Fetal Hyperthyroidism with Maternal Hypothyroidism: Two Cases of Intrauterine Therapy
Abstract
1. Introduction
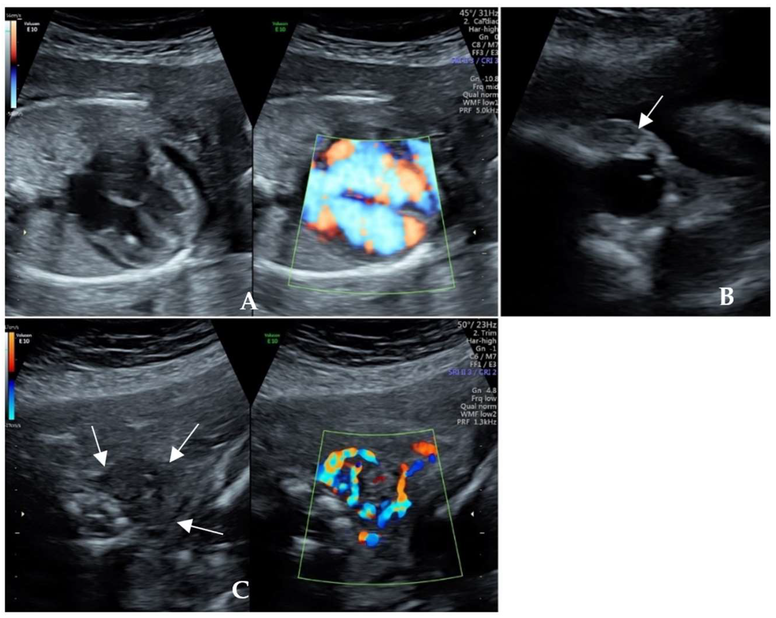
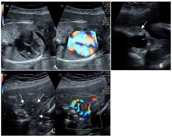
2. Case Presentation
3. Discussion
4. Conclusions
Author Contributions
Funding
Institutional Review Board Statement
Informed Consent Statement
Data Availability Statement
Acknowledgments
Conflicts of Interest
References
- Kiefer, F.W.; Klebermass-Schrehof, K.; Steiner, M.; Worda, C.; Kasprian, G.; Diana, T.; Kahaly, G.J.; Gessl, A. Fetal/Neonatal Thyrotoxicosis in a Newborn from a Hypothyroid Woman with Hashimoto Thyroiditis. J. Clin. Endocrinol. Metab. 2017, 102, 6–9. [Google Scholar] [CrossRef] [PubMed]
- Krassas, G.E.; Poppe, K.; Glinoer, D. Thyroid Function and Human Reproductive Health. Endocr. Rev. 2010, 31, 702–755. [Google Scholar] [CrossRef]
- Fan, J.; Zhang, Y.; Zhang, C.; Barjaktarovic, M.; Yang, X.; Peeters, R.P.; Huang, H.F.; Korevaar, T.I.M. Persistency of Thyroid Dysfunction from Early to Late Pregnancy. Thyroid 2019, 29, 1475–1484. [Google Scholar] [CrossRef]
- Ramsay, I.; Kaur, S.; Krassas, G. Thyrotoxicosis in Pregnancy: Results of Treatment by Antithyroid Drugs Combined with T4. Clin. Endocrinol. 1983, 18, 73–85. [Google Scholar] [CrossRef]
- McKenzie, J.M.; Zakarija, M. Fetal and Neonatal Hyperthyroidism and Hypothyroidism Due to Maternal TSH Receptor Antibodies. Thyroid 1992, 2, 155–159. [Google Scholar] [CrossRef]
- Abalovich, M.; Amino, N.; Barbour, L.A.; Cobin, R.H.; De Groot, L.J.; Glinoer, D.; Mandel, S.J.; Stagnaro-Green, A. Management of Thyroid Dysfunction during Pregnancy and Postpartum: An Endocrine Society Clinical Practice Guideline. J. Clin. Endocrinol. Metab. 2007, 92, S1–S47. [Google Scholar] [CrossRef]
- Alexander, E.K.; Pearce, E.N.; Brent, G.A.; Brown, R.S.; Chen, H.; Dosiou, C.; Grobman, W.A.; Laurberg, P.; Lazarus, J.H.; Mandel, S.J.; et al. 2017 Guidelines of the American Thyroid Association for the Diagnosis and Management of Thyroid Disease during Pregnancy and the Postpartum. Thyroid 2017, 27, 315–389. [Google Scholar] [CrossRef]
- Wallace, C.; Couch, R.; Ginsberg, J. Fetal Thyrotoxicosis: A Case Report and Recommendations for Prediction, Diagnosis, and Treatment. Thyroid 1995, 5, 125–128. [Google Scholar] [CrossRef]
- Srisupundit, K.; Sirichotiyakul, S.; Tongprasert, F.; Luewan, S.; Tongsong, T. Fetal Therapy in Fetal Thyrotoxicosis: A Case Report. Fetal Diagn. Ther. 2008, 23, 114–116. [Google Scholar] [CrossRef]
- Sato, Y.; Murata, M.; Sasahara, J.; Hayashi, S.; Ishii, K.; Mitsuda, N. A Case of Fetal Hyperthyroidism Treated with Maternal Administration of Methimazole. J. Perinatol. 2014, 34, 945–947. [Google Scholar] [CrossRef] [PubMed]
