Current Role of Computed Tomography in the Evaluation of Acute Coronary Syndrome
Abstract
1. Introduction
2. Insights from Recent Randomized Controlled Trials Regarding Coronary CTA in the Evaluation of Acute Chest Pain
2.1. Randomized Controlled Trials Prior to the Era of High-Sensitivity Troponin
2.2. Randomized Controlled Studies in the Era of High-Sensitivity Troponin
3. What Is the Proper Indication for Coronary CT in the Evaluation of Acute Chest Pain?
3.1. Definition of Pretest Probability for Acute Chest Pain
3.2. Contraindications to Coronary CTA
4. Basic CT Techniques and Characteristic Coronary CT Findings of Acute Coronary Syndrome
4.1. Basics of Coronary CT Techniques
4.2. Coronary Artery Abnormalities of Acute Coronary Syndrome
4.2.1. How to Identify Coronary Abnormalities on Coronary CTA
Culprit Plaque of Type 1 Acute Myocardial Infarction
Culprit Plaque of Type 2 Acute Myocardial Infarction
Culprit Plaque in Unstable Angina
4.3. Epicardial Fat Abnormality of Acute Coronary Syndrome
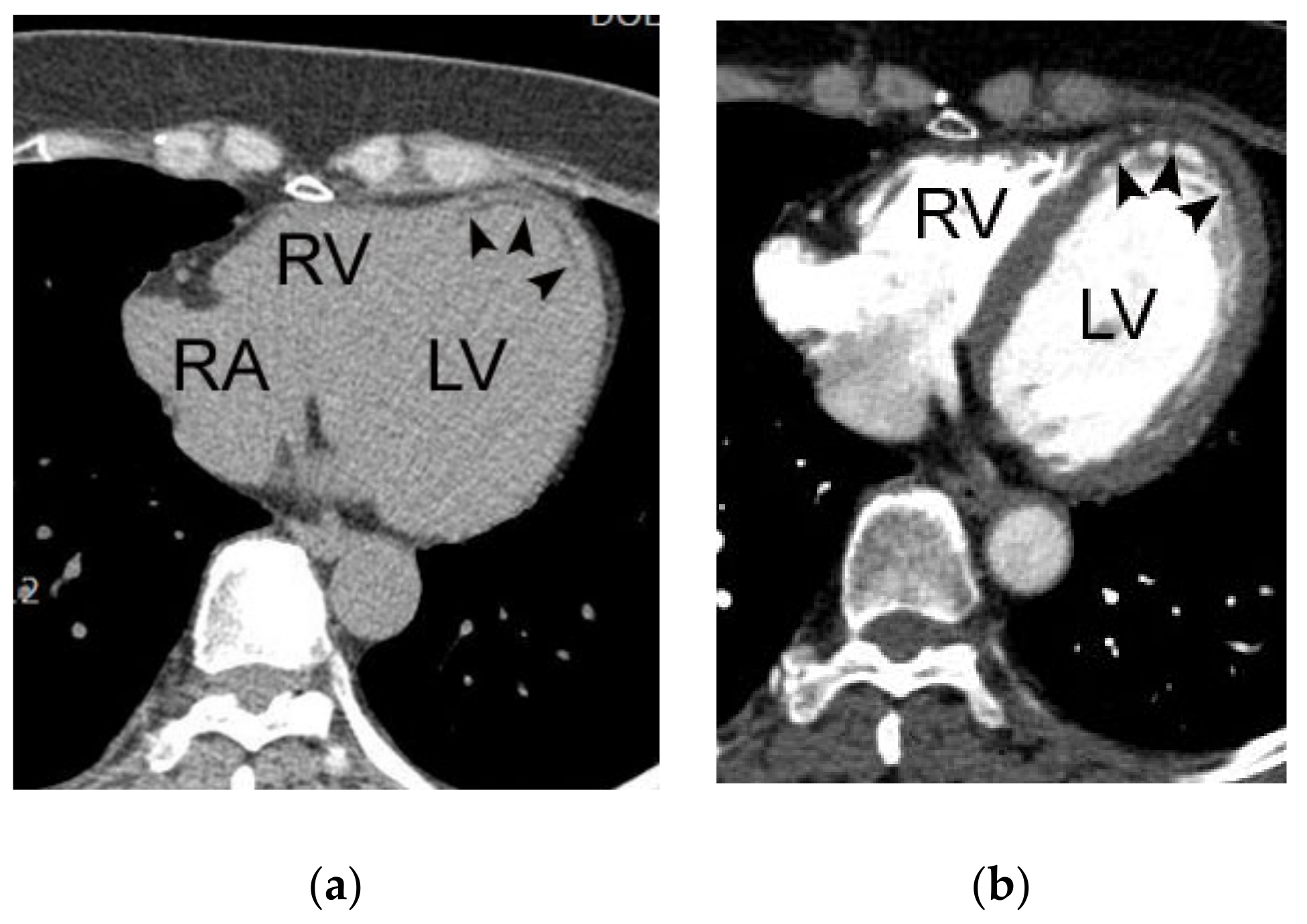
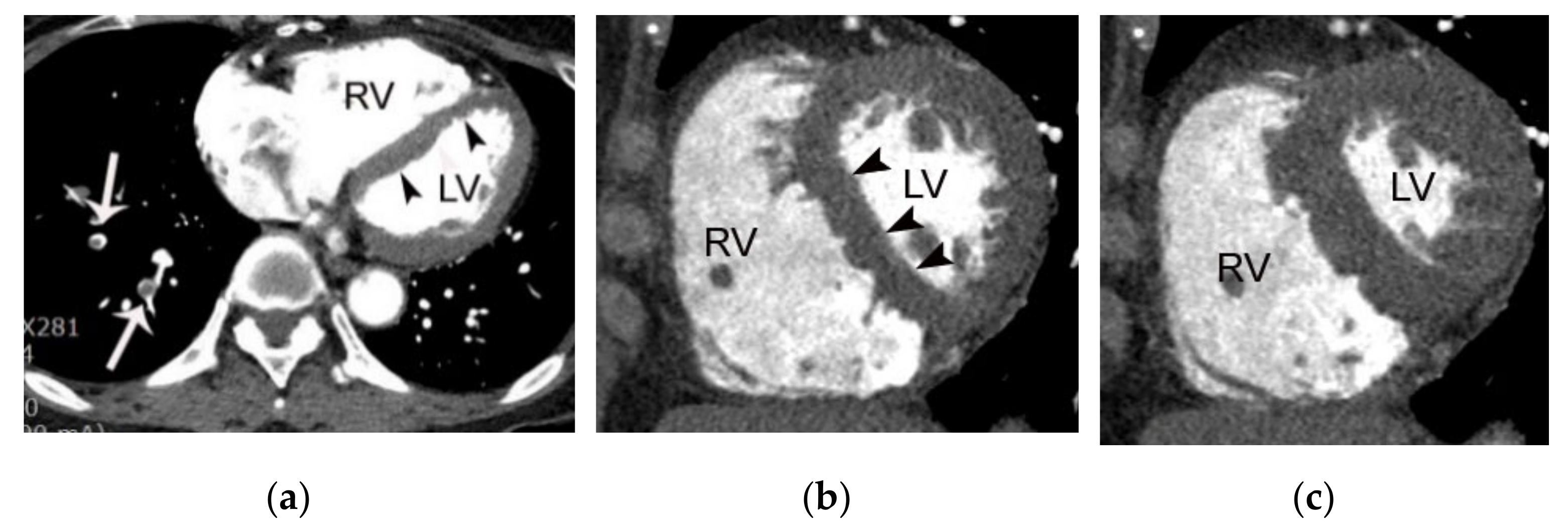
4.4. Myocardial Abnormalities of Acute Coronary Syndrome
4.5. Complications of Acute Myocardial Infarction
4.6. Which Vulnerable Plaque Will Eventually Lead to Acute Coronary Syndrome?
4.7. Alternative Diagnosis
4.8. Incidental Identification of Acute Myocardial Infarction on Nongated Abdomen or Chest CT
4.9. Ability of Coronary CTA to Predict Future Cardiac Event
5. Future Directions
6. Conclusions
Author Contributions
Funding
Conflicts of Interest
Dataset License
References
- Bhuiya, F.A.; Pitts, S.R.; McCaig, L.F. Emergency department visits for chest pain and abdominal pain: United States, 1999–2008. NCHS Data Brief 2010, 43, 1–8. [Google Scholar]
- Lee, H.Y.; Yoo, S.M.; White, C.S. Coronary CT angiography in emergency department patients with acute chest pain: Triple rule-out protocol versus dedicated coronary CT angiography. Int. J. Cardiovasc. Imaging 2009, 25, 319–326. [Google Scholar] [CrossRef]
- Yoo, S.M.; Rho, J.Y.; Lee, H.Y.; Song, I.S.; Moon, J.Y.; White, C.S. Current Concepts in Cardiac CT Angiography for Patients With Acute Chest Pain. Korean Circ. J. 2010, 40, 543–549. [Google Scholar] [CrossRef]
