Sinus Plain Film Can Predict a Risky Distance from the Lacrimal Sac to the Anterior Skull Base: An Anatomic Study of Dacryocystorhinostomy
Abstract
1. Introduction
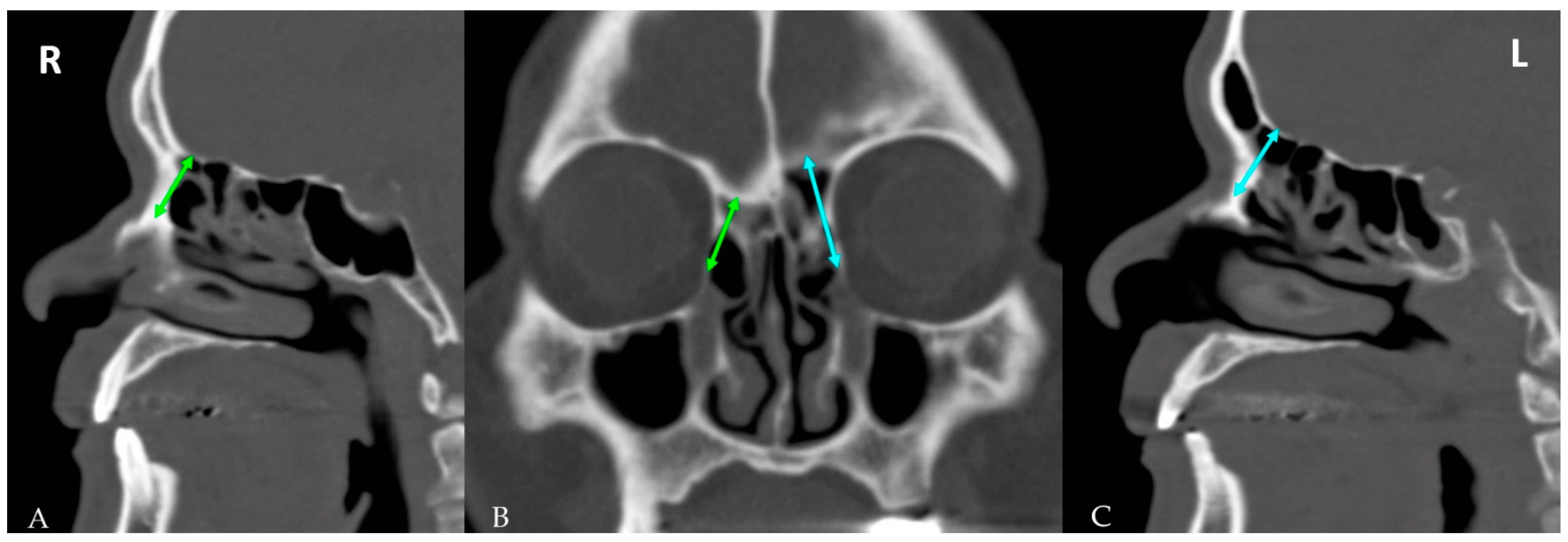
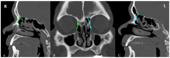
2. Materials and Methods
2.1. Study Design and Patient Population
2.2. Statistical Analysis
3. Results
4. Discussion
Author Contributions
Funding
Institutional Review Board Statement
Informed Consent Statement
Data Availability Statement
Acknowledgments
Conflicts of Interest
References
- Ali, M.J.; Paulsen, F. Human lacrimal drainage system reconstruction, recanalization, and regeneration. Curr. Eye Res. 2020, 45, 241–252. [Google Scholar] [CrossRef] [PubMed]
- Alnawaiseh, M.; Böhm, M.; Wieneke, A.; Zumhagen, L.; Merté, R.L.; Eter, N.; Prokosch, V. Microsurgical Treatment of Canalicular Stenosis: Long-Term Follow-Up. Klin. Monbl. Augenheilkd. 2015, 232, 1082–1085. [Google Scholar] [PubMed]
- Kashkouli, M.B.; Pakdel, F.; Kiavash, V. Assessment and management of proximal and incomplete symptomatic obstruction of the lacrimal drainage system. Middle East Afr. J. Ophthalmol. 2012, 19, 60. [Google Scholar] [CrossRef] [PubMed]
- Weston, B.C.; Loveless, J.W. Canalicular stenosis due to topical use of fortified antibiotics. Can. J. Ophthalmol. 2000, 35, 334–335. [Google Scholar] [CrossRef]
- Mansur, C.; Pfeiffer, M.L.; Esmaeli, B. Evaluation and management of chemotherapy-induced epiphora, punctal and canalicular stenosis, and nasolacrimal duct obstruction. Ophthalmic Plast. Reconstr. Surg. 2017, 33, 9–12. [Google Scholar] [CrossRef] [PubMed]
- Ghosh, S.K.; Narayan, R.K. Fractures involving bony orbit: A comprehensive review of relevant clinical anatomy. Transl. Res. Anat. 2021, 24, 100125. [Google Scholar] [CrossRef]
- Jawaheer, L.; MacEwen, C.J.; Anijeet, D. Endonasal versus external dacryocystorhinostomy for nasolacrimal duct obstruction. Cochrane Database Syst. Rev. 2017, 2. [Google Scholar] [CrossRef]
- Knisely, A.; Harvey, R.; Sacks, R. Long-term outcomes in endoscopic dacryocystorhinostomy. Curr. Opin. Otolaryngol. Head Neck Surg. 2015, 23, 53–58. [Google Scholar] [CrossRef]
- Singh, S.; Ali, M.J. A review of diagnostic and therapeutic dacryoendoscopy. Ophthalmic Plast. Reconstr. Surg. 2019, 35, 519–524. [Google Scholar] [CrossRef]
- Wormald, P.J.; Kew, J.; Van Hasselt, A. Intranasal anatomy of the nasolacrimal sac in endoscopic dacryocystorhinostomy. Otolaryngol. Head Neck Surg. 2000, 123, 307–310. [Google Scholar] [CrossRef]
- Fayet, B.; Racy, E.; Assouline, M. Cerebrospinal fluid leakage after endonasal dacryocystorhinostomy. J. Fr. Ophtalmol. 2007, 30, 129–134. [Google Scholar] [CrossRef]
