Enigmatic Formations Found in Routine Orthopantomography (OPG) Examinations: A Case Report
Abstract
1. Introduction
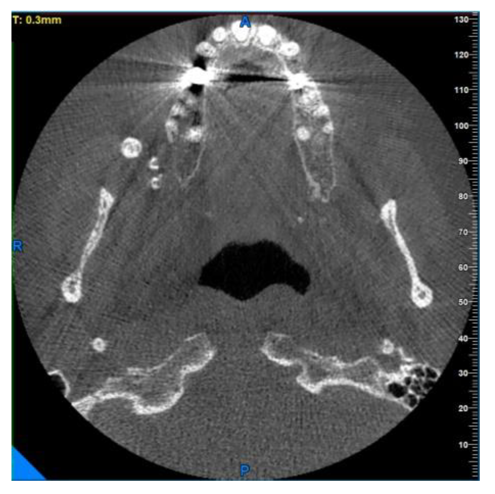
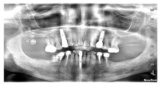
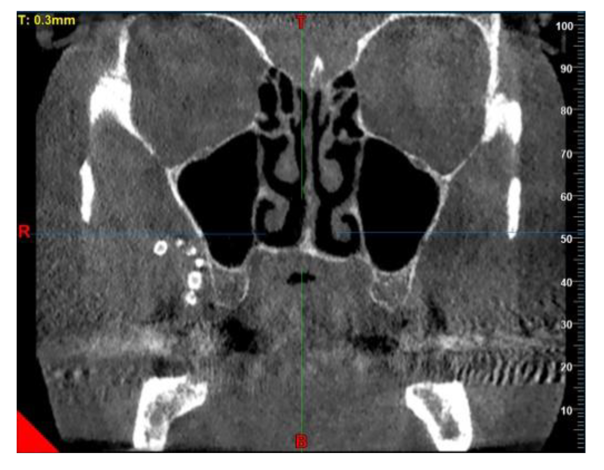
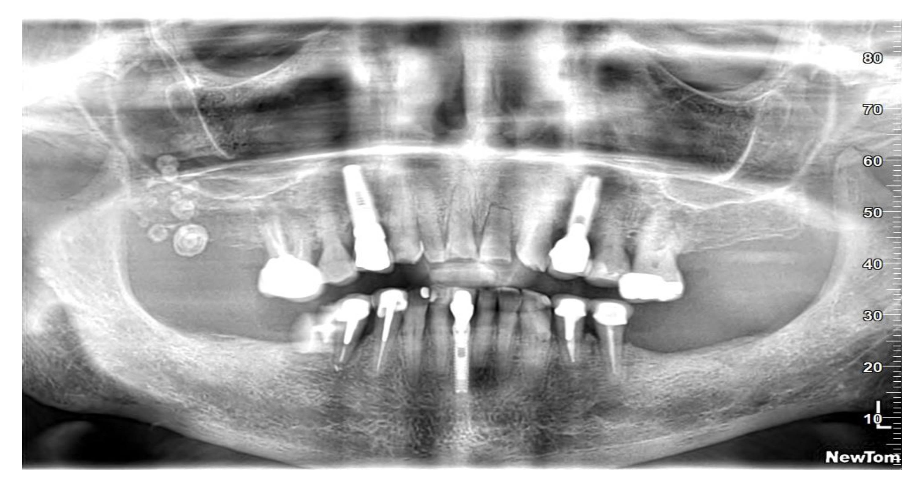
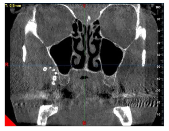
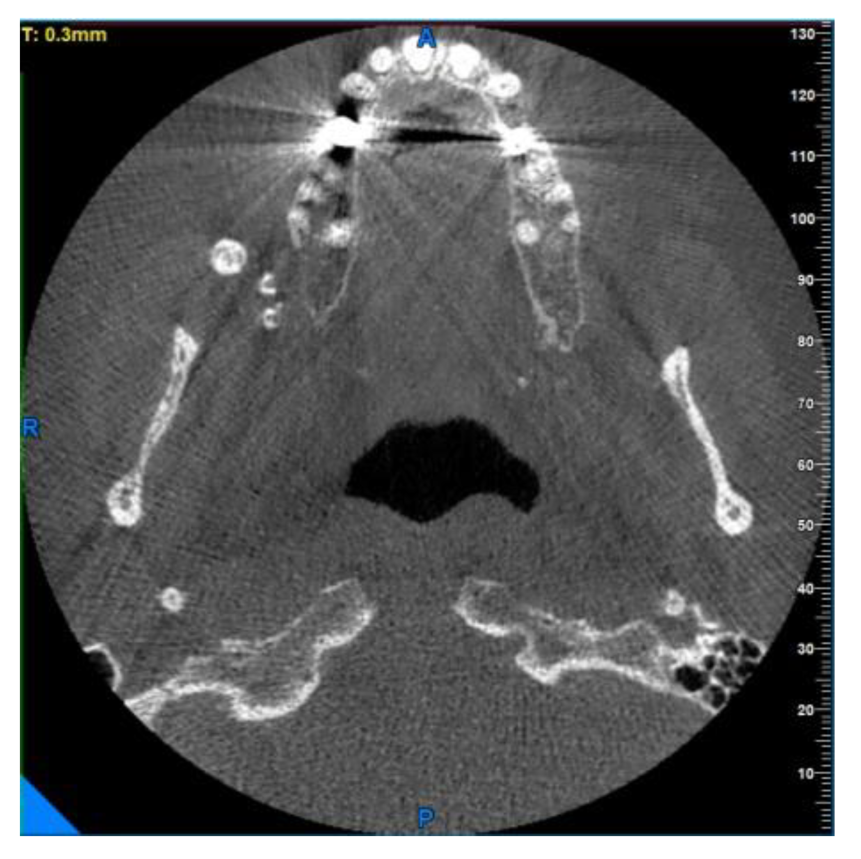
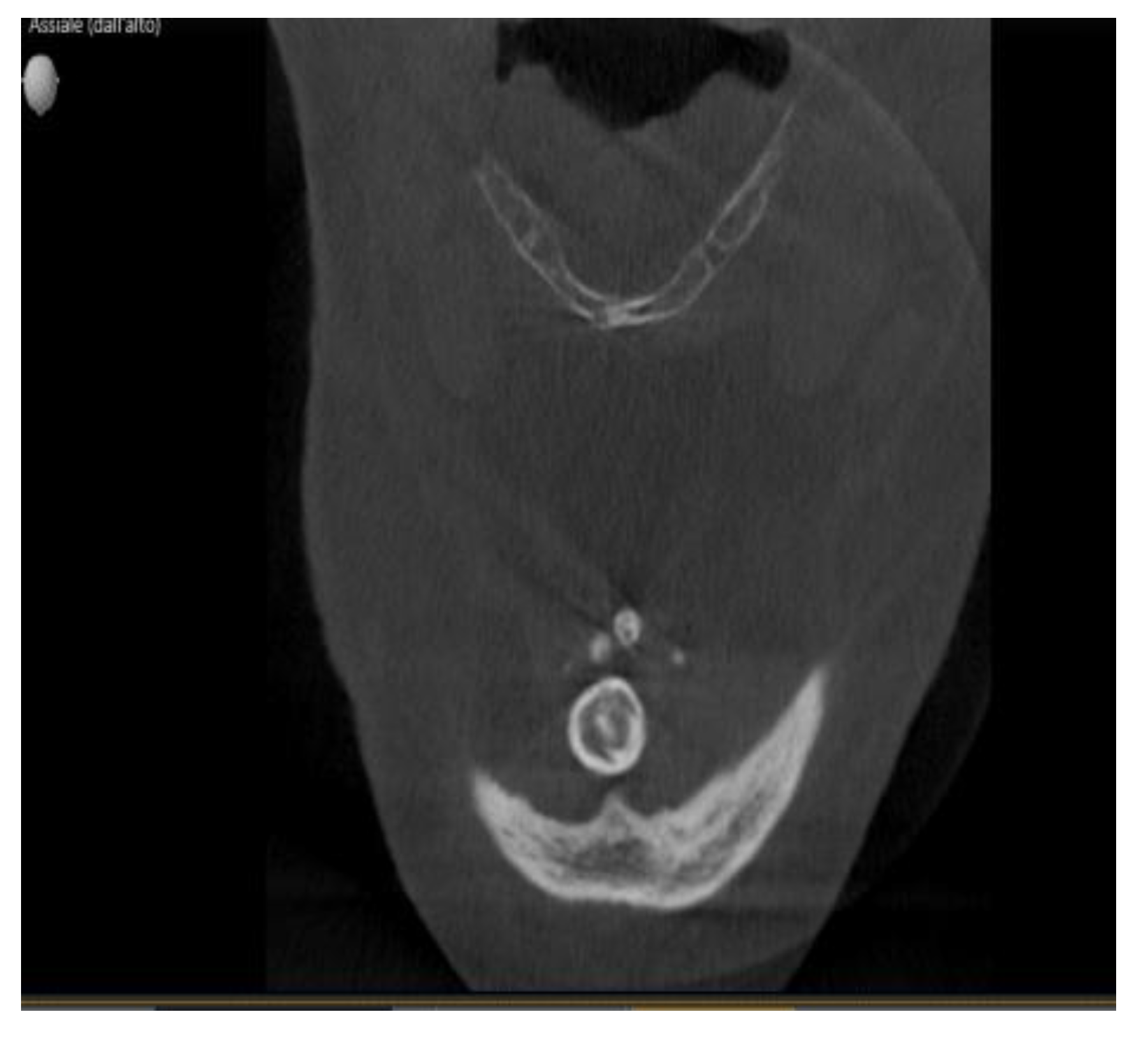
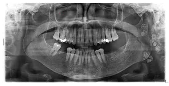
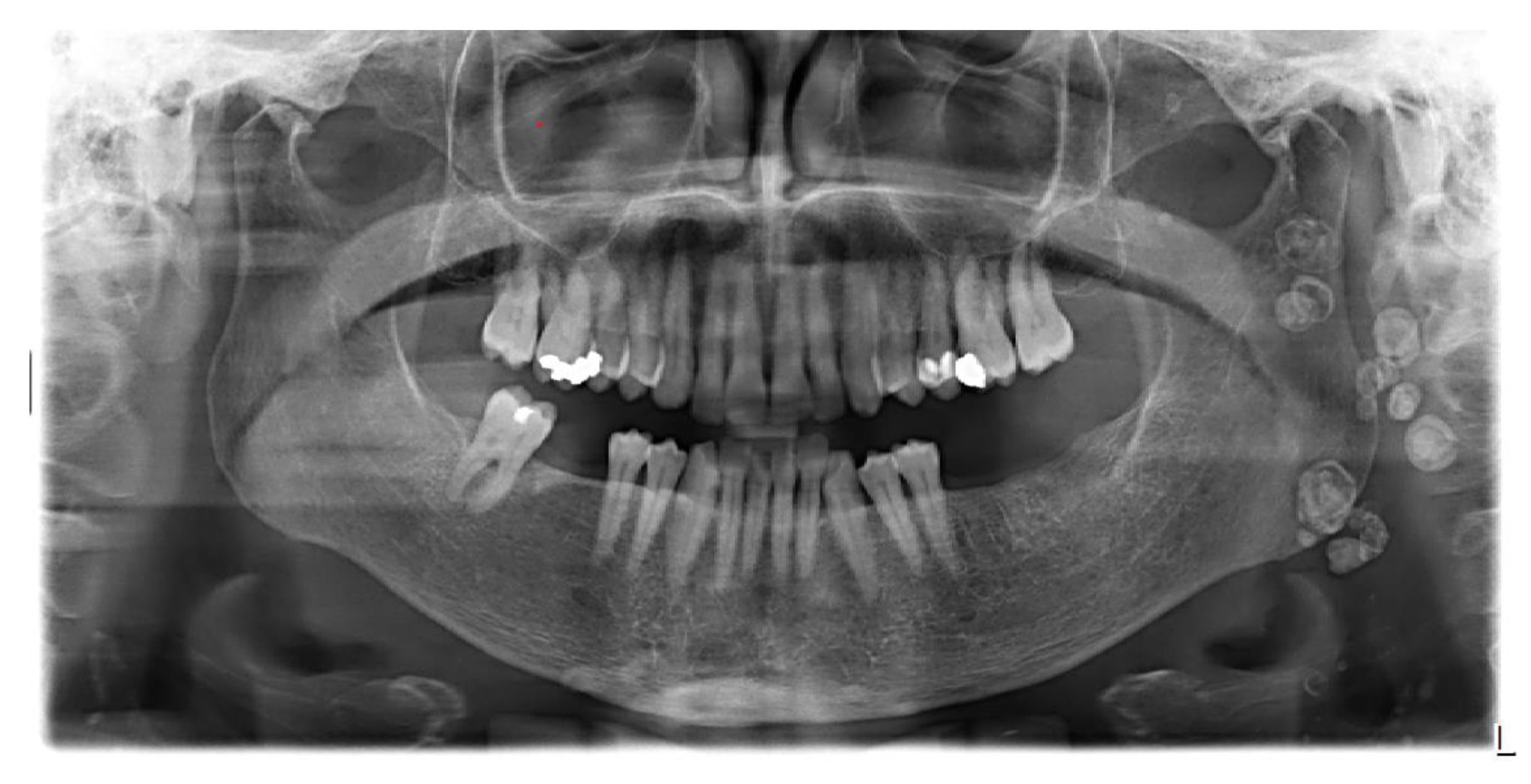
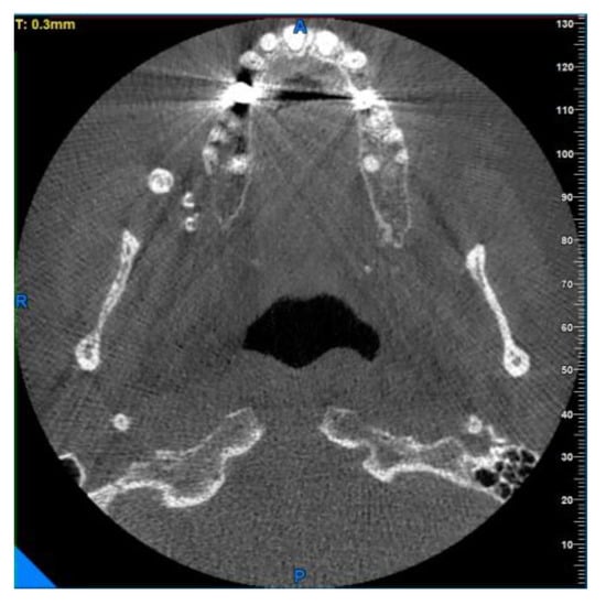
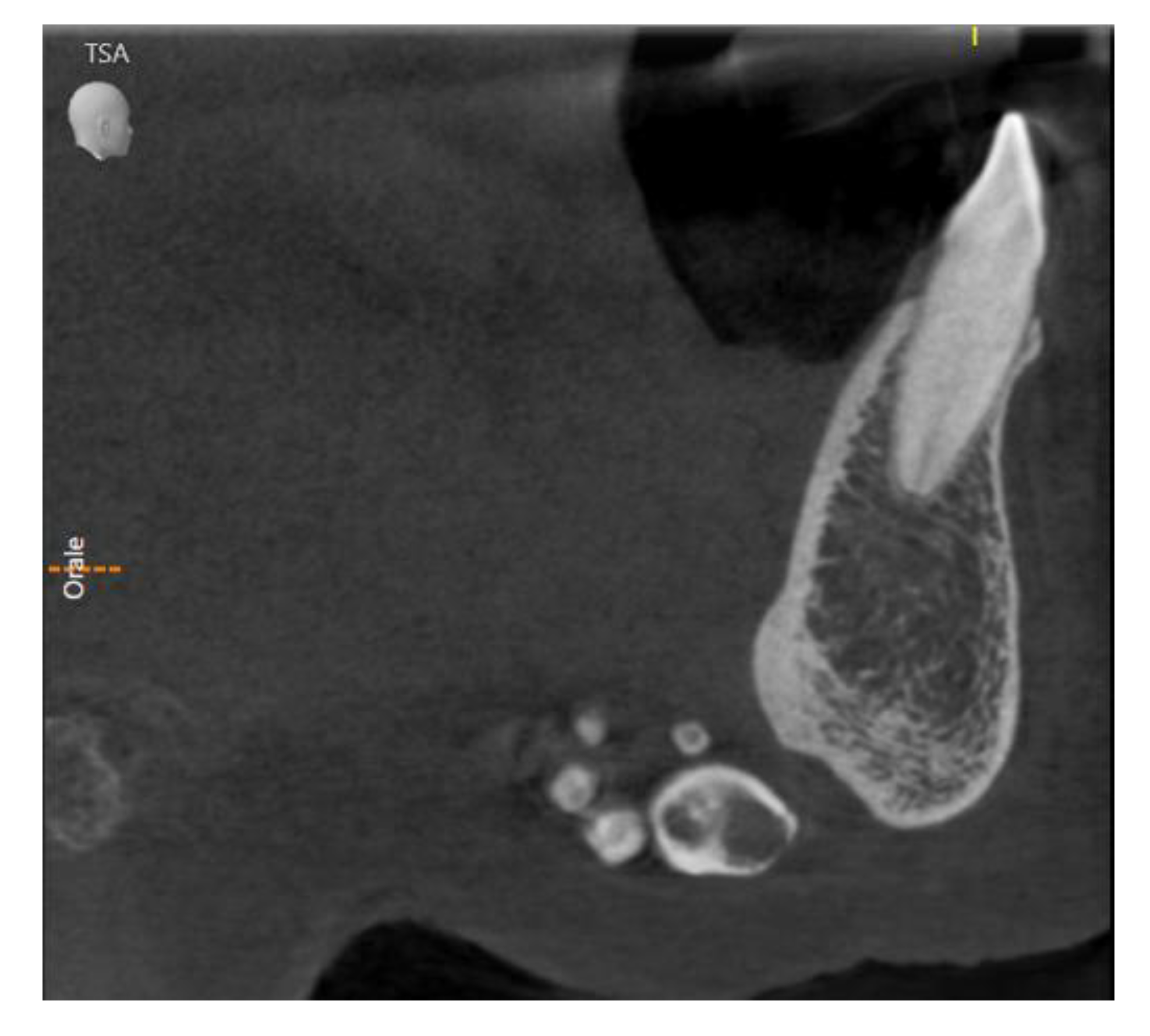
2. Case Presentation
3. Discussion
4. Conclusions
Author Contributions
Funding
Institutional Review Board Statement
Informed Consent Statement
Acknowledgments
Conflicts of Interest
References
- Van der Stelt, P.F. Panoramic radiographs in dental diagnostics. Ned. Tijdschr. Voor Tandheelkd. 2016, 123, 181–187. [Google Scholar] [CrossRef] [PubMed]
- Perschbacher, S. Interpretation of panoramic radiographs. Aust. Dent. J. 2012, 57 (Suppl. 1), 40–45. [Google Scholar] [CrossRef] [PubMed]
- Hingst, V.; Weber, M.A. Dental X-ray diagnostics with the orthopantomography—Technique and typical imaging results. Radiologe 2020, 60, 77–92. [Google Scholar] [CrossRef] [PubMed]
- Legg, L. Panoramic radiography. Radiol. Technol. 2005, 76, 197–207. [Google Scholar]
