Differential Diagnosis of Hepatic Mass with Central Scar: Focal Nodular Hyperplasia Mimicking Fibrolamellar Hepatocellular Carcinoma
Abstract
:1. Introduction
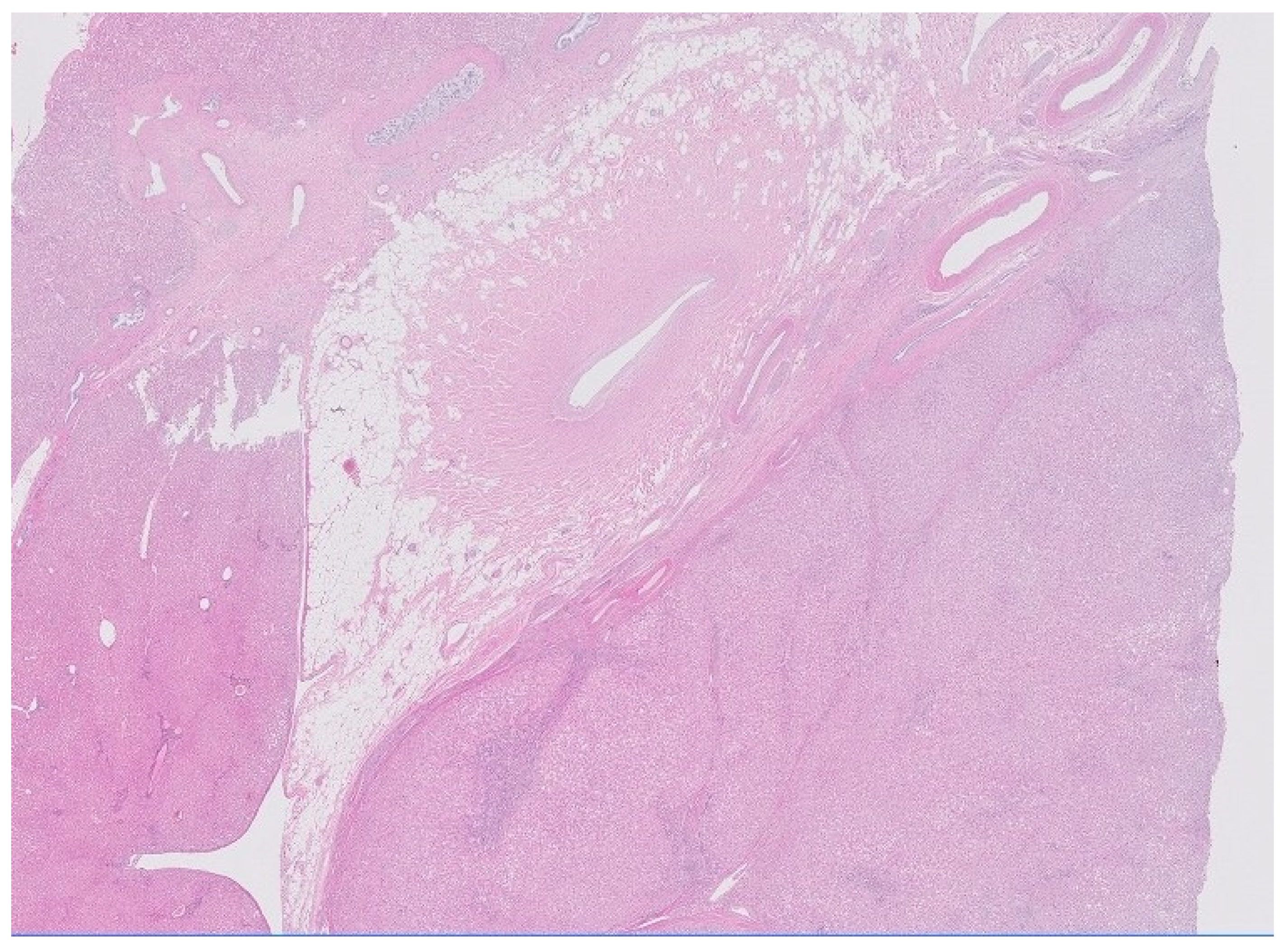
2. Case Report
3. Discussion
4. Conclusions
Author Contributions
Funding
Institutional Review Board Statement
Informed Consent Statement
Conflicts of Interest
References
- Chaudhari, V.A.; Khobragade, K.; Bhandare, M.; Shrikhande, S.V. Management of fibrolamellar hepatocellular carcinoma. Chin. Clin. Oncol. 2018, 7, 51. [Google Scholar] [CrossRef]
- Weeda, V.B.; Murawski, M.; McCabe, A.J.; Maibach, R.; Brugières, L.; Roebuck, D.; Fabre, M.; Zimmermann, A.; Otte, J.B.; Sillivan, M.; et al. Fibrolamellar variant of hepatocellular carcinoma does not have a better survival than conventional hepatocellular carcinoma-Result and treatment recommendations from the Childhood Liver Tumour Strategy Group (SIOPEL) experience. Eur. J. Cancer 2013, 49, 2698–2704. [Google Scholar] [CrossRef]
- Lemenkhova, A.; Hornuss, D.; Polychronidis, G.; Mayer, P.; Rupp, C.; Longerich, T.; Weiss, K.H.; Büchler, M.; Mehrabi, A.; Hoffmann, K. Clinical features and surgical outcomes of fibrolamellar hepatocellular carcinoma: Retrospective analysis of a single-center experience. World J. Surg. Oncol. 2020, 18, 93. [Google Scholar] [CrossRef]
- Toberson, M. Review of the CLinicopathologic Features of Fibrolamellar Carcinoma. Adv. Anat. Pathol. 2007, 14, 217–223. [Google Scholar]
- Samdanci, E.T.; Akatli, A.N.; Soylu, N.K. Clinicopathological Features of Two Extremely Rare Hepatocellular Carcinoma Variants: A Brief Review of Fibrolamellar and Scirrhous Hepatocellular Carcinoma. J. Gastrointest. Cancer 2020, 51, 1187–1192. [Google Scholar] [CrossRef] [PubMed]
- McLarney, J.K.; Rucker, P.T.; Bender, G.N.; Goodman, Z.D.; Kashitani, N.; Ros, P.R. Fibrolamellar CArcinoma of the Liver: Radiologic-Pathologic Correlation. Radiographics 1999, 19, 453–471. [Google Scholar] [CrossRef] [PubMed]
- Ganeshan, D.; Szklaruk, J.; Kundra, V.; Kaseb, A.; Rashid, A.; Elsayes, K.M. Imaging Features of Fibrolamellar Hepatocellular Carcinoma. AJR Am. J. Roentgenol. 2014, 202, 544–552. [Google Scholar] [CrossRef]
- Talbot, J.N.; Fartoux, L.; Balgova, S.; Nataf, V.; Kerrou, K.; Gutman, F.; Huchet, V.; Ancel, D.; Grange, J.D.; Rosmorduc, O. Detection of Hepatocellular Carcinoma with PET/CT: A Prospective Comparison of 18F-Fluorocholine and 18F-FDG in Patients with Cirrhosis or Chronic Liver Disease. J. Nucl. Med. 2010, 51, 1699–1706. [Google Scholar] [CrossRef] [PubMed] [Green Version]
