Absorbable Haemostatic Artefacts as a Diagnostic Challenge in Postoperative Follow-Up After Oncological Resection in Head and Neck Tumours: Systematic Review of Current Literature and Two Case Reports
Abstract
1. Introduction
2. Case Presentation
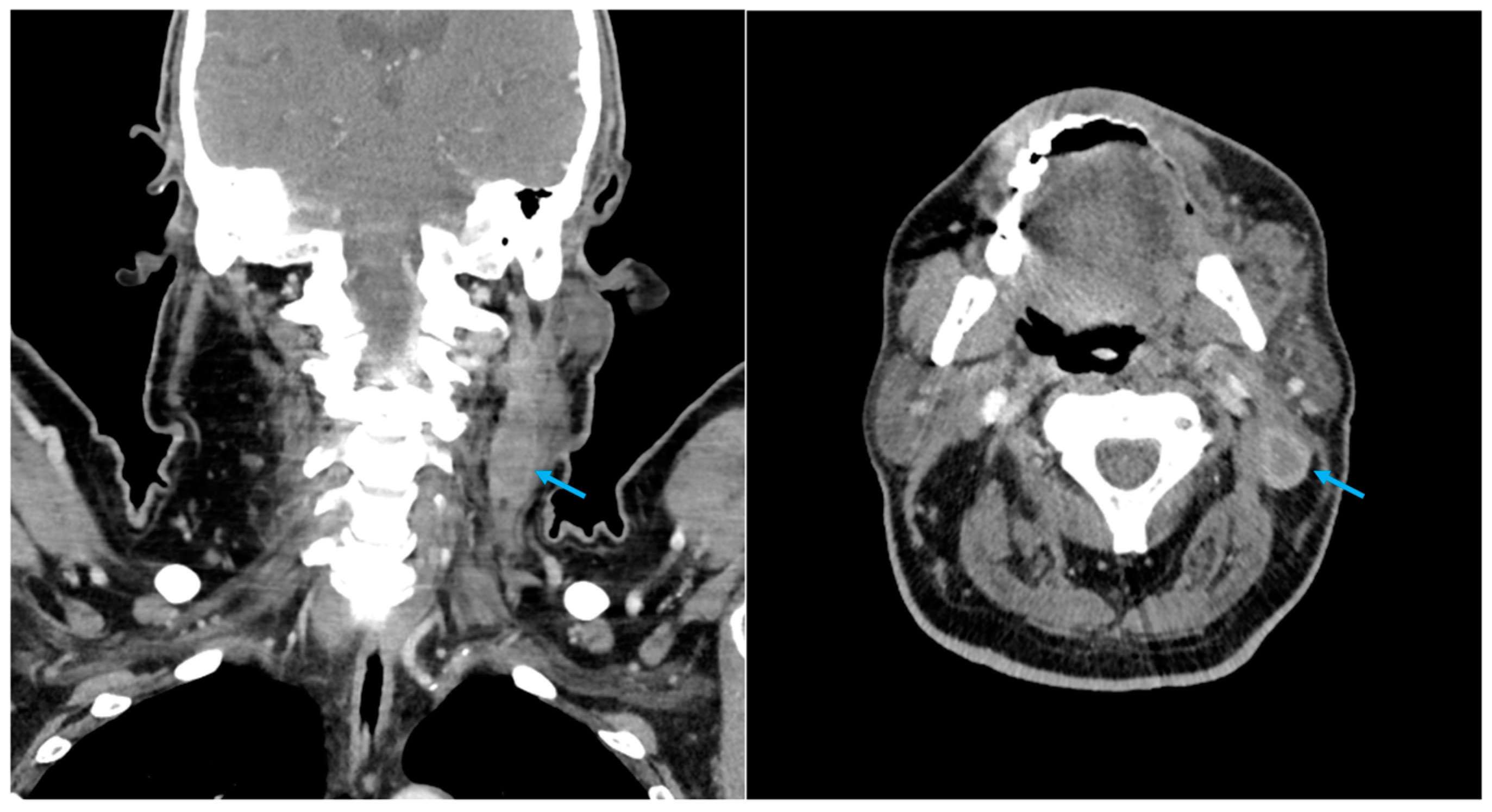
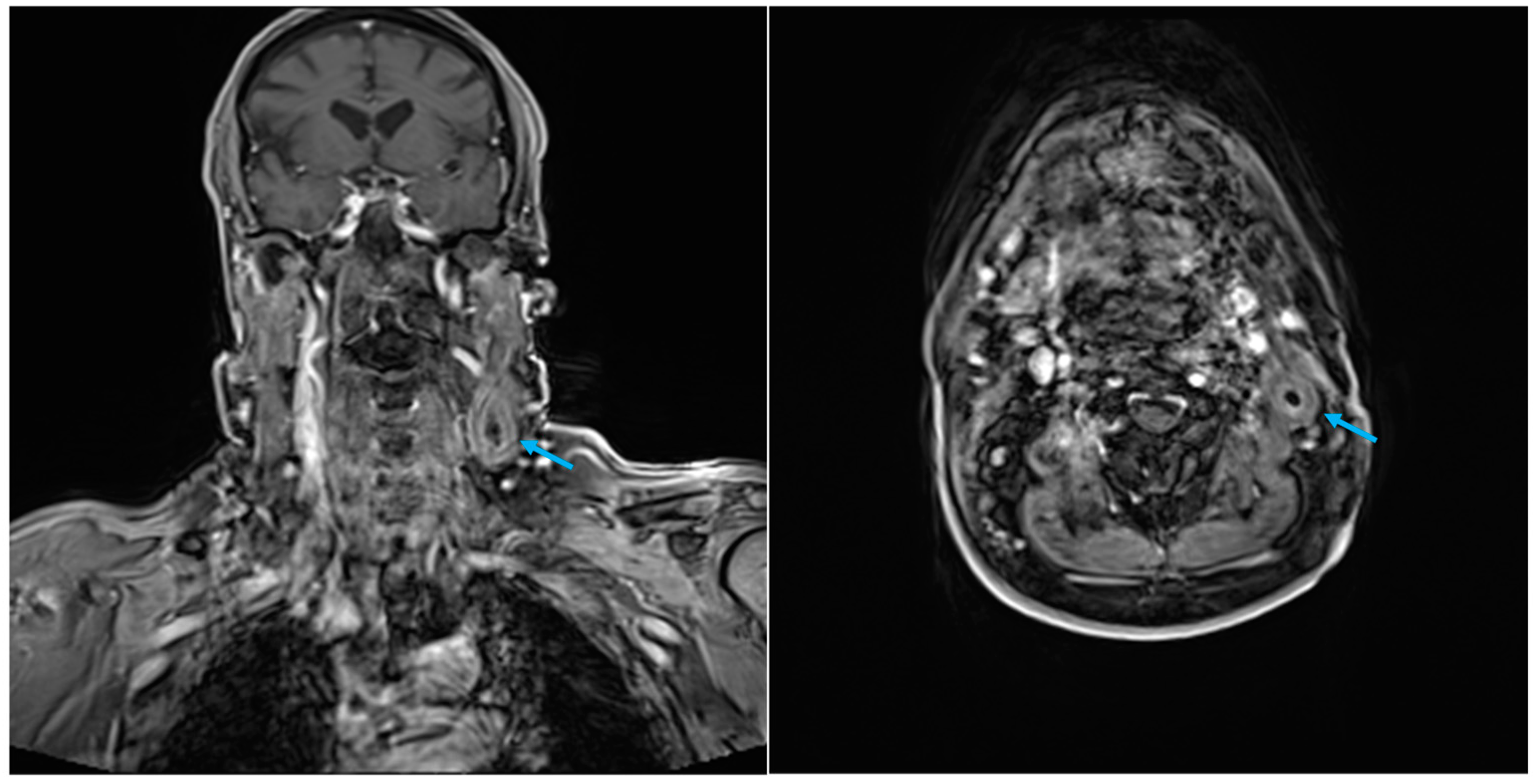
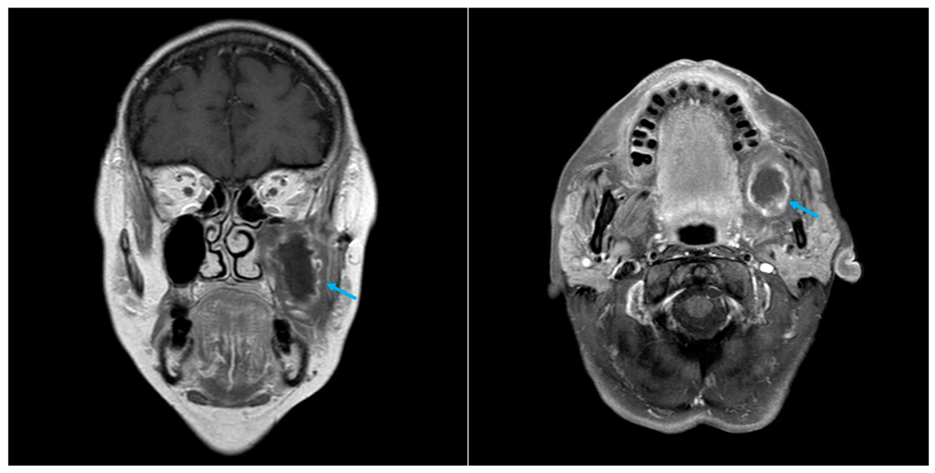
2.1. Case 1
2.2. Case 2
3. Materials and Methods
4. Results
4.1. Radiological Data
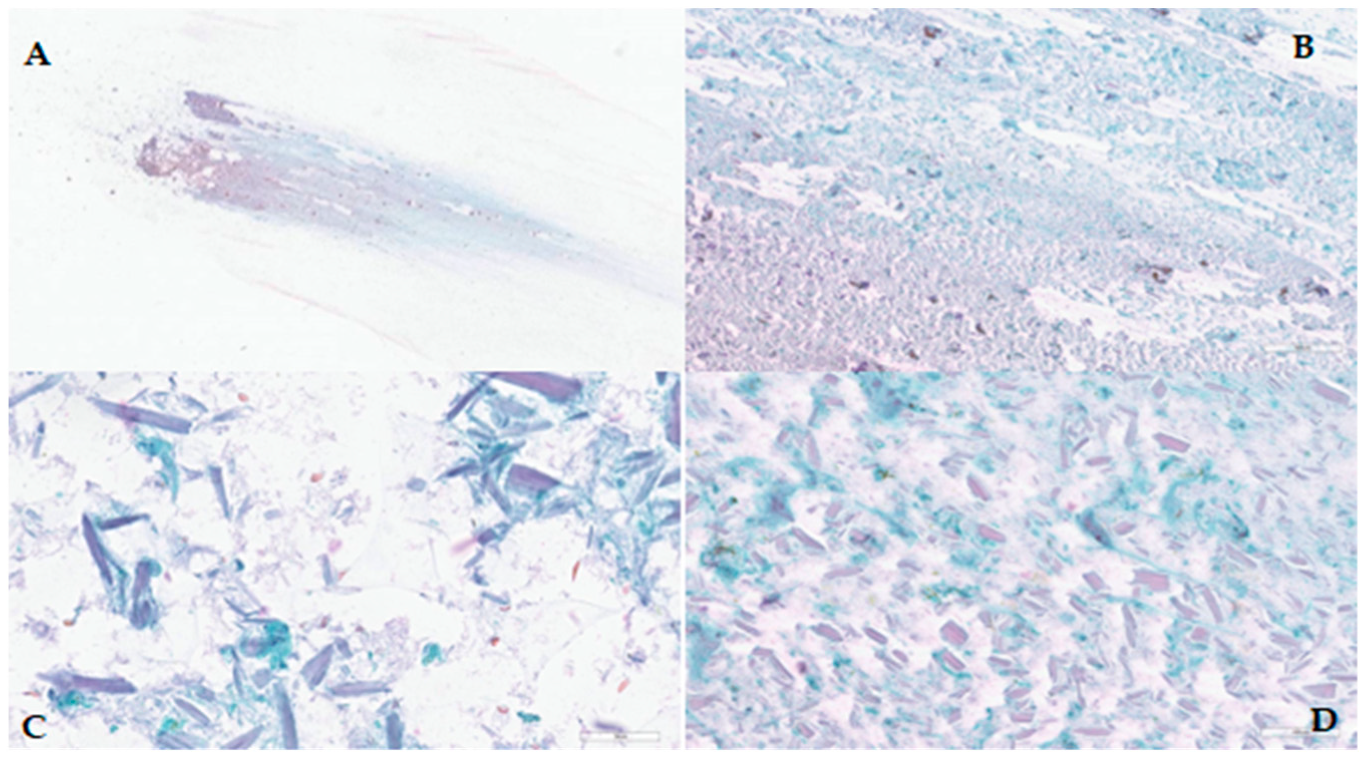
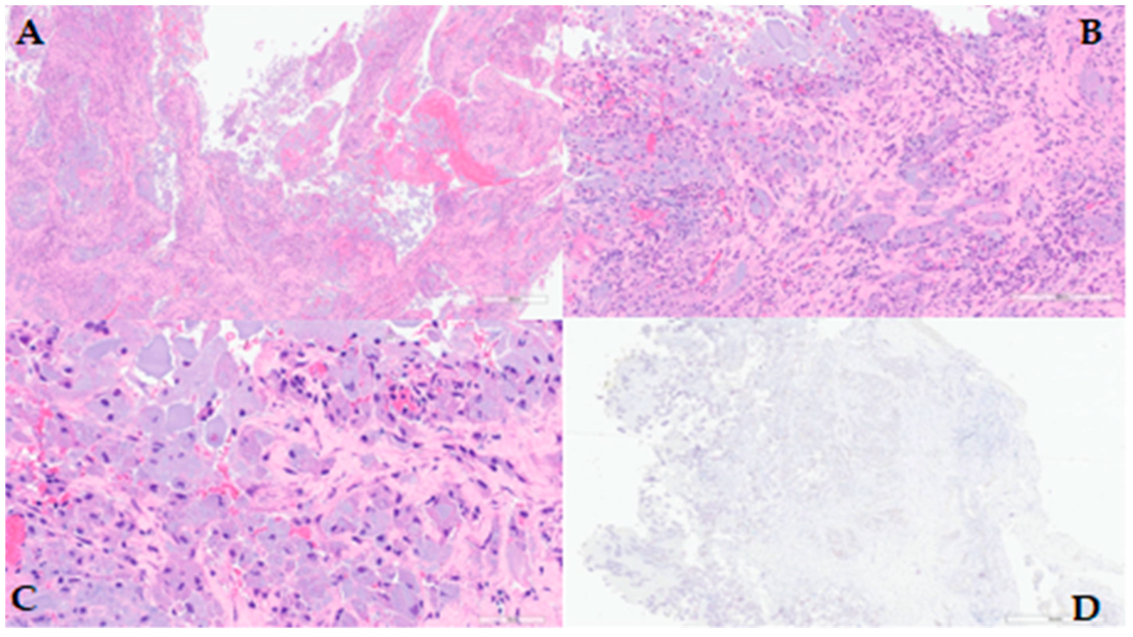
4.2. Pathological Data
5. Discussion
6. Conclusions
Author Contributions
Funding
Institutional Review Board Statement
Informed Consent Statement
Data Availability Statement
Conflicts of Interest
References
- Franceschini, G. Internal surgical use of biodegradable carbohydrate polymers. Warning for a conscious and proper use of oxidized regenerated cellulose. Carbohydr. Polym. 2019, 216, 213–216. [Google Scholar] [CrossRef] [PubMed]
- Zhang, S.; Li, J.; Chen, S.; Zhang, X.; Ma, J.; He, J. Oxidized cellulose-based hemostatic materials. Carbohydr. Polym. 2020, 230, 115585. [Google Scholar] [CrossRef]
- Guo, Y.; Wang, M.; Liu, Q.; Liu, G.; Wang, S.; Li, J. Recent advances in the medical applications of hemostatic materials. Theranostics 2023, 13, 161–196. [Google Scholar] [CrossRef]
- Xiao, X.; Wu, Z. A Narrative Review of Different Hemostatic Materials in Emergency Treatment of Trauma. Emerg. Med. Int. 2022, 2022, 6023261. [Google Scholar] [CrossRef] [PubMed]
- Alpaslan, C.; Alpaslan, G.H.; Oygur, T. Tissue reaction to three subcutaneously implanted local hemostatic agents. Br. J. Oral Maxillofac. Surg. 1997, 35, 129–132. [Google Scholar] [CrossRef]
- Hutchinson, R.W.; George, K.; Johns, D.; Craven, L.; Zhang, G.; Shnoda, P. Hemostatic efficacy and tissue reaction of oxidized regenerated cellulose hemostats. Cellulose 2013, 20, 537–545. [Google Scholar] [CrossRef]
- Agha, R.A.; Franchi, T.; Sohrabi, C.; Mathew, G.; Kerwan, A.; Thoma, A.; Beamish, A.J.; Noureldin, A.; Rao, A.; Vasudevan, B.; et al. The SCARE 2020 Guideline: Updating Consensus Surgical CAse REport (SCARE) Guidelines. Int. J. Surg. 2020, 84, 226–230. [Google Scholar] [CrossRef] [PubMed]