- Seidel, W. Mistakes and errors in panoramic tomographic radiography. Dtsch. Zahnarztl. Z. 1974, 29, 307–311. [Google Scholar]
- Franz, G.; Werbatus, H.J. Mistakes in congruent orthopantomograms in patients with complete dentures. Dtsch. Zahnarztl. Z. 1974, 29, 324–326. [Google Scholar]
- Glass, B.J.; Seals, R.R., Jr. Williams EO. Common errors in panoramic radiography of edentulous patients. J. Prosthodont. 1994, 3, 68–73. [Google Scholar] [CrossRef]
- Barsony, T. Idiopathische stensongangdilatation. Klin. Wochenschr. 1925, 4, 2500. [Google Scholar] [CrossRef]
- Carlsten, D.B. Lipiodolinjektion in den ausfuehrunsgang der speicheldruesen. Acta Radiol. 1926, 6, 221. [Google Scholar] [CrossRef]
- Rubin, P.; Blatt, I.M.; Holt, J.F.; Maxwell, J.H. Physiological or secretory sialography. Ann. Otol. Rhinol. Laryngol. 1955, 64, 667. [Google Scholar] [CrossRef]
- Holtgrave, E.; Elke, M.; Lüthy, H. Sialography with Telebrix 38: A comparative study with Lipiodol UF inthe diagnosis of salivary gland diseases. Dentomaxillofac. Radiol. 1973, 2, 68. [Google Scholar] [CrossRef] [PubMed]
- Carroll, B.A.; Goldin, A.R. Sialography: A simplified technique. Radiology 1975, 117, 220. [Google Scholar] [CrossRef] [PubMed]
- Manashil, G.B. Sialography—A simple procedure. Med. Radiogr. Photogr. 1976, 52, 34. [Google Scholar] [PubMed]
