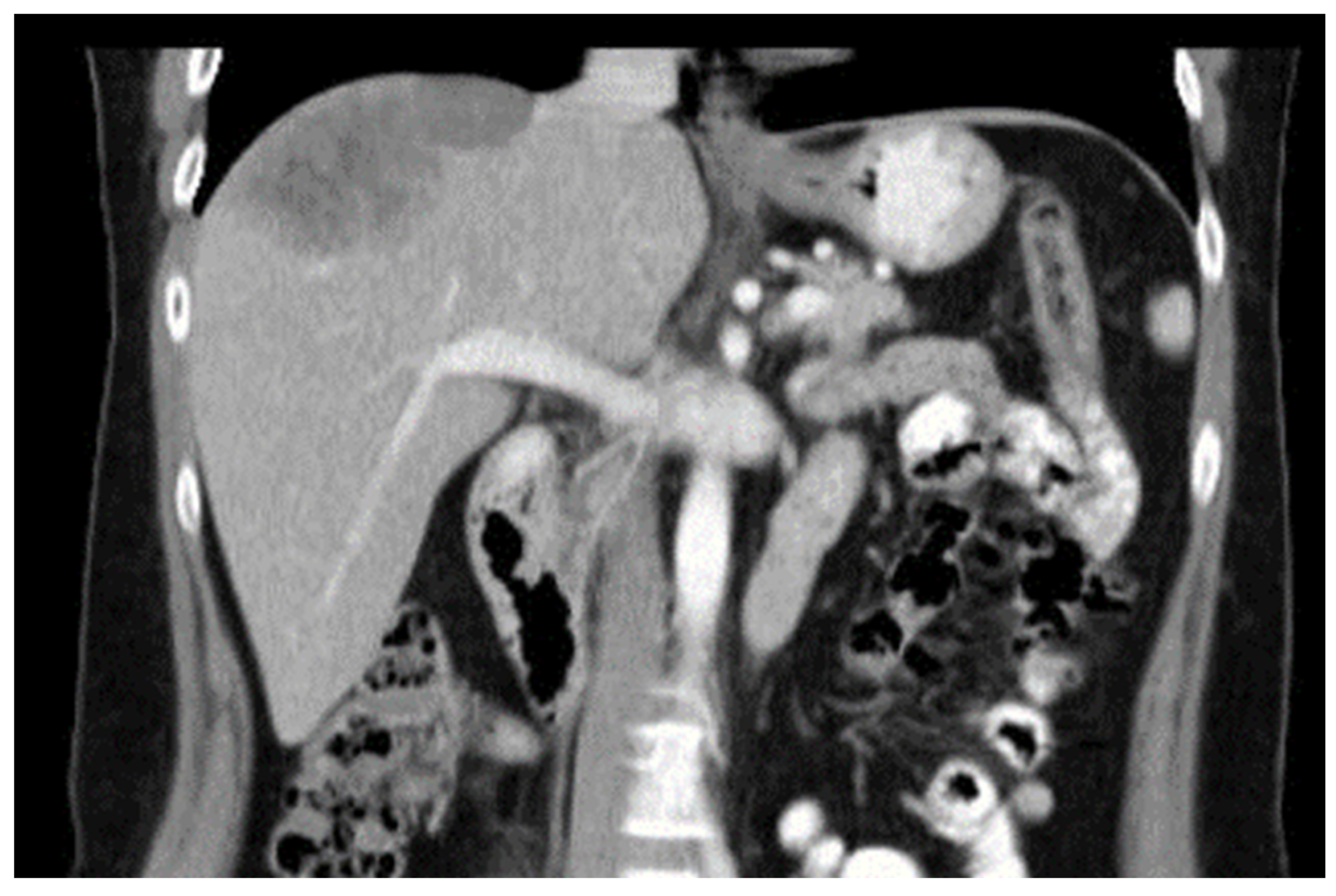
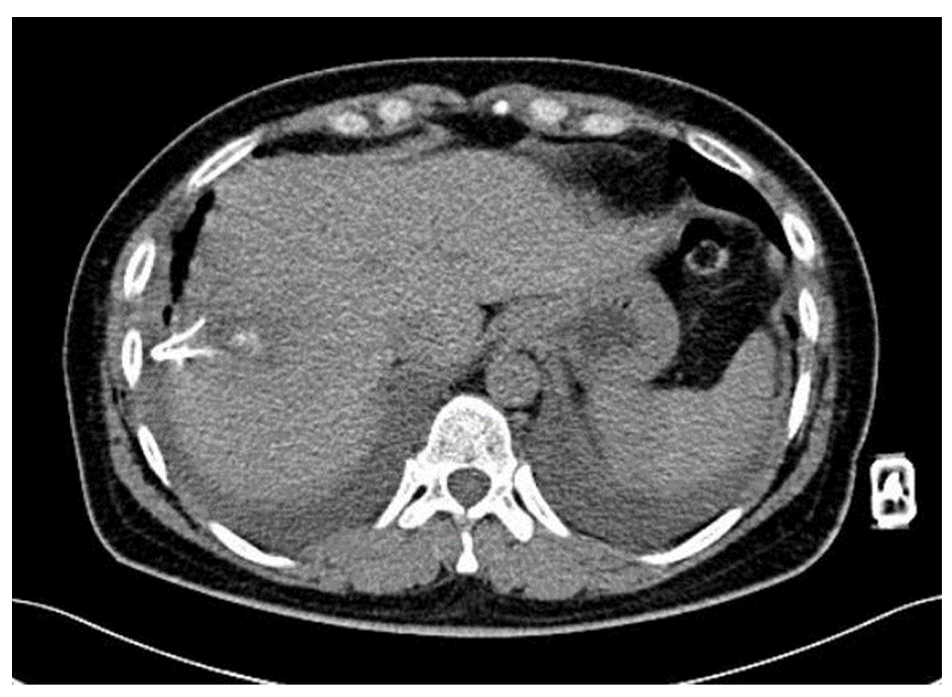
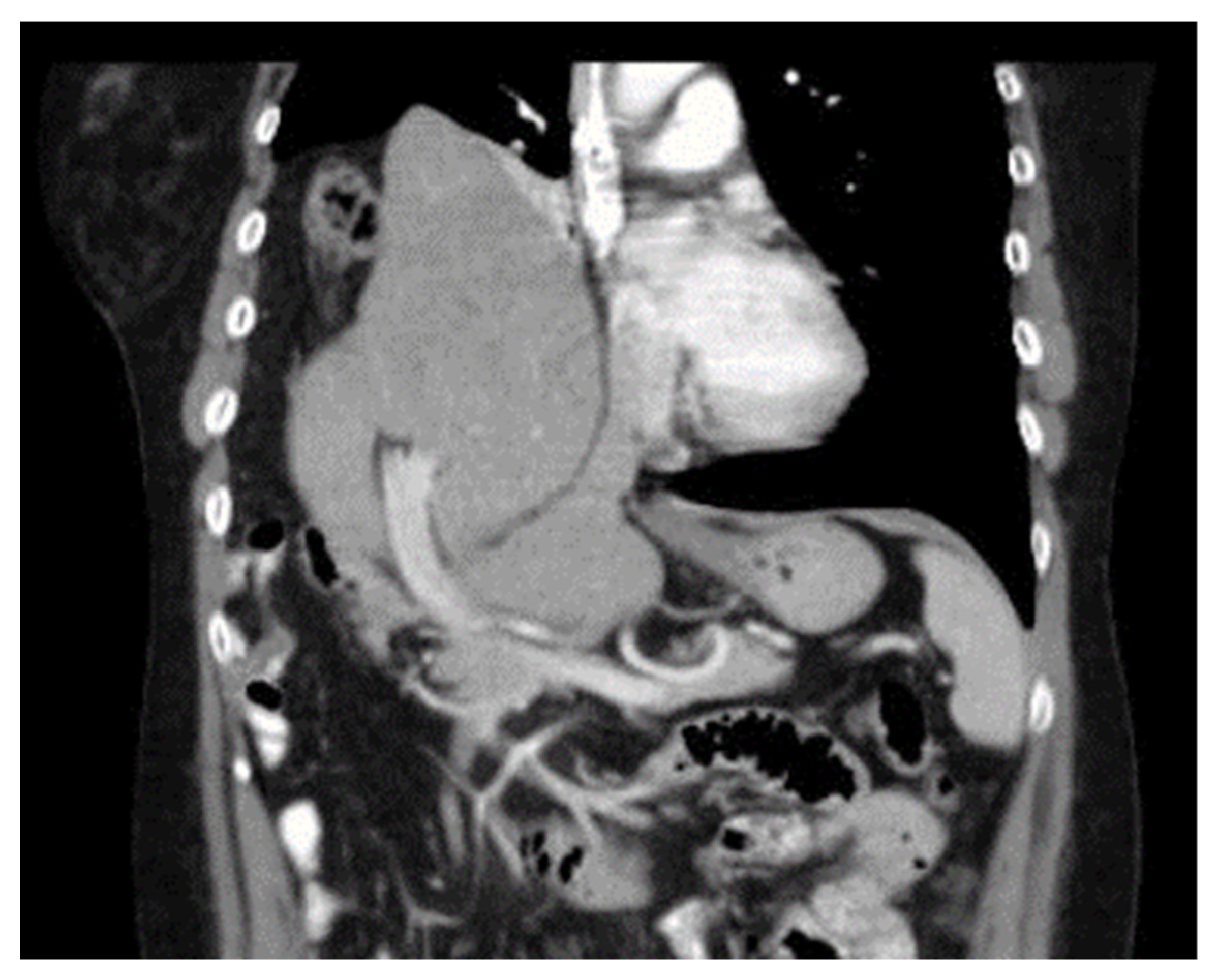
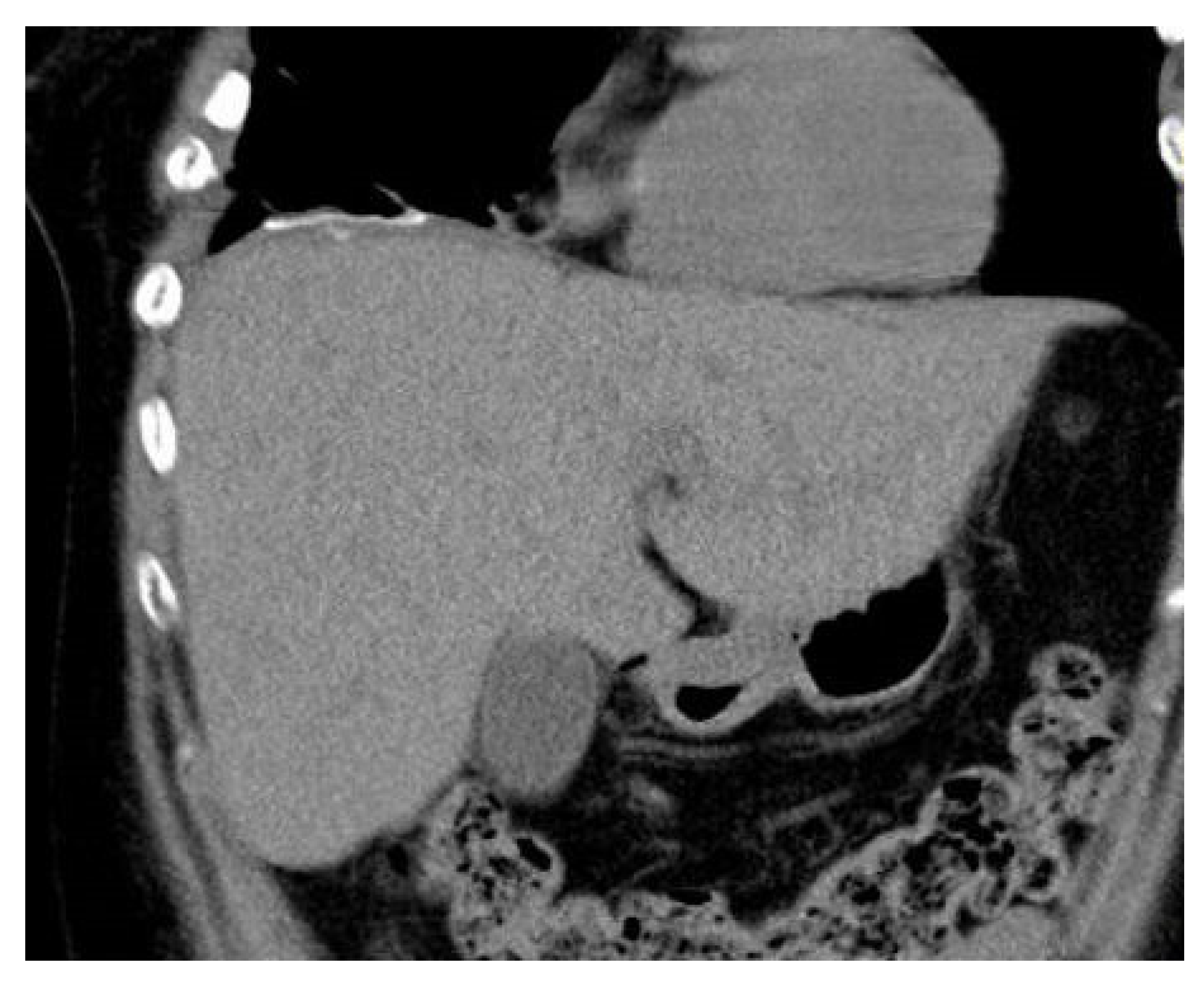
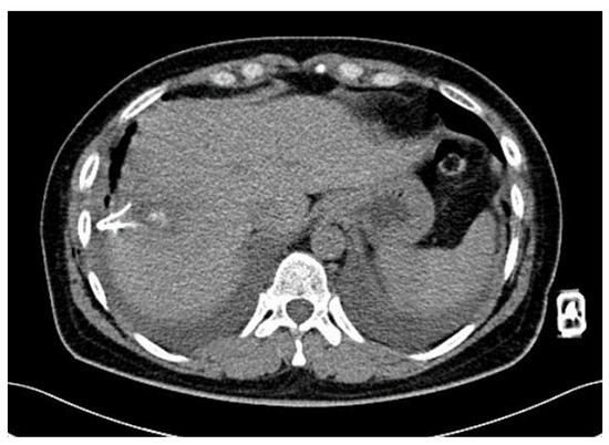
