Diagnostic and Therapeutic Approaches to Jaw Osteoradionecrosis
Abstract
1. Introduction
2. Risk Factors for Osteoradionecrosis of the Jaw
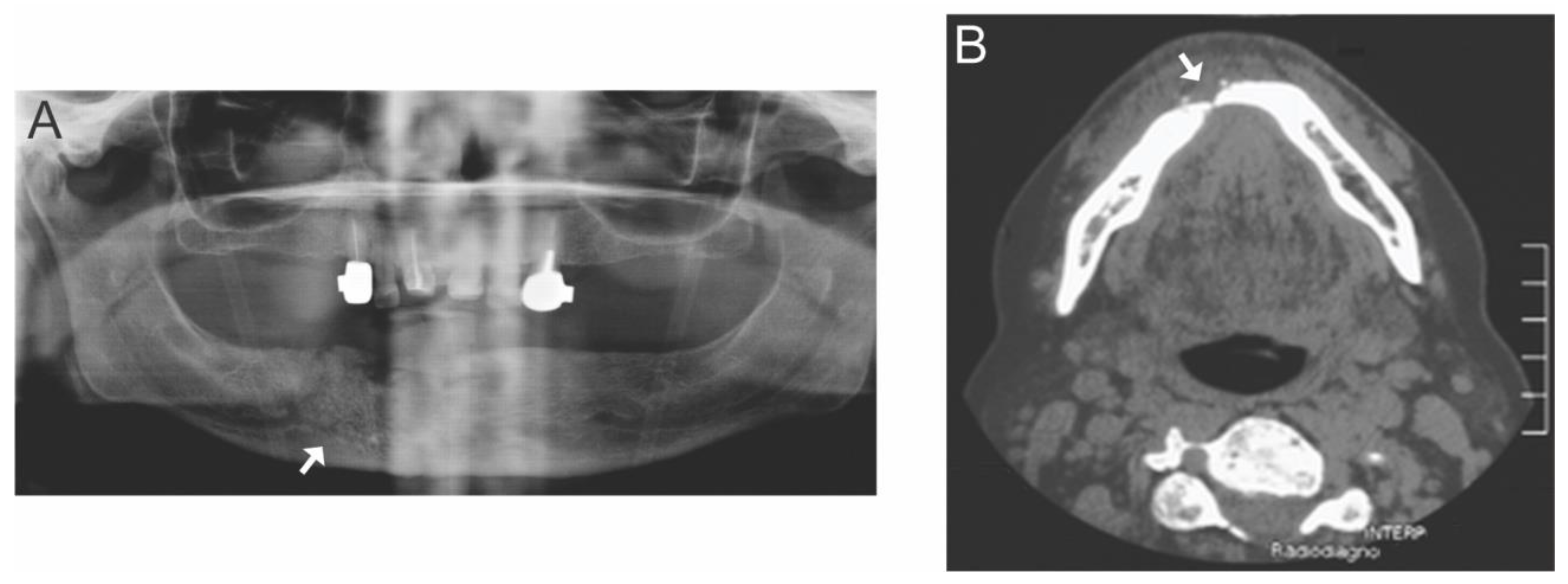
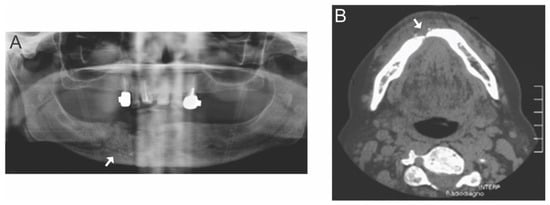
3. Diagnostic Approaches to Osteoradionecrosis
4. Therapeutic Approaches to Osteoradionecrosis
5. Novel Therapies for Jaw Osteoradionecrosis
5.1. Mesenchymal Stem Cells (MSCs) in ORN Treatment
5.2. Insulin-like Growth Factor 1 (IGF-1) in ORN Treatment
5.3. Parathyroid Hormone (PTH) in ORN Treatment
6. Conclusions
Author Contributions
Funding
Conflicts of Interest
References
- Bizuayehu, H.M.; Dadi, A.F.; Ahmed, K.Y.; Tegegne, T.K.; Hassen, T.A.; Kibret, G.D.; Ketema, D.B.; Bore, M.G.; Thapa, S.; Odo, D.B.; et al. Burden of 30 cancers among men: Global statistics in 2022 and projections for 2050 using population-based estimates. Cancer 2024, 130, 3708–3723. [Google Scholar] [CrossRef] [PubMed]
- Edwards, B.K.; Howe, H.L.; Ries, L.A.; Thun, M.J.; Rosenberg, H.M.; Yancik, R.; Wingo, P.A.; Jemal, A.; Feigal, E.G. Annual report to the nation on the status of cancer, 1973–1999, featuring implications of age and aging on U.S. cancer burden. Cancer 2002, 94, 2766–2792. [Google Scholar] [CrossRef] [PubMed]
- Jemal, A.; Siegel, R.; Ward, E.; Hao, Y.; Xu, J.; Murray, T.; Thun, M.J. Cancer statistics, 2008. CA Cancer J. Clin. 2008, 58, 71–96. [Google Scholar] [CrossRef] [PubMed]
- Treister, N.S.; Brennan, M.T.; Sollecito, T.P.; Schmidt, B.L.; Patton, L.L.; Mitchell, R.; Haddad, R.I.; Tishler, R.B.; Lin, A.; Shadick, R.; et al. Exposed bone in patients with head and neck cancer treated with radiation therapy: An analysis of the Observational Study of Dental Outcomes in Head and Neck Cancer Patients (OraRad). Cancer 2022, 128, 487–496. [Google Scholar] [CrossRef]
- Pereira, I.F.; Firmino, R.T.; Meira, H.C.; Vasconcelos, B.C.; Noronha, V.R.; Santos, V.R. Osteoradionecrosis prevalence and associated factors: A ten years retrospective study. Med. Oral Patol. Oral Cir. Bucal 2018, 23, e633–e638. [Google Scholar] [CrossRef]
- Epstein, J.; van der Meij, E.; McKenzie, M.; Wong, F.; Lepawsky, M.; Stevenson-Moore, P. Postradiation osteonecrosis of the mandible: A long-term follow-up study. Oral Surg. Oral Med. Oral Pathol. Oral Radiol. Endodontol. 1997, 83, 657–662. [Google Scholar] [CrossRef]
- Reuther, T.; Schuster, T.; Mende, U.; Kubler, A. Osteoradionecrosis of the jaws as a side effect of radiotherapy of head and neck tumour patients—A report of a thirty year retrospective review. Int. J. Oral Maxillofac. Surg. 2003, 32, 289–295. [Google Scholar] [CrossRef]
- Peterson, D.E.; Koyfman, S.A.; Yarom, N.; Lynggaard, C.D.; Ismaila, N.; Forner, L.E.; Fuller, C.D.; Mowery, Y.M.; Murphy, B.A.; Watson, E.; et al. Prevention and Management of Osteoradionecrosis in Patients with Head and Neck Cancer Treated with Radiation Therapy: ISOO-MASCC-ASCO Guideline. J. Clin. Oncol. 2024, 42, 1975–1996. [Google Scholar] [CrossRef]
