Sign in to use this feature.

Years

Between: -

Subjects

remove_circle_outline
remove_circle_outline
remove_circle_outline
remove_circle_outline
remove_circle_outline
remove_circle_outline
remove_circle_outline
remove_circle_outline
remove_circle_outline

Journals

remove_circle_outline
remove_circle_outline
remove_circle_outline
remove_circle_outline
remove_circle_outline
remove_circle_outline

Article Types

Countries / Regions

Search Results (311)

Search Parameters:
Keywords = CEUS

Order results
Result details
Results per page
Select all
Export citation of selected articles as:
12 pages, 3492 KB  
Case Report
Hepatic Vascular Involvement in Adenosine Deaminase 2 Deficiency (DADA2): Case Reports and Literature Review
by Mihaela Sparchez, Laura Damian, Mihai Adrian Socaciu, Otilia Fufezan and Zeno Sparchez
Diagnostics 2026, 16(2), 189; https://doi.org/10.3390/diagnostics16020189 - 7 Jan 2026
Viewed by 107
Abstract
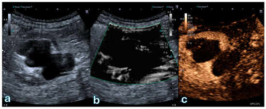
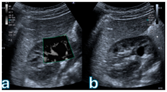
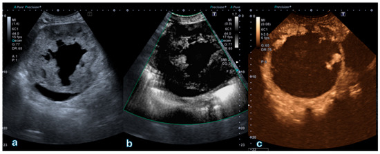
Background and Clinical Significance: Deficiency of Adenosine Deaminase 2 (DADA2) is a rare monogenic vasculopathy characterised by systemic inflammatory and immunodeficiency features. Although neurological and haematological manifestations are well-documented, hepatic vascular involvement remains underappreciated. This report aims to describe the clinical and [...] Read more.
Background and Clinical Significance: Deficiency of Adenosine Deaminase 2 (DADA2) is a rare monogenic vasculopathy characterised by systemic inflammatory and immunodeficiency features. Although neurological and haematological manifestations are well-documented, hepatic vascular involvement remains underappreciated. This report aims to describe the clinical and imaging characteristics of hepatic vascular involvement in a patient with DADA2 and to illustrate the evolution of hepatic lesions during long-term Etanercept therapy. In addition, we provide a synthesis of the available evidence on hepatic manifestations in DADA2, emphasising vascular pathology, clinical presentation, and therapeutic implications. Case Presentation: We describe a girl with early-onset DADA2 presenting with recurrent systemic inflammation, hypogammaglobulinaemia, vasculopathy, and two childhood strokes, followed by the development of multiple FNH-like hepatic nodules on CEUS and MRI with persistently elevated GGT. Genetic testing confirmed biallelic ADA2 mutations, and treatment with Etanercept led to sustained clinical stabilisation and marked regression of liver lesions over a nine-year follow-up period. Her older sister, carrying the same mutations, showed a milder phenotype without hepatic involvement but experienced a mesenteric vascular event. Conclusions: Large regenerative nodules with an FNH-like appearance on CEUS or MRI have not been previously reported in this setting. In our patient, Etanercept therapy produced a favourable hepatic response, reflected by a significant reduction in both the number and size of the lesions. Our case contributes to the understanding of liver disease in DADA2 and the influence of imaging and treatment on the hepatic manifestations of the condition. Full article
(This article belongs to the Special Issue Advances in the Diagnosis and Management of Vasculitis)
Show Figures