- El-Hadary, A.; Ruprecht, A. Long-term retention of contrast medium in sialography: A case report. Dentomaxillofac. Radiol. 1986, 15, 41–44. [Google Scholar] [CrossRef]
- Shigetaka, Y.; Masatsugu, S.; Yoshikuni, F.; Yoshihiro, T. Parotid and pterygomaxillary lipogranuloma caused by oil-based contrast medium used for sialography: Report of a case. J. Oral Maxillofac. Surg. 1996, 54, 350–353. [Google Scholar] [CrossRef]
- Ozdemir, D.; Polat, N.T.; Polat, S. Lipiodol UF retention in dental sialography. Br. J. Radiol. 2004, 77, 1040–1041. [Google Scholar] [CrossRef]
- Macan, D.; Hat, J.; Luksic, I. Lipiodol ultra-fluid—Foreign body in the cheek. Dentomaxillofac. Radiol. 2008, 37, 171–174. [Google Scholar] [CrossRef]
- Schortinghuis, J.; Pijpe, J.; Spijkervet, F.K.; Vissink, A. Retention of lipiodol after parotid gland sialography. Int. J. Oral Maxillofac. Surg. 2009, 38, 346–349. [Google Scholar] [CrossRef]
- Schilt, P.N.; Fritsch, M.H. Ethiodol extravasation during sialography. Otolaryngol. Head Neck Surg. 2011, 144, 294–295. [Google Scholar] [CrossRef]
- Silvers, A.R.; Som, P.M. Salivary glands. Radiol. Clin. N. Am. 1998, 36, 941–966. [Google Scholar] [CrossRef]
- Holmberg, K.V.; Hoffman, M.P. Anatomy, biogenesis and regeneration of salivary glands. Monogr. Oral Sci. 2014, 24, 1–13. [Google Scholar] [PubMed]
