Endoscopic Ultrasound in Pancreatic Duct Anomalies
Abstract
:1. Introduction
2. Embryological Development of the Pancreas
3. Types of Pancreatic Duct Anomalies
4. Endoscopic Ultrasound (EUS) in Pancreatic Diseases
5. Pancreas Divisum
6. Endoscopic Ultrasound Features of Pancreas Divisum: Radial and Linear EUS
7. Diagnostic Accuracy for Diagnosis of Pancreas Divisum by EUS
8. Comparison of EUS vs. MRCP for Diagnosis of Pancreas Divisum
9. Role of Secretin-Enhanced EUS and EUS Elastography in Pancreas Divisum
10. Other Pancreatic Duct Anomalies: Ansa Pancreatica, Anomalous Pancreaticobiliary Union (APBU), and Role of EUS
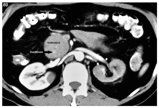
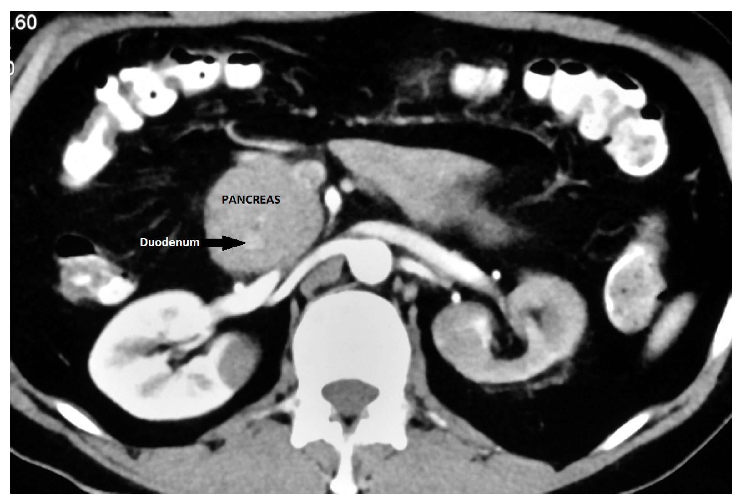
11. EUS in Annular Pancreas
- (a)
- use of glucagon to inhibit gut motility;
- (b)
- minimal balloon inflation to help avoid rapid uncontrolled scope withdrawal;
- (c)
- gentle scope deflection;
- (d)
- gentle forward pressure with an overinflated balloon into the narrowed region of the duodenum.
12. Conclusions
Author Contributions
Funding
Institutional Review Board Statement
Informed Consent Statement
Data Availability Statement
Conflicts of Interest
References
- Türkvatan, A.; Erden, A.; Türkoğlu, M.A.; Yener, Ö. Congenital variants and anomalies of the pancreas and pancreatic duct: Imaging by magnetic resonance cholangiopancreaticography and multidetector computed tomography. Korean J. Radiol. 2013, 14, 905–913. [Google Scholar] [CrossRef]
- Leyendecker, J.R.; Elsayes, K.M.; Gratz, B.I.; Brown, J.J. MR cholangiopancreatography: Spectrum of pancreatic duct abnormalities. AJR Am. J. Roentgenol. 2002, 179, 1465–1471. [Google Scholar] [CrossRef] [PubMed]
- Rana, S.S. Evaluating the role of endoscopic ultrasound in pancreatitis. Expert. Rev. Gastroenterol. Hepatol. 2022, 16, 953–965. [Google Scholar] [CrossRef] [PubMed]
- Borghei, P.; Sokhandon, F.; Shirkhoda, A.; Morgan, D.E. Anomalies, anatomic variants, and sources of diagnostic pitfalls in pancreatic imaging. Radiology 2013, 266, 28–36. [Google Scholar] [CrossRef]
- Covantsev, S.; Chicu, C.; Mazuruc, N.; Belic, O. Pancreatic ductal anatomy: More than meets the eye. Surg. Radiol. Anat. 2022, 44, 1231–1238. [Google Scholar] [CrossRef] [PubMed]
- Tadokoro, H.; Takase, M.; Nobukawa, B. Development and congenital anomalies of the pancreas. Anat. Res. Int. 2011, 2011, 351217. [Google Scholar] [CrossRef]
- Rizzo, R.J.; Szucs, R.A.; Turner, M.A. Congenital abnormalities of the pancreas and biliary tree in adults. Radiographics 1995, 15, 49–68; quiz 147–148. [Google Scholar] [CrossRef]
- Villasenor, A.; Stainier, D.Y.R. On the development of the hepatopancreatic ductal system. Semin. Cell Dev. Biol. 2017, 66, 69–80. [Google Scholar] [CrossRef]
- Rana, S.S.; Bhasin, D.K.; Rao, C.; Singh, K. Role of endoscopic ultrasound in idiopathic acute pancreatitis with negative ultrasound, computed tomography, and magnetic resonance cholangiopancreatography. Ann. Gastroenterol. 2012, 25, 133–137. [Google Scholar]