- Turner, L.; Mupparapu, M.; Akintoye, S.O. Review of the complications associated with treatment of oropharyngeal cancer: A guide for the dental practitioner. Quintessence Int. 2013, 44, 267–279. [Google Scholar] [CrossRef]
- Weatherspoon, D.J.; Chattopadhyay, A.; Boroumand, S.; Garcia, I. Oral cavity and oropharyngeal cancer incidence trends and disparities in the United States: 2000–2010. Cancer Epidemiol. 2015, 39, 497–504. [Google Scholar] [CrossRef]
- Yu, A.J.; Choi, J.S.; Swanson, M.S.; Kokot, N.C.; Brown, T.N.; Yan, G.; Sinha, U.K. Association of Race/Ethnicity, Stage, and Survival in Oral Cavity Squamous Cell Carcinoma: A SEER Study. OTO Open 2019, 3, 2473974x19891126. [Google Scholar] [CrossRef] [PubMed]
- ACS. Cancer Treatment & Survivorship Facts & Figures 2019–2021; American Cancer Society: Atlanta, GA, USA, 2019; pp. 1–5. [Google Scholar]
- Pike, L.R.G.; Royce, T.J.; Mahal, A.R.; Kim, D.W.; Hwang, W.L.; Mahal, B.A.; Sanford, N.N. Outcomes of HPV-Associated Squamous Cell Carcinoma of the Head and Neck: Impact of Race and Socioeconomic Status. J. Natl. Compr. Cancer Netw. 2020, 18, 177–184. [Google Scholar] [CrossRef]
- Settle, K.; Posner, M.R.; Schumaker, L.M.; Tan, M.; Suntharalingam, M.; Goloubeva, O.; Strome, S.E.; Haddad, R.I.; Patel, S.S.; Cambell, E.V., 3rd; et al. Racial survival disparity in head and neck cancer results from low prevalence of human papillomavirus infection in black oropharyngeal cancer patients. Cancer Prev. Res. 2009, 2, 776–781. [Google Scholar] [CrossRef] [PubMed]
- Fakhry, C.; Westra, W.H.; Wang, S.J.; van Zante, A.; Zhang, Y.; Rettig, E.; Yin, L.X.; Ryan, W.R.; Ha, P.K.; Wentz, A.; et al. The prognostic role of sex, race, and human papillomavirus in oropharyngeal and nonoropharyngeal head and neck squamous cell cancer. Cancer 2017, 123, 1566–1575. [Google Scholar] [CrossRef]
- Rotsides, J.M.; Oliver, J.R.; Moses, L.E.; Tam, M.; Li, Z.; Schreiber, D.; Jacobson, A.S.; Hu, K.S.; Givi, B. Socioeconomic and Racial Disparities and Survival of Human Papillomavirus-Associated Oropharyngeal Squamous Cell Carcinoma. Otolaryngol. Head Neck Surg. 2021, 164, 131–138. [Google Scholar] [CrossRef]
- Zakeri, K.; MacEwan, I.; Vazirnia, A.; Cohen, E.E.; Spiotto, M.T.; Haraf, D.J.; Vokes, E.E.; Weichselbaum, R.R.; Mell, L.K. Race and competing mortality in advanced head and neck cancer. Oral Oncol. 2014, 50, 40–44. [Google Scholar] [CrossRef][Green Version]
- Chaudhary, S.; Dam, V.; Ganguly, K.; Sharma, S.; Atri, P.; Chirravuri-Venkata, R.; Cox, J.L.; Sayed, Z.; Jones, D.T.; Ganti, A.K.; et al. Differential mutation spectrum and immune landscape in African Americans versus Whites: A possible determinant to health disparity in head and neck cancer. Cancer Lett. 2020, 492, 44–53. [Google Scholar] [CrossRef]