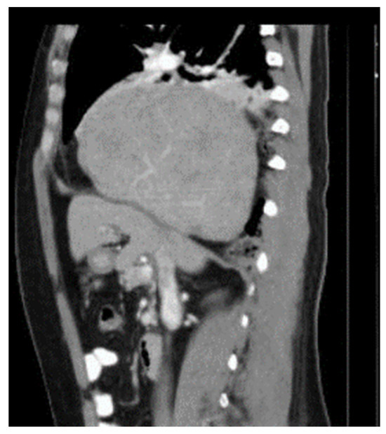
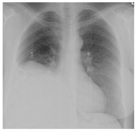
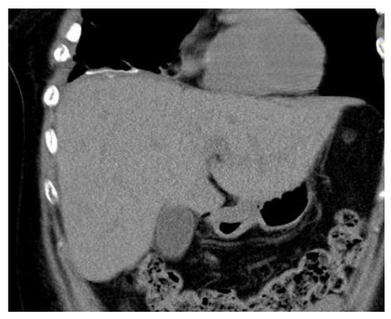
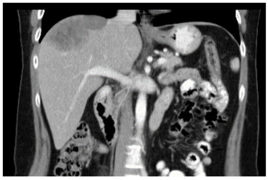
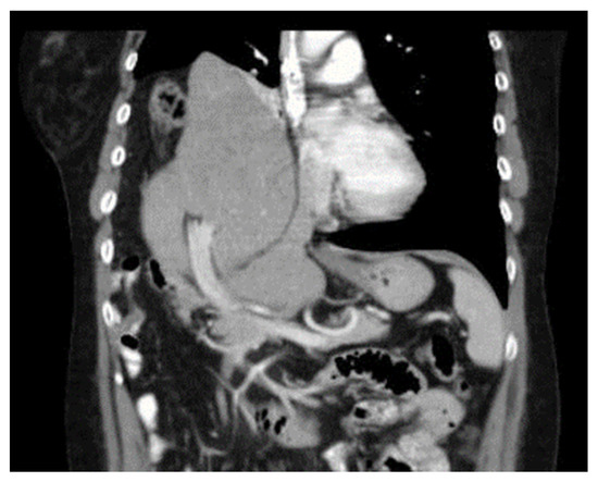
Diaphragmatic Liver Herniation after Radiofrequency Ablation of a Secondary Liver Tumor
Abstract
:- –
- Careful patient selection;
- –
- Combination of RFA with other techniques (if possible);
- –
- Selection of guiding modality and anatomical approach;
- –
- Early detection and appropriate management of complications;
- –
- A multidisciplinary approach is a condition sine qua non in case of complications.
