The Diagnostic Dilemma of Urothelial Tissue Fragments in Urinary Tract Cytology Specimens
Abstract
:1. Introduction
2. Urothelial Tissue Fragments Prior to the Implementation of TPS
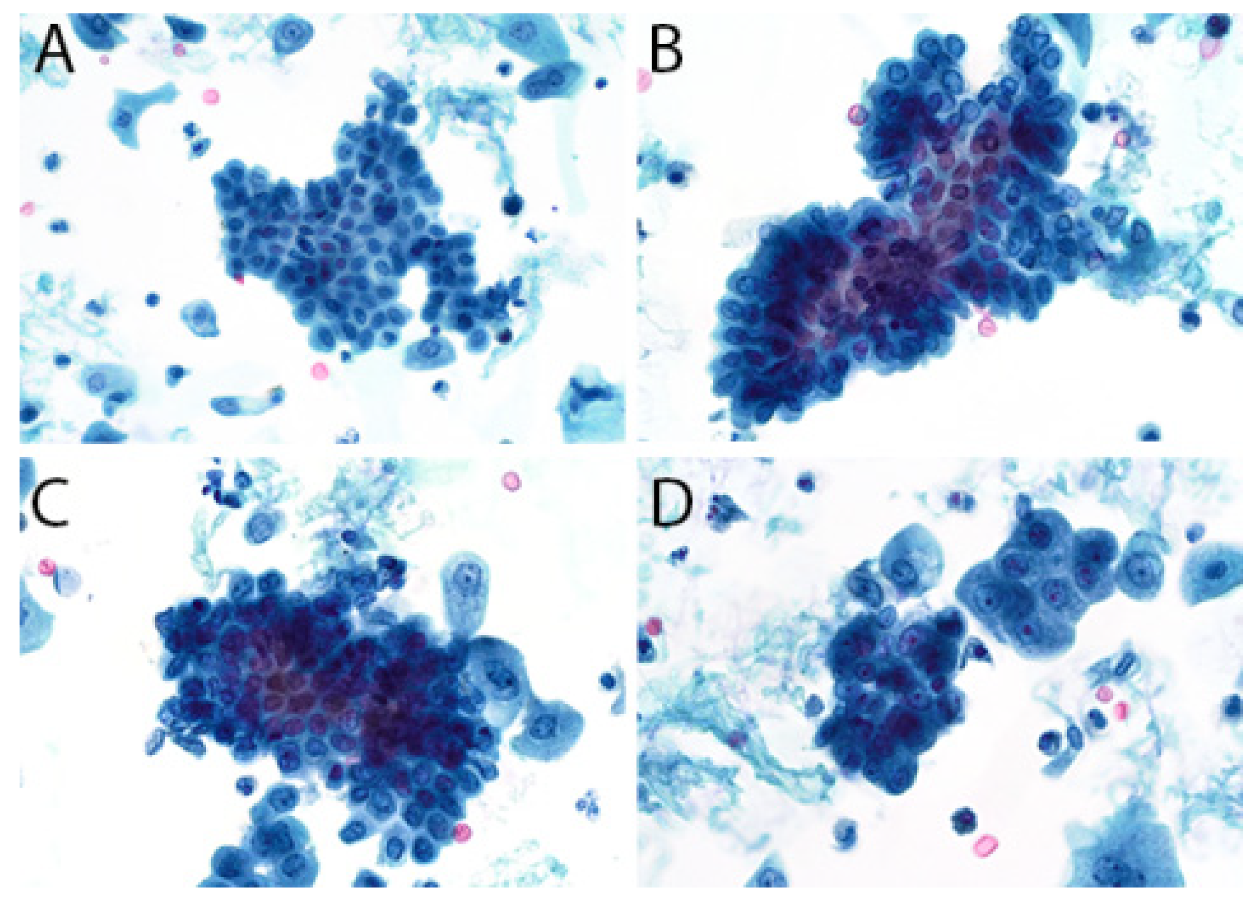
3. Tissue Fragments Arising from Low-Grade Urothelial Neoplasms (LGUN)
4. Cytomorphologic Assessment of Urothelial Tissue Fragments in Urinary Tract Specimens
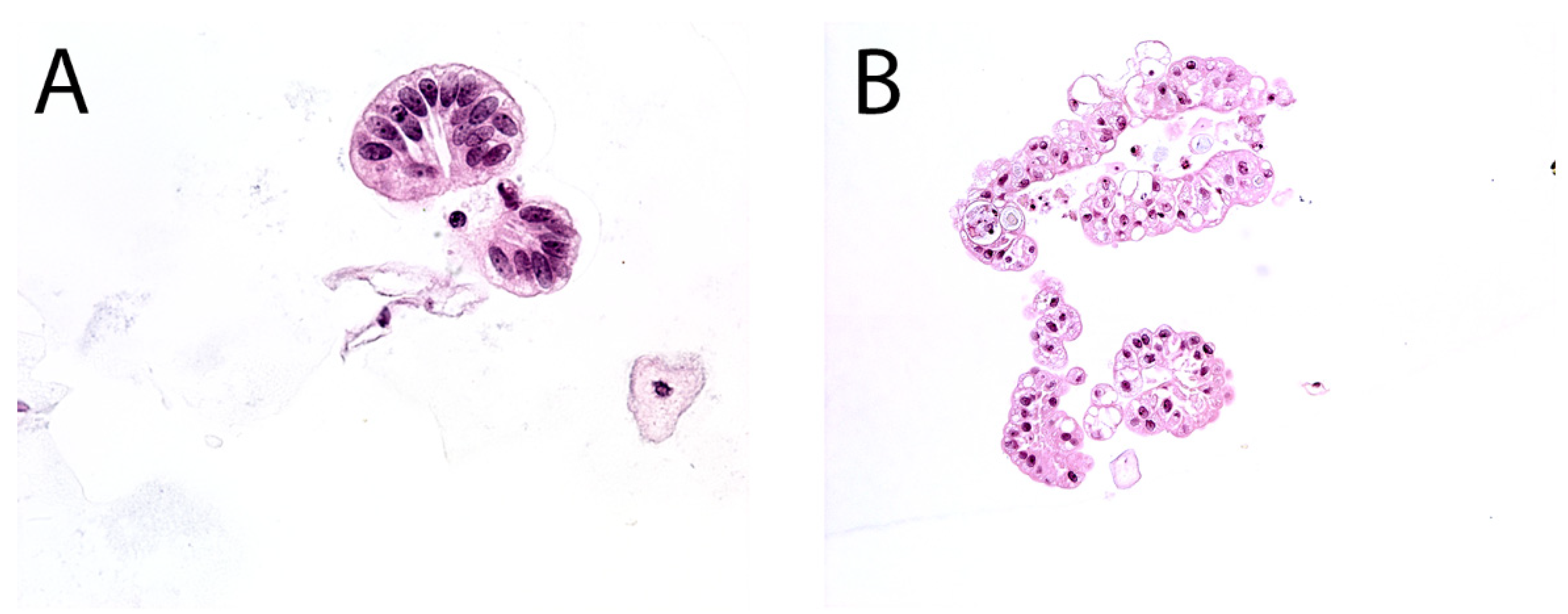
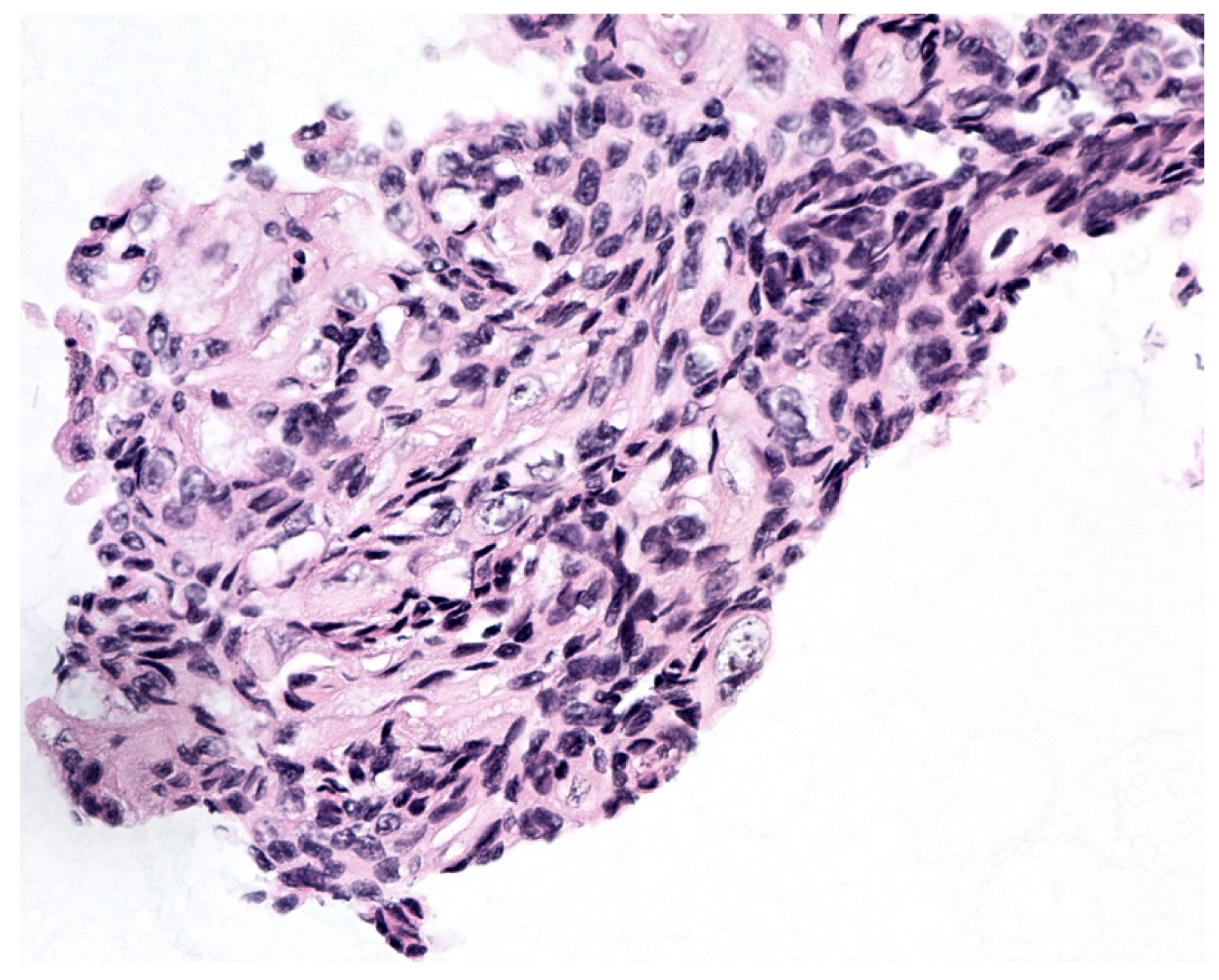
5. Urothelial Tissue Fragments in Cell Block Preparations
6. Conclusions
Author Contributions
Funding
Institutional Review Board Statement
Informed Consent Statement
Conflicts of Interest
References
- Barkan, G.A.; Wojcik, E.M.; Nayar, R.; Savic-Prince, S.; Quek, M.L.; Kurtycz, D.F.; Rosenthal, D.L. The Paris system for reporting urinary cytology: The quest to develop a standardized terminology. Acta Cytol. 2016, 60, 185–197. [Google Scholar] [CrossRef] [PubMed] [Green Version]
- VandenBussche, C.J. A review of the Paris system for reporting urinary cytology. Cytopathology 2016, 27, 153–156. [Google Scholar] [CrossRef] [PubMed] [Green Version]
- Wojcik, E.M.; Kurtycz, D.F.; Rosenthal, D.L. We’ll always have Paris the Paris system for reporting urinary cytology 2022. J. Am. Soc. Cytopathol. 2022, 11, 62–66. [Google Scholar] [CrossRef] [PubMed]
- Zhang, M.L.; Rosenthal, D.L.; VandenBussche, C.J. The cytomorphological features of low-grade urothelial neoplasms vary by specimen type. Cancer Cytopathol. 2016, 124, 552–564. [Google Scholar] [CrossRef]
- Papanicolaou, G.N.; Marshall, V.F. Urine sediment smears as a diagnostic procedure in cancers of the urinary tract. Science 1945, 101, 519–520. [Google Scholar] [CrossRef]
- Papanicolaou, G.N. Cytology of the urine sediment in neoplasms of the urinary tract. J. Urol. 1947, 57, 375–379. [Google Scholar] [CrossRef]
- Owens, C.L.; Vandenbussche, C.J.; Burroughs, F.H.; Rosenthal, D.L. A review of reporting systems and terminology for urine cytology. Cancer Cytopathol. 2013, 121, 9–14. [Google Scholar] [CrossRef]
- Murphy, W.M.; Soloway, M.S.; Jukkola, A.F.; Crabtree, W.N.; Ford, K.S. Urinary cytology and bladder cancer. The cellular features of transitional cell neoplasms. Cancer 1984, 53, 1555–1565. [Google Scholar] [CrossRef]
- Onur, I.; Rosenthal, D.L.; VandenBussche, C.J. Benign-appearing urothelial tissue fragments in noninstrumented voided urine specimens are associated with low rates of urothelial neoplasia. Cancer Cytopathol. 2015, 123, 180–185. [Google Scholar] [CrossRef]
