Polyclonal Antibody Generation against PvTRAg for the Development of a Diagnostic Assay for Plasmodium vivax
Abstract
1. Introduction
2. Materials and Methods
2.1. Polyclonal Antibody Generation against PvTRAg for the Development of a Diagnostic Assay for P. vivax
2.2. Immunization of Rabbits and Titration Optimization
2.3. Rabbit Polyclonal Antibody Titer Check Using Indirect ELISA
2.4. Purification and Characterization of Rabbit Polyclonal Antibody
2.4.1. Western Blot Using Purified PvTRAg and Rabbit Polyclonal Antibody
2.4.2. Indirect Enzyme-Linked Immunosorbent Assay (ELISA)
2.5. Western Blot Using Rabbit Polyclonal Antibody and Purified PvTRAg along with Clinical Samples for Testing the Generated Antibody
2.6. Development of Immune Assay Using PvTRAg and Synthesized Polyclonal Antibody for P. vivax Diagnosis
2.6.1. Indirect ELISA Using Purified PvTRAg Protein to Identify Natural anti-PvTRAg Antibodies in the Host
2.6.2. Antigen Capturing Using Biolayer Interferometry System for Diagnostics
3. Results
3.1. Polyclonal Antibody Generation against PvTRAg for the Development of a Diagnostic Assay for P. vivax
3.1.1. Immunization and Titer Value
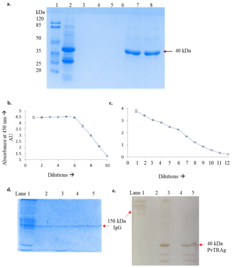
3.1.2. Purification and Characterization of Rabbit Polyclonal Antibody
- a.
- Western blot using purified PvTRAg and Rabbit polyclonal antibody

- b.
- Indirect enzyme-linked immunosorbent assay (ELISA)
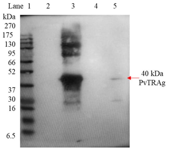
3.2. Western Blot Using Rabbit Polyclonal Antibody and Purified PvTRAg along with Clinical Samples for Testing the Generated Antibody
3.3. Development of Immune Assay Using Purified PvTRAg and Synthesized Polyclonal Antibody for P. vivax Diagnosis
3.3.1. Indirect ELISA Using Purified PvTRAg Protein to Identify Natural anti-PvTRAg Antibodies in the Host
3.3.2. Antigen Capturing Using Biolayer Interferometry System for Diagnostics
4. Discussion and Conclusions
Supplementary Materials
Author Contributions
Funding
Institutional Review Board Statement
Informed Consent Statement
Data Availability Statement
Acknowledgments
Conflicts of Interest
References
- Aggarwal, S.; Peng, W.K.; Srivastava, S. Multi-Omics Advancements towards Plasmodium vivax Malaria Diagnosis. Diagnostics 2021, 11, 2222. [Google Scholar] [CrossRef]
- Baird, J.K.; Maguire, J.D.; Price, R.N. Diagnosis and Treatment of Plasmodium vivax Malaria. In Advances in Parasitology; Elsevier: Amsterdam, The Netherlands, 2012; Volume 80, pp. 203–270. ISBN 978-0-12-397900-1. [Google Scholar]
- Baird, J.K.; Valecha, N.; Duparc, S.; White, N.J.; Price, R.N. Diagnosis and Treatment of Plasmodium vivax Malaria. Am. J. Trop. Med. Hyg. 2016, 95, 35–51. [Google Scholar] [CrossRef]
- Patankar, S.; Sharma, S.; Rathod, P.K.; Duraisingh, M.T. Malaria in India: The Need for New Targets for Diagnosis and Detection of Plasmodium vivax. Proteom. Clin. Appl. 2018, 12, 1700024. [Google Scholar] [CrossRef]
- Stills, H.F. Chapter 11—Polyclonal Antibody Production. In The Laboratory Rabbit, Guinea Pig, Hamster, and Other Rodents; Suckow, M.A., Stevens, K.A., Wilson, R.P., Eds.; American College of Laboratory Animal Medicine: Chester, NH, USA; Academic Press: Boston, MA, USA, 2012; pp. 259–274. ISBN 978-0-12-380920-9. [Google Scholar]
- Park, S.-M.; Lee, H.-A.; Chu, K.-B.; Quan, F.-S.; Kim, S.-J.; Moon, E.-K. Production of a Polyclonal Antibody against Inosine-Uridine Preferring Nucleoside Hydrolase of Acanthamoeba castellanii and Its Access to Diagnosis of Acanthamoeba Keratitis. PLoS ONE 2020, 15, e0239867. [Google Scholar] [CrossRef]
