Predictors of Post-Hepatectomy Liver Failure in Klatskin Tumors: The Role of Preoperative Glucose, Future Liver Remnant to Spleen Ratio, and Early Bilirubin Monitoring
Abstract
1. Introduction
2. Methods
2.1. Patient Selection and Data Collection
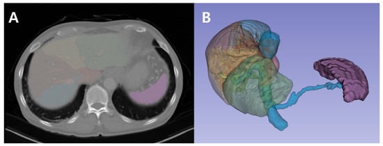
2.2. Computed Tomography Volumetry for Liver and Spleen
2.3. Definition of Post-Hepatectomy Liver Failure
2.4. Statistical Analysis
3. Results
4. Discussion
5. Conclusions
Author Contributions
Funding
Institutional Review Board Statement
Informed Consent Statement
Data Availability Statement
Conflicts of Interest
References
- Masunari, H.; Shimada, H.; Endo, I.; Fujii, Y.; Tanaka, K.; Sekido, H.; Togo, S. Surgical anatomy of hepatic hilum with special reference of the plate system and extrahepatic duct. J. Gastrointest. Surg. 2008, 12, 1047–1053. [Google Scholar] [CrossRef] [PubMed]
- Olthof, P.B.; Wiggers, J.K.; Groot Koerkamp, B.; Coelen, R.J.; Allen, P.J.; Besselink, M.G.; Busch, O.R.; D'Angelica, M.I.; DeMatteo, R.P.; Kingham, T.P.; et al. Postoperative Liver Failure Risk Score: Identifying Patients with Resectable Perihilar Cholangiocarcinoma Who Can Benefit from Portal Vein Embolization. J. Am. Coll. Surg. 2017, 225, 387–394. [Google Scholar] [CrossRef] [PubMed]
- Mullen, J.T.; Ribero, D.; Reddy, S.K.; Donadon, M.; Zorzi, D.; Gautam, S.; Abdalla, E.K.; Curley, S.A.; Capussotti, L.; Clary, B.M.; et al. Hepatic insufficiency and mortality in 1059 noncirrhotic patients undergoing major hepatectomy. J. Am. Coll. Surg. 2007, 204, 854–862. [Google Scholar] [CrossRef]
- Balzan, S.; Belghiti, J.; Farges, O.; Ogata, S.; Sauvanet, A.; Delefosse, D.; Durand, F. The “50–50 criteria” on postoperative day 5: An accurate predictor of liver failure and death after hepatectomy. Ann. Surg. 2005, 242, 824–829. [Google Scholar] [CrossRef] [PubMed]
- Reese, T.; Gilg, S.; Böcker, J.; Wagner, K.C.; Vali, M.; Engstrand, J.; Kern, A.; Sturesson, C.; Oldhafer, K.J.; Sparrelid, E. Impact of the future liver remnant volume before major hepatectomy. Eur. J. Surg. Oncol. 2024, 50, 108660. [Google Scholar] [CrossRef]
- Van den Broek, M.A.J.; Olde Damink, S.W.M.; Dejong, C.H.C.; Lang, H.; Malagò, M.; Jalan, R.; Saner, F.H. Liver failure after partial hepatic resection: Definition, pathophysiology, risk factors and treatment. Liver Int. 2008, 28, 767–780. [Google Scholar] [CrossRef]
- Clavien, P.A.; Petrowsky, H.; DeOliveira, M.L.; Graf, R. Strategies for safer liver surgery and partial liver transplantation. N. Engl. J. Med. 2007, 356, 1545–1559. [Google Scholar] [CrossRef]
- Derpapas, M.K.; Contis, J.; Fragulidis, G.P.; Lykoudis, P.M.; Polymeneas, G.; Ntourakis, S.; Voros, D. Correlation of the ICG test with risk factors and postoperative outcomes following hepatic resection. J. BUON 2013, 18, 703–707. [Google Scholar]
- Park, H.J.; Seo, K.I.; Kim, S.J.; Lee, S.U.; Yun, B.C.; Han, B.H.; Shin, D.H.; Choi, Y.I.; Moon, H.H. Effectiveness of Albumin-bilirubin Score as a Predictor of Post-hepatectomy Liver Failure in Patients with Hepatocellular Carcinoma. Korean J. Gastroenterol. 2021, 77, 115–122. [Google Scholar] [CrossRef]