- Onur, I.; Rosenthal, D.L.; VandenBussche, C.J. Atypical urothelial tissue fragments in noninstrumented voided urine specimens are associated with low but significantly higher rates of urothelial neoplasia than benign-appearing urothelial tissue fragments. Cancer Cytopathol. 2015, 123, 186–192. [Google Scholar] [CrossRef]
- Allison, D.B.; Kates, M.; VandenBussche, C.J. Indeterminate atypia in urinary tract cytology: Does it really matter? Diagn. Cytopathol. 2022, 50, 176–183. [Google Scholar] [CrossRef] [PubMed]
- Rosenthal, D.L.; VandenBussche, C.J.; Burroughs, F.H.; Sathiyamoorthy, S.; Guan, H.; Owens, C. The Johns Hopkins Hospital template for urologic cytology samples: Part I—Creating the template. Cancer Cytopathol. 2013, 121, 15–20. [Google Scholar] [CrossRef] [PubMed]
- VandenBussche, C.J.; Sathiyamoorthy, S.; Owens, C.L.; Burroughs, F.H.; Rosenthal, D.L.; Guan, H. The Johns Hopkins Hospital template for urologic cytology samples: Parts II and III—Improving the predictability of indeterminate results in urinary cytologic samples: An outcomes and cytomorphologic study. Cancer Cytopathol. 2013, 121, 21–28. [Google Scholar] [CrossRef] [PubMed]
- Frost, J.K. Concepts Basic To General Cytopathology; The Johns Hopkins Press: Baltimore, MD, USA, 1972. [Google Scholar]
- Deshpande, V.; McKee, G.T. Analysis of atypical urine cytology in a tertiary care center. Cancer 2005, 105, 468–475. [Google Scholar] [CrossRef] [PubMed]
- Nasuti, J.F.; Fleisher, S.R.; Gupta, P.K. Significance of tissue fragments in voided urine specimens. Acta Cytol. 2001, 45, 147–152. [Google Scholar] [CrossRef]
- Goldstein, M.L.; Whitman, T.; Renshaw, A.A. Significance of cell groups in voided urine. Acta Cytol. 1998, 42, 290–294. [Google Scholar] [CrossRef]
- VandenBussche, C.J.; Chandra, A.; Heymann, J.J.; McCroskey, Z.; Owens, C.L.; Schubert, P.T.; Wang, Y.H. Negative for high-grade urothelial carcinoma (NHGUC). In The Paris System for Reporting Urinary Cytology; Springer: Cham, Switzerland, 2022; pp. 21–62. [Google Scholar]
- Koss, L.G.; Bartels, P.H.; Sychra, J.J.; Wied, G.L. Diagnostic cytologic sample profiles in patients with bladder cancer using TICAS system. Acta Cytol. 1978, 22, 392–397. [Google Scholar]
- Bartels, P.H.; Koss, L.G.; Sychra, J.J.; Wied, G.L. Indices of cell atypia in urinary tract cytology. Acta Cytol. 1978, 22, 387–391. [Google Scholar]
- Epstein, J.I.; Amin, M.B.; Reuter, V.R.; Mostofi, F.K. The World Health Organization/International Society of Urological Pathology consensus classification of urothelial (transitional cell) neoplasms of the urinary bladder. Am. J. Surg. Pathol. 1998, 22, 1435–1448. [Google Scholar] [CrossRef]
- Bastacky, S.; Ibrahim, S.; Wilczynski, S.P.; Murphy, W.M. The accuracy of urinary cytology in daily practice. Cancer 1999, 87, 118–128. [Google Scholar] [CrossRef]