- Reichlin, T.; Hochholzer, W.; Bassetti, S.; Steuer, S.; Stelzig, C.; Hartwiger, S.; Biedert, S.; Schaub, N.; Buerge, C.; Potocki, M.; et al. Early diagnosis of myocardial infarction with sensitive cardiac troponin assays. N. Engl. J. Med. 2009, 361, 858–867. [Google Scholar] [CrossRef] [PubMed]
- Keller, T.; Zeller, T.; Peetz, D.; Tzikas, S.; Roth, A.; Czyz, E.; Bickel, C.; Baldus, S.; Warnholtz, A.; Fröhlich, M.; et al. Sensitive troponin I assay in early diagnosis of acute myocardial infarction. N. Engl. J. Med. 2009, 361, 868–877. [Google Scholar] [CrossRef] [PubMed]
- Yang, S.; Manjunath, L.; Willemink, M.J.; Nieman, K. The role of coronary CT angiography for acute chest pain in the era of high-sensitivity troponins. J. Cardiovasc. Comput. Tomogr. 2019, 13, 267–273. [Google Scholar] [CrossRef] [PubMed]
- Litt, H.; Gatsonis, C.; Snyder, B.; Singh, H.; Miller, C.D.; Entrikin, D.W.; Leaming, J.M.; Gavin, L.J.; Pacella, C.B.; Hollander, J.E. CT angiography for safe discharge of patients with possible acute coronary syndromes. N. Engl. J. Med. 2012, 366, 1393–1403. [Google Scholar] [CrossRef]
- Hoffmann, U.; Truong, Q.A.; Schoenfeld, D.A.; Chou, E.T.; Woodard, P.K.; Nagurney, J.T.; Pope, J.H.; Hauser, T.H.; White, C.S.; Weiner, S.G.; et al. Coronary CT angiography versus standard evaluation in acute chest pain. N. Engl. J. Med. 2012, 367, 299–308. [Google Scholar] [CrossRef]
- Linde, J.J.; Hove, J.D.; Sørgaard, M.; Kelbæk, H.; Jensen, G.B.; Kühl, J.T.; Hindsø, L.; Køber, L.; Nielsen, W.B.; Kofoed, K.F. Long-Term Clinical Impact of Coronary CT Angiography in Patients with Recent Acute-Onset Chest Pain: The Randomized Controlled CATCH Trial. JACC Cardiovasc. Imaging 2015, 8, 1404–1413. [Google Scholar] [CrossRef]
- Newby, D.E.; Gray, A.J. CATCH a Glimpse of the Future. JACC Cardiovasc. Imaging 2015, 8, 1414–1416. [Google Scholar] [CrossRef][Green Version]
- Hulten, E.; Pickett, C.; Bittencourt, M.S.; Villines, T.C.; Petrillo, S.; Di Carli, M.F.; Blankstein, R. Outcomes after coronary computed tomography angiography in the emergency department: A systematic review and meta-analysis of randomized, controlled trials. J. Am. Coll. Cardiol. 2013, 61, 880–892. [Google Scholar] [CrossRef]