- Morandi, A.; Risaliti, M.; Montori, M.; Buccianti, S.; Bartolini, I.; Moraldi, L. Predicting Post-Hepatectomy Liver Failure in HCC Patients: A Review of Liver Function Assessment Based on Laboratory Tests Scores. Medicina 2023, 59, 1099. [Google Scholar] [CrossRef]
- Milana, F.; Famularo, S.; Diana, M.; Mishima, K.; Reitano, E.; Cho, H.-D.; Kim, K.-H.; Marescaux, J.; Donadon, M.; Torzilli, G. How Much Is Enough? A Surgical Perspective on Imaging Modalities to Estimate Function and Volume of the Future Liver Remnant before Hepatic Resection. Diagnostics 2023, 13, 2726. [Google Scholar] [CrossRef] [PubMed]
- Kim, M.; Suh, S.-W.; Lee, E.S.; Suh, S.; Lee, S.E.; Choi, Y.S. Clinical Factors Affecting the Rate of Liver Regeneration in Living Donors after Right Hepatectomy. J. Pers. Med. 2024, 14, 458. [Google Scholar] [CrossRef] [PubMed]
- Koch, D.T.; Horné, F.; Fabritius, M.P.; Werner, J.; Ilmer, M. Hepatocellular Carcinoma: The Role of Surgery in Liver Cirrhosis. Visc. Med. 2024, 40, 20–29. [Google Scholar] [CrossRef] [PubMed]
- Bucur, P.O.; Bekheit, M.; Audebert, C.; Othman, A.; Hammad, S.; Sebagh, M.; Allard, M.A.; Decante, B.; Friebel, A.; Miquelestorena-Standley, E.; et al. Modulating Portal Hemodynamics With Vascular Ring Allows Efficient Regeneration After Partial Hepatectomy in a Porcine Model. Ann. Surg. 2018, 268, 134–142. [Google Scholar] [CrossRef] [PubMed]
- Regimbeau, J.M.; Kianmanesh, R.; Farges, O.; Dondero, F.; Sauvanet, A.; Belghiti, J. Extent of liver resection influences the utcome in patients with cirrhosis and small hepatocellular carcinoma. Surgery 2002, 131, 311–317. [Google Scholar] [CrossRef] [PubMed]
- Bae, J.S.; Lee, D.H.; Yoo, J.; Yi, N.J.; Lee, K.W.; Suh, K.S.; Kim, H.; Lee, K.B. Association between spleen volume and the post-hepatectomy liver failure and overall survival of patients with hepatocellular carcinoma after resection. Eur. Radiol. 2021, 31, 2461–2471. [Google Scholar] [CrossRef] [PubMed]
- Oh, N.; Kim, J.H.; Rhu, J.; Jeong, W.K.; Choi, G.S.; Kim, J.M.; Joh, J.W. Automated 3D liver segmentation from hepatobiliary phase MRI for enhanced preoperative planning. Sci. Rep. 2023, 13, 17605. [Google Scholar] [CrossRef] [PubMed]
- Oh, N.; Kim, J.H.; Rhu, J.; Jeong, W.K.; Choi, G.S.; Kim, J.M.; Joh, J.W. 3D auto-segmentation of biliary structure of living liver donors using magnetic resonance cholangiopancreatography for enhanced preoperative planning. Int. J. Surg. 2024, 110, 1975–1982. [Google Scholar] [CrossRef]
- Oh, N.; Kim, J.H.; Rhu, J.; Jeong, W.K.; Choi, G.S.; Kim, J.M.; Joh, J.W. Comprehensive deep learning-based assessment of living liver donor CT angiography: From vascular segmentation to volumetric analysis. Int. J. Surg. 2024, 110, 6551–6557. [Google Scholar] [CrossRef] [PubMed]
- Rahbari, N.N.; Garden, O.J.; Padbury, R.; Brooke-Smith, M.; Crawford, M.; Adam, R.; Koch, M.; Makuuchi, M.; Dematteo, R.P.; Christophi, C.; et al. Posthepatectomy liver failure: A definition and grading by the International Study Group of Liver Surgery (ISGLS). Surgery 2011, 149, 713–724. [Google Scholar] [CrossRef]