- Chu, Y.C.; Han, J.Y.; Han, H.S.; Kim, J.M.; Suh, J.K. Cytologic evaluation of low grade transitional cell carcinoma and instrument artifact in bladder washings. Acta Cytol. 2002, 46, 341–348. [Google Scholar] [CrossRef] [PubMed]
- Garbar, C.; Mascaux, C.; Wespes, E. Is urinary tract cytology still useful for diagnosis of bladder carcinomas? A large series of 592 bladder washings using a five-category classification of different cytological diagnoses. Cytopathology 2007, 18, 79–83. [Google Scholar] [CrossRef] [PubMed]
- Cowan, M.L.; Rosenthal, D.L.; VandenBussche, C.J. Improved risk stratification for patients with high-grade urothelial carcinoma following application of the Paris system for reporting urinary cytology. Cancer Cytopathol. 2017, 125, 427–434. [Google Scholar] [CrossRef] [PubMed] [Green Version]
- Renshaw, A.A.; Nappi, D.; Weinberg, D.S. Cytology of grade 1 papillary transitional cell carcinoma. A comparison of cytologic, architectural and morphometric criteria in cystoscopically obtained urine. Acta Cytol. 1996, 40, 676–682. [Google Scholar] [CrossRef]
- VandenBussche, C.J.; Allison, D.B.; Gupta, M.; Ali, S.Z.; Rosenthal, D.L. A 20-year and 46,000-specimen journey to Paris reveals the influence of reporting systems and passive peer feedback on pathologist practice patterns. Cancer Cytopathol. 2018, 126, 381–389. [Google Scholar] [CrossRef]
- Gupta, M.; VandenBussche, C.; Bivalacqua, T. Urinary cytology and the Paris system for reporting urinary cytology: Implications for urological management. Cytopathology 2018, 29, 368–370. [Google Scholar] [CrossRef]
- Chang, S.S.; Boorjian, S.A.; Chou, R.; Clark, P.E.; Daneshmand, S.; Konety, B.R.; Pruthi, R.; Quale, D.Z.; Ritch, C.R.; Seigne, J.D.; et al. Diagnosis and treatment of non-muscle invasive bladder cancer: AUA/SUO guideline. J. Urol. 2016, 196, 1021–1029. [Google Scholar] [CrossRef]
- Barocas, D.A.; Boorjian, S.A.; Alvarez, R.D.; Downs, T.M.; Gross, C.P.; Hamilton, B.D.; Kobashi, K.C.; Lipman, R.R.; Lotan, Y.; Ng, C.K.; et al. Microhematuria: Aua/sufu guideline. J. Urol. 2020, 204, 778–786. [Google Scholar] [CrossRef]
- Chang, S.S.; Bochner, B.H.; Chou, R.; Dreicer, R.; Kamat, A.M.; Lerner, S.P.; Lotan, Y.; Meeks, J.J.; Michalski, J.M.; Morgan, T.M.; et al. Treatment of non-metastatic muscle-invasive bladder cancer: AUA/ASCO/ASTRO/SUO guideline. J. Urol. 2017, 198, 552–559. [Google Scholar] [CrossRef]
- McCroskey, Z.; Pambuccian, S.E.; Kleitherms, S.; Antic, T.; Cohen, M.B.; Barkan, G.A.; Wojcik, E.M. Accuracy and interobserver variability of the cytologic diagnosis of low-grade urothelial carcinoma in instrumented urinary tract cytology specimens. Am. J. Clin. Pathol. 2015, 144, 902–908. [Google Scholar] [CrossRef] [Green Version]
