Pharmacological Activity of Cha-Miang (Camellia sinensis var. assamica) in High Fat Diet-Induced Insulin-Resistant Rats
Abstract
1. Introduction
2. Materials and Methods
2.1. Sample Preparation and Extraction
2.2. Antioxidant Properties Assay
2.3. Animals
2.4. Experimental Design
- -
- Group I (control: N-C): rats in this group were administered orally 1 mL/day of distilled water.
- -
- Group II and III (CME): rats were administered orally CME at doses 150 (N-LCME) and 300 (N-HCME) mg/kg BW.
- -
- Group IV and V (FCME): rats were administered orally FCME at doses 150 (N-LFCME) and 300 (N-HFCME) mg/kg BW.
- -
- Group VI (obese: O-C): rats in this group were administered orally 1 mL/day of distilled water.
- -
- Group VII (positive control): rats were administered orally Metformin at the doses 5 (O-Met) mg/kg BW.
- -
- Group VIII and IX (obese and CME): rats were administered orally CME at doses 150 (O-LCME) and 300 (O-HCME) mg/kg BW.
- -
- Group X and XI (obese and FCME): rats were administered orally FCME at doses 150 (O-LFCME) and 300 (O-HFCME) mg/kg BW.
- -
- Group XII (Metformin and CME: O-Met+CME): rats were administered orally metformin 5 mg/kg BW and CME 150 mg/kg BW.
- -
- Group XIII (Metformin and FCME: O-Met+FCME): rats were administered orally metformin 5 mg/kg BW and FCME 150 mg/kg BW.
2.5. Measurement of Body Weight and Organ Weight
2.6. Insulin Resistant Assessment
2.7. Biochemical Analysis
2.8. Plasma and Liver Lipid Peroxidation Assay
2.9. Histological Evaluation
2.10. Statistical Analysis
3. Results
3.1. Antioxidant Properties
3.2. Effect of CME and FCME on Body Weight and Relative Organ Weight
3.3. Effect of CME and FCME on Plasma Glucose, Plasma Insulin, and Insulin Resistance
3.4. Effect of CME and FCME on Plasma Biochemistry
3.5. Effect of CME and FCME on Plasma and Liver Lipid Peroxidation
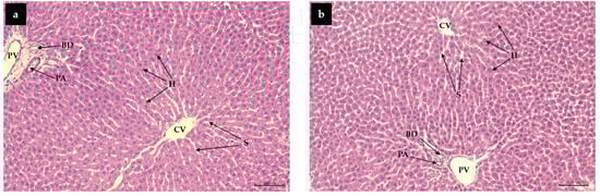
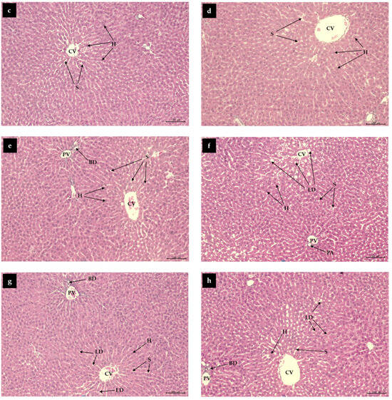
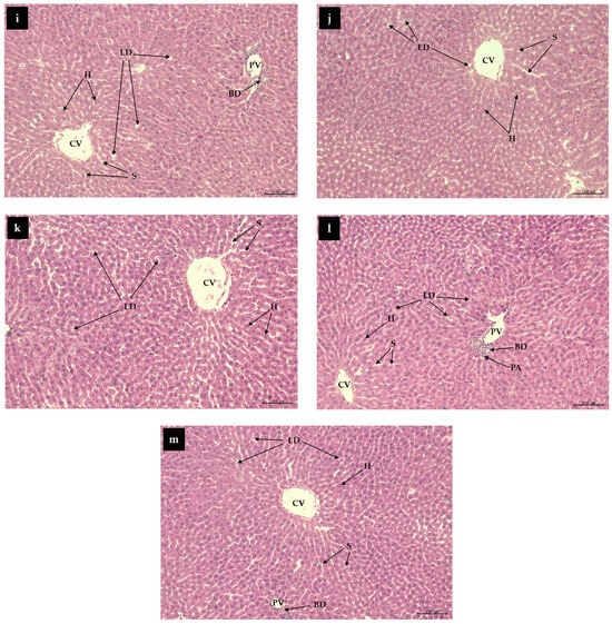
3.6. Effect of CME and FCME on Oragans Histological Features
4. Discussion
5. Conclusions
Author Contributions
Funding
Institutional Review Board Statement
Informed Consent Statement
Data Availability Statement
Acknowledgments
Conflicts of Interest
References
- Spiegelman, B.M.; Flier, J.S. Obesity and the regulation of energy balance. Cell 2001, 104, 531–543. [Google Scholar] [CrossRef] [PubMed]
- Kopelman, P.G. Obesity as a medical problem. Nature 2000, 404, 635–643. [Google Scholar] [CrossRef] [PubMed]