- Bagheri, A.; Naghibozakerin, J.; Yazdani, S. Cerebrospinal fluid leakage during dacryocystorhinostomy in a patient with meningoencephalocele. Eur. J. Ophthalmol. 2005, 15, 500–503. [Google Scholar] [CrossRef] [PubMed]
- May, M.; Levine, H.L.; Mester, S.J.; Schaitkin, B. Complications of endoscopic sinus surgery: Analysis of 2108 patients—Incidence and prevention. Laryngoscope 1994, 104, 1080–1083. [Google Scholar] [CrossRef] [PubMed]
- Ritleng, P.; Caubet, E.; Fantin, J. Lacrimo-meningeal relations: Anatomical study and practical aspects. Bull. Soc. Ophtalmol. Fr. 1984, 84, 1205. [Google Scholar] [PubMed]
- Usul, H.; Kuzeyli, K.; Cakir, E.; Caylan, R.; Imamoglu, H.I.; Yazar, U.; Arslan, E.; Sayin, O.C.; Arslan, S. Meningitis and pneuomocephalus. A rare complication of external dacryocystorhinostomy. J. Clin. Neurosci. 2004, 11, 901–902. [Google Scholar] [CrossRef]
- Beiran, I.; Pikkel, J.; Gilboa, M.; Miller, B. Meningitis as a complication of dacryocystorhinostomy. Br. J. Ophthalmol. 1994, 78, 417–418. [Google Scholar] [CrossRef][Green Version]
- Yang, J.W.; Oh, H.N. Success rate and complications of endonasal dacryocystorhinostomy with unciformectomy. Graefes Arch. Clin. Exp. Ophthalmol. 2012, 250, 1509–1513. [Google Scholar] [CrossRef]
- Çakur, B.; Sumbullu, M.A.; Durna, N.B. Aplasia and agenesis of the frontal sinus in Turkish individuals: A retrospective study using dental volumetric tomography. Int. J. Med. Sci. 2011, 8, 278. [Google Scholar] [CrossRef]
- Siedlecki, Z.; Sabramowicz, M.; Woźniak, J.; Śniegocki, M.; Nowak, K.; Baumgart, M.; Główczewska-Siedlecka, E.; Szpinda, M.; Wiśniewski, M. Extent of the frontal sinuses in the aspect of neurosurgical craniotomy approaches. Folia Morphol. 2021. online ahead of print. [Google Scholar]
- Ebrahimnejad, H.; Zarch, S.H.H.; Langaroodi, A.J. Diagnostic efficacy of digital waters’ and Caldwell’s radiographic views for evaluation of sinonasal area. J. Dent. 2016, 13, 357–364. [Google Scholar]
- Kim, H.-G.; Lee, K.M.; Kim, E.J.; San Lee, J. Improvement diagnostic accuracy of sinusitis recognition in paranasal sinus X-ray using multiple deep learning models. Quant. Imaging Med. Surg. 2019, 9, 942–951. [Google Scholar] [CrossRef]
- Clemente, M.P. Surgical anatomy of the paranasal sinus. In Sinus Surgery: Endoscopic and Microscopic Approaches; New York Thieme: New York, NY, USA, 2005; pp. 27–58. [Google Scholar]
- Orhan, M.; Saylam, C.Y.; Midilli, R. Intranasal localization of the lacrimal sac. Arch. Otolaryngol. Head Neck Surg. 2009, 135, 764–770. [Google Scholar] [CrossRef] [PubMed]
- Botek, A.A.; Goldberg, S.H. Margins of safety in dacryocystorhinostomy. Ophthalmic Surg. 1993, 24, 320. [Google Scholar] [CrossRef] [PubMed]
