The Role and Potential of 18F-FDG PET/CT in Malignant Melanoma: Prognostication, Monitoring Response to Targeted and Immunotherapy, and Radiomics
Abstract
1. Introduction
2. PET/CT with 18F-FDG for Prognostication and Staging of Malignant Melanoma
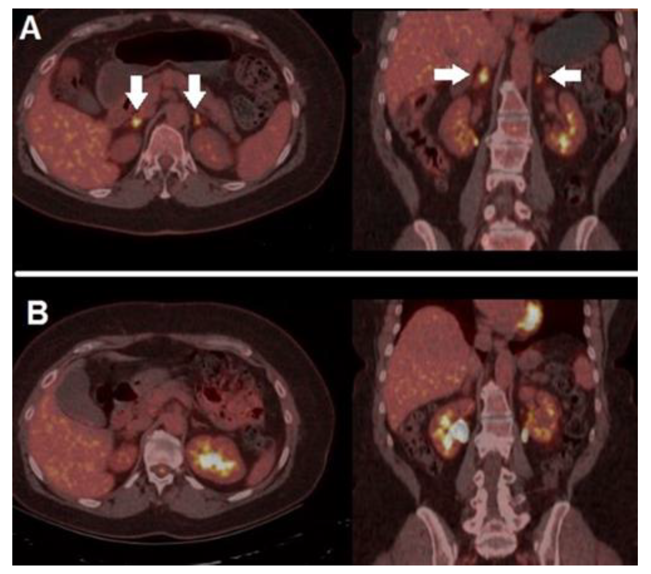
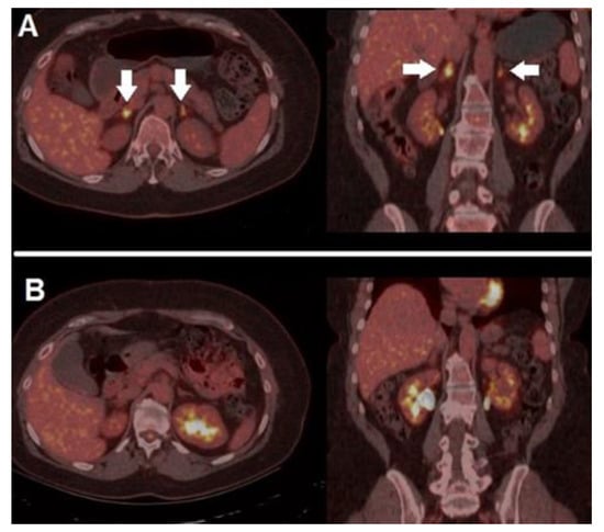
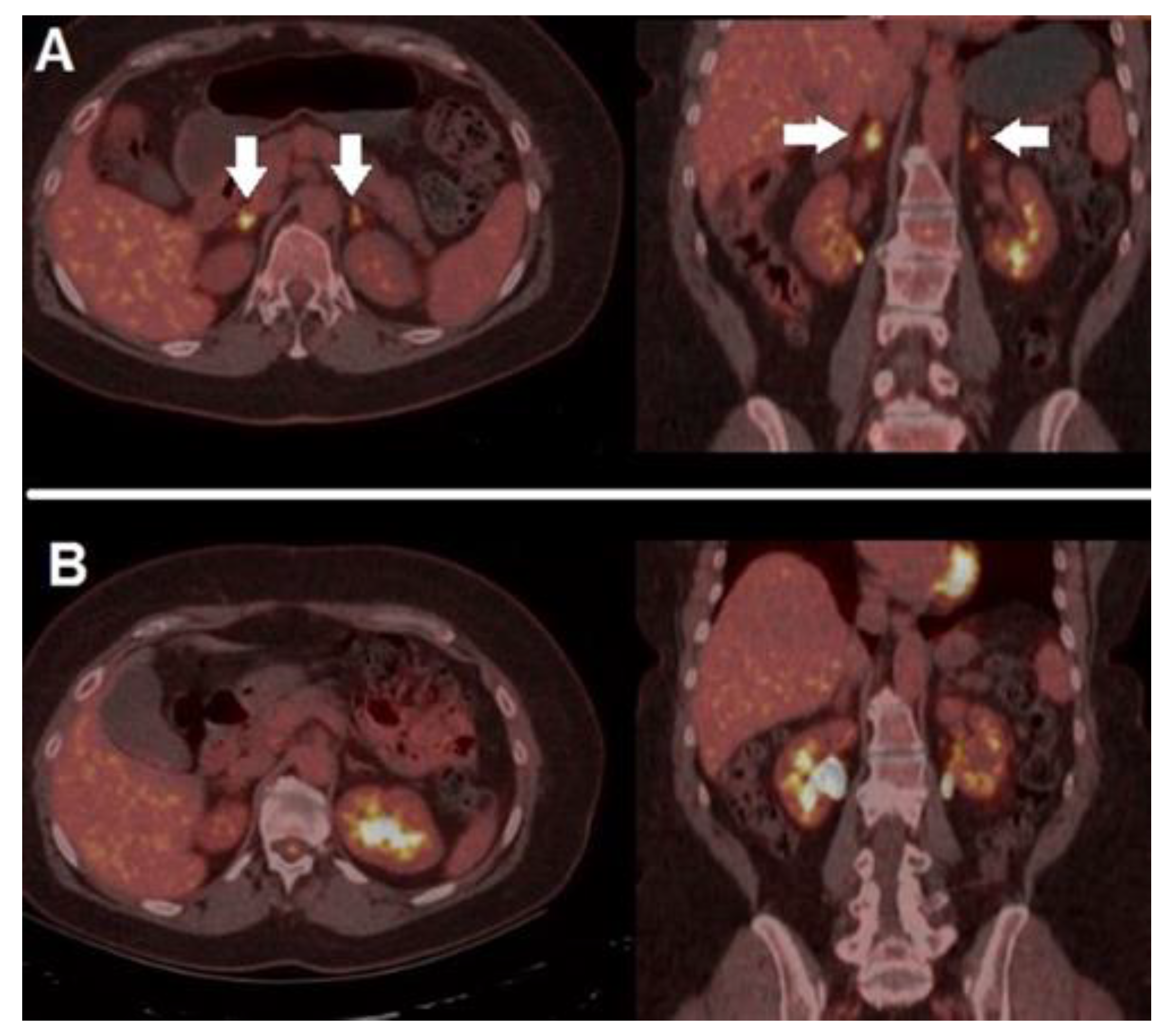
3. 18F-FDG PET/CT for Assessment of Response to Therapy
3.1. Targeted Therapy with BRAF-Inhibitors
| Authors | Year | Clinical Setting | N. of Patients | Applied Criteria | Comments |
|---|---|---|---|---|---|
| McArthur et al. [35] | 2012 | Part of a phase I clinical trial | n = 31 | EORTC | 18F-FDG PET/CT can be applied to assess response to vemurafenib; metabolic response is correlated with a trend towards a longer survival. |
| Carlino et al. [38] | 2013 | Part of a phase I clinical trial | n = 23 | EORTC | Metabolic response to BRAF-inhibitor, categorized as homogeneous or heterogeneous through PET/CT, correlated with time-to-progression in patients with BRAF-mutated MM treated with dabrafenib. |
| Schmitt et al. [39] | 2016 | Retrospective, Single-center | n = 24 | EORTC | In patients undergoing combined anti BRAF/MEK therapy, change in SUVmax for the least responsive site of disease resulted associated with progression free survival. |
| Annovazzi et al. [40]. | 2021 | Retrospective, Single-center | n = 57 | EORTC | Baseline MTV and complete metabolic response during BRAF/MEK therapy are predictors of OS in BRAF-mutated melanoma submitted to targeted therapy. |
3.2. Immunotherapy: The Need for Novel Criteria
| Authors | Year | Therapy | N. of Patients | Applied Criteria | Comments |
|---|---|---|---|---|---|
| Sachpekidis et al. [48] | 2015 | Ipilumumab | n = 22 | EORTC | Metabolic response to ipilimumab assessed by PET/CT correlates with survival benefit. EORTC might erroneously classify patients presenting pseudo-progression at early (i.e., after 2 cycles) PET/CT scan. |
| Anwar et al. [49] | 2018 | Ipilumumab | n = 41 | PERCIMT | The number of newly emerged lesions and their functional diameter resulted significant predictors of patients’ outcome (clinical versus no-clinical benefit). |
| Sachpekidis et al. [53] | 2018 | Ipilumumab | n = 25 | PERCIMT vs Quantitative analysis of dynamic PET/CT | Analysis of dynamic PET/CT acquired at different time-points (baseline, after 2 cycles and after 4 cycles) does not correlated with final outcome after immunotherapy |
| Ito et al. [52] | 2019 | Ipilumumab | n = 60 | imPERCIST5 | Change in SULpeak, measured in up to 5 lesions, between baseline and post-treatment scan meaningfully predicts the outcome after immunotherapy. |
| Sachpekidis et al. [57] | 2019 | Vemurafenib plus ipilimumab | n = 25 | EORTC vs PERCIMT | PERCIMT outperformed EORTC criteria for assessing response to combined targeted therapy and immunotherapy in BRAF-mutated MM. |
| Sanli et al. [57] | 2019 | Ipilimumab, nivolumab | n = 34 | PET-parameters correlation with OS | Tumor heterogeneity (TH) index was inversely correlated with SUVmax, SUVpeak, TLG and MTV, while it was a meaningful predictor of patients’ survival. |
| Nobashi et al. [59] | 2019 | Ipilimumab, pembrolizumab, nivolumab | n = 41 | Correlation with BOR (best overall response) | Patients responding to immunotherapy showed a decrease in tumors’ SUVmax between baseline and follow-up scan, while complete response was associated with increased SUVmax in thyroid. |
| Seban et al. [60] | 2019 | PD-1 bockers | n = 55 | PET-parameters correlation with survival | High MTV and activation of lymphoid organs at baseline represent unfavorable prognostic factors in patients undergoing anti PD-1 therapy. |
| Iravani et al. [68] | 2020 | Nivolumab plus ipilimumab | n = 31 | PERCIST | Metabolic response correlates with survival benefit in patients submitted to ICIs. PET/CT scan is a valuable tool for the image of irAEs. |
| Annovazzi et al. [63] | 2020 | Nivolumab or ipilumumab | n = 57 | PERCIMT, EORTC, RECIST 1.1, TLG, MTV | For patients treated with CTLA-4 targeting immunotherapy a combination of PERCIMT and MTV resulted the best approach for response assessment. In case of anti PD-1 therapy, the best results were achieved with EORTC, MTV and TLG. |