- Kim, H.A.J.; Zeng, P.Y.F.; Sorgini, A.; Shaikh, M.H.; Khan, H.; MacNeil, D.; Khan, M.I.; Mendez, A.; Yoo, J.; Fung, K.; et al. Tumor molecular differences associated with outcome disparities of Black patients with head and neck cancer. Head Neck 2022, 44, 1124–1135. [Google Scholar] [CrossRef]
- Buglione, M.; Cavagnini, R.; Di Rosario, F.; Sottocornola, L.; Maddalo, M.; Vassalli, L.; Grisanti, S.; Salgarello, S.; Orlandi, E.; Paganelli, C.; et al. Oral toxicity management in head and neck cancer patients treated with chemotherapy and radiation: Dental pathologies and osteoradionecrosis (Part 1) literature review and consensus statement. Crit. Rev. Oncol. Hematol. 2016, 97, 131–142. [Google Scholar] [CrossRef]
- Sultan, A.; Hanna, G.J.; Margalit, D.N.; Chau, N.; Goguen, L.A.; Marty, F.M.; Rabinowits, G.; Schoenfeld, J.D.; Sonis, S.T.; Thomas, T.; et al. The Use of Hyperbaric Oxygen for the Prevention and Management of Osteoradionecrosis of the Jaw: A Dana-Farber/Brigham and Women’s Cancer Center Multidisciplinary Guideline. Oncologist 2017, 22, 343–350. [Google Scholar] [CrossRef]
- Damek-Poprawa, M.; Both, S.; Wright, A.C.; Maity, A.; Akintoye, S.O. Onset of mandible and tibia osteoradionecrosis: A comparative pilot study in the rat. Oral Surg. Oral Med. Oral Pathol. Oral Radiol. 2013, 115, 201–211. [Google Scholar] [CrossRef] [PubMed]
- Cao, X.; Wu, X.; Frassica, D.; Yu, B.; Pang, L.; Xian, L.; Wan, M.; Lei, W.; Armour, M.; Tryggestad, E.; et al. Irradiation induces bone injury by damaging bone marrow microenvironment for stem cells. Proc. Natl. Acad. Sci. USA 2011, 108, 1609–1614. [Google Scholar] [CrossRef] [PubMed]
- Omolehinwa, T.T.; Akintoye, S.O. Chemical and Radiation-Associated Jaw Lesions. Dent. Clin. N. Am. 2016, 60, 265–277. [Google Scholar] [CrossRef] [PubMed]
- Marx, R.E. Osteoradionecrosis: A new concept of its pathophysiology. J. Oral Maxillofac. Surg. 1983, 41, 283–288. [Google Scholar] [CrossRef]
- Xu, J.; Zheng, Z.; Fang, D.; Gao, R.; Liu, Y.; Fan, Z.P.; Zhang, C.M.; Wang, S.L. Early-stage pathogenic sequence of jaw osteoradionecrosis in vivo. J. Dent. Res. 2012, 91, 702–708. [Google Scholar] [CrossRef]
- Delanian, S.; Lefaix, J.L. The radiation-induced fibroatrophic process: Therapeutic perspective via the antioxidant pathway. Radiother. Oncol. 2004, 73, 119–131. [Google Scholar] [CrossRef]
- Chai, Y.; Jiang, X.; Ito, Y.; Bringas, P., Jr.; Han, J.; Rowitch, D.H.; Soriano, P.; McMahon, A.P.; Sucov, H.M. Fate of the mammalian cranial neural crest during tooth and mandibular morphogenesis. Development 2000, 127, 1671–1679. [Google Scholar] [CrossRef]