Figure 1

15 pages, 6023 KB  
Article
Imaging Assessment of Complex Renal Cysts: Comparative Value of Superb Microvascular Imaging and Contrast-Enhanced Ultrasound
by Fabrizio Urraro, Nicoletta Giordano, Vittorio Patanè, Roberto Calbi, Alfredo Clemente, Maria Chiara Brunese, Salvatore Cappabianca and Alfonso Reginelli
J. Pers. Med. 2026, 16(1), 33; https://doi.org/10.3390/jpm16010033 - 5 Jan 2026
Viewed by 196
Abstract
Background: Accurate characterization of complex renal cystic lesions is essential for individualized patient management, as enhancement patterns of septa and walls determine Bosniak classification, malignancy risk, and tailored follow-up strategies. While contrast-enhanced ultrasound (CEUS) is widely used to assess enhancement, Superb Microvascular [...] Read more.
Background: Accurate characterization of complex renal cystic lesions is essential for individualized patient management, as enhancement patterns of septa and walls determine Bosniak classification, malignancy risk, and tailored follow-up strategies. While contrast-enhanced ultrasound (CEUS) is widely used to assess enhancement, Superb Microvascular Imaging (SMI) offers a non-contrast alternative that is capable of detecting slow-flow microvascular signals. This study aimed to evaluate the diagnostic concordance, accuracy, and reproducibility of SMI compared with CEUS in the Bosniak 2019 classification, and to explore its role in personalized imaging pathways for patients with contraindications to contrast media. Methods: Eighty patients (92 cystic renal lesions) who underwent both SMI and CEUS between January 2024 and July 2025 were retrospectively analyzed. Lesions were categorized using the Bosniak 2019 criteria. CEUS served as the reference standard. Concordance between modalities was evaluated using Cohen’s κ, and diagnostic accuracy was determined by ROC analysis. Inter- and intra-reader agreement were assessed with κ and intraclass correlation coefficients (ICC), respectively. Histopathologic confirmation was available for resected Bosniak III–IV lesions. Results: SMI showed excellent concordance with CEUS (κ = 0.84, 95% CI 0.76–0.91; overall agreement 83.7%). Concordance was perfect for Bosniak I–II, good for IIF (85%), and moderate for III (68%) and IV (64%) categories. Using CEUS as the reference, SMI achieved a sensitivity of 88.5%, specificity of 90.0%, and AUC of 0.94 for distinguishing low- from high-risk lesions. Inter-reader (κ = 0.83) and intra-reader (ICC = 0.91) agreements were excellent. Among 18 surgically resected Bosniak III–IV lesions, 14 (77.8%) were malignant; SMI correctly identified 12/14 malignant and 3/4 benign cases. Conclusions: SMI shows high diagnostic accuracy and reproducibility in the assessment of complex renal cystic lesions, with strong concordance to CEUS within the Bosniak 2019 system. By providing vascular characterization without contrast administration, SMI supports more personalized renal cyst management, enabling safer imaging for patients at risk from contrast agents and potentially reducing unnecessary interventions. Further multicenter validation is warranted to define its integration into precision-oriented multiparametric renal ultrasound protocols. Full article
(This article belongs to the Section Diagnostics in Personalized Medicine)
Show Figures

Figure 1

14 pages, 8148 KB  
Review
Lung Ultrasound for Pleural Effusion in Cancer Patients: Advanced Ultrasound for Pleural Lesions—A Narrative Review
by Hajo Findeisen, Christian Görg, Viktoria Zies, Michael Ludwig, Christoph F. Dietrich, Amjad Alhyari and Corinna Trenker-Burchert
Cancers 2026, 18(1), 38; https://doi.org/10.3390/cancers18010038 - 22 Dec 2025
Viewed by 421
Abstract
Background: Pleural effusion (PE) is a frequent complication in patients with malignancies and is often associated with poor prognosis. Lung ultrasound (LUS) has become an indispensable bedside tool for detecting, characterizing, and guiding the management of pleural effusions. Methods: This narrative review summarizes [...] Read more.
Background: Pleural effusion (PE) is a frequent complication in patients with malignancies and is often associated with poor prognosis. Lung ultrasound (LUS) has become an indispensable bedside tool for detecting, characterizing, and guiding the management of pleural effusions. Methods: This narrative review summarizes the current evidence on the diagnostic performance of LUS for PE in cancer patients, emphasizing recent advances in functional ultrasound techniques. Results: B-mode LUS can detect small-volume effusions and estimate their volume. Sonographic features such as echogenicity, septations, and pleural abnormalities can help differentiate transudative from exudative effusions. Shear-wave elastography and contrast-enhanced ultrasound provide additional functional information on tissue stiffness and perfusion. This information may help distinguish between malignant and benign pleural lesions and facilitate targeted biopsy when cytology is nondiagnostic. Compared with computed tomography, LUS offers superior evaluation of juxtadiaphragmatic and pleural surface abnormalities. It facilitates safe, real-time thoracocentesis. Recent innovations, including improved quality, affordable handheld ultrasound systems and artificial intelligence-based analysis, are expected to further enhance diagnostic precision and accessibility. Conclusions: Although LUS is a sensitive and versatile tool for assessing PE in cancer patients, it has limited diagnostic accuracy in distinguishing between benign and malignant effusions. Advanced techniques, such as shear-wave elastography and contrast-enhanced ultrasound, may further support the differentiation of malignant and benign diseases. Ongoing technological advances are likely to enhance the diagnostic accuracy and accessibility of lung ultrasound. Full article
(This article belongs to the Special Issue Advances in Lung Ultrasound in Cancer Patients)
Show Figures

