, R.; et al. 2021 ESC/EACTS Guidelines for the Management of Valvular Heart Disease: Developed by the Task Force for the Management of Valvular Heart Disease of the European Society of Cardiology (ESC) and the European Association for Cardio-Thoracic Surgery (EACTS). Eur. Heart J. 2022, 43, 561–632. [Google Scholar] [CrossRef] [PubMed]
- Quain, A.M.; Langen, E.; Norris, M.D.; Cotts, T.B.; Sukul, D.; Sood, V.; Joynt, M.R. Unicuspid Aortic Valve With Severe Aortic Stenosis and Progressive Heart Failure During Pregnancy. JACC Case Rep. 2023, 28, 102129. [Google Scholar] [CrossRef]
- Ueland, K.; Metcalfe, J. Circulatory Changes in Pregnancy. Clin. Obstet. Gynecol. 1975, 18, 41–50. [Google Scholar] [CrossRef]
- Elkayam, U.; Goland, S.; Pieper, P.G.; Silversides, C.K. High-Risk Cardiac Disease in Pregnancy: Part II. J. Am. Coll. Cardiol. 2016, 68, 502–516. [Google Scholar] [CrossRef]
- Ouzounian, J.G.; Elkayam, U. Physiologic Changes During Normal Pregnancy and Delivery. Cardiol. Clin. 2012, 30, 317–329. [Google Scholar] [CrossRef]
- Hunter, S.; Robson, S.C. Adaptation of the Maternal Heart in Pregnancy. Br. Heart J. 1992, 68, 540. [Google Scholar] [CrossRef]
- Dawson, J.; Rodriguez, Y.; De Marchena, E.; Alfonso, C.E. Aortic Balloon Valvuloplasty in Pregnancy for Symptomatic Severe Aortic Stenosis. Int. J. Cardiol. 2012, 162, e12–e13. [Google Scholar] [CrossRef]
- Nwabuobi, C.; McDowell, M.; Običan, S. Severe Bicuspid Aortic Stenosis in Pregnancy: Balancing the Risk of Prematurity and Maternal Mortality. Cardiol. Young 2018, 28, 756–758. [Google Scholar] [CrossRef]
- Elkayam, U.; Bansal, P.; Mehra, A. Catheter-Based Interventions for the Management of Valvular Heart Disease During Pregnancy. JACC Adv. 2022, 1, 100022. [Google Scholar] [CrossRef] [PubMed]
- Thorne, S. Pregnancy and Native Heart Valve Disease. Heart 2016, 102, 1410. [Google Scholar] [CrossRef] [PubMed]
- Samiei, N.; Amirsardari, M.; Rezaei, Y.; Parsaee, M.; Kashfi, F.; Zadeh, S.H.; Beikmohamadi, S.; Fouladi, M.; Hosseini, S.; Peighambari, M.M.; et al. Echocardiographic Evaluation of Hemodynamic Changes in Left-Sided Heart Valves in Pregnant Women With Valvular Heart Disease. Am. J. Cardiol. 2016, 118, 1046–1052. [Google Scholar] [CrossRef] [PubMed]
- Orwat, S.; Diller, G.P.; van Hagen, I.M.; Schmidt, R.; Tobler, D.; Greutmann, M.; Jonkaitiene, R.; Elnagar, A.; Johnson, M.R.; Hall, R.; et al. Risk of Pregnancy in Moderate and Severe Aortic Stenosis: From the Multinational ROPAC Registry. J. Am. Coll. Cardiol. 2016, 68, 1727–1737. [Google Scholar] [CrossRef]
- Begano, D.; Söderberg, M.; Bolejko, A. To Use or Not Use Patient Shielding on Pregnant Women Undergoing Ct Pulmonary Angiography: A Phantom Study. Radiat. Prot. Dosim. 2021, 189, 458–465. [Google Scholar] [CrossRef]
