Virtual Reality Head-Mounted Display (HMD) and Preoperative Patient-Specific Simulation: Impact on Decision-Making in Pediatric Urology: Preliminary Data
Abstract
1. Introduction
2. Patients and Methods
2.1. Patients
2.2. CT Image Processing and 3D VR Scene Building
2.3. Preoperative Evaluation and Patient-Specific Simulation
2.4. Intraoperative Support
3. Results
3.1. Patients’ Data
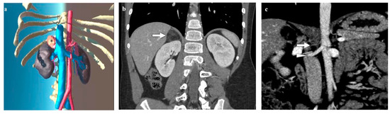
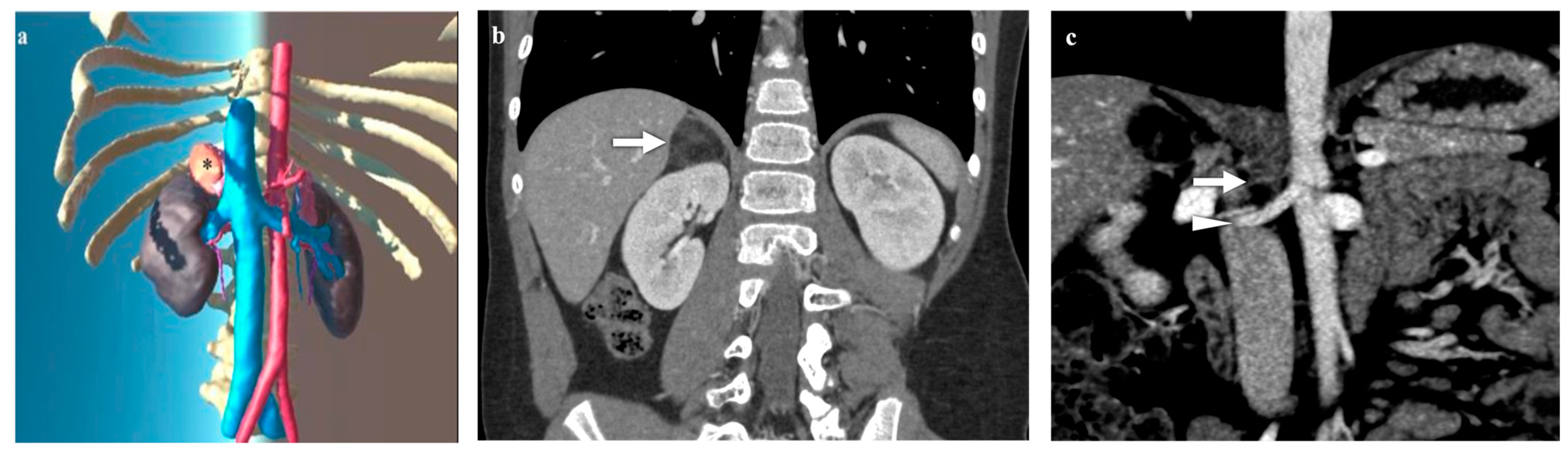
3.2. Adrenal Lesions
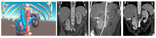
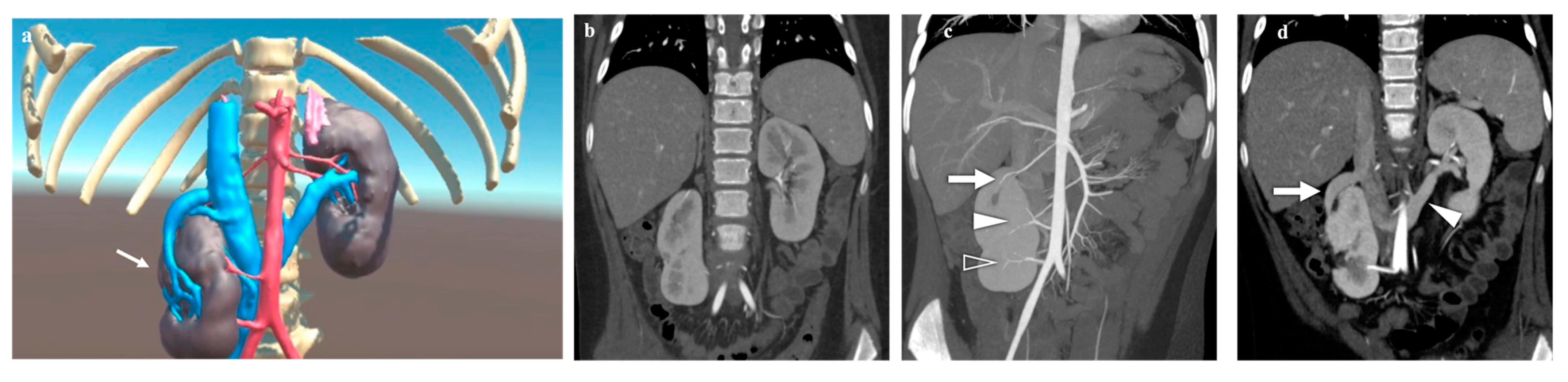
3.3. Kidney Lesions and Congenital Anomalies
4. Discussion
5. Conclusions
Author Contributions
Funding
Institutional Review Board Statement
Informed Consent Statement
Data Availability Statement
Conflicts of Interest
References
- Börnert, P.; Norris, D.G. A half-century of innovation in technology—Preparing MRI for the 21st century. Br. J. Radiol. 2020, 93, 20200113. [Google Scholar] [CrossRef]
- Kabasawa, H. MR Imaging in the 21st Century: Technical Innovation over the First Two Decades. Magn. Reson. Med. Sci. 2022, 21, 71–82. [Google Scholar] [CrossRef] [PubMed]
- Fujihara, A.; Ukimura, O. Virtual reality of three-dimensional surgical field for surgical planning and intraoperative management. World J. Urol. 2022, 40, 687–696. [Google Scholar] [CrossRef] [PubMed]
- Kouijzer, M.M.T.E.; Kip, H.; Bouman, Y.H.A.; Kelders, S.M. Implementation of virtual reality in healthcare: A scoping review on the implementation process of virtual reality in various healthcare settings. Implement. Sci. Commun. 2023, 4, 67. [Google Scholar] [CrossRef]
- Piramide, F.; Kowalewski, K.-F.; Cacciamani, G.; Belenchon, I.R.; Taratkin, M.; Carbonara, U.; Marchioni, M.; De Groote, R.; Knipper, S.; Pecoraro, A.; et al. Three–dimensional Model–assisted Minimally Invasive Partial Nephrectomy: A Systematic Review with Meta–analysis of Comparative Studies. Eur. Urol. Oncol. 2022, 5, 640–650. [Google Scholar] [CrossRef] [PubMed]
- Amparore, D.; Pecoraro, A.; Checcucci, E.; DE Cillis, S.; Piramide, F.; Volpi, G.; Piana, A.; Verri, P.; Granato, S.; Sica, M.; et al. 3D imaging technologies in minimally invasive kidney and prostate cancer surgery: Which is the urologists’ perception? Minerva Urol. Nephrol. 2022, 74, 178–185. [Google Scholar] [CrossRef] [PubMed]
- Amparore, D.; Piramide, F.; De Cillis, S.; Verri, P.; Piana, A.; Pecoraro, A.; Burgio, M.; Manfredi, M.; Carbonara, U.; Marchioni, M.; et al. Robotic partial nephrectomy in 3D virtual reconstructions era: Is the paradigm changed? World J. Urol. 2022, 40, 659–670. [Google Scholar] [CrossRef] [PubMed]
