Heart Disease and Pectus Excavatum: An Underestimated Issue—Single Center Experience and Literature Review
Abstract
1. Introduction
2. Materials and Methods
Surgical Procedure
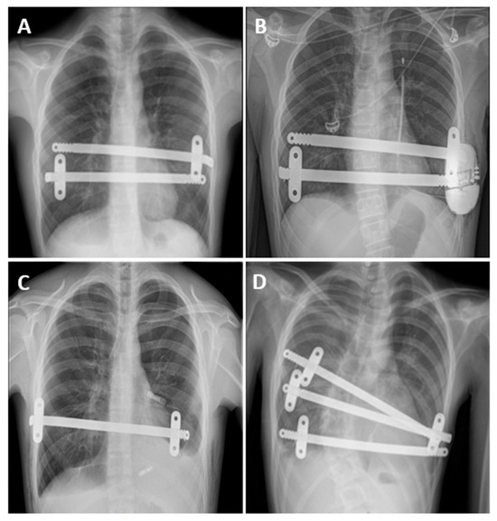
3. Results
4. Discussion
Limitations
5. Conclusions
Author Contributions
Funding
Institutional Review Board Statement
Informed Consent Statement
Data Availability Statement
Conflicts of Interest
References
- Huddleston, C.B. Pectus excavatum. Semin. Thorac. Cardiovasc. Surg. 2004, 16, 225–232. [Google Scholar] [CrossRef] [PubMed]
- Acipayam, A.; Güllü, U.U.; Güngör, Ş. Cardiac anomalies in pediatric patients with pectus excavatum. Rev. Assoc. Med. Bras. (1992) 2023, 69, e20221301. [Google Scholar] [CrossRef] [PubMed] [PubMed Central]
- Oezcan, S.; Attenhofer Jost, C.H.; Pfyffer, M.; Kellenberger, C.; Jenni, R.; Binggeli, C.; Faeh-Gunz, A.; Seifert, B.; Scharf, C.; Kretschmar, O.; et al. Pectus excavatum: Echocardiography and cardiac MRI reveal frequent pericardial effusion and right-sided heart anomalies. Eur. Heart J. Cardiovasc. Imaging 2012, 13, 673–679. [Google Scholar] [CrossRef] [PubMed]
- Sonaglioni, A.; Nicolosi, G.L.; Trevisan, R.; Lombardo, M.; Grasso, E.; Gensini, G.F.; Ambrosio, G. The influence of pectus excavatum on cardiac kinetics and function in otherwise healthy individuals: A systematic review. Int. J. Cardiol. 2023, 381, 135–144. [Google Scholar] [CrossRef] [PubMed]
- Tocchioni, F.; Ghionzoli, M.; Messineo, A.; Romagnoli, P. Pectus excavatum and heritable disorders of the connective tissue. Pediatr. Rep. 2013, 5, e15. [Google Scholar] [CrossRef] [PubMed] [PubMed Central]
- Park, H.J.; Jeong, J.Y.; Jo, W.M.; Shin, J.S.; Lee, I.S.; Kim, K.T.; Choi, Y.H. Minimally invasive repair of pectus excavatum: A novel morphology-tailored, patient-specific approach. J. Thorac. Cardiovasc. Surg. 2010, 139, 379–386. [Google Scholar] [CrossRef] [PubMed]
- Messineo, A.; Ghionzoli, M.; Lo Piccolo, R.; Milanez De Campos, J.R. A simplified method to pass the bar through the mediastinum in the Nuss technique. Ann. Thorac. Surg. 2015, 99, 717–718. [Google Scholar] [CrossRef] [PubMed]
- Checchi, L.; Perrotta, L.; Ricciardi, G.; Colella, A.; Bambagioni, G.; Ciliberti, D.; Bogini, V.; Gonfiotti, A.; Olivotto, I.; Pieragnoli, P. S-ICD Implantation in Secondary Prevention in a Young Patient With Recent Surgically Repaired Pectus Excavatum. JACC Case Rep. 2024, 29, 102231. [Google Scholar] [CrossRef] [PubMed] [PubMed Central]
- Behr, C.A.; Denning, N.L.; Kallis, M.P.; Maloney, C.; Soffer, S.Z.; Romano-Adesman, A.; Hong, A.R. The incidence of Marfan syndrome and cardiac anomalies in patients presenting with pectus deformities. J. Pediatr. Surg. 2019, 54, 1926–1928. [Google Scholar] [CrossRef] [PubMed]
- Sacco Casamassima, M.G.; Wong, L.L.; Papandria, D.; Abdullah, F.; Vricella, L.A.; Cameron, D.E.; Colombani, P.M. Modified nuss procedure in concurrent repair of pectus excavatum and open heart surgery. Ann. Thorac. Surg. 2013, 95, 1043–1049. [Google Scholar] [CrossRef] [PubMed]
- Dimitrakakis, G.; von Oppell, U.O.; Miller, C.; Kornaszewska, M. Simultaneous mitral valve and pectus excavatum repair with a Nuss bar. Eur. J. Cardiothorac. Surg. 2012, 42, e86–e88. [Google Scholar] [CrossRef] [PubMed]