- Obici, S.; Rossetti, L. Minireview: Nutrient sensing and the regulation of insulin action and energy balance. Endocrinology 2003, 144, 5172–5178. [Google Scholar] [CrossRef] [PubMed]
- Kumar, P.; Bhandari, U.; Jamadagni, S. Fenugreek seed extract inhibit fat accumulation and ameliorates dyslipidemia in high fat diet-induced obese rats. Biomed Res. Int. 2014, 2014, 606021. [Google Scholar] [CrossRef]
- Gurevich-Panigrahi, T.; Panigrahi, S.; Wiechec, E.; Los, M. Obesity: Pathophysiology and clinical management. Curr. Med. Chem. 2009, 16, 506–521. [Google Scholar] [CrossRef]
- de Melo, C.L.; Queiroz, M.G.R.; Arruda Filho, A.C.V.; Rodrigues, A.M.; de Sousa, D.F.; Almeida, J.G.L.; Pessoa, O.D.N.L.; Silveira, E.R.; Menezes, D.B.; Melo, T.S. Betulinic acid, a natural pentacyclic triterpenoid, prevents abdominal fat accumulation in mice fed a high-fat diet. J. Agric. Food Chem. 2009, 57, 8776–8781. [Google Scholar] [CrossRef]
- Abbas, M.A.; Boby, N.; Lee, E.-B.; Hong, J.-H.; Park, S.-C. Anti-obesity effects of Ecklonia cava extract in high-fat diet-induced obese rats. Antioxidants 2022, 11, 310. [Google Scholar] [CrossRef]
- Ghosh, D. A botanical approach to managing obesity. In Functional Foods for Chronic Diseases; Functional Foods Center: Richardson, TX, USA, 2009; Volume 4, pp. 263–273. [Google Scholar]
- Graham, H.N. Green tea composition, consumption, and polyphenol chemistry. Prev. Med. 1992, 21, 334–350. [Google Scholar] [CrossRef]
- Unban, K.; Khatthongngam, N.; Shetty, K.; Khanongnuch, C. Nutritional biotransformation in traditional fermented tea (Miang) from north Thailand and its impact on antioxidant and antimicrobial activities. J. Food Sci. Technol. 2019, 56, 2687–2699. [Google Scholar] [CrossRef]
- Khanongnuch, C.; Unban, K.; Kanpiengjai, A.; Saenjum, C. Recent research advances and ethno-botanical history of miang, a traditional fermented tea (Camellia sinensis var. assamica) of northern Thailand. J. Ethn. Foods 2017, 4, 135–144. [Google Scholar] [CrossRef]
- Frei, B.; Higdon, J.V. Antioxidant activity of tea polyphenols in vivo: Evidence from animal studies. J. Nutr. 2003, 133, 3275S–3284S. [Google Scholar] [CrossRef] [PubMed]
- Wang, H.; Provan, G.J.; Helliwell, K. Tea flavonoids: Their functions, utilisation and analysis. Trends Food Sci. Technol. 2000, 11, 152–160. [Google Scholar] [CrossRef]
- Higdon, J.V.; Frei, B. Tea catechins and polyphenols: Health effects, metabolism, and antioxidant functions. Crit. Rev. Food Sci. Nutr. 2003, 43, 89–143. [Google Scholar] [CrossRef] [PubMed]