- Porcheri, C.; Mitsiadis, T.A. Physiology, Pathology and Regeneration of Salivary Glands. Cells 2019, 8, 976. [Google Scholar] [CrossRef] [PubMed]
- Afzelius, P.; Nielsen, M.Y.; Ewertsen, C.; Bloch, K.P. Imaging of the major salivary glands. Clin. Physiol. Funct. Imaging 2016, 36, 1–10. [Google Scholar] [CrossRef] [PubMed]
- Giardino, C.; Porta, E.; Cozzolino, A.; Angelillo, M. Sialography in sialadenitis. Arch. Stomatol. 1975, 16, 219–244. [Google Scholar]
- Tassart, M.; Zeitoun, D.; Iffenecker, C.; Bahlouli, F.; Bigot, J.M.; Boudghène, F. MR Sialography. J. Radiol. 2003, 84, 15–26. [Google Scholar] [PubMed]
- Huston, M.; Collard, B.; Blanco-Guzman, M. Sialography—More than an image. Clin. Otolaryngol. 2015, 40, 740–741. [Google Scholar] [CrossRef] [PubMed]
- Holt, J.F. Sialography. Radiology 1957, 68, 584–585. [Google Scholar] [CrossRef]
- Colmenero Ruiz, B. Sialography. Rev. Asoc. Odontol. Argent 1969, 57, 101–108. [Google Scholar]
- Qwarnstrom, E.E.; Bodner, L.; Baum, B.; Hand, A.R.; Omnell, K.A.H. Saliva secretion from the rat submandibular gland after retrograde infusion of radiographic contrast medium. J. Dent. Res. 1984, 63, 614. [Google Scholar] [CrossRef]
- Kowalczyk, D.M.; Jordan, J.R.; Stringer, S.P. Cost-effectiveness of sialendoscopy versus medical management for radioiodine-induced sialadenitis. Laryngoscope 2018, 128, 1822–1828. [Google Scholar] [CrossRef]