| Schank et al. [64] | 2021 | Nivolumab, pembrolizumab, ipilumumab | n = 45 | EORTC, PERCIMT | Patients achieving complete metabolic response during immunotherapy have good prognosis, even in case of treatment discontinuation. |
| Dimitriou et al. [65] | 2022 | Nivolumab, pembrolizumab, ipilmumab | n = 104 | EORTC, RECIST | A complete metabolic response before ICIs discontinuation, assessed according to EORTC, predicted long-term outcome and outperformed RECIST criteria as prognostic factor. |
| Ferdinandus et al. [66] | 2022 | Nivolumab, pembrolizumab, ipilmumab | n = 38 | RECIST 1.1, EORTC/PERCIST for CMR definition | CMR to immunotherapy has a prognostic impact on long-term response after treatment discontinuation |
| Ellebaek et al. [67] | 2022 | PD-1 targeting immunotherpy | n = 140 | CMR according to EORTC/PERCIST | The absence of 18F-FDG-avid lesions at the time of immunotherapy discontinuation is a powerful prognostic factor on long-term response. |
4. Artificial Intelligence and Radiomics
4.1. Basic Principles
4.2. Clinical Applications in the Field
5. Conclusions
Author Contributions
Funding
Conflicts of Interest
References
- Shen, W.; Sakamoto, N.; Yang, L. Melanoma-Specific Mortality and Competing Mortality in Patients with Non-Metastatic Malignant Melanoma: A Population-Based Analysis. BMC Cancer 2016, 16, 413. [Google Scholar] [CrossRef] [PubMed]
- Ali, Z.; Yousaf, N.; Larkin, J. Melanoma Epidemiology, Biology and Prognosis. Eur. J. Cancer Suppl. 2013, 11, 81–91. [Google Scholar] [CrossRef] [PubMed]
- Memon, A.; Bannister, P.; Rogers, I.; Sundin, J.; Al-Ayadhy, B.; James, P.W.; McNally, R.J.Q. Changing Epidemiology and Age-Specific Incidence of Cutaneous Malignant Melanoma in England: An Analysis of the National Cancer Registration Data by Age, Gender and Anatomical Site, 1981–2018. Lancet Reg. Health Eur. 2021, 2, 100024. [Google Scholar] [CrossRef] [PubMed]
- Saginala, K.; Barsouk, A.; Aluru, J.S.; Rawla, P.; Barsouk, A. Epidemiology of Melanoma. Med. Sci. 2021, 9, 63. [Google Scholar] [CrossRef]
- Clark, W.H.; Elder, D.E.; Guerry, D.; Epstein, M.N.; Greene, M.H.; Van Horn, M. A Study of Tumor Progression: The Precursor Lesions of Superficial Spreading and Nodular Melanoma. Hum. Pathol. 1984, 15, 1147–1165. [Google Scholar] [CrossRef]
- Damsky, W.E.; Theodosakis, N.; Bosenberg, M. Melanoma Metastasis: New Concepts and Evolving Paradigms. Oncogene 2014, 33, 2413–2422. [Google Scholar] [CrossRef]
- Bruno, W.; Martinuzzi, C.; Andreotti, V.; Pastorino, L.; Spagnolo, F.; Dalmasso, B.; Cabiddu, F.; Gualco, M.; Ballestrero, A.; Bianchi-Scarrà, G.; et al. Heterogeneity and Frequency of BRAF Mutations in Primary Melanoma: Comparison between Molecular Methods and Immunohistochemistry. Oncotarget 2017, 8, 8069–8082. [Google Scholar] [CrossRef]
- Alqathama, A. BRAF in Malignant Melanoma Progression and Metastasis: Potentials and Challenges. Am. J. Cancer Res. 2020, 10, 1103–1114. [Google Scholar]
- Poulikakos, P.I.; Rosen, N. Mutant BRAF Melanomas—Dependence and Resistance. Cancer Cell 2011, 19, 11–15. [Google Scholar] [CrossRef]
- van Timmeren, J.E.; Cester, D.; Tanadini-Lang, S.; Alkadhi, H.; Baessler, B. Radiomics in Medical Imaging—“How-to” Guide and Critical Reflection. Insights Imaging 2020, 11, 91. [Google Scholar] [CrossRef]
- Perissinotti, A.; Rietbergen, D.D.; Vidal-Sicart, S.; Riera, A.A.; Olmos, R.A.V. Melanoma & Nuclear Medicine: New Insights & Advances. Melanoma Manag. 2018, 5, MMT06. [Google Scholar] [CrossRef] [PubMed]
- Olcott, P.; Pratx, G.; Johnson, D.; Mittra, E.; Niederkohr, R.; Levin, C.S. Clinical Evaluation of a Novel Intraoperative Handheld Gamma Camera for Sentinel Lymph Node Biopsy. Phys. Med. 2014, 30, 340–345. [Google Scholar] [CrossRef] [PubMed]
- Leong, S.P.; Wu, M.; Lu, Y.; Torre, D.M.; von Bakonyi, A.; Ospina, A.M.; Newsom, J.D.; Luckett, W.S.; Soon, C.W.; Kim, K.B.; et al. Intraoperative Imaging with a Portable Gamma Camera May Reduce the False-Negative Rate for Melanoma Sentinel Lymph Node Surgery. Ann. Surg. Oncol. 2018, 25, 3326–3333. [Google Scholar] [CrossRef] [PubMed]
