Multi-Contrast Differentiation by Dual-Energy Spectral CT Angiography in a Patient with Pulmonary Barium Granulomas
Abstract
1. Introduction
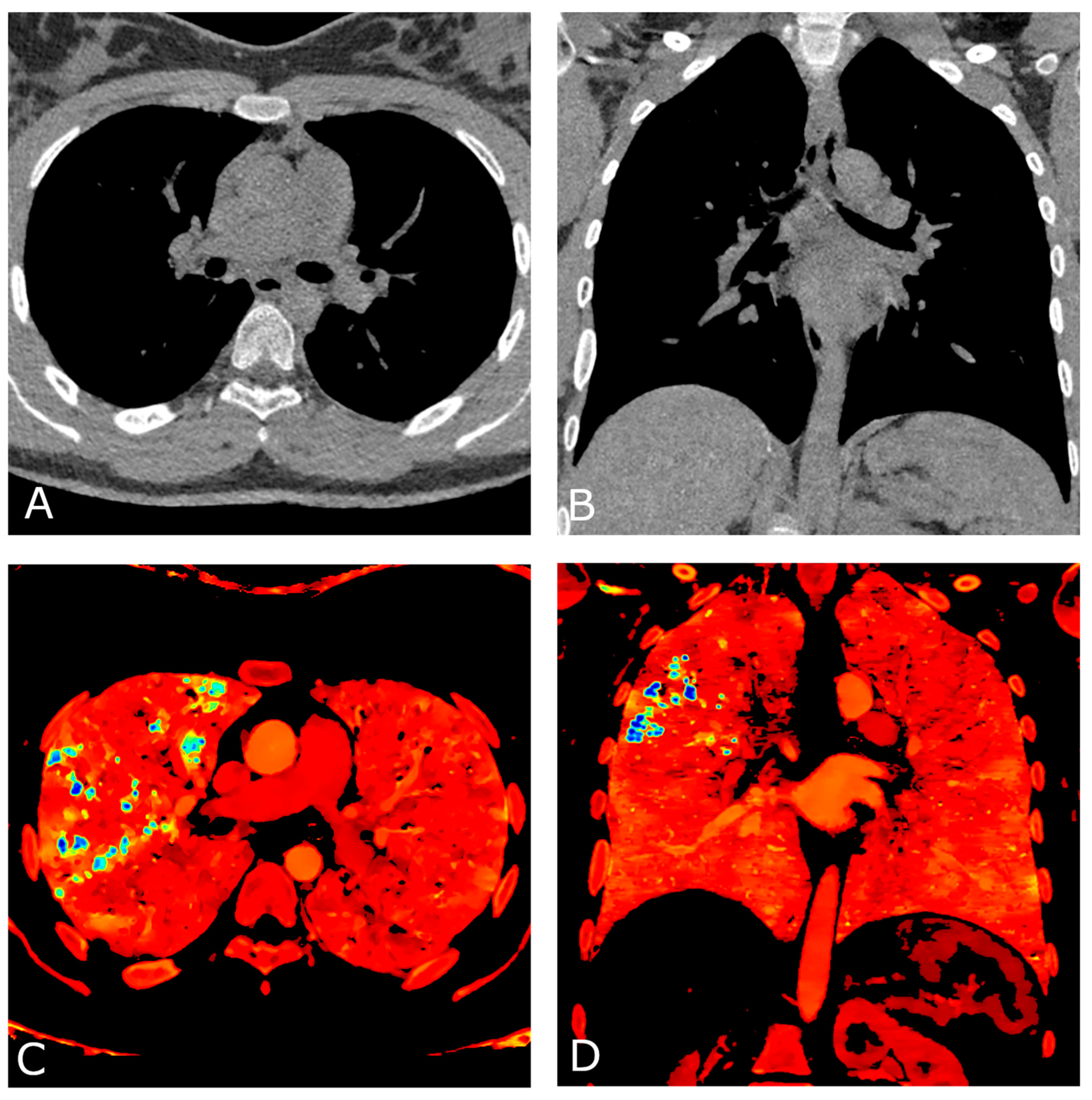
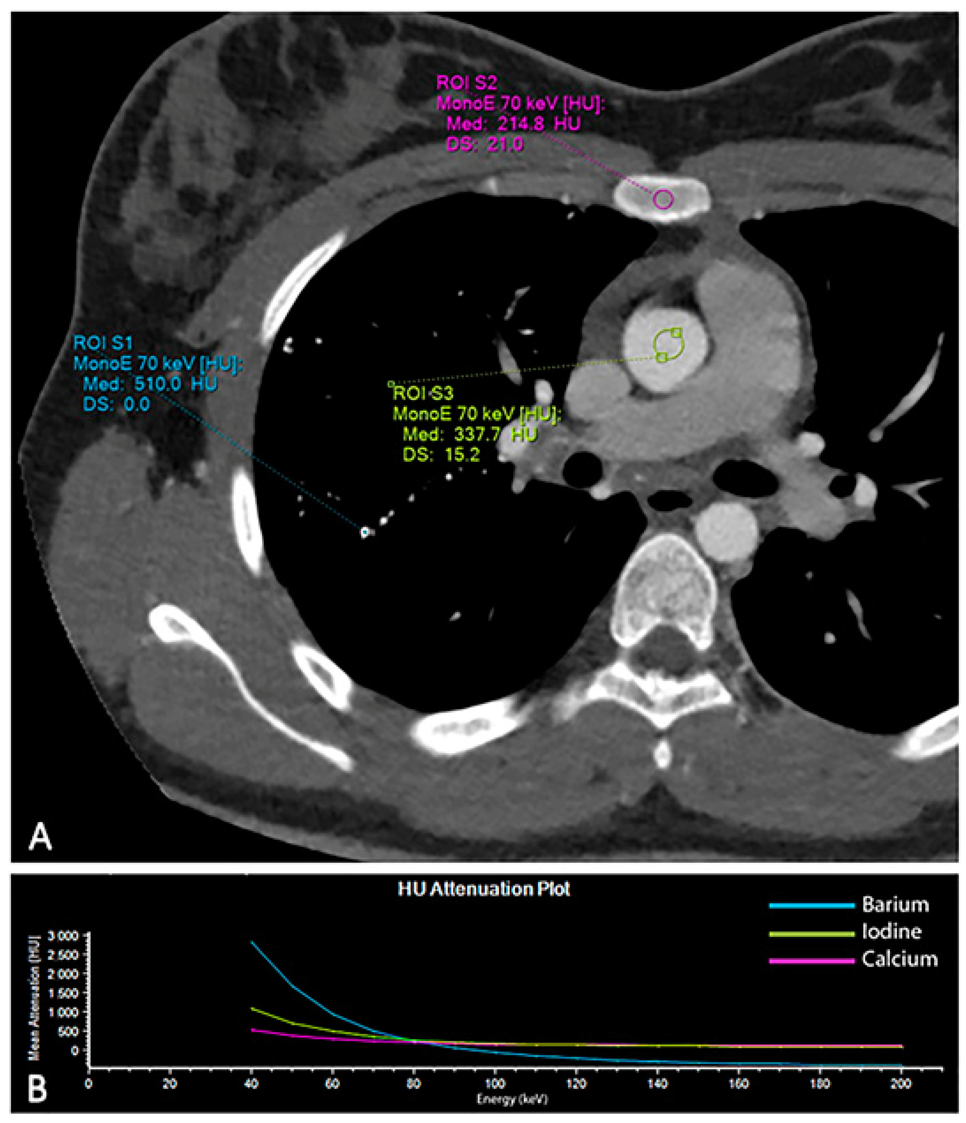
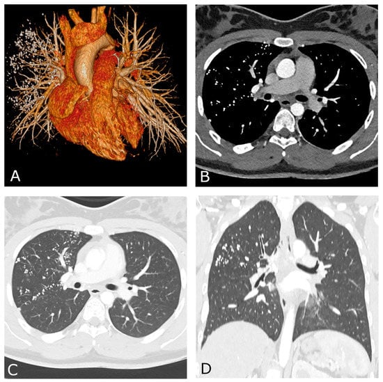
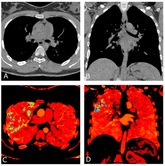
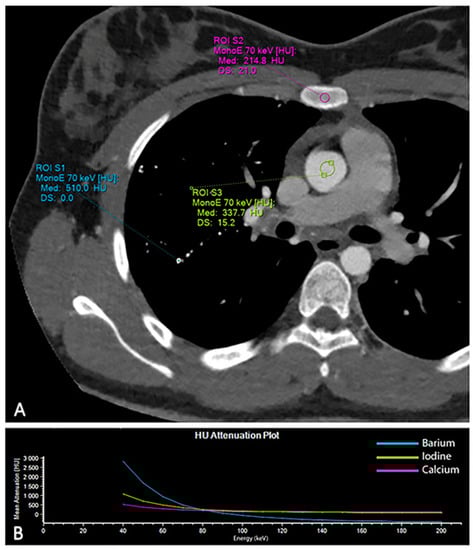
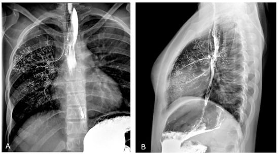
2. Case Report
3. Discussion
Author Contributions
Funding
Institutional Review Board Statement
Informed Consent Statement
Data Availability Statement
Conflicts of Interest
References
- Doig, A.T. Baritosis: A benign pneumoconiosis. Thorax 1976, 31, 30–39. [Google Scholar] [CrossRef]
- Rasley, A.; Logemann, J.; Kahrilas, P.J.; Rademaker, A.W.; Pauloski, B.R.; Dodds, W.J. Prevention of barium aspiration during videofluoroscopic swallowing studies: Value of change in posture. Am. J. Roentgenol. 1993, 160, 1005–1009. [Google Scholar] [CrossRef]
- Alqurashi, M.M.; Alshammari, M.A.; Al-Jahdali, H. Barium aspiration through a tracheo-oesophageal fistula caused by percutaneous tracheostomy. BMJ Case Rep. 2017, 2017, bcr2017220486. [Google Scholar] [CrossRef]
- De Bernardo, G.; Sordino, D.; Giordano, M.; Doglioni, N.; Trevisanuto, D. Persistent bronchography in a newborn with esophageal atresia. Radiol. Case Rep. 2016, 11, 113–115. [Google Scholar] [CrossRef]
- Voloudaki, A.; Ergazakis, N.; Gourtsoyiannis, N. Late changes in barium sulfate aspiration: HRCT features. Eur. Radiol. 2003, 13, 2226–2229. [Google Scholar] [CrossRef]
- Rassouli, N.; Etesami, M.; Dhanantwari, A.; Rajiah, P. Detector-based spectral CT with a novel dual-layer technology: Principles and applications. Insights Imaging 2017, 8, 589–598. [Google Scholar] [CrossRef]