- Roithmann, R.; Burman, T.; Wormald, P.-J. Endoscopic dacryocystorhinostomy. Braz. J. Otorhinolaryngol. 2012, 78, 113–121. [Google Scholar] [CrossRef] [PubMed]
- Lee, J.J.; Lee, H.M.; Lim, H.B.; Seo, S.W.; Ahn, H.B.; Lee, S.B. Learning curve for endoscopic endonasal dacryocystorhinostomy. Korean J. Ophthalmol. 2017, 31, 299–305. [Google Scholar] [CrossRef] [PubMed][Green Version]
- Ali, M.J.; Psaltis, A.J.; Murphy, J.; Wormald, P.J. Outcomes in primary powered endoscopic dacryocystorhinostomy: Comparison between experienced versus less experienced surgeons. Am. J. Rhinol. Allergy 2014, 28, 514–516. [Google Scholar] [CrossRef] [PubMed]
- Kamal, S.; Ali, M.J.; Nair, A.G. Outcomes of endoscopic dacryocystorhinostomy: Experience of a fellowship trainee at a tertiary care center. Indian J. Ophthalmol. 2016, 64, 648. [Google Scholar] [CrossRef]
- Aydınlıoğlu, A.; Kavaklıı, A.; Erdem, S. Absence of frontal sinus in Turkish individuals. Yonsei Med. J. 2003, 44, 215–218. [Google Scholar] [CrossRef]
- Örmeci, A.R.; Gürbüz, H.; Ayata, A.; Çetin, H. Adult head circumferences and centiles. J. Turgut Ozal Med. Center 1997, 4, 261–264. [Google Scholar]
- Bushby, K.; Cole, T.; Matthews, J.; Goodship, J. Centiles for adult head circumference. Arch. Dis. Child. 1992, 67, 1286–1287. [Google Scholar] [CrossRef]




| Characteristic | |
|---|---|
| Age (year), mean ± SD | 48.1 ± 15.2 |
| Gender, n (%) | |
| Male | 63 (57%) |
| Female | 47 (43%) |
| Height (cm), mean ± SD | 164.3 ± 9.8 |
| Weight (Kg), mean ± SD | 67.4 ± 15.6 |
| Types of frontal sinus | |
| Right side (n = 110), n (%) | |
| Normal | 48 (43.6%) |
| Aplasia | 14 (12.7%) |
| Hypoplasia | 48 (43.6%) |
| Left side (n = 110), n (%) | |
| Normal | 59 (53.6%) |
| Aplasia | 8 (7.3%) |
| Hypoplasia | 43 (39.1%) |
| Types of Frontal Sinus | F-O (mm) | F-N (mm) | Inter-Orbital (mm) | LS-ASB (mm) | |
|---|---|---|---|---|---|
| Normal (n = 107) | Median (IQR) | 18.8 (15.8–21.6) | 23.6 (20.3–27.5) | 28.7 (26.7–30.1) | 17.8 (15.2–20.8) |
| Hypoplasia (n = 91) | Median (IQR) | 12.5 (9.5–15.2) | 17.4 (13.8–20.6) | 26.3 (24.9–28.4) | 14.4 (12.7–16.1) |
| Aplasia (n = 22) | Median (IQR) | 0.0 (0.0–0.0) | 2.4 (0.0–5.8) | 24.9 (23.9–27.8) | 11.0 (9.4–12.9) |
| p value | <0.001 | <0.001 | <0.001 | <0.001 | |
| F-O (mm) | F-N | Inter-Orbital | LS-ASB | |
|---|---|---|---|---|
| Male | 15.3 (12.5–19.9) | 21.2 (17.3–25.9) | 28.1 (25.6–29.4) | 16.0 (14.0–19.4) |
| Female | 13.4 (8.1–17.8) | 17.9 (12.3–23.3) | 26.4 (24.3–28.4) | 14.8 (12.9–16.9) |
| p value | 0.002 | 0.001 | <0.001 | 0.006 |
| F-O | F-N | Inter-Orbital | LS-ASB | Age | Height | Weight | |
|---|---|---|---|---|---|---|---|
| F-O | 0.922 * | 0.388 * | 0.604 * | −0.118 | 0.236 * | 0.214 * | |
| F-N | 0.922 * | 0.348 * | 0.580 * | −0.163 * | 0.269 * | 0.216 * | |
