Advancements in Diagnosis of Neoplastic and Inflammatory Skin Diseases: Old and Emerging Approaches
Abstract
1. Introduction
2. Results
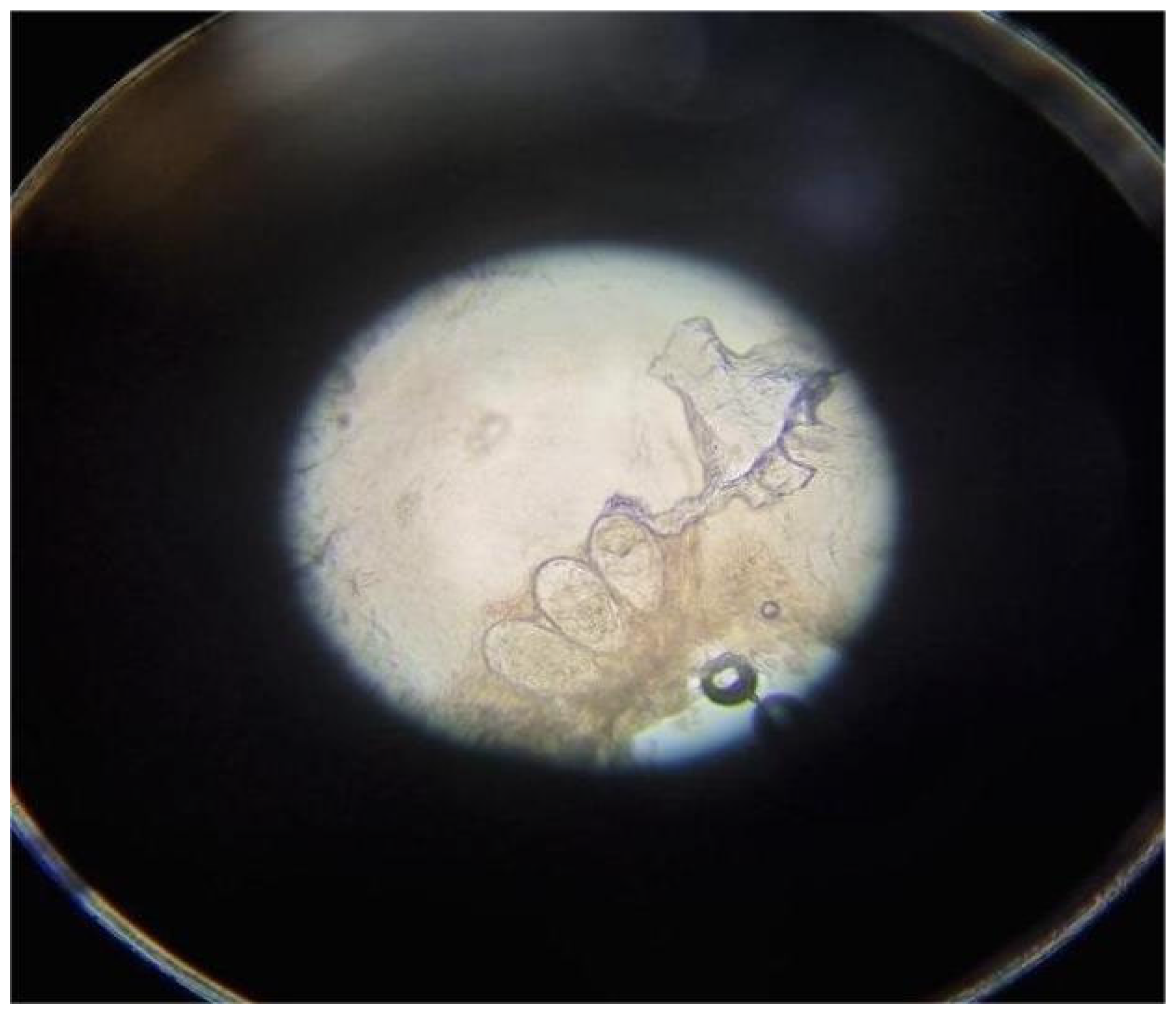
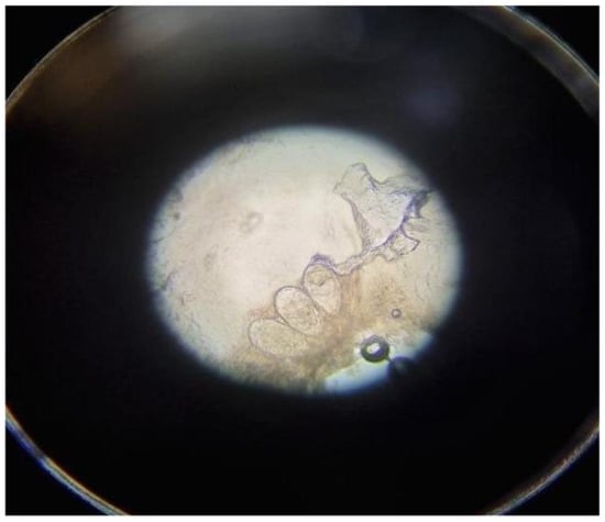
2.1. Traditional Dermatologic Diagnostic Methods
2.2. Dermoscopy and Digital Dermoscopy
2.3. Reflectance Confocal Microscopy (RCM)
2.4. Optical Coherence Tomography
2.5. Line-Field Confocal Optical Coherence Tomography
2.6. Emerging Technologies and Artificial Intelligence-Based Tools
2.7. Applications of Mobile Apps, Electrical Impedance Spectroscopy (EIS), and Multispectral Imaging in Dermatology
2.7.1. Electrical Impedance Spectroscopy (EIS)
2.7.2. Multispectral Imaging
3. Discussion
4. Conclusions
Author Contributions
Funding
Institutional Review Board Statement
Informed Consent Statement
Data Availability Statement
Conflicts of Interest
References
- Bakos, R.M.; Blumetti, T.P.; Roldán-Marín, R.; Salerni, G. Noninvasive Imaging Tools in the Diagnosis and Treatment of Skin Cancers. Am. J. Clin. Dermatol. 2018, 19 (Suppl. S1), 3–14. [Google Scholar] [CrossRef] [PubMed]
- Forsea, A.M.; Tschandl, P.; Zalaudek, I.; Del Marmol, V.; Soyer, H.P.; Eurodermoscopy Working Group; Argenziano, G.; Geller, A.C. The impact of dermoscopy on melanoma detection in the practice of dermatologists in Europe: Results of a pan-European survey. J. Eur. Acad. Dermatol. Venereol. 2017, 31, 1148–1156. [Google Scholar] [CrossRef] [PubMed]
- Harris, U.; Rajadhyaksha, M.; Jain, M. Combining Reflectance Confocal Microscopy with Optical Coherence Tomography for Noninvasive Diagnosis of Skin Cancers via Image Acquisition. J. Vis. Exp. 2022, 18, e63789. [Google Scholar] [CrossRef] [PubMed]
