The Use of 13C-Urea Breath Test for Non-Invasive Diagnosis of Helicobacter pylori Infection in Comparison to Endoscopy and Stool Antigen Test
Abstract
1. Introduction
2. Materials and Methods
2.1. Study Design and Sample (Patients)
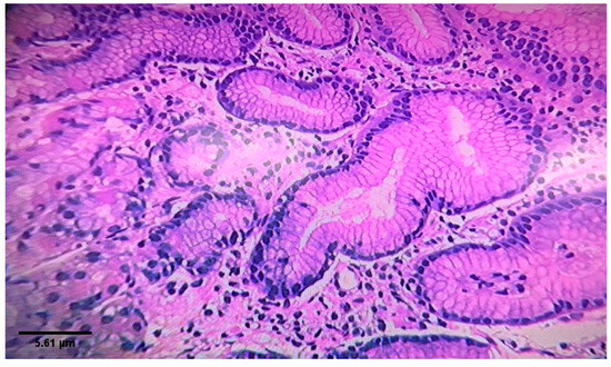
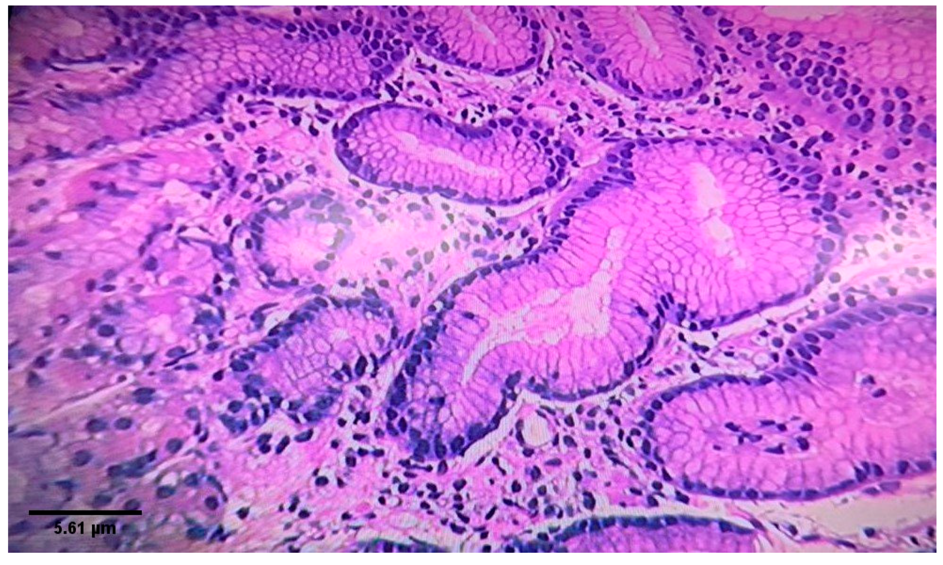
2.2. Endoscopy
2.3. Urea Breath Test
2.4. Stool Antigen Testing for H. pylori
2.5. Statistical Analysis
3. Results
4. Discussion
5. Conclusions
Author Contributions
Funding
Acknowledgments
Conflicts of Interest
References
- McColl, K.E. Clinical practice. Helicobacter pylori infection. N. Engl. J. Med. 2010, 362, 1597–1604. [Google Scholar] [CrossRef]
- Zamani, M.; Ebrahimtabar, F.; Zamani, V.; Miller, W.H.; Alizadeh-Navaei, R.; Shokri-Shirvani, J.; Derakhshan, M.H. Systematic review with meta-analysis: The worldwide prevalence of Helicobacter pylori infection. Aliment. Pharmacol. Ther. 2018, 47, 868–876. [Google Scholar] [CrossRef]
- Chang, W.L.; Yeh, Y.C.; Sheu, B.S. The impacts of H. pylori virulence factors on the development of gastroduodenal diseases. J. Biomed. Sci. 2018, 25, 68. [Google Scholar] [CrossRef]
- Asaka, M.; Dragosics, B.A. Helicobacter pylori and gastric malignancies. Helicobacter 2004, 9, 35–41. [Google Scholar] [CrossRef] [PubMed]
- Torres, J.; Pérez-Pérez, G.; Goodman, K.J.; Atherton, J.C.; Gold, B.D.; Harris, P.R.; Garza, A.M.; Guarner, J.; Munoz, O. A comprehensive review of the natural history of Helicobacter pylori infection in children. Arch. Med. Res. 2000, 31, 431–469. [Google Scholar] [CrossRef]
- Lee, J.Y.; Kim, N. Diagnosis of Helicobacter pylori by invasive test: Histology. Ann. Transl. Med. 2015, 3, 10. [Google Scholar] [PubMed]
- Qureshi, W.A.; Graham, D.Y. Diagnosis and management of Helicobacter pylori infection. Clin. Cornerstone 1999, 1, 18–28. [Google Scholar] [CrossRef]
- Suzuki, T.; Matsuo, K.; Sawaki, A.; Ito, H.; Hirose, K.; Wakai, K.; Sato, S.; Nakamura, T.; Yamao, K.; Ueda, R.; et al. Systematic review and meta-analysis: Importance of CagA status for successful eradication of Helicobacter pylori infection. Aliment. Pharmacol. Ther. 2006, 24, 273–280. [Google Scholar] [CrossRef] [PubMed]
- Sheu, B.S.; Wu, M.S.; Chiu, C.T.; Lo, J.C.; Wu, D.C.; Liou, J.M.; Wu, C.Y.; Cheng, H.C.; Lee, Y.; Hsu, P.I.; et al. Consensus on the clinical management, screening-to-treat, and surveillance of Helicobacter pylori infection to improve gastric cancer control on a nationwide scale. Helicobacter 2017, 22, e12368. [Google Scholar] [CrossRef]
- Howden, C.W.; Hunt, R.H. Guidelines for the management of Helicobacter pylori infection. Ad Hoc Committee on Practice Parameters of the American College of Gastroenterology. Am. J. Gastroenterol. 1998, 93, 2330–2338. [Google Scholar] [CrossRef]