- Hoover, E.; Corlin, T.; Lohr, J.; Sabol, B.; Yamamura, Y.; Jacobs, K.; March, S.K.; Gorbaty, B.; Raveendran, G. TAVR Beyond Fetal Viability: An Alternative to Preterm Delivery in Symptomatic Severe Aortic Stenosis. JACC Case Rep. 2023, 27, 102104. [Google Scholar] [CrossRef]
- Galian-Gay, L.; Pijuan-Domenech, A.; Cantalapiedra-Romero, J.; Serrano, B.; Goya, M.; Maiz, N.; Casellas, M.; Manrique, S.; Suàrez-Edo, E.; Miranda-Barrio, B.; et al. Pregnancy-Related Aortic Complications in Women with Bicuspid Aortic Valve. Heart 2023, 109, 1153. [Google Scholar] [CrossRef]
- Campens, L.; Baris, L.; Scott, N.S.; Broberg, C.S.; Bondue, A.; Jondeau, G.; Grewal, J.; Johnson, M.R.; Hall, R.; De Backer, J.; et al. Pregnancy Outcome in Thoracic Aortic Disease Data from the Registry of Pregnancy and Cardiac Disease. Heart 2021, 107, 1704–1709. [Google Scholar] [CrossRef]
- Yuan, S.M. Bicuspid Aortic Valve in Pregnancy. Taiwan. J. Obstet. Gynecol. 2014, 53, 476–480. [Google Scholar] [CrossRef]
- Herghelegiu, C.G.; Veduta, A.; Stefan, M.F.; Magda, S.L.; Ionascu, I.; Radoi, V.E.; Oprescu, D.N.; Calin, A.M. Hyperglycosylated-HCG: Its Role in Trophoblast Invasion and Intrauterine Growth Restriction. Cells 2023, 12, 1647. [Google Scholar] [CrossRef]
- Prakash, S.K.; Bossé, Y.; Muehlschlegel, J.D.; Michelena, H.I.; Limongelli, G.; Della Corte, A.; Pluchinotta, F.R.; Russo, M.G.; Evangelista, A.; Benson, D.W.; et al. A Roadmap to Investigate the Genetic Basis of Bicuspid Aortic Valve and Its Complications: Insights from the International BAVCon (Bicuspid Aortic Valve Consortium). J. Am. Coll. Cardiol. 2014, 64, 832–839. [Google Scholar] [CrossRef] [PubMed]
- Koenig, S.N.; Bosse, K.M.; Nadorlik, H.A.; Lilly, B.; Garg, V. Evidence of Aortopathy in Mice with Haploinsufficiency of Notch1 in Nos3-Null Background. J. Cardiovasc. Dev. Dis. 2015, 2, 17–30. [Google Scholar] [CrossRef] [PubMed]
- Garg, V.; Muth, A.N.; Ransom, J.F.; Schluterman, M.K.; Barnes, R.; King, I.N.; Grossfeld, P.D.; Srivastava, D. Mutations in NOTCH1 Cause Aortic Valve Disease. Nature 2005, 437, 270–274. [Google Scholar] [CrossRef] [PubMed]
- Huntington, K.; Hunter, A.G.W.; Chan, K.-L. A Prospective Study to Assess the Frequency of Familial Clustering of Congenital Bicuspid Aortic Valve. J. Am. Coll. Cardiol. 1997, 30, 1809–1812. [Google Scholar] [CrossRef]
- Ciotti, G.R.; Vlahos, A.P.; Silverman, N.H. Morphology and Function of the Bicuspid Aortic Valve With and Without Coarctation of the Aorta in the Young. Am. J. Cardiol. 2006, 98, 1096–1102. [Google Scholar] [CrossRef]
- Sinning, C.; Zengin, E.; Kozlik-Feldmann, R.; Blankenberg, S.; Rickers, C.; Von Kodolitsch, Y.; Girdauskas, E. Bicuspid Aortic Valve and Aortic Coarctation in Congenital Heart Disease—Important Aspects for Treatment with Focus on Aortic Vasculopathy. Cardiovasc. Diagn. Ther. 2018, 8, 780. [Google Scholar] [CrossRef]