- Koch, V.; Yel, I.; Grünewald, L.D.; Beckers, S.; Burck, I.; Lenga, L.; Martin, S.S.; Mader, C.; Wichmann, J.L.; Albrecht, M.H.; et al. Assessment of thoracic disk herniation by using virtual noncalcium dual-energy CT in comparison with standard grayscale CT. Eur. Radiol. 2021, 31, 9221–9231. [Google Scholar] [CrossRef]
- Koch, V.; Müller, F.C.; Gosvig, K.; Albrecht, M.H.; Yel, I.; Lenga, L.; Martin, S.S.; Cavallaro, M.; Wichmann, J.L.; Mader, C.; et al. Incremental diagnostic value of color-coded virtual non-calcium dual-energy CT for the assessment of traumatic bone marrow edema of the scaphoid. Eur. Radiol. 2021, 31, 4428–4437. [Google Scholar] [CrossRef]
- Arendt, C.T.; Czwikla, R.; Lenga, L.; Wichmann, J.L.; Albrecht, M.H.; Booz, C.; Martin, S.S.; Leithner, D.; Tischendorf, P.; Blandino, A.; et al. Improved coronary artery contrast enhancement using noise-optimised virtual monoenergetic imaging from dual-source dual-energy computed tomography. Eur. J. Radiol. 2020, 122, 108666. [Google Scholar] [CrossRef]
- D’Angelo, T.; Cicero, G.; Mazziotti, S.; Ascenti, G.; Albrecht, M.H.; Martin, S.S.; Othman, A.E.; Vogl, T.J.; Wichmann, J.L. Dual energy computed tomography virtual monoenergetic imaging: Technique and clinical applications. Br. J. Radiol. 2019, 92, 20180546. [Google Scholar] [CrossRef]
- D’Angelo, T.; Lenga, L.; Arendt, C.T.; Bucher, A.M.; Peterke, J.L.; Caruso, D.; Mazziotti, S.; Ascenti, G.; Blandino, A.; Othman, A.E.; et al. Carotid and cerebrovascular dual-energy computed tomography angiography: Optimization of window settings for virtual monoenergetic imaging reconstruction. Eur. J. Radiol. 2020, 130, 109166. [Google Scholar] [CrossRef]
- Lenga, L.; Leithner, D.; Peterke, J.L.; Albrecht, M.H.; Gudauskas, T.; D’Angelo, T.; Booz, C.; Hammerstingl, R.; Vogl, T.J.; Martin, S.S.; et al. Comparison of Radiation Dose and Image Quality of Contrast-Enhanced Dual-Source CT of the Chest: Single-Versus Dual-Energy and Second-Versus Third-Generation Technology. Am. J. Roentgenol. 2019, 212, 741–747. [Google Scholar] [CrossRef]