- Barbera, G.; Della Monaca, M.; Manganiello, L.; Battisti, A.; Priore, P.; Cassoni, A.; Terenzi, V.; Valentini, V. Reconstruction of the mandibular symphysis: Pilot study compares three different flaps. Minerva Dent. Oral Sci. 2022, 71, 139–148. [Google Scholar] [CrossRef]
- Molteni, G.; Gazzini, L.; Sacchetto, A.; Nocini, R.; Comini, L.V.; Arietti, V.; Locatello, L.G.; Mannelli, G. Mandibular reconstruction in head and neck cancer: Which is the gold standard? Eur. Arch. Oto-Rhino-Laryngol. 2023, 280, 3953–3965. [Google Scholar] [CrossRef]
- Tel, A.; Arboit, L.; Sembronio, S.; Costa, F.; Nocini, R.; Robiony, M. The Transantral Endoscopic Approach: A Portal for Masses of the Inferior Orbit—Improving Surgeons’ Experience Through Virtual Endoscopy and Augmented Reality. Front. Surg. 2021, 8, 715262. [Google Scholar] [CrossRef]
- Page, M.J.; McKenzie, J.E.; Bossuyt, P.M.; Boutron, I.; Hoffmann, T.C.; Mulrow, C.D.; Shamseer, L.; Tetzlaff, J.M.; Akl, E.A.; Brennan, S.E.; et al. The PRISMA 2020 statement: An updated guideline for reporting systematic reviews. BMJ 2021, 372, n71. [Google Scholar] [CrossRef] [PubMed]
- Liu, J.; Hong, W.; Wu, W.; Ni, H.; Zhou, M. Delayed Absorption of Oxidized Cellulose (Surgicel) in Post-Thyroidectomy Patients. J. Ultrasound Med. 2016, 35, 1349–1351. [Google Scholar] [CrossRef]
- Shahin, M.N.; Gupta, A. Hemostatic agent mimicking residual thyroid tissue in a patient status post competition thyroidectomy for thyroid cancer. Endocr. Pract. 2018, 24, 500. [Google Scholar] [CrossRef] [PubMed]
- Hernández-Bonilla, S.; Rodríguez-García, A.M.; Jiménez-Heffernan, J.A.; Muñoz-Hernández, P.; Palacios-Lázaro, E.; López-Ferrer, P.; González-Peramato, P.; Vicandi, B. FNA cytology of postoperative pseudotumoral lesions induced by oxidized cellulose hemostatic agents. Cancer Cytopathol. 2019, 127, 765–770. [Google Scholar] [CrossRef]
- Sebastian-Valles, F.; Muñoz-de-Nova, J.L.; Vargas, M.L. Foreign body reactions to oxidized cellulose in the follow-up of thyroid cancer. Med. Clínica (Engl. Ed.) 2023, 161, 310–311. [Google Scholar] [CrossRef]