- Ogilvy-Stuart, A.L. Neonatal Thyroid Disorders. Arch. Dis. Child Fetal Neonatal Ed. 2002, 87, F165–F171. [Google Scholar] [CrossRef]
- Polak, M.; Le Gac, I.; Vuillard, E.; Guibourdenche, J.; Leger, J.; Toubert, M.-E.; Madec, A.-M.; Oury, J.-F.; Czernichow, P.; Luton, D. Fetal and Neonatal Thyroid Function in Relation to Maternal Graves’ Disease. Best Pr. Res. Clin. Endocrinol. Metab. 2004, 18, 289–302. [Google Scholar] [CrossRef]
- De Felice, M.; Di Lauro, R. Thyroid Development and Its Disorders: Genetics and Molecular Mechanisms. Endocr. Rev. 2004, 25, 722–746. [Google Scholar] [CrossRef]
- Polak, M.; Sura-Trueba, S.; Chauty, A.; Szinnai, G.; Carré, A.; Castanet, M. Molecular Mechanisms of Thyroid Dysgenesis. Horm. Res. 2004, 62 (Suppl. S3), 14–21. [Google Scholar] [CrossRef]
- Léger, J.; Delcour, C.; Carel, J.C. Fetal and Neonatal Thyroid Dysfunction. J. Clin. Endocrinol. Metab. 2022, 107, 836–846. [Google Scholar] [CrossRef]
- Polak, M.; Legac, I.; Vuillard, E.; Guibourdenche, J.; Castanet, M.; Luton, D. Congenital Hyperthyroidism: The Fetus as a Patient. Horm. Res. 2006, 65, 235–242. [Google Scholar] [CrossRef]
- Kester, M.H.A.; Martinez De Mena, R.; Obregon, M.J.; Marinkovic, D.; Howatson, A.; Visser, T.J.; Hume, R.; Morreale De Escobar, G. Iodothyronine Levels in the Human Developing Brain: Major Regulatory Roles of Iodothyronine Deiodinases in Different Areas. J. Clin. Endocrinol. Metab. 2004, 89, 3117–3128. [Google Scholar] [CrossRef]
- Péter, F.; Muzsnai, A. Congenital Disorders of the Thyroid: Hypo/Hyper. Pediatr. Clin. N. Am. 2011, 58, 1099–1115. [Google Scholar] [CrossRef]
- Chapman, A.K.; Farmer, Z.J.; Mastrandrea, L.D.; Matlock, K.A. Neonatal Thyroid Function and Disorders. Clin. Obs. Gynecol. 2019, 62, 373–387. [Google Scholar] [CrossRef]
- Eng, L.; Lam, L. Thyroid Function during the Fetal and Neonatal Periods. Neoreviews 2020, 21, e30–e36. [Google Scholar] [CrossRef]
- Kratzsch, J.; Pulzer, F. Thyroid Gland Development and Defects. Best Pr. Res. Clin. Endocrinol. Metab. 2008, 22, 57–75. [Google Scholar] [CrossRef]
- Burrow, G.N.; Fisher, D.A.; Larsen, P.R. Maternal and Fetal Thyroid Function. N. Engl. J. Med. 1994, 331, 1072–1078. [Google Scholar] [CrossRef]
- Kamijo, K. TSH-Receptor Antibodies Determined by the First, Second and Third Generation Assays and Thyroid-Stimulating Antibody in Pregnant Patients with Graves’ Disease. Endocr. J. 2007, 54, 619–624. [Google Scholar] [CrossRef]
- Simister, N.E. Placental Transport of Immunoglobulin G. Vaccine 2003, 21, 3365–3369. [Google Scholar] [CrossRef]
