Neck Schwannoma Masking as Thyroid Tumour: Into the Deep of Diagnostics and Anatomy
Abstract
1. Introduction
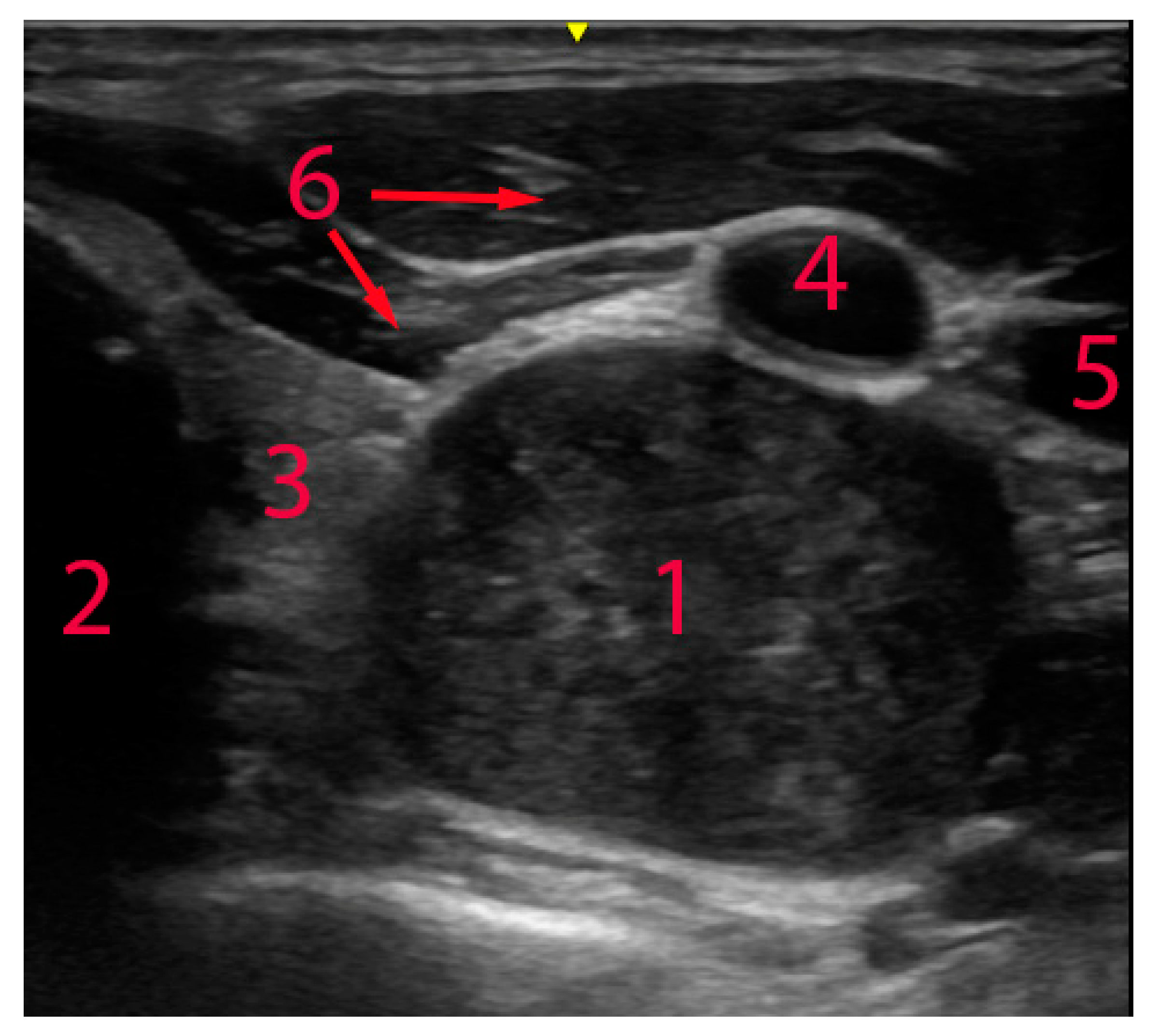
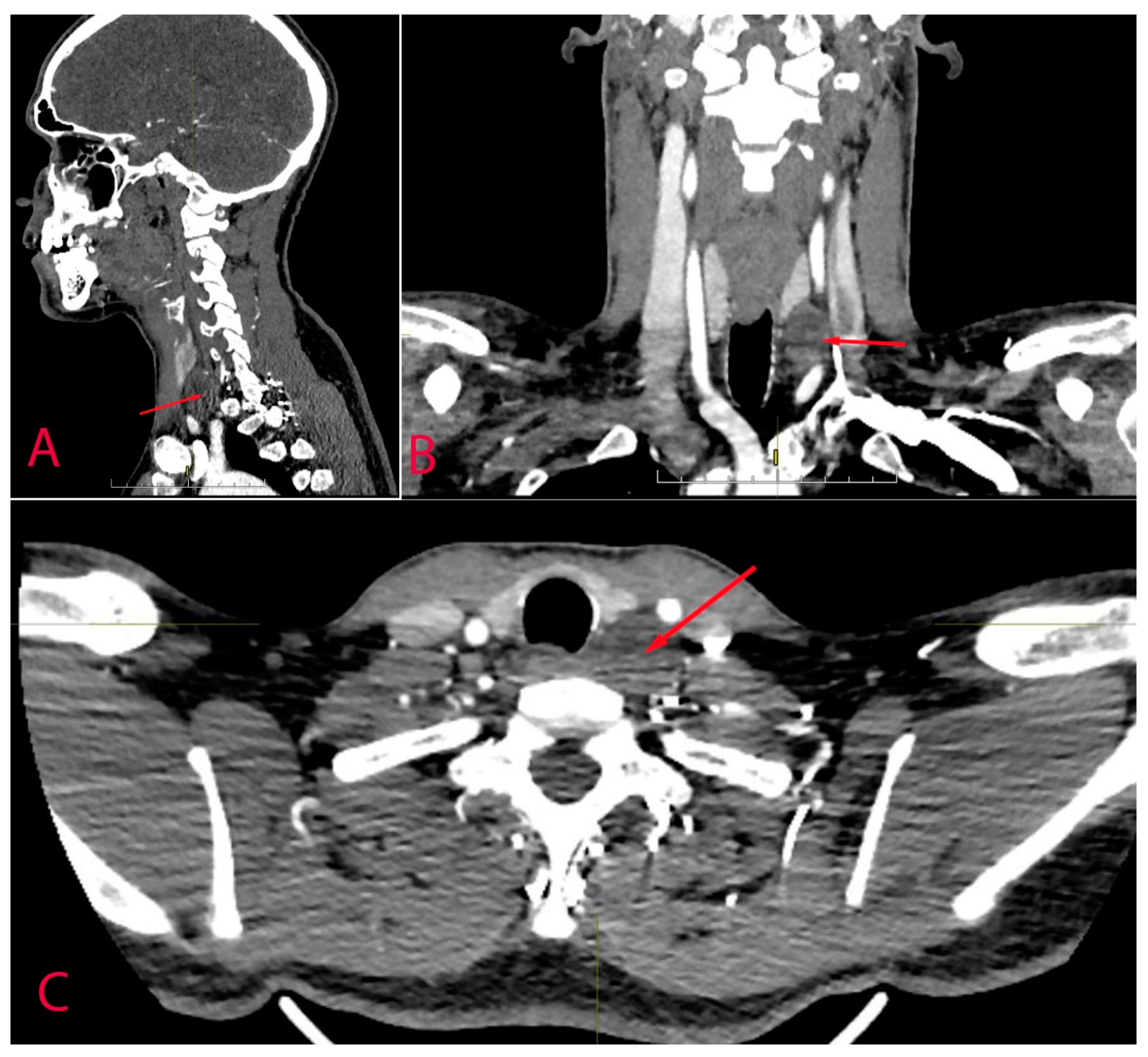
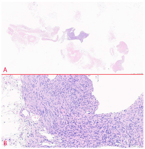
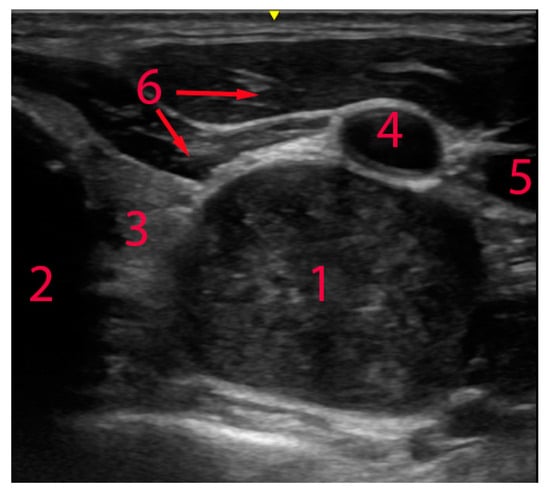
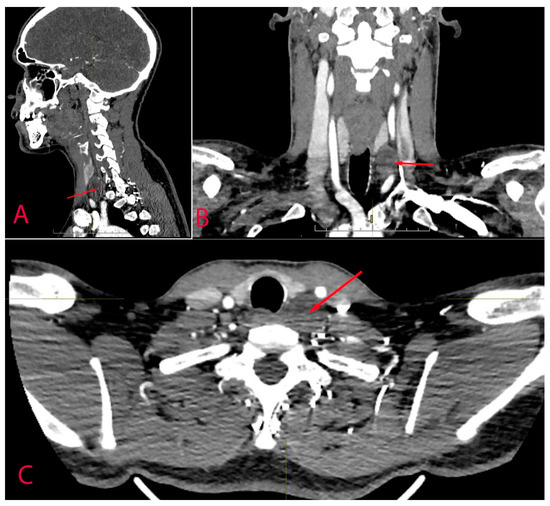
2. Case Description
3. Discussion
| Age, Sex | Cytology | Clinical Picture | Reference |
|---|---|---|---|
| 87, female | Bethesda III | Radiating pain after aspiration | [9] |
| 70, male | Bethesda IV | Palpable mass, hoarseness, neck discomfort | [10] |
| 30, female | Bethesda I | Swelling in the neck | [12] |
| 47, male | Bethesda II | Progressive swelling in the neck | [13] |
| 31, male | Schwannoma | Growing nodule in the neck | [3] |
| 60, female | Schwannoma | Dysphagia and a significant increase in goitre size | [25] |
| 33, female | Bethesda I | Palpable neck mass | [27] |
| 33, female | Bethesda I | Large palpable mass, compression | [28] |
| 26, female | Bethesda I | Neck mass | [29] |
| 35, female | Bethesda I | Neck mass, Horner’s syndrome | [21] |
| 63, female | Bethesda I | Foreign body sensation with swallowing | [30] |
| 23, female | Paucicellular sample with occasional follicular cells of equivocal diagnostic value | Neck mass | [31] |
| 32, male | Bethesda I | Neck mass | Current case |
4. Conclusions