- Filippi, L.; Valentini, F.B.; Gossetti, B.; Gossetti, F.; De Vincentis, G.; Scopinaro, F.; Massa, R. Intraoperative Gamma Probe Detection of Head and Neck Paragangliomas with 111In-Pentetreotide: A Pilot Study. Tumori 2005, 91, 173–176. [Google Scholar] [CrossRef] [PubMed]
- Portilho, F.L.; Helal-Neto, E.; Cabezas, S.S.; Pinto, S.R.; dos Santos, S.N.; Pozzo, L.; Sancenón, F.; Martínez-Máñez, R.; Santos-Oliveira, R. Magnetic Core Mesoporous Silica Nanoparticles Doped with Dacarbazine and Labelled with 99mTc for Early and Differential Detection of Metastatic Melanoma by Single Photon Emission Computed Tomography. Artif. Cells Nanomed. Biotechnol. 2018, 46, 1080–1087. [Google Scholar] [CrossRef]
- Dore, F.; Filippi, L. Reply: Bone Scintigraphy and SPECT/CT in Bisphosphonate-Induced Osteonecrosis of the Jaw. J. Nucl. Med. 2009, 50, 1385. [Google Scholar] [CrossRef][Green Version]
- Stoffels, I.; Herrmann, K.; Rekowski, J.; Jansen, P.; Schadendorf, D.; Stang, A.; Klode, J. Sentinel Lymph Node Excision with or without Preoperative Hybrid Single-Photon Emission Computed Tomography/Computed Tomography (SPECT/CT) in Melanoma: Study Protocol for a Multicentric Randomized Controlled Trial. Trials 2019, 20, 99. [Google Scholar] [CrossRef]
- Gulec, S.A.; Faries, M.B.; Lee, C.C.; Kirgan, D.; Glass, C.; Morton, D.L.; Essner, R. The Role of Fluorine-18 Deoxyglucose Positron Emission Tomography in the Management of Patients With Metastatic Melanoma: Impact on Surgical Decision Making. Clin. Nucl. Med. 2003, 28, 961–965. [Google Scholar] [CrossRef]
- Querellou, S.; Keromnes, N.; Abgral, R.; Sassolas, B.; Le Roux, P.-Y.; Cavarec, M.-B.; Le Duc-Pennec, A.; Couturier, O.; Salaun, P.-Y. Clinical and Therapeutic Impact of 18F-FDG PET/CT Whole-Body Acquisition Including Lower Limbs in Patients with Malignant Melanoma. Nucl. Med. Commun. 2010, 31, 766–772. [Google Scholar] [CrossRef]
- Pfluger, T.; Melzer, H.I.; Schneider, V.; La Fougere, C.; Coppenrath, E.; Berking, C.; Bartenstein, P.; Weiss, M. PET/CT in Malignant Melanoma: Contrast-Enhanced CT versus Plain Low-Dose CT. Eur. J. Nucl. Med. Mol. Imaging 2011, 38, 822–831. [Google Scholar] [CrossRef]
- Bastiaannet, E.; Hoekstra, O.S.; de Jong, J.R.; Brouwers, A.H.; Suurmeijer, A.J.H.; Hoekstra, H.J. Prognostic Value of the Standardized Uptake Value for 18F-Fluorodeoxyglucose in Patients with Stage IIIB Melanoma. Eur. J. Nucl Med. Mol. Imaging 2012, 39, 1592–1598. [Google Scholar] [CrossRef] [PubMed][Green Version]
- Holtkamp, L.H.J.; Chakera, A.H.; Fung, S.; Stretch, J.R.; Saw, R.P.M.; Lee, K.; Ch’ng, S.; Gonzalez, M.; Thompson, J.F.; Emmett, L.; et al. Staging 18F-FDG PET/CT Influences the Treatment Plan in Melanoma Patients with Satellite or in-Transit Metastases. Melanoma Res. 2020, 30, 358–363. [Google Scholar] [CrossRef]
- Klingenstein, A.; Haug, A.R.; Nentwich, M.M.; Tiling, R.; Schaller, U.C. Whole-Body F-18-Fluoro-2-Deoxyglucose Positron Emission Tomography/Computed Tomography Imaging in the Follow-up of Metastatic Uveal Melanoma. Melanoma Res. 2010, 20, 511–516. [Google Scholar] [CrossRef] [PubMed]
- Cohen, V.L.; Pavlidou, E.; Costa, J.; Arora, A.; Szyszko, T.; Sagoo, M.; Szlosarek, P. Staging Uveal Melanoma with Whole-Body Positron-Emission Tomography/Computed Tomography and Abdominal Ultrasound: Low Incidence of Metastatic Disease, High Incidence of Second Primary Cancers. Middle East Afr. J. Ophthalmol. 2018, 25, 91. [Google Scholar] [CrossRef]
- Bisschop, C.; de Heer, E.C.; Brouwers, A.H.; Hospers, G.A.P.; Jalving, M. Rational Use of 18F-FDG PET/CT in Patients with Advanced Cutaneous Melanoma: A Systematic Review. Crit. Rev. Oncol./Hematol. 2020, 153, 103044. [Google Scholar] [CrossRef] [PubMed]
- Xing, Y.; Bronstein, Y.; Ross, M.I.; Askew, R.L.; Lee, J.E.; Gershenwald, J.E.; Royal, R.; Cormier, J.N. Contemporary Diagnostic Imaging Modalities for the Staging and Surveillance of Melanoma Patients: A Meta-Analysis. JNCI J. Natl. Cancer Inst. 2011, 103, 129–142. [Google Scholar] [CrossRef] [PubMed]