- Robertson, D.J.; Abramson, Z.R.; Davidoff, A.M.; Bramlet, M.T. Virtual reality applications in pediatric surgery. Semin. Pediatr. Surg. 2024, 33, 151387. [Google Scholar] [CrossRef] [PubMed]
- Pelizzo, G.; Costanzo, S.; Roveri, M.; Lanfranchi, G.; Vertemati, M.; Milani, P.; Zuccotti, G.; Cassin, S.; Panfili, S.; Rizzetto, F.; et al. Developing Virtual Reality Head Mounted Display (HMD) Set-Up for Thoracoscopic Surgery of Complex Congenital Lung MalFormations in Children. Children 2022, 9, 50. [Google Scholar] [CrossRef]
- Vertemati, M.; Cassin, S.; Rizzetto, F.; Vanzulli, A.; Elli, M.; Sampogna, G.; Gallieni, M. A Virtual Reality Environment to Visualize Three-Dimensional Patient-Specific Models by a Mobile Head-Mounted Display. Surg. Innov. 2019, 26, 359–370. [Google Scholar] [CrossRef]
- Long, C.J.; Mittal, S.; Kolon, T.F. Expanding the Use of Nephron-Sparing Surgery for Wilms Tumor. J. Natl. Compr. Cancer Netw. 2022, 20, 540–546. [Google Scholar] [CrossRef] [PubMed]
- Murphy, A.J.; Davidoff, A.M. Nephron-sparing surgery for Wilms tumor. Front. Pediatr. 2023, 11, 1122390. [Google Scholar] [CrossRef]
- Berg, R.N.W.V.; Bierman, E.N.; Van Noord, M.; Rice, H.E.; Routh, J.C. Nephron-sparing surgery for Wilms tumor: A systematic review. Urol. Oncol. Semin. Orig. Investig. 2016, 34, 24–32. [Google Scholar] [CrossRef]
- Spreafico, F.; Fernandez, C.V.; Brok, J.; Nakata, K.; Vujanic, G.; Geller, J.I.; Gessler, M.; Maschietto, M.; Behjati, S.; Polanco, A.; et al. Wilms tumour. Nat. Rev. Dis. Prim. 2021, 7, 75. [Google Scholar] [CrossRef] [PubMed]
- Gauhar, V.; Giulioni, C.; Gadzhiev, N.; De Stefano, V.; Teoh, J.Y.-C.; Tiong, H.Y.; Taguchi, K.; Milanese, G.; Galosi, A.B.; Somani, B.K.; et al. An Update of In Vivo Application of Artificial Intelligence and Robotics for Percutaneous Nephrolithotripsy: Results from a Systematic Review. Curr. Urol. Rep. 2023, 24, 271–280. [Google Scholar] [CrossRef] [PubMed]
- De Backer, P.; Van Praet, C.; Simoens, J.; Lores, M.P.; Creemers, H.; Mestdagh, K.; Allaeys, C.; Vermijs, S.; Piazza, P.; Mottaran, A.; et al. Improving Augmented Reality Through Deep Learning: Real-time Instrument Delineation in Robotic Renal Surgery. Eur. Urol. 2023, 84, 86–91. [Google Scholar] [CrossRef]
- Khaddad, A.; Bernhard, J.-C.; Margue, G.; Michiels, C.; Ricard, S.; Chandelon, K.; Bladou, F.; Bourdel, N.; Bartoli, A. A survey of augmented reality methods to guide minimally invasive partial nephrectomy. World J. Urol. 2022, 41, 335–343. [Google Scholar] [CrossRef]
- Sparwasser, P.; Haack, M.; Frey, L.; Haferkamp, A.; Borgmann, H. Virtual und Augmented Reality in der Urologie. Der Urol. 2022, 61, 133–141. [Google Scholar] [CrossRef] [PubMed]