- Tucci, F.M.; Roma, R.; Bianchi, A.; De Vincentiis, G.C.; Bianchi, P.M. Juvenile recurrent parotitis: Diagnostic and therapeutic effectiveness of sialography. Retrospective study on 110 children. Int. J. Pediatr. Otorhinolaryngol. 2019, 124, 179–184. [Google Scholar] [CrossRef] [PubMed]
- Sharouny, H.; Omar, R.B. Iatrogenic submandibular duct rupture complicating sialography: A case report. Iran. Red Crescent Med. J. 2014, 16, e7882. [Google Scholar] [CrossRef]
- Verhoeven, J.W. Choice of contrast medium in sialography. Oral Surg. 1975, 57, 323. [Google Scholar] [CrossRef] [PubMed]
- Qwarnstrom, E.E.; Hand, A.R. A light and electron microscopic study of the distribution and effects of lipid-soluble radiographic contrast medium after retrograde infusion into the rat submandibular salivary gland. Arch. Oral Biol. 1982, 27, 705–714. [Google Scholar] [CrossRef] [PubMed]
- Qwarnstrom, E.E.; Hand, A.R. A morphologic study of the rat submandibular gland after retrograde infusion. II. Lipid-soluble radiographic contrast medium. J. Oral Pathol. 1983, 12, 430. [Google Scholar] [CrossRef] [PubMed]
- Qwarnstrom, E.E.; Hand, A.R. A light and electron microscopic study of the distribution and effects of water-soluble radiographic contrast medium after retrograde infusion into the rat submandibular salivary gland. Arch. Oral Biol. 1982, 27, 117–127. [Google Scholar] [CrossRef]