- Schröer-Günther, M.A.; Wolff, R.F.; Westwood, M.E.; Scheibler, F.J.; Schürmann, C.; Baumert, B.G.; Sauerland, S.; Kleijnen, J. F-18-Fluoro-2-Deoxyglucose Positron Emission Tomography (PET) and PET/Computed Tomography Imaging in Primary Staging of Patients with Malignant Melanoma: A Systematic Review. Syst. Rev. 2012, 1, 62. [Google Scholar] [CrossRef] [PubMed]
- Palumbo, B.; Angotti, F.; Marano, G.D. Relationship between PET-FDG and MRI Apparent Diffusion Coefficients in Brain Tumors. Q. J. Nucl. Med. Mol. Imaging 2009, 53, 17–22. [Google Scholar]
- Deike-Hofmann, K.; Thünemann, D.; Breckwoldt, M.O.; Schwarz, D.; Radbruch, A.; Enk, A.; Bendszus, M.; Hassel, J.; Schlemmer, H.-P.; Bäumer, P. Sensitivity of Different MRI Sequences in the Early Detection of Melanoma Brain Metastases. PLoS ONE 2018, 13, e0193946. [Google Scholar] [CrossRef]
- Yin, Y.; Xie, M.; Liang, X.; Ye, M.; Li, J.; Hu, B. Clinical Significance and Prognostic Value of the Maximum Standardized Uptake Value of 18F-Flurodeoxyglucose Positron Emission Tomography–Computed Tomography in Colorectal Cancer. Front. Oncol. 2021, 11, 741612. [Google Scholar] [CrossRef]
- Bu, L.; Tu, N.; Wang, K.; Zhou, Y.; Xie, X.; Han, X.; Lin, H.; Feng, H. Relationship between 18F-FDG PET/CT Semi-Quantitative Parameters and International Association for the Study of Lung Cancer, American Thoracic Society/European Respiratory Society Classification in Lung Adenocarcinomas. Korean J. Radiol. 2022, 23, 112. [Google Scholar] [CrossRef] [PubMed]
- Filippi, L.; Di Costanzo, G.G.; Tortora, R.; Pelle, G.; Saltarelli, A.; Marino Marsilia, G.; Cianni, R.; Schillaci, O.; Bagni, O. Prognostic Value of Neutrophil-to-Lymphocyte Ratio and Its Correlation with Fluorine-18-Fluorodeoxyglucose Metabolic Parameters in Intrahepatic Cholangiocarcinoma Submitted to 90Y-Radioembolization. Nucl. Med. Commun. 2020, 41, 78–86. [Google Scholar] [CrossRef] [PubMed]
- Pavlick, A.C.; Zhao, R.; Lee, C.-H.; Ritchings, C.; Rao, S. First-Line Immunotherapy versus Targeted Therapy in Patients with BRAF-Mutant Advanced Melanoma: A Real-World Analysis. Future Oncol. 2021, 17, 689–699. [Google Scholar] [CrossRef] [PubMed]
- Proietti, I.; Skroza, N.; Michelini, S.; Mambrin, A.; Balduzzi, V.; Bernardini, N.; Marchesiello, A.; Tolino, E.; Volpe, S.; Maddalena, P.; et al. BRAF Inhibitors: Molecular Targeting and Immunomodulatory Actions. Cancers 2020, 12, 1823. [Google Scholar] [CrossRef] [PubMed]
- McArthur, G.A.; Puzanov, I.; Amaravadi, R.; Ribas, A.; Chapman, P.; Kim, K.B.; Sosman, J.A.; Lee, R.J.; Nolop, K.; Flaherty, K.T.; et al. Marked, Homogeneous, and Early 18F-Fluorodeoxyglucose–Positron Emission Tomography Responses to Vemurafenib in BRAF-Mutant Advanced Melanoma. JCO 2012, 30, 1628–1634. [Google Scholar] [CrossRef] [PubMed]
- Therasse, P.; Arbuck, S.G.; Eisenhauer, E.A.; Wanders, J.; Kaplan, R.S.; Rubinstein, L.; Verweij, J.; Van Glabbeke, M.; van Oosterom, A.T.; Christian, M.C.; et al. New Guidelines to Evaluate the Response to Treatment in Solid Tumors. JNCI J. Natl. Cancer Inst. 2000, 92, 205–216. [Google Scholar] [CrossRef] [PubMed]
- Young, H.; Baum, R.; Cremerius, U.; Herholz, K.; Hoekstra, O.; Lammertsma, A.A.; Pruim, J.; Price, P. Measurement of Clinical and Subclinical Tumour Response Using [18F]-Fluorodeoxyglucose and Positron Emission Tomography: Review and 1999 EORTC Recommendations. Eur. J. Cancer 1999, 35, 1773–1782. [Google Scholar] [CrossRef]
- Carlino, M.S.; Saunders, C.A.B.; Haydu, L.E.; Menzies, A.M.; Martin Curtis, C.; Lebowitz, P.F.; Kefford, R.F.; Long, G.V. 18F-Labelled Fluorodeoxyglucose–Positron Emission Tomography (FDG–PET) Heterogeneity of Response Is Prognostic in Dabrafenib Treated BRAF Mutant Metastatic Melanoma. Eur. J. Cancer 2013, 49, 395–402. [Google Scholar] [CrossRef]
- Schmitt, R.J.; Kreidler, S.M.; Glueck, D.H.; Amaria, R.N.; Gonzalez, R.; Lewis, K.; Bagrosky, B.M.; Kwak, J.J.; Koo, P.J. Correlation between Early 18F-FDG PET/CT Response to BRAF and MEK Inhibition and Survival in Patients with BRAF-Mutant Metastatic Melanoma. Nucl. Med. Commun. 2016, 37, 122–128. [Google Scholar] [CrossRef][Green Version]
