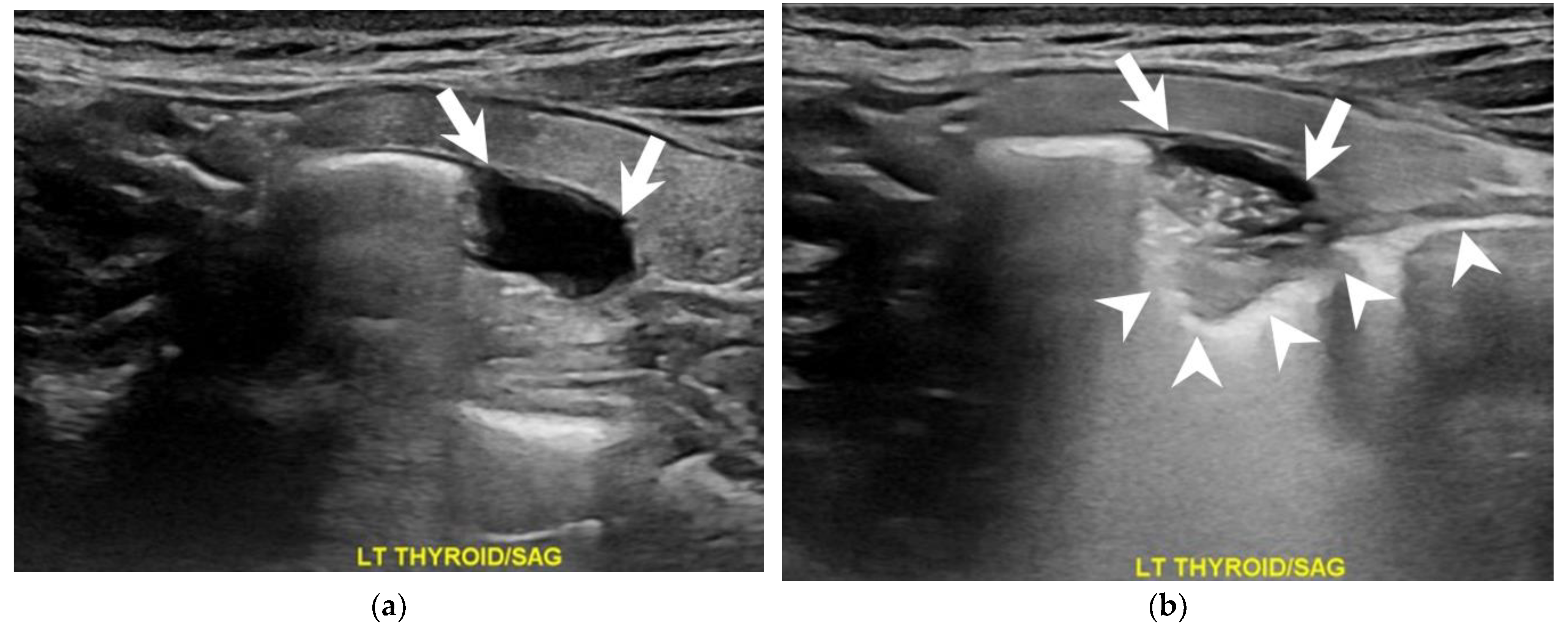
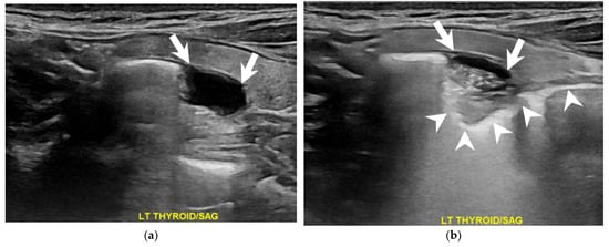
How Soda Ingestion Facilitates the Distinction between a Killian–Jamieson Diverticulum and a Malignant Thyroid Nodule
Abstract
Supplementary Materials
Author Contributions
Funding
Institutional Review Board Statement
Informed Consent Statement
Data Availability Statement
Conflicts of Interest
References
- Kim, H.K.; Lee, J.I.; Jang, H.W.; Bae, S.Y.; Lee, J.H.; Kim, Y.S.; Shin, J.H.; Kim, S.W.; Chung, J.H. Characteristics of Killian-Jamieson diverticula mimicking a thyroid nodule. Head Neck 2012, 34, 599–603. [Google Scholar] [CrossRef] [PubMed]
- Haddad, N.; Agarwal, P.; Levi, J.R.; Tracy, J.C.; Tracy, L.F. Presentation and Management of Killian Jamieson Diverticulum: A Comprehensive Literature Review. Ann. Otol. Rhinol. Laryngol. 2020, 129, 394–400. [Google Scholar] [CrossRef] [PubMed]
- Constantin, A.; Constantinoiu, S.; Achim, F.; Socea, B.; Costea, D.O.; Predescu, D. Esophageal diverticula: From diagnosis to therapeutic management-narrative review. J. Thorac. Dis. 2023, 15, 759–779. [Google Scholar] [CrossRef] [PubMed]
- Chen, X.; Liu, J.F.; Gu, C.J.; Ding, S.J.; Zhou, S.X.; Chen, X.Y.; Ni, X.J. Ultrasonographic characteristics of Killian-Jamieson diverticula. J. Clin. Ultrasound 2021, 49, 527–532. [Google Scholar] [CrossRef] [PubMed]
- Cao, L.; Ge, J.; Zhao, D.; Lei, S. Killian-Jamieson diverticulum mimicking a calcified thyroid nodule on ultrasonography: A case report and literature review. Oncol. Lett. 2016, 12, 2742–2745. [Google Scholar] [CrossRef] [PubMed][Green Version]
- Kim, T.H.; Kim, S.; Chang, K.S. Simple method of using soda for distinguishing Killian-Jamieson diverticulum from a thyroid nodule. Endocrine 2015, 48, 351–352. [Google Scholar] [CrossRef] [PubMed]