- Kurtoğlu, S.; Özdemir, A. Fetal Neonatal Hyperthyroidism: Diagnostic and Therapeutic Approachment. Turk. Pediatri. Ars. 2017, 52, 1–9. [Google Scholar] [CrossRef]
- Samuels, S.L.; Namoc, S.M.; Bauer, A.J. Neonatal Thyrotoxicosis. Clin. Perinatol. 2018, 45, 31–40. [Google Scholar] [CrossRef]
- Zhang, Q.-Y.; Liu, W.; Li, L.; Du, W.-H.; Zuo, C.-L.; Ye, X.-P.; Zhou, Z.; Yuan, F.-F.; Ma, Y.-R.; Sun, F.; et al. Genetic Study in a Large Cohort Supported Different Pathogenesis of Graves’ Disease and Hashimoto’s Hypothyroidism. J. Clin. Endocrinol. Metab. 2020, 105, e2600–e2608. [Google Scholar] [CrossRef]
- Takamura, Y.; Nakano, K.; Uruno, T.; Ito, Y.; Miya, A.; Kobayashi, K.; Yokozawa, T.; Matsuzuka, F.; Kuma, K.; Miyauchi, A. Changes in Serum TSH Receptor Antibody (TRAb) Values in Patients with Graves’ Disease after Total or Subtotal Thyroidectomy. Endocr. J. 2003, 50, 595–601. [Google Scholar] [CrossRef]
- Ross, D.S.; Burch, H.B.; Cooper, D.S.; Greenlee, M.C.; Laurberg, P.; Maia, A.L.; Rivkees, S.A.; Samuels, M.; Sosa, J.A.; Stan, M.N.; et al. 2016 American Thyroid Association Guidelines for Diagnosis and Management of Hyperthyroidism and Other Causes of Thyrotoxicosis. Thyroid 2016, 26, 1343–1421. [Google Scholar] [CrossRef]
- van Dijk, M.M.; Smits, I.H.; Fliers, E.; Bisschop, P.H. Maternal Thyrotropin Receptor Antibody Concentration and the Risk of Fetal and Neonatal Thyrotoxicosis: A Systematic Review. Thyroid 2018, 28, 257–264. [Google Scholar] [CrossRef]
- Zakarija, M.; McKenzie, J.M. Pregnancy-Associated Changes in the Thyroid-Stimulating Antibody of Graves’ Disease and the Relationship to Neonatal Hyperthyroidism. J. Clin. Endocrinol. Metab. 1983, 57, 1036–1040. [Google Scholar] [CrossRef]
- Luton, D.; Le Gac, I.; Vuillard, E.; Castanet, M.; Guibourdenche, J.; Noel, M.; Toubert, M.E.; Léger, J.; Boissinot, C.; Schlageter, M.H.; et al. Management of Graves’ Disease during Pregnancy: The Key Role of Fetal Thyroid Gland Monitoring. J. Clin. Endocrinol. Metab. 2005, 90, 6093–6098. [Google Scholar] [CrossRef]
- Bliddal, S.; Rasmussen, A.K.; Sundberg, K.; Brocks, V.; Feldt-Rasmussen, U. Antithyroid Drug-Induced Fetal Goitrous Hypothyroidism. Nat. Rev. Endocrinol. 2011, 7, 396–406. [Google Scholar] [CrossRef]
- Corral, E.; Reascos, M.; Preiss, Y.; Rompel, S.M.; Sepulveda, W. Treatment of Fetal Goitrous Hypothyroidism: Value of Direct Intramuscular L-Thyroxine Therapy. Prenat. Diagn. 2010, 30, 899–901. [Google Scholar] [CrossRef]
- Huel, C.; Guibourdenche, J.; Vuillard, E.; Ouahba, J.; Piketty, M.; Oury, J.F.; Luton, D. Use of Ultrasound to Distinguish between Fetal Hyperthyroidism and Hypothyroidism on Discovery of a Goiter. Ultrasound Obstet. Gynecol. 2009, 33, 412–420. [Google Scholar] [CrossRef]
