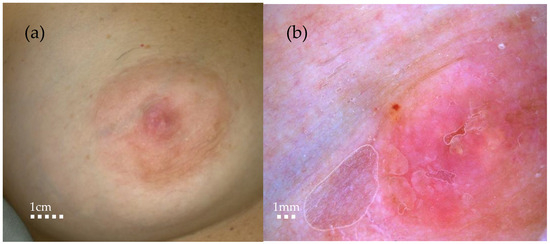
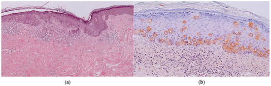
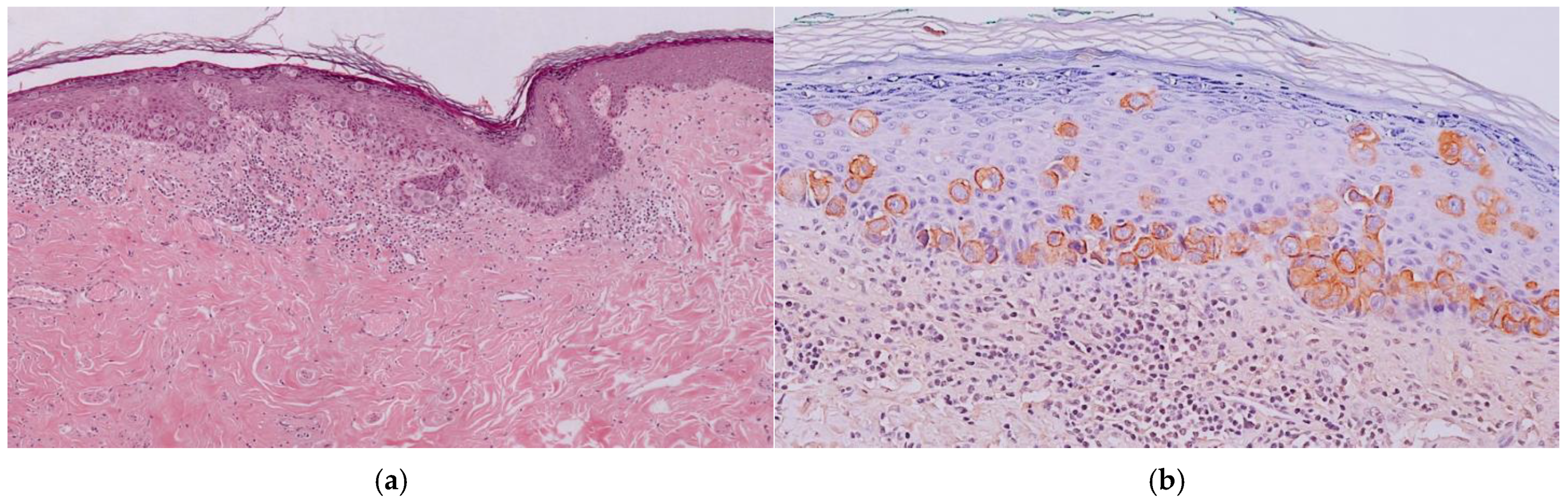
Reflectance Confocal Microscopy Can Help in Detecting Clinically Silent Mammary Paget’s Disease
Abstract



Author Contributions
Funding
Institutional Review Board Statement
Informed Consent Statement
Data Availability Statement
Conflicts of Interest
References
- Zou, Y.; Zhu, X.; Yang, L.; Gu, J.; Xia, R. Pigmented mammary Paget disease mimicking melanoma on reflectance confocal microscopy. Skin. Res. Technol. 2020, 26, 954–955. [Google Scholar] [CrossRef] [PubMed]
- Longo, C.; Fantini, F.; Cesinaro, A.M.; Bassoli, S.; Seidenari, S.; Pellacani, G. Pigmented mammary Paget disease: Dermoscopic, in vivo reflectance-mode confocal microscopic, and immunohistochemical study of a case. Arch. Dermatol. 2007, 143, 752–754. [Google Scholar] [CrossRef] [PubMed]
- Guitera, P.; Scolyer, R.A.; Gill, M.; Akita, H.; Arima, M.; Yokoyama, Y.; Matsunaga, K.; Longo, C.; Bassoli, S.; Bencini, P.L.; et al. Reflectance confocal microscopy for diagnosis of mammary and extramammary Paget’s disease. J. Eur. Acad. Dermatol. Venereol. 2013, 27, e24–e29. [Google Scholar] [CrossRef] [PubMed]
- Stanganelli, I.; Mazzoni, L.; Magi, S.; Medri, M.; Ragionieri, I.; Gaddoni, G.; Savoia, F. Atypical pigmented lesion of the nipple. J. Am. Acad. Dermatol. 2014, 71, e183–e185. [Google Scholar] [CrossRef] [PubMed]
- Cinotti, E.; Galluccio, D.; Tognetti, L.; Habougit, C.; Manganoni, A.M.; Venturini, M.; Perrot, J.L.; Rubegni, P. Nipple and areola lesions: Review of dermoscopy and reflectance confocal microscopy features. J. Eur. Acad. Dermatol. Venereol. 2019, 33, 1837–1846. [Google Scholar] [CrossRef] [PubMed]
Disclaimer/Publisher’s Note: The statements, opinions and data contained in all publications are solely those of the individual author(s) and contributor(s) and not of MDPI and/or the editor(s). MDPI and/or the editor(s) disclaim responsibility for any injury to people or property resulting from any ideas, methods, instructions or products referred to in the content. |
© 2024 by the authors. Licensee MDPI, Basel, Switzerland. This article is an open access article distributed under the terms and conditions of the Creative Commons Attribution (CC BY) license (https://creativecommons.org/licenses/by/4.0/).
Share and Cite
Cantisani, C.; Taliano, A.; Longo, C.; Astorino, S.; Gomes, V.; Caruso, G.; Suppa, M.; Guida, S.; Pogorzelska-Antkowiak, A.; Pellacani, G. Reflectance Confocal Microscopy Can Help in Detecting Clinically Silent Mammary Paget’s Disease. Diagnostics 2024, 14, 2717. https://doi.org/10.3390/diagnostics14232717
Cantisani C, Taliano A, Longo C, Astorino S, Gomes V, Caruso G, Suppa M, Guida S, Pogorzelska-Antkowiak A, Pellacani G. Reflectance Confocal Microscopy Can Help in Detecting Clinically Silent Mammary Paget’s Disease. Diagnostics. 2024; 14(23):2717. https://doi.org/10.3390/diagnostics14232717
Chicago/Turabian StyleCantisani, Carmen, Alberto Taliano, Caterina Longo, Stefano Astorino, Vito Gomes, Gianluca Caruso, Mariano Suppa, Stefania Guida, Anna Pogorzelska-Antkowiak, and Giovanni Pellacani. 2024. "Reflectance Confocal Microscopy Can Help in Detecting Clinically Silent Mammary Paget’s Disease" Diagnostics 14, no. 23: 2717. https://doi.org/10.3390/diagnostics14232717
APA StyleCantisani, C., Taliano, A., Longo, C., Astorino, S., Gomes, V., Caruso, G., Suppa, M., Guida, S., Pogorzelska-Antkowiak, A., & Pellacani, G. (2024). Reflectance Confocal Microscopy Can Help in Detecting Clinically Silent Mammary Paget’s Disease. Diagnostics, 14(23), 2717. https://doi.org/10.3390/diagnostics14232717