- Helms, J.A.; Schneider, R.A. Cranial skeletal biology. Nature 2003, 423, 326–331. [Google Scholar] [CrossRef]
- Akintoye, S.O. The distinctive jaw and alveolar bone regeneration. Oral Dis. 2018, 24, 49–51. [Google Scholar] [CrossRef]
- Akintoye, S.O.; Lam, T.; Shi, S.; Brahim, J.; Collins, M.T.; Robey, P.G. Skeletal site-specific characterization of orofacial and iliac crest human bone marrow stromal cells in same individuals. Bone 2006, 38, 758–768. [Google Scholar] [CrossRef]
- Damek-Poprawa, M.; Stefanik, D.; Levin, L.M.; Akintoye, S.O. Human bone marrow stromal cells display variable anatomic site-dependent response and recovery from irradiation. Arch. Oral Biol. 2010, 55, 358–364. [Google Scholar] [CrossRef] [PubMed]
- Stefanik, D.; Sarin, J.; Lam, T.; Levin, L.; Leboy, P.S.; Akintoye, S.O. Disparate osteogenic response of mandible and iliac crest bone marrow stromal cells to pamidronate. Oral Dis. 2008, 14, 465–471. [Google Scholar] [CrossRef] [PubMed]
- Fitzgerald, K.T.; Lyons, C.; England, A.; McEntee, M.F.; Devine, A.; O’Donovan, T.; O’Sullivan, E. Risk factors associated with the development of osteoradionecrosis (ORN) in Head and Neck cancer patients in Ireland: A 10-year retrospective review. Radiother. Oncol. 2024, 196, 110286. [Google Scholar] [CrossRef] [PubMed]
- Kubota, H.; Miyawaki, D.; Mukumoto, N.; Ishihara, T.; Matsumura, M.; Hasegawa, T.; Akashi, M.; Kiyota, N.; Shinomiya, H.; Teshima, M.; et al. Risk factors for osteoradionecrosis of the jaw in patients with head and neck squamous cell carcinoma. Radiat. Oncol. 2021, 16, 1. [Google Scholar] [CrossRef]
- Peer, A.; Khamaisi, M. Diabetes as a risk factor for medication-related osteonecrosis of the jaw. J. Dent. Res. 2015, 94, 252–260. [Google Scholar] [CrossRef]
- Aarup-Kristensen, S.; Hansen, C.R.; Forner, L.; Brink, C.; Eriksen, J.G.; Johansen, J. Osteoradionecrosis of the mandible after radiotherapy for head and neck cancer: Risk factors and dose-volume correlations. Acta Oncol. 2019, 58, 1373–1377. [Google Scholar] [CrossRef]
- Lai, T.Y.; Wang, T.H.; Liu, C.J.; Chao, T.F.; Chen, T.J.; Hu, Y.W. Risk factors for osteonecrosis of the jaw in oral cancer patients after surgery and eventual adjuvant treatment: The potential role of chemotherapy. Radiother. Oncol. 2017, 123, 406–411. [Google Scholar] [CrossRef]
- Coffin, F. The incidence and management of osteoradionecrosis of the jaws following head and neck radiotherapy. Br. J. Radiol. 1983, 56, 851–857. [Google Scholar] [CrossRef]
- Morton, M.E. Osteoradionecrosis: A study of the incidence in the North West of England. Br. J. Oral Maxillofac. Surg. 1986, 24, 323–331. [Google Scholar] [CrossRef]
- Epstein, J.B.; Wong, F.L.; Stevenson-Moore, P. Osteoradionecrosis: Clinical experience and a proposal for classification. J. Oral Maxillofac. Surg. 1987, 45, 104–110. [Google Scholar] [CrossRef]