- Ranzini, A.C.; Ananth, C.V.; Smulian, J.C.; Kung, M.; Limbachia, A.; Vintzileos, A.M. Ultrasonography of the Fetal Thyroid: Nomograms Based on Biparietal Diameter and Gestational Age. J. Ultrasound Med. 2001, 20, 613–617. [Google Scholar] [CrossRef]
- Goldstein, I.; Lockwood, C.; Belanger, K.; Hobbins, J. Ultrasonographic Assessment of Gestational Age with the Distal Femoral and Proximal Tibial Ossification Centers in the Third Trimester. Am. J. Obs. Gynecol. 1988, 158, 127–130. [Google Scholar] [CrossRef]
- Thompson, D.M. Abnormal Sensorimotor Integrative Function of the Larynx in Congenital Laryngomalacia: A New Theory of Etiology. Laryngoscope 2007, 117, 1–33. [Google Scholar] [CrossRef]
- Millar, L.K.; Wing, D.A.; Leung, A.S.; Koonings, P.P.; Montoro, M.N.; Mestman, J.H. Low Birth Weight and Preeclampsia in Pregnancies Complicated by Hyperthyroidism. Obstet. Gynecol. 1994, 84, 946–949. [Google Scholar]
- Polak, M.; Van Vliet, G. Therapeutic Approach of Fetal Thyroid Disorders. Horm. Res. Paediatr. 2010, 74, 1–5. [Google Scholar] [CrossRef]
- Davis, L.E.; Lucas, M.J.; Hankins, G.D.V.; Roark, M.L.; Cunningham, F.G. Thyrotoxicosis Complicating Pregnancy. Am. J. Obs. Gynecol. 1989, 160, 63–70. [Google Scholar] [CrossRef] [PubMed]
- Petrikovsky, B. Complications after Cordocentesis Appear Excessive. Am. J. Obs. Gynecol. 1997, 177, 1567. [Google Scholar] [CrossRef]
- Duprez, L.; Parma, J.; Van Sande, J.; Allgeier, A.; Leclère, J.; Schvartz, C.; Delisle, M.J.; Decoulx, M.; Orgiazzi, J.; Dumont, J. Germline Mutations in the Thyrotropin Receptor Gene Cause Non-Autoimmune Autosomal Dominant Hyperthyroidism. Nat. Genet. 1994, 7, 396–401. [Google Scholar] [CrossRef] [PubMed]
- Lourenço, R.; Dias, P.; Gouveia, R.; Sousa, A.B.; Oliveira, G. Neonatal McCune-Albright Syndrome with Systemic Involvement: A Case Report. J. Med. Case Rep. 2015, 9, 189. [Google Scholar] [CrossRef] [PubMed]
- Roberts, S.A.; Moon, J.E.; Dauber, A.; Smith, J.R. Novel Germline Mutation (Leu512Met) in the Thyrotropin Receptor Gene (TSHR) Leading to Sporadic Non-Autoimmune Hyperthyroidism. J. Pediatr. Endocrinol. Metab. 2017, 30, 343–347. [Google Scholar] [CrossRef]
- Foulds, N.; Walpole, I.; Elmslie, F.; Mansour, S. Carbimazole Embryopathy: An Emerging Phenotype. Am. J. Med. Genet. 2005, 132 A, 130–135. [Google Scholar] [CrossRef]
- Polak, M.; Luton, D. Fetal Thyroïdology. Best Pr. Res. Clin. Endocrinol. Metab. 2014, 28, 161–173. [Google Scholar] [CrossRef]
- Andersen, S.L.; Knøsgaard, L. Management of Thyrotoxicosis during Pregnancy. Best Pract. Res. Clin. Endocrinol. Metab. 2020, 34, 101414. [Google Scholar] [CrossRef]