- Dedic, A.; Lubbers, M.M.; Schaap, J.; Lammers, J.; Lamfers, E.J.; Rensing, B.J.; Braam, R.L.; Nathoe, H.M.; Post, J.C.; Nielen, T.; et al. Coronary CT Angiography for Suspected ACS in the Era of High-Sensitivity Troponins: Randomized Multicenter Study. J. Am. Coll. Cardiol. 2016, 67, 16–26. [Google Scholar] [CrossRef] [PubMed]
- Gray, A.J.; Roobottom, C.; Smith, J.E.; Goodacre, S.; Oatey, K.; O’Brien, R.; Storey, R.F.; Na, L.; Lewis, S.C.; Thokala, P.; et al. The RAPID-CTCA trial (Rapid Assessment of Potential Ischaemic Heart Disease with CTCA)—A multicentre parallel-group randomised trial to compare early computerised tomography coronary angiography versus standard care in patients presenting with suspected or confirmed acute coronary syndrome: Study protocol for a randomised controlled trial. Trials 2016, 17, 579. [Google Scholar] [PubMed]
- Alderwish, E.; Schultz, E.; Kassam, Z.; Poon, M.; Coplan, N. Evaluation of acute chest pain: Evolving paradigm of coronary risk scores and imaging. Rev. Cardiovasc. Med. 2019, 20, 231–244. [Google Scholar] [PubMed]
- Antman, E.M.; Cohen, M.; Bernink, P.J.; McCabe, C.H.; Horacek, T.; Papuchis, G.; Mautner, B.; Corbalan, R.; Radley, D.; Braunwald, E. The TIMI risk score for unstable angina/non-ST elevation MI: A method for prognostication and therapeutic decision making. JAMA 2000, 284, 835–842. [Google Scholar] [CrossRef]
- Granger, C.B.; Goldberg, R.J.; Dabbous, O.; Pieper, K.S.; Eagle, K.A.; Cannon, C.P.; Van De Werf, F.; Avezum, Á.; Goodman, S.G.; Flather, M.D.; et al. Predictors of hospital mortality in the global registry of acute coronary events. Arch. Intern Med. 2003, 163, 2345–2353. [Google Scholar] [CrossRef]
- Six, A.J.; Backus, B.E.; Kelder, J.C. Chest pain in the emergency room: Value of the HEART score. Neth. Heart J. 2008, 16, 191–196. [Google Scholar] [CrossRef] [PubMed]
- Than, M.P.; Flaws, D.; Sanders, S.; Doust, J.; Glasziou, P.; Kline, J.; Aldous, S.; Troughton, R.; Reid, C.; Parsonage, W.A.; et al. Development and validation of the Emergency Department Assessment of Chest pain Score and 2 h accelerated diagnostic protocol. Emerg. Med. Australas. 2014, 26, 34–44. [Google Scholar] [CrossRef]
- Diamond, G.A.; Forrester, J.S. Analysis of probability as an aid in the clinical diagnosis of coronary-artery disease. N. Engl. J. Med. 1979, 300, 1350–1358. [Google Scholar] [CrossRef]