Figure 1

20 pages, 1982 KB  
Case Report
Isoechoic Renal Tumors: A Case Report and Literature Review
by Nicola Sinatra, Giulio Geraci, Roberto Palumbo, Gaspare Oddo, Giuseppe Zichittella, Emanuele Cirafici, Alessandra Sorce, Giuseppe Mulè and Caterina Carollo
Diagnostics 2026, 16(1), 14; https://doi.org/10.3390/diagnostics16010014 - 19 Dec 2025
Viewed by 354
Abstract
Background and Clinical Significance: Isoechoic renal tumors, defined as masses demonstrating echogenicity similar to normal renal parenchyma, represent a significant diagnostic challenge in contemporary ultrasonographic practice. These lesions, occurring in 5–12% of all renal masses, frequently escape detection on conventional ultrasound, leading [...] Read more.
Background and Clinical Significance: Isoechoic renal tumors, defined as masses demonstrating echogenicity similar to normal renal parenchyma, represent a significant diagnostic challenge in contemporary ultrasonographic practice. These lesions, occurring in 5–12% of all renal masses, frequently escape detection on conventional ultrasound, leading to delayed diagnosis and potentially adverse oncological outcomes. Isoechoic renal tumors encompass both benign and malignant entities, with clear cell renal cell carcinoma representing 65–70% of malignant cases. Conventional ultrasound shows limited sensitivity (48–67%) for detecting isoechoic masses, while contrast-enhanced ultrasound achieves detection rates of 94–98%. Multiparametric MRI and dual-energy CT provide superior characterization, with accuracy rates of 85–92% for differentiating benign from malignant lesions. Case Presentation: We describe the case of an 80-year-old male in whom a 2.4 cm isoechoic renal mass was incidentally detected during abdominal ultrasound performed for chronic kidney disease monitoring. Contrast-enhanced CT confirmed a solid, hypervascular lesion with wash-out characteristics. Given the patient’s age, comorbidities, and tumor characteristics, multidisciplinary evaluation led to an active surveillance strategy. At 6-month follow-up, the lesion remained stable. Conclusions: Isoechoic renal tumors require multimodal diagnostic approaches and individualized management strategies. Emerging technologies, including artificial intelligence-enhanced ultrasound systems and radiomic-based decision support tools, are undergoing clinical validation and may improve detection and characterization. Investigational approaches such as liquid biopsy and novel PET tracers targeting carbonic anhydrase IX are in early development. Translation of these technologies into clinical practice will require prospective validation, standardization of protocols, and demonstration of cost-effectiveness. Full article
Show Figures

Figure 1

18 pages, 5297 KB  
Review
HCC in the Era of Emerging MASH: The Role of Ultrasound in Surveillance and New Sonographic Features in Diagnosis
by Antonio Giorgio, Massimo De Luca, Anna Lombardi, Emanuela Ciracì, Valeria Cosima Rollo, Antonella Di Sarno, Luca Montesarchio, Giuseppe Stella and Valentina Giorgio
Cancers 2025, 17(24), 4037; https://doi.org/10.3390/cancers17244037 - 18 Dec 2025
Viewed by 394
Abstract
Conventional ultrasound (US) has long been central to hepatocellular carcinoma (HCC) surveillance in cirrhotic patients, due to its low cost, wide availability, non-invasiveness, and adequate sensitivity for detecting small nodules. However, its specificity in distinguishing HCC from other lesions is limited. Contrast-enhanced ultrasound [...] Read more.
Conventional ultrasound (US) has long been central to hepatocellular carcinoma (HCC) surveillance in cirrhotic patients, due to its low cost, wide availability, non-invasiveness, and adequate sensitivity for detecting small nodules. However, its specificity in distinguishing HCC from other lesions is limited. Contrast-enhanced ultrasound (CEUS) has significantly improved the characterization of nodules first identified on conventional US. Yet, when CEUS is performed using sulfur hexafluoride (SonoVue)—the only contrast agent available in Western countries—assessment remains restricted to a single nodule per examination, and enhanced CT or MRI is still required for full characterization and staging. In clinical settings, such as hepatology, internal medicine, infectious diseases, and surgery, CEUS offers the advantage of immediate availability, enabling rapid characterization of suspicious nodules in cirrhotic livers and facilitating timely therapeutic decisions. Although the introduction of direct-acting antivirals (DAAs) has substantially reduced HCV-related HCC, HCC incidence is increasingly driven by metabolic dysfunction-associated steatohepatitis (MASH). Evidence on surveillance strategies for MASH patients remains limited, and current EASL guidelines recommend monitoring only patients with >F2 fibrosis. Additionally, the effectiveness of US in obese or diabetic/obese populations is under ongoing investigation; abbreviated non-contrast MRI has been proposed as an alternative surveillance tool, but its adoption would entail significant economic implications for healthcare systems. HCC arising from MASH—sometimes even without cirrhosis—exhibits different sonographic and pathological features. Instead of small, hypoechoic nodules, typically seen in HCV-related cirrhosis, clinicians increasingly encounter larger or multiple lesions, often accompanied by macrovascular invasion, limiting access to curative treatments. Furthermore, typical CEUS LI-RADS patterns are less frequently observed. This review summarizes the evolving US findings in the era of MASH-related HCC and underscores the continued importance of US as the primary imaging tool in routine clinical practice. Full article
(This article belongs to the Section Cancer Causes, Screening and Diagnosis)
Show Figures

