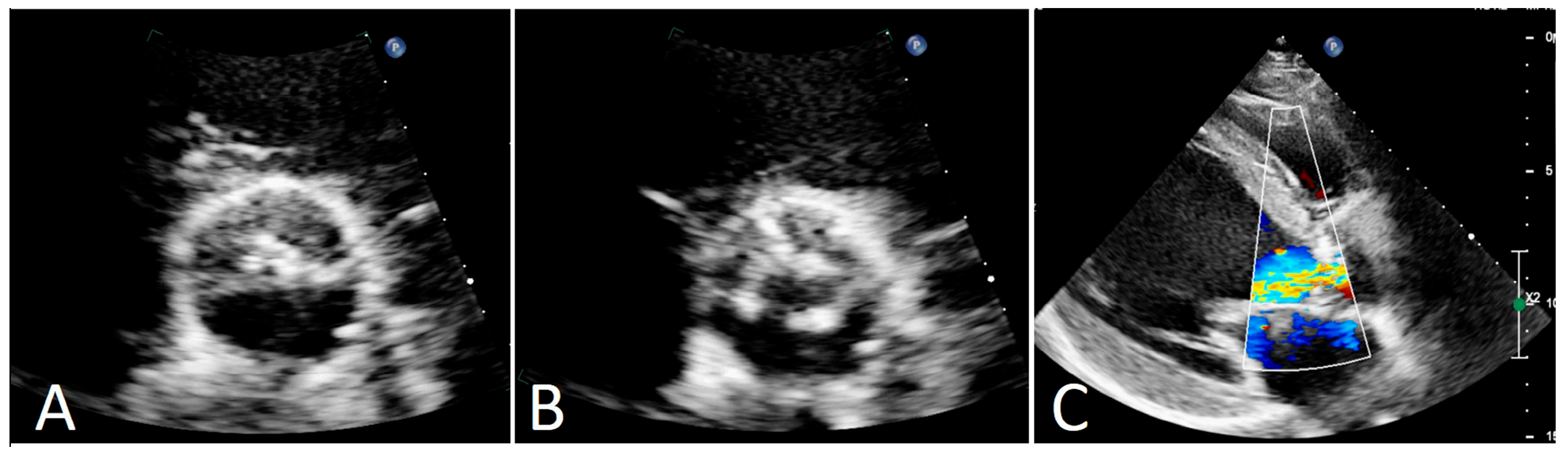
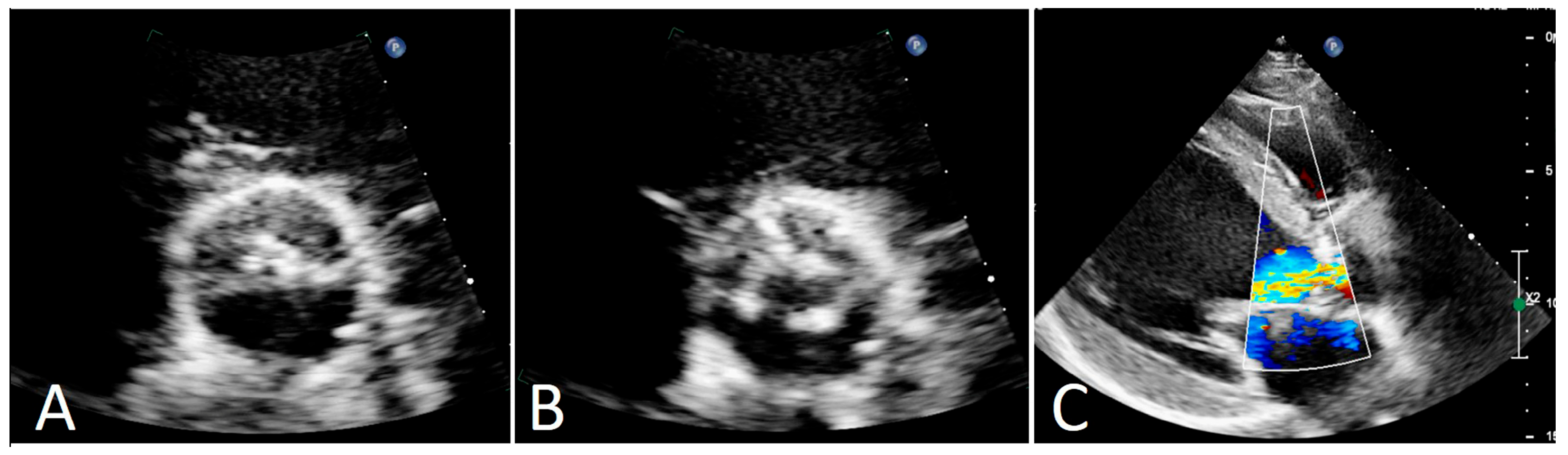
Quadricuspid Aortic Valve: Out of the Shadows, into the Light
Abstract


Author Contributions
Funding
Institutional Review Board Statement
Informed Consent Statement
Data Availability Statement
Acknowledgments
Conflicts of Interest
References
- Saith, S.; Saith, S.; Murthy, A. Quadricuspid Aortic Valve: An Introduction for Clinicians. Cardiol. Res. 2022, 13, 2–10. [Google Scholar] [CrossRef] [PubMed]
- Yuan, S.-M. Quadricuspid Aortic Valve: A Comprehensive Review. Braz. J. Cardiovasc. Surg. 2016, 31, 454–460. [Google Scholar] [CrossRef] [PubMed]
- Suraci, N.; Horvath, S.A.; Urina, D.; Rosen, G.; Santana, O. Quadricuspid aortic valve: Case series and review of literature. Echocardiography 2019, 36, 406–410. [Google Scholar] [CrossRef] [PubMed]
- Sohn, J.; Arain, F.D. Two Consecutive Cases of Quadricuspid Aortic Valve and a Review of 149 Cases. J. Cardiothorac. Vasc. Anesth. 2022, 36, 717–723. [Google Scholar] [CrossRef] [PubMed]
- Tsang, M.Y.C.; Abudiab, M.M.; Ammash, N.M.; Naqvi, T.Z.; Edwards, W.D.; Nkomo, V.T.; Pellikka, P.A. Quadricuspid Aortic Valve Characteristics, Associated Structural Cardiovascular Abnormalities, and Clinical Outcomes. Circulation 2016, 133, 312–319. [Google Scholar] [CrossRef] [PubMed]