- Qwarnstrom, E.E.; Omnell, K.A.H.; Hand, A.R. A morphologic study of the rat submandibular gland after retrograde infusion. I. Water-soluble radiographic contrast medium. J. Oral Pathol. 1983, 12, 417. [Google Scholar] [CrossRef]
- Aiyekomogbon, J.O.; Babatunde, L.B.; Salam, A.J. Submandibular sialolithiasis: The roles of radiology in its diagnosis and treatment. Ann. Afr. Med. 2018, 17, 221–224. [Google Scholar] [CrossRef]
- Rzymska-Grala, I.; Stopa, Z.; Grala, B.; Gołębiowski, M.; Wanyura, H.; Zuchowska, A.; Sawicka, M.; Zmorzyński, M. Salivary gland calculi—Contemporary methods of imaging. Pol. J. Radiol. 2010, 75, 25–37. [Google Scholar]
- Drage, N.A.; Brown, J.E. Cone beam computed sialography of sialoliths. Dentomaxillofac. Radiol. 2009, 38, 301–305. [Google Scholar] [CrossRef]
- Günaydin, Y.; Karakurumer, K.; Oztürk, A.; Sahin, M. Sialolithiasis. Ankara Univ. Hekim. Fak. Derg. 1989, 16, 493–496. [Google Scholar] [PubMed]
- Damm, D.D. Oral diagnosis. Panoramic radiopacities. Sialolithiasis. Gen. Dent. 2007, 55, 592–595. [Google Scholar] [PubMed]
- Jardim, E.C.; Ponzoni, D.; de Carvalho, P.S.; Demétrio, M.R.; Aranega, A.M. Sialolithiasis of the submandibular gland. J. Craniofac. Surg. 2011, 22, 1128–1131. [Google Scholar] [CrossRef] [PubMed]