- Raffa, G.M.; Kowalewski, M.; Malvindi, P.G.; Bertani, A.; Romano, G.; Sciacca, S.; Turrisi, M.; Armaro, A.; Stringi, V.; Montalbano, G.; et al. Aortic surgery in Marfan patients with severe pectus excavatum. J. Cardiovasc. Med. 2017, 18, 305–310. [Google Scholar] [CrossRef] [PubMed]
- Jaroszewski, D.E.; Gustin, P.J.; Haecker, F.M.; Pilegaard, H.; Park, H.J.; Tang, S.T.; Li, S.; Yang, L.; Uemura, S.; De Campos, J.R.M.; et al. Pectus excavatum repair after sternotomy: The Chest Wall International Group experience with substernal Nuss bars. Eur. J. Cardiothorac. Surg. 2017, 52, 710–717. [Google Scholar] [CrossRef] [PubMed]
- Media, A.S.; Pilegaard, H.K.; de Paoli, F.V. Combining Correction of Pectus Excavatum and Open Heart Surgery in a Single-Stage Procedure. Ann. Thorac. Surg. 2020, 109, e71–e74. [Google Scholar] [CrossRef] [PubMed]
- Javangula, K.C.; Batchelor, T.J.; Jaber, O.; Watterson, K.G.; Papagiannopoulos, K. Combined severe pectus excavatum correction and aortic root replacement in Marfan’s syndrome. Ann. Thorac. Surg. 2006, 81, 1913–1915. [Google Scholar] [CrossRef] [PubMed]
- Willekes, C.L.; Backer, C.L.; Mavroudis, C. A 26-year review of pectus deformity repairs, including simultaneous intracardiac repair. Ann. Thorac. Surg. 1999, 67, 511–518. [Google Scholar] [CrossRef] [PubMed]
- Rousse, N.; Juthier, F.; Prat, A.; Wurtz, A. Staged repair of pectus excavatum during an aortic valve-sparing operation. J. Thorac. Cardiovasc. Surg. 2011, 141, e28–e30. [Google Scholar] [CrossRef] [PubMed]
- Okay, T.; Ketenci, B.; Imamoglu, O.U.; Aydemir, B.; Tuygun, A.K.; Ozay, B.; Yapici, F.; Coruh, T.K.; Demirtas, M.M. Simultaneous open-heart surgery and pectus deformity correction. Surg. Today 2008, 38, 592–596. [Google Scholar] [CrossRef] [PubMed]
- Kawamura, T.; Fukuda, I.; Minakawa, M.; Fukui, K. Open door approach by partial sternotomy and sterno-costo-chondroplasty for annuloaortic ectasia with pectus excavatum. Interact. Cardiovasc. Thorac. Surg. 2011, 12, 645–647. [Google Scholar] [CrossRef] [PubMed][Green Version]
- Stephens, E.H.; Preventza, O.; Sarateanu, C.S.; LeMaire, S.A.; Coselli, J.S. Emergent pectus excavatum repair after aortic root replacement in Marfan patient. J. Card. Surg. 2012, 27, 222–224. [Google Scholar] [CrossRef] [PubMed]
- Abid, I.; Ewais, M.M.; Marranca, J.; Jaroszewski, D.E. Pectus Excavatum: A Review of Diagnosis and Current Treatment Options. J. Am. Osteopath. Assoc. 2017, 117, 106–113. [Google Scholar] [CrossRef] [PubMed]
- Nuss, D.; Kelly, R.E., Jr. Indications and technique of Nuss procedure for pectus excavatum. Thorac. Surg. Clin. 2010, 20, 583–597. [Google Scholar] [CrossRef] [PubMed]
- Viggiano, D.; Bongiolatti, S.; Borgianni, S.; Lo Piccolo, R.; Voltolini, L.; Gonfiotti, A. Nuss Technique for Pectus Excavatum in Adult Patients: Cosmetic Satisfaction and Improvement of Quality of Life in a Single-Center Experience. Front. Surg. 2022, 9, 903791. [Google Scholar] [CrossRef] [PubMed] [PubMed Central]