Figure 1

20 pages, 23508 KB  
Article
Petrogenesis of Himalayan Leucogranites: A Perspective from Zircon Trace Elements
by Weirui Lu, Zeming Zhang, Jia Yuan, Yang Zhang, Qiang Li, Yu An and Di Zhan
Minerals 2025, 15(12), 1306; https://doi.org/10.3390/min15121306 - 15 Dec 2025
Viewed by 329
Abstract
Magmatic zircon trace element compositions and their variation trends provide valuable insights into the nature and evolutionary processes of magmatic rocks. The Himalayan orogen contains widespread leucogranites. Despite extensive studies on these granites, the features and petrogenetic implications of trace element composition of [...] Read more.
Magmatic zircon trace element compositions and their variation trends provide valuable insights into the nature and evolutionary processes of magmatic rocks. The Himalayan orogen contains widespread leucogranites. Despite extensive studies on these granites, the features and petrogenetic implications of trace element composition of zircons from the leucogranites remain poorly constrained. In this study, we present a comprehensive dataset comprising new cathodoluminescence (CL) images, U-Pb ages, and trace element compositions of zircons from the Himalayan leucogranites, and compare them to the previously reported trace element data of zircon from I-type granites. Our results show that zircons from the Himalayan leucogranites have high Hf, U, Y, P, Th, Sc, and heavy rare earth element contents (HREE), and low Nb, Ta, Ti, and light rare earth element contents (LREE), and can be divided into two types. Type I (low-U) zircons exhibit well-developed oscillatory zoning, and the U concentrations are mostly <5000 ppm. Type II (high-U) zircons display mottled or spongy textures and possess elevated U contents that are mostly >5000 ppm. Zircons from the Himalayan leucogranites have higher contents of U, Hf, Nb, Ta, and elevated U/Yb ratios, but lower Th/U, Eu/Eu*, Ce/Ce*, LREE/HREE, and Ce/U values than those from I-type granitic zircons. Furthermore, zircons in the Himalayan leucogranites have gradually decreasing Th, Ti, Th/U, Eu/Eu*, and Ce/Ce*, and increasing U, Nb, Ta, and (Yb/Gd)N with increasing Hf. These geochemical features suggest the magmas involved in the genesis of leucogranites originated from the partial melting of metasedimentary sources under relatively reduced conditions, and underwent a high degree of magmatic fractionation. Full article
Show Figures

Figure 1

33 pages, 5043 KB  
Review
Ultrasound Evaluation of Fontan-Associated Liver Disease: A State-of-the-Art Review
by Federica Di Natale, Andrea Boccatonda, Marco Musmeci, Alice Brighenti, Luciano Potena, Christoph Frank Dietrich and Carla Serra
Diagnostics 2025, 15(24), 3171; https://doi.org/10.3390/diagnostics15243171 - 12 Dec 2025
Viewed by 1011
Abstract
Background: Fontan-associated liver disease (FALD) is a progressive condition resulting from chronic hepatic venous congestion following the Fontan procedure for univentricular heart defects. As survival improves in these patients, recognition and management of FALD have become increasingly important. Objective: To describe [...] Read more.
Background: Fontan-associated liver disease (FALD) is a progressive condition resulting from chronic hepatic venous congestion following the Fontan procedure for univentricular heart defects. As survival improves in these patients, recognition and management of FALD have become increasingly important. Objective: To describe the pathophysiological mechanisms, imaging findings, and diagnostic approach to FALD, with a focus on the role of ultrasonography, including contrast-enhanced ultrasound (CEUS). Methods: This narrative review explores the evolution of FALD through a multidisciplinary lens, integrating cardiovascular and hepatic imaging data. Particular attention is paid to Doppler ultrasound and CEUS, both in early parenchymal changes and in the differential diagnosis of potential complications such as hepatic nodules. Results: FALD is characterized by progressive fibrosis due to long-standing passive congestion, resulting in a wide spectrum of imaging findings. B-mode ultrasound reveals hepatomegaly, heterogeneous parenchyma, and gallbladder wall thickening. Doppler studies show altered hepatic venous flow patterns, while CEUS provides dynamic vascular evaluation, highlighting areas of altered perfusion. In advanced stages, hypo-vascular areas in the late phase may simulate malignant lesions, emphasizing the need for careful interpretation. The role of liver biopsy, though limited by invasiveness, remains crucial in selected cases. Surveillance strategies are not standardized but require close multidisciplinary follow-up. Conclusions: FALD presents complex diagnostic challenges requiring integrated imaging and clinical assessment. CEUS emerges as a valuable, non-invasive tool in characterizing hepatic congestion and guiding management. Increased awareness and standardized protocols are essential for early detection and tailored care in this growing patient population. Full article
(This article belongs to the Special Issue Recent Progress in Abdominal Ultrasound)
Show Figures