- Baumgartner, H.; Bonhoeffer, P.; De Groot, N.M.S.; De Haan, F.; Deanfield, J.E.; Galie, N.; Gatzoulis, M.A.; Gohlke-Baerwolf, C.; Kaemmerer, H.; Kilner, P.; et al. ESC Guidelines for the Management of Grown-up Congenital Heart Disease (New Version 2010). Eur. Heart J. 2010, 31, 2915–2957. [Google Scholar] [CrossRef]
- Mazzolai, L.; Teixido-Tura, G.; Lanzi, S.; Boc, V.; Bossone, E.; Brodmann, M.; Bura-Rivière, A.; De Backer, J.; Deglise, S.; Della Corte, A.; et al. 2024 ESC Guidelines for the Management of Peripheral Arterial and Aortic Diseases. Eur. Heart J. 2024, 45, 3538–3700. [Google Scholar] [CrossRef]
- Thiene, G.; Rizzo, S.; Basso, C. Bicuspid Aortic Valve: The Most Frequent and Not so Benign Congenital Heart Disease. Cardiovasc. Pathol. 2024, 70, 107604. [Google Scholar] [CrossRef]
- Guntheroth, W.G. A Critical Review of the American College of Cardiology/American Heart Association Practice Guidelines on Bicuspid Aortic Valve With Dilated Ascending Aorta. Am. J. Cardiol. 2008, 102, 107–110. [Google Scholar] [CrossRef]
- Tapanainen, J.M.; Insulander, P.; Drca, N.; Jemtrén, A.; Åkerström, F.; Jensen-Urstad, M. Unmasking of Pre-Excitation after Aortic Valve Surgery—A Report of Two Cases. Heart Rhythm Case Rep. 2021, 7, 178–181. [Google Scholar] [CrossRef] [PubMed]
- Chhabra, A.; Trikha, A.; Sharma, N. Unmasking of Benign Wolff-Parkinson-White Pattern under General Anesthesia. Indian J. Anaesth. 2003, 47, 208–211. [Google Scholar]
- Visman, A.G.R.; Hauer, R.N.W.; Robles De Medina, E.O. Unmasking of Left Free Wall Ventricular Preexcitation by His Bundle Ablation. Heart 1993, 69, 446–448. [Google Scholar] [CrossRef]
- Simmers, T.A.; Otterspoor, L.C.; Winter, J.B. Unmasking Accessory Pathway Conduction Due to AV Block Following Tricuspid Valve Replacement. Neth. Heart J. 2006, 14, 251. [Google Scholar]
- Breaux, D.M.; Glancy, D.L. Sinus Tachycardia With Variable QRS Morphology. Am. J. Cardiol. 2017, 120, 511. [Google Scholar] [CrossRef]
- Long, Y.; Li, Y.; Lu, Z. Atrioventricular Accessory Pathway Unmasked by Heart Valve Replacement. Ann. Noninvasive Electrocardiol. 2022, 27, e12911. [Google Scholar] [CrossRef]
- Barbeito, M.G.; Estévez-Cid, F.; Martínez, P.P.; de Sierra, C.V.G.; Gil, C.I.; Laguillo, C.Q.; Castillo, J.J.C. Surgical Technique Modifies the Postoperative Atrioventricular Block Rate in Sutureless Prostheses. J. Thorac. Dis. 2019, 11, 2945–2954. [Google Scholar] [CrossRef]







| Gestational Age (Weeks) | Heart Rate (bpm) | Hb (g/dL) | NT-proBNP (pg/mL) | 6mWT (m) | LVEF (%) | LVOT VTI (cm) | AV VTI (cm) | Maximum AV Gradient (mmHg) | Mean AV Gradient (mmHg) | Indexed Aortic Valve Area (cm2/m2) |
|---|---|---|---|---|---|---|---|---|---|---|