| Gestational Weeks | TT4 (μg/dL) | FT4 (ng/dL) | TSH (μIU/mL) | TRAb (IU/L) | Treatment | |
|---|---|---|---|---|---|---|
| LT4 (μg) | MMI (mg) | |||||
| 24+0 | / | / | 0.51 | 103 | / | 10 (BID) |
| 24+6 | 7.7 | 0.85 | 3.252 | / | / | 10 (BID) |
| 25+6 | 5.2 | 0.59 | 14.5 | / | 100 (QD) | 10 (BID) |
| 27+4 | 8.6 | 0.82 | 11.473 | / | 100 (QD) | 10 (BID) |
| 28+6 | 16.5 | 1.16 | 1.185 | / | 100 (QD) | 10 (BID) |
| 32+1 | 11.4 | 0.97 | 0.713 | / | 75 (QD) | 10 (QD) |
| 34+0 | 12.7 | 1.03 | 0.772 | / | 75 (QD) | 10 (QD) |
| 36+0 | 11.5 | 0.98 | 1.553 | / | 75 (QD) | 10 (QD) |
| Gestational Weeks | TT4 (ug/dL) | FT4 (ng/dL) | TSH (μIU/mL) | TRAb (IU/L) | Treatment | |
|---|---|---|---|---|---|---|
| LT4 (μg) | MMI (mg) | |||||
| 25+2 | 17.2 | / | 0.014 | 149.15 | 100 (QD) | 10 (BID) |
| 26+1 | 17 | 1.27 | 0.02 | / | 100 (QD) | 10 (BID) |
| 27+1 | 16.6 | 1.13 | 0.029 | / | 100 (QD) | 25 (QD) |
| 28+1 | 14.6 | 1.19 | 0.071 | / | 100 (QD) | 25 (QD) |
| 31+2 | 14.8 | 1.12 | 0.558 | 167.1 | 125 (QD) | 10/15 (Alt D) |
| 34+0 | 15.4 | 1.34 | 0.167 | / | 100/125 (Alt D) | 20/15 (Alt D) |
| 36+2 | 17 | 1.21 | 0.353 | / | 100 (QD) | 20/15 (Alt D) |
| Case One | Case Two | |
|---|---|---|
| Fetal manifestations | Fetal cardiac enlargement, pericardial effusion and cardiac hypertrophy, FGR, tachycardia, proptosis, and ventriculomegaly | Fetal tachycardia, enlarged heart and pericardial effusion, tricuspid regurgitation, oligohydramnios, and minor renal dysplasia |
| Weeks of gestation at presentation | 22+ weeks | 23+ weeks |
| Maternal thyroid status | Hypothyroidism (maintained with 75 μg of levothyroxine supplement), TRAb of 149.15 IU/L | Hypothyroidism (maintained with 25 μg of levothyroxine supplement), TRAb of 103.8 IU/L. |
| Previous pregnancy | G2P1 (Preterm delivery of a male infant during the 33rd gestational week in 2018, which was small-for-gestational-age with no other clinical manifestation; one month later, they were diagnosed with hyperthyroidism.) | G4P0 (two first-trimester spontaneous miscarriages. The third pregnancy showed fetal tachycardia, an enlarged heart, and oligohydramnios at 23+ gestational weeks; intrauterine fetal death occurred three weeks after.) |
| Previous history | Graves disease, treated with 131I | Graves disease, treated with 131I |
| Fetal thyroid status | Thyroid diffusely enlarged with abundant blood flow, hyperthyroidism (TSH 0.018 μIU/mL and TRAb 32.74 IU/L) | Fetal thyroid gland congested, hyperthyroidism (TSH 0.09 μIU/mL and TRAb 31.9 IU/L) |