Author Contributions
Funding
Institutional Review Board Statement
Informed Consent Statement
Data Availability Statement
Conflicts of Interest
References
- Xing, M.H.; Sandler, M.L.; Tuttle, R.M.; Khorsandi, A.; Samankan, S.; Mundi, N.; Urken, M.L. Abnormal growth rate of a benign cervical sympathetic chain schwannoma. Otolaryngol. Case Rep. 2021, 19, 100295. [Google Scholar] [CrossRef]
- Aoki, T.; Kumeda, S.; Iwasa, T.; Inokawa, K.; Hori, T.; Makiuchi, M. Primary neurilemoma of the thyroid gland: Report of a case. Surg. Today 1993, 23, 265–268. [Google Scholar] [CrossRef] [PubMed]
- Mikosch, P.; Gallowitsch, H.; Kresnik, E.; Lind, P. Schwannoma of the Neck Simulating a Thyroid Nodule. Thyroid® 1997, 7, 449–451. [Google Scholar] [CrossRef]
- Batsakis, J.G. Tumours of the Peripheral Nervous System, 2nd ed.; Williams and Wilkins: Baltimore, MD, USA, 1979. [Google Scholar]
- Leu, Y.S.; Chang, K.C. Extracranial Head and Neck Schwannomas: A Review of 8 Years Experience. Acta Oto-Laryngol. 2002, 122, 435–437. [Google Scholar] [CrossRef]
- Liu, H.L.; Yu, S.Y.; Li, G.K.; Wei, W.I. Extracranial head and neck Schwannomas: A study of the nerve of origin. Eur. Arch. Oto-Rhino-Laryngol. 2011, 268, 1343–1347. [Google Scholar] [CrossRef]
- Boros, M.J.; Wysong, S.T. Syndromes after resection of a cervical schwannoma. Ear Nose Throat J. 2011, 90, 431–433. [Google Scholar] [CrossRef]