- Tatum, J.L.; Jesse, R.L.; Kontos, M.C.; Nicholson, C.S.; Schmidt, K.L.; Roberts, C.S.; Ornato, J.P. Comprehensive strategy for the evaluation and triage of the chest pain patient. Ann. Emerg. Med. 1997, 29, 116–125. [Google Scholar] [CrossRef]
- Collet, J.P.; Thiele, H.; Barbato, E.; Barthélémy, O.; Bauersachs, J.; Bhatt, D.L.; Dendale, P.; Dorobantu, M.; Edvardsen, T.; Folliguet, T.; et al. 2020 ESC Guidelines for the management of acute coronary syndromes in patients presenting without persistent ST-segment elevation. Eur. Heart J. 2020. [Google Scholar] [CrossRef]
- Amsterdam, E.A.; Wenger, N.K.; Brindis, R.G.; Casey, D.E., Jr.; Ganiats, T.G.; Holmes, D.R., Jr.; Jaffe, A.S.; Jneid, H.; Kelly, R.F.; Kontos, M.C.; et al. 2014 AHA/ACC guideline for the management of patients with non-ST-elevation acute coronary syndromes: A report of the American College of Cardiology/American Heart Association Task Force on Practice Guidelines. Circulation 2014, 130, e344–e426. [Google Scholar] [PubMed]
- Lee, H.Y.; Song, I.S.; Yoo, S.M.; Rho, J.Y.; Moon, J.Y.; Kim, I.J.; Lim, S.W.; Sung, J.H.; Cha, D.H.; White, C.S. Rarity of isolated pulmonary embolism and acute aortic syndrome occurring outside of the field of view of dedicated coronary CT angiography. Acta Radiol. 2011, 52, 378–384. [Google Scholar] [CrossRef] [PubMed]
- Yoo, S.M.; Chun, E.J.; Lee, H.Y.; Min, D.; White, C.S. Computed Tomography Diagnosis of Nonspecific Acute Chest Pain in the Emergency Department: From Typical Acute Coronary Syndrome to Various Unusual Mimics. J. Thorac. Imaging 2017, 32, 26–35. [Google Scholar] [CrossRef]
- Motoyama, S.; Kondo, T.; Sarai, M.; Sugiura, A.; Harigaya, H.; Sato, T.; Inoue, K.; Okumura, M.; Ishii, J.; Anno, H.; et al. Multislice computed tomographic characteristics of coronary lesions in acute coronary syndromes. J. Am. Coll. Cardiol. 2007, 50, 319–326. [Google Scholar] [CrossRef]
- Chun, E.J.; Han, J.H.; Yoo, S.M.; Lee, H.Y.; Song, I.S.; White, C.S. Differences in the CT findings between vulnerable plaque and culprit lesions in acute coronary syndrome. J. Cardiovasc. Comput. Tomogr. 2018, 12, 115–117. [Google Scholar] [CrossRef]
- Maurovich-Horvat, P.; Hoffmann, U.; Vorpahl, M.; Nakano, M.; Virmani, R.; Alkadhi, H. The napkin-ring sign: CT signature of high-risk coronary plaques? JACC Cardiovasc. Imaging 2010, 3, 440–444. [Google Scholar] [CrossRef] [PubMed]