- Tamm, I.; Kortsik, C. Severe Barium Sulfate Aspirationinto the Lung: Clinical Presentation, Prognosis and Therapy. Respiration 1999, 66, 81–84. [Google Scholar] [CrossRef]
- Gray, C.; Sivaloganathan, S.; Simpkins, K.C. Aspiration of high-density barium contrast medium causing acute pulmonary inflammation—Report of two fatal cases in elderly women with disordered swallowing. Clin. Radiol. 1989, 40, 397–400. [Google Scholar] [CrossRef]
- Akata, S.; Park, J.; Shindo, H.; Yoshimura, M.; Kakizaki, D.; Abe, K. Barium aspiration showing crazy-paving appearance on high-resolution computed tomography: Barium Aspiration Showing a Crazy-Paving Appearance. Australas. Radiol. 2007, 51, B235–B237. [Google Scholar] [CrossRef]
- Anderson, N.G.; Butler, A.P.; Scott, N.J.A.; Cook, N.J.; Butzer, J.S.; Schleich, N.; Firsching, M.; Grasset, R.; De Ruiter, N.; Campbell, M.; et al. Spectroscopic (multi-energy) CT distinguishes iodine and barium contrast material in MICE. Eur. Radiol. 2010, 20, 2126–2134. [Google Scholar] [CrossRef]
- Kaltenbach, B.; Wichmann, J.L.; Pfeifer, S.; Albrecht, M.H.; Booz, C.; Lenga, L.; Hammerstingl, R.; D’Angelo, T.; Vogl, T.J.; Martin, S.S. Iodine quantification to distinguish hepatic neuroendocrine tumor metastasis from hepatocellular carcinoma at dual-source dual-energy liver CT. Eur. J. Radiol. 2018, 105, 20–24. [Google Scholar] [CrossRef]
- Martin, S.S.; Wichmann, J.L.; Weyer, H.; Albrecht, M.H.; D’Angelo, T.; Leithner, D.; Lenga, L.; Booz, C.; Scholtz, J.-E.; Bodelle, B.; et al. Dual-energy computed tomography in patients with cutaneous malignant melanoma: Comparison of noise-optimized and traditional virtual monoenergetic imaging. Eur. J. Radiol. 2017, 95, 1–8. [Google Scholar] [CrossRef]