- Tryggvason, G.; Barnett, A.; Kim, J.; Soken, H.; Maley, J.; Hansen, M.R. Radiographic association of schwannomas with sensory ganglia. Otol. Neurotol. 2012, 33, 1276–1282. [Google Scholar] [CrossRef]
- Oka, K.; Iwamuro, M.; Otsuka, F. Neck schwannoma mimicking a thyroid tumor. J. Gen. Fam. Med. 2017, 18, 473–474. [Google Scholar] [CrossRef] [PubMed]
- Gambardella, C.; Docimo, L.; Candela, G.; Cozzolino, G.; Mongardini, F.; Serilli, F.; Nesta, G.; Pignatelli, M.F.; Ferrandes, S.; Gambardella, A.; et al. Thyroid-Bed Schwannoma Mimicking a Thyroid Neoplasm: A Challenging Diagnosis: Report of a Case and Literature Review. Medicina 2022, 24, 58. [Google Scholar] [CrossRef]
- Beute, J.E.; Seo, G.T.; Saturno, M.; Xing, M.H.; Mundi, N.; Dowling, E.M.; Matloob, A.; Chen, H.; Khorsandi, A.S.; Steinberger, J.; et al. Central compartment neoplasms masquerading as thyroid tumors: Presentation of two unusual cases and review of the literature. Otolaryngol. Case Rep. 2022, 25, 100471. [Google Scholar] [CrossRef]
- Pillai, S.; Agarwal, A.C.; Mathew, M.; Nayak, D.R. Ancient schwannoma mimicking a thyroid mass with retrosternal extension. BMJ Case Rep. 2013, 2013, bcr2013200608. [Google Scholar] [CrossRef] [PubMed]
- Dhar, H.; Dabholkar, J.P.; Kandalkar, B.M.; Ghodke, R. Primary thyroid schwannoma masquerading as a thyroid nodule. J. Surg. Case Rep. 2014, 2014, rju094. [Google Scholar] [CrossRef] [PubMed]