- Cazzato, G. Histopathological Diagnosis of Malignant Melanoma at the Dawn of 2023: Knowledge Gained and New Challenges. Dermatopathology 2023, 10, 91–92. [Google Scholar] [CrossRef] [PubMed] [PubMed Central]
- Esteva, A.; Kuprel, B.; Novoa, R.A.; Ko, J.; Swetter, S.M.; Blau, H.M.; Thrun, S. Dermatologist-Level Classification of Skin Cancer with Deep Neural Networks. Nature 2017, 542, 115–118. [Google Scholar] [CrossRef]
- Talwar, A.; Ballambat, S.P.; Rao, R.; Shetty, V.M. Clinico-Pathological Correlation in Dermatological Disorders: A Retrospective Audit of 332 Skin Biopsies from a Tertiary Care Center. Indian Dermatol. Online J. 2022, 14, 61–66. [Google Scholar] [CrossRef] [PubMed] [PubMed Central]
- Nahmias, A.J.; Josey, W.E.; Naib, Z.M. Cytologic diagnosis of herpes-virus infections. The Tzanck test. JAMA 1964, 190, 1023–1025. [Google Scholar]
- Gayathri, S.; Srinivasan, S.; Kumar, N.A.; Manoharan, K.; Rajeev, K. Tzanck smear: Revisiting the basics. QJM Mon. J. Assoc. Physicians 2024, 117, 285–286. [Google Scholar] [CrossRef] [PubMed]
- Gupta, L.K.; Singhi, M.K. Tzanck smear: A useful diagnostic tool. Indian J. Dermatol. Venereol. Leprol. 2005, 71, 295–299. [Google Scholar] [CrossRef]
- Chosidow, O. Scabies and pediculosis. Lancet 2000, 355, 819–826. [Google Scholar] [CrossRef]
- Afshar, P.; Larijani, L.V.; Rouhanizadeh, H. A comparison of conventional rapid methods in diagnosis of superficial and cutaneous mycoses based on KOH, Chicago sky blue 6B and calcofluor white stains. Iran. J. Microbiol. 2018, 10, 433–440. [Google Scholar] [PubMed] [PubMed Central]
- Al Aboud, D.M.; Gossman, W. Wood’s Light. [Updated 28 August 2023]. In StatPearls; StatPearls Publishing: Treasure Island, FL, USA, 2025. Available online: https://www.ncbi.nlm.nih.gov/books/NBK537193/ (accessed on 13 June 2025).