| 22 | 76 | 11.5 | 45 | 670 | 59 | 27.5 | 99.3 | 96 | 58 | 0.475 |
| 26 | 73 | 60 | 27.3 | 99.2 | 94 | 60 | 0.475 | |||
| 29 | 82 | 11.4 | 59 | 625 | 60 | 26.9 | 99.8 | 93 | 60 | 0.463 |
| 30 | 85 | 61 | 27 | 102 | 108 | 60 | 0.457 | |||
| 31 | 81 | 60 | 26.9 | 101.8 | 95 | 58 | 0.469 | |||
| 32 | 78 | 12.1 | 67 | 630 | 59 | 27.2 | 100 | 103 | 62 | 0.469 |
| 33 | 76 | 59 | 27.5 | 99.5 | 100 | 61 | 0.475 | |||
| 34 | 84 | 61 | 27.9 | 101 | 101 | 60 | 0.475 | |||
| 35 | 82 | 12.5 | 37 | 615 | 61 | 28 | 100.6 | 95 | 55 | 0.481 |
| 36 | 80 | 60 | 26.4 | 99 | 89 | 52 | 0.463 | |||
| 37 | 85 | 12.6 | 62 | 27 | 100 | 93 | 56 | 0.469 | ||
| 38 | 86 | 12.3 | 66 | 575 | 62 | 26.5 | 99.8 | 92 | 55 | 0.457 |
| 3 months postpartum | 70 | 11.9 | 54 | 654 | 60 | 28.3 | 118 | 103 | 68 | 0.50 |
Disclaimer/Publisher’s Note: The statements, opinions and data contained in all publications are solely those of the individual author(s) and contributor(s) and not of MDPI and/or the editor(s). MDPI and/or the editor(s) disclaim responsibility for any injury to people or property resulting from any ideas, methods, instructions or products referred to in the content. |
© 2025 by the authors. Licensee MDPI, Basel, Switzerland. This article is an open access article distributed under the terms and conditions of the Creative Commons Attribution (CC BY) license (https://creativecommons.org/licenses/by/4.0/).
Share and Cite
Ştefan, M.F.; Magda, L.Ş.; Herghelegiu, C.G.; Herghelegiu, D.; Zimnicaru, O.A.; Badiu, C.C.; Suran, M.C.B.; Velcea, A.E.; Siliste, C.; Vinereanu, D. Severe Aortic Stenosis and Pre-Excitation Syndrome in Pregnancy—A Multidisciplinary Approach. Diagnostics 2025, 15, 2099. https://doi.org/10.3390/diagnostics15162099
Ştefan MF, Magda LŞ, Herghelegiu CG, Herghelegiu D, Zimnicaru OA, Badiu CC, Suran MCB, Velcea AE, Siliste C, Vinereanu D. Severe Aortic Stenosis and Pre-Excitation Syndrome in Pregnancy—A Multidisciplinary Approach. Diagnostics. 2025; 15(16):2099. https://doi.org/10.3390/diagnostics15162099
Chicago/Turabian StyleŞtefan, Miruna Florina, Lucia Ştefania Magda, Catalin Gabriel Herghelegiu, Doru Herghelegiu, Oana Aurelia Zimnicaru, Catalin Constantin Badiu, Maria Claudia Berenice Suran, Andreea Elena Velcea, Calin Siliste, and Dragoș Vinereanu. 2025. "Severe Aortic Stenosis and Pre-Excitation Syndrome in Pregnancy—A Multidisciplinary Approach" Diagnostics 15, no. 16: 2099. https://doi.org/10.3390/diagnostics15162099
APA StyleŞtefan, M. F., Magda, L. Ş., Herghelegiu, C. G., Herghelegiu, D., Zimnicaru, O. A., Badiu, C. C., Suran, M. C. B., Velcea, A. E., Siliste, C., & Vinereanu, D. (2025). Severe Aortic Stenosis and Pre-Excitation Syndrome in Pregnancy—A Multidisciplinary Approach. Diagnostics, 15(16), 2099. https://doi.org/10.3390/diagnostics15162099