- Wang, S.; Frisbie, J.; Keepers, Z.; Bolten, Z.; Hevaganinge, A.; Boctor, E.; Leonard, S.; Tokuda, J.; Krieger, A.; Siddiqui, M.M. The Use of Three-dimensional Visualization Techniques for Prostate Procedures: A Systematic Review. Eur. Urol. Focus 2021, 7, 1274–1286. [Google Scholar] [CrossRef]
- Checcucci, E.; Piazza, P.; Micali, S.; Ghazi, A.; Mottrie, A.; Porpiglia, F.; Puliatti, S. Three-dimensional Model Reconstruction: The Need for Standardization to Drive Tailored Surgery. Eur. Urol. 2022, 81, 129–131. [Google Scholar] [CrossRef]
- McDonald, M.; Shirk, J.D. Application of Three-Dimensional Virtual Reality Models to Improve the Pre-Surgical Plan for Robotic Partial Nephrectomy. JSLS J. Soc. Laparosc. Robot. Surg. 2021, 25, e2021. 00011. [Google Scholar] [CrossRef]
- Fitski, M.; Meulstee, J.W.; Littooij, A.S.; Van de Ven, C.P.; Van der Steeg, A.F.W.; Wijnen, M.H.W.A. MRI-Based 3-Dimensional Visualization Workflow for the Preoperative Planning of Nephron-Sparing Surgery in Wilms’ Tumor Surgery: A Pilot Study. J. Healthc. Eng. 2020, 2020, 1–6. [Google Scholar] [CrossRef]
- Wellens, L.M.; Meulstee, J.; Van de Ven, C.P.; Van Scheltinga, C.E.J.T.; Littooij, A.S.; Van Den Heuvel-Eibrink, M.M.; Fiocco, M.; Rios, A.C.; Maal, T.; Wijnen, M.H.W.A. Comparison of 3-Dimensional and Augmented Reality Kidney Models With Conventional Imaging Data in the Preoperative Assessment of Children With Wilms Tumors. JAMA Netw. Open 2019, 2, e192633. [Google Scholar] [CrossRef] [PubMed]
- Martos-Moreno, G.A.; Pozo-Román, J.; Argente, J. Tumores suprarrenales en la infancia. An. Pediatría 2013, 79, 187.e1–187.e16. [Google Scholar] [CrossRef] [PubMed]
- Kawano, T.; Souzaki, R.; Sumida, W.; Ishimaru, T.; Fujishiro, J.; Hishiki, T.; Kinoshita, Y.; Kawashima, H.; Uchida, H.; Tajiri, T.; et al. Laparoscopic approach for abdominal neuroblastoma in Japan: Results from nationwide multicenter survey. Surg. Endosc. 2022, 36, 3028–3038. [Google Scholar] [CrossRef]
- Nataraja, R.M.; Webb, N.; Lopez, P.-J. Simulation in paediatric urology and surgery. Part 1: An overview of educational theory. J. Pediatr. Urol. 2018, 14, 120–124. [Google Scholar] [CrossRef]





| Patient | Gender | Age | Lesion | Side |
|---|---|---|---|---|
| Case n. 1 | Female | 4 years | Neuroblastoma | Left |
| Case n. 2 | Male | 7 years | Adrenal myelolipoma | Right |
| Case n. 3 | Male | 9 years | Ganglioneuroblastoma | Right |
| Case n. 4 | Female | 3 years | Nephroblastomatosis | Bilateral |
| Case n. 5 | Male | 3 months | Wilms’ tumor | Right |
| Case n. 6 | Female | 10 years | Ptotic and hypodysplastic kidney | Right |
| Anatomical Structures | Computed Tomography (CT) Scans | Virtual Reality (VR) Navigation Systems |
|---|---|---|
| Adrenal gland vasculature |
|
|
| Kidney hilum |