- Liberale, C.; Segato, E.; Sacchetto, A.; Silvestrini, M.; Saetti, R. Oxidized cellulose-based reaction mimicking thyroidal recurrence of disease: A case report and literature review. Indian J. Otolaryngol. Head Neck Surg. 2023, 75, 2427–2431. [Google Scholar] [CrossRef] [PubMed]
- Hassani, F.E.A.; Slimani, F. SURGICEL mimicking a recurrence of a temporomandibular joint chondrosarcoma. Ann. Med. Surg. 2021, 63, 102187. [Google Scholar] [CrossRef]
- Alameer, E. Surgicel® Granuloma Mimicking Recurrent Thyroid Tumor After Thyroidectomy: A Case Report and Literature Review. Cureus 2023, 15, e46587. [Google Scholar] [CrossRef]
- Piozzi, G.N.; Reitano, E.; Panizzo, V.; Rubino, B.; Bona, D.; Tringali, D.; Micheletto, G. Practical Suggestions for Prevention of Complications Arising from Oxidized Cellulose Retention: A Case Report and Review of the Literature. Am. J. Case Rep. 2018, 19, 812–819. [Google Scholar] [CrossRef]
- Haidari, T.A.; Petersen, R.H.; Skov, B.G.; Ravn, J. Oxidized resorbable cellulose (Gelita-cel) causing foreign body reaction in the mediastinum†. Interact. Cardiovasc. Thorac. Surg. 2018, 27, 881–883. [Google Scholar] [CrossRef]
- Al-Afif, S.; Majernik, G.H.; Hermann, E.J.; Esmaeilzadeh, M.; Hartmann, C.; Krauss, J.K. Intracranial foreign material granulomas after cranial surgery. Acta Neurochir. 2018, 160, 2069–2075. [Google Scholar] [CrossRef] [PubMed]
- Barbera, G.; Favero, V.; Lobbia, G.; Nocini, R. Orbital metastasis or idiopathic orbital pseudotumor? A case report from a patient previously diagnosed with primary breast cancer. Int. J. Surg. Case Rep. 2024, 120, 109845. [Google Scholar] [CrossRef] [PubMed]
- Savino, G.; Piccinni, F.; Pagliara, M.M.; Sammarco, M.G.; Caputo, C.G.; Moro, A.; Barbera, G.; Tagliaferri, L.; Fionda, B.; Schinzari, G.; et al. Multidisciplinary ocular and periocular cancers meetings: Implementation in a tertiary referral center and analysis over a 12-months period. BMC Ophthalmol. 2022, 22, 497. [Google Scholar] [CrossRef] [PubMed]
- Giuliani, M.; Fubelli, R.; Patrolecco, F.; Rella, R.; Borelli, C.; Buccheri, C.; Di Giovanni, S.E.; Belli, P.; Romani, M.; Rinaldi, P.; et al. Mammographic and Ultrasonographic Findings of Oxidized Regenerated Cellulose in Breast Cancer Surgery: A 5-Year Experience. Clin. Breast Cancer 2015, 15, e249–e256. [Google Scholar] [CrossRef] [PubMed]