| Title | Author | Year of Publication | Contrast Medium | Number of Patients |
|---|---|---|---|---|
| Long-term retention of contrast medium in sialography: a case report [14]. | A. El-Hadary, A. Ruprecht | 1986 | Lipiodol | 1 |
| Parotid and pterygomaxillary lipogranuloma caused by oil-based contrast medium used for sialography: report of a case [15]. | Y. Shigetaka, S. Masatsugu, F. Yoshikuni, T. Yoshihiro | 1996 | Lipiodol | 1 |
| Lipiodol UF retention in dental sialography [16]. | D. Ozdemir, N.T. Polat, S. Polat | 2004 | Lipiodol UF | 1 |
| Lipiodol ultra-fluid—foreign body in the cheek [17]. | D. Macan, J. Hat, I. Luksic | 2007 | Lipiodol | 1 |
| Retention of lipiodol after parotid gland sialography [18]. | J. Schortinghuis, J. Pijpe, F.K.L. Spijkervet, A. Vissink | 2009 | Lipiodol UF | 28 |
| Ethiodol extravasation during sialography [19]. | P.N. Schilt, M.H. Fritsch | 2010 | Ethiodol | 1 |
Disclaimer/Publisher’s Note: The statements, opinions and data contained in all publications are solely those of the individual author(s) and contributor(s) and not of MDPI and/or the editor(s). MDPI and/or the editor(s) disclaim responsibility for any injury to people or property resulting from any ideas, methods, instructions or products referred to in the content. |