- Wan, J.; Ouyang, Y.; Yu, C.; Yang, X.; Xia, L.; Lu, N. Comparison of EUS with MRCP in idiopathic acute pancreatitis: A systematic review and meta-analysis. Gastrointest. Endosc. 2018, 87, 1180–1188.e9. [Google Scholar] [CrossRef]
- Rana, S.S.; Vilmann, P. Endoscopic ultrasound features of chronic pancreatitis: A pictorial review. Endosc. Ultrasound 2015, 4, 10–14. [Google Scholar] [CrossRef]
- Rana, S.S.; Gonen, C.; Vilmann, P. Endoscopic ultrasound and pancreas divisum. JOP 2012, 13, 252–257. [Google Scholar] [CrossRef] [PubMed]
- Klein, S.D.; Affronti, J.P. Pancreas divisum, an evidence-based review: Part I, pathophysiology. Gastrointest. Endosc. 2004, 60, 419–425. [Google Scholar] [CrossRef]
- Spicak, J.; Poulova, P.; Plucnarova, J.; Rehor, M.; Filipova, H.; Hucl, T. Pancreas divisum does not modify the natural course of chronic pancreatitis. J. Gastroenterol. 2007, 42, 135–139. [Google Scholar] [CrossRef]
- Hayakawa, T.; Kondo, T.; Shibata, T.; Sugimoto, Y.; Kitagawa, M.; Suzuki, T.; Ogawa, Y.; Kato, K.; Katada, N.; Sano, H. Pancreas divisum. A predisposing factor to pancreatitis? Int. J. Pancreatol. 1989, 5, 317–326. [Google Scholar] [CrossRef] [PubMed]
- Liao, Z.; Gao, R.; Wang, W.; Ye, Z.; Lai, X.-W.; Wang, X.-T.; Hu, L.-H.; Li, Z.-S. A systematic review on endoscopic detection rate, endotherapy, and surgery for pancreas divisum. Endoscopy 2009, 41, 439–444. [Google Scholar] [CrossRef]
- Lin, T.K.; Abu-El-Haija, M.; Nathan, J.D.; Palermo, J.P.; Barth, B.; Bellin, M.; Fishman, D.S.; Freedman, S.D.; Gariepy, C.E.; Giefer, M.J.; et al. Pancreas Divisum in Pediatric Acute Recurrent and Chronic Pancreatitis: Report From INSPPIRE. J. Clin. Gastroenterol. 2019, 53, e232–e238. [Google Scholar] [CrossRef]
- Fogel, E.L.; Toth, T.G.; Lehman, G.A.; DiMagno, M.J.; DiMagno, E.P. Does endoscopic therapy favorably affect the outcome of patients who have recurrent acute pancreatitis and pancreas divisum? Pancreas 2007, 34, 21–45. [Google Scholar] [CrossRef] [PubMed]
- Choudari, C.P.; Imperiale, T.F.; Sherman, S.; Fogel, E.; Lehman, G.A. Risk of pancreatitis with mutation of the cystic fibrosis gene. Am. J. Gastroenterol. 2004, 99, 1358–1363. [Google Scholar] [CrossRef]
- Gelrud, A.; Sheth, S.; Banerjee, S.; Weed, D.; Shea, J.; Chuttani, R.; Howell, D.A.; Telford, J.J.; Carr-Locke, D.L.; Regan, M.M.; et al. Analysis of cystic fibrosis gener product (CFTR) function in patients with pancreas divisum and recurrent acute pancreatitis. Am. J. Gastroenterol. 2004, 99, 1557–1562. [Google Scholar] [CrossRef]
- Kamisawa, T.; Tu, Y.; Egawa, N.; Tsuruta, K.; Okamoto, A. Clinical implications of incomplete pancreas divisum. JOP 2006, 7, 625–630. [Google Scholar]