- Roshkovan, L.; Singhal, S.; Katz, S.I.; Galperin-Aizenberg, M. Multimodality imaging of Surgicel®, an important mimic of post-operative complication in the thorax. BJR|Open 2021, 3, 20210031. [Google Scholar] [CrossRef]
- Morani, A.C.; Platt, J.F.; Thomas, A.J.; Kaza, R.K.; Al-Hawary, M.M.; Cohan, R.H.; Francis, I.R.; Elsayes, K.M. Hemostatic Agents and Tissue Sealants: Potential Mimics of Abdominal Abnormalities. Am. J. Roentgenol. 2018, 211, 760–766. [Google Scholar] [CrossRef]
- Agarwal, M.M.; Mandal, A.K.; Agarwal, S.; Lal, A.; Prakash, M.; Mavuduru, R.; Singh, S.K. Surgicel Granuloma: Unusual Cause of ‘Recurrent’ Mass Lesion After Laparoscopic Nephron-sparing Surgery for Renal Cell Carcinoma. Urology 2010, 76, 334–335. [Google Scholar] [CrossRef]
- Giuliani, M.; Rella, R.; Fubelli, R.; Patrolecco, F.; Di Giovanni, S.E.; Buccheri, C.; Padovano, F.; Belli, P.; Romani, M.; Rinaldi, P.; et al. Magnetic resonance imaging appearance of oxidized regenerated cellulose in breast cancer surgery. Radiol. Med. 2016, 121, 688–695. [Google Scholar] [CrossRef]
- Carneiro, B.C.; Cruz, I.A.; Chemin, R.N.; Rizzetto, T.A.; Guimarães, J.B.; Silva, F.D.; Yoshida, C., Jr.; Pastore, D.; Ormond Filho, A.G.; Nico, M.A. Multimodality Imaging of Foreign Bodies: New Insights into Old Challenges. RadioGraphics 2020, 40, 1965–1986. [Google Scholar] [CrossRef]
- Agarwal, V.; Vyas, S.; Ahuja, C.K.; Bhatia, V.; Tripathi, M.; Salunke, P.; Tewari, M.K. Intracranial Textiloma: Imaging Features and Literature Review. Indian J. Radiol. Imaging 2021, 31, 441–444. [Google Scholar] [CrossRef]
- Oto, A.; Remer, E.M.; O’Malley, C.M.; Tkach, J.A.; Gill, I.S. MR characteristics of oxidized cellulose (Surgicel). Am. J. Roentgenol. 1999, 172, 1481–1484. [Google Scholar] [CrossRef] [PubMed]
- Arat, Y.; Dorotheo, E.; Tang, R.; Boniuk, M.; Schiffman, J. Compressive Optic Neuropathy after Use of Oxidized Regenerated Cellulose in Orbital SurgeryReview of Complications, Prophylaxis, and Treatment. Ophthalmology 2006, 113, 333–337. [Google Scholar] [CrossRef] [PubMed]