- Rosenthal, D.L.; Wojcik, E.; Kurtycz, D.F. The Paris System for Reporting Urinary Cytology, 1st ed.; Springer: Berlin/Heidelberg, Germany, 2015. [Google Scholar]
- Kurtycz, D.F.I.; Barkan, G.A.; Pavelec, D.M.; Rosenthal, D.L.; Wojcik, E.M.; VandenBussche, C.J.; Mangiulli, K.; Olson, M.T. Paris Interobserver Reproducibility Study (PIRST). J. Am. Soc. Cytopathol. 2018, 7, 174–184. [Google Scholar] [CrossRef] [PubMed]
- Zhang, M.L.; Rosenthal, D.L.; VandenBussche, C.J. Upper urinary tract washings outperform voided urine specimens to detect upper tract high-grade urothelial carcinoma. Diagn. Cytopathol. 2017, 45, 700–704. [Google Scholar] [CrossRef] [PubMed]
- Cakir, E.; Kucuk, U.; Pala, E.E.; Sezer, O.; Ekin, R.G.; Cakmak, O. Cytopathologic differential diagnosis of low-grade urothelial carcinoma and reactive urothelial proliferation in bladder washings: A logistic regression analysis. APMIS 2017, 125, 431–436. [Google Scholar] [CrossRef]
- Bansal, S.; Pathuthara, S.; Joseph, S.; Dighe, S.; Menon, S.; Desai, S.B. Is diagnosis of low-grade urothelial carcinoma possible in urine cytology? J. Cytol. 2021, 38, 64–68. [Google Scholar]
- Zare, S.; Mirsadraei, L.; Reisian, N.; Liao, X.; Roma, A.; Shabaik, A.; Hasteh, F. A single institutional experience with the Paris system for reporting urinary cytology: Correlation of cytology and histology in 194 cases. Am. J. Clin. Pathol. 2018, 150, 162–167. [Google Scholar] [CrossRef]
- Meilleroux, J.; Daniel, G.; Aziza, J.; d’Aure, D.M.; Quintyn-Ranty, M.L.; Basset, C.M.; Evrard, S.M.; Courtade-Saidi, M.M. One year of experience using the Paris system for reporting urinary cytology. Cancer Cytopathol. 2018, 126, 430–436. [Google Scholar] [CrossRef] [Green Version]
- Rohra, P.; Ocampo Gonzalez, F.A.; Yan, L.; Mir, F.; Furlan, K.; Basu, S.; Barua, A.; Cheng, L.; Park, J.W. Effect of the Paris system for reporting urinary cytology with histologic follow-up. Diagn. Cytopathol. 2021, 49, 691–699. [Google Scholar] [CrossRef]
- Ma, C.; Zhang, L. Comparison of urine cytology diagnostic reports before and after the implementation of the Paris System classification system in China. Cytopathology 2020, 31, 457–462. [Google Scholar] [CrossRef]
- Roy, M.; Kaushal, S.; Jain, D.; Seth, A.; Iyer, V.K.; Mathur, S.R. An institutional experience with The Paris System: A paradigm shift from ambiguous terminology to more objective criteria for reporting urine cytology. Cytopathology 2017, 28, 509–515. [Google Scholar] [CrossRef]