- Glanzmann, C.; Grätz, K.W. Radionecrosis of the mandibula: A retrospective analysis of the incidence and risk factors. Radiother. Oncol. 1995, 36, 94–100. [Google Scholar] [CrossRef] [PubMed]
- Clayman, L. Clinical controversies in oral and maxillofacial surgery: Part two. Management of dental extractions in irradiated jaws: A protocol without hyperbaric oxygen therapy. J. Oral Maxillofac. Surg. 1997, 55, 275–281. [Google Scholar] [CrossRef] [PubMed]
- Støre, G.; Boysen, M. Mandibular osteoradionecrosis: Clinical behaviour and diagnostic aspects. Clin. Otolaryngol. Allied Sci. 2000, 25, 378–384. [Google Scholar] [CrossRef] [PubMed]
- Schwartz, H.C.; Kagan, A.R. Osteoradionecrosis of the mandible: Scientific basis for clinical staging. Am. J. Clin. Oncol. 2002, 25, 168–171. [Google Scholar] [CrossRef] [PubMed]
- Notani, K.; Yamazaki, Y.; Kitada, H.; Sakakibara, N.; Fukuda, H.; Omori, K.; Nakamura, M. Management of mandibular osteoradionecrosis corresponding to the severity of osteoradionecrosis and the method of radiotherapy. Head Neck 2003, 25, 181–186. [Google Scholar] [CrossRef]
- Tsai, C.J.; Hofstede, T.M.; Sturgis, E.M.; Garden, A.S.; Lindberg, M.E.; Wei, Q.; Tucker, S.L.; Dong, L. Osteoradionecrosis and radiation dose to the mandible in patients with oropharyngeal cancer. Int. J. Radiat. Oncol. Biol. Phys. 2013, 85, 415–420. [Google Scholar] [CrossRef]
- Karagozoglu, K.H.; Dekker, H.A.; Rietveld, D.; de Bree, R.; Schulten, E.A.; Kantola, S.; Forouzanfar, T.; van der Waal, I. Proposal for a new staging system for osteoradionecrosis of the mandible. Med. Oral Patol. Oral Cir. Bucal 2014, 19, e433–e437. [Google Scholar] [CrossRef]
- Lyons, A.; Osher, J.; Warner, E.; Kumar, R.; Brennan, P.A. Osteoradionecrosis—A review of current concepts in defining the extent of the disease and a new classification proposal. Br. J. Oral Maxillofac. Surg. 2014, 52, 392–395. [Google Scholar] [CrossRef]
- He, Y.; Liu, Z.; Tian, Z.; Dai, T.; Qiu, W.; Zhang, Z. Retrospective analysis of osteoradionecrosis of the mandible: Proposing a novel clinical classification and staging system. Int. J. Oral Maxillofac. Surg. 2015, 44, 1547–1557. [Google Scholar] [CrossRef]
- Watson, E.E.; Hueniken, K.; Lee, J.; Huang, S.H.; El Maghrabi, A.; Xu, W.; Moreno, A.C.; Tsai, C.J.; Hahn, E.; McPartlin, A.J.; et al. Development and Standardization of an Osteoradionecrosis Classification System in Head and Neck Cancer: Implementation of a Risk-Based Model. J. Clin. Oncol. 2024, 42, 1922–1933. [Google Scholar] [CrossRef]
- Frankart, A.J.; Frankart, M.J.; Cervenka, B.; Tang, A.L.; Krishnan, D.G.; Takiar, V. Osteoradionecrosis: Exposing the Evidence Not the Bone. Int. J. Radiat. Oncol. Biol. Phys. 2021, 109, 1206–1218. [Google Scholar] [CrossRef] [PubMed]