- Dyer, J.M.; Foy, V.M. Revealing The Unseen: A Review of Wood’s Lamp in Dermatology. J. Clin. Aesthet. Dermatol. 2022, 15, 25–30. [Google Scholar] [PubMed] [PubMed Central]
- Sato, T.; Asahina, Y.; Toshima, S.; Yaguchi, T.; Yamazaki, K. Usefulness of Wood’s Lamp for the Diagnosis and Treatment Follow-up of Onychomycosis. Med. Mycol. J. 2020, 61, 17–21. [Google Scholar] [CrossRef] [PubMed]
- Wang, Y.J.; Chang, C.C.; Cheng, K.L. Wood’s lamp for vitiligo disease stability and early recognition of initiative pigmentation after epidermal grafting. Int. Wound J. 2017, 14, 1391–1394. [Google Scholar] [CrossRef] [PubMed] [PubMed Central]
- Malvehy, J.; Puig, S.; Argenziano, G.; Soyer, H.P.; Hofmann-Wellenhof, R. Principles of Dermoscopy; CEGE: Barcelona, Spain, 2002. [Google Scholar]
- Pietkiewicz, P.; Navarrete-Dechent, C.; Togawa, Y.; Szlązak, P.; Salwowska, N.; Marghoob, A.A.; Leszczyńska-Pietkiewicz, A.; Errichetti, E. Applications of ultraviolet and sub-ultraviolet dermatoscopy in neoplastic and non-neoplastic dermatoses: A systematic review. Dermatol. Ther. 2024, 14, 361–390. [Google Scholar] [CrossRef]
- Salerni, G.; Carrera, C.; Lovatto, L.; Puig-Butille, J.A.; Badenas, C.; Plana, E.; Puig, S.; Malvehy, J. Benefits of total body photography and digital dermatoscopy (“two-step method of digital follow-up”) in the early diagnosis of melanoma in patients at high risk for melanoma. J. Am. Acad. Dermatol. 2012, 67, e17–e27. [Google Scholar] [CrossRef]
- Winkler, J.K.; Blum, A.; Kommoss, K.; Enk, A.; Toberer, F.; Rosenberger, A.; Haenssle, H.A. Assessment of diagnostic performance of dermatologists cooperating with a convolutional neural network in a prospective clinical study: Human with machine. JAMA Dermatol. 2023, 159, 621–627. [Google Scholar] [CrossRef]
- Kittler, H.; Pehamberger, H.; Wolff, K.; Binder, M. Diagnostic accuracy of dermoscopy. Lancet Oncol. 2002, 3, 159–165. [Google Scholar] [CrossRef]
- Rosés-Gibert, P.; Heras, C.; Ricart, N.; Campmol, E.; Ferrera, N.; Puig, S.; Malvehy, J. Standard Dermatoscope Images vs an Autonomous Total Body Photography and Dermoscopic Imaging Device. JAMA Dermatol. 2025, 161, 615–621. [Google Scholar] [CrossRef]
- Cinotti, E.; Cioppa, V.; Tognetti, L.; Perrot, J.L.; Rossi, R.; Gnone, M.; Cartocci, A.; Rubegni, P.; Cortonesi, G. Super-High Magnification Dermoscopy in 190 Clinically Atypical Pigmented Lesions. Diagnostics 2023, 13, 2238. [Google Scholar] [CrossRef]
- Cinotti, E.; Cartocci, A.; Liso, F.G.; Cioppa, V.; Falcinelli, F.; Tognetti, L.; Rubegni, P.; Perrot, J.L. Super-high magnification dermoscopy can help for the diagnosis of lentigo maligna: A pilot study on 61 cases. Dermatol. Pract. Concept. 2023, 13, e2023101. [Google Scholar] [CrossRef]
- Pogorzelska-Dyrbuś, J.; Szepietowski, J.C. Optical super-high magnification dermoscopy of pigmented and nonpigmented nodular basal cell carcinoma. J. Cosmet. Dermatol. 2022, 21, 6458–6460. [Google Scholar] [CrossRef] [PubMed]
- Pogorzelska-Dyrbuś, J.; Ławniczak-Cielińska, D.; Cinotti, E. Optical Super-High Magnification Dermoscopy of Solar Lentigo and Lichen Planus-Like Keratosis. Dermatol. Pract. Concept. 2025, 15, 4815. [Google Scholar] [CrossRef]
- Sonthalia, S.; Yumeen, S.; Kaliyadan, F. Dermoscopy Overview and Extradiagnostic Applications. [Updated 8 August 2023]. In StatPearls [Internet]; StatPearls Publishing: Treasure Island, FL, USA, 2025. Available online: https://www.ncbi.nlm.nih.gov/books/NBK537131/4 (accessed on 13 June 2025).