- Fiore, R.; Gombert, E.; La Rosa, S.; Dunet, V.; Sykiotis, G.P.; Gorostidi, F. Esophageal schwannoma mimicking non-functional parathyroid adenoma on 99mTc-sestamibi imaging: A case report. Front. Endocrinol. 2024, 15, 1258233. [Google Scholar] [CrossRef] [PubMed]
- Manzanedo-Romero, I.; García-Muñoz-Najar, A.; Acín-Gándara, D.; Carrión-Álvarez, L.; Urbasos-Pascual, M.; Pereira-Pérez, F. Schwannoma de la cadena simpática cervical asociado a adenoma paratiroideo [Cervical sympathetic chain schwannoma associated with parathyroid adenoma]. Cir Cir 2015, 83, 409–413. (In Spanish) [Google Scholar] [CrossRef]
- Pizzato, M.; Li, M.; Vignat, J.; Laversanne, M.; Singh, D.; La Vecchia, C.; Vaccarella, S. The epidemiological landscape of thyroid cancer worldwide: GLOBOCAN estimates for incidence and mortality rates in 2020. Lancet Diabetes Endocrinol. 2022, 10, 264–272. [Google Scholar] [CrossRef]
- Dean, D.S.; Gharib, H. Epidemiology of thyroid nodules. Best Pract. Res. Clin. Endocrinol. Metab. 2008, 22, 901–911. [Google Scholar] [CrossRef]
- Zamora, E.A.; Khare, S.; Cassaro, S. Thyroid Nodule. In StatPearls [Internet]; StatPearls Publishing: Treasure Island, FL, USA, 2024. Available online: https://www.ncbi.nlm.nih.gov/books/NBK535422/ (accessed on 10 September 2024).