- Anandh Babu, P.V.; Liu, D. Green tea catechins and cardiovascular health: An update. Curr. Med. Chem. 2008, 15, 1840–1850. [Google Scholar] [CrossRef] [PubMed]
- Samarghandian, S.; Azimi-Nezhad, M.; Farkhondeh, T. Catechin treatment ameliorates diabetes and its complications in streptozotocin-induced diabetic rats. Dose Response 2017, 15, 1559325817691158. [Google Scholar] [CrossRef]
- Ounjaijean, S.; Thephinlap, C.; Khansuwan, U.; Phisalapong, C.; Fucharoen, S.; Porter, J.; Srichairatanakool, S. Effect of green tea on iron status and oxidative stress in iron-loaded rats. Med. Chem. 2008, 4, 365–370. [Google Scholar] [CrossRef]
- Chachiyo, S.; Kulprachakarn, K.; Saenjum, C.; Rerkasem, K.; Srichairatakool, S.; Boonyapranai, K.; Parklak, W.; Somsak, V.; Ounjaijean, S. Toxicity evaluation of Camellia sinensis var. assamica and its fermented miang product. Pharmacogn. Res. 2020, 12, 430–436. [Google Scholar]
- Wangkarn, S.; Grudpan, K.; Khanongnuch, C.; Pattananandecha, T.; Apichai, S.; Saenjum, C. Development of HPLC method for catechins and related compounds determination and standardization in Miang (Traditional Lanna fermented tea leaf in Northern Thailand). Molecules 2021, 26, 6052. [Google Scholar] [CrossRef]
- Sukkho, T.; Khanongnuch, C.; Lumyong, S.; Ruangsuriya, J.; Pattananandecha, T.; Apichai, S.; Ogata, F.; Kawasaki, N.; Saenjum, C. Local wisdom and diversity of medicinal plants in Cha Miang Forest in Mae Kampong Village, Chiang Mai, Thailand, and their potential for use as osteoprotective products. Plants 2022, 11, 1492. [Google Scholar] [CrossRef]
- Unban, K.; Khatthongngam, N.; Pattananandecha, T.; Saenjum, C.; Shetty, K.; Khanongnuch, C. Microbial community dynamics during the non-filamentous fungi growth-based fermentation process of Miang, a traditional fermented tea of north Thailand and their product characterizations. Front. Microbiol. 2020, 11, 1515. [Google Scholar] [CrossRef]
- Re, R.; Pellegrini, N.; Proteggente, A.; Pannala, A.; Yang, M.; Rice-Evans, C. Antioxidant activity applying an improved ABTS radical cation decolorization assay. Free Radic. Biol. Med. 1999, 26, 1231–1237. [Google Scholar] [CrossRef] [PubMed]
- Taheri, M.; Giahi, M.; Shahmohamadi, R.; Ghafoori, H.; Aghamaali, M.; Sariri, R. Screening antioxidant activity of extracts from different tea samples. Pharmacologyonline 2011, 3, 442–448. [Google Scholar]
- Wang, C.-Y.; Liao, J.K. A mouse model of diet-induced obesity and insulin resistance. Methods Mol. Biol. 2012, 821, 421–433. [Google Scholar] [PubMed]