- Martin, S.; Wichmann, J.L.; Pfeifer, S.; Leithner, D.; Lenga, L.; Reynolds, M.A.; D’Angelo, T.; Hammerstingl, R.; Gruber-Rouh, T.; Vogl, T.J.; et al. Impact of noise-optimized virtual monoenergetic dual-energy computed tomography on image quality in patients with renal cell carcinoma. Eur. J. Radiol. 2017, 97, 1–7. [Google Scholar] [CrossRef]
- Martin, S.S.; Trapp, F.; Wichmann, J.L.; Albrecht, M.H.; Lenga, L.; Durden, J.; Booz, C.; Vogl, T.J.; D’Angelo, T. Dual-energy CT in early acute pancreatitis: Improved detection using iodine quantification. Eur. Radiol. 2019, 29, 2226–2232. [Google Scholar] [CrossRef]
- Lenga, L.; Trapp, F.; Albrecht, M.H.; Wichmann, J.L.; Johnson, A.A.; Yel, I.; D’Angelo, T.; Booz, C.; Vogl, T.J.; Martin, S.S. Single- and dual-energy CT pulmonary angiography using second- and third-generation dual-source CT systems: Comparison of radiation dose and image quality. Eur. Radiol. 2019, 29, 4603–4612. [Google Scholar] [CrossRef]
- D’Angelo, T.; Bucher, A.M.; Lenga, L.; Arendt, C.T.; Peterke, J.L.; Caruso, D.; Mazziotti, S.; Blandino, A.; Ascenti, G.; Othman, A.E.; et al. Optimisation of window settings for traditional and noise-optimised virtual monoenergetic imaging in dual-energy computed tomography pulmonary angiography. Eur. Radiol. 2018, 28, 1393–1401. [Google Scholar] [CrossRef]
- Soesbe, T.C.; Lewis, M.A.; Nasr, K.; Ananthakrishnan, L.; Lenkinski, R.E. Separating High-Z Oral Contrast From Intravascular Iodine Contrast in an Animal Model Using Dual-Layer Spectral CT. Acad. Radiol. 2019, 26, 1237–1244. [Google Scholar] [CrossRef]
- Parakh, A.; Lennartz, S.; An, C.; Rajiah, P.; Yeh, B.M.; Simeone, F.J.; Sahani, D.V.; Kambadakone, A.R. Dual-Energy CT Images: Pearls and Pitfalls. Radiographics 2021, 41, 98–119. [Google Scholar] [CrossRef]