- Ito, T.; Terashima, M.; Kaneda, H.; Nasu, K.; Matsuo, H.; Ehara, M.; Kinoshita, Y.; Kimura, M.; Tanaka, N.; Habara, M.; et al. Comparison of in vivo assessment of vulnerable plaque by 64-slice multislice computed tomography versus optical coherence tomography. Am. J. Cardiol. 2011, 107, 1270–1277. [Google Scholar] [CrossRef]
- Yoo, S.M.; Jang, S.; Kim, J.A.; Chun, E.J. Troponin-Positive Non-Obstructive Coronary Arteries and Myocardial Infarction with Non-Obstructive Coronary Arteries: Definition, Etiologies, and Role of CT and MR Imaging. Korean J. Radiol. 2020, 21, 1305–1316. [Google Scholar] [CrossRef] [PubMed]
- Laine, P.; Kaartinen, M.; Penttilä, A.; Panula, P.; Paavonen, T.; Kovanen, P.T. Association between myocardial infarction and the mast cells in the adventitia of the infarct-related coronary artery. Circulation 1999, 99, 361–369. [Google Scholar] [CrossRef]
- Moreno, P.R.; Purushothaman, K.R.; Fuster, V.; O’Connor, W.N. Intimomedial interface damage and adventitial inflammation is increased beneath disrupted atherosclerosis in the aorta: Implications for plaque vulnerability. Circulation 2002, 105, 2504–2511. [Google Scholar] [CrossRef] [PubMed]
- Antonopoulos, A.S.; Sanna, F.; Sabharwal, N.; Thomas, S.; Oikonomou, E.K.; Herdman, L.; Margaritis, M.; Shirodaria, C.; Kampoli, A.-M.; Akoumianakis, I.; et al. Detecting human coronary inflammation by imaging perivascular fat. Sci. Transl. Med. 2017, 9, eaal2658. [Google Scholar] [CrossRef] [PubMed]
- Hedgire, S.; Baliyan, V.; Zucker, E.J.; Bittner, D.O.; Staziaki, P.V.; Ap Takx, R.; Scholtz, J.-E.; Meyersohn, N.; Hoffmann, U.; Ghoshhajra, B. Perivascular Epicardial Fat Stranding at Coronary CT Angiography: A Marker of Acute Plaque Rupture and Spontaneous Coronary Artery Dissection. Radiology 2018, 287, 808–815. [Google Scholar] [CrossRef] [PubMed]
- Seneviratne, S.K.; Truong, Q.A.; Bamber, F.; Rogers, I.S.; Shapiro, M.D.; Schlett, C.L.; Chae, C.U.; Cury, R.; Abbara, S.; Brady, T.J.; et al. Incremental diagnostic value of regional left ventricular function over coronary assessment by cardiac computed tomography for the detection of acute coronary syndrome in patients with acute chest pain: From the ROMICAT trial. Circ. Cardiovasc. Imaging 2010, 3, 375–383. [Google Scholar] [CrossRef]