- Moulavasilis, N.; Lazaris, A.; Katafigiotis, I.; Stravodimos, K.; Constantinides, C.; Mikou, P. Risk of malignancy assessment for the Paris system for reporting urinary cytology. Diagn. Cytopathol. 2020, 48, 1194–1198. [Google Scholar] [CrossRef]
- VandenBussche, C.J.; Hang, J.-F.; McIntire, P.J.; Miki, Y.; Peyton, S.; Vohra, P.; Zhang, M.L. Cytopathology of the upper urinary tract. In The Paris System for Reporting Urinary Cytology; Springer: Berlin/Heidelberg, Germany, 2022; pp. 115–141. [Google Scholar]
- Zhang, M.L.; Miki, Y.; Hang, J.F.; Vohra, M.; Peyton, S.; McIntire, P.J.; VandenBussche, C.J.; Vohra, P. A review of upper urinary tract cytology performance before and after the implementation of The Paris System. Cancer Cytopathol. 2021, 129, 264–274. [Google Scholar] [CrossRef] [PubMed]
- Zhang, M.L.; VandenBussche, C.J.; Hang, J.F.; Miki, Y.; McIntire, P.J.; Peyton, S.; Vohra, P. A review of urinary cytology in the setting of upper tract urothelial carcinoma. J. Am. Soc. Cytopathol. 2021, 10, 29–35. [Google Scholar] [CrossRef] [PubMed]
- McIntire, P.J.; Snow, J.T.; Robinson, B.D.; Rao, R.A.; Goyal, A.; Heymann, J.J.; Siddiqui, M.T. Improved correlation of urinary cytology specimens using The Paris System in biopsy-proven upper tract urothelial carcinomas. Cancer Cytopathol. 2018, 126, 498–504. [Google Scholar] [CrossRef] [Green Version]
- Simon, C.T.; Skala, S.L.; Magers, M.J.; Weizer, A.; Kaffenberger, S.D.; Chinnaiyan, A.M.; Spratt, D.E.; Montgomery, J.; Mehra, R.; Lew, M. The utility of upper urinary tract urine cytology before and after application of the Paris system. Diagn. Cytopathol. 2019, 47, 421–427. [Google Scholar] [CrossRef] [PubMed]
- Xing, J.; Monaco, S.E.; Pantanowitz, L. Utility of the Paris system for reporting urinary cytology in upper urinary tract specimens. J. Am. Soc. Cytopathol. 2018, 7, 311–317. [Google Scholar] [CrossRef] [PubMed]
- Barkan, G.A.; Compton, M.L.; Elsheikh, T.M.; Ely, K.A.; Kurtycz, D.F.; Jorda, M.; Maleki, Z.; Minamiguchi, S.; Ohtani, H.; Piaton, E.; et al. Atypical urothelial cells (AUC). In The Paris System for Reporting Urinary Cytology; Springer: Berlin/Heidelberg, Germany, 2022; pp. 63–83. [Google Scholar]
- Brimo, F.; Auger, M.; Chebib, I.; Elsheikh, T.M.; Kinjo, M.; Piaton, E.; Pusztaszeri, M.; Shimokama, T. Suspicious for high-grade urothelial carcinoma (SHGUC). In The Paris System for Reporting Urinary Cytology; Springer: Berlin/Heidelberg, Germany, 2022; pp. 85–96. [Google Scholar]
- Siddiqui, M.T.; Allison, D.B.; Fadda, G.; Han, J.-Y.; McIntire, P.J.; Owens, C.L.; Tabatabai, Z.L.; Tsuzuki, T.; Zhang, M.L. High-Grade Urothelial Carcinoma (HGUC). In The Paris System for Reporting Urinary Cytology; Springer: Berlin/Heidelberg, Germany, 2022; pp. 97–114. [Google Scholar]