- Cutler, A.F.; Havstad, S.; Ma, C.K.; Blaser, M.J.; Perez-Perez, G.I.; Schubert, T.T. Accuracy of invasive and noninvasive tests to diagnose Helicobacter pylori infection. Gastroenterology 1995, 109, 136–141. [Google Scholar] [CrossRef]
- Vaira, D.; Vakil, N. Blood, urine, stool, breath, money, and Helicobacter pylori. Gut 2001, 48, 287–289. [Google Scholar] [CrossRef]
- Nocon, M.; Kuhlmann, A.; Leodolter, A.; Roll, S.; Vauth, C.; Willich, S.N.; Greiner, W. Efficacy and cost-effectiveness of the 13C-urea breath test as the primary diagnostic investigation for the detection of Helicobacter pylori infection compared to invasive and non-invasive diagnostic tests. GMS Health Technol. Assess. 2009, 5, Doc14. [Google Scholar] [CrossRef]
- Gisbert, J.P.; Pajares, J.M. Review article: 13C-urea breath test in the diagnosis of Helicobacter pylori infection—A critical review. Aliment. Pharmacol. Ther. 2004, 20, 1001–1017. [Google Scholar] [CrossRef] [PubMed]
- Smith, S.; Boyle, B.; Brennan, D.; Buckley, M.; Crotty, P.; Doyle, M. The Irish Helicobacter pylori Working Group consensus for the diagnosis and treatment of H. pylori infection in adult patients in Ireland. Eur. J. Gastroenterol. Hepatol. 2017, 29, 552–559. [Google Scholar] [CrossRef]
- Mahachai, V.; Vilaichone, R.K.; Pittayanon, R.; Rojborwonwitaya, J.; Leelakusolvong, S.; Maneerattanaporn, M. Helicobacter pylori management in ASEAN: The Bangkok consensus report. J. Gastroenterol. Hepatol. 2018, 33, 37–56. [Google Scholar] [CrossRef]
- Browne, R.H. On the use of a pilot sample for sample size determination. Stat. Med. 1995, 14, 1933–1940. [Google Scholar] [CrossRef] [PubMed]
- Perez-Perez, G.I.; Rothenbacher, D.; Brenner, H. Epidemiology of Helicobacter pylori infection. Helicobacter 2004, 9, 1–6. [Google Scholar] [CrossRef] [PubMed]
- Ni, Y.H.; Lin, J.T.; Huang, S.F.; Yang, J.C.; Chang, M.H. Accurate diagnosis of Helicobacter pylori infection by stool antigen test and 6 other currently available tests in children. J. Pediatr. 2000, 136, 823–827. [Google Scholar] [PubMed]
- Biernat, M.M.; Poniewierka, E.; Błaszczuk, J.; Czapla, L.; Kempiński, R.; Ksiądzyna, D. Antimicrobial susceptibility of Helicobacter pylori isolates from Lower Silesia, Poland. Arch. Med. Sci. 2014, 10, 505–509. [Google Scholar] [CrossRef]
- Kusters, J.G.; van Vliet, A.H.; Kuipers, E.J. Pathogenesis of Helicobacter pylori infection. Clin. Microbiol. Rev. 2006, 19, 449–490. [Google Scholar] [CrossRef] [PubMed]
- Abu-Lubad, M.; Alzoubi, H.; Jarajreh, D.; Sawalqa, A.A.; Bruggemann, H.; Aqel, A. Analysis of Helicobacter pylori Genotypes Amongst Jordanians’ Dental Plaque Samples. Gastroenterol. Res. 2018, 11, 46–51. [Google Scholar] [CrossRef]