Disclaimer/Publisher’s Note: The statements, opinions and data contained in all publications are solely those of the individual author(s) and contributor(s) and not of MDPI and/or the editor(s). MDPI and/or the editor(s) disclaim responsibility for any injury to people or property resulting from any ideas, methods, instructions or products referred to in the content. |
© 2023 by the authors. Licensee MDPI, Basel, Switzerland. This article is an open access article distributed under the terms and conditions of the Creative Commons Attribution (CC BY) license (https://creativecommons.org/licenses/by/4.0/).
Share and Cite
D’Angelo, T.; Arico, F.M.; Broccio, L.; Ascenti, G.; Mazziotti, S.; Booz, C.; Martin, S.S.; Yel, I.; Lanzafame, L.R.M.; Blandino, A.; et al. Multi-Contrast Differentiation by Dual-Energy Spectral CT Angiography in a Patient with Pulmonary Barium Granulomas. Diagnostics 2023, 13, 832. https://doi.org/10.3390/diagnostics13050832
D’Angelo T, Arico FM, Broccio L, Ascenti G, Mazziotti S, Booz C, Martin SS, Yel I, Lanzafame LRM, Blandino A, et al. Multi-Contrast Differentiation by Dual-Energy Spectral CT Angiography in a Patient with Pulmonary Barium Granulomas. Diagnostics. 2023; 13(5):832. https://doi.org/10.3390/diagnostics13050832
Chicago/Turabian StyleD’Angelo, Tommaso, Francesco M. Arico, Lydia Broccio, Giorgio Ascenti, Silvio Mazziotti, Christian Booz, Simon S. Martin, Ibrahim Yel, Ludovica R. M. Lanzafame, Alfredo Blandino, and et al. 2023. "Multi-Contrast Differentiation by Dual-Energy Spectral CT Angiography in a Patient with Pulmonary Barium Granulomas" Diagnostics 13, no. 5: 832. https://doi.org/10.3390/diagnostics13050832
APA StyleD’Angelo, T., Arico, F. M., Broccio, L., Ascenti, G., Mazziotti, S., Booz, C., Martin, S. S., Yel, I., Lanzafame, L. R. M., Blandino, A., & Sofia, C. (2023). Multi-Contrast Differentiation by Dual-Energy Spectral CT Angiography in a Patient with Pulmonary Barium Granulomas. Diagnostics, 13(5), 832. https://doi.org/10.3390/diagnostics13050832