- Vestergaard, M.E.; Macaskill, P.; Holt, P.E.; Menzies, S.W. Dermoscopy compared with naked eye examination for the diagnosis of primary melanoma: A meta-analysis of studies performed in a clinical setting. Br. J. Dermatol. 2008, 159, 669–676. [Google Scholar] [CrossRef]
- Reiter, O.; Mimouni, I.; Gdalevich, M.; Marghoob, A.A.; Levi, A.; Hodak, E.; Leshem, Y.A. The diagnostic accuracy of dermoscopy for basal cell carcinoma: A systematic review and meta-analysis. J. Am. Acad. Dermatol. 2019, 80, 1380–1388. [Google Scholar] [CrossRef]
- Zalaudek, I.; Giacomel, J.; Schmid, K.; Bondino, S.; Rosendahl, C.; Cavicchini, S.; Tourlaki, A.; Gasparini, S.; Bourne, P.; Keir, J.; et al. Dermatoscopy of facial actinic keratosis, intraepidermal carcinoma, and invasive squamous cell carcinoma: A progression model. J. Am. Acad. Dermatol. 2012, 66, 589–597. [Google Scholar] [CrossRef]
- Lallas, A.; Giacomel, J.; Argenziano, G.; García-García, B.; González-Fernández, D.; Zalaudek, I.; Vázquez-López, F. Dermoscopy in general dermatology: Practical tips for the clinician. Br. J. Dermatol. 2014, 170, 514–526. [Google Scholar] [CrossRef]
- Dupuy, A.; Dehen, L.; Bourrat, E.; Lacroix, C.; Benderdouche, M.; Dubertret, L.; Morel, P.; Feuilhade de Chauvin, M.; Petit, A. Accuracy of standard dermoscopy for diagnosing scabies. J. Am. Acad. Dermatol. 2007, 56, 53–62. [Google Scholar] [CrossRef]
- Miteva, M.; Tosti, A. Hair and scalp dermatoscopy. J. Am. Acad. Dermatol. 2012, 67, 1040–1048. [Google Scholar] [CrossRef]
- Errichetti, E.; Pietkiewicz, P.; Bhat, Y.J.; Salwowska, N.; Szlązak, P.; Stinco, G. Diagnostic accuracy of ultraviolet-induced fluorescence dermoscopy in non-neoplastic dermatoses (general dermatology): A multicentric retrospective comparative study. J. Eur. Acad. Dermatol. Venereol. 2025, 39, 97–108. [Google Scholar] [CrossRef] [PubMed]
- Witkowski, A.M.; Burshtein, J.; Christopher, M.; Cockerell, C.; Correa, L.; Cotter, D.; Ellis, D.L.; Farberg, A.S.; Grant-Kels, J.M.; Greiling, T.M.; et al. Clinical Utility of a Digital Dermoscopy Image-Based Artificial Intelligence Device in the Diagnosis and Management of Skin Cancer by Dermatologists. Cancers 2024, 16, 3592. [Google Scholar] [CrossRef] [PubMed] [PubMed Central]
- Shahriari, N.; Grant-Kels, J.M.; Rabinovitz, H.; Oliviero, M.; Scope, A. Reflectance confocal microscopy: Principles, basic terminology, clinical indications, limitations, and practical considerations. J. Am. Acad. Dermatol. 2021, 84, 1–14. [Google Scholar] [CrossRef] [PubMed]
- Rajadhyaksha, M.; Grossman, M.; Esterowitz, D.; Webb, R.H.; Anderson, R.R. In vivo confocal scanning laser microscopy of human skin: Melanin provides strong contrast. J. Investig. Dermatol. 1995, 104, 946–952. [Google Scholar] [CrossRef] [PubMed]
- Alarcon, I.; Carrera, C.; Alos, L.; Palou, J.; Malvehy, J.; Puig, S. In vivo reflectance confocal microscopy to monitor the response of lentigo maligna to imiquimod. J. Am. Acad. Dermatol. 2014, 71, 49–55. [Google Scholar] [CrossRef] [PubMed]
- Ahlgrimm-Siess, V.; Massone, C.; Scope, A.; Fink-Puches, R.; Richtig, E.; Wolf, I.H.; Koller, S.; Gerger, A.; Smolle, J.; Hofmann-Wellenhof, R. Reflectance confocal microscopy of facial lentigo maligna and lentigo maligna melanoma: A preliminary study. Br. J. Dermatol. 2009, 161, 1307–1316. [Google Scholar] [CrossRef]
- Guitera, P.; Pellacani, G.; Crotty, K.A.; Scolyer, R.A.; Li, L.X.L.; Bassoli, S.; Vinceti, M.; Rabinovitz, H.; Longo, C.; Menzies, S.W. The impact of in vivo reflectance confocal microscopy on the diagnostic accuracy of lentigo maligna and equivocal pigmented and nonpigmented macules of the face. J. Investig. Dermatol. 2010, 130, 2080–2091. [Google Scholar] [CrossRef]