- Matthews, D.R.; Hosker, J.P.; Rudenski, A.S.; Naylor, B.; Treacher, D.F.; Turner, R. Homeostasis model assessment: Insulin resistance and β-cell function from fasting plasma glucose and insulin concentrations in man. Diabetologia 1985, 28, 412–419. [Google Scholar] [CrossRef] [PubMed]
- Musolino, V.; Gliozzi, M.; Scarano, F.; Bosco, F.; Scicchitano, M.; Nucera, S.; Carresi, C.; Ruga, S.; Zito, M.C.; Maiuolo, J. Bergamot polyphenols improve dyslipidemia and pathophysiological features in a mouse model of non-alcoholic fatty liver disease. Sci. Rep. 2020, 10, 2565. [Google Scholar] [CrossRef] [PubMed]
- Zeb, A.; Ullah, F. A simple spectrophotometric method for the determination of thiobarbituric acid reactive substances in fried fast foods. J. Anal. Chem. 2016, 2016, 9412767. [Google Scholar] [CrossRef]
- Woods, S.C.; Seeley, R.J.; Rushing, P.A.; D’Alessio, D.; Tso, P. A controlled high-fat diet induces an obese syndrome in rats. Nutr. J. 2003, 133, 1081–1087. [Google Scholar] [CrossRef]
- Ikemoto, S.; Takahashi, M.; Tsunoda, N.; Maruyama, K.; Itakura, H.; Ezaki, O. High-fat diet-induced hyperglycemia and obesity in mice: Differential effects of dietary oils. Metabolism 1996, 45, 1539–1546. [Google Scholar] [CrossRef]
- Hsueh, W.; Abel, E.D.; Breslow, J.L.; Maeda, N.; Davis, R.C.; Fisher, E.A.; Dansky, H.; McClain, D.A.; McIndoe, R.; Wassef, M.K. Recipes for creating animal models of diabetic cardiovascular disease. Circ. Res. 2007, 100, 1415–1427. [Google Scholar] [CrossRef]
- Uprety, L.P.; Lee, C.-G.; Oh, K.-I.; Jeong, H.; Yeo, S.; Yong, Y.; Seong, J.K.; Kim, I.Y.; Go, H.; Park, E. Anti-obesity effects of Celosia cristata flower extract in vitro and in vivo. Biomed. Pharmacother. 2024, 176, 116799. [Google Scholar] [CrossRef]
- Alcala, M.; Gutierrez-Vega, S.; Castro, E.; Guzman-Gutiérrez, E.; Ramos-Álvarez, M.P.; Viana, M. Antioxidants and oxidative stress: Focus in obese pregnancies. Front. Physiol. 2018, 9, 1569. [Google Scholar] [CrossRef] [PubMed]
- Tan, B.L.; Norhaizan, M.E. Effect of high-fat diets on oxidative stress, cellular inflammatory response and cognitive function. Nutrients 2019, 11, 2579. [Google Scholar] [CrossRef] [PubMed]
- Noeman, S.A.; Hamooda, H.E.; Baalash, A.A. Biochemical study of oxidative stress markers in the liver, kidney and heart of high fat diet induced obesity in rats. Diabetol. Metab. Syndr. 2011, 3, 1–8. [Google Scholar] [CrossRef] [PubMed]
- Fuster, J.J.; Ouchi, N.; Gokce, N.; Walsh, K. Obesity-induced changes in adipose tissue microenvironment and their impact on cardiovascular disease. Circ. Res. 2016, 118, 1786–1807. [Google Scholar] [CrossRef] [PubMed]