- Wang, Q.; Wei, S.; Zhou, H.; Shen, G.; Gan, X.; Zhou, S.; Qiu, J.; Shi, C.; Lu, L. Hyperglycemia exacerbates acetaminophen-induced acute liver injury by promoting liver-resident macrophage proinflammatory response via AMPK/PI3K/AKT-mediated oxidative stress. Cell Death Discov. 2019, 5, 119. [Google Scholar] [CrossRef] [PubMed]
- Mendes-Braz, M.; Martins, J.O. Diabetes Mellitus and Liver Surgery: The Effect of Diabetes on Oxidative Stress and Inflammation. Mediat. Inflamm. 2018, 2018, 2456579. [Google Scholar] [CrossRef]
- Søreide, J.A.; Deshpande, R. Post hepatectomy liver failure (PHLF)—Recent advances in prevention and clinical management. Eur. J. Surg. Oncol. 2021, 47, 216–224. [Google Scholar] [CrossRef] [PubMed]
- Piccus, R.; Joshi, K.; Hodson, J.; Bartlett, D.; Chatzizacharias, N.; Dasari, B.; Isaac, J.; Marudanayagam, R.; Mirza, D.F.; Roberts, J.K.; et al. Significance of predicted future liver remnant volume on liver failure risk after major hepatectomy: A case matched comparative study. Front. Surg. 2023, 10, 1174024. [Google Scholar] [CrossRef] [PubMed]
- Yu, Q.; Xu, C.; Li, Q.; Ding, Z.; Lv, Y.; Liu, C.; Huang, Y.; Zhou, J.; Huang, S.; Xia, C.; et al. Spleen volume-based non-invasive tool for predicting hepatic decompensation in people with compensated cirrhosis (CHESS1701). JHEP Rep. 2022, 4, 100575. [Google Scholar] [CrossRef]
- Romero-Cristóbal, M.; Clemente-Sánchez, A.; Ramón, E.; Téllez, L.; Canales, E.; Ortega-Lobete, O.; Velilla-Aparicio, E.; Catalina, M.V.; Ibáñez-Samaniego, L.; Alonso, S.; et al. CT-derived liver and spleen volume accurately diagnose clinically significant portal hypertension in patients with hepatocellular carcinoma. JHEP Rep. 2022, 5, 100645. [Google Scholar] [CrossRef]
- Ito, T.; Tanemura, A.; Kuramitsu, T.; Murase, T.; Kaluba, B.; Noguchi, D.; Fujii, T.; Yuge, T.; Maeda, K.; Hayasaki, A.; et al. Spleen volume is a predictor of posthepatectomy liver failure and short-term mortality for hepatocellular carcinoma. Langenbeck’s Arch. Surg. 2023, 408, 297. [Google Scholar] [CrossRef]
- May, B.J.; Madoff, D.C. Portal vein embolization: Rationale, technique, and current application. Semin. Interv. Radiol. 2012, 29, 81–89. [Google Scholar] [CrossRef]
- Chan, A.; Zhang, W.Y.; Chok, K.; Dai, J.; Ji, R.; Kwan, C.; Man, N.; Poon, R.; Lo, C.M. ALPPS Versus Portal Vein Embolization for Hepatitis-related Hepatocellular Carcinoma: A Changing Paradigm in Modulation of Future Liver Remnant Before Major Hepatectomy. Ann. Surg. 2021, 273, 957–965. [Google Scholar] [CrossRef] [PubMed]
- Kudo, M.; Gotohda, N.; Sugimoto, M.; Konishi, M.; Takahashi, S.; Kobayashi, S.; Kobayashi, T. The Assessment of Regional Liver Function Before Major Hepatectomy Using Magnetic Resonance Imaging. Am. Surg. 2022, 88, 2353–2360. [Google Scholar] [CrossRef]
- Etra, J.W.; Squires, M.H., III; Fisher, S.B.; Rutz, D.R.; Martin, B.M.; Kooby, D.A.; Cardona, K.; Sarmiento, J.M.; Staley, C.A., III; Maithel, S.K.; et al. Early identification of patients at increased risk for hepatic insufficiency, complications and mortality after major hepatectomy. HPB 2014, 16, 875–883. [Google Scholar] [CrossRef] [PubMed]