- Wawro, N.; Amann, U.; Butt, J.; Meisinger, C.; Akmatov, M.; Pessler, F. Helicobacter pylori Seropositivity: Prevalence, Associations, and the Impact on Incident Metabolic Diseases/Risk Factors in the Population-Based KORA Study. Front. Public Health 2019, 7, 96. [Google Scholar] [CrossRef]
- Bani-Hani, K.E.; Shatnawi, N.J.; El Qaderi, S.; Khader, Y.S.; Bani-Hani, B.K. Prevalence and risk factors of Helicobacter pylori infection in healthy schoolchildren. Chin. J. Dig. Dis. 2006, 7, 55–60. [Google Scholar] [CrossRef]
- Ford, A.C.; Qume, M.; Moayyedi, P.; Arents, N.L.; Lassen, A.T.; Logan, R.F. Helicobacter pylori “test and treat” or endoscopy for managing dyspepsia: An individual patient data meta-analysis. Gastroenterology 2005, 128, 1838–1844. [Google Scholar] [CrossRef]
- Calvet, X.; Sánchez-Delgado, J.; Montserrat, A.; Lario, S.; Ramirez-Lazaro, M.J.; Quesada, M. Accuracy of diagnostic tests for Helicobacter pylori: A reappraisal. Clin. Infect. Dis. 2009, 48, 1385–1391. [Google Scholar] [CrossRef]
- Bani-Hani, K.E.; Hammouri, S.M. Prevalence of Helicobacter pylori in Northern Jordan. Endoscopy based study. Saudi Med. J. 2001, 22, 843–847. [Google Scholar]
- Shennak, M.M.; Kilani, A.F. Helicobacter pylori in dyspeptic Jordanian patients. Trop. Gastroenterol. 1998, 19, 15–18. [Google Scholar]
- Altamimi, E.; Alsharakhat, N.; Alawneh, S.; Al-Ahmad, M.; AlJawarneh, A.; Assi, A.; Hamad, M. Prevalence of helicobacter pylori infection using 13c-urea breath test in jordanian children. in preparation.
- Talley, N.J.; Stanghellini, V.; Heading, R.C.; Koch, K.L.; Malagelada, J.R.; Tytgat, G.N. Functional gastroduodenal disorders. Gut 1999, 45, 37–42. [Google Scholar] [CrossRef] [PubMed]
- Jaghbir, M.; Shreif, S.; Ahram, M. Pattern of cigarette and waterpipe smoking in the adult population of Jordan. EMHJ East. Mediterr. Health J. 2014, 20, 529–537. [Google Scholar] [CrossRef]
- Parasher, G.; Eastwood, G.L. Smoking and peptic ulcer in the Helicobacter pylori era. Eur. J. Gastroenterol. Hepatol. 2000, 12, 843–853. [Google Scholar] [CrossRef]
- Graham, D.Y.; Miftahussurur, M. Helicobacter pylori urease for diagnosis of Helicobacter pylori infection: A mini review. J. Adv. Res. 2018, 13, 51–57. [Google Scholar] [CrossRef]



| Characteristic | Diagnosis Phase | Post-Eradication Phase |
|---|---|---|
| Gender | ||
| Male | 13 (43.4%) | 11(36.7%) |
| Female | 17 (56.7%) | 19 (63.3%) |
| Age | ||
| Mean ± SD | 38.0 ± 12.0 | 36.6 ± 12.0 |
| Range | 19–63 | 19–63 |
| Family members | ||
| Mean ± SD | 5.3 ± 1.9 | 5.9 ± 1.5 |
| range | 2–9 | 2–9 |
| Symptom Yes No | H. pylori + ve | H. pylori − ve | p-Value |
|---|---|---|---|
| Heartburn | 14 3 | 5 8 | 0.019 |
| Bloating | 8 9 | 10 3 | 0.11 |
| Epigastric pain | 15 2 | 5 8 | 0.007 |
| Dyspepsia | 8 9 | 9 4 | 0.25 |
| Vomiting | 12 5 | 3 10 | 0.02 |
| Halitosis | 10 7 | 6 7 | 0.51 |
| Risk factors | |||
