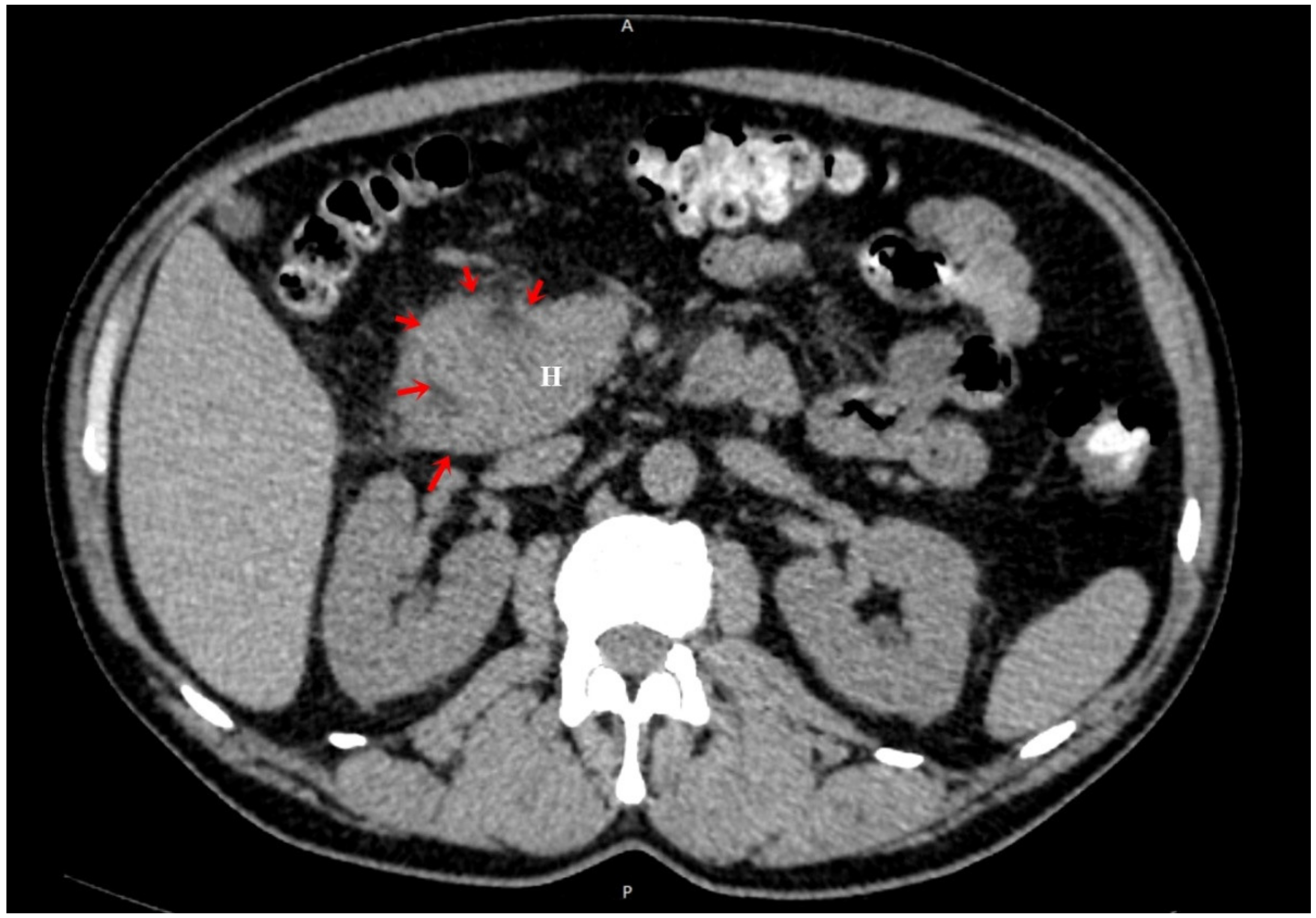
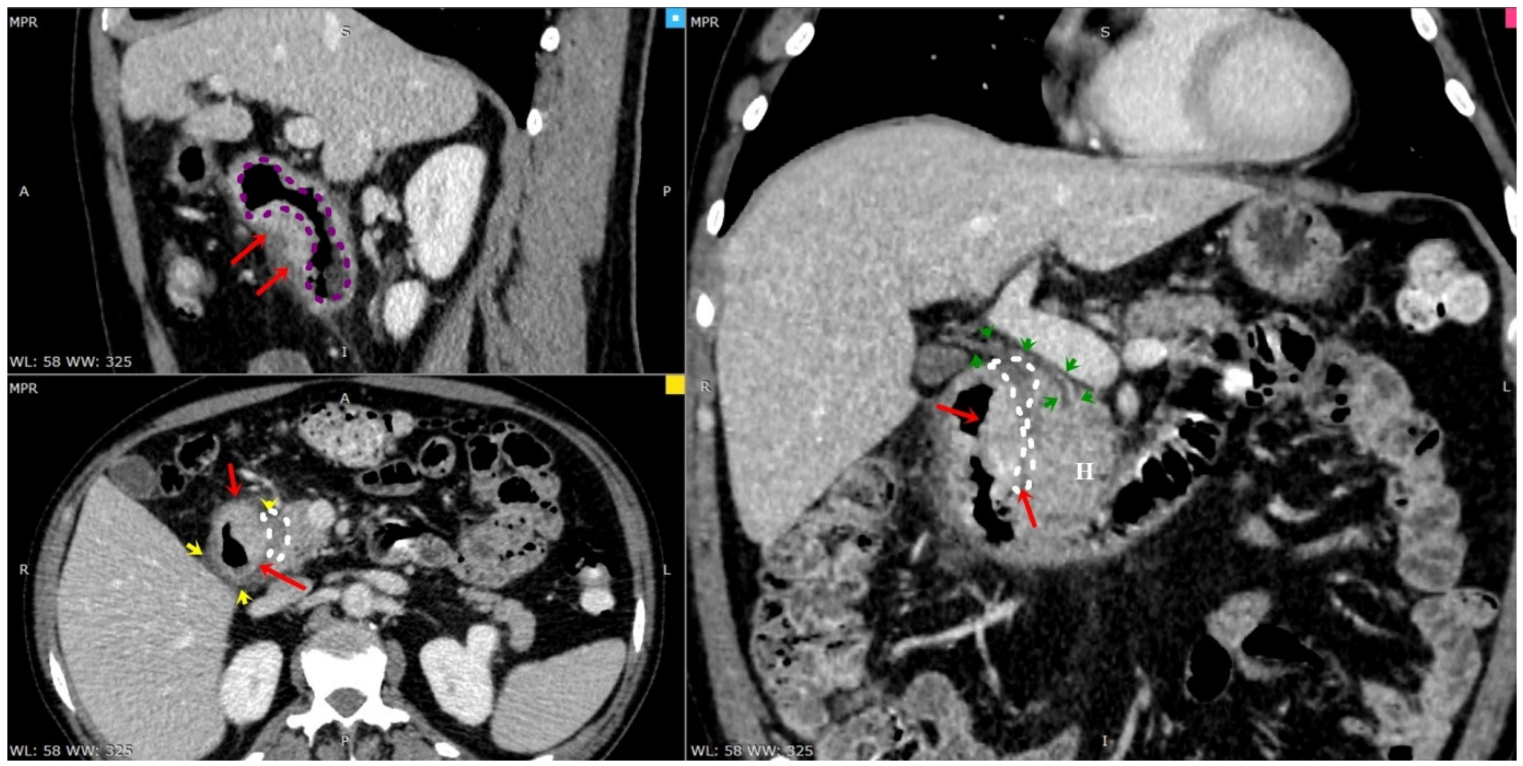
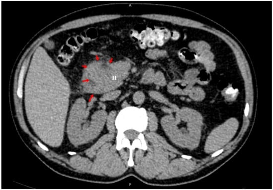
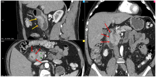
Groove Pancreatitis—Tumor-like Lesion of the Pancreas
Abstract
Author Contributions
Funding
Institutional Review Board Statement
Informed Consent Statement
Data Availability Statement
Acknowledgments
Conflicts of Interest
References
- Becker, V.; Mischke, U. Groove pancreatitis. Int. J. Pancreatol. 1991, 10, 173–182. [Google Scholar] [CrossRef] [PubMed]
- Pallisera-Lloveras, A.; Ramia-Ángel, J.M.; Vicens-Arbona, C.; Cifuentes-Rodenas, A. Groove pancreatitis. Rev. Esp. Enferm. Dig. 2015, 107, 280–288. [Google Scholar]
- Stolte, M.; Weiss, W.; Volkholz, H.; Rosch, W. A special form of segmental pancreatitis: “Groove pancreatitis”. Hepatogastroenterology 1982, 29, 198–208. [Google Scholar] [PubMed]
- Triantopoulou, C.; Dervenis, C.; Giannakou, N.; Papailiou, J.; Prassopoulos, P. Groove pancreatitis: A diagnostic challenge. Eur. Radiol. 2009, 19, 1736–1743. [Google Scholar] [CrossRef]
- Parga-Bermúdez, J.E.; Gómez-Zuleta, M.A. Groove pancreatitis mimicking pancreatic cancer: Case report and literature review. Rev. Colomb. Gastroenterol. 2021, 36 (Suppl. 1), 19–25. [Google Scholar]
- Goransky, J.; Alvarez, F.A.; Picco, P.; Spina, J.C.; Santibañes Md Mazza, O. Groove pancreatitis vs groove pancreatic adenocarcinoma. Report of two cases and review of the literature. Acta Gastroenterol. Latinoam. 2013, 43, 248–253. [Google Scholar]
- Fujita, N.; Shirai, Y.; Tsukada, K.; Kurosaki, I.; Iiai, T.; Hatakeyama, K. Groove pancreatitis with recurrent duodenal obstruction. Report of a case successfully treated with pylorus-preserving pancreaticoduodenectomy. Int. J. Pancreatol. 1997, 21, 85–88. [Google Scholar] [CrossRef]