- Miyamoto, I.; Tanaka, R.; Kogi, S.; Yamaya, G.; Kawai, T.; Ohashi, Y.; Takahashi, N.; Izumisawa, M.; Yamada, H. Clinical Diagnostic Imaging Study of Osteoradionecrosis of the Jaw: A Retrospective Study. J. Clin. Med. 2021, 10, 4704. [Google Scholar] [CrossRef] [PubMed]
- Ito, K.; Takumi, K.; Meibom, S.K.; Qureshi, M.M.; Fujima, N.; Andreu-Arasa, V.C.; Truong, M.T.; Salama, A.R.; Kaneda, T.; Sakai, O. Risk assessment of osteoradionecrosis associated with periodontitis using (18)F-FDG PET/CT. Eur. J. Radiol. 2020, 132, 109259. [Google Scholar] [CrossRef]
- Li, Z.; Fu, R.; Huang, X.; Wen, X.; Zhang, L. Oral microbiota may affect osteoradionecrosis following radiotherapy for head and neck cancer. J. Transl. Med. 2023, 21, 391. [Google Scholar] [CrossRef]
- Yilmaz, B.; Somay, E.; Topkan, E.; Kucuk, A.; Pehlivan, B.; Selek, U. The predictive value of pretreatment hemoglobin-to-platelet ratio on osteoradionecrosis incidence rates of locally advanced nasopharyngeal cancer patients managed with concurrent chemoradiotherapy. BMC Oral Health 2023, 23, 231. [Google Scholar] [CrossRef] [PubMed]
- Yilmaz, B.; Somay, E.; Topkan, E.; Kucuk, A.; Pehlivan, B.; Selek, U. Utility of pre-chemoradiotherapy Pan-Immune-Inflammation-Value for predicting the osteoradionecrosis rates in locally advanced nasopharyngeal cancers. Strahlenther. Onkol. 2023, 199, 910–921. [Google Scholar] [CrossRef]
- Yilmaz, B.; Somay, E.; Topkan, E.; Pehlivan, B.; Selek, U. Pre-chemoradiotherapy low hemoglobin levels indicate increased osteoradionecrosis risk in locally advanced nasopharyngeal cancer patients. Eur. Arch. Otorhinolaryngol. 2023, 280, 2575–2584. [Google Scholar] [CrossRef]
- Raj, R.; Nair, A.H.; Krishnan, N.A.; Balasubramanian, D.; Iyer, S.; Thankappan, K. Advances and Controversies in the Management of Osteoradionecrosis After Head and Neck Cancer Treatment: A Narrative Review. J. Maxillofac. Oral Surg. 2022, 21, 836–844. [Google Scholar] [CrossRef]
- Patel, V.; Gadiwalla, Y.; Sassoon, I.; Sproat, C.; Kwok, J.; McGurk, M. Use of pentoxifylline and tocopherol in the management of osteoradionecrosis. Br. J. Oral Maxillofac. Surg. 2016, 54, 342–345. [Google Scholar] [CrossRef]
- Kolokythas, A.; Rasmussen, J.T.; Reardon, J.; Feng, C. Management of osteoradionecrosis of the jaws with pentoxifylline-tocopherol: A systematic review of the literature and meta-analysis. Int. J. Oral Maxillofac. Surg. 2019, 48, 173–180. [Google Scholar] [CrossRef]
- El-Rabbany, M.; Duchnay, M.; Raziee, H.R.; Zych, M.; Tenenbaum, H.; Shah, P.S.; Azarpazhooh, A. Interventions for preventing osteoradionecrosis of the jaws in adults receiving head and neck radiotherapy. Cochrane Database Syst. Rev. 2019, 2019, CD011559. [Google Scholar] [CrossRef] [PubMed]