- Bozkurtlar, E.; Oksuzoglu, K.; Bostanci, K.; Aslan, S.; Kissa, T.N.; Kocakaya, D.; Ones, T. FDG PET/CT Features of Polysaccharide-Based Hemostatic Agent. Clin. Nucl. Med. 2022, 47, e475–e480. [Google Scholar] [CrossRef] [PubMed]
- Zuccatosta, L.; Latini, M.A.; Mei, F.; Bonifazi, M.; Barisione, E.; Salio, M.; Gasparini, S.; Gonnelli, F. A lymph node mediastinal foreign body reaction mimicking nodal metastasis: A case series. Front. Med. 2022, 9, 1014617. [Google Scholar] [CrossRef] [PubMed]
- Kurian, E.M.; Abu-Hijleh, M.; Lowrey, T.R.; De Las Casas, L.E. Oxidized Regenerated Cellulose (Surgicel®) on Cytology/Histology. Acta Cytol. 2022, 66, 556–559. [Google Scholar] [CrossRef]
- Krishnan, L. Comparative evaluation of absorbable hemostats: Advantages of fibrin-based sheets. Biomaterials 2004, 25, 5557–5563. [Google Scholar] [CrossRef]







| Population | Text word (1): (oxidised cellulose OR surgicel OR tabotamp OR gelita OR absorbable haemostatic) AND (recurrence OR residual OR relapse OR metastasis OR metastatic disease OR abscess OR granuloma OR lymph node OR neck lymphadenopathy) |
| Intervention | Text word (2): (needle aspiration OR surgical removal OR histological examination OR neck dissection OR CT scan OR sonography OR magnetic resonance OR cytological examination OR cytology OR histology) |
| Comparison | Not applicable |
| Outcome | Text word (3): (pseudotumoural lesion OR pseudotumour OR artefact OR granuloma OR (foreign body reaction) OR gossybipoma OR textiloma OR (mimicking of tumour recurrence)) |
| Authors | Year | Study Type | Sample Size | Age | Sex | Surgical Site | Haemostatic Material | Primary Diagnosis | Primary Surgery | Postoperative Imaging | Timing | Diagnostic Strategy |
Cytology and/or Histology |
|---|---|---|---|---|---|---|---|---|---|---|---|---|---|
| Liu et al. [12] | 2016 | Case series | 3 | 36 | F | Thyroid | Surgicel | Thyroid carcinoma | right lobectomy and partial left lobectomy | US | 24 months 720 d | FNA | C |
| 52 | M | Thyroid | Surgicel | Thyroid adenoma | right lobectomy | US | 5 months 150 d | US | NA | ||||
| 67 | F | Thyroid | Surgicel | Thyroid carcinoma | Total Thyroidectomy | US | 16 days | US | NA | ||||
| Shahin et al. [13] | Case presentation | 1 | 59 | F | Thyroid | Surgicel | Follicular thyroid carcinoma | Two step total thyroidectomy | US | 14 days | FNA | C | |