- Mahnken, A.H.; Bruners, P.; Katoh, M.; Wildberger, J.E.; Günther, R.W.; Buecker, A. Dynamic multi-section CT imaging in acute myocardial infarction: Preliminary animal experience. Eur. Radiol. 2006, 16, 746–752. [Google Scholar] [CrossRef] [PubMed]
- Moore, A.; Goerne, H.; Rajiah, P.; Tanabe, Y.; Saboo, S.; Abbara, S. Acute Myocardial Infarct. Radiol. Clin. N. Am. 2019, 57, 45–55. [Google Scholar] [CrossRef]
- Kalra, P.R.; Ohri, S.K.; Morgan, J.M. Images in cardiology. Mitral regurgitation secondary to ruptured papillary muscle. Heart 2000, 84, 13. [Google Scholar] [CrossRef] [PubMed][Green Version]
- Figueras, J.; Cortadellas, J.; Soler-Soler, J. Left ventricular free wall rupture: Clinical presentation and management. Heart 2000, 83, 499–504. [Google Scholar] [CrossRef] [PubMed]
- Motoyama, S.; Ito, H.; Sarai, M.; Kondo, T.; Kawai, H.; Nagahara, Y.; Harigaya, H.; Kan, S.; Anno, H.; Takahashi, H.; et al. Plaque characterization by coronary computed tomography angiography and the likelihood of acute coronary events in mid-term follow-up. J. Am. Coll. Cardiol. 2015, 66, 337–346. [Google Scholar] [CrossRef]
- Higashigaito, K.; Hinzpeter, R.; Baumueller, S.; Benz, D.; Manka, R.; Keller, D.I.; Alkadhi, H.; Morsbach, F. Chest pain CT in the emergency department: Watch out for the myocardium. Eur. J. Radiol. Open 2018, 5, 202–208. [Google Scholar] [CrossRef]
- Schlett, C.L.; Banerji, D.; Siegel, E.; Bamberg, F.; Lehman, S.J.; Ferencik, M.; Brady, T.J.; Nagurney, J.T.; Hoffmann, U.; Truong, Q.A.; et al. Prognostic value of CT angiography for major adverse cardiac events in patients with acute chest pain from the emergency department: 2-year outcomes of the ROMICAT trial. JACC Cardiovasc. Imaging 2011, 4, 481–491. [Google Scholar] [CrossRef] [PubMed]
- Iannaccone, M.; Quadri, G.; Taha, S.; D’Ascenzo, F.; Montefusco, A.; Omede’, P.; Jang, I.-K.; Niccoli, G.; Souteyrand, G.; Yundai, C.; et al. Prevalence and predictors of culprit plaque rupture at OCT in patients with coronary artery disease: A meta-analysis. Eur. Heart J. Cardiovasc. Imaging 2016, 17, 1128–1137. [Google Scholar] [CrossRef] [PubMed]
- Chinnaiyan, K.M.; Safian, R.D.; Gallagher, M.L.; George, J.; Dixon, S.R.; Bilolikar, A.N.; Abbas, A.E.; Shoukfeh, M.; Brodsky, M.; Stewart, J.; et al. Clinical Use of CT-Derived Fractional Flow Reserve in the Emergency Department. JACC Cardiovasc. Imaging 2020, 13 Pt 1, 452–461. [Google Scholar] [CrossRef]