- Lombardi, N.; Varoni, E.; Villa, G.; Salis, A.; Lodi, G. Pentoxifylline and tocopherol for prevention of osteoradionecrosis in patients who underwent oral surgery: A clinical audit. Spec. Care Dent. 2023, 43, 136–143. [Google Scholar] [CrossRef] [PubMed]
- Locatelli, V.; Bianchi, V.E. Effect of GH/IGF-1 on Bone Metabolism and Osteoporsosis. Int. J. Endocrinol. 2014, 2014, 235060. [Google Scholar] [CrossRef] [PubMed]
- Harris, P.; Durand, R.; Schmittbuhl, M.; Kabir, R. Platelet-rich fibrin as a treatment option for osteoradionecrosis: A literature review. J. Stomatol. Oral Maxillofac. Surg. 2022, 123, e20–e27. [Google Scholar] [CrossRef]
- Kang, Y.H.; Kim, H.M.; Byun, J.H.; Kim, U.K.; Sung, I.Y.; Cho, Y.C.; Park, B.W. Stability of simultaneously placed dental implants with autologous bone grafts harvested from the iliac crest or intraoral jaw bone. BMC Oral Health 2015, 15, 172. [Google Scholar] [CrossRef]
- Mertens, C.; Decker, C.; Seeberger, R.; Hoffmann, J.; Sander, A.; Freier, K. Early bone resorption after vertical bone augmentation—A comparison of calvarial and iliac grafts. Clin. Oral Implant. Res. 2013, 24, 820–825. [Google Scholar] [CrossRef]
- Mitchel, R.E. The bystander effect: Recent developments and implications for understanding the dose response. Nonlinearity Biol. Toxicol. Med. 2004, 2, 173–183. [Google Scholar] [CrossRef]
- Tian, X.; Jee, W.S.; Li, X.; Paszty, C.; Ke, H.Z. Sclerostin antibody increases bone mass by stimulating bone formation and inhibiting bone resorption in a hindlimb-immobilization rat model. Bone 2011, 48, 197–201. [Google Scholar] [CrossRef]
- Bashutski, J.D.; Eber, R.M.; Kinney, J.S.; Benavides, E.; Maitra, S.; Braun, T.M.; Giannobile, W.V.; McCauley, L.K. Teriparatide and osseous regeneration in the oral cavity. N. Engl. J. Med. 2010, 363, 2396–2405. [Google Scholar] [CrossRef]
- Chandra, A.; Lin, T.; Tribble, M.B.; Zhu, J.; Altman, A.R.; Tseng, W.J.; Zhang, Y.; Akintoye, S.O.; Cengel, K.; Liu, X.S.; et al. PTH1-34 alleviates radiotherapy-induced local bone loss by improving osteoblast and osteocyte survival. Bone 2014, 67, 33–40. [Google Scholar] [CrossRef]
- Schmidmaier, G.; Wildemann, B.; Heeger, J.; Gabelein, T.; Flyvbjerg, A.; Bail, H.J.; Raschke, M. Improvement of fracture healing by systemic administration of growth hormone and local application of insulin-like growth factor-1 and transforming growth factor-beta1. Bone 2002, 31, 165–172. [Google Scholar] [CrossRef] [PubMed]
- Tashjian, A.H., Jr.; Gagel, R.F. Teriparatide [human PTH(1-34)]: 2.5 years of experience on the use and safety of the drug for the treatment of osteoporosis. J. Bone Miner. Res. 2006, 21, 354–365. [Google Scholar] [CrossRef] [PubMed]