- Longo, C.; Guida, S.; Mirra, M.; Pampena, R.; Ciardo, S.; Bassoli, S.; Casari, A.; Rongioletti, F.; Spadafora, M.; Chester, J.; et al. Dermatoscopy and reflectance confocal microscopy for basal cell carcinoma diagnosis and diagnosis prediction score: A prospective and multicenter study on 1005 lesions. J. Am. Acad. Dermatol. 2024, 90, 994–1001. [Google Scholar] [CrossRef]
- Ulrich, M.; Roewert-Huber, J.; González, S.; Rius-Díaz, F.; Stockfleth, E.; Kanitakis, J. Peritumoral clefting in basal cell carcinoma: Correlation of in vivo reflectance confocal microscopy and routine histology. J. Cutan. Pathol. 2011, 38, 190–195. [Google Scholar] [CrossRef]
- Lupu, M.; Malciu, A.M.; Voiculescu, V.M. In Vivo Characterization of Mucin and Amyloid Deposits in Primary Basal Cell Carcinoma through Reflectance Confocal Microscopy: A Correlation with Histopathology. Diagnostics 2023, 13, 422. [Google Scholar] [CrossRef]
- Janowska, A.; Oranges, T.; Granieri, G.; Romanelli, M.; Fidanzi, C.; Iannone, M.; Dini, V. Non-invasive imaging techniques in presurgical margin assessment of basal cell carcinoma: Current evidence. Ski. Res. Technol. 2023, 29, e13271. [Google Scholar] [CrossRef]
- Guitera, P.; Pellacani, G.; Longo, C.; Seidenari, S.; Avramidis, M.; Menzies, S.W. In vivo reflectance confocal microscopy enhances secondary evaluation of melanocytic lesions. J. Investig. Dermatol. 2009, 129, 131–138. [Google Scholar] [CrossRef]
- Peppelman, M.; Nguyen, K.P.; Hoogedoorn, L.; van Erp, P.E.; Gerritsen, M.J. Reflectance confocal microscopy: Non-invasive distinction between actinic keratosis and squamous cell carcinoma. J. Eur. Acad. Dermatol. Venereol. 2015, 29, 1302–1309. [Google Scholar] [CrossRef] [PubMed]
- Valenti, M.; Piscazzi, F.; Franceschini, C.; Ferrari, A.; Frascione, P.; Ardigò, M. Characterizing pigmented mucosal lesions: New insights from reflectance confocal microscopy. J. Eur. Acad. Dermatol. Venereol. 2025, 39, e638–e641. [Google Scholar] [CrossRef] [PubMed]
- Piscazzi, F.; Franceschini, C.; Narcisi, A.; Valenti, M.; Rossi, A.; Ardigò, M. Non-invasive assessment and management of folliculitis decalvans by trichoscopy and reflectance confocal microscopy. Dermatol. Pract. Concept. 2024, 14, e2024167. [Google Scholar] [CrossRef] [PubMed]
- Bozkurt, A.; Kose, K.; Coll-Font, J.; Alessi-Fox, C.; Brooks, D.H.; Dy, J.G.; Rajadhyaksha, M. Skin strata delineation in reflectance confocal microscopy images using recurrent convolutional networks with attention. Sci. Rep. 2021, 11, 12576. [Google Scholar] [CrossRef]
- Welzel, J. Optical coherence tomography in dermatology: A review. Ski. Res. Technol. 2001, 7, 1–9. [Google Scholar] [CrossRef]
- Mogensen, M.; Morsy, H.A.; Thrane, L.; Jemec, G.B. Morphology and epidermal thickness of normal skin imaged by optical coherence tomography. Dermatology 2008, 217, 14–20. [Google Scholar] [CrossRef] [PubMed]
- Sattler, E.; Kästle, R.; Welzel, J. Optical coherence tomography in dermatology. J. Biomed. Opt. 2013, 18, 061224. [Google Scholar] [CrossRef] [PubMed]
- Schuh, S.; Holmes, J.; Ulrich, M.; Themstrup, L.; Jemec, G.B.E.; De Carvalho, N.; Pellacani, G.; Welzel, J. Imaging blood vessel morphology in skin: Dynamic optical coherence tomography as a novel potential diagnostic tool in dermatology. Dermatol. Ther. 2017, 7, 187–202. [Google Scholar] [CrossRef] [PubMed] [PubMed Central]
- Ulrich, M.; Themstrup, L.; de Carvalho, N.; Manfredi, M.; Grana, C.; Ciardo, S.; Kästle, R.; Holmes, J.; Whitehead, R.; Jemec, G.B.E.; et al. Dynamic optical coherence tomography in nonmelanoma skin cancer: Diagnostic insights and clinical utility. Br. J. Dermatol. 2021, 185, 516–526. [Google Scholar]