- Raman, S.P.; Salaria, S.N.; Hruban, R.H.; Fishman, E.K. Groove pancreatitis: Spectrum of imaging findings and radiology-pathology correlation. Am. J. Roentgenol. 2013, 201, 29–39. [Google Scholar] [CrossRef]
- Patel, B.N.; Brooke Jeffrey, R.; Olcott, E.W.; Zaheer, A. Groove pancreatitis: A clinical and imaging overview. Abdom. Radiol. 2020, 45, 1439–4146. [Google Scholar] [CrossRef]
- Zaheer, A.; Haider, M.; Kawamoto, S.; Hruban, R.H.; Fishman, E.K. Dual-phase CT findings of groove pancreatitis. Eur. J. Radiol. 2014, 83, 1337–1343. [Google Scholar] [CrossRef]
- Blasbalg, R.; Baroni, R.; Costa, D.; Machado, M.C.C. MRI features of groove pancreatitis. Am. J. Roentgenol. 2007, 189, 73–80. [Google Scholar] [CrossRef]
- Irie, H.; Honda, H.; Kuroiwa, T.; Hanada, K.; Yoshimitsu, K.; Tajima, T.; Jimi, M.; Yamaguchi, K.; Masuda, K. MRI of groove pancreatitis. J. Comput. Assist. Tomogr. 1998, 22, 651–655. [Google Scholar] [CrossRef]
- Ferreira, A.; Ramalho, M.; Herédia, V.; de Campos, R.; Marques, P. Groove pancreatitis: A Case Report and Review of the Literature. J. Radiol. Case Rep. 2010, 4, 9–17. [Google Scholar] [CrossRef]
- Valentini, G.; Surace, M.; Grosso, S.; Vernetto, A.; Serra, A.M.; Andria, I.; Dario, M. Paraduodenal Pancreatitis: Many faces of the Same Diagnostic Challenge. Arch. Gastroenterol. Res. 2020, 1, 73–82. [Google Scholar]
- Wong, T.; Pattarapuntakul, T.; Netinatsunton, N.; Ovartlarnporn, B.; Sottisuporn, J.; Chamroonkul, N.; Sripongpun, P.; Jandee, S.; Kaewdech, A.; Attasaranya, S.; et al. Diagnostic performance of endoscopic ultrasound—Guided tissue acquisition by EUS–FNA versus EUS–FNB for solid pancreatic mass without ROSE: A retrospective study. World J. Surg Oncol. 2022, 20, 215. [Google Scholar] [CrossRef]