- Fite, J.J.; Rosenthal, D.L.; VandenBussche, C.J. When words matter: A “suspicious” urinary tract cytology diagnosis improves patient follow-up among nonurologists. Cancer Cytopathol. 2018, 126, 282–288. [Google Scholar] [CrossRef] [Green Version]
- Zhang, M.L.; Guo, A.X.; VandenBussche, C.J. Morphologists overestimate the nuclear-to-cytoplasmic ratio. Cancer Cytopathol. 2016, 124, 669–677. [Google Scholar] [CrossRef] [Green Version]
- Hang, J.F.; Charu, V.; Zhang, M.L.; VandenBussche, C.J. Digital image analysis supports a nuclear-to-cytoplasmic ratio cutoff value of 0.5 for atypical urothelial cells. Cancer Cytopathol. 2017, 125, 710–716. [Google Scholar] [CrossRef] [Green Version]
- Cowan, M.L.; VandenBussche, C.J. The Paris system for reporting urinary cytology: Early review of the literature reveals successes and rare shortcomings. J. Am. Soc. Cytopathol. 2018, 7, 185–194. [Google Scholar] [CrossRef]
- Hoda, R.S.; VandenBussche, C.; Hoda, S.A. Diagnostic Liquid-Based Cytology; Springer: New York, NY, USA, 2017. [Google Scholar]
- Hoda, R.S.; VandenBussche, C.; Hoda, S.A. Urinary tract cytology. In Diagnostic Liquid-Based Cytology; Springer: New York, NY, USA, 2017; pp. 45–73. [Google Scholar]
- VandenBussche, C.J.; Rodriguez, E.F.; Allison, D.B.; Zhang, M.L. Atlas of Cytopathology: A Pattern Based Approach; Lippincott Williams & Wilkins: Philadelphia, PA, USA, 2019. [Google Scholar]
- Nambirajan, A.; Jain, D. Cell blocks in cytopathology: An update. Cytopathology 2018, 29, 505–524. [Google Scholar] [CrossRef]
- Wilson, B.L.; Russell, D.; Evans, S.K.; Agrawal, T. Cell blocks in urine cytopathology: Do they add value to the diagnosis? A pilot study. J. Am. Soc. Cytopathol. 2021, 10, 47–55. [Google Scholar] [CrossRef] [PubMed]
- Dantey, K.; Pantanowitz, L.; Xing, J.; Cuda, J.; Nestler, R.; Monaco, S.E. Cell block preparation in urine cytology: Examination of utility and workflow in an academic practice. J. Am. Soc. Cytopathol. 2019, 8, 61–68. [Google Scholar] [CrossRef] [PubMed]
- Barkan, G.A.; Tabatabai, Z.L.; Kurtycz, D.F.I.; Padmanabhan, V.; Souers, R.J.; Nayar, R.; Sturgis, C.D. Practice patterns in urinary cytopathology prior to the Paris system for reporting urinary cytology. Arch. Pathol. Lab. Med. 2020, 144, 172–176. [Google Scholar] [CrossRef] [PubMed]
- Chan, E.; Balassanian, R.; Tabatabai, Z.L.; Lou, H.; Vohra, P. Improved diagnostic precision of urine cytology by implementation of The Paris System and the use of cell blocks. Cancer Cytopathol. 2018, 126, 809–816. [Google Scholar] [CrossRef] [Green Version]