- Ghadir, M.R.; Riahin, A.A.; Havaspour, A.; Nooranipour, M.; Habibinejad, A.A. The relationship between lipid profile and severity of liver damage in cirrhotic patients. Hepat. Mon. 2010, 10, 285. [Google Scholar]
- Musial, C.; Kuban-Jankowska, A.; Gorska-Ponikowska, M. Beneficial properties of green tea catechins. Int. J. Mol. Sci. 2020, 21, 1744. [Google Scholar] [CrossRef]
- Laoung-On, J.; Jaikang, C.; Saenphet, K.; Sudwan, P. Phytochemical screening, antioxidant and sperm viability of Nelumbo nucifera petal extracts. Plants 2021, 10, 1375. [Google Scholar] [CrossRef]
- Bays, H. Central obesity as a clinical marker of adiposopathy; increased visceral adiposity as a surrogate marker for global fat dysfunction. Curr. Opin. Endocrinol. Diabetes Obes. 2014, 21, 345–351. [Google Scholar] [CrossRef]
- Kahn, S.E.; Hull, R.L.; Utzschneider, K.M. Mechanisms linking obesity to insulin resistance and type 2 diabetes. Nature 2006, 444, 840–846. [Google Scholar] [CrossRef]
- Chien, M.-Y.; Ku, Y.-H.; Chang, J.-M.; Yang, C.-M.; Chen, C.-H. Effects of herbal mixture extracts on obesity in rats fed a high-fat diet. J. Food Drug Anal. 2016, 24, 594–601. [Google Scholar] [CrossRef]
- Nguyen, Q.M.; Srinivasan, S.R.; Xu, J.-H.; Chen, W.; Hassig, S.; Rice, J.; Berenson, G.S. Elevated liver function enzymes are related to the development of prediabetes and type 2 diabetes in younger adults: The Bogalusa Heart Study. Diabetes Care 2011, 34, 2603–2607. [Google Scholar] [CrossRef] [PubMed]
- Wahabi, S.; Rtibi, K.; Atouani, A.; Sebai, H. Anti-obesity actions of two separated aqueous extracts from arbutus (Arbutus unedo) and hawthorn (Crataegus monogyna) fruits against high-fat diet in rats via potent antioxidant target. Dose-Response 2023, 21, 15593258231179904. [Google Scholar] [CrossRef] [PubMed]
- Abolfathi, A.A.; Mohajeri, D.; Rezaie, A.; Nazeri, M. Protective effects of green tea extract against hepatic tissue injury in streptozotocin-induced diabetic rats. Evid.-Based Complement. Altern. Med. 2012, 2012, 740671. [Google Scholar] [CrossRef] [PubMed]
- Stoclet, J.-C.; Chataigneau, T.; Ndiaye, M.; Oak, M.-H.; El Bedoui, J.; Chataigneau, M.; Schini-Kerth, V.B. Vascular protection by dietary polyphenols. Eur. J. Pharmacol. 2004, 500, 299–313. [Google Scholar] [CrossRef]
- Goodman, Z.D. The impact of obesity on liver histology. Clin. Liver Dis. 2014, 18, 33–40. [Google Scholar] [CrossRef]





| Parameter | CME | FCME |
|---|---|---|
| ABTS (mg Trolox equivalent/g plant extract) | 18.14 ± 0.03 | 21.65 ± 0.02 |