- Sawangkajohn, W.; Luvria, V.; Leeratanakachorn, N.; Tipwaratorn, T.; Theerakul, S.; Jarearnrat, A.; Titapun, A.; Srisuk, T.; Pugkhem, A.; Khuntikeo, N.; et al. Re-Rising of Total Bilirubin Level after Postoperative Day 3 (The V Pattern) Predicting Liver Failure and Survival of Patients who Underwent Hepatectomy for Cholangiocarcinoma. Asian Pac. J. Cancer Prev. 2020, 21, 3573–3578. [Google Scholar] [CrossRef]
- Jones, R.P.; Vauthey, J.N.; Adam, R.; Rees, M.; Berry, D.; Jackson, R.; Grimes, N.; Fenwick, S.W.; Poston, G.J.; Malik, H.Z. Effect of specialist decision-making on treatment strategies for colorectal liver metastases. Br. J. Surg. 2012, 99, 1263–1269. [Google Scholar] [CrossRef] [PubMed]
- Kang, C.M.; Ku, H.J.; Moon, H.H.; Kim, S.-E.; Jo, J.H.; Choi, Y.I.; Shin, D.H. Predicting Safe Liver Resection Volume for Major Hepatectomy Using Artificial Intelligence. J. Clin. Med. 2024, 13, 381. [Google Scholar] [CrossRef] [PubMed]




| Variable | ISGLS 0/A (n = 26) | ISGLS B/C (n = 8) | p-Value |
|---|---|---|---|
| Age | 67.88 (39–81) | 73.50 (66–80) | 0.263 |
| Sex | 18 (69.2%)/8 (30.8%) | 5 (62.5%)/3 (37.5%) | 1.000 |
| Height (cm) | 161.39 (140.6–176.7) | 158.70 (145.0–171.0) | 0.405 |
| Weight (kg) | 58.95 (45.5–76.0) | 58.79 (47.0–70.4) | 0.968 |
| BMI | 22.66 (17.05–29.90) | 23.32 (19.56–27.95) | 0.676 |
| ASA (1/2/3) | 1(3.8%)/20(76.9%)/5(19.2%) | 0/3 (37.5%)/5 (62.5%) | 0.061 |
| Comorbidity | |||
| HTN | 12 (46.2%) | 6 (75.0%) | 0.306 |
| DM | 10 (38.5%) | 5 (62.5%) | 0.429 |
| HBV | 0 | 0 | 1.000 |
| HCV | 1 (3.7%) | 0 | 1.000 |
| Alcoholism | 4 (15.4%) | 2 (25.0%) | 0.925 |
| Bithmuth type | |||
| II/IIIa/IIIb/IV | 1(3.7%)/10(38.5%)/5(19.2%)/10(38.5%) | 0/6(75.0%)/1(12.5%)/1(12.5%) | 0.488 |
| WBC (µL) | 7.01 (2.97–14.3) | 8.03 (5.2–12.1) | 0.291 |
| Platelet (×103/µL) | 26.78 (9.1–39.2) | 25.80 (16.6–37.5) | 0.477 |
| PT INR | 277.81 (140–588) | 257.75 (193–308) | 0.984 |
| Protein (mg/dL) | 0.97 (0.84–1.34) | 1.00 (0.91–1.09) | 0.246 |
| Albumin (mg/dL) | 6.83 (5.3–8.2) | 6.72 (6.2–7.1) | 0.699 |
| TB (mg/dL) | 4.01 (3.0–4.9) | 3.86 (3.2–4.6) | 0.451 |
| AST (U/L) | 0.96 (0.15–3.18) | 1.42 (0.57–3.58) | 0.138 |
| ALT (U/L) | 44.12 (16–228) | 33.75 (23–49) | 0.871 |
| HS-CRP (mg/dL) | 36.31 (6–195) | 37.50 (6–70) | 0.155 |
| Pre op glucose (mg/dL) | 135 (82–296) | 178 (135–238) | 0.031 |
| APRI | 0.46 (0.10–2.30) | 0.35 (0.19–0.51) | 0.735 |
| ALBI | −2.69 (−3.41–−1.40) | −2.42 (−3.14- −1.70) | 0.327 |
| MELD | 5.17 (−0.08–11.29) | 7.43 (4.28–11.79) | 0.064 |
| Rt. HH/Lt. HH | 12 (46.2%)/14 (53.8%) | 6 (75.0%)/2 (25.0%) | 0.306 |
| FLR | 696 (136–1407) | 544 (129–977) | 0.205 |
| spleen | 148 (48–350) | 199 (115–355) | 0.101 |
| FLR/SV | 5.23 (1.26–10.76) | 2.87 (1.12–6.01) | 0.012 |
| Variable | Odds Ratio | 95% CI (Lower–Upper) | p-Value |
|---|---|---|---|
| Pre op glucose (mg/dL) | 1.03 | 1–1.06 | 0.047 |
| FLR/SV | 0.382 | 0.154–0.949 | 0.038 |
| Variable | ISGLS 0/A (n = 26) | ISGLS B/C (n = 8) | p-Value |
|---|---|---|---|