- Brisuda, A.; Hacek, J.; Cechova, M.; Skapa, P.; Babjuk, M. Clinical and cytopathological factors affecting the cellularity of urinary cell blocks and the implication for diagnosis and follow-up of urinary bladder urothelial carcinoma. Cytopathology 2018, 29, 537–544. [Google Scholar] [CrossRef]
- Mansy, S.S.; Abbas, M.A.; Yehia, H.A.; Abdelrazik, S.M.; Ghanem, L.Y.; Amin, T.M. Value of the innovated technique agarose cell block in improving the sensitivity of urine cytology in cases of bladder carcinoma. Ultrastruct. Pathol. 2006, 30, 379–385. [Google Scholar] [CrossRef]
- Allison, D.B.; VandenBussche, C.J. A review of urine ancillary tests in the era of the paris system. Acta Cytol. 2020, 64, 182–192. [Google Scholar] [CrossRef]
- Qamar, I.; Rehman, S.; Mehdi, G.; Maheshwari, V.; Ansari, H.A.; Chauhan, S. Utility of cytospin and cell block technology in evaluation of body fluids and urine samples: A comparative study. J. Cytol. 2018, 35, 79–82. [Google Scholar]
- Arville, B.; O’Rourke, E.; Chung, F.; Amin, M.; Bose, S. Evaluation of a triple combination of cytokeratin 20, p53 and CD44 for improving detection of urothelial carcinoma in urine cytology specimens. Cytojournal 2013, 10, 25. [Google Scholar] [CrossRef]
- Renshaw, A.A. Comparison of ureteral washing and biopsy specimens in the community setting. Cancer 2006, 108, 45–48. [Google Scholar] [CrossRef]
- Sheridan, T.B.; Walavalkar, V.; Yates, J.K.; Owens, C.L.; Fischer, A.H. Cytologic processing of ureteral microbiopsies is associated with higher sensitivity for detection of urothelial carcinoma compared with conventional biopsy processing. J. Am. Soc. Cytopathol. 2020, 9, 26–32. [Google Scholar] [CrossRef] [PubMed]
- Khan, S.; Omar, T.; Michelow, P. Effectiveness of the cell block technique in diagnostic cytopathology. J. Cytol. 2012, 29, 177–182. [Google Scholar] [CrossRef] [PubMed]
- Balassanian, R.; Wool, G.D.; Ono, J.C.; Olejnik-Nave, J.; Mah, M.M.; Sweeney, B.J.; Liberman, H.; Ljung, B.M.; Pitman, M.B. A superior method for cell block preparation for fine-needle aspiration biopsies. Cancer Cytopathol. 2016, 124, 508–518. [Google Scholar] [CrossRef] [PubMed] [Green Version]
- Springer, S.U.; Chen, C.-H.; Pena, M.D.C.R.; Li, L.; Douville, C.; Wang, Y.; Cohen, J.D.; Taheri, D.; Silliman, N.; Schaefer, J.; et al. Non-invasive detection of urothelial cancer through the analysis of driver gene mutations and aneuploidy. eLife 2018, 7, e32143. [Google Scholar] [CrossRef] [PubMed]
- Rodriguez Pena, M.D.C.; Springer, S.U.; Taheri, D.; Li, L.; Tregnago, A.C.; Eich, M.L.; Eltoum, I.E.A.; VandenBussche, C.J.; Papadopoulos, N.; Kinzler, K.W.; et al. Performance of novel non-invasive urine assay UroSEEK in cohorts of equivocal urine cytology. Virchows Archiv 2020, 476, 423–429. [Google Scholar] [CrossRef] [PubMed]