- Graziani, R.; Tapparelli, M.; Malago, R.; Girardi, V.; Fruolloni, L.; Cavallini, G.; Mucelli, R.P. The various imaging aspects of chronic pancreatitis. JOP 2005, 6, 73–88. [Google Scholar]
- Shanbhogue, A.K.; Fasih, N.; Surabhi, V.R.; Doherty, G.P.; Shanbhogue, D.K.; Sethi, S.K. A clinical and radiologic review of uncommon types and causes of pancreatitis. RadioGraphics 2009, 29, 1003–1026. [Google Scholar] [CrossRef]
- Ishigami, K.; Tajima, T.; Nishie, A.; Kakihara, D.; Fujita, M.; Asayama, Y.; Ushijima, Y.; Irie, H.; Nakamura, M.; Takahata, S.; et al. Differential diagnosis of groove pancreatic carcinomas vs. groove pancreatitis: Usefulness of the portal venous phase. Eur. J. Radiol. 2010, 74, 95–100. [Google Scholar] [CrossRef]
- Gabata, T.; Kadoya, M.; Terayama, N.; Sanada, J.; Kobayashi, S.; Matsui, O. Groove pancreatic carcinomas: Radiological and pathological findings. Eur. Radiol. 2003, 13, 1679–1684. [Google Scholar] [CrossRef]
- Chantarojanasiri, T.; Isayama, H.; Nakai, Y.; Matsubara, S.; Yamamoto, N.; Takahara, N.; Mizuno, S.; Hamada, T.; Kogure, H.; Koike, K. Groove pancreatitis: Endoscopic treatment via the minor papilla and duct of Santorini morphology. Gut Liver 2018, 12, 208–213. [Google Scholar] [CrossRef]
- Tarvainen, T.; Nykänen, T.; Parviainen, H.; Kuronen, J.; Kylänpää, L.; Sirén, J.; Kokkola, A.; Sallinen, V. Diagnosis, natural course and treatment outcomes of groove pancreatitis. HPB 2021, 23, 1244–1252. [Google Scholar] [CrossRef] [PubMed]
- Lekkerkerker, S.J.; Nio, C.Y.; Issa, Y.; Fockens, P.; Verheij, J.; Busch, O.R.; van Gulik, T.M.; Rauws, E.A.; Boermeester, M.A.; van Hooft, J.E.; et al. Clinical outcomes and prevalence of cancer in patients with possible groove pancreatitis. J. Gastroenterol. Hepatol. 2016, 31, 1895–1900. [Google Scholar] [CrossRef] [PubMed]