| DPPH (mg Trolox equivalent/g plant extract) | 36.91 ± 0.01 | 11.53 ± 0.01 |
| Groups | Body Weight (g) | Relative Organs Weight (g/100 g BW) | ||||
|---|---|---|---|---|---|---|
| Livers | Kidneys | Spleen | Heart | Pancreas | ||
| N-C | 563.33 ± 25.17 # | 1.90 ± 0.16 | 0.43 ± 0.03 # | 0.18 ± 0.02 | 0.27 ± 0.02 # | 0.29 ± 0.04 |
| N-LCME | 530.00 ± 14.14 # | 1.92 ± 0.31 | 0.44 ± 0.03 # | 0.17 ± 0.02 | 0.30 ± 0.01 # | 0.24 ± 0.08 |
| N-HCME | 595.00 ± 77.78 # | 1.99 ± 0.44 | 0.43 ± 0.06 | 0.17 ± 0.03 | 0.29 ± 0.04 # | 0.27 ± 0.12 |
| N-LFCME | 530.00 ± 39.16 # | 2.05 ± 0.09 | 0.42 ± 0.05 | 0.19 ± 0.03 | 0.30 ± 0.06 | 0.30 ± 0.09 |
| N-HFCME | 530.00 ± 34.64 # | 2.01 ± 0.16 | 0.43 ± 0.02 # | 0.20 ± 0.02 | 0.27 ± 0.03 # | 0.27 ± 0.04 |
| O-C | 728.00 ± 74.63 * | 1.96 ± 0.49 | 0.34 ± 0.07 * | 0.15 ± 0.03 | 0.22 ± 0.04 * | 0.22 ± 0.02 |
| O-Met | 705.00 ± 12.91 * | 2.13 ± 0.16 | 0.38 ± 0.03 | 0.16 ± 0.03 | 0.27 ± 0.02 # | 0.24 ± 0.02 |
| O-LCME | 615.00 ± 75.06 | 2.11 ± 0.17 | 0.41 ± 0.04 | 0.18 ± 0.03 | 0.27 ± 0.03 # | 0.27 ± 0.07 |
| O-HCME | 612.50 ± 58.52 # | 2.10 ± 0.32 | 0.43 ± 0.04 # | 0.16 ± 0.02 | 0.26 ± 0.02 | 0.32 ± 0.05 |
| O-LFCME | 630.00 ± 59.58 # | 2.34 ± 0.44 | 0.41 ± 0.04 | 0.19 ± 0.03 | 0.26 ± 0.03 | 0.26 ± 0.06 |
| O-HFCME | 587.50 ± 78.90 # | 2.31 ± 0.24 | 0.41 ± 0.04 # | 0.16 ± 0.02 | 0.25 ± 0.03 | 0.26 ± 0.06 |
| O-Met+CME | 585.00 ± 49.50 # | 2.23 ± 0.07 | 0.46 ± 0.02 # | 0.19 ± 0.01 | 0.30 ± 0.02 # | 0.31 ± 0.06 |
| O-Met+FCME | 592.50 ± 51.88 # | 2.07 ± 0.14 | 0.43 ± 0.03 # | 0.17 ± 0.02 | 0.27 ± 0.03 | 0.29 ± 0.04 |
| Groups | Cholesterol (mg/dL) | Triglyceride (mg/dL) | LDL-Cholesterol (mg/dL) | HDL-Cholesterol (mg/dL) | ALT (U/L) | AST (U/L) |
|---|---|---|---|---|---|---|
| N-C | 73.33 ± 6.81 # | 75.66 ± 5.51 # | 5.06 ± 0.61 # | 23.85 ± 4.42 | 30.60 ± 6.28 # | 104.36 ± 24.71 # |
| N-LCME | 72.00 ± 8.00 # | 90.25 ± 4.50 *,# | 5.68 ± 0.81 # | 28.92 ± 5.12 | 34.66 ± 5.28 # | 107.97 ± 10.98 # |
| N-HCME | 71.33 ± 2.31 # | 85.50 ± 11.32 # | 3.89 ± 0.74 *,# | 35.13 ± 3.49 *,# | 27.81 ± 6.65 # | 108.73 ± 7.23 # |
| N-LFCME | 76.25 ± 6.44 # | 89.25 ± 9.11 # | 5.45 ± 1.08 # | 31.41 ± 1.37 *,# | 32.95 ± 4.26 # | 126.25 ± 2.77 |
| N-HFCME | 72.25 ± 2.22 # | 103.00 ± 20.42 # | 4.61 ± 1.37 # | 33.42 ± 4.41 | 25.74 ± 4.37 # | 102.26 ± 8.38 # |
| O-C | 121.00 ± 20.52 * | 151.20 ± 10.27 * | 25.36 ± 3.73 * | 26.76 ± 3.95 | 117.13 ± 30.32 * | 206.18 ± 28.73 * |
| O-Met | 83.75 ± 7.32 # | 81.00 ± 5.44 # | 10.20 ± 0.70 *,# | 44.43 ± 6.90 *,# | 34.38 ± 7.21 # | 125.96 ± 12.56 # |