- Annovazzi, A.; Ferraresi, V.; Rea, S.; Russillo, M.; Renna, D.; Carpano, S.; Sciuto, R. Prognostic Value of Total Metabolic Tumour Volume and Therapy-Response Assessment by [18F]FDG PET/CT in Patients with Metastatic Melanoma Treated with BRAF/MEK Inhibitors. Eur. Radiol. 2021. head of print. [Google Scholar] [CrossRef]
- Rosenberg, S.A.; Yang, J.C.; Restifo, N.P. Cancer Immunotherapy: Moving beyond Current Vaccines. Nat. Med. 2004, 10, 909–915. [Google Scholar] [CrossRef]
- Robert, C. A Decade of Immune-Checkpoint Inhibitors in Cancer Therapy. Nat. Commun. 2020, 11, 3801. [Google Scholar] [CrossRef] [PubMed]
- Hodi, F.S.; O’Day, S.J.; McDermott, D.F.; Weber, R.W.; Sosman, J.A.; Haanen, J.B.; Gonzalez, R.; Robert, C.; Schadendorf, D.; Hassel, J.C.; et al. Improved Survival with Ipilimumab in Patients with Metastatic Melanoma. N. Engl. J. Med. 2010, 363, 711–723. [Google Scholar] [CrossRef]
- Brunet, J.-F.; Denizot, F.; Luciani, M.-F.; Roux-Dosseto, M.; Suzan, M.; Mattei, M.-G.; Golstein, P. A New Member of the Immunoglobulin Superfamily—CTLA-4. Nature 1987, 328, 267–270. [Google Scholar] [CrossRef] [PubMed]
- Park, H.J.; Kim, K.W.; Pyo, J.; Suh, C.H.; Yoon, S.; Hatabu, H.; Nishino, M. Incidence of Pseudoprogression during Immune Checkpoint Inhibitor Therapy for Solid Tumors: A Systematic Review and Meta-Analysis. Radiology 2020, 297, 87–96. [Google Scholar] [CrossRef]
- Frelaut, M.; Le Tourneau, C.; Borcoman, E. Hyperprogression under Immunotherapy. IJMS 2019, 20, 2674. [Google Scholar] [CrossRef] [PubMed]
- Wahl, R.L.; Jacene, H.; Kasamon, Y.; Lodge, M.A. From RECIST to PERCIST: Evolving Considerations for PET Response Criteria in Solid Tumors. J. Nucl. Med. 2009, 50, 122S–150S. [Google Scholar] [CrossRef]
- Sachpekidis, C.; Larribere, L.; Pan, L.; Haberkorn, U.; Dimitrakopoulou-Strauss, A.; Hassel, J.C. Predictive Value of Early 18F-FDG PET/CT Studies for Treatment Response Evaluation to Ipilimumab in Metastatic Melanoma: Preliminary Results of an Ongoing Study. Eur. J. Nucl. Med. Mol. Imaging 2015, 42, 386–396. [Google Scholar] [CrossRef]
- Anwar, H.; Sachpekidis, C.; Winkler, J.; Kopp-Schneider, A.; Haberkorn, U.; Hassel, J.C.; Dimitrakopoulou-Strauss, A. Absolute Number of New Lesions on 18F-FDG PET/CT Is More Predictive of Clinical Response than SUV Changes in Metastatic Melanoma Patients Receiving Ipilimumab. Eur. J. Nucl Med. Mol. Imaging 2018, 45, 376–383. [Google Scholar] [CrossRef]
- Goldfarb, L.; Duchemann, B.; Chouahnia, K.; Zelek, L.; Soussan, M. Monitoring Anti-PD-1-Based Immunotherapy in Non-Small Cell Lung Cancer with FDG PET: Introduction of IPERCIST. EJNMMI Res. 2019, 9, 8. [Google Scholar] [CrossRef]
- Filippi, L.; Proietti, I.; Petrozza, V.; Bagni, O.; Schillaci, O. Cutaneous Squamous Cell Carcinoma Subjected to Anti PD-1 Immunotherapy: Monitoring Response Through Serial PET/CT Scans with 18 F-FDG. Cancer Biother. Radiopharm. 2022, 37, 226–232. [Google Scholar] [CrossRef] [PubMed]
- Ito, K.; Teng, R.; Schöder, H.; Humm, J.L.; Ni, A.; Michaud, L.; Nakajima, R.; Yamashita, R.; Wolchok, J.D.; Weber, W.A. 18F-FDG PET/CT for Monitoring of Ipilimumab Therapy in Patients with Metastatic Melanoma. J. Nucl. Med. 2019, 60, 335–341. [Google Scholar] [CrossRef] [PubMed]
- Sachpekidis, C.; Anwar, H.; Winkler, J.K.; Kopp-Schneider, A.; Larribere, L.; Haberkorn, U.; Hassel, J.C.; Dimitrakopoulou-Strauss, A. Longitudinal Studies of the 18F-FDG Kinetics after Ipilimumab Treatment in Metastatic Melanoma Patients Based on Dynamic FDG PET/CT. Cancer Immunol. Immunother. 2018, 67, 1261–1270. [Google Scholar] [CrossRef] [PubMed]
- Sachpekidis, C.; Kopp-Schneider, A.; Hakim-Meibodi, L.; Dimitrakopoulou-Strauss, A.; Hassel, J.C. 18F-FDG PET/CT Longitudinal Studies in Patients with Advanced Metastatic Melanoma for Response Evaluation of Combination Treatment with Vemurafenib and Ipilimumab. Melanoma Res. 2019, 29, 178–186. [Google Scholar] [CrossRef]
- Ramos-Casals, M.; Brahmer, J.R.; Callahan, M.K.; Flores-Chávez, A.; Keegan, N.; Khamashta, M.A.; Lambotte, O.; Mariette, X.; Prat, A.; Suárez-Almazor, M.E. Immune-Related Adverse Events of Checkpoint Inhibitors. Nat. Rev. Dis. Primers 2020, 6, 38. [Google Scholar] [CrossRef]