Author Contributions
Funding
Institutional Review Board Statement
Informed Consent Statement
Data Availability Statement
Conflicts of Interest
References
- Rhim, H.; Dodd, G.D., 3rd; Chintapalli, K.N.; Wood, B.J.; Dupuy, D.E.; Hvizda, J.L.; Sewell, P.E.; Goldberg, S.N. Radiofrequency Thermal Ablation of Abdominal Tumors: Lessons Learned from Complications. RadioGraphics 2004, 24, 41–52. [Google Scholar] [CrossRef] [PubMed]
- Rhim, H. Complications of radiofrequency ablation in hepatocellular carcinoma. Abdom. Imaging 2005, 30, 409–418. [Google Scholar] [CrossRef] [PubMed]
- Rhim, H.W.; Dodd, G.D., 3rd; Dalrymple, N.C.; Prasad, S.R.; El-Merhi, F.M.; Freckleton, M.W.; Hubbard, L.G. Percutaneous Radiofrequency Ablation of Hepatic Tumors against the Diaphragm: Frequency of Diaphragmatic Injury. Radiology 2007, 243, 877–884. [Google Scholar]
- Mulier, S.; Mulier, P.; Ni, Y.; Miao, Y.; Dupas, B.; Marchal, G.; De Wever, I.; Michel, L. Complications of radiofrequency coagulation of liver tumors. Br. J. Surg. 2002, 89, 1206–1222. [Google Scholar] [CrossRef] [PubMed]
- Wood, T.F.; Rose, M.; Chung, M. Radiofrequency Ablation of 231 Unresectable Hepatic Tumors: Indications, Limitations and Complications. Ann. Surg. Oncol. 2000, 7, 593–600. [Google Scholar] [CrossRef] [PubMed]
- Poggi, G.; Riccardi, A.; Quaretti, P.; Teragni, C.; Delmonte, A.; Amatu, A.; Saini, G.; Mazzucco, M.; Bernardo, A.; Palumbo, R.; et al. Complications of Percutaneous Radiofrequency Thermal Ablation of Primary and Secondary Lesions of the Liver. Anticancer Res. 2007, 27, 2911–2916. [Google Scholar] [PubMed]
- Rhim, H.; Yoon, K.-H.; Lee, J.M.; Cho, Y.; Cho, J.-S.; Kim, S.H.; Lee, W.-J.; Lim, H.K.; Nam, G.-J.; Han, S.-S.; et al. Major Complications after Radio-frequency Thermal Ablation of Hepatic Tumors: Spectrum of Imaging Findings. RadioGraphics 2003, 23, 123–134. [Google Scholar] [CrossRef] [PubMed]
- Koda, M.; Ueki, M.; Maeda, N.; Murawaki, Y. Diaphragmatic Perforation and Hernia After Hepatic Radiofrequency Ablation. Am. J. Roentgenol. 2003, 180, 1561–1562. [Google Scholar] [CrossRef] [PubMed]
- Shibuya, A.; Nakazawa, T.; Saigenji, K.; Furuta, K.; Matsunaga, K. Diaphragmatic Hernia after Radiofrequency Ablation Therapy for Hepatocellular Carcinoma. Am. J. Roentgenol. 2006, 186, 241–243. [Google Scholar] [CrossRef] [PubMed]
- Mori, T.; Kawanaka, K.; Ohba, Y.; Shiraishi, K.; Iwatani, K.; Yoshimoto, K.; Yamashita, Y. Diaphragm Perforation after Radio-Frequency Ablation for Metastatic Lung Cancer. Ann. Thorac. Cardiovasc. Surg. 2010, 16, 426–428. [Google Scholar] [PubMed]








Disclaimer/Publisher’s Note: The statements, opinions and data contained in all publications are solely those of the individual author(s) and contributor(s) and not of MDPI and/or the editor(s). MDPI and/or the editor(s) disclaim responsibility for any injury to people or property resulting from any ideas, methods, instructions or products referred to in the content. |
© 2023 by the authors. Licensee MDPI, Basel, Switzerland. This article is an open access article distributed under the terms and conditions of the Creative Commons Attribution (CC BY) license (https://creativecommons.org/licenses/by/4.0/).
Share and Cite
Hoskovec, D.; Hořejš, J.; Krška, Z.; Argalácsová, S.; Klobušický, P. Diaphragmatic Liver Herniation after Radiofrequency Ablation of a Secondary Liver Tumor. Diagnostics 2024, 14, 26. https://doi.org/10.3390/diagnostics14010026
Hoskovec D, Hořejš J, Krška Z, Argalácsová S, Klobušický P. Diaphragmatic Liver Herniation after Radiofrequency Ablation of a Secondary Liver Tumor. Diagnostics. 2024; 14(1):26. https://doi.org/10.3390/diagnostics14010026
Chicago/Turabian StyleHoskovec, David, Josef Hořejš, Zdeněk Krška, Soňa Argalácsová, and Pavol Klobušický. 2024. "Diaphragmatic Liver Herniation after Radiofrequency Ablation of a Secondary Liver Tumor" Diagnostics 14, no. 1: 26. https://doi.org/10.3390/diagnostics14010026
APA StyleHoskovec, D., Hořejš, J., Krška, Z., Argalácsová, S., & Klobušický, P. (2024). Diaphragmatic Liver Herniation after Radiofrequency Ablation of a Secondary Liver Tumor. Diagnostics, 14(1), 26. https://doi.org/10.3390/diagnostics14010026