| O-LCME | 86.00 ± 10.39 # | 110.47 ± 11.89 *,# | 15.27 ± 1.66 *,# | 42.13 ± 5.28 *,# | 84.95 ± 22.81 *,# | 136.94 ± 4.33 # |
| O-HCME | 76.67 ± 7.37 # | 95.33 ± 4.93 *,# | 10.26 ± 0.70 *,# | 35.20 ± 4.86 *,# | 54.88 ± 6.70 *,# | 102.82 ± 11.91 # |
| O-LFCME | 89.00 ± 9.85 # | 103.17 ± 4.88 *,# | 11.91 ± 1.17 *,# | 34.48 ± 1.25 *,# | 83.86 ± 31.81 * | 174.86 ± 11.30 * |
| O-HFCME | 81.67 ± 5.86 # | 83.67 ± 18.18 # | 6.85 ± 1.33 # | 36.56 ± 4.86 *,# | 60.24 ± 12.68 *,# | 105.07 ± 20.47 # |
| O-Met+CME | 85.00 ± 12.77 # | 69.60 ± 8.05 # | 5.09 ± 1.30 # | 34.14 ± 6.66 *,# | 42.64 ± 2.98 *,# | 90.28 ± 20.23 # |
| O-Met+FCME | 74.75 ± 9.98 # | 60.50 ± 5.39 *,# | 5.02 ± 0.59 # | 34.68 ± 3.11 *,# | 34.90 ± 9.81 # | 90.58 ± 11.00 # |
Disclaimer/Publisher’s Note: The statements, opinions and data contained in all publications are solely those of the individual author(s) and contributor(s) and not of MDPI and/or the editor(s). MDPI and/or the editor(s) disclaim responsibility for any injury to people or property resulting from any ideas, methods, instructions or products referred to in the content. |
© 2024 by the authors. Licensee MDPI, Basel, Switzerland. This article is an open access article distributed under the terms and conditions of the Creative Commons Attribution (CC BY) license (https://creativecommons.org/licenses/by/4.0/).
Share and Cite
Laoung-on, J.; Anuduang, A.; Saenjum, C.; Srichairatanakool, S.; Boonyapranai, K.; Ounjaijean, S. Pharmacological Activity of Cha-Miang (Camellia sinensis var. assamica) in High Fat Diet-Induced Insulin-Resistant Rats. Life 2024, 14, 1515. https://doi.org/10.3390/life14111515
Laoung-on J, Anuduang A, Saenjum C, Srichairatanakool S, Boonyapranai K, Ounjaijean S. Pharmacological Activity of Cha-Miang (Camellia sinensis var. assamica) in High Fat Diet-Induced Insulin-Resistant Rats. Life. 2024; 14(11):1515. https://doi.org/10.3390/life14111515
Chicago/Turabian StyleLaoung-on, Jiraporn, Artorn Anuduang, Chalermpong Saenjum, Somdet Srichairatanakool, Kongsak Boonyapranai, and Sakaewan Ounjaijean. 2024. "Pharmacological Activity of Cha-Miang (Camellia sinensis var. assamica) in High Fat Diet-Induced Insulin-Resistant Rats" Life 14, no. 11: 1515. https://doi.org/10.3390/life14111515
APA StyleLaoung-on, J., Anuduang, A., Saenjum, C., Srichairatanakool, S., Boonyapranai, K., & Ounjaijean, S. (2024). Pharmacological Activity of Cha-Miang (Camellia sinensis var. assamica) in High Fat Diet-Induced Insulin-Resistant Rats. Life, 14(11), 1515. https://doi.org/10.3390/life14111515