- Rajabi-Estarabadi, A.; Vasquez-Herrera, N.E.; Martinez-Velasco, M.A.; Tsatalis, J.; Verne, S.H.; Nouri, K.; Tosti, A. Optical coherence tomography in diagnosis of inflammatory scalp disorders. J. Eur. Acad. Dermatol. Venereol. 2020, 34, 2147–2151. [Google Scholar] [CrossRef] [PubMed]
- Ogien, J.; Tavernier, C.; Fischman, S.; Dubois, A. Line-field confocal optical coherence tomography (LC-OCT): Principles and practical use. Ital. J. Dermatol. Venerol. 2023, 158, 171–179. [Google Scholar] [CrossRef] [PubMed]
- Dubois, A.; Levecq, O.; Azimani, H.; Siret, D.; Barut, A.; Suppa, M.; Del Marmol, V.; Malvehy, J.; Cinotti, E.; Rubegni, P.; et al. Line-field confocal optical coherence tomography for high-resolution noninvasive imaging of skin tumors. J. Biomed. Opt. 2018, 23, 106007. [Google Scholar] [CrossRef]
- Cinotti, E.; Brunetti, T.; Cartocci, A.; Tognetti, L.; Suppa, M.; Malvehy, J.; Perez-Anker, J.; Puig, S.; Perrot, J.L.; Rubegni, P. Diagnostic accuracy of line-field confocal optical coherence tomography for the diagnosis of skin carcinomas. Diagnostics 2023, 13, 361. [Google Scholar] [CrossRef]
- Ruini, C.; Schuh, S.; Gust, C.; Kendziora, B.; Frommherz, L.; French, L.E.; Hartmann, D.; Welzel, J.; Sattler, E. Line-field optical coherence tomography: In vivo diagnosis of basal cell carcinoma subtypes compared with histopathology. Clin. Exp. Dermatol. 2021, 46, 1471–1481. [Google Scholar] [CrossRef]
- Verzì, A.E.; Broggi, G.; Micali, G.; Sorci, F.; Caltabiano, R.; Lacarrubba, F. Line-field confocal optical coherence tomography of psoriasis, eczema and lichen planus: A case series with histopathological correlation. J. Eur. Acad. Dermatol. Venereol. 2022, 36, 1884–1889. [Google Scholar] [CrossRef]
- Deußing, M.; Eijkenboom, Q.L.; Thamm, J.; Desch, A.; Fünfer, K.; Mozaffari, M.; Wirsching, H.; Mayer, O.; Schlingmann, S.; French, L.E.; et al. AI-assisted line-field optical coherence tomography margin mapping for precise excision of basal cell carcinoma—A step-by-step tutorial. Ski. Res. Technol. 2024, 30, e1359. [Google Scholar] [CrossRef]
- Perez-Anker, J.; Soglia, S.; Lenoir, C.; Albero, R.; Alos, L.; García, A.; Alejo, B.; Cinotti, E.; Orte Cano, C.; Habougit, C.; et al. Criteria for melanocytic lesions in LC-OCT. J. Eur. Acad. Dermatol. Venereol. 2024, 38, 2005–2016. [Google Scholar] [CrossRef] [PubMed]
- Cinotti, E.; D’Onghia, M.; Cartocci, A.; Lo Conte, S.; Barbarossa, L.; Tavernier, C.; Rubegni, G.; Tognetti, L.; Suppa, M.; Rubegni, P. Line-Field Confocal Optical Coherence Tomography: Is One Hour of Training Sufficient for Diagnosing Basal Cell Carcinoma? Cancers 2025, 17, 826. [Google Scholar] [CrossRef]
- Mtimet, L.; Boussingault, L.; Aktas, D.; Fontaine, M.; Orte Cano, C.; Diet, G.; Lenoir, C.; Miyamoto, M.; Cinotti, E.; Tognetti, L.; et al. Line-field confocal optical coherence tomography of basal cell carcinoma: A retrospective study on diagnostic performance. J. Eur. Acad. Dermatol. Venereol. 2025, 39, 1468–1480. [Google Scholar] [CrossRef] [PubMed]
- Cerminara, S.E.; Cheng, P.; Kostner, L.; Huber, S.; Kunz, M.; Maul, J.T.; Böhm, J.S.; Dettwiler, C.F.; Geser, A.; Jakopović, C.; et al. Diagnostic performance of augmented intelligence with 2D and 3D total body photography and convolutional neural networks in a high-risk population for melanoma under real-world conditions: A new era of skin cancer screening? Eur. J. Cancer 2023, 190, 112954. [Google Scholar] [CrossRef] [PubMed]
- iToBoS Project. Intelligent Total Body Scanner for Early Detection of Melanoma. European Commission Horizon 2020. Available online: https://www.itobos.eu (accessed on 13 June 2025).