Disclaimer/Publisher’s Note: The statements, opinions and data contained in all publications are solely those of the individual author(s) and contributor(s) and not of MDPI and/or the editor(s). MDPI and/or the editor(s) disclaim responsibility for any injury to people or property resulting from any ideas, methods, instructions or products referred to in the content. |
© 2025 by the authors. Licensee MDPI, Basel, Switzerland. This article is an open access article distributed under the terms and conditions of the Creative Commons Attribution (CC BY) license (https://creativecommons.org/licenses/by/4.0/).
Share and Cite
Panfilov, D.; Petrakova, E.; Kozlov, B. Quadricuspid Aortic Valve: Out of the Shadows, into the Light. Diagnostics 2025, 15, 1689. https://doi.org/10.3390/diagnostics15131689
Panfilov D, Petrakova E, Kozlov B. Quadricuspid Aortic Valve: Out of the Shadows, into the Light. Diagnostics. 2025; 15(13):1689. https://doi.org/10.3390/diagnostics15131689
Chicago/Turabian StylePanfilov, Dmitri, Elizaveta Petrakova, and Boris Kozlov. 2025. "Quadricuspid Aortic Valve: Out of the Shadows, into the Light" Diagnostics 15, no. 13: 1689. https://doi.org/10.3390/diagnostics15131689
APA StylePanfilov, D., Petrakova, E., & Kozlov, B. (2025). Quadricuspid Aortic Valve: Out of the Shadows, into the Light. Diagnostics, 15(13), 1689. https://doi.org/10.3390/diagnostics15131689