- Yang, S.H.; Suh, K.S.; Lee, H.W.; Cho, E.H.; Cho, J.Y.; Cho, Y.B.; Yi, N.J.; Lee, K.U. The Role of 18F-FDG-PET Imaging for the Selection of Liver Transplantation Candidates among Hepatocellular Carcinoma Patients. Liver Transpl. 2006, 12, 1655–1660. [Google Scholar] [CrossRef]
- Liu, S.; Chan, W.; Tong, J.; Wang, Y.; Wang, B.; Qiao, L. PET-CT scan is a valuable modality in the diagnosis of fibrolamellar hepatocellular carcinoma: A case report and a summary of recent literature. Q. J. Med. 2011, 104, 477–483. [Google Scholar] [CrossRef]
- Fartoux, L.; Balgova, S.; Nataf, V.; Kerrou, K.; Huchet, V.; Rosmorduc, O.; Talbot, J.N. A pilot comparison of 18F-fluorodeoxyglucose and 18F-fluorocholine PET/CT to predict early recurrence of unifocal hepatocellular carcinoma after surgical resection. Nucl. Med. Commun. 2012, 33, 757–765. [Google Scholar] [CrossRef] [PubMed]
- Vyas, M.; Jain, D. A practical diagnostic approach to hepatic masses. Indian J. Pathol. Microbiol. 2018, 61, 2–17. [Google Scholar] [PubMed]
- Teixeira Martins, T.J.; Tralhão, J.G.; Cipriano, M.A.; Castro Sousa, F. Solitary necrotic nodule of the liver: A very challenging diagnosis! BMJ Case Rep. 2014, 2014, bcr2013202364. [Google Scholar] [CrossRef] [PubMed]
- Hamrick-Turner, J.E.; Shipkey, F.H.; Cranston, P.E. Fibrolamellar hepatocellular carcinoma: MR appearance mimicking focal nodular hyperplasia. J. Comput. Assist. Tomogr. 1994, 18, 301–304. [Google Scholar] [CrossRef] [PubMed]
- Dong, Y.; Wang, W.P.; Mao, F.; Zhang, Q.; Yang, D.; Tannapfel, A.; Meloni, M.F.; Neye, H.; Clevert, D.A.; Dietrich, C.F. Imaging Features of Dibrolamellar Hepatocellular Carcinoma with Contrastt-Enhanced Ultrasound. Ultraschall Med. 2021, 42, 306–313. [Google Scholar]
- Ganeshan, D.; Szklaruk, J.; Kaseb, A.; Kattan, A.; Elsayes, K.M. Fibrolamellar hepatocellular carcinoma: Multiphasic CT features of the primary tumor on pre-therapy CT and pattern f distant metastases. Abdom. Radiol. 2018, 43, 3340–3348. [Google Scholar] [CrossRef] [PubMed]
- Myers, L.; Ahn, J. Focal Nodular Hyperplasia and Hepatic Adenoma. Clin. Liver Dis. 2020, 24, 389–403. [Google Scholar] [CrossRef]
- Vogel, A.; Cervantes, A.; Chau, I.; Daniele, B.; Llovet, J.M.; Meyer, T.; Nault, J.C.; Neumann, E.; Ricke, J.; Sangro, B. Hepatocellular carcinoma: ESMO Clinical Practice Guidelines for diagnosis, treatment and follow-up. Ann. Oncol. 2018, 29, 238–255. [Google Scholar] [CrossRef]
- European Association for the Study of the Liver. EASL Clinical Practice Guidelines: Management of hepatocellular carcinoma. J. Hepatol. 2018, 69, 182–236. [Google Scholar] [CrossRef] [Green Version]