|
|
| Kidney parenchyma |
|
|
| Advantages | Debatable Values |
|---|---|
| Improved precision in identifying vascular anatomy and detecting variants. | Variable accuracy in identifying the vascular supply of the calyces and renal pelvis. |
| High precision in the orientation of arteries and veins to the parenchyma. | |
| High accuracy in depth perception. |
Disclaimer/Publisher’s Note: The statements, opinions and data contained in all publications are solely those of the individual author(s) and contributor(s) and not of MDPI and/or the editor(s). MDPI and/or the editor(s) disclaim responsibility for any injury to people or property resulting from any ideas, methods, instructions or products referred to in the content. |
© 2024 by the authors. Licensee MDPI, Basel, Switzerland. This article is an open access article distributed under the terms and conditions of the Creative Commons Attribution (CC BY) license (https://creativecommons.org/licenses/by/4.0/).
Share and Cite
Lanfranchi, G.; Costanzo, S.; Selvaggio, G.G.O.; Gallotta, C.; Milani, P.; Rizzetto, F.; Musitelli, A.; Vertemati, M.; Santaniello, T.; Campari, A.; et al. Virtual Reality Head-Mounted Display (HMD) and Preoperative Patient-Specific Simulation: Impact on Decision-Making in Pediatric Urology: Preliminary Data. Diagnostics 2024, 14, 1647. https://doi.org/10.3390/diagnostics14151647
Lanfranchi G, Costanzo S, Selvaggio GGO, Gallotta C, Milani P, Rizzetto F, Musitelli A, Vertemati M, Santaniello T, Campari A, et al. Virtual Reality Head-Mounted Display (HMD) and Preoperative Patient-Specific Simulation: Impact on Decision-Making in Pediatric Urology: Preliminary Data. Diagnostics. 2024; 14(15):1647. https://doi.org/10.3390/diagnostics14151647
Chicago/Turabian StyleLanfranchi, Giulia, Sara Costanzo, Giorgio Giuseppe Orlando Selvaggio, Cristina Gallotta, Paolo Milani, Francesco Rizzetto, Alessia Musitelli, Maurizio Vertemati, Tommaso Santaniello, Alessandro Campari, and et al. 2024. "Virtual Reality Head-Mounted Display (HMD) and Preoperative Patient-Specific Simulation: Impact on Decision-Making in Pediatric Urology: Preliminary Data" Diagnostics 14, no. 15: 1647. https://doi.org/10.3390/diagnostics14151647
APA StyleLanfranchi, G., Costanzo, S., Selvaggio, G. G. O., Gallotta, C., Milani, P., Rizzetto, F., Musitelli, A., Vertemati, M., Santaniello, T., Campari, A., Paraboschi, I., Camporesi, A., Marinaro, M., Calcaterra, V., Pierucci, U. M., & Pelizzo, G. (2024). Virtual Reality Head-Mounted Display (HMD) and Preoperative Patient-Specific Simulation: Impact on Decision-Making in Pediatric Urology: Preliminary Data. Diagnostics, 14(15), 1647. https://doi.org/10.3390/diagnostics14151647