| Morphology | Differential Diagnosis | Helpful Distinguishing Features |
|---|---|---|
| Bland-appearing urothelial tissue fragments (BUTFs) lacking fibrovascular cores Note: Regardless of whether the BUTFs in question represent LGUN or benign urothelium, they would be classified under the NHGUC category according to TPS. | Benign urothelium |
|
| LGUN |
| |
| Bland-appearing urothelial tissue fragments with fibrovascular cores Note: While UTFs with fibrovascular cores lacking atypical features usually represent LGUN, some HGUCs can be seen as a monotonous population of cells and/or have paradoxically hypochromatic nuclei. If HGUC cannot be excluded, an indeterminate TPS category can be used. | LGUN |
|
| HGUC |
| |
| Atypical-appearing urothelial tissue fragments (AUTFs) lacking fibrovascular cores Note: Some LGUN lesions may produce cells with increased pleomorphism than is typically seen. Thus, some AUTFs classified into indeterminate categories may end up representing LGUN. | Stone atypia |
|
| LGUN |
| |
| HGUC |
| |
| Atypical-appearing urothelial tissue fragments (AUTFs) with fibrovascular cores Note: Some LGUN lesions may produce cells with increased pleomorphism than is typically seen. Thus, some AUTFs classified into indeterminate categories may end up representing LGUN. | LGUN |
|
| HGUC |
|
Publisher’s Note: MDPI stays neutral with regard to jurisdictional claims in published maps and institutional affiliations. |
© 2022 by the authors. Licensee MDPI, Basel, Switzerland. This article is an open access article distributed under the terms and conditions of the Creative Commons Attribution (CC BY) license (https://creativecommons.org/licenses/by/4.0/).
Share and Cite
Allison, D.B.; Zhang, M.L.; Vohra, P.; VandenBussche, C.J. The Diagnostic Dilemma of Urothelial Tissue Fragments in Urinary Tract Cytology Specimens. Diagnostics 2022, 12, 931. https://doi.org/10.3390/diagnostics12040931
Allison DB, Zhang ML, Vohra P, VandenBussche CJ. The Diagnostic Dilemma of Urothelial Tissue Fragments in Urinary Tract Cytology Specimens. Diagnostics. 2022; 12(4):931. https://doi.org/10.3390/diagnostics12040931
Chicago/Turabian StyleAllison, Derek B., M. Lisa Zhang, Poonam Vohra, and Christopher J. VandenBussche. 2022. "The Diagnostic Dilemma of Urothelial Tissue Fragments in Urinary Tract Cytology Specimens" Diagnostics 12, no. 4: 931. https://doi.org/10.3390/diagnostics12040931
APA StyleAllison, D. B., Zhang, M. L., Vohra, P., & VandenBussche, C. J. (2022). The Diagnostic Dilemma of Urothelial Tissue Fragments in Urinary Tract Cytology Specimens. Diagnostics, 12(4), 931. https://doi.org/10.3390/diagnostics12040931