Figure 1

17 pages, 3112 KB  
Article
Predicting Axillary Lymph Node Metastasis of Breast Cancer Using Joint Pre-Trained Fine-Tuning and Contrastive Learning for Contrast-Enhanced Ultrasound
by Rong Huang, Mengshi Tang, Lin Pan, Shaohua Zheng, Shu Chen and Yijie Chen
Bioengineering 2025, 12(12), 1335; https://doi.org/10.3390/bioengineering12121335 - 8 Dec 2025
Viewed by 407
Abstract
Objectives: Breast cancer is one of the most common malignant tumors among women worldwide, and accurate assessment of axillary lymph node metastasis (ALNM) is crucial for determining treatment strategies. Compared to conventional ultrasound, contrast-enhanced ultrasound (CEUS) can observe blood perfusion and microcirculation [...] Read more.
Objectives: Breast cancer is one of the most common malignant tumors among women worldwide, and accurate assessment of axillary lymph node metastasis (ALNM) is crucial for determining treatment strategies. Compared to conventional ultrasound, contrast-enhanced ultrasound (CEUS) can observe blood perfusion and microcirculation changes in primary breast tumors, making it a more ideal diagnostic method for ALNM. Methods: To address the issues that CEUS video sequences require a high level of diagnostic experience from clinicians, and the process is time-consuming and labor-intensive, making it challenging to generate large datasets for deep learning models, we proposed a method for predicting breast cancer ALNM that combines pre-trained fine-tuning with contrastive learning. First, within a text-video contrastive learning framework, we fine-tuned pre-trained weights from a large general dataset using a small-scale proprietary dataset. Second, during the fine-tuning phase, we employed random prompt optimization to specifically adjust the text encoder according to the characteristics of breast CEUS videos, and optimized the extracted text and video representations through an adaptive fine-tuning optimizer to better fit the current data distribution. Results: Experimental results demonstrated that our method achieved a sensitivity of 0.792 and a specificity of 0.8. Conclusions: The study demonstrates that the proposed method effectively leverages CEUS to aid in ALNM diagnosis, highlighting its potential to improve the accuracy of early breast cancer screening and to facilitate the development of more personalized treatment plans for patients. Full article
(This article belongs to the Special Issue Advances in Medical 3D Vision: Voxels and Beyond)
Show Figures

Graphical abstract

26 pages, 5462 KB  
Review
Diagnostic Imaging Features of Mammary Gland Tumors in Dogs and Cats
by Marisa Esteves-Monteiro, Joana Santos, Ana Patrícia Fontes-Sousa and Cláudia S. Baptista
Animals 2025, 15(24), 3506; https://doi.org/10.3390/ani15243506 - 5 Dec 2025
Viewed by 986
Abstract
Mammary gland tumors (MGT) are the most common neoplasms in intact female dogs and represent the third most frequent tumor type in female cats. Imaging plays a central role in the diagnosis, staging, and follow-up of these neoplasms. This review summarizes the diagnostic [...] Read more.
Mammary gland tumors (MGT) are the most common neoplasms in intact female dogs and represent the third most frequent tumor type in female cats. Imaging plays a central role in the diagnosis, staging, and follow-up of these neoplasms. This review summarizes the diagnostic imaging features of canine and feline MGT and the advantages and limitations of each modality. Radiography and computed tomography (CT) are mainly used to detect pulmonary and abdominal metastases, while ultrasonography provides key information about primary tumor size, margins, echogenicity, vascularization, and elasticity. Advanced ultrasound techniques, such as Doppler, contrast-enhanced ultrasonography (CEUS), and elastography, improve differentiation between benign and malignant lesions. Magnetic resonance imaging (MRI) offers excellent soft-tissue detail and can assist in preoperative planning, whereas nuclear medicine techniques, including scintigraphy and positron emission tomography (PET), allow functional assessment and the early detection of micrometastases. Although histopathology remains the diagnostic gold standard, imaging is indispensable for characterizing primary lesions, evaluating metastatic spread, guiding sampling, and monitoring therapeutic outcomes in small animal oncology. By integrating and comparing the main imaging modalities applied to canine and feline mammary tumors, this review underscores their complementary roles in improving diagnosis, staging, and therapeutic decision-making in small animal oncology. Full article
(This article belongs to the Special Issue Diagnostic Imaging in Animal Oncology)
Show Figures