- Kim, M.H.; Lee, S.S.; Kim, C.D.; Lee, S.K.; Kim, H.J.; Park, H.J.; Joo, Y.H.; Kim, D.I.; Yoo, K.S.; Seo, D.W.; et al. Incomplete pancreas divisum: Is it merely a normal anatomic variant without clinical implications? Endoscopy 2001, 33, 778–785. [Google Scholar] [CrossRef] [PubMed]
- Takuma, K.; Kamisawa, T.; Tabata, T.; Egawa, N.; Igarashi, Y. Pancreatic diseases associated with pancreas divisum. Dig. Surg. 2010, 27, 144–148. [Google Scholar] [CrossRef] [PubMed]
- Aoyama, N.; Taniguchi, Y.; Wada, M.; Inokuma, T.; Nakanishi, Y.; Fukuda, A.; Seno, H. A case of pancreas divisum with marked dilatation of dorsal pancreatic duct. Clin. J. Gastroenterol. 2022, 15, 1204–1209. [Google Scholar] [CrossRef]
- Boninsegna, E.; Manfredi, R.; Ventriglia, A.; Negrelli, R.; Pedrinolla, B.; Mehrabi, S.; Gabbrielli, A.; Mucelli, R.P. Santorinicele: Secretin-enhanced magnetic resonance cholangiopancreatography findings before and after minor papilla sphincterotomy. Eur. Radiol. 2015, 25, 2437–2444. [Google Scholar] [CrossRef] [PubMed]
- Dhaliwal, H.S.; Shah, C.; Hasan, M.K. A Rare Case of Pancreas Pseudodivisum. Clin. Gastroenterol. Hepatol. 2015, 13, e135–e136. [Google Scholar] [CrossRef]
- Sharma, M.; Pathak, A.; Rameshbabu, C.S.; Rai, P.; Kirnake, V.; Shoukat, A. Imaging of pancreas divisum by linear-array endoscopic ultrasonography. Endosc. Ultrasound 2016, 5, 21–29. [Google Scholar] [CrossRef] [PubMed]
- Rana, S.S.; Bhasin, D.K.; Sharma, V.; Rao, C.; Singh, K. Role of endoscopic ultrasound in the diagnosis of pancreas divisum. Endosc. Ultrasound 2013, 2, 7–10. [Google Scholar] [CrossRef]
- Bhutani, M.S.; Hoffman, B.J.; Hawes, R.H. Diagnosis of pancreas divisum by endoscopic ultrasonography. Endoscopy 1999, 31, 167–169. [Google Scholar] [CrossRef]
- Tandon, M.; Topazian, M. Endoscopic ultrasound in idiopathic acute pancreatitis. Am. J. Gastroenterol. 2001, 96, 705–709. [Google Scholar] [CrossRef]
- Lai, R.; Freeman, M.L.; Cass, O.W.; Mallery, S. Accurate diagnosis of pancreas divisum by linear-array endoscopic ultrasonography. Endoscopy 2004, 36, 705–709. [Google Scholar] [CrossRef]
- Shen, Z.; Munker, S.; Zhou, B.; Li, L.; Yu, C.; Li, Y. The Accuracies of Diagnosing Pancreas Divisum by Magnetic Resonance Cholangiopancreatography and Endoscopic Ultrasound: A Systematic Review and Meta-analysis. Sci. Rep. 2016, 6, 35389. [Google Scholar] [CrossRef]
- Chamokova, B.; Bastati, N.; Poetter-Lang, S.; Bican, Y.; Hodge, J.C.; Schindl, M.; Matos, C.; Ba-Ssalamah, A. The clinical value of secretin-enhanced MRCP in the functional and morphological assessment of pancreatic diseases. Br. J. Radiol. 2018, 91, 20170677. [Google Scholar] [CrossRef] [PubMed]
- Li, Y.; Dillman, J.R.; Anton, C.G.; Crotty, E.J.; Smith, E.A.; Abu-El-Haija, M.; Trout, A.T. Secretin Improves Visualization of Nondilated Pancreatic Ducts in Children Undergoing MRCP. AJR Am. J. Roentgenol. 2020, 214, 917–922. [Google Scholar] [CrossRef]