- Yamamoto, M.; Ariizumi, S.; Yoshitoshi, K.; Saito, A.; Nakano, M.; Takasaki, K. Hepatocellular Carcinoma with a Central Scar and a Scalloped Tumor Margin Resembling Focal Nodular Hyperplasia in Macroscopic Appearance. J. Surg. Oncol. 2006, 94, 587–591. [Google Scholar] [CrossRef]
- Lopci, E.; Torzilli, G.; Poretti, D.; de Neto, L.J.S.; Donadon, M.; Rimassa, L.; Lanza, E.; Guerra Sabongi, J.; Ceriani, R.; Personeni, N.; et al. Diagnostic accuracy of 11C-choline PET/CT in comparison with CT and/or MTI in patients with hepatocellular carcinoma. Eur. J. Nucl. Med. Mol. Imaging 2015, 42, 1399–1407. [Google Scholar] [CrossRef]
- Lanza, E.; Donadon, M.; Felisaz, P.; Mimmo, A.; Chiti, A.; Torzilli, G.; Balzarini, L.; Lopci, E. Refining the management of patients with hepatocellular carcinoma integrating 11C-choline PET/CT scan into the multidisciplinary team discussion. Nucl. Med. Comm. 2017, 38, 826–836. [Google Scholar] [CrossRef] [PubMed]
- Van den Esschert, J.W.; Bieze, M.; Beuers, U.H.; van Gulik, T.M.; Bennink, R.J. Differentiation of hepatocellular adenoma and focal nodular hyperplasia using 18F-fluorocholine PET/CT. Eur. J. Nucl. Med. Mol. Imaging 2011, 38, 436–440. [Google Scholar] [CrossRef] [PubMed] [Green Version]
- Bieze, M.; Bennink, R.J.; El-Massoudi, Y.; Phoa, S.S.K.S.; Verheij, J.; Beuers, U.; van Gulik, T.M. The use of 18F-fluoromethylcholine PET/CT in differentiating focal nodular hyperplasia from hepatocellular adenoma: A prospective study of diagnostica accuracy. Nucl. Med. Commun. 2013, 34, 146–154. [Google Scholar] [CrossRef] [PubMed]
- Talbot, J.N.; Michaud, L.; Grange, J.D.; Rosmorduc, O.; Balogova, S. Use of choline PET for studying hepatocellular carcinoma. Clin. Transl. Imaging 2014, 2, 103–113. [Google Scholar] [CrossRef] [Green Version]
- Calabria, F.; Chiaravalloti, A.; Cicciò, C.; Gangemi, V.; Gullà, D.; Rocca, F.; Gallo, G.; Cascini, G.L.; Schillaci, O. PET/CT with 18F-choline: Physiological whole bio-distribution in male and female subjects and diagnostic pitfalls on 1000 prostate cancer patients. 18F-choline PET/CT bio-distribution and pitfalls. A southern Italian experience. Nucl. Med. Biol. 2017, 51, 40–54. [Google Scholar] [CrossRef]
- Rousseau, C.; Ronot, M.; Sibileau, E.; Boulay-Coletta, I.; Lewin, M.; Duchatelle, V.; Vilgrain, V.; Zins, M. Central element in liver masses, helpful or pitfall? Abdom. Imaging 2015, 40, 1904–1925. [Google Scholar] [CrossRef]
- Kim, T.; Hori, M.; Onishi, H. Lives Masses with Central or Eccentric Scar. Semin. Ultrasound CT MR 2009, 30, 418–425. [Google Scholar] [CrossRef]