Figure 1

13 pages, 5164 KB  
Review
Emerging Role of Transcutaneous Ultrasound in the Diagnostic of Lung Cancer
by Corinna Trenker-Burchert, Marius Dohse, Hajo Findeisen, Andreas Schuler and Christian Görg
Cancers 2025, 17(23), 3873; https://doi.org/10.3390/cancers17233873 - 2 Dec 2025
Viewed by 528
Abstract
Lung cancer is one of the most commonly diagnosed malignancies worldwide and continues to be a leading cause of cancer-related mortality. Precise staging is crucial for predicting outcomes and directing treatment decisions. Current international guidelines mainly recommend imaging techniques like CT and PET-CT, [...] Read more.
Lung cancer is one of the most commonly diagnosed malignancies worldwide and continues to be a leading cause of cancer-related mortality. Precise staging is crucial for predicting outcomes and directing treatment decisions. Current international guidelines mainly recommend imaging techniques like CT and PET-CT, with limited references to transcutaneous ultrasound, which is only suggested in particular clinical cases. Ultrasound provides real-time imaging, high resolution in near-field structures, and the ability to assess thoracic wall infiltration, supraclavicular and cervical lymph nodes, pleural effusions, and metastatic lesions. Furthermore, ultrasound-guided biopsies can enable quick and safe histological confirmation of accessible lesions. Based on these advantages and a review of current literature, we propose that integrating ultrasound into staging algorithms could improve diagnostic efficiency, decrease invasive procedures, and support prompt treatment planning. We also highlight the need for further research in this area. Full article
(This article belongs to the Special Issue Advances in Lung Ultrasound in Cancer Patients)
Show Figures

Figure 1

27 pages, 14142 KB  
Article
Multi-Indicator Drought Variability in Europe (1766–2018)
by Monica Ionita, Patrick Scholz and Viorica Nagavciuc
Forests 2025, 16(11), 1739; https://doi.org/10.3390/f16111739 - 18 Nov 2025
Viewed by 470
Abstract
Accurately characterizing historical drought events is critical for understanding their spatial and temporal variability and for improving future drought projections. This study investigates extreme drought years across Europe using three complementary drought indicators: the Palmer drought severity index (PDSI, based on tree-ring width), [...] Read more.
Accurately characterizing historical drought events is critical for understanding their spatial and temporal variability and for improving future drought projections. This study investigates extreme drought years across Europe using three complementary drought indicators: the Palmer drought severity index (PDSI, based on tree-ring width), the standardized precipitation evapotranspiration index (SPEI, based on stable oxygen isotopes in tree rings), and the soil moisture index (SMI, based on high-resolution climate modeling). We analyze the common period 1766–2018 simultaneously across all three reconstructions to enable direct cross-indicator comparisons, a scope not typical of prior single-indicator studies. When analyzing year-to-year variability, the driest European years differ by indicator (PDSI—1874, SPEI—2003, and SMI—1868). Quantitatively, the values exhibited are as follows: PDSI 1874 (M = −1.97; A = 64.4%), SPEI 2003 (M = −1.16; A = 90.1%), and SMI 1868 (M = 0.21; A = 83.4%). Multi-year extremes also diverge: while PDSI identifies 1941–1950 as the driest years (M = −0.82; A = 42.1%), SPEI highlights 2011–2018 (M = −0.36; A = 46.6%), and SMI points to 1781–1790 as the driest years, followed by 2011–2018. Trends in drought-covered areas show a significant European-scale increase for SMI (+0.52%/decade, p < 0.05) and regional increases for MED in SMI (~+1.1%/decade, p < 0.001) and for CEU in SPEI (+0.42%/decade, p < 0.05) and SMI (+0.6%/decade, p < 0.001). At the regional scale (Mediterranean—MED, central Europe—CEU, and northern Europe—NEU), the driest years/decades and spatial footprints vary by indicator, yet all the indicators consistently identify drought hotspots such as the MED. We also found that drought is significantly influenced by large-scale atmospheric drivers. A canonical correlation analysis (CCA) between summer geopotential height at 500 mb (Z500) and drought reconstructions indicates that drought-affected regions are, in general, associated with atmospheric blocking. The canonical series are significantly correlated at r = 0.82 (p < 0.001), with explained variances of 12.78% (PDSI), 8.41% (SPEI), and 14.58% (SMI). Overall, our study underscores the value of multi-indicator approaches: individual indicators provide distinct but complementary perspectives on European drought dynamics, improving the historical context for assessing future risk. Full article
(This article belongs to the Section Forest Meteorology and Climate Change)
Show Figures