- Dorsman, J.C.; Smoor, M.A.; Maat-Schieman, M.L.; Bout, M.; Siesling, S.; van Duinen, S.G.; Verschuuren, J.J.; den Dunnen, J.T.; Roos, R.A.; van Ommen, G.J. Analysis of the Subcellular Localization of Huntingtin with a Set of Rabbit Polyclonal Antibodies in Cultured Mammalian Cells of Neuronal Origin: Comparison with the Distribution of Huntingtin in Huntington’s Disease Autopsy Brain. Philos. Trans. R. Soc. Lond. B. Biol. Sci. 1999, 354, 1061–1067. [Google Scholar] [CrossRef]
- Arias-Santiago, S.; Aneiros-Fernández, J.; Arias-Santiago, B.; Girón-Prieto, M.S.; Caba-Molina, M.; López-Valverde, A.; Aneiros-Cachaza, J.; Campos, A.; Cutando, A. MTNR1A Receptor Expression in Normal and Pathological Human Salivary Glands. Anticancer Res. 2012, 32, 4765–4771. [Google Scholar]
- Dixit, R.; Herz, J.; Dalton, R.; Booy, R. Benefits of Using Heterologous Polyclonal Antibodies and Potential Applications to New and Undertreated Infectious Pathogens. Vaccine 2016, 34, 1152–1161. [Google Scholar] [CrossRef]
- Lipman, N.S.; Jackson, L.R.; Trudel, L.J.; Weis-Garcia, F. Monoclonal versus Polyclonal Antibodies: Distinguishing Characteristics, Applications, and Information Resources. ILAR J. 2005, 46, 258–268. [Google Scholar] [CrossRef]
- Moreno-Pérez, D.A.; Dégano, R.; Ibarrola, N.; Muro, A.; Patarroyo, M.A. Determining the Plasmodium vivax VCG-1 Strain Blood Stage Proteome. J. Proteom. 2015, 113, 268–280. [Google Scholar] [CrossRef]
- Anderson, D.C.; Lapp, S.A.; Akinyi, S.; Meyer, E.V.S.; Barnwell, J.W.; Korir-Morrison, C.; Galinski, M.R. Plasmodium vivax Trophozoite-Stage Proteomes. J. Proteom. 2015, 115, 157–176. [Google Scholar] [CrossRef]
- Acharya, P.; Pallavi, R.; Chandran, S.; Dandavate, V.; Sayeed, S.K.; Rochani, A.; Acharya, J.; Middha, S.; Kochar, S.; Kochar, D.; et al. Clinical Proteomics of the Neglected Human Malarial Parasite Plasmodium vivax. PLoS ONE 2011, 6, e26623. [Google Scholar] [CrossRef]
- Venkatesh, A.; Lahiri, A.; Reddy, P.J.; Shastri, J.; Bankar, S.; Patankar, S.; Srivastava, S. Identification of Highly Expressed Plasmodium vivax Proteins from Clinical Isolates Using Proteomics. Proteom. Clin. Appl. 2018, 12, 1700046. [Google Scholar] [CrossRef]
- Roobsoong, W.; Roytrakul, S.; Sattabongkot, J.; Li, J.; Udomsangpetch, R.; Cui, L. Determination of the Plasmodium vivax Schizont Stage Proteome. J. Proteom. 2011, 74, 1701–1710. [Google Scholar] [CrossRef]
- Acharya, P.; Pallavi, R.; Chandran, S.; Chakravarti, H.; Middha, S.; Acharya, J.; Kochar, S.; Kochar, D.; Subudhi, A.; Boopathi, A.P.; et al. A Glimpse into the Clinical Proteome of Human Malaria Parasites Plasmodium falciparum and Plasmodium vivax. Proteom. Clin. Appl. 2009, 3, 1314–1325. [Google Scholar] [CrossRef]
- Carlton, J.M.; Adams, J.H.; Silva, J.C.; Bidwell, S.L.; Lorenzi, H.; Caler, E.; Crabtree, J.; Angiuoli, S.V.; Merino, E.F.; Amedeo, P.; et al. Comparative Genomics of the Neglected Human Malaria Parasite Plasmodium vivax. Nature 2008, 455, 757–763. [Google Scholar] [CrossRef]
- Zeeshan, M.; Tyagi, R.K.; Tyagi, K.; Alam, M.S.; Sharma, Y.D. Host-Parasite Interaction: Selective Pv-Fam-a Family Proteins of Plasmodium vivax Bind to a Restricted Number of Human Erythrocyte Receptors. J. Infect. Dis. 2015, 211, 1111–1120. [Google Scholar] [CrossRef]