| Hernandez-Bonilla et al. [14] | 2019 | Case series | 16 * | 36 | F | Thyroid | Surgicel | Papillarycarcinoma | Total Thyroidectomy | US | 24 months 720 d | FNA | C |
| 49 | F | Thyroid | Surgicel | Multinodular goitre | Total Thyroidectomy | US | 13 months 390 d | FNA | C | ||||
| 35 | M | Thyroid | Surgicel | Follicular adenoma | Total Thyroidectomy | US | 18 months 540 d | FNA | C | ||||
| 73 | M | Nasopharinx | Surgicel | Nasopharyngeal carcinoma | Excision of primary tutor | NA | 15 months 450 d | FNA + cervical lump excision | C + H | ||||
| Sebastian-Valles et al. [15] | 2023 | Scientific letter | 15 | mean age 51 (27–77 yo) | F: 10 M: 5 | Thyroid | ORC | Differentiated thyroid cancer: 11Non-invasive follicular tumour: 4 | Total thyroidectomy: 11Hemithyroidectomy: 4 | US | 13–27 months mean 20 m 600 (d) | US + C | C |
| Liberale et al. [16] | 2023 | Case report | 1 | 34 | F | Thyroid | Surgicel | Papillary carcinoma | Total thyroidectomy | US + CT + scintigraphy | 5 years 1800 d | FNA | C + H |
| Azami Hassani et al. [17] | 2021 | Case report | 1 | 61 | F | ATM | Surgicel | Chondrosarcoma | Excision of primary tumour | MRI | 3 months 90d | Surgical excision | H |
| Alameer [18] | 2023 | Case report | 1 | 42 | F | Thyroid | Surgicel | Follicular adenoma | Right thyroidectomy + isthmusectomy | US | 2 years 720 | FNA + surgical excision | C + H |
| Presented case 1 | 2024 | Case report | 1 | 78 | F | Maxilla | Tabotamp | Ameloblastoma | Excision of primary tumour | CT + MRI | 15 d | CT + MRI + surgical excison | H |
| Presented case 2 | 2024 | Case report | 1 | 69 | M | Oral cavity | Tabotamp | SCC | Hemimandibulectomy, omolateral neck dissection and free flap reconstruction | CT + US | 30 d | CT + FNAC | C |
| Authors | US | CT | MRI | PET/CT | Scintigraphy | Histologic/Cytologic Findings |
|---|---|---|---|---|---|---|