- Catalano, M.F.; Lahoti, S.; Alcocer, E.; Geenen, J.E.; Hogan, W.J. Dynamic imaging of the pancreas using real-time endoscopic ultrasonography with secretin stimulation. Gastrointest. Endosc. 1998, 48, 580–587. [Google Scholar] [CrossRef] [PubMed]
- Iglesias-Garcia, J.; Lindkvist, B.; Lariño-Noia, J.; Domínguez-Muñoz, J.E. Endoscopic ultrasound elastography. Endosc. Ultrasound 2012, 1, 8–16. [Google Scholar] [CrossRef] [PubMed]
- Shaikh, D.H.; Alemam, A.; von Ende, J.; Ghazanfar, H.; Dev, A.; Balar, B. Ansa Pancreatica, an Uncommon Cause of Acute, Recurrent Pancreatitis. Case Rep. Gastroenterol. 2021, 15, 587–593. [Google Scholar] [CrossRef]
- Sherifi, F.; Bexheti, S.; Gashi, Z.; Bajraktari, I.; Shatri, J.; Lahu, A. Anatomic Variations of Pancreaticobiliary Union. Open Access Maced. J. Med. Sci. 2018, 6, 988–991. [Google Scholar] [CrossRef]
- Ko, B.M.; Cha, S.W.; Kim, Y.S.; Moon, J.H.; Cho, Y.D.; Kim, Y.S.; Lee, J.S.; Lee, M.S.; Shim, C.S.; Kim, B.S. Endosonography (EUS) for Detection of Anomalous Union of the Pancreaticobiliary Duct (AUPBD) in Patients with Asymptomatic Gallbladder Wall Thickening. Gastrointest. Endosc. 2004, 59, P226. [Google Scholar] [CrossRef]
- Papachristou, G.I.; Topazian, M.D.; Gleeson, F.C.; Levy, M.J. EUS features of annular pancreas (with video). Gastrointest. Endosc. 2007, 65, 340–344. [Google Scholar] [CrossRef] [PubMed]
- Jadvar, H.; Mindelzun, R.E. Annular pancreas in adults: Imaging features in seven patients. Abdom. Imaging 1999, 24, 174–177. [Google Scholar] [CrossRef]
- Dharmsathaphorn, K.; Burrell, M.; Dobbins, J. Diagnosis of annular pancreas with endoscopic retrograde cholangiopancreatography. Gastroenterology 1979, 77, 1109–1114. [Google Scholar] [CrossRef]
- Gromski, M.A.; Lehman, G.A.; Zyromski, N.J.; Watkins, J.L.; El Hajj, I.I.; Tan, D.; McHenry, L.; Easler, J.J.; Tirkes, T.; Sherman, S.; et al. Annular pancreas: Endoscopic and pancreatographic findings from a tertiary referral ERCP center. Gastrointest. Endosc. 2019, 89, 322–328. [Google Scholar] [CrossRef] [PubMed]
- Kandpal, H.; Bhatia, V.; Garg, P.; Sharma, R. Annular pancreas in an adult patient: Diagnosis with endoscopic ultrasonography and magnetic resonance cholangiopancreatography. Singapore Med. J. 2009, 50, e29–e31. [Google Scholar] [PubMed]
- Choi, J.Y.; Kim, M.J.; Kim, J.H.; Lim, J.S.; Oh, Y.T.; Chung, J.J.; Song, S.Y.; Chung, J.B.; Yoo, H.S.; Lee, J.T.; et al. Annular pancreas: Emphasis on magnetic resonance cholangiopancreatography findings. J. Comput. Assist. Tomogr. 2004, 28, 528–532. [Google Scholar] [CrossRef] [PubMed]
- Gress, F.; Yiengpruksawan, A.; Sherman, S.; Ikenberry, S.; Kaster, S.; Ng, R.Y.; Cerulli, M.A.; Lehman, G.A. Diagnosis of annular pancreas by endoscopic ultrasound. Gastrointest. Endosc. 1996, 44, 485–489. [Google Scholar] [CrossRef]






| Type of Anomaly | Examples |
|---|---|
| Fusion anomalies | Pancreas divisum |