- Fujii, T.; Colen, R.R.; Bilen, M.A.; Hess, K.R.; Hajjar, J.; Suarez-Almazor, M.E.; Alshawa, A.; Hong, D.S.; Tsimberidou, A.; Janku, F.; et al. Incidence of Immune-Related Adverse Events and Its Association with Treatment Outcomes: The MD Anderson Cancer Center Experience. Investig. New Drugs 2018, 36, 638–646. [Google Scholar] [CrossRef]
- Sanli, Y.; Leake, J.; Odu, A.; Xi, Y.; Subramaniam, R.M. Tumor Heterogeneity on FDG PET/CT and Immunotherapy: An Imaging Biomarker for Predicting Treatment Response in Patients With Metastatic Melanoma. Am. J. Roentgenol. 2019, 212, 1318–1326. [Google Scholar] [CrossRef]
- Bailly, C.; Bodet-Milin, C.; Bourgeois, M.; Gouard, S.; Ansquer, C.; Barbaud, M.; Sébille, J.-C.; Chérel, M.; Kraeber-Bodéré, F.; Carlier, T. Exploring Tumor Heterogeneity Using PET Imaging: The Big Picture. Cancers 2019, 11, 1282. [Google Scholar] [CrossRef]
- Nobashi, T.; Baratto, L.; Reddy, S.A.; Srinivas, S.; Toriihara, A.; Hatami, N.; Yohannan, T.K.; Mittra, E. Predicting Response to Immunotherapy by Evaluating Tumors, Lymphoid Cell-Rich Organs, and Immune-Related Adverse Events Using FDG-PET/CT. Clin. Nucl. Med. 2019, 44, e272–e279. [Google Scholar] [CrossRef]
- Seban, R.-D.; Nemer, J.S.; Marabelle, A.; Yeh, R.; Deutsch, E.; Ammari, S.; Moya-Plana, A.; Mokrane, F.-Z.; Gartrell, R.D.; Finkel, G.; et al. Prognostic and Theranostic 18F-FDG PET Biomarkers for Anti-PD1 Immunotherapy in Metastatic Melanoma: Association with Outcome and Transcriptomics. Eur. J. Nucl. Med. Mol. Imaging 2019, 46, 2298–2310. [Google Scholar] [CrossRef]
- Seban, R.-D.; Champion, L.; Schwartz, L.H.; Dercle, L. Spleen Glucose Metabolism on [18F]-FDG PET/CT: A Dynamic Double-Edged Biomarker Predicting Outcome in Cancer Patients. Eur. J. Nucl. Med. Mol. Imaging 2021, 48, 2309–2311. [Google Scholar] [CrossRef] [PubMed]
- Nakamoto, R.; Zaba, L.C.; Rosenberg, J.; Reddy, S.A.; Nobashi, T.W.; Davidzon, G.; Aparici, C.M.; Nguyen, J.; Moradi, F.; Iagaru, A.; et al. Prognostic Value of Volumetric PET Parameters at Early Response Evaluation in Melanoma Patients Treated with Immunotherapy. Eur. J. Nucl. Med. Mol. Imaging 2020, 47, 2787–2795. [Google Scholar] [CrossRef] [PubMed]
- Annovazzi, A.; Vari, S.; Giannarelli, D.; Pasqualoni, R.; Sciuto, R.; Carpano, S.; Cognetti, F.; Ferraresi, V. Comparison of 18F-FDG PET/CT Criteria for the Prediction of Therapy Response and Clinical Outcome in Patients With Metastatic Melanoma Treated With Ipilimumab and PD-1 Inhibitors. Clin. Nucl. Med. 2020, 45, 187–194. [Google Scholar] [CrossRef] [PubMed]
- Schank, T.E.; Forschner, A.; Sachse, M.M.; Dimitrakopoulou-Strauss, A.; Sachpekidis, C.; Stenzinger, A.; Volckmar, A.-L.; Enk, A.; Hassel, J.C. Complete Metabolic Response in FDG-PET-CT Scan before Discontinuation of Immune Checkpoint Inhibitors Correlates with Long Progression-Free Survival. Cancers 2021, 13, 2616. [Google Scholar] [CrossRef] [PubMed]
- Dimitriou, F.; Lo, S.N.; Tan, A.C.; Emmett, L.; Kapoor, R.; Carlino, M.S.; Long, G.V.; Menzies, A.M. FDG-PET to Predict Long-Term Outcome from Anti-PD-1 Therapy in Metastatic Melanoma. Ann. Oncol. 2022, 33, 99–106. [Google Scholar] [CrossRef]
- Ferdinandus, J.; Zaremba, A.; Zimmer, L.; Umutlu, L.; Seifert, R.; Barbato, F.; Ugurel, S.; Chorti, E.; Grünwald, V.; Herrmann, K.; et al. Metabolic Imaging with FDG-PET and Time to Progression in Patients Discontinuing Immune-Checkpoint Inhibition for Metastatic Melanoma. Cancer Imaging 2022, 22, 11. [Google Scholar] [CrossRef]
- Ellebaek, E.; Schina, A.; Andersen, R.; Hendel, H.W.; Svane, I.M.; Donia, M. Clinical Value of Routine [18F]2-fluoro-2-deoxy- D -glucose Positron Emission Tomography Scans as a Decision Tool for Early Immunotherapy Discontinuation in Advanced Melanoma. Int. J. Cancer 2022, 150, 1870–1878. [Google Scholar] [CrossRef]
- Iravani, A.; Osman, M.M.; Weppler, A.M.; Wallace, R.; Galligan, A.; Lasocki, A.; Hunter, M.O.; Akhurst, T.; Hofman, M.S.; Lau, P.K.H.; et al. FDG PET/CT for Tumoral and Systemic Immune Response Monitoring of Advanced Melanoma during First-Line Combination Ipilimumab and Nivolumab Treatment. Eur. J. Nucl. Med. Mol. Imaging 2020, 47, 2776–2786. [Google Scholar] [CrossRef]