| Case 1 | Elongated, non-homogenous hyperechogenic formation with an expansive growth pattern | CT (1): Lymphadenopathy […] and exhibited areas of colliquation | Persistent left adenopathy was observed, with no evidence of restricted signal in DWI or post-contrastographic enhancement | Ovoid mass with an elevate 18-FDG uptake (SUV 7, 5) | C (1): Necrotic debris, neutrophilic granulocytes, and rare multinucleated histiocytic giant cells. C (2): Cytological sample revealed the presence of a birefringent material, which was identified as sutures, macrophages, and isolated foreign body-like giant multi-nucleated cells | |
| Case 2 | Residual tissue with a peripheral solid portion with contrast enhancement and a central hypodense area likely representing fluid, with concurrent air bubbles | Peripheral solid portion, with slight contrast enhancement (T1), and a central colliquated portion | H: Fibrous tissue fragments w histiocytic–macrophagic nature, mixed with neutrophil granulocytes and calcific-like material | |||
| Liu et al. [12] | Elongated, hypoechoic mass, well-defined margin, no blood flow or calcification, non-uniform punctiform internal echoes | C: Presence of Surgicel fragments | ||||
| Shahin et al. [13] | C: Scattered inflammatory cells (macrophages), amorphous debris | |||||
| Hernandez-Bonilla et al. [14] | C: Variable granulomatous inflammatory reaction w multinucleated giant cells, phagocytic cells. Oxidised cellulose = acellular, laminated inorganic fragments, slender quadrangular appearance. | |||||
| Sebastian -Valles et al. [15] | Hypo-, iso-echogenic, well-defined margins. No doppler flow. | C: Small cellular structures consisting of oxidised cellulose, macrophages. | ||||
| Liberale et al. [16] | Hypodense mass with small intralesional calcification, without post-contrast enhancement | No significant activity | C: Amorphous material H: section of fibrous tissue referable to cystic/pseudocystic wall, with histioid inflammation associated with giant cell reaction from a foreign body | |||
| Azami Hassani et al. [17] | Well-limited hypointense lesion in T1 and heterogeneous in T2 | H: Presence of reworked fibrous material recognised as unabsorbed Surgicel | ||||
| Alameer [18] | Elongated, well-defined isoechoic. No calcifications. | C: Striated muscle fibres, few macrophages, degenerated debris. No epithelial cells. H: Chronic xanthogranolumatous inflammation w foreign body reaction and foreign material. Foamy macrophages, multinucleated giant cells. No atypia. |