- Antonoff, M.B.; Erickson, A.E.; Hess, D.J.; Acton, R.D.; Saltzman, D.A. When patients choose: Comparison of Nuss, Ravitch, and Leonard procedures for primary repair of pectus excavatum. J. Pediatr. Surg. 2009, 44, 1113–1118; discussion 118–119. [Google Scholar] [CrossRef] [PubMed]
- Ravitch, M.M. The operative treatment of pectus excavatum. J. Pediatr. 1956, 48, 465–472. [Google Scholar] [CrossRef] [PubMed]
- Wolfenden, H.; Newman, D.C. Constrictive pericarditis associated with trauma and pectus excavatum. Aust. N. Z. J. Surg. 1992, 62, 750–752. [Google Scholar] [CrossRef] [PubMed]
- Gerfer, S.; Schlachtenberger, G.; Eghbalzadeh, K.; Wippermann, J.; Wahlers, T. Constrictive pericarditis with a life-threatening giant pericardial cyst and pectus excavatum as unusual cause for malign cardiac arrhythmias. Perfusion 2019, 34, 516–518. [Google Scholar] [CrossRef] [PubMed]
- Chu, Z.G.; Yu, J.Q.; Yang, Z.G.; Peng, L.Q.; Bai, H.L.; Li, X.M. Correlation between sternal depression and cardiac rotation in pectus excavatum: Evaluation with helical CT. AJR Am. J. Roentgenol. 2010, 195, W76–W80. [Google Scholar] [CrossRef] [PubMed]
- Haller, J.A., Jr.; Kramer, S.S.; Lietman, S.A. Use of CT scans in selection of patients for pectus excavatum surgery: A preliminary report. J. Pediatr. Surg. 1987, 22, 904–906. [Google Scholar] [CrossRef] [PubMed]
- Stephens, E.H.; Dearani, J.A.; Jaroszewski, D.E. Pectus Excavatum in Cardiac Surgery Patients. Ann. Thorac. Surg. 2023, 115, 1312–1321. [Google Scholar] [CrossRef] [PubMed]
- Nuss, D.; Obermeyer, R.J.; Kelly, R.E., Jr. Pectus excavatum from a pediatric surgeon’s perspective. Ann. Cardiothorac. Surg. 2016, 5, 493–500. [Google Scholar] [CrossRef] [PubMed] [PubMed Central]
- Bawazir, O.A.; Montgomery, M.; Harder, J.; Sigalet, D.L. Midterm evaluation of cardiopulmonary effects of closed repair for pectus excavatum. J. Pediatr. Surg. 2005, 40, 863–867. [Google Scholar] [CrossRef] [PubMed]
- Silbiger, J.J.; Parikh, A. Pectus excavatum: Echocardiographic, pathophysiologic, and surgical insights. Echocardiography 2016, 33, 1239–1244. [Google Scholar] [CrossRef] [PubMed]
- Li, T.; Bishop-Rimmer, E.; Shieh, M.; Kreiger, P.; Felberbaum, M.; Heller, M. Pectus excavatum: A cause of serious cardiac dysfunction and dysrhythmia. Am. J. Emerg. Med. 2015, 33, e1–e2. [Google Scholar] [CrossRef] [PubMed]
- Tran, N.T.; Larry Klein, J.; Paul Mounsey, J.; Chung, E.H.; Schwartz, J.D.; Pursell, I.; Gehi, A.K. Lone atrial fibrillation is associated with pectus excavatum. Heart Rhythm 2013, 10, 1263–1269. [Google Scholar] [CrossRef] [PubMed]
- Ferraz, L.; Carvalho, D.; Carvalho, S.; Pacheco, A.; Faustino, A.; Neves, A. Pectus excavatum with right ventricular compression-induced ventricular arrhythmias. Br. J. Cardiol. 2023, 30, 4. [Google Scholar] [CrossRef] [PubMed] [PubMed Central]
- Pimenta, J.; Vieira, A.; Henriques-Coelho, T. Ventricular arrhythmia solved by surgical correction of pectus excavatum. Interact. Cardiovasc. Thorac. Surg. 2018, 26, 706–708. [Google Scholar] [CrossRef] [PubMed]
- Rachwan, R.J.; Purpura, A.K.; Kahwash, B.M. Sudden Cardiac Arrest in a Young Patient With Severe Pectus Excavatum. Am. J. Med. Sci. 2018, 356, 570–573. [Google Scholar] [CrossRef] [PubMed]