- Ali, S.Z.; Baloch, Z.W.; Cochand-Priollet, B.; Schmitt, F.C.; Vielh, P.; VanderLaan, P.A. The 2023 Bethesda System for Reporting Thyroid Cytopathology. Thyroid® 2023, 33, 1039–1044. [Google Scholar]
- Agnihotri, S.; Jalali, S.; Wilson, M.R.; Danesh, A.; Li, M.; Klironomos, G.; Krieger, J.R.; Mansouri, A.; Khan, O.; Mamatjan, Y.; et al. The genomic landscape of schwannoma. Nat. Genet. 2016, 48, 1339–1348. [Google Scholar] [CrossRef]
- Cashman, E.; Skinner, L.J.; Timon, C. Thyroid swelling: An unusual presentation of a cervical sympathetic chain schwannoma. Medscape J. Med. 2008, 10, 201. [Google Scholar] [PubMed]
- Delaney, W.E.; Fry, K.E. Neurilemoma of the thyroid gland. Ann. Surg. 1964, 160, 1014–1017. [Google Scholar] [CrossRef]
- Aron, M.; Kapila, K.; Verma, K. Neural tumours of the neck presenting as thyroid nodules: A report of three cases. Cytopathology 2005, 16, 206–209. [Google Scholar] [CrossRef] [PubMed]
- Mandel, L.; Syrop, S.B. First-bite syndrome after parapharyngeal surgery for cervical schwannoma. J. Am. Dent. Assoc. 2008, 139, 1480–1483. [Google Scholar] [CrossRef] [PubMed]
- Nagavalli, S.; Yehuda, M.; McPhaul, L.W.; Gianoukakis, A.G. A Cervical Schwannoma Masquerading as a Thyroid Nodule. Eur. Thyroid J. 2017, 6, 216–220. [Google Scholar] [CrossRef][Green Version]
- Scherl, S.; Alon, E.E.; EKarle, W.; Clain, J.B.; Khorsandi, A.; Urken, M.L. Rare Tracheal Tumors and Lesions Initially Diagnosed as Isolated Differentiated Thyroid Cancers. Thyroid® 2012, 23, 79–83. [Google Scholar] [CrossRef] [PubMed]
- Kang, J.Y.; Yi, K.S.; Cha, S.H.; Choi, C.H.; Kim, Y.; Lee, J.; Son, S.M. Schwannoma of the thyroid bed: A case report and review of the literature. Medicine 2020, 99, e18814. [Google Scholar] [CrossRef]
- Ledgard, C.; Dickson, S.; Pochin, R. Surgical excision of a schwannoma mimicking a thyroid nodule. ANZ J. Surg. 2023, 93, 369–371. [Google Scholar] [CrossRef]
- Donatini, G.; Iacconi, P.; De Bartolomeis, C.; Fattori, S.; Pucci, A.; Puccini, M.; Miccoli, P. Neck lesions mimicking thyroid pathology. Langenbeck’s Arch. Surg. 2009, 394, 435–440. [Google Scholar] [CrossRef]
- De Paoli, F.; Giugliano, G.; Casadio, C.; Tredici, P.; Bruschini, R.; De Fiori, E. Schwannoma of thyroid bed. A case report and considerations on interdisciplinary collaboration. Acta Otorhinolaryngol. Ital. 2005, 25, 250–252, discussion 253–254. [Google Scholar]
- Badawi, R.A.; Scott-Coombes, D. Ancient schwannoma masquerading as a thyroid mass. Eur. J. Surg. Oncol. 2002, 28, 88–90. [Google Scholar] [CrossRef]
- Jung, C.K.; Baek, J.H.; Na, D.G.; Oh, Y.L.; Yi, K.H.; Kang, H.C. 2019 Practice guidelines for thyroid core needle biopsy: A report of the Clinical Practice Guidelines Development Committee of the Korean Thyroid Association. J. Pathol. Transl. Med. 2020, 54, 64–86. [Google Scholar] [CrossRef]
- Dolidze, D.D.; Covantsev, S.; Chechenin, G.M.; Pichugina, N.V.; Bedina, A.V.; Bumbu, A. Core needle biopsy for thyroid nodules assessment-a new horizon? World J. Clin. Oncol. 2024, 15, 580–586. [Google Scholar] [CrossRef] [PubMed]
- Ahn, D.; Lee, G.J.; Sohn, J.H.; Jeong, J.Y. Fine-needle aspiration cytology versus core-needle biopsy for the diagnosis of extracranial head and neck schwannoma. Head Neck 2018, 40, 2695–2700. [Google Scholar] [CrossRef] [PubMed]
- Guedes, F.; Henriques, V.M.; Torrão, F.L.; Haikal, N.P.; Sanches, G.E.; Barbosa, D.A.N.; Marsicano, F.G.; Rosa, L.A.N.; Siquara, A.C.; Malessy, M.J.A. When biopsy goes wrong: A case series of misdiagnoses and complications from biopsies of masses of unknown origin potentially originating from a peripheral nerve. J. Neurosurg. 2024, 140, 480–488. (In English) [Google Scholar] [CrossRef] [PubMed]