- Saha, A.; Adeola, J.; Ferrera, N.; Mothershaw, A.; Rezze, G.; Gaborit, S.; D’Alessandro, B.; Hudson, J.; Szabó, G.; Pataki, B.; et al. The iToBoS dataset: Skin region images extracted from 3D total body photographs for lesion detection. arXiv 2025, arXiv:2501.18270. [Google Scholar]
- Primiero, C.A.; Betz-Stablein, B.; Ascott, N.; D’Alessandro, B.; Gaborit, S.; Fricker, P.; Goldsteen, A.; González-Villà, S.; Lee, K.; Nazari, S.; et al. A protocol for annotation of total body photography for machine learning to analyze skin phenotype and lesion classification. Front. Med. 2024, 11, 1380984. [Google Scholar] [CrossRef] [PubMed] [PubMed Central]
- Brinker, T.J.; Hekler, A.; Enk, A.H.; Berking, C.; Haferkamp, S.; Hauschild, A.; Weichenthal, M.; Klode, J.; Schadendorf, D.; Holland-Letz, T.; et al. Deep neural networks are superior to dermatologists in melanoma image classification. Eur. J. Cancer 2019, 119, 11–17. [Google Scholar] [CrossRef] [PubMed]
- Martínez-Vargas, E.; Mora-Jiménez, J.; Arguedas-Chacón, S.; Hernández-López, J.; Zavaleta-Monestel, E. The Emerging Role of Artificial Intelligence in Dermatology: A Systematic Review of Its Clinical Applications. Dermato 2025, 5, 9. [Google Scholar] [CrossRef]
- Dildar, M.; Akram, S.; Irfan, M.; Khan, H.U.; Ramzan, M.; Mahmood, A.R.; Alsaiari, S.A.; Saeed, A.H.M.; Alraddadi, M.O.; Mahnashi, M.H. Skin Cancer Detection: A Review Using Deep Learning Techniques. Int. J. Environ. Res. Public Health 2021, 18, 5479. [Google Scholar] [CrossRef] [PubMed] [PubMed Central]
- Tschandl, P.; Rinner, C.; Apalla, Z.; Argenziano, G.; Codella, N.; Halpern, A.; Janda, M.; Lallas, A.; Longo, C.; Malvehy, J.; et al. Human–Computer Collaboration for Skin Cancer Recognition. Nat. Med. 2020, 26, 1229–1234. [Google Scholar] [CrossRef]
- Holzinger, A.; Langs, G.; Denk, H.; Zatloukal, K.; Müller, H. Causability and explainability of artificial intelligence in medicine. Wiley Interdiscip. Rev. Data Min. Knowl. Discov. 2019, 9, e1312. [Google Scholar] [CrossRef] [PubMed] [PubMed Central]
- Liu, X.; Faes, L.; Kale, A.U.; Wagner, S.K.; Fu, D.J.; Bruynseels, A.; Mahendiran, T.; Moraes, G.; Shamdas, M.; Kern, C.; et al. A comparison of deep learning performance against health-care professionals in detecting diseases from medical imaging: A systematic review and meta-analysis. Lancet Digit. Health 2019, 1, e271–e297, Erratum in Lancet Digit. Health 2019, 1, e334. https://doi.org/10.1016/S2589-7500(19)30160-8. [Google Scholar] [CrossRef] [PubMed]
- Jahn, A.S.; Navarini, A.A.; Cerminara, S.E.; Kostner, L.; Huber, S.M.; Kunz, M.; Maul, J.T.; Dummer, R.; Sommer, S.; Neuner, A.D.; et al. Over-Detection of Melanoma-Suspect Lesions by a CE-Certified Smartphone App: Performance in Comparison to Dermatologists, 2D and 3D Convolutional Neural Networks in a Prospective Data Set of 1204 Pigmented Skin Lesions Involving Patients’ Perception. Cancers 2022, 14, 3829. [Google Scholar] [CrossRef] [PubMed] [PubMed Central]
- Drabarek, D.; Habgood, E.; Ackermann, D.; Hersch, J.; Janda, M.; Morton, R.L.; Guitera, P.; Soyer, H.P.; Collgros, H.; Cust, A.E.; et al. Perspectives and Experiences of Patient-Led Melanoma Surveillance Using Digital Technologies From Clinicians Involved in the MEL-SELF Pilot Randomized Controlled Trial: Qualitative Interview Study. JMIR Dermatol. 2022, 5, e40623. [Google Scholar] [CrossRef] [PubMed] [PubMed Central]
- Wongvibulsin, S.; Yan, M.J.; Pahalyants, V.; Murphy, W.; Daneshjou, R.; Rotemberg, V. Current state of dermatology mobile applications with artificial intelligence features. JAMA Dermatol. 2024, 160, 646–650. [Google Scholar] [CrossRef] [PubMed]
- Cassalia, F.; Han, S.S.; Cazzaniga, S.; Naldi, L. Melanoma detection: Evaluating the classification performance of a deep convolutional neural network and dermatologist assessment via a mobile app in an Italian real-world setting. J. Eur. Acad. Dermatol. Venereol. 2024, in press. [CrossRef] [PubMed]
- Sangers, T.E.; Wakkee, M.; Moolenburgh, F.; Nijsten, T.; Lugtenberg, M. Mobile health apps for skin cancer triage in the general population: A qualitative study on healthcare providers’ perspectives. BMC Cancer 2025, 25, 851. [Google Scholar] [CrossRef] [PubMed] [PubMed Central]