- Radzina, M.; Ratniece, M.; Putrins, D.S.; Saule, L.; Cantisani, V. Performance of Contrast-Enhanced Ultrasound in Thyroid Nodules: Review of Current State and Future Perspectives. Cancers 2021, 13, 5469. [Google Scholar] [CrossRef] [PubMed]




Disclaimer/Publisher’s Note: The statements, opinions and data contained in all publications are solely those of the individual author(s) and contributor(s) and not of MDPI and/or the editor(s). MDPI and/or the editor(s) disclaim responsibility for any injury to people or property resulting from any ideas, methods, instructions or products referred to in the content. |
© 2023 by the authors. Licensee MDPI, Basel, Switzerland. This article is an open access article distributed under the terms and conditions of the Creative Commons Attribution (CC BY) license (https://creativecommons.org/licenses/by/4.0/).
Share and Cite
Liang, T.-J.; Liu, S.-I.; Chiang, C.-L. How Soda Ingestion Facilitates the Distinction between a Killian–Jamieson Diverticulum and a Malignant Thyroid Nodule. Diagnostics 2023, 13, 3128. https://doi.org/10.3390/diagnostics13193128
Liang T-J, Liu S-I, Chiang C-L. How Soda Ingestion Facilitates the Distinction between a Killian–Jamieson Diverticulum and a Malignant Thyroid Nodule. Diagnostics. 2023; 13(19):3128. https://doi.org/10.3390/diagnostics13193128
Chicago/Turabian StyleLiang, Tsung-Jung, Shiuh-Inn Liu, and Chia-Ling Chiang. 2023. "How Soda Ingestion Facilitates the Distinction between a Killian–Jamieson Diverticulum and a Malignant Thyroid Nodule" Diagnostics 13, no. 19: 3128. https://doi.org/10.3390/diagnostics13193128
APA StyleLiang, T.-J., Liu, S.-I., & Chiang, C.-L. (2023). How Soda Ingestion Facilitates the Distinction between a Killian–Jamieson Diverticulum and a Malignant Thyroid Nodule. Diagnostics, 13(19), 3128. https://doi.org/10.3390/diagnostics13193128