- Andreini, D.; Modolo, R.; Katagiri, Y.; Mushtaq, S.; Sonck, J.; Collet, C.; Martini, S.D.; Roberto, M.; Tanaka, K.; Miyazaki, Y.; et al. Impact of Fractional Flow Reserve Derived From Coronary Computed Tomography Angiography on Heart Team Treatment Decision-Making in Patients with Multivessel Coronary Artery Disease: Insights From the SYNTAX III REVOLUTION Trial. Circ. Cardiovasc. Interv. 2019, 12, e007607. [Google Scholar] [CrossRef] [PubMed]














| Indication | |
|---|---|
| 2020 ESC guidelines [21] | Low or intermediate risk of ACS with normal or inconclusive troponin and ECG |
| Class I and level of evidence A | |
| 2014 AHA/ACC guidelines [22] | Normal ECG, normal cardiac troponin, and no history of coronary artery disease |
| Class IIa and level of evidence A | |
Publisher’s Note: MDPI stays neutral with regard to jurisdictional claims in published maps and institutional affiliations. |
© 2021 by the authors. Licensee MDPI, Basel, Switzerland. This article is an open access article distributed under the terms and conditions of the Creative Commons Attribution (CC BY) license (http://creativecommons.org/licenses/by/4.0/).
Share and Cite
Son, M.J.; Yoo, S.M.; Lee, D.; Lee, H.Y.; Song, I.S.; Chun, E.J.; White, C.S. Current Role of Computed Tomography in the Evaluation of Acute Coronary Syndrome. Diagnostics 2021, 11, 266. https://doi.org/10.3390/diagnostics11020266
Son MJ, Yoo SM, Lee D, Lee HY, Song IS, Chun EJ, White CS. Current Role of Computed Tomography in the Evaluation of Acute Coronary Syndrome. Diagnostics. 2021; 11(2):266. https://doi.org/10.3390/diagnostics11020266
Chicago/Turabian StyleSon, Min Ji, Seung Min Yoo, Dongjun Lee, Hwa Yeon Lee, In Sup Song, Eun Ju Chun, and Charles S White. 2021. "Current Role of Computed Tomography in the Evaluation of Acute Coronary Syndrome" Diagnostics 11, no. 2: 266. https://doi.org/10.3390/diagnostics11020266
APA StyleSon, M. J., Yoo, S. M., Lee, D., Lee, H. Y., Song, I. S., Chun, E. J., & White, C. S. (2021). Current Role of Computed Tomography in the Evaluation of Acute Coronary Syndrome. Diagnostics, 11(2), 266. https://doi.org/10.3390/diagnostics11020266