| Male Female | 10 7 | 9 4 | 0.6 |
| Smoking | 8 9 | 8 5 | 0.46 |
| Family history of PUD | 14 3 | 5 8 | 0.02 |
| Test | Gold Standard Endoscopy | Total | PPV/NPV/Accuracy % | |
|---|---|---|---|---|
| 13c-urea breath | Positive | Negative | ||
| Positive | 16 (94.1%) | 3 (23.1%) | 18 (60.0%) | 84.2/90.9/86.7 |
| Negative | 1 (5.9%) | 10 (76.9%) | 12 (40.0%) | |
| Total | 17 (56.7%) | 13 (43.3%) | 30 | |
| Stool Ag | Positive | Negative | ||
| Positive | 13 (76.5%) | 3 (23.1%) | 16 (53.3%) | 81.3/71.4/76.7 |
| Negative | 4 (23.5%) | 10 (76.9%) | 14 (46.7%) | |
| Total | 17 (56.7%) | 13 (43.3%) | 30 | |
| Test | Stool Ag Test | Total | |
|---|---|---|---|
| Urea Breath | Positive | Negative | |
| Positive | 7 (100%) | 3 (13%) | 10 (33.3%) |
| Negative | 0 (0.0%) | 20 (87.0%) | 20 (66.7%) |
| Total | 7 (23.3%) | 23 (76.7%) | |
| DOB | Group One N = 30 | Percentage | Group Two N = 30 | Percentage |
|---|---|---|---|---|
| 0.1–3.9 | 14 | 46.7% | 20 | 66.7% |
| 4–9.9 | 4 | 13.3% | 5 | 16.7% |
| 10–19.9 | 6 | 20% | 3 | 10 |
| 20–29.9 | 2 | 6.7% | 2 | 6.7% |
| 30–39.9 | 2 | 6.7% | 0 | 0.0% |
| 40–49.9 | 0 | 0.0 | 0 | 0.0% |
| 50–59.9 | 1 | 3.3% | 0 | 0.0 |
| 60–69.9 | 1 | 3.3% | 0 | 0.0% |
| Mean ± SD | 13.1 ± 16.1 | 4.6 ± 6.7 | ||
| Range | 0.1–61 | 0.1–25.6 |
© 2020 by the authors. Licensee MDPI, Basel, Switzerland. This article is an open access article distributed under the terms and conditions of the Creative Commons Attribution (CC BY) license (http://creativecommons.org/licenses/by/4.0/).
Share and Cite
Alzoubi, H.; Al-Mnayyis, A.; Al rfoa, I.; Aqel, A.; Abu-Lubad, M.; Hamdan, O.; Jaber, K. The Use of 13C-Urea Breath Test for Non-Invasive Diagnosis of Helicobacter pylori Infection in Comparison to Endoscopy and Stool Antigen Test. Diagnostics 2020, 10, 448. https://doi.org/10.3390/diagnostics10070448
Alzoubi H, Al-Mnayyis A, Al rfoa I, Aqel A, Abu-Lubad M, Hamdan O, Jaber K. The Use of 13C-Urea Breath Test for Non-Invasive Diagnosis of Helicobacter pylori Infection in Comparison to Endoscopy and Stool Antigen Test. Diagnostics. 2020; 10(7):448. https://doi.org/10.3390/diagnostics10070448
Chicago/Turabian StyleAlzoubi, Hamed, Asma’a Al-Mnayyis, Ibrahim Al rfoa, Amin Aqel, Mohammad Abu-Lubad, Omar Hamdan, and Kareem Jaber. 2020. "The Use of 13C-Urea Breath Test for Non-Invasive Diagnosis of Helicobacter pylori Infection in Comparison to Endoscopy and Stool Antigen Test" Diagnostics 10, no. 7: 448. https://doi.org/10.3390/diagnostics10070448
APA StyleAlzoubi, H., Al-Mnayyis, A., Al rfoa, I., Aqel, A., Abu-Lubad, M., Hamdan, O., & Jaber, K. (2020). The Use of 13C-Urea Breath Test for Non-Invasive Diagnosis of Helicobacter pylori Infection in Comparison to Endoscopy and Stool Antigen Test. Diagnostics, 10(7), 448. https://doi.org/10.3390/diagnostics10070448