- Brunsgaard, E.K.; Sanchez, B.; Grossman, D. Electrical impedance dermography: Background, current state, and emerging clinical opportunities. Dermatol. Res. Pract. 2024, 2024, 2085098. [Google Scholar] [CrossRef]
- Malvehy, J.; Hauschild, A.; Curiel-Lewandrowski, C.; Mohr, P.; Hofmann-Wellenhof, R.; Motley, R.; Berking, C.; Grossman, D.; Paoli, J.; Loquai, C.; et al. Clinical performance of the Nevisense system in cutaneous melanoma detection: An international, multicentre, prospective and blinded clinical trial on efficacy and safety. Br. J. Dermatol. 2014, 171, 1099–1107. [Google Scholar] [CrossRef] [PubMed] [PubMed Central]
- Heibel, H.D.; Hooey, L.; Cockerell, C.J. A review of noninvasive techniques for skin cancer detection in dermatology. Am. J. Clin. Dermatol. 2020, 21, 513–524. [Google Scholar] [CrossRef] [PubMed]
- Zakria, D.; Brownstone, N.; Han, J.; Owji, S.; Dirr, M.; Rigel, D. Electrical impedance spectroscopy significantly enhances correct biopsy choice for pigmented skin lesions beyond clinical evaluation and dermoscopy. Melanoma Res. 2023, 33, 80–83. [Google Scholar] [CrossRef] [PubMed]
- Ingrassia, J.P.; Bajaj, S.; Kolla, A.; Li, V.; Shah, P.; Gulati, N.; Criscito, M.C.; Xing, Y.; Lopez, A.; Tran, D.C.; et al. SpotCheck: A skin cancer diagnostic accuracy study comparing teledermoscopy with and without electrical impedance spectroscopy to in-person dermatologist evaluation of patient-identified lesions concerning them for skin cancer. J. Am. Acad. Dermatol. 2025, 92, 600–602. [Google Scholar] [CrossRef] [PubMed]
- Oniga, M.; Sultana, A.; Alexandrescu, B.; Orzan, O. Towards an integrated imaging for melanoma diagnosis: A review of multispectral, hyperspectral, and thermal technologies with preliminary system development. Comput. Biol. Med. 2025, 185, 109570. [Google Scholar] [CrossRef]
- Jiang, Z.; Gu, X.; Chen, D.; Zhang, M.; Xu, C. Deep learning-assisted multispectral imaging for early screening of skin diseases. Photodiagnosis Photodyn. Ther. 2024, 48, 104292. [Google Scholar] [CrossRef]












Disclaimer/Publisher’s Note: The statements, opinions and data contained in all publications are solely those of the individual author(s) and contributor(s) and not of MDPI and/or the editor(s). MDPI and/or the editor(s) disclaim responsibility for any injury to people or property resulting from any ideas, methods, instructions or products referred to in the content. |
© 2025 by the authors. Licensee MDPI, Basel, Switzerland. This article is an open access article distributed under the terms and conditions of the Creative Commons Attribution (CC BY) license (https://creativecommons.org/licenses/by/4.0/).
Share and Cite
Federico, S.; Cassalia, F.; Mazza, M.; Del Fiore, P.; Ferrera, N.; Malvehy, J.; Trilli, I.; Rivas, A.C.; Cazzato, G.; Ingravallo, G.; et al. Advancements in Diagnosis of Neoplastic and Inflammatory Skin Diseases: Old and Emerging Approaches. Diagnostics 2025, 15, 2100. https://doi.org/10.3390/diagnostics15162100
Federico S, Cassalia F, Mazza M, Del Fiore P, Ferrera N, Malvehy J, Trilli I, Rivas AC, Cazzato G, Ingravallo G, et al. Advancements in Diagnosis of Neoplastic and Inflammatory Skin Diseases: Old and Emerging Approaches. Diagnostics. 2025; 15(16):2100. https://doi.org/10.3390/diagnostics15162100
Chicago/Turabian StyleFederico, Serena, Fortunato Cassalia, Marcodomenico Mazza, Paolo Del Fiore, Nuria Ferrera, Josep Malvehy, Irma Trilli, Ana Claudia Rivas, Gerardo Cazzato, Giuseppe Ingravallo, and et al. 2025. "Advancements in Diagnosis of Neoplastic and Inflammatory Skin Diseases: Old and Emerging Approaches" Diagnostics 15, no. 16: 2100. https://doi.org/10.3390/diagnostics15162100
APA StyleFederico, S., Cassalia, F., Mazza, M., Del Fiore, P., Ferrera, N., Malvehy, J., Trilli, I., Rivas, A. C., Cazzato, G., Ingravallo, G., Ardigò, M., & Piscazzi, F. (2025). Advancements in Diagnosis of Neoplastic and Inflammatory Skin Diseases: Old and Emerging Approaches. Diagnostics, 15(16), 2100. https://doi.org/10.3390/diagnostics15162100