| Fetal genetic test | CMA -ve, karyotype -ve | Trio-WES -ve, CMA -ve, karyotype -ve |
| Intrauterine treatment | Maternal oral administration of methimazole from 22+ weeks of gestation | Maternal oral administration of methimazole from the 23+ week of gestation. |
| Significant signs of response | The fetal heart rate returned to the normal range 10 days later. The pericardial effusion and cardiothoracic ratio were relieved. | The fetal heart rate returned to normal at the 26th gestational week. Oligohydramnios, cardiac enlargement, pericardial effusion, and thyroid hyperemia were resolved. |
| Conditions of delivery | Spontaneous delivery at 36+6 weeks of gestation, 1900 g | Spontaneous delivery at 36 weeks of gestation, 3000 g |
| Outcome of the newborn | Neonatal hyperthyroidism, alive and healthy | Neonatal hyperthyroidism, alive and healthy |
Disclaimer/Publisher’s Note: The statements, opinions and data contained in all publications are solely those of the individual author(s) and contributor(s) and not of MDPI and/or the editor(s). MDPI and/or the editor(s) disclaim responsibility for any injury to people or property resulting from any ideas, methods, instructions or products referred to in the content. |
© 2024 by the authors. Licensee MDPI, Basel, Switzerland. This article is an open access article distributed under the terms and conditions of the Creative Commons Attribution (CC BY) license (https://creativecommons.org/licenses/by/4.0/).
Share and Cite
Hong, L.; Tang, M.H.Y.; Cheung, K.W.; Luo, L.; Cheung, C.K.Y.; Dai, X.; Li, Y.; Xiong, C.; Liang, W.; Xiang, W.; et al. Fetal Hyperthyroidism with Maternal Hypothyroidism: Two Cases of Intrauterine Therapy. Diagnostics 2024, 14, 102. https://doi.org/10.3390/diagnostics14010102
Hong L, Tang MHY, Cheung KW, Luo L, Cheung CKY, Dai X, Li Y, Xiong C, Liang W, Xiang W, et al. Fetal Hyperthyroidism with Maternal Hypothyroidism: Two Cases of Intrauterine Therapy. Diagnostics. 2024; 14(1):102. https://doi.org/10.3390/diagnostics14010102
Chicago/Turabian StyleHong, Lu, Mary Hoi Yin Tang, Ka Wang Cheung, Libing Luo, Cindy Ka Yee Cheung, Xiaoying Dai, Yanyan Li, Chuqin Xiong, Wei Liang, Wei Xiang, and et al. 2024. "Fetal Hyperthyroidism with Maternal Hypothyroidism: Two Cases of Intrauterine Therapy" Diagnostics 14, no. 1: 102. https://doi.org/10.3390/diagnostics14010102
APA StyleHong, L., Tang, M. H. Y., Cheung, K. W., Luo, L., Cheung, C. K. Y., Dai, X., Li, Y., Xiong, C., Liang, W., Xiang, W., Wang, L., Chan, K. Y. K., & Lin, S. (2024). Fetal Hyperthyroidism with Maternal Hypothyroidism: Two Cases of Intrauterine Therapy. Diagnostics, 14(1), 102. https://doi.org/10.3390/diagnostics14010102