| Inter-orbital | 0.388 * | 0.348 * | 0.320 * | 0.114 | 0.356 * | 0.327 * | |
| LS-ASB | 0.604 * | 0.580 * | 0.320 * | 0.117 | 0.164 * | 0.269 * | |
| Age | −0.118 | −0.163 * | 0.114 | 0.117 | −0.331 * | −0.109 | |
| Height | 0.236 * | 0.269 * | 0.356 * | 0.164 * | −0.331 * | 0.671 * | |
| Weight | 0.214 * | 0.216 * | 0.327 * | 0.269 * | −0.109 | 0.671 * |
| Distance (mm) | Sensitivity | Specificity | Youden Index | |
|---|---|---|---|---|
| F-O | 11.2 | 0.833 | 0.774 | 0.607 |
| 11.3 | 0.833 | 0.769 | 0.602 | |
| 11.4 | 0.833 | 0.764 | 0.597 | |
| 11.5 | 0.833 | 0.76 | 0.593 | |
| 11.5 | 0.917 | 0.76 | 0.677 | |
| 11.6 | 1 | 0.76 | 0.760 * | |
| 11.6 | 1 | 0.755 | 0.755 | |
| 11.7 | 1 | 0.75 | 0.750 | |
| 11.8 | 1 | 0.745 | 0.745 | |
| 11.9 | 1 | 0.74 | 0.740 | |
| 12.0 | 1 | 0.736 | 0.736 | |
| F-N | 13.4 | 0.75 | 0.841 | 0.591 |
| 13.5 | 0.75 | 0.837 | 0.587 | |
| 13.6 | 0.833 | 0.837 | 0.670 | |
| 13.8 | 0.833 | 0.832 | 0.665 | |
| 14.0 | 0.833 | 0.827 | 0.660 | |
| 14.4 | 0.917 | 0.827 | 0.744 * | |
| 14.7 | 0.917 | 0.822 | 0.739 | |
| 14.7 | 0.917 | 0.817 | 0.734 | |
| 14.8 | 0.917 | 0.812 | 0.729 | |
| 14.8 | 0.917 | 0.808 | 0.725 | |
| 14.8 | 0.917 | 0.803 | 0.720 |
Publisher’s Note: MDPI stays neutral with regard to jurisdictional claims in published maps and institutional affiliations. |
© 2022 by the authors. Licensee MDPI, Basel, Switzerland. This article is an open access article distributed under the terms and conditions of the Creative Commons Attribution (CC BY) license (https://creativecommons.org/licenses/by/4.0/).
Share and Cite
Fang, K.-C.; Ho, R.-W.; Luo, S.-D.; Lin, W.-C.; Wu, C.-N.; Chen, W.-C. Sinus Plain Film Can Predict a Risky Distance from the Lacrimal Sac to the Anterior Skull Base: An Anatomic Study of Dacryocystorhinostomy. Diagnostics 2022, 12, 930. https://doi.org/10.3390/diagnostics12040930
Fang K-C, Ho R-W, Luo S-D, Lin W-C, Wu C-N, Chen W-C. Sinus Plain Film Can Predict a Risky Distance from the Lacrimal Sac to the Anterior Skull Base: An Anatomic Study of Dacryocystorhinostomy. Diagnostics. 2022; 12(4):930. https://doi.org/10.3390/diagnostics12040930
Chicago/Turabian StyleFang, Kuan-Chung, Ren-Wen Ho, Sheng-Dean Luo, Wei-Che Lin, Ching-Nung Wu, and Wei-Chih Chen. 2022. "Sinus Plain Film Can Predict a Risky Distance from the Lacrimal Sac to the Anterior Skull Base: An Anatomic Study of Dacryocystorhinostomy" Diagnostics 12, no. 4: 930. https://doi.org/10.3390/diagnostics12040930
APA StyleFang, K.-C., Ho, R.-W., Luo, S.-D., Lin, W.-C., Wu, C.-N., & Chen, W.-C. (2022). Sinus Plain Film Can Predict a Risky Distance from the Lacrimal Sac to the Anterior Skull Base: An Anatomic Study of Dacryocystorhinostomy. Diagnostics, 12(4), 930. https://doi.org/10.3390/diagnostics12040930