Figure 1

17 pages, 7540 KB  
Article
Non-Invasive Prediction of Microvessel Density in Pediatric Hepatoblastoma Using Contrast-Enhanced Ultrasound Quantitative Parameters
by Yazi You, Lirong Zhu, Hongli Zhai, Yuxin Tang, Jingyu Chen and Yi Tang
Diagnostics 2025, 15(21), 2819; https://doi.org/10.3390/diagnostics15212819 - 6 Nov 2025
Viewed by 594
Abstract
Background: The purpose of this study was to examine the relationship between qualitative characteristics and quantitative parameters from contrast-enhanced ultrasound (CEUS) and microvessel density (MVD) in hepatoblastoma (HB), as well as to investigate whether CEUS could be utilized as a non-invasive method [...] Read more.
Background: The purpose of this study was to examine the relationship between qualitative characteristics and quantitative parameters from contrast-enhanced ultrasound (CEUS) and microvessel density (MVD) in hepatoblastoma (HB), as well as to investigate whether CEUS could be utilized as a non-invasive method for predicting HB progression. Methods: This retrospective analysis was carried out in one medical center and included 34 children with histopathologically confirmed HB. Both grayscale ultrasound and CEUS results were reviewed. Lesions were evaluated using time–intensity curve (TIC) analysis software to extract quantitative parameters. Postoperative tissue specimens were stained with CD34 immunohistochemistry, and MVD was quantified as the reference standard. Statistical analyses were conducted to assess the correlation between CEUS findings and MVD. Results: Lesions were separated into high (n = 21, 61.76%; MVD ≥ 41) and low (n = 13, 38.24%; MVD < 41) MVD groups, using the median microvessel density of 41 vessels per high-power field (HPF) as the cutoff. High MVD lesions exhibited a significantly higher incidence of penetrating vessels compared with low MVD lesions (p < 0.05). Elevated MVD levels were significantly associated with increased Adler-grade blood flow (p < 0.05). Both TIC-derived and relative quantitative parameters exhibited significant intergroup differences. Among the relative parameters, the relative wash-out rate (rWoR) was significantly higher in the low MVD group (p < 0.05). Moreover, the Receiver Operating Characteristic (ROC) curve analysis indicated that an rWoR threshold of ≥1.36 could serve as a predictor for low MVD, resulting in 76.9% sensitivity and 81.0% specificity (AUC = 0.802; 95% CI: 0.634–0.970; p = 0.003). Conclusions: CEUS revealed an association with MVD, supporting its potential as a non-invasive tool to characterize tumor vascularity. Full article
(This article belongs to the Section Medical Imaging and Theranostics)
Show Figures

Figure 1

11 pages, 2347 KB  
Case Report
Use of Contrast-Enhanced Ultrasound in Suspected Traumatic or Spontaneous Renal Injury in Cats: A Case Series
by Simone Perfetti, Carolina Gai, Nikolina Linta, Giacomo Tamburini, Erika Monari, Elena Ciuffoli and Alessia Diana
Animals 2025, 15(21), 3089; https://doi.org/10.3390/ani15213089 - 24 Oct 2025
Viewed by 693
Abstract
Contrast-enhanced ultrasound (CEUS) is increasingly applied in veterinary medicine as a safe, rapid, and non-invasive imaging technique for assessing renal disorders. Despite its expanding use, the literature on its application in feline renal trauma remains scarce. This retrospective study aimed to describe CEUS [...] Read more.
Contrast-enhanced ultrasound (CEUS) is increasingly applied in veterinary medicine as a safe, rapid, and non-invasive imaging technique for assessing renal disorders. Despite its expanding use, the literature on its application in feline renal trauma remains scarce. This retrospective study aimed to describe CEUS findings in cats with suspected traumatic renal injuries. Medical records were reviewed for cats that underwent both B-mode ultrasonography and CEUS, with findings confirmed by follow-up, surgery, or cytology. Three cats met the inclusion criteria. Two presented focal or multifocal renal lesions ranging from 10 to 20 mm in diameter, with heterogeneous echotexture, distortion of renal contours, and non-enhancing areas on CEUS consistent with hematomas or lacerations. The third cat showed a circumferential subcapsular halo (approximately 3–5 mm thick) with evidence of contrast leakage, compatible with limited active hemorrhage. CEUS appeared effective in identifying and characterizing renal injuries, offering valuable information to support clinical decision-making and guide both conservative and surgical management. Nevertheless, due to the limited sample size and the absence of quantitative data, these results should be considered preliminary. Further prospective studies are warranted to confirm the diagnostic performance and clinical utility of CEUS in feline renal trauma. Full article
(This article belongs to the Special Issue Advances in Canine and Feline Nephrology and Urology)
Show Figures