- Ijichi, K.; Kawakita, D.; Maseki, S.; Beppu, S.; Takano, G.; Murakami, S. Functional Nerve Preservation in Extracranial Head and Neck Schwannoma Surgery. JAMA Otolaryngol.–Head Neck Surg. 2016, 142, 479–483. [Google Scholar] [CrossRef]
- Agarwal, S.K.; Munjal, M.; Rai, D.; Rao, S. Malignant Transformation of Vagal Nerve Schwannoma in to Angiosarcoma: A Rare Event. J. Surg. Tech. Case Rep. 2015, 7, 17–19. [Google Scholar] [CrossRef]






| Modality | Disease | Description | Reference |
|---|---|---|---|
| USG | Schwannoma | Hypoechoic mass, regular margins, contextual anechoic areola, multiseptate hypoechoic lesion, macro- and microcalcifications. Contrast-enhanced ultrasonography may be another possibility to distinguish schwannomas; however, data are limited to several case reports. The tumour usually appears as strong, inhomogeneous enhancement both in early and in late phases. Elastography usually indicates dense stiff tissue. | [3,9,10,12,13,25,27,29,31] |
| Thyroid cancer | Hypoechoic mass, ill-defined margin, irregular shape, heterogeneity, absence of cystic lesion and/or halo sign, presence of calcification and invasion to other anatomical structures. | ||
| CT | Schwannoma | Mass that can extend to intervertebral foramen. Contrast enhancement may be helpful as thyroid gland tends to accumulate iodine contrast and may reveal separate plane between gland and tumour. | |
| Thyroid cancer | Mass with ill-defined borders, extra-thyroid extension, lymph node involvement, or invasion of surrounding structures. | ||
| MRI | Schwannoma | Solid low-intensified and high-intensified tumour by T1- and T2-weighted images, respectively; can be connected to the cervical spinal cord. MRI can delineate mass as distinct from less hyperintense thyroid and enhanced T1-weighted images and demonstrate plane of separation between lesion and thyroid gland. | |
| Thyroid cancer | Malignant nodules usually have lower apparent diffusion coefficient value and lower intensity ration on T2-weighted imaging. Similarly, invasion to adjacent structures is indication of malignancy. | ||
| Sci | Schwannoma | Cold nodule in nature or normal thyroid scan. | |
| Thyroid cancer | Cold nodule in nature or normal thyroid scan. |
Disclaimer/Publisher’s Note: The statements, opinions and data contained in all publications are solely those of the individual author(s) and contributor(s) and not of MDPI and/or the editor(s). MDPI and/or the editor(s) disclaim responsibility for any injury to people or property resulting from any ideas, methods, instructions or products referred to in the content. |
© 2024 by the authors. Licensee MDPI, Basel, Switzerland. This article is an open access article distributed under the terms and conditions of the Creative Commons Attribution (CC BY) license (https://creativecommons.org/licenses/by/4.0/).
Share and Cite
Covantsev, S.; Bumbu, A.; Sukhotko, A.; Zakurdaev, E.; Kuts, I.; Evsikov, A. Neck Schwannoma Masking as Thyroid Tumour: Into the Deep of Diagnostics and Anatomy. Diagnostics 2024, 14, 2332. https://doi.org/10.3390/diagnostics14202332
Covantsev S, Bumbu A, Sukhotko A, Zakurdaev E, Kuts I, Evsikov A. Neck Schwannoma Masking as Thyroid Tumour: Into the Deep of Diagnostics and Anatomy. Diagnostics. 2024; 14(20):2332. https://doi.org/10.3390/diagnostics14202332
Chicago/Turabian StyleCovantsev, Serghei, Anna Bumbu, Anna Sukhotko, Evghenii Zakurdaev, Ivan Kuts, and Andrey Evsikov. 2024. "Neck Schwannoma Masking as Thyroid Tumour: Into the Deep of Diagnostics and Anatomy" Diagnostics 14, no. 20: 2332. https://doi.org/10.3390/diagnostics14202332
APA StyleCovantsev, S., Bumbu, A., Sukhotko, A., Zakurdaev, E., Kuts, I., & Evsikov, A. (2024). Neck Schwannoma Masking as Thyroid Tumour: Into the Deep of Diagnostics and Anatomy. Diagnostics, 14(20), 2332. https://doi.org/10.3390/diagnostics14202332