- Bianconi, F.; Palumbo, I.; Spanu, A.; Nuvoli, S.; Fravolini, M.L.; Palumbo, B. PET/CT Radiomics in Lung Cancer: An Overview. Appl. Sci. 2020, 10, 1718. [Google Scholar] [CrossRef]
- Palumbo, B.; Bianconi, F.; Nuvoli, S.; Spanu, A.; Fravolini, M.L. Artificial Intelligence Techniques Support Nuclear Medicine Modalities to Improve the Diagnosis of Parkinson’s Disease and Parkinsonian Syndromes. Clin. Transl. Imaging 2021, 9, 19–35. [Google Scholar] [CrossRef]
- Hatt, M.; Cheze Le Rest, C.; Antonorsi, N.; Tixier, F.; Tankyevych, O.; Jaouen, V.; Lucia, F.; Bourbonne, V.; Schick, U.; Badic, B.; et al. Radiomics in PET/CT: Current Status and Future AI-Based Evolutions. Semin. Nucl. Med. 2021, 51, 126–133. [Google Scholar] [CrossRef]
- Cascianelli, S.; Scialpi, M.; Amici, S.; Forini, N.; Minestrini, M.; Fravolini, M.; Sinzinger, H.; Schillaci, O.; Palumbo, B. Role of Artificial Intelligence Techniques (Automatic Classifiers) in Molecular Imaging Modalities in Neurodegenerative Diseases. CAR 2017, 14, 198–207. [Google Scholar] [CrossRef] [PubMed]
- Palumbo, B.; Bianconi, F.; Palumbo, I.; Fravolini, M.L.; Minestrini, M.; Nuvoli, S.; Stazza, M.L.; Rondini, M.; Spanu, A. Value of Shape and Texture Features from 18F-FDG PET/CT to Discriminate between Benign and Malignant Solitary Pulmonary Nodules: An Experimental Evaluation. Diagnostics 2020, 10, 696. [Google Scholar] [CrossRef]
- Guerrisi, A.; Loi, E.; Ungania, S.; Russillo, M.; Bruzzaniti, V.; Elia, F.; Desiderio, F.; Marconi, R.; Solivetti, F.M.; Strigari, L. Novel Cancer Therapies for Advanced Cutaneous Melanoma: The Added Value of Radiomics in the Decision Making Process—A Systematic Review. Cancer Med. 2020, 9, 1603–1612. [Google Scholar] [CrossRef] [PubMed]
- Giesel, F.L.; Schneider, F.; Kratochwil, C.; Rath, D.; Moltz, J.; Holland-Letz, T.; Kauczor, H.-U.; Schwartz, L.H.; Haberkorn, U.; Flechsig, P. Correlation between SUVmax and CT Radiomic Analysis Using Lymph Node Density in PET/CT-Based Lymph Node Staging. J. Nucl. Med. 2017, 58, 282–287. [Google Scholar] [CrossRef] [PubMed]
- Saadani, H.; van der Hiel, B.; Aalbersberg, E.A.; Zavrakidis, I.; Haanen, J.B.A.G.; Hoekstra, O.S.; Boellaard, R.; Stokkel, M.P.M. Metabolic Biomarker–Based BRAFV600 Mutation Association and Prediction in Melanoma. J. Nucl. Med. 2019, 60, 1545–1552. [Google Scholar] [CrossRef]
- Reinert, C.P.; Gatidis, S.; Sekler, J.; Dittmann, H.; Pfannenberg, C.; la Fougère, C.; Nikolaou, K.; Forschner, A. Clinical and Prognostic Value of Tumor Volumetric Parameters in Melanoma Patients Undergoing 18F-FDG-PET/CT: A Comparison with Serologic Markers of Tumor Burden and Inflammation. Cancer Imaging 2020, 20, 44. [Google Scholar] [CrossRef]
- Flaus, A.; Habouzit, V.; de Leiris, N.; Vuillez, J.-P.; Leccia, M.-T.; Simonson, M.; Perrot, J.-L.; Cachin, F.; Prevot, N. Outcome Prediction at Patient Level Derived from Pre-Treatment 18F-FDG PET Due to Machine Learning in Metastatic Melanoma Treated with Anti-PD1 Treatment. Diagnostics 2022, 12, 388. [Google Scholar] [CrossRef]




| Authors | Year | Type of Study | Setting | Number of Patients | Comment |
|---|---|---|---|---|---|
| Gulec et al. [18] | 2003 | Retrospective, single-center | Impact on clinical management | n = 59 | 18F-FDG PET/CT detected additional lesions with respect to conventional imaging (total body CT) in the majority of patients and significantly impacted on therapeutic decision. |
| Querellou et al. [19] | 2010 | Retrospective, single-center | Additional value of lower limbs scan in MM patients | n = 122 | In patients without known or suspected MM focuses on the lower limbs, additional scan did not add significant information or impacted on clinical managment. |
| Pfluger et al. [20] | 2011 | Retrospective, Single-center | Contribution of contrast-enhanced CT (ceCT) for PET/CT MM imaging | n = 50 | PET/CT and PET/ceCT equally performed in advanced MM, especially in terms of specificity, therefore the use of conventional PET/CT (no-contrast media) modality is justified. |