Figure 1

15 pages, 6684 KB  
Article
High-Resolution Contrast-Enhanced Ultrasound with SRCEUS for Assessing the Intrahepatic Microvasculature and Shunts in Patients with Hereditary Haemorrhagic Teleangiectasia (Osler’s Disease)
by Irmgard Maria Sieber, Friedrich Jung and Ernst Michael Jung
Life 2025, 15(10), 1631; https://doi.org/10.3390/life15101631 - 20 Oct 2025
Viewed by 813
Abstract
The aim of this retrospective clinical pilot study is to evaluate multiparametric ultrasound liver parenchyma assessments in the diagnosis of Osler’s disease, and to detect micro-shunts using SRCEUS with quantifications at the capillary level. Material/Method: All examinations were performed by an experienced examiner [...] Read more.
The aim of this retrospective clinical pilot study is to evaluate multiparametric ultrasound liver parenchyma assessments in the diagnosis of Osler’s disease, and to detect micro-shunts using SRCEUS with quantifications at the capillary level. Material/Method: All examinations were performed by an experienced examiner with a multi-frequency probe on a high-resolution matrix ultrasound device (SC 7-1U), convex probe (Mindray A 20), and were stored digitally in the PACS system. Vascular ultrasound was performed using colour-coded Doppler ultrasound (CCDS) and ultrasound microangiography (UMA). The recent M-Ref tool was utilised for the purpose of liver tissue characterisation, encompassing the domains of shear wave elastography, fat evaluation, and viscosity. Dynamic CEUS, HiFR CEUS, and SR CEUS were performed after the intravenous bolus injection of 1–2.4 mL of ultrasound contrast agent (SonoVue®). Measurements of SR CEUS capillary changes were performed independently by PACS-stored digital cine loops up to 5 s. Results: In the context of angiomas or haemangiomas, the initial contrast enhancement of echogenic or almost echogenic foci within 25 s without late wash-out was observed in 5/10 cases. In the evaluation of microvasculature, the presence of capsule-proximal shunts in Osler’s disease was observed, resulting in the identification of increased numbers of dilated capillaries within both peripheral and central shunts. In the control group, general liver tissue changes (20 cases) were observed in instances of inflammation (3/20 cases), peripherally in 4/20 cases with micro-shunts in altered parenchyma. In the context of multiparametric ultrasound, 16 out of 30 cases exhibited elevated fibrosis values, with a maximum recorded as high as 1.7 m/s, and in 13 out of 30 cases, there was an increase in fat values up to 0.65 dB/cm/MHz, indicative of moderate steatosis. Additionally, in seven cases, there was an increase in viscosity values up to 2.7 Pa·s, suggesting reactive changes. Conclusions: Recent advancements in medical imaging technology, specifically SR CEUS contrast ultrasound imaging, have led to the development of novel diagnostic tools that facilitate the evaluation of tissue and haemodynamic changes, in addition to capillary alterations, associated with Osler’s disease. Full article
(This article belongs to the Section Cell Biology and Tissue Engineering)
Show Figures

Figure 1

23 pages, 6989 KB  
Article
Images Versus Videos in Contrast-Enhanced Ultrasound for Computer-Aided Diagnosis
by Marina Adriana Mercioni, Cătălin Daniel Căleanu and Mihai-Eronim-Octavian Ursan
Sensors 2025, 25(19), 6247; https://doi.org/10.3390/s25196247 - 9 Oct 2025
Viewed by 829
Abstract
The background of the article refers to the diagnosis of focal liver lesions (FLLs) through contrast-enhanced ultrasound (CEUS) based on the integration of spatial and temporal information. Traditional computer-aided diagnosis (CAD) systems predominantly rely on static images, which limits the characterization of lesion [...] Read more.
The background of the article refers to the diagnosis of focal liver lesions (FLLs) through contrast-enhanced ultrasound (CEUS) based on the integration of spatial and temporal information. Traditional computer-aided diagnosis (CAD) systems predominantly rely on static images, which limits the characterization of lesion dynamics. This study aims to assess the effectiveness of Transformer-based architectures in enhancing CAD performance within the realm of liver pathology. The methodology involved a systematic comparison of deep learning models for the analysis of CEUS images and videos. For image-based classification, a Hybrid Transformer Neural Network (HTNN) was employed. It combines Vision Transformer (ViT) modules with lightweight convolutional features. For video-based tasks, we evaluated a custom spatio-temporal Convolutional Neural Network (CNN), a CNN with Long Short-Term Memory (LSTM), and a Video Vision Transformer (ViViT). The experimental results show that the HTNN achieved an outstanding accuracy of 97.77% in classifying various types of FLLs, although it required manual selection of the region of interest (ROI). The video-based models produced accuracies of 83%, 88%, and 88%, respectively, without the need for ROI selection. In conclusion, the findings indicate that Transformer-based models exhibit high accuracy in CEUS-based liver diagnosis. This study highlights the potential of attention mechanisms to identify subtle inter-class differences, thereby reducing the reliance on manual intervention. Full article
Show Figures

Figure 1

Back to TopTop