| OP time (min) | 453 (185–655) | 539 (405–705) | 0.043 |
| EBL (cc) | 492 (100–3150) | 497 (180–900) | 0.296 |
| POD 1 WBC (×103/µL) | 14.72 (5.30–24.98) | 10.12 (4.95–13.71) | 0.011 |
| POD 1 Platelet (×103/µL) | 204 (67–439) | 206 (109–307) | 0.887 |
| POD 1 PT INR | 1.20 (1.00–1.50) | 1.35 (1.02–2.03) | 0.330 |
| POD 1 Protein (mg/dL) | 5.51 (3.40–6.30) | 5.23 (4.80–6.20) | 0.316 |
| POD 1 Albumin (mg/dL) | 3.40 (2.40–4.20) | 3.34 (2.90–4.10) | 0.611 |
| POD 1 TB (mg/dL) | 1.49 (0.48–2.83) | 3.04 (0.94–5.30) | 0.006 |
| POD 1 AST (U/L) | 346 (91–2000) | 216 (77–340) | 0.951 |
| POD 1 ALT (U/L) | 245 (38–1112) | 180 (18–436) | 0.641 |
| POD 1 HS-CRP (mg/dL) | 4.54 (0.93–12.54) | 7.06 (2.51–14.04) | 0.413 |
| Variable | Odds Ratio | 95% CI (Lower–Upper) | p-Value |
|---|---|---|---|
| Op time (min) | 1.005 | 0.985–1.024 | 0.649 |
| POD 1 WBC (×103/µL) | 0.609 | 0.362–1.025 | 0.062 |
| POD 1 TB (mg/dL) | 5.821 | 1.136–29.818 | 0.035 |
Disclaimer/Publisher’s Note: The statements, opinions and data contained in all publications are solely those of the individual author(s) and contributor(s) and not of MDPI and/or the editor(s). MDPI and/or the editor(s) disclaim responsibility for any injury to people or property resulting from any ideas, methods, instructions or products referred to in the content. |
© 2024 by the authors. Licensee MDPI, Basel, Switzerland. This article is an open access article distributed under the terms and conditions of the Creative Commons Attribution (CC BY) license (https://creativecommons.org/licenses/by/4.0/).
Share and Cite
Kim, S.; Ku, H.J.; Moon, H.H.; Song, S.H.; Choi, Y.I.; Shin, D.H.; Koh, Y.S.; Oh, N.; Rhu, J.; Lee, G.; et al. Predictors of Post-Hepatectomy Liver Failure in Klatskin Tumors: The Role of Preoperative Glucose, Future Liver Remnant to Spleen Ratio, and Early Bilirubin Monitoring. Diagnostics 2024, 14, 2716. https://doi.org/10.3390/diagnostics14232716
Kim S, Ku HJ, Moon HH, Song SH, Choi YI, Shin DH, Koh YS, Oh N, Rhu J, Lee G, et al. Predictors of Post-Hepatectomy Liver Failure in Klatskin Tumors: The Role of Preoperative Glucose, Future Liver Remnant to Spleen Ratio, and Early Bilirubin Monitoring. Diagnostics. 2024; 14(23):2716. https://doi.org/10.3390/diagnostics14232716
Chicago/Turabian StyleKim, Suyeon, Hyung June Ku, Hyung Hwan Moon, Sang Hwa Song, Young Il Choi, Dong Hoon Shin, Yang Seok Koh, Namkee Oh, Jinsoo Rhu, Garam Lee, and et al. 2024. "Predictors of Post-Hepatectomy Liver Failure in Klatskin Tumors: The Role of Preoperative Glucose, Future Liver Remnant to Spleen Ratio, and Early Bilirubin Monitoring" Diagnostics 14, no. 23: 2716. https://doi.org/10.3390/diagnostics14232716
APA StyleKim, S., Ku, H. J., Moon, H. H., Song, S. H., Choi, Y. I., Shin, D. H., Koh, Y. S., Oh, N., Rhu, J., Lee, G., Yang, W. J., Song, J., Kang, C. M., Ku, S., & Choi, A. (2024). Predictors of Post-Hepatectomy Liver Failure in Klatskin Tumors: The Role of Preoperative Glucose, Future Liver Remnant to Spleen Ratio, and Early Bilirubin Monitoring. Diagnostics, 14(23), 2716. https://doi.org/10.3390/diagnostics14232716