- Arvanitakis, M.; Rigaux, J.; Toussaint, E.; Eisendrath, P.; Bali, M.A. Endotherapy for paraduodenal pancreatitis: A large retrospective case series. Endoscopy 2014, 46, 580–587. [Google Scholar] [CrossRef] [PubMed]





Disclaimer/Publisher’s Note: The statements, opinions and data contained in all publications are solely those of the individual author(s) and contributor(s) and not of MDPI and/or the editor(s). MDPI and/or the editor(s) disclaim responsibility for any injury to people or property resulting from any ideas, methods, instructions or products referred to in the content. |
© 2023 by the authors. Licensee MDPI, Basel, Switzerland. This article is an open access article distributed under the terms and conditions of the Creative Commons Attribution (CC BY) license (https://creativecommons.org/licenses/by/4.0/).
Share and Cite
Gábos, G.; Nicolau, C.; Martin, A.; Moșteanu, O. Groove Pancreatitis—Tumor-like Lesion of the Pancreas. Diagnostics 2023, 13, 866. https://doi.org/10.3390/diagnostics13050866
Gábos G, Nicolau C, Martin A, Moșteanu O. Groove Pancreatitis—Tumor-like Lesion of the Pancreas. Diagnostics. 2023; 13(5):866. https://doi.org/10.3390/diagnostics13050866
Chicago/Turabian StyleGábos, Gabriella, Carmen Nicolau, Alexandra Martin, and Ofelia Moșteanu. 2023. "Groove Pancreatitis—Tumor-like Lesion of the Pancreas" Diagnostics 13, no. 5: 866. https://doi.org/10.3390/diagnostics13050866
APA StyleGábos, G., Nicolau, C., Martin, A., & Moșteanu, O. (2023). Groove Pancreatitis—Tumor-like Lesion of the Pancreas. Diagnostics, 13(5), 866. https://doi.org/10.3390/diagnostics13050866