| Bastiaannet et al. [21] | 2012 | Prospective, Single-center | Prognostic impact of PET-derived parameter, SUVmax | n = 80 | In MM at stage IIIB, SUVmax measured on metastatic nodes before surgery can be used to patients prognostic stratification. |
| Holtkamp et al. [22] | 2020 | Prospective, Single-center | Staging and follow-up in patients with in-transit or satellite MM metastases | n = 25 | PET/CT upstaged 4 out of 25 patients (16%) therefore leading to a change in clinical management. Furthermore, PET/CT detected the onset of distant metastases during follow-up in 10 cases within 6 months from diagnosis. |
| Klingestein et al. [23] | 2010 | Retrospective, Single-center | Restaging and follow-up of uveal melanoma | n = 11 | PET/CT correctly identified metastases to liver, lungs, nodes and adrenal glands. |
| Cohen et al. [24] | 2018 | Retrospective, Single-center | Staging uveal melanoma | n = 108 | PET/CT combined with abdominal ultrasonography resulted positive for metastases in 3 cases of uveal melanoma and identified a second primary malignancy in the 9% of the examined subjects. |
| Authors | Year | Criteria | CMR | PMR | PMD | SMD |
|---|---|---|---|---|---|---|
| Wahl et al. [47] | 2009 | PERCIST | Complete regression of all 18F-FDG-avid sites | SULpeak reduction in at least 30% in the target lesions | Increase in SULpeak of at least 30% or new lesions | None of the previously mentioned conditions |
| Sachpekidis et al. [48] | 2015 | EORTC | Complete regression of all 18F-FDG-avid sites | Minimum reduction of ±15–25% in SUV after the 1st cycle of chemotherapy, and >25% after more than one cycle | Increased SUVmax of ≥25% or appearance of new lesions | None of the previously mentioned conditions |
| Anwar et al. [49] | 2018 | PERCIMT | No new lesions (Clinical Benefit) | No new lesions (Clinical Benefit) | >4 new lesions with functional DM <1 cm, or three new lesions with functional diameter >1 cm or two new lesions with functional diameter >1.5 cm | None of the previously mentioned conditions |
| Goldfarb et al. [50] Filippi et al. [51] | 2019 2022 | iPERCIST | Complete regression of all 18F-FDG-avid sites | SULpeak reduction of at least 30% in the target lesions | Increase in SULpeak of at least 30% or new lesions (unconfirmed progressive disease/UPMD), needing confirmation (cPMD) with a further scan after 4–8 weeks. | None of the previously mentioned conditions |
| Ito et al. [52] | 2019 | Immunotherapy-modified PERCIST (imPERCIST5) | Complete regression of all 18F-FDG-avid sites | Sum of SULpeak decreased by at least 30% | Increase in the sum of SULpeak by at least 30% | None of the previously mentioned conditions |
Publisher’s Note: MDPI stays neutral with regard to jurisdictional claims in published maps and institutional affiliations. |
© 2022 by the authors. Licensee MDPI, Basel, Switzerland. This article is an open access article distributed under the terms and conditions of the Creative Commons Attribution (CC BY) license (https://creativecommons.org/licenses/by/4.0/).
Share and Cite
Filippi, L.; Bianconi, F.; Schillaci, O.; Spanu, A.; Palumbo, B. The Role and Potential of 18F-FDG PET/CT in Malignant Melanoma: Prognostication, Monitoring Response to Targeted and Immunotherapy, and Radiomics. Diagnostics 2022, 12, 929. https://doi.org/10.3390/diagnostics12040929
Filippi L, Bianconi F, Schillaci O, Spanu A, Palumbo B. The Role and Potential of 18F-FDG PET/CT in Malignant Melanoma: Prognostication, Monitoring Response to Targeted and Immunotherapy, and Radiomics. Diagnostics. 2022; 12(4):929. https://doi.org/10.3390/diagnostics12040929
Chicago/Turabian StyleFilippi, Luca, Francesco Bianconi, Orazio Schillaci, Angela Spanu, and Barbara Palumbo. 2022. "The Role and Potential of 18F-FDG PET/CT in Malignant Melanoma: Prognostication, Monitoring Response to Targeted and Immunotherapy, and Radiomics" Diagnostics 12, no. 4: 929. https://doi.org/10.3390/diagnostics12040929
APA StyleFilippi, L., Bianconi, F., Schillaci, O., Spanu, A., & Palumbo, B. (2022). The Role and Potential of 18F-FDG PET/CT in Malignant Melanoma: Prognostication, Monitoring Response to Targeted and Immunotherapy, and Radiomics. Diagnostics, 12(4), 929. https://doi.org/10.3390/diagnostics12040929