- Chandra, A.; Lin, T.; Zhu, J.; Tong, W.; Huo, Y.; Jia, H.; Zhang, Y.; Liu, X.S.; Cengel, K.; Xia, B.; et al. PTH1-34 blocks radiation-induced osteoblast apoptosis by enhancing DNA repair through canonical Wnt pathway. J. Biol. Chem. 2015, 290, 157–167. [Google Scholar] [CrossRef] [PubMed]
- Cha, Y.H.; Hong, N.; Rhee, Y.; Cha, I.H. Teriparatide therapy for severe, refractory osteoradionecrosis of the jaw. Osteoporos. Int. 2018, 29, 987–992. [Google Scholar] [CrossRef]
- Kim, K.M.; Park, W.; Oh, S.Y.; Kim, H.J.; Nam, W.; Lim, S.K.; Rhee, Y.; Cha, I.H. Distinctive role of 6-month teriparatide treatment on intractable bisphosphonate-related osteonecrosis of the jaw. Osteoporos. Int. 2014, 25, 1625–1632. [Google Scholar] [CrossRef]
- Gold, D.T.; Pantos, B.S.; Masica, D.N.; Misurski, D.A.; Marcus, R. Initial experience with teriparatide in the United States. Curr. Med. Res. Opin. 2006, 22, 703–708. [Google Scholar] [CrossRef]
- Harper, K.D.; Krege, J.H.; Marcus, R.; Mitlak, B.H. Comments on Initial experience with teriparatide in the United States. Curr. Med. Res. Opin. 2006, 22, 1927. [Google Scholar] [CrossRef]




| Osteoradionecrosis Therapy | Advantages | Disadvantages | |
|---|---|---|---|
| 1 | Conservative management
|
|
|
| 2 | Hyperbaric oxygen therapy (HBO) |
|
|
| 3 | Medical treatment options
|
|
|
| 4 | Surgery |
|
|
| 5 | Ultrasound therapy |
|
|
| 6 | Mesenchymal stem cell therapy |
|
|
| 7 | Osteoanabolic therapy
|
|
|
Disclaimer/Publisher’s Note: The statements, opinions and data contained in all publications are solely those of the individual author(s) and contributor(s) and not of MDPI and/or the editor(s). MDPI and/or the editor(s) disclaim responsibility for any injury to people or property resulting from any ideas, methods, instructions or products referred to in the content. |
© 2024 by the authors. Licensee MDPI, Basel, Switzerland. This article is an open access article distributed under the terms and conditions of the Creative Commons Attribution (CC BY) license (https://creativecommons.org/licenses/by/4.0/).
Share and Cite
Wang, Y.; Turkstani, H.; Alfaifi, A.; Akintoye, S.O. Diagnostic and Therapeutic Approaches to Jaw Osteoradionecrosis. Diagnostics 2024, 14, 2676. https://doi.org/10.3390/diagnostics14232676
Wang Y, Turkstani H, Alfaifi A, Akintoye SO. Diagnostic and Therapeutic Approaches to Jaw Osteoradionecrosis. Diagnostics. 2024; 14(23):2676. https://doi.org/10.3390/diagnostics14232676
Chicago/Turabian StyleWang, Yufan, Heba Turkstani, Afrah Alfaifi, and Sunday O. Akintoye. 2024. "Diagnostic and Therapeutic Approaches to Jaw Osteoradionecrosis" Diagnostics 14, no. 23: 2676. https://doi.org/10.3390/diagnostics14232676
APA StyleWang, Y., Turkstani, H., Alfaifi, A., & Akintoye, S. O. (2024). Diagnostic and Therapeutic Approaches to Jaw Osteoradionecrosis. Diagnostics, 14(23), 2676. https://doi.org/10.3390/diagnostics14232676