Disclaimer/Publisher’s Note: The statements, opinions and data contained in all publications are solely those of the individual author(s) and contributor(s) and not of MDPI and/or the editor(s). MDPI and/or the editor(s) disclaim responsibility for any injury to people or property resulting from any ideas, methods, instructions or products referred to in the content. |
© 2024 by the authors. Licensee MDPI, Basel, Switzerland. This article is an open access article distributed under the terms and conditions of the Creative Commons Attribution (CC BY) license (https://creativecommons.org/licenses/by/4.0/).
Share and Cite
Barbera, G.; Lobbia, G.; Ghiozzi, F.; Rovescala, A.; Franzina, C.; Sina, S.; Nocini, R. Absorbable Haemostatic Artefacts as a Diagnostic Challenge in Postoperative Follow-Up After Oncological Resection in Head and Neck Tumours: Systematic Review of Current Literature and Two Case Reports. Diagnostics 2024, 14, 2667. https://doi.org/10.3390/diagnostics14232667
Barbera G, Lobbia G, Ghiozzi F, Rovescala A, Franzina C, Sina S, Nocini R. Absorbable Haemostatic Artefacts as a Diagnostic Challenge in Postoperative Follow-Up After Oncological Resection in Head and Neck Tumours: Systematic Review of Current Literature and Two Case Reports. Diagnostics. 2024; 14(23):2667. https://doi.org/10.3390/diagnostics14232667
Chicago/Turabian StyleBarbera, Giorgio, Guido Lobbia, Federica Ghiozzi, Alessandra Rovescala, Carlotta Franzina, Sokol Sina, and Riccardo Nocini. 2024. "Absorbable Haemostatic Artefacts as a Diagnostic Challenge in Postoperative Follow-Up After Oncological Resection in Head and Neck Tumours: Systematic Review of Current Literature and Two Case Reports" Diagnostics 14, no. 23: 2667. https://doi.org/10.3390/diagnostics14232667
APA StyleBarbera, G., Lobbia, G., Ghiozzi, F., Rovescala, A., Franzina, C., Sina, S., & Nocini, R. (2024). Absorbable Haemostatic Artefacts as a Diagnostic Challenge in Postoperative Follow-Up After Oncological Resection in Head and Neck Tumours: Systematic Review of Current Literature and Two Case Reports. Diagnostics, 14(23), 2667. https://doi.org/10.3390/diagnostics14232667