- Moossdorff, M.; Maesen, B.; den Uijl, D.W.; Lenderink, T.; Franssen, F.A.R.; Vissers, Y.L.J.; de Loos, E.R. Case report: Ventricular fibrillation and cardiac arrest provoked by forward bending in adolescent with severe pectus excavatum. Eur. Heart J. Case Rep. 2021, 5, ytab373. [Google Scholar] [CrossRef] [PubMed] [PubMed Central]
- Zeppenfeld, K.; Tfelt-Hansen, J.; de Riva, M.; Winkel, B.G.; Behr, E.R.; Blom, N.A.; Charron, P.; Corrado, D.; Dagres, N.; de Chillou, C.; et al. 2022 ESC Guidelines for the management of patients with ventricular arrhythmias and the prevention of sudden cardiac death. Eur. Heart J. 2022, 43, 3997–4126. [Google Scholar] [CrossRef] [PubMed]


| Case | Age (yr) | HI | Heart Disease | Implantable Medical Devices | ASA | Comorbidities |
|---|---|---|---|---|---|---|
| 1 | 16 | 5 | VF arrest | S-ICD | 3 | - |
| 2 | 15 | 6.8 | MVP | - | 3 | MS, Scoliosis, PA |
| 3 | 21 | 5 | II° AVB | MLP | 3 | ADHD, BD, Asthma |
| 4 | 52 | 4 | Pericarditis | - | 3 | Mondor Syndrome |
| Case | Pectus Technique | Operation Time (min) | Number of Bars Placed | Resection of Costal Cartilage | Wedge Resection of the Sternal Body | Postoperative Complications | Chest Tube Duration (Days) | LOS (Days) |
|---|---|---|---|---|---|---|---|---|
| 1 | Nuss | 80 | 2 | - | - | - | 3 | 28 |
| 2 | Nuss | 455 | 3 | - | - | PAL, fever | 29 | 36 |
| 3 | Nuss | 55 | 1 | - | - | Transitory fever | 4 | 4 |
| 4 | Modified Ravitch + Nuss | 105 | 1 | 6th, 7th, and 8th ribs bilaterally | Yes | AF, Atelectasis | 9 | 11 |
Disclaimer/Publisher’s Note: The statements, opinions and data contained in all publications are solely those of the individual author(s) and contributor(s) and not of MDPI and/or the editor(s). MDPI and/or the editor(s) disclaim responsibility for any injury to people or property resulting from any ideas, methods, instructions or products referred to in the content. |
© 2024 by the authors. Licensee MDPI, Basel, Switzerland. This article is an open access article distributed under the terms and conditions of the Creative Commons Attribution (CC BY) license (https://creativecommons.org/licenses/by/4.0/).
Share and Cite
Ravasin, A.; Viggiano, D.; Tombelli, S.; Checchi, L.; Stefàno, P.; Voltolini, L.; Gonfiotti, A. Heart Disease and Pectus Excavatum: An Underestimated Issue—Single Center Experience and Literature Review. Life 2024, 14, 1643. https://doi.org/10.3390/life14121643
Ravasin A, Viggiano D, Tombelli S, Checchi L, Stefàno P, Voltolini L, Gonfiotti A. Heart Disease and Pectus Excavatum: An Underestimated Issue—Single Center Experience and Literature Review. Life. 2024; 14(12):1643. https://doi.org/10.3390/life14121643
Chicago/Turabian StyleRavasin, Alice, Domenico Viggiano, Simone Tombelli, Luca Checchi, Pierluigi Stefàno, Luca Voltolini, and Alessandro Gonfiotti. 2024. "Heart Disease and Pectus Excavatum: An Underestimated Issue—Single Center Experience and Literature Review" Life 14, no. 12: 1643. https://doi.org/10.3390/life14121643
APA StyleRavasin, A., Viggiano, D., Tombelli, S., Checchi, L., Stefàno, P., Voltolini, L., & Gonfiotti, A. (2024). Heart Disease and Pectus Excavatum: An Underestimated Issue—Single Center Experience and Literature Review. Life, 14(12), 1643. https://doi.org/10.3390/life14121643