- McDonald, J.D.; Gupta, S.; Shindorf, M.L.; Gamble, L.A.; Ruff, S.M.; Drake, J.; Heller, T.; Wan, Y.W.; Dickson, R.V.; Glazer, E.S. Elevated Serum alfa-Fetoprotein is Associated with Abbreviated Survival for Patients with Fibrolamellar Hepatocellular Carcinoma Who Undergo a Curative Resection. Ann. Surg. Oncol. 2020, 27, 1900–1905. [Google Scholar] [CrossRef]
- Patel, A.; Espat, J.; Somasundar, P. Fibrolamellar Carcinoma: Novel Insights into a Rare Subtype. Ann. Surg. Oncol. 2020, 27, 1733–1734. [Google Scholar] [CrossRef]



Publisher’s Note: MDPI stays neutral with regard to jurisdictional claims in published maps and institutional affiliations. |
© 2021 by the authors. Licensee MDPI, Basel, Switzerland. This article is an open access article distributed under the terms and conditions of the Creative Commons Attribution (CC BY) license (https://creativecommons.org/licenses/by/4.0/).
Share and Cite
Rudolphi-Solero, T.; Triviño-Ibáñez, E.M.; Medina-Benítez, A.; Fernández-Fernández, J.; Rivas-Navas, D.J.; Pérez-Alonso, A.J.; Gómez-Río, M.; Aroui-Luquin, T.; Rodríguez-Fernández, A. Differential Diagnosis of Hepatic Mass with Central Scar: Focal Nodular Hyperplasia Mimicking Fibrolamellar Hepatocellular Carcinoma. Diagnostics 2022, 12, 44. https://doi.org/10.3390/diagnostics12010044
Rudolphi-Solero T, Triviño-Ibáñez EM, Medina-Benítez A, Fernández-Fernández J, Rivas-Navas DJ, Pérez-Alonso AJ, Gómez-Río M, Aroui-Luquin T, Rodríguez-Fernández A. Differential Diagnosis of Hepatic Mass with Central Scar: Focal Nodular Hyperplasia Mimicking Fibrolamellar Hepatocellular Carcinoma. Diagnostics. 2022; 12(1):44. https://doi.org/10.3390/diagnostics12010044
Chicago/Turabian StyleRudolphi-Solero, Teodoro, Eva María Triviño-Ibáñez, Antonio Medina-Benítez, Javier Fernández-Fernández, Daniel José Rivas-Navas, Alejandro José Pérez-Alonso, Manuel Gómez-Río, Tarik Aroui-Luquin, and Antonio Rodríguez-Fernández. 2022. "Differential Diagnosis of Hepatic Mass with Central Scar: Focal Nodular Hyperplasia Mimicking Fibrolamellar Hepatocellular Carcinoma" Diagnostics 12, no. 1: 44. https://doi.org/10.3390/diagnostics12010044
APA StyleRudolphi-Solero, T., Triviño-Ibáñez, E. M., Medina-Benítez, A., Fernández-Fernández, J., Rivas-Navas, D. J., Pérez-Alonso, A. J., Gómez-Río, M., Aroui-Luquin, T., & Rodríguez-Fernández, A. (2022). Differential Diagnosis of Hepatic Mass with Central Scar: Focal Nodular Hyperplasia Mimicking Fibrolamellar Hepatocellular Carcinoma. Diagnostics, 12(1), 44. https://doi.org/10.3390/diagnostics12010044