© 2023 by the authors. Licensee MDPI, Basel, Switzerland. This article is an open access article distributed under the terms and conditions of the Creative Commons Attribution (CC BY) license (https://creativecommons.org/licenses/by/4.0/).
Share and Cite
Nocini, R.; Sacchetto, L.; Zarantonello, M.; Pardo, A.; Bonioli, M.; De Santis, D. Enigmatic Formations Found in Routine Orthopantomography (OPG) Examinations: A Case Report. Diagnostics 2023, 13, 840. https://doi.org/10.3390/diagnostics13050840
Nocini R, Sacchetto L, Zarantonello M, Pardo A, Bonioli M, De Santis D. Enigmatic Formations Found in Routine Orthopantomography (OPG) Examinations: A Case Report. Diagnostics. 2023; 13(5):840. https://doi.org/10.3390/diagnostics13050840
Chicago/Turabian StyleNocini, Riccardo, Luca Sacchetto, Morris Zarantonello, Alessia Pardo, Michele Bonioli, and Daniele De Santis. 2023. "Enigmatic Formations Found in Routine Orthopantomography (OPG) Examinations: A Case Report" Diagnostics 13, no. 5: 840. https://doi.org/10.3390/diagnostics13050840
APA StyleNocini, R., Sacchetto, L., Zarantonello, M., Pardo, A., Bonioli, M., & De Santis, D. (2023). Enigmatic Formations Found in Routine Orthopantomography (OPG) Examinations: A Case Report. Diagnostics, 13(5), 840. https://doi.org/10.3390/diagnostics13050840