| Migration anomalies | Ectopic pancreas, annular pancreas |
| Duplication anomalies | Variation in number and forms |
| Anatomic Variation | Type of Anomaly |
|---|---|
| Course of pancreatic duct | Descending |
| Sigmoid | |
| Vertical | |
| Loop | |
| Configuration of duct | Type 1: Bifid with dominant duct of Wirsung |
| Type 2: Bifid with dominant duct of Santorini without divisum | |
| Type 3: Absent duct of Santorini | |
| Type 4: Pancreas divisum | |
| Type 5: Ansa pancreaticus | |
| Anomalous union | Anomalous pancreaticobiliary union (APBU) |
| Pancreas divisum | Type 1: Total failure of fusion |
| Type 2: Absent duct of Wirsung with dominant dorsal drainage | |
| Type 3: Presence of a small intercommunicating branch |
|
|
| Author | Sign | Number of Patients | Sensitivity | Specificity | Positive Predictive Value | Negative Predictive Value | Accuracy |
|---|---|---|---|---|---|---|---|
| Rana et al. [28] | Absent stack sign | 20 | 50% | 97% | 73% | 93% | 91% |
| Rana et al. [28] | Inability to trace pancreatic duct from head to body | 20 | 100% | 96% | 80% | 100% | 96% |
| Bhutani et al. [29] | Absent stack sign | 30 | 44% | 92% | 66% | 83% | 80% |
| Lai et al. [31] | Trace-back sign and V–D transition sign | 162 | 95% | 97% | 86% | 99% | 97% |
| Modality | Sensitivity % | Specificity % | HSROC | Diagnostic OR | Pooled LR+ | Pooled LR− |
|---|---|---|---|---|---|---|
| EUS | 85 | 97 | 0.97 | 167.89 | 26.80 | 0.16 |
| MRCP | 59 | 99 | 0.90 | 211.33 | 87.83 | 0.42 |
| Secretin-MRCP | 83 | 99 | 0.99 | 376.89 | 65.48 | 0.17 |
Disclaimer/Publisher’s Note: The statements, opinions and data contained in all publications are solely those of the individual author(s) and contributor(s) and not of MDPI and/or the editor(s). MDPI and/or the editor(s) disclaim responsibility for any injury to people or property resulting from any ideas, methods, instructions or products referred to in the content. |
© 2023 by the authors. Licensee MDPI, Basel, Switzerland. This article is an open access article distributed under the terms and conditions of the Creative Commons Attribution (CC BY) license (https://creativecommons.org/licenses/by/4.0/).
Share and Cite
Chatterjee, A.; Rana, S.S. Endoscopic Ultrasound in Pancreatic Duct Anomalies. Diagnostics 2023, 13, 3129. https://doi.org/10.3390/diagnostics13193129
Chatterjee A, Rana SS. Endoscopic Ultrasound in Pancreatic Duct Anomalies. Diagnostics. 2023; 13(19):3129. https://doi.org/10.3390/diagnostics13193129
Chicago/Turabian StyleChatterjee, Abhirup, and Surinder Singh Rana. 2023. "Endoscopic Ultrasound in Pancreatic Duct Anomalies" Diagnostics 13, no. 19: 3129. https://doi.org/10.3390/diagnostics13193129
APA StyleChatterjee, A., & Rana, S. S. (2023). Endoscopic Ultrasound in Pancreatic Duct Anomalies. Diagnostics, 13(19), 3129. https://doi.org/10.3390/diagnostics13193129