- Wang, B.; Lu, F.; Cheng, Y.; Chen, J.-H.; Jeon, H.-Y.; Ha, K.-S.; Cao, J.; Nyunt, M.H.; Han, J.-H.; Lee, S.-K.; et al. Immunoprofiling of the Tryptophan-Rich Antigen Family in Plasmodium vivax. Infect. Immun. 2015, 83, 3083–3095. [Google Scholar] [CrossRef]
- Venkatesh, A.; Aggarwal, S.; Kumar, S.; Rajyaguru, S.; Kumar, V.; Bankar, S.; Shastri, J.; Patankar, S.; Srivastava, S. Comprehensive Proteomics Investigation of P. vivax-Infected Human Plasma and Parasite Isolates. BMC Infect. Dis. 2020, 20, 188. [Google Scholar] [CrossRef]
- Aggarwal, S.; Bala Prasad, S.; Vijayalakshmi, M.A.; S., M.; Managutti, V.; Kumar, S.V.; Teja, S.H.; Jayaraman, G.; Srivastava, S. Recombinant Production of Malaria Biomarker Candidate Tryptophan Rich Protein from Plasmodium vivax in E. coli; Department of Biosciences and Bioengineering, Indian Institute of Technology Bombay: Mumbai, India, 2023. [Google Scholar]
- Palani, B.; Ranjini, S.S.; Jayaprakash, N.S.; Vijayalakshmi, M.A. Development, Purification, and Characterization of Monoclonal Antibodies against Recombinant Histidine-Rich Protein 3 of Plasmodium falciparum. Monoclon. Antib. Immunodiagn. Immunother. 2013, 32, 341–348. [Google Scholar] [CrossRef]
- Laemmli, U.K. Cleavage of Structural Proteins during the Assembly of the Head of Bacteriophage T4. Nature 1970, 227, 680–685. [Google Scholar] [CrossRef]
- Wright, K. Antibodies a Laboratory Manual: By E Harlow and D Lane. pp 726. Cold Spring Harbor Laboratory. 1988. $50 ISBN 0-87969-314-2. Biochem. Educ. 1989, 17, 220. [Google Scholar] [CrossRef]



Disclaimer/Publisher’s Note: The statements, opinions and data contained in all publications are solely those of the individual author(s) and contributor(s) and not of MDPI and/or the editor(s). MDPI and/or the editor(s) disclaim responsibility for any injury to people or property resulting from any ideas, methods, instructions or products referred to in the content. |
© 2023 by the authors. Licensee MDPI, Basel, Switzerland. This article is an open access article distributed under the terms and conditions of the Creative Commons Attribution (CC BY) license (https://creativecommons.org/licenses/by/4.0/).
Share and Cite
Aggarwal, S.; Selvaraj, S.; Subramanian, J.N.; Vijayalakshmi, M.A.; Patankar, S.; Srivastava, S. Polyclonal Antibody Generation against PvTRAg for the Development of a Diagnostic Assay for Plasmodium vivax. Diagnostics 2023, 13, 835. https://doi.org/10.3390/diagnostics13050835
Aggarwal S, Selvaraj S, Subramanian JN, Vijayalakshmi MA, Patankar S, Srivastava S. Polyclonal Antibody Generation against PvTRAg for the Development of a Diagnostic Assay for Plasmodium vivax. Diagnostics. 2023; 13(5):835. https://doi.org/10.3390/diagnostics13050835
Chicago/Turabian StyleAggarwal, Shalini, Selvamano Selvaraj, Jayaprakash Nattamai Subramanian, Mookambeswaran Arunachalam Vijayalakshmi, Swati Patankar, and Sanjeeva Srivastava. 2023. "Polyclonal Antibody Generation against PvTRAg for the Development of a Diagnostic Assay for Plasmodium vivax" Diagnostics 13, no. 5: 835. https://doi.org/10.3390/diagnostics13050835
APA StyleAggarwal, S., Selvaraj, S., Subramanian, J. N., Vijayalakshmi, M. A., Patankar, S., & Srivastava, S. (2023). Polyclonal Antibody Generation against PvTRAg for the Development of a Diagnostic Assay for Plasmodium vivax. Diagnostics, 13(5), 835. https://doi.org/10.3390/diagnostics13050835